PERITONEUM AND
MESENTERIES
Aorta

L

IVC

TrCol

SB
Ub

Ps
MESENTERY OVERVIEW
PERITONEUM

• Functions:
1. Minimize friction
2. Resist infection
3. Store fat
4. Pathway for
neurovascular
structures
PERITONEAL FLUID
• Derived from interstitial fluid of adjacent tissues
• Contains water, electrolytes, proteins, macrophages and
lymphocytes
• Peritoneum is a semi-permeable membrane that allows
fluid and cells to move in both directions
• Composition varies according to pathological condition
• Condition when there is excess fluid, usually due to
inflammation or infection is called ascites
PERITONEAL STRUCTURES
• Parietal and visceral layers – single layer of
peritoneum
• Mesentery – double layer that suspends gut tube, ie.,
dorsal mesentery and ventral mesentery
• Omentum – special type of mesentery that attaches
stomach to another structure, ie., greater omentum
and lesser omentum
• Peritoneal ligaments – double layer that attaches
more solid viscera to abdominal wall or other organs
• Peritoneal folds – raised, single layer of peritoneum
coursing over blood vessels and ligaments
MESENTERY
Dorsal Root of the Mesentery
Mesentery
VISCERAL PERITONEUM
• Intraperitoneal
– Organs nearly completely
surrounded by peritoneum
– Organs suspended by
mesentery, omentum or
ligament
• Retroperitoneal
– Organs only partially
covered by peritoneum
– Organs have no
mesentery
MESENTERY OVERVIEW
DORSAL
MESOGASTRIUM
28 days

• Rotation of stomach
causes dorsal
mesogastrium to balloon
out to left

• Creates the lesser sac or
omental bursa
48 days
DORSAL MESOGASTRIUM

• Splenorenal (lienorenal) ligament
• Gastrosplenic (gastrolienal) ligament
DORSAL MESOGASTRIUM –
GREATER OMENTUM
DORSAL MESOGASTRIUM –
GREATER OMENTUM
DERIVATIVES OF DORSAL
MESOGASTRIUM

• Greater omentum (gastrocolic ligament)
• Gastrosplenic ligament
• Splenorenal ligament
VENTRAL MESENTERY
VENTRAL MESENTERY

• Rotation of stomach moves liver and lesser omentum to right
• Falciform ligament remains in midline
GREATER AND LESSER SACES
VENTRAL MESENTERY – LESSER
OMENTUM

• Falciform ligament
Ligamentum teres
• Lesser omentum
Hepatogastric lig.
Hepatoduodenal lig.
DERIVATIVES OF VENTRAL
MESENTERY
• Falciform, coronary & triangular
ligaments
• Visceral peritoneum of liver
• Lesser omentum
– Hepatogastric ligament
– Hepatoduodenal ligament
MESENTERY PROPER
AND MESOCOLON
PERITONEAL FOLDS
• Median umbilical
fold – median
umbilical ligament

• Medial umbilical
folds – median
umbilical ligaments

• Lateral umbilical
folds – inferior
epigastrics
PARACOLIC GUTTERS

• Longitudinal channels running along medial and lateral sides of
ascending and descending colon
• Form where parietal peritoneum reflects onto colon as visceral
peritoneum
PARACOLIC GUTTERS
HEPATORENAL RECESS
RIGHT SUBHEPATIC RECESS
(MORRISON’S POUCH)

• One of the lowest
points in the
peritoneal cavity

• Excess fluid/blood will
pool in this area when
patient is supine
Summary
•

Dorsal Mesentery

•
•
•
•
•
•
•

Dorsal mesogastrium
Greater omentum
Gastrosplenic ligament
Lienorenal (splenorenal) ligament
Dorsal Mesoduodenum
Mesocolons (transverse and sigmoid)

Ventral Mesentery

•
•
•

Falciform ligament
Coronary and triangular ligaments
Lesser omentum - hepatogastric and hepatoduodenal ligaments

Peritoneium

Editor's Notes

  • #3 Cavity with anterior abdomenal wall removed. Relatively unmolested abdominal cavity. Liver in blue. Greater omentum in purple: fold of parietal peritoneum; reservoir for fat rich lymphatic perfusion secretion of lubricating cleaning fluid
  • #4 Profused by celiac artery: Spleen in red, pancreas in green, stomach in blue
  • #5 Omentum removed. Red- superior mesenteric artery Small and large bowel
  • #6 Small bowel flipped out of the way. Root of the small bowel in red
  • #7 Cyphotic bisection; abdominal cavity magnified next slide
  • #9 Perietal peritoneum (squamous cell membrane) in red Dorsal root of mesentery in green Lining of liver will come down, over stomach, creating greater omentum Lesser omentum in yellow
  • #10 Greater omentum in blue
  • #11 Lesser sac in green
  • #12 9: root of mesentery 3: lesser sac 13: greater sac
  • #13 Foregut= celiac artery Midgut= superior mesenteric artery Hindgut= inferior mesenteric artery
  • #15 White broad= where organ is in contact with body wall Blue= lesser sac Pink= greater sac
  • #16 Black line is where sagital section would be Organ attached to back wall= retroperitoneal
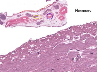
  • #22 Squamous cells= red Artery = blue Lymph nodes= yellow
  • #23 S nearly
  • #24 S nearly
  • #25 S nearly
  • #26 S nearly
  • #27 S nearly
  • #28 S nearly
  • #29 S nearly
  • #30 S nearly
  • #31 S nearly
  • #32 S nearly
  • #33 S nearly
  • #36 S nearly
  • #37 S nearly
  • #38 S nearly
  • #39 S nearly
  • #40 S nearly
  • #42 S nearly