P S -
S T A I N I N G
A N D
M O R P H O L O
G Y
S U D I PTA
What is a peripheral smear ?
• A peripheral blood smear or blood film is a thin layer of blood smeared on a microscope glass slide and then
stained in such a way to allow the various blood cells to be examined microscopically.
Peripheral Smear Preparation
• Wedge technique
• Coverslip technique
• Automated Slide Making and Staining
WEDGE BLOOD SMEAR
Specimen:
• Peripheral blood smear made from EDTA-anticoagulated blood.
• Smears should be made within 1 hour of blood collection from
EDTA specimens stored at room temperature to avoid distortion of
cell morphology
• Blood smears can also be made from finger prick blood directly onto
slide.
Equipment
• Spreaders
• Grease free washed glass slides
• Blood capillary tube or micropipette 10 µL
SMEAR PREPARATION
1. Place a drop of blood, about 2-3 mm
in diameter approximately 1 cm from
one end of slide.
2. Place the slide on a flat surface, and
hold the other end between your left
thumb and forefinger.
3. With your right hand, place the
smooth clean edge of a second
(spreader) slide on the specimen slide,
just in front of the blood drop.
4. Hold the spreader slide at a 30°- 45
angle, and draw it back against the
drop of blood
6. Allow the blood to spread almost to
the edges of the slide.
7. Push the spread forward with one
light, smooth moderate speed. A thin
film of blood in the shape of tongue.
8. Label one edge with patient name, lab
id and date.
9. The slides should be rapidly air dried by
waving the slides or using an electrical fan.
The shape of blood film
Characteristics of A Good Smear
1. Good smear is tongue shaped with a smooth tail.
2. Does not cover the entire area of the slide.
3. Has both thick and thin areas with gradual transition.
4. Does not contain any lines or holes.
The thickness of the smear
Is determined by:
1. The angle of the spreader slide. (the greater the angle, the
thicker and shorter the smear).
2. Size of the blood drop.
3. Speed of spreading
i. If the hematocrit is increased, the angle of the spreader slide should be decreased.
ii. If the hematocrit is decreased, the angle of the spreader slide should be increased.
Common causes of a poor blood smear
1. Drop of blood too large or too small.
2. Spreader slide pushed across the slide in a jerky manner.
3. Failure to keep the entire edge of the spreader slide against the slide
while making the smear.
4. Failure to keep the spreader slide at a 30° angle with the slide
5. Failure to push the spreader slide completely across the slide.
6. Irregular spread with ridges and long tail: Edge of spreader dirty or
chipped; dusty slide
7. Holes in film: Slide contaminated with fat or grease and air bubbles.
8. Cellular degenerative changes: Delay in fixing, inadequate fixing time or
methanol contaminated with water.
Blood films
Aim of blood smear
• Blood films are usually examined to investigate hematological
disorders and, occasionally, to look for parasites within the blood
such as malaria, filaria.
• Examination of thin blood films is important in the investigation
and management of anemia, infections, and other conditions which
produce changes in the appearance of blood cells and differential
white cell count.
• A blood film report can provide rapidly and at low cost, useful
information about a patient’s condition.
STAINING OF PBS
Brief History
• The beginnings of modern-day blood staining can be traced back to Ehrlich,
who in 1877, was the first scientist to divide the aniline dyes into acidic and
basic categories.
• Three years later , the malarial parasite was discovered, and a rigorous search
for an improved blood stain ensued – In 1888, Chenzinsky discovered a stain
composed of cationic dye methylene blue and anionic eosin.
• Malachowski modified that stain with a markedly improved color range
and depth
• Regrettably, when he published his results in Berlin in 1891, he did not give the
necessary details as to how his method might be reproduced.
• 3 weeks later the young Russian protozoologist Romanowsky published similar
findings in an article so celebrated that all future stains of analogous
composition were named as Romanowsky-type stains
[Romanowsky noted that a neglected, moldy methylene blue solution was more effective
in producing the desired red plasmodial chromatin bodies than was a fresh solution]
Thionine
EOSIN-Y EOSIN-B
Romanowsky staining
It includes:
• May-Grunwald –Geimsa stain
• Wright’s stain
• Leishman’s stain
• Jenner’s stain
• Field’s stain.
• Wright’s Stain
• Components
• Stock solution:
• Wright’s stain 0.25gm to 0.5 gm
• Absolute acetone free methanol 100 ml
• Buffer (pH 6.8):
• KH2PO4 6.63 g
• Na2HPO4 2.56 g
• Distilled water 1,000 ml
• May–Grunwald Stain – 0.3 gm in 100 ml methanol
• Jenner – 0.5 gm in 100 ml methanol ( no over night incubation)
• Leishman’s Stain – 0.2 gm in 100 ml methanol
• Giemsa – 1 gm in 100 ml methanol
After drying
the smear
After drying the smear is
flooded with Wright stain
solution for 3 to 5 minutes,
Staining does not occur at
this stage
Buffer water of pH 6.8 is added
on the smear already
containing the stain solution.
(No washing)
Mixing of stain solution and
buffer water is done by blowing
in a figure of ‘8’ manner and kept
for 10 to 12 minutes for the
actual staining
Thoroughly washed under
slow running tap water.
Air drying and
examined under
light microscope
using a
temporary
mounting media
Wright staining followed in our Lab
Fixation is done
by immersing in
a jar of
methanol for 5–
10 min
Fixed smears are transferred to
a staining jar containing
May–Grunwald stain freshly
diluted with an equal volume
of buffered water and allowed
to stain for about 15 min.
Transferred
to a jar containing Giemsa’s
stain freshly diluted with 9
volumes of buffered water
without washing
After staining for 10–15 min,
slides are transferred to a jar
containing buffered water, pH
6.8
Rapid washing in 3 to 4
changes of water, and allow to
stand undisturbed
in water for a 2–5 minutes
Air drying and
examined under
light microscope
using a
temporary
mounting media
May–Grunwald–Giemsa Stain
Colour responses of blood cells to Romanowsky staining
• Cellular component
• Nuclei
• Nucleoli
• Chromatin
• Cytoplasm
• Erythroblast
• Erythrocyte
• Reticulocyte
Colour
Purple
Light blue
Dark blue
Dark pink
Grey–blue
Colour
Blue
Pink
Grey–blue
Pink
Pink/orange
Blue
Blue
Cytoplasm
• Lymphocyte
• Metamyelocyte
• Monocyte
• Myelocyte
• Neutrophil
• Promyelocyte
• Basophil
Granules
• Promyelocyte(primary granules) Red or purple
• Basophil
• Eosinophil
• Neutrophil
• Toxic granules
• Platelet
Purple black
Red–orange
Purple
Dark blue
Purple
Other inclusions
• Auer body
• Cabot ring
• Howell-Jolly body
• Döhle body
Purple
Purple
Purple
Light blue
Factors influence smear staining method
• Blood smear may be under or over stained based
on the following
• Concentration of the stain used
– Low concentration: pale coloured cells (under
staining)
– High concentration: dark stained smear (over stained)
• Time of exposure the stain and the buffer
– Too long: overstaining,
– Too short: understaining
Factors giving rise to faulty staining
• Appearances
❖Too blue
Causes
Eosin concentration too low
Incorrect preparation of
stock stock stain exposed to
bright
daylight
Batch of stain solution overused
• Impure dyes
• Staining time too short
• Staining solution too acid
• Smear too thick
• Inadequate time in
buffer solution
Too pink Incorrect proportion of azure
B-eosin Y
• Impure dyes
• Buffer pH too low
• Excessive washing in buffer
solution
• Pale staining • Old staining solution
• Overused staining solution
• Incorrect preparation of
stock
• Impure dyes, especially
azure A and/or C
• High ambient temperature
•Neutrophil granules
not stained
•Neutrophil granules Dark
Blue/black (pseudo-toxic)
Insufficient azure B
Excess azure B
• Other stain anomalies Various
contaminating
dyes and metal salts
• Stain deposit
on film
Stain solution left in
uncovered jar
Stain solution not filtered
Inadequate fixation or
prolonged storage before
fixation
• Blood collected into heparin
as anticoagulant
• Blue background
Precautions
• PBS should be fixed as soon as possible after drying; background of
dried plasma may stain pale blue.
