Blood smear preparation
and staining
Aim of blood smear
& Value oI‘ blood lilins:
›8 Examination of thin blood films is important
in the investigation and management of
anaemia, infections, and other conditions which
produce changes in the appearance of blood
cells and differential white cell count.
›# A blood film report can provide rapidly and at
low cost, useful information about a
patient's condition.
Making blood films
G Three basic steps to make blood
i"ilm:
1. Preparation of blood smear.
2. Fixation of blood smear.
3. Staining of blood smear.
I. PREPARATION OF BLOOD SMEAR
M Specimen:
EDTA anticoagulated blood is preferred.
Blood smears can also be made from Pinger
stick blood directly onto slide.
• Reagents, equipment. and supplies:
(a) Spreaders
(b) Clean slides
Making blood smear
8?, Three methods may be used to make
blood smears:
1. The cover glass smear.
2. The wedge smear .
3. The spun smear.
• The spun