• Smear should not come in contact with water before fixation is
complete.
• Methanol must be stored in a bottle with a tightly fitting stopper
and not left exposed to the atmosphere, especially in humid
climates.
Examination of PBS
• Patient identification should be checked and confirmed and the microscope
slide matched with the corresponding CBC report.
• The film should be examined macroscopically to confirm adequate spreading
and to look for any unusual spreading or staining characteristics.
• PBS should be compared with the CBC report and a judgement
made as to whether the WBC, hemoglobin concentration (Hb), MCV
and platelet count are consistent with the smear.
(i) a poorly mixed or partly clotted or
hemolyzed specimen;
(ii) a specimen that is too small so that the
instrument has aspirated an inadequate volume;
(iii) the blood film and CBC being derived from
different blood specimens.
• On placing a pbs under the microscope, the first decision to be made is whether
or not it is suitable for further examination. Spreading, fixation and staining
must be satisfactory and there should be no artefactual changes produced by
excess EDTA or prolonged storage, e.g., spherocytosis, crenation or echinocytic
changes in red cells, degeneration of neutrophils and lobulation of some
lymphocyte nuclei
• RBCs are just touching but not overlapping.
• WBCs should be distributed regularly without undue concentration along the edges or
in the tail (can be seen in a very thin smear)
Evaluation of PBS• 1. RBC
•
•
•
•
•
Size
Shape
Color
Arrangement
Inclusions
• 2. WBC
• Total counts
• Differential counts
• Abnormal WBC
• 3. Platelets
• Counts
• Abnormality
•4. Parasites
Red cell Morphology
• Terms used to describe a normal red cell morphology
• normocytic, which means that the cells are of normal size
• normochromic, which means that the cells have the normal concentration
of hemoglobin (i.e., when central pallor occupies ≤ one‐third of the red cell
diameter portion)
• Micro and Macrocytic red cells
• Anisocytosis
• Anisocytosis is an increase in the variability of erythrocyte size beyond that which is
observed in a normal healthy subject.
• Dimorphic picture
• Indicates the presence of two distinct populations of red cells.
• Often applied when there is one population of hypochromic, microcytic cells and another
population of normochromic cells, either normocytic or macrocytic.
Chromasia
1. Hypochromia
➢ When central pallor is more than 1/3 of the red cell diameter
➢ Usually associated with microcytosis
(question – 1. Name 2 conditions where this association is not seen?
(thal trait , microspherocytosis, liver disease)
2. What are leptocytes ?)
2. Hyperchromia
➢ The term ‘hyperchromia’ is rarely used in describing smears.
➢ Deep staining of the red cells with a lack of central pallor
➢ May be seen in two circumstances: first, in the presence of macrocytes and second,
when cells are abnormally rounded
Leptocytes
• Thin red cells with large
unstained central area.
• Seen in
– Severe iron deficiency
anemia
– Thaleasaemia
3. Anisochromasia
• Anisochromasia describes an increased variability in the degree of staining or haemoglobinisation of the red
cell
• In practice, it usually means that there is a spectrum of staining from hypochromic to normochromic.
• Indicates a changing situation, such as iron deficiency developing or responding to treatment or anaemia of
chronic disease developing or regressing.
4. Polychromasia
• Polychromasia or polychromatophilia describes red cells that are pinkish-blue as a consequence of uptake
both of eosin, by hemoglobin, and of basic dyes, by residual nucleic acids.
• considerably larger than mature erythrocytes and, as a consequence of a reduced hemoglobin
concentration, are less dense
• have an irregular, multilobate surface
• Q. What is the normal percentage of polychromatophils in PBS?
• Variation of shape/Poikilocytosis
• Elliptocytes
• Spherocytes
• Target cells
• Spiculated cells
➢ Keratocytes
➢ Schistocytes
➢ Acanthocytes
➢ Echinocytes
Elliptocytes/ ovalocytes
• Both are oval in shape.
• A cell with a long axis
more than twice its short
axis should be designated
an elliptocyte
• while a cell with the long
axis less than twice its
short axis is designated
an ovalocyte
Spherocytes
• Nearly spherical
• Diameter is smaller than
normal
• Lack central pale area or
have a smaller , eccentric,
pale area
• Seen in
– hereditary spherocytosis
– Some cases of
autoimmune hemolytic
anemia
– direct physical or
chemical injury
Target cells
• Target cells have an area of increased staining, which appears in the
middle of the area of central pallor
• Formed as a consequence of a redundant membrane in relation to the
volume of the cytoplasm.
• They may also be thinner than normal cells.
• In vivo they are bell-shaped as demonstrated on scanning electron
microscopy.
• Flatten on spreading to form the characteristic target cell seen on light
microscopy
Q. What is the fancy name for Target cells ?
Echinocytes
• Also called crenated cells
• Erythrocytes that have lost their disc
shape and are covered with 10–30
short blunt spicules of fairly regular
form
• Commonly occur as an artifact during
preparation of film Hyperosmolarity
• Discocyte–echinocyte
transformation
• Overnight stored blood at 20 C
before films are made.
• Premature infant after
exchange transfusion
• water contaminating the
Wright’s stain (or absolute
methanol)
• Q – What is the usual mechanism of echinocyte formation in an
otherwise normal blood sample?
• Lysolecithin formation in plasma
• Depletion of ATP
Acanthocytes
• Acanthocytes are cells of
approximately spherical shape
bearing between 2 to 20 spicules
that are of unequal length and
distributed irregularly over the red
cell surface.
• Probably results from a
preferential expansion of the
outer leaflet of the lipid bilayer.
• Seen in Abnormal phospholipid metabolism
• Abetalipoproteinemia
• Inherited abnormalities of red cell membrane protein
• Splenectomy
Keratocytes
• Have pairs of spicules;
usually single pair.
• Sometimes termed as
Bite cell or helmet cell
• Seen in
– Mechanical damage
– Removal of Heinz body by
pitting action of spleen.
Schistocytes
• These are fragmaented
erythrocytes.
• According to ICSH these
are red cell fragments with
sharp angles and straight
borders, small crescents,
helmet cells, keratocytes
and microspherocytes
• Quantification is per 1000
erythrocytes, with more
than 1% schistocytes being
regarded as significant
Stomatocytes
• Red cells with central biconcave
area appears slit like in dried film.
• Wet film it appears as cup-
shaped.
• Seen in
– Artifact
– south-east Asian
ovalocytosis
– liver disease,
– alcoholism,
– myelodysplastic
syndromes.
Sickle cell
• Cells are sickle (boat
shape) or crescent
shape
• Present in film of
patient with
homozygosity for Hb S.
• Usually absent in
neonates and rare in
patients with high Hb F
percentage
Teardropcells
• One side of cells is
tapered and other is
blunt.
• Usually found when
there is marrow failure
or fibrosis
Red blood cell inclusions
Name of Inclusion
• Howell-Jolly body
• Basophilic stippling
• Pappenheimer body
• Heinz body(supravital only)
• Crystals
• Cabot rings
• Nucleus
• Content
• DNA
• RNA
• Iron
• Denatured hemoglobin
• Hemoglobin-C
• Mitotic spindle
remnants
• DNA
Basophilic Stippling
• Presence of irregular basophilic
granules with in Rbc which are
variable in size .
• Stain deep blue with Wright’s stain
• Fine stippling seen with
– Increased polychromatophilia
– Increased production of red cells.
• Coarse stippling
– Lead and heavy metal poisoning
– Disturbed erythropoiesis
• Megaloblastic anemia
• Thalassaemia
• infection
• liver disease
– Unstable Hb
– Pyrimidine-5’-nucleotidase def.
Howell-Jolly Bodies
• Smooth single large round
inclusions which are remnant
of nuclear chromatin.
• Seen in
• Single –
– Megaloblastic anemia
– Hemolytic anemia
– Postsplenectomy
• MULTIPLE –
– Megaloblastic anemia
– Abnormal erythropoiesis • Howell-Jolly Bodies
Pappenheimer Bodies
• These are small single or
multiple peripherally sited
angular basophilic (almost
black) erythrocyte inclusions.
• Smaller than Howell–Jolly
bodies.
• composed of haemosiderin.
• Their nature can be
confirmed by Perls’ stain.
• Seen in
– Sideroblastic
erythropoiesis
– Hypospenism
– Myelodysplastic syndrome
– Hemolytic anemia
Heinz bodies
• Seen on supravital stains
• Not seen on Romanowsky stain.
• Purple, blue, large, single or
multiple inclusions attached to the
inner surface of the red blood cell.
• Represent precipitated normal or
unstable hemoglobins.
• seen – Postsplenectomy
• Oxidative stress
– Glucose-6-phosphate
dehydrogenase deficiency,
– Glutathione synthetase
deficiency
– Drugs
– Toxins
– Unstable hemoglobins
Cabot Rings
• These are Ring shaped or figure of
eight or loop shaped.
• Red or Reddish purple with
Wright’s stain and have no internal
structure
• Observed rarely in
– Pernicious anemia,
– Lead poisoning,
Malarial stippling
• Fine granules of
plasmodium vivax
• On wright stain these
are fine , purplish red
• Red cells are larger than
normal
Rouleaux Formation
• Alignment of red cells one
upon another so that they
resemble stacks of coins.
• Occurs inParaproteinemia
( monoclonal
gammopathy)
• Elevated plasma
fibrinogen or globulin
level
Agglutination
• It is more irregular and
round clumping than
linear rouleaux
• Seen with cold
agglutinin
• Anti RBC antibody
• Autoimmune hemolytic
anemia
• Macroglobulinemia
• Discrepancies in Red cell parameters –
Falsely high RBC –
a) Numerous large platelets
b) Hyperlipidaemia
c) Cryoglobulinemia/
Cryofibrinogenemia
Falsely Low RBC –
a) Cold agglutinins (Rarely warm
autoantibodies)
b) EDTA‐dependent pan-
agglutination
c) In vitro red cell lysis due to
mishandling of Extreme
microcytosis or fragmentation
Falsely high MCV –
a) Storage of blood at room
temperature
b) Cold agglutinins and EDTA‐
dependent pan-agglutinins
c) very high WBC count
d) Hyperosmolar states (e.g.
hypernatraemia, )
e) Excess K2EDTA
Falsely Low MCV –
a) Increase in ambient
temperature
b) Hypo‐osmolar states (e.g.
hyponatraemia
c) Repeated mixing of sample
leading to increased
oxygenation
Falsely high RBC
a) Poorly mixed specimen
b) High WBC
c) Hyperlipidaemia,
[endogenous or due to
parenteral nutrition]
d) hypergammaglobuline
mia
WBC MORPHOLOGY
▪ Before evaluating leucocyte following must be seen-
Film is well made
Distribution of cells is uniform
Staining is satisfactory
▪ While scanning estimate the total leucocyte count
▪ Differential count is done at oil immersion
• Ten microscopic fields are examined in a vertical direction from bottom to
top or top to bottom
• Slide is horizontally moved to the next field
• Ten microscopic fields are counted verticallyinoppositetothe previousdirection.
• Procedure is repeated until 100 WBCS have been counted (zig zag motion)
Scanning technique for WBC differential count and
morphologic evaluation
Manual differential counts
• These counts are done in the same area as
WBC and platelet estimates with the red cells
barely touching.
• Count 100 WBCs under 40x/100x including
all cell lines from immature to mature.
✓Reporting results
• Approximate absolute number of cells/µl = %
of cell type in differential x white cell count
•If 10 or more nucleated RBC's (NRBC) are
seen, correct the
White Count using this formula:
Corrected WBC Count =
WBC x 100/( NRBC + 100)
Example : If WBC = 5000 and 10 NRBCs have
been counted
Then we have actually counted 110 cells among which
100 cells are WBCs.
That means in 1 cell there will 100/110 WBC.
The corrected white count is (100/110) x 5000 = 4545.50
Leukocytes Normally Present in Blood
Neutrophils ( polymorphonuclear leucocytes)
Band form
Eosinophils
Basophils
Lymphocytes
Monocytes
POLYMORPHONUCLEAR NEUTROPHILS
• 40 to 80 percent of total
WBC count(2.0–7.0 ×109/l )
• Diameter - 13 µm
• segmented nucleus and
pink/orange cytoplasm with
fine granulation(0.2-0.3µm)
stain tan to pink with
Wright’s
• Lobes -2-5
• small percent has four lobes
and occasionally five lobes.
Band forms
• neutrophils has either a
strand of nuclear material
thicker than a filament
connecting the lobes, or a U-
shaped nucleus of uniform
thickness.
• Up to 8% of circulating
neutrophils are
unsegmented or
partly segmented (‘band’
forms)
• Left-shift: non-
segmented neutrophil >
5%
– Increased
bands Means acute
infection, usually
bacterial
Myeloblast (0%)
Promyelocyte (0%)
Myelocyte (<0.5%)
Metamyelocyte (<1%)
Band form (5 to 8%)
Bilobed neutrophils (30-35%)
Trilobed neutrophils (40-50%)
Tetra lobed neutrophils (15-20%)
Penta lobed (<3%)
Hexalobed (0%)
Left Shift
Right Shift
Granules
• Toxic granulation-
increase in staining
density and number of
granules
• Seen with Bacterial
infections and other
inflammation
• Administration of G-CSF
• Anaplastic anemia
• Hypogranular and
agranular neutophils
poorly stained
• seen in Myelodysplastic
syndrome
Alder–Reilly anomaly
• Granules are large,
– discrete,
– stain deep red
– may obscure the
nucleus
– Neutrophil function
is Normal
Chédiak-Higashi Syndrome
• Granules are
– also seen in other
leukocytes like
lymphocytes
– Giant
– Scanty azurophilic
– functional defect occur
Dohle Bodies
• Small, round or oval, pale
blue-grey structure
• Found at periphery of
neutrophil.
• Contains Ribosomes and
Endoplasmic reticulum
• Seen in – Bacterial infection
– inflammation
– administration of G-CSF
– during pregnancy
May–Hegglin anomaly
• inclusions occur in all
types of leucocytes
except lymphocytes.
• contain small basophilic
cytoplasmic granules
Vacuoles in neutrophils
• In Fresh blood smear
• vacuoles seen in
– severe sepsis
– as an artifact with
prolonged standing
Nuclei
• Hypersegmentated
neutrophil
• def.-presence of neutrophils
with six or more lobes or the
presence of more
than 3% of neutrophils
with at least five lobes.
• seen in Megaloblastic
anemia
– uraemia
– iron deficiency.
– Drugs-cytotoxic treatment with
Methotrexate
– hydroxycarbamide
Pelger–Huët Cells
• Pelger–Huët anomaly
• Benign inherited
condition.
• Neutrophil nuclei fail to
segment properly.
• Majority of circulating
neutrophils have only
two discrete equal-sized
lobes connected by a
thin chromatin bridge.
Pseudo-Pelger cells
• Pseudo-Pelger cells or the
acquired Pelger– Huët
anomaly
• Acquired condition
• Morphologically similar to
Pelger–Huët anomaly
• seen in Myelodysplastic
syndromes,
• Acute myeloid leukaemia
with dysplastic maturation,
• Occasionally in chronic
myelogenous leukaemia
Pyknotic Neutrophils (Apoptosis)
• Small numbers of dead
or dying cells may
normally be found in
the blood
• seen in infections
– invitro after standing for
12-18 hrs
– Nuclei-round dense,
featureless
– Cytoplasm-dark pink
Exogenous neutrophil inclusions
EOSINOPHILS
• Normally 1-6%( 0.02–0.5
× 109/l)
• Size- 12–17 µm
• Nucleus- Bilobed
(spectacle shaped)
• Cytoplasm- Pale blue
• Granules - Coarse
spherical gold/orange
• Eosinopenia- seen with prolonged steroid administration.
• Eosinophilia-
asthma
Allergic
conditions
• severe eosinophilia-
- parasitic infection
– reactive eosinophilia
– Eosinophilic leukaemia
– Idiopathic hypereosinophilic syndrome
– T-cell lymphoma, B-cell lymphoma
and acute lymphoblastic leukaemia.
BASOPHILS• Rarest <1%
• Nucleus segments fold up
on each other resulting
compact irregular dense
nucleus(closed lotus flower
like)
• Granules-large, variable size
dark blue or purple often
obscure the nucleus
• Granules are rich in
histamine, serotonin and
heparin
• Increase in
myeloproliferative disorder-
CML
MONOCYTES
• 2-10% of total wbc count
• Size- largest circulating leucocyte, 15–18µm
in diameter
• Cytoplasm- grey blue, may be vacuolated
• Nucleus- large , curved , horse shoe
shape/kidney/ fetal shaped
• No segmentation occur
• Chromatin- fine evenly distributed
• Increase in chronic infections and
inflammatory conditions such as
– TuberculosisandCrohn’sdisease,
– Chronic myeloid leukaemias
– Acute leukaemias with a
monocytic component
– Infectious mononucleosis
LYMPHOCYTES
• 20-40% of total wbc count
• two types
1. Small lymphocyte(6-10µm)
2. Large lymphocyte(12-15µm)
• Nucleus-single, sharply
defined, stain dark blue on
Wright’s stain
• Cytoplasm- Pale blue
• Large lymphocytes less
densely stain nuclei &
abundant cytoplasm
• Few round purple(azure)
granules are present
Turk cells
• Türk’ cell (immunoblasts)-
Transformed lymphocyte seen
in bacterial and viral infection
• Size 10-15 µm
• Nucleus- Round,
• Large nucleolus, and abundant,
deeply basophilic cytoplasm
Reactive lymphocytes
• Have slightly larger
nuclei with more
open chromatin
• Abundant cytoplasm
that may be
irregular.
• Seen in -infectious
mononucleosis
– viral infections
What are Downey cells
Type I: Small cells with minimum cytoplasm, indented
nucleus/irregular nuclear membrane, and condensed chromatin.
▪Type II: Larger cells with abundant cytoplasm; the lymphocyte
cytoplasm seems to hug the red cells. Type II is the most common
type of Downey cell.
▪Type III: Cells with large moderate basophilic cytoplasm and nucleus
with coarse chromatin. Nucleoli are apparent
WBC precursors
Leucoerythroblastic blood films
• A blood film is referred to as leucoerythroblastic if it contains NRBC
and granulocyte precursors.
• Discrepancies in WBC parameters –
Falsely high TLC–
a) Presence of NRBCs
b) Liver disease
c) Cold agglutinins
d) Numerous giant platelets or megakaryocyte
fragments
e) Platelet aggregates
f) Cryoglobulinemia/ Cryofibrinogenemia
g) Malarial parasites
h) Systemic mycoses
i) abnormal haemoglobins (in some counters)
Falsely Low RBC –
a) Cell lysis caused when blood is more than 3
days old
b) Storage at room temperature for 24 hours or
more
c) Storage at 4°C for more than 24 hours
(Horiba)
d) Leucocyte or leucocyte and platelet
aggregation due to an antibody or to
alteration of the cell membrane or to the
presence of neoplastic cells
e) In vitro red cell lysis due to mishandling of
Extreme microcytosis or fragmentation
Platelates
• Size -1-3µm
• Normal count - 280 ±130×109/µl
• Non nucleated cells derived from cytoplasmic
fragments of Megakaryocytes
• Has purple red granules.
• Liliac color
Thrombocytopenia
• Decreased production
– Aplastic anemia
– Acute leukemia
– Viral infections *Parvovirus *CMV
−Amegakaryocytic thrombocytopenia (AMT)
• Increased destruction
– Immune thrombocytopenia
– Idiopathic thrombocytopenic purpura (ITP)
– Neonatal alloimmune thrombocytopenia (NAITP)
– Disseminated intravascular coagulation (DIC)
– Hypersplenism
• Pseudothrombocytopenia- due to clumpping of pltelates
in EDTA bulb
Thrombocytosis
• Reactive thrombocytosis
✓Post infection
✓Inflammation
✓Juvenile rheumatoid arthritis
✓Collagen vascular disease
• Essential thrombocythemia
Platelet morphology: Giant platelets
• Platelates seems to be
size of rbcs.
• Seen in
– May –Hegglin anomly
– Bernard Soulier
syndrome
– Alport syndrome
– Storage pool syndrome
Platelet clumping
q. How to to manual platelet counting?
• 10 oil immersion fields counting
• Average
• Multiply by 15000.
• Discrepancies in Platelet parameters –
Falsely Low platelet count–
a) Partial clotting of specimen
b) Activation of platelets during venepuncture with
consequent aggregation
c) Activation of platelets during cardiopulmonary bypass
d) EDTA‐induced platelet aggregation (more common in viral
infections, particularly hepatitis A, CMV and inluenza A)
e) EDTA‐induced platelet degranulation and swelling
f) Lipiodol‐induced platelet clumping following
chemoembolisation
g) Platelet satellitism
h) Platelet phagocytosis by neutrophils and monocytes
i) Storage of blood at 4°C for more than 24 hours
j) Giant platelets falling above upper threshold for
platelet count
k) Heparin addition to blood sample in patient with
antibodies to heparin‐platelet factor 4
Falsely High platelet count –
a) Microcytic red cells or red cell fragments failing
below upper threshold for the platelet count
b) Presence of Microspherocytes (in hereditary
spherocytosis, burns)
c) Inadvertent heating of blood sample
d) White cell fragments counted as platelets
(fragments of leukaemic blast cells, hairy cells
or lymphoma cells)
e) Haemoglobin H disease
f) Hypertriglyceridaemia or hyperlipidaemia
changes on prolonged storage of sample
• EFFECT ON COUNT-
• Less marked in blood in ACD, CPD or Alsever’s solution
than in EDTA.
• At room temperature blood is stable up to 8 h.
• RBC
– Swell up the PCV and MCV increases
– Osmotic fragility increases
– Erythrocyte sedimentation rate decreases
– At 4ͦ C up to 24 h
– Reticulocyte count- Unchanged upto 24 h at 4 C
– Hemoglobin Unchanged upto 2-3 days
Disadvantages of the Peripheral Blood
Smear
• Experience is required to make technically
adequate smears.
• Non-uniform distribution of white blood cells
• Larger leukocytes concentrated near edges and
lymphocytes scattered throughout.
• Non-uniform distribution of RBCs
– Small crowded red blood cells at the thick edge
– Large flat red blood cells without central pallor at the
feathered edge
EXAMINATION OF BLOOD FILMS FOR
PARASITES
• thick film- when parasites are scanty
• thin film – identification of species
• STAINING OF FILM
– by Leishman’s stain at pH 7.2
Plasmodium falciparum
Erythrocytes throughout
this series are not
enlarged or distorted.
• Early trophozoites
• Accole form
• Crescent (‘banana-
shaped’) gametocyte
double chromatin dot
Schizonts are commonly seen in P. vivax infection and appear
as large bodies containing 12 to 24 nuclei and a loose
pigmented body. This photograph shows an early schizont of P.
vivax on the left and mature schizonts
Ealy trophozoit in the form of thick ring with large chromatin
dot
Leishmaniasis (Leishman–Donovan
bodies)
African trypanosomiasis
(Trypanosoma brucei gambiense)
American trypanosomiasis
( T. cruzi);
microfilaria
Thank
you

Peripheral smear staining and morphology

  • 1.
    P S - ST A I N I N G A N D M O R P H O L O G Y S U D I PTA
  • 2.
    What is aperipheral smear ? • A peripheral blood smear or blood film is a thin layer of blood smeared on a microscope glass slide and then stained in such a way to allow the various blood cells to be examined microscopically.
  • 3.
    Peripheral Smear Preparation •Wedge technique • Coverslip technique • Automated Slide Making and Staining
  • 4.
    WEDGE BLOOD SMEAR Specimen: •Peripheral blood smear made from EDTA-anticoagulated blood. • Smears should be made within 1 hour of blood collection from EDTA specimens stored at room temperature to avoid distortion of cell morphology • Blood smears can also be made from finger prick blood directly onto slide. Equipment • Spreaders • Grease free washed glass slides • Blood capillary tube or micropipette 10 µL
  • 5.
    SMEAR PREPARATION 1. Placea drop of blood, about 2-3 mm in diameter approximately 1 cm from one end of slide. 2. Place the slide on a flat surface, and hold the other end between your left thumb and forefinger. 3. With your right hand, place the smooth clean edge of a second (spreader) slide on the specimen slide, just in front of the blood drop. 4. Hold the spreader slide at a 30°- 45 angle, and draw it back against the drop of blood 6. Allow the blood to spread almost to the edges of the slide. 7. Push the spread forward with one light, smooth moderate speed. A thin film of blood in the shape of tongue. 8. Label one edge with patient name, lab id and date. 9. The slides should be rapidly air dried by waving the slides or using an electrical fan.
  • 6.
    The shape ofblood film
  • 7.
    Characteristics of AGood Smear 1. Good smear is tongue shaped with a smooth tail. 2. Does not cover the entire area of the slide. 3. Has both thick and thin areas with gradual transition. 4. Does not contain any lines or holes.
  • 9.
    The thickness ofthe smear Is determined by: 1. The angle of the spreader slide. (the greater the angle, the thicker and shorter the smear). 2. Size of the blood drop. 3. Speed of spreading i. If the hematocrit is increased, the angle of the spreader slide should be decreased. ii. If the hematocrit is decreased, the angle of the spreader slide should be increased.
  • 10.
    Common causes ofa poor blood smear 1. Drop of blood too large or too small. 2. Spreader slide pushed across the slide in a jerky manner. 3. Failure to keep the entire edge of the spreader slide against the slide while making the smear. 4. Failure to keep the spreader slide at a 30° angle with the slide 5. Failure to push the spreader slide completely across the slide. 6. Irregular spread with ridges and long tail: Edge of spreader dirty or chipped; dusty slide 7. Holes in film: Slide contaminated with fat or grease and air bubbles. 8. Cellular degenerative changes: Delay in fixing, inadequate fixing time or methanol contaminated with water.
  • 11.
  • 12.
    Aim of bloodsmear • Blood films are usually examined to investigate hematological disorders and, occasionally, to look for parasites within the blood such as malaria, filaria. • Examination of thin blood films is important in the investigation and management of anemia, infections, and other conditions which produce changes in the appearance of blood cells and differential white cell count. • A blood film report can provide rapidly and at low cost, useful information about a patient’s condition.
  • 13.
  • 14.
    Brief History • Thebeginnings of modern-day blood staining can be traced back to Ehrlich, who in 1877, was the first scientist to divide the aniline dyes into acidic and basic categories. • Three years later , the malarial parasite was discovered, and a rigorous search for an improved blood stain ensued – In 1888, Chenzinsky discovered a stain composed of cationic dye methylene blue and anionic eosin. • Malachowski modified that stain with a markedly improved color range and depth • Regrettably, when he published his results in Berlin in 1891, he did not give the necessary details as to how his method might be reproduced. • 3 weeks later the young Russian protozoologist Romanowsky published similar findings in an article so celebrated that all future stains of analogous composition were named as Romanowsky-type stains [Romanowsky noted that a neglected, moldy methylene blue solution was more effective in producing the desired red plasmodial chromatin bodies than was a fresh solution]
  • 15.
  • 16.
  • 18.
    Romanowsky staining It includes: •May-Grunwald –Geimsa stain • Wright’s stain • Leishman’s stain • Jenner’s stain • Field’s stain.
  • 19.
    • Wright’s Stain •Components • Stock solution: • Wright’s stain 0.25gm to 0.5 gm • Absolute acetone free methanol 100 ml • Buffer (pH 6.8): • KH2PO4 6.63 g • Na2HPO4 2.56 g • Distilled water 1,000 ml • May–Grunwald Stain – 0.3 gm in 100 ml methanol • Jenner – 0.5 gm in 100 ml methanol ( no over night incubation) • Leishman’s Stain – 0.2 gm in 100 ml methanol • Giemsa – 1 gm in 100 ml methanol
  • 20.
    After drying the smear Afterdrying the smear is flooded with Wright stain solution for 3 to 5 minutes, Staining does not occur at this stage Buffer water of pH 6.8 is added on the smear already containing the stain solution. (No washing) Mixing of stain solution and buffer water is done by blowing in a figure of ‘8’ manner and kept for 10 to 12 minutes for the actual staining Thoroughly washed under slow running tap water. Air drying and examined under light microscope using a temporary mounting media Wright staining followed in our Lab
  • 21.
    Fixation is done byimmersing in a jar of methanol for 5– 10 min Fixed smears are transferred to a staining jar containing May–Grunwald stain freshly diluted with an equal volume of buffered water and allowed to stain for about 15 min. Transferred to a jar containing Giemsa’s stain freshly diluted with 9 volumes of buffered water without washing After staining for 10–15 min, slides are transferred to a jar containing buffered water, pH 6.8 Rapid washing in 3 to 4 changes of water, and allow to stand undisturbed in water for a 2–5 minutes Air drying and examined under light microscope using a temporary mounting media May–Grunwald–Giemsa Stain
  • 22.
    Colour responses ofblood cells to Romanowsky staining • Cellular component • Nuclei • Nucleoli • Chromatin • Cytoplasm • Erythroblast • Erythrocyte • Reticulocyte Colour Purple Light blue Dark blue Dark pink Grey–blue
  • 23.
    Colour Blue Pink Grey–blue Pink Pink/orange Blue Blue Cytoplasm • Lymphocyte • Metamyelocyte •Monocyte • Myelocyte • Neutrophil • Promyelocyte • Basophil
  • 24.
    Granules • Promyelocyte(primary granules)Red or purple • Basophil • Eosinophil • Neutrophil • Toxic granules • Platelet Purple black Red–orange Purple Dark blue Purple
  • 25.
    Other inclusions • Auerbody • Cabot ring • Howell-Jolly body • Döhle body Purple Purple Purple Light blue
  • 26.
    Factors influence smearstaining method • Blood smear may be under or over stained based on the following • Concentration of the stain used – Low concentration: pale coloured cells (under staining) – High concentration: dark stained smear (over stained) • Time of exposure the stain and the buffer – Too long: overstaining, – Too short: understaining
  • 27.
    Factors giving riseto faulty staining • Appearances ❖Too blue Causes Eosin concentration too low Incorrect preparation of stock stock stain exposed to bright daylight Batch of stain solution overused • Impure dyes • Staining time too short • Staining solution too acid • Smear too thick • Inadequate time in buffer solution
  • 28.
    Too pink Incorrectproportion of azure B-eosin Y • Impure dyes • Buffer pH too low • Excessive washing in buffer solution
  • 29.
    • Pale staining• Old staining solution • Overused staining solution • Incorrect preparation of stock • Impure dyes, especially azure A and/or C • High ambient temperature
  • 30.
    •Neutrophil granules not stained •Neutrophilgranules Dark Blue/black (pseudo-toxic) Insufficient azure B Excess azure B • Other stain anomalies Various contaminating dyes and metal salts
  • 31.
    • Stain deposit onfilm Stain solution left in uncovered jar Stain solution not filtered Inadequate fixation or prolonged storage before fixation • Blood collected into heparin as anticoagulant • Blue background
  • 32.
    Precautions • PBS shouldbe fixed as soon as possible after drying; background of dried plasma may stain pale blue. • Smear should not come in contact with water before fixation is complete. • Methanol must be stored in a bottle with a tightly fitting stopper and not left exposed to the atmosphere, especially in humid climates.
  • 33.
  • 34.
    • Patient identificationshould be checked and confirmed and the microscope slide matched with the corresponding CBC report. • The film should be examined macroscopically to confirm adequate spreading and to look for any unusual spreading or staining characteristics.
  • 35.
    • PBS shouldbe compared with the CBC report and a judgement made as to whether the WBC, hemoglobin concentration (Hb), MCV and platelet count are consistent with the smear. (i) a poorly mixed or partly clotted or hemolyzed specimen; (ii) a specimen that is too small so that the instrument has aspirated an inadequate volume; (iii) the blood film and CBC being derived from different blood specimens.
  • 36.
    • On placinga pbs under the microscope, the first decision to be made is whether or not it is suitable for further examination. Spreading, fixation and staining must be satisfactory and there should be no artefactual changes produced by excess EDTA or prolonged storage, e.g., spherocytosis, crenation or echinocytic changes in red cells, degeneration of neutrophils and lobulation of some lymphocyte nuclei • RBCs are just touching but not overlapping. • WBCs should be distributed regularly without undue concentration along the edges or in the tail (can be seen in a very thin smear)
  • 37.
    Evaluation of PBS•1. RBC • • • • • Size Shape Color Arrangement Inclusions • 2. WBC • Total counts • Differential counts • Abnormal WBC • 3. Platelets • Counts • Abnormality •4. Parasites
  • 38.
    Red cell Morphology •Terms used to describe a normal red cell morphology • normocytic, which means that the cells are of normal size • normochromic, which means that the cells have the normal concentration of hemoglobin (i.e., when central pallor occupies ≤ one‐third of the red cell diameter portion)
  • 39.
    • Micro andMacrocytic red cells
  • 40.
    • Anisocytosis • Anisocytosisis an increase in the variability of erythrocyte size beyond that which is observed in a normal healthy subject.
  • 41.
    • Dimorphic picture •Indicates the presence of two distinct populations of red cells. • Often applied when there is one population of hypochromic, microcytic cells and another population of normochromic cells, either normocytic or macrocytic.
  • 42.
    Chromasia 1. Hypochromia ➢ Whencentral pallor is more than 1/3 of the red cell diameter ➢ Usually associated with microcytosis (question – 1. Name 2 conditions where this association is not seen? (thal trait , microspherocytosis, liver disease) 2. What are leptocytes ?) 2. Hyperchromia ➢ The term ‘hyperchromia’ is rarely used in describing smears. ➢ Deep staining of the red cells with a lack of central pallor ➢ May be seen in two circumstances: first, in the presence of macrocytes and second, when cells are abnormally rounded
  • 43.
    Leptocytes • Thin redcells with large unstained central area. • Seen in – Severe iron deficiency anemia – Thaleasaemia
  • 44.
    3. Anisochromasia • Anisochromasiadescribes an increased variability in the degree of staining or haemoglobinisation of the red cell • In practice, it usually means that there is a spectrum of staining from hypochromic to normochromic. • Indicates a changing situation, such as iron deficiency developing or responding to treatment or anaemia of chronic disease developing or regressing.
  • 45.
    4. Polychromasia • Polychromasiaor polychromatophilia describes red cells that are pinkish-blue as a consequence of uptake both of eosin, by hemoglobin, and of basic dyes, by residual nucleic acids. • considerably larger than mature erythrocytes and, as a consequence of a reduced hemoglobin concentration, are less dense • have an irregular, multilobate surface
  • 46.
    • Q. Whatis the normal percentage of polychromatophils in PBS?
  • 47.
    • Variation ofshape/Poikilocytosis • Elliptocytes • Spherocytes • Target cells • Spiculated cells ➢ Keratocytes ➢ Schistocytes ➢ Acanthocytes ➢ Echinocytes
  • 48.
    Elliptocytes/ ovalocytes • Bothare oval in shape. • A cell with a long axis more than twice its short axis should be designated an elliptocyte • while a cell with the long axis less than twice its short axis is designated an ovalocyte
  • 49.
    Spherocytes • Nearly spherical •Diameter is smaller than normal • Lack central pale area or have a smaller , eccentric, pale area • Seen in – hereditary spherocytosis – Some cases of autoimmune hemolytic anemia – direct physical or chemical injury
  • 50.
    Target cells • Targetcells have an area of increased staining, which appears in the middle of the area of central pallor • Formed as a consequence of a redundant membrane in relation to the volume of the cytoplasm. • They may also be thinner than normal cells. • In vivo they are bell-shaped as demonstrated on scanning electron microscopy. • Flatten on spreading to form the characteristic target cell seen on light microscopy
  • 51.
    Q. What isthe fancy name for Target cells ?
  • 52.
    Echinocytes • Also calledcrenated cells • Erythrocytes that have lost their disc shape and are covered with 10–30 short blunt spicules of fairly regular form • Commonly occur as an artifact during preparation of film Hyperosmolarity • Discocyte–echinocyte transformation • Overnight stored blood at 20 C before films are made. • Premature infant after exchange transfusion • water contaminating the Wright’s stain (or absolute methanol)
  • 53.
    • Q –What is the usual mechanism of echinocyte formation in an otherwise normal blood sample?
  • 54.
    • Lysolecithin formationin plasma • Depletion of ATP
  • 55.
    Acanthocytes • Acanthocytes arecells of approximately spherical shape bearing between 2 to 20 spicules that are of unequal length and distributed irregularly over the red cell surface. • Probably results from a preferential expansion of the outer leaflet of the lipid bilayer. • Seen in Abnormal phospholipid metabolism • Abetalipoproteinemia • Inherited abnormalities of red cell membrane protein • Splenectomy
  • 56.
    Keratocytes • Have pairsof spicules; usually single pair. • Sometimes termed as Bite cell or helmet cell • Seen in – Mechanical damage – Removal of Heinz body by pitting action of spleen.
  • 57.
    Schistocytes • These arefragmaented erythrocytes. • According to ICSH these are red cell fragments with sharp angles and straight borders, small crescents, helmet cells, keratocytes and microspherocytes • Quantification is per 1000 erythrocytes, with more than 1% schistocytes being regarded as significant
  • 58.
    Stomatocytes • Red cellswith central biconcave area appears slit like in dried film. • Wet film it appears as cup- shaped. • Seen in – Artifact – south-east Asian ovalocytosis – liver disease, – alcoholism, – myelodysplastic syndromes.
  • 59.
    Sickle cell • Cellsare sickle (boat shape) or crescent shape • Present in film of patient with homozygosity for Hb S. • Usually absent in neonates and rare in patients with high Hb F percentage
  • 60.
    Teardropcells • One sideof cells is tapered and other is blunt. • Usually found when there is marrow failure or fibrosis
  • 62.
    Red blood cellinclusions Name of Inclusion • Howell-Jolly body • Basophilic stippling • Pappenheimer body • Heinz body(supravital only) • Crystals • Cabot rings • Nucleus • Content • DNA • RNA • Iron • Denatured hemoglobin • Hemoglobin-C • Mitotic spindle remnants • DNA
  • 63.
    Basophilic Stippling • Presenceof irregular basophilic granules with in Rbc which are variable in size . • Stain deep blue with Wright’s stain • Fine stippling seen with – Increased polychromatophilia – Increased production of red cells. • Coarse stippling – Lead and heavy metal poisoning – Disturbed erythropoiesis • Megaloblastic anemia • Thalassaemia • infection • liver disease – Unstable Hb – Pyrimidine-5’-nucleotidase def.
  • 64.
    Howell-Jolly Bodies • Smoothsingle large round inclusions which are remnant of nuclear chromatin. • Seen in • Single – – Megaloblastic anemia – Hemolytic anemia – Postsplenectomy • MULTIPLE – – Megaloblastic anemia – Abnormal erythropoiesis • Howell-Jolly Bodies
  • 65.
    Pappenheimer Bodies • Theseare small single or multiple peripherally sited angular basophilic (almost black) erythrocyte inclusions. • Smaller than Howell–Jolly bodies. • composed of haemosiderin. • Their nature can be confirmed by Perls’ stain. • Seen in – Sideroblastic erythropoiesis – Hypospenism – Myelodysplastic syndrome – Hemolytic anemia
  • 66.
    Heinz bodies • Seenon supravital stains • Not seen on Romanowsky stain. • Purple, blue, large, single or multiple inclusions attached to the inner surface of the red blood cell. • Represent precipitated normal or unstable hemoglobins. • seen – Postsplenectomy • Oxidative stress – Glucose-6-phosphate dehydrogenase deficiency, – Glutathione synthetase deficiency – Drugs – Toxins – Unstable hemoglobins
  • 67.
    Cabot Rings • Theseare Ring shaped or figure of eight or loop shaped. • Red or Reddish purple with Wright’s stain and have no internal structure • Observed rarely in – Pernicious anemia, – Lead poisoning,
  • 68.
    Malarial stippling • Finegranules of plasmodium vivax • On wright stain these are fine , purplish red • Red cells are larger than normal
  • 69.
    Rouleaux Formation • Alignmentof red cells one upon another so that they resemble stacks of coins. • Occurs inParaproteinemia ( monoclonal gammopathy) • Elevated plasma fibrinogen or globulin level
  • 70.
    Agglutination • It ismore irregular and round clumping than linear rouleaux • Seen with cold agglutinin • Anti RBC antibody • Autoimmune hemolytic anemia • Macroglobulinemia
  • 71.
    • Discrepancies inRed cell parameters – Falsely high RBC – a) Numerous large platelets b) Hyperlipidaemia c) Cryoglobulinemia/ Cryofibrinogenemia Falsely Low RBC – a) Cold agglutinins (Rarely warm autoantibodies) b) EDTA‐dependent pan- agglutination c) In vitro red cell lysis due to mishandling of Extreme microcytosis or fragmentation Falsely high MCV – a) Storage of blood at room temperature b) Cold agglutinins and EDTA‐ dependent pan-agglutinins c) very high WBC count d) Hyperosmolar states (e.g. hypernatraemia, ) e) Excess K2EDTA Falsely Low MCV – a) Increase in ambient temperature b) Hypo‐osmolar states (e.g. hyponatraemia c) Repeated mixing of sample leading to increased oxygenation Falsely high RBC a) Poorly mixed specimen b) High WBC c) Hyperlipidaemia, [endogenous or due to parenteral nutrition] d) hypergammaglobuline mia
  • 72.
  • 73.
    ▪ Before evaluatingleucocyte following must be seen- Film is well made Distribution of cells is uniform Staining is satisfactory ▪ While scanning estimate the total leucocyte count ▪ Differential count is done at oil immersion
  • 74.
    • Ten microscopicfields are examined in a vertical direction from bottom to top or top to bottom • Slide is horizontally moved to the next field • Ten microscopic fields are counted verticallyinoppositetothe previousdirection. • Procedure is repeated until 100 WBCS have been counted (zig zag motion) Scanning technique for WBC differential count and morphologic evaluation
  • 75.
    Manual differential counts •These counts are done in the same area as WBC and platelet estimates with the red cells barely touching. • Count 100 WBCs under 40x/100x including all cell lines from immature to mature. ✓Reporting results • Approximate absolute number of cells/µl = % of cell type in differential x white cell count
  • 76.
    •If 10 ormore nucleated RBC's (NRBC) are seen, correct the White Count using this formula: Corrected WBC Count = WBC x 100/( NRBC + 100) Example : If WBC = 5000 and 10 NRBCs have been counted Then we have actually counted 110 cells among which 100 cells are WBCs. That means in 1 cell there will 100/110 WBC. The corrected white count is (100/110) x 5000 = 4545.50
  • 77.
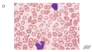
    Leukocytes Normally Presentin Blood Neutrophils ( polymorphonuclear leucocytes) Band form Eosinophils Basophils Lymphocytes Monocytes
  • 78.
    POLYMORPHONUCLEAR NEUTROPHILS • 40to 80 percent of total WBC count(2.0–7.0 ×109/l ) • Diameter - 13 µm • segmented nucleus and pink/orange cytoplasm with fine granulation(0.2-0.3µm) stain tan to pink with Wright’s • Lobes -2-5 • small percent has four lobes and occasionally five lobes.
  • 79.
    Band forms • neutrophilshas either a strand of nuclear material thicker than a filament connecting the lobes, or a U- shaped nucleus of uniform thickness. • Up to 8% of circulating neutrophils are unsegmented or partly segmented (‘band’ forms)
  • 80.
    • Left-shift: non- segmentedneutrophil > 5% – Increased bands Means acute infection, usually bacterial
  • 81.
    Myeloblast (0%) Promyelocyte (0%) Myelocyte(<0.5%) Metamyelocyte (<1%) Band form (5 to 8%) Bilobed neutrophils (30-35%) Trilobed neutrophils (40-50%) Tetra lobed neutrophils (15-20%) Penta lobed (<3%) Hexalobed (0%) Left Shift Right Shift
  • 82.
    Granules • Toxic granulation- increasein staining density and number of granules • Seen with Bacterial infections and other inflammation • Administration of G-CSF • Anaplastic anemia
  • 83.
    • Hypogranular and agranularneutophils poorly stained • seen in Myelodysplastic syndrome
  • 84.
    Alder–Reilly anomaly • Granulesare large, – discrete, – stain deep red – may obscure the nucleus – Neutrophil function is Normal
  • 85.
    Chédiak-Higashi Syndrome • Granulesare – also seen in other leukocytes like lymphocytes – Giant – Scanty azurophilic – functional defect occur
  • 86.
    Dohle Bodies • Small,round or oval, pale blue-grey structure • Found at periphery of neutrophil. • Contains Ribosomes and Endoplasmic reticulum • Seen in – Bacterial infection – inflammation – administration of G-CSF – during pregnancy
  • 87.
    May–Hegglin anomaly • inclusionsoccur in all types of leucocytes except lymphocytes. • contain small basophilic cytoplasmic granules
  • 88.
    Vacuoles in neutrophils •In Fresh blood smear • vacuoles seen in – severe sepsis – as an artifact with prolonged standing
  • 89.
    Nuclei • Hypersegmentated neutrophil • def.-presenceof neutrophils with six or more lobes or the presence of more than 3% of neutrophils with at least five lobes. • seen in Megaloblastic anemia – uraemia – iron deficiency. – Drugs-cytotoxic treatment with Methotrexate – hydroxycarbamide
  • 90.
    Pelger–Huët Cells • Pelger–Huëtanomaly • Benign inherited condition. • Neutrophil nuclei fail to segment properly. • Majority of circulating neutrophils have only two discrete equal-sized lobes connected by a thin chromatin bridge.
  • 91.
    Pseudo-Pelger cells • Pseudo-Pelgercells or the acquired Pelger– Huët anomaly • Acquired condition • Morphologically similar to Pelger–Huët anomaly • seen in Myelodysplastic syndromes, • Acute myeloid leukaemia with dysplastic maturation, • Occasionally in chronic myelogenous leukaemia
  • 92.
    Pyknotic Neutrophils (Apoptosis) •Small numbers of dead or dying cells may normally be found in the blood • seen in infections – invitro after standing for 12-18 hrs – Nuclei-round dense, featureless – Cytoplasm-dark pink
  • 93.
  • 94.
    EOSINOPHILS • Normally 1-6%(0.02–0.5 × 109/l) • Size- 12–17 µm • Nucleus- Bilobed (spectacle shaped) • Cytoplasm- Pale blue • Granules - Coarse spherical gold/orange
  • 95.
    • Eosinopenia- seenwith prolonged steroid administration. • Eosinophilia- asthma Allergic conditions • severe eosinophilia- - parasitic infection – reactive eosinophilia – Eosinophilic leukaemia – Idiopathic hypereosinophilic syndrome – T-cell lymphoma, B-cell lymphoma and acute lymphoblastic leukaemia.
  • 96.
    BASOPHILS• Rarest <1% •Nucleus segments fold up on each other resulting compact irregular dense nucleus(closed lotus flower like) • Granules-large, variable size dark blue or purple often obscure the nucleus • Granules are rich in histamine, serotonin and heparin • Increase in myeloproliferative disorder- CML
  • 97.
    MONOCYTES • 2-10% oftotal wbc count • Size- largest circulating leucocyte, 15–18µm in diameter • Cytoplasm- grey blue, may be vacuolated • Nucleus- large , curved , horse shoe shape/kidney/ fetal shaped • No segmentation occur • Chromatin- fine evenly distributed • Increase in chronic infections and inflammatory conditions such as – TuberculosisandCrohn’sdisease, – Chronic myeloid leukaemias – Acute leukaemias with a monocytic component – Infectious mononucleosis
  • 98.
    LYMPHOCYTES • 20-40% oftotal wbc count • two types 1. Small lymphocyte(6-10µm) 2. Large lymphocyte(12-15µm) • Nucleus-single, sharply defined, stain dark blue on Wright’s stain • Cytoplasm- Pale blue • Large lymphocytes less densely stain nuclei & abundant cytoplasm • Few round purple(azure) granules are present
  • 99.
    Turk cells • Türk’cell (immunoblasts)- Transformed lymphocyte seen in bacterial and viral infection • Size 10-15 µm • Nucleus- Round, • Large nucleolus, and abundant, deeply basophilic cytoplasm
  • 100.
    Reactive lymphocytes • Haveslightly larger nuclei with more open chromatin • Abundant cytoplasm that may be irregular. • Seen in -infectious mononucleosis – viral infections
  • 101.
    What are Downeycells Type I: Small cells with minimum cytoplasm, indented nucleus/irregular nuclear membrane, and condensed chromatin. ▪Type II: Larger cells with abundant cytoplasm; the lymphocyte cytoplasm seems to hug the red cells. Type II is the most common type of Downey cell. ▪Type III: Cells with large moderate basophilic cytoplasm and nucleus with coarse chromatin. Nucleoli are apparent
  • 102.
  • 104.
    Leucoerythroblastic blood films •A blood film is referred to as leucoerythroblastic if it contains NRBC and granulocyte precursors.
  • 105.
    • Discrepancies inWBC parameters – Falsely high TLC– a) Presence of NRBCs b) Liver disease c) Cold agglutinins d) Numerous giant platelets or megakaryocyte fragments e) Platelet aggregates f) Cryoglobulinemia/ Cryofibrinogenemia g) Malarial parasites h) Systemic mycoses i) abnormal haemoglobins (in some counters) Falsely Low RBC – a) Cell lysis caused when blood is more than 3 days old b) Storage at room temperature for 24 hours or more c) Storage at 4°C for more than 24 hours (Horiba) d) Leucocyte or leucocyte and platelet aggregation due to an antibody or to alteration of the cell membrane or to the presence of neoplastic cells e) In vitro red cell lysis due to mishandling of Extreme microcytosis or fragmentation
  • 106.
    Platelates • Size -1-3µm •Normal count - 280 ±130×109/µl • Non nucleated cells derived from cytoplasmic fragments of Megakaryocytes • Has purple red granules. • Liliac color
  • 108.
    Thrombocytopenia • Decreased production –Aplastic anemia – Acute leukemia – Viral infections *Parvovirus *CMV −Amegakaryocytic thrombocytopenia (AMT) • Increased destruction – Immune thrombocytopenia – Idiopathic thrombocytopenic purpura (ITP) – Neonatal alloimmune thrombocytopenia (NAITP) – Disseminated intravascular coagulation (DIC) – Hypersplenism • Pseudothrombocytopenia- due to clumpping of pltelates in EDTA bulb
  • 109.
    Thrombocytosis • Reactive thrombocytosis ✓Postinfection ✓Inflammation ✓Juvenile rheumatoid arthritis ✓Collagen vascular disease • Essential thrombocythemia
  • 110.
    Platelet morphology: Giantplatelets • Platelates seems to be size of rbcs. • Seen in – May –Hegglin anomly – Bernard Soulier syndrome – Alport syndrome – Storage pool syndrome
  • 111.
  • 112.
    q. How toto manual platelet counting?
  • 113.
    • 10 oilimmersion fields counting • Average • Multiply by 15000.
  • 114.
    • Discrepancies inPlatelet parameters – Falsely Low platelet count– a) Partial clotting of specimen b) Activation of platelets during venepuncture with consequent aggregation c) Activation of platelets during cardiopulmonary bypass d) EDTA‐induced platelet aggregation (more common in viral infections, particularly hepatitis A, CMV and inluenza A) e) EDTA‐induced platelet degranulation and swelling f) Lipiodol‐induced platelet clumping following chemoembolisation g) Platelet satellitism h) Platelet phagocytosis by neutrophils and monocytes i) Storage of blood at 4°C for more than 24 hours j) Giant platelets falling above upper threshold for platelet count k) Heparin addition to blood sample in patient with antibodies to heparin‐platelet factor 4 Falsely High platelet count – a) Microcytic red cells or red cell fragments failing below upper threshold for the platelet count b) Presence of Microspherocytes (in hereditary spherocytosis, burns) c) Inadvertent heating of blood sample d) White cell fragments counted as platelets (fragments of leukaemic blast cells, hairy cells or lymphoma cells) e) Haemoglobin H disease f) Hypertriglyceridaemia or hyperlipidaemia
  • 115.
    changes on prolongedstorage of sample • EFFECT ON COUNT- • Less marked in blood in ACD, CPD or Alsever’s solution than in EDTA. • At room temperature blood is stable up to 8 h. • RBC – Swell up the PCV and MCV increases – Osmotic fragility increases – Erythrocyte sedimentation rate decreases – At 4ͦ C up to 24 h – Reticulocyte count- Unchanged upto 24 h at 4 C – Hemoglobin Unchanged upto 2-3 days
  • 116.
    Disadvantages of thePeripheral Blood Smear • Experience is required to make technically adequate smears. • Non-uniform distribution of white blood cells • Larger leukocytes concentrated near edges and lymphocytes scattered throughout. • Non-uniform distribution of RBCs – Small crowded red blood cells at the thick edge – Large flat red blood cells without central pallor at the feathered edge
  • 117.
    EXAMINATION OF BLOODFILMS FOR PARASITES • thick film- when parasites are scanty • thin film – identification of species • STAINING OF FILM – by Leishman’s stain at pH 7.2
  • 118.
    Plasmodium falciparum Erythrocytes throughout thisseries are not enlarged or distorted. • Early trophozoites • Accole form • Crescent (‘banana- shaped’) gametocyte
  • 119.
  • 120.
    Schizonts are commonlyseen in P. vivax infection and appear as large bodies containing 12 to 24 nuclei and a loose pigmented body. This photograph shows an early schizont of P. vivax on the left and mature schizonts
  • 121.
    Ealy trophozoit inthe form of thick ring with large chromatin dot
  • 122.
  • 123.
    African trypanosomiasis (Trypanosoma bruceigambiense) American trypanosomiasis ( T. cruzi);
  • 124.
  • 125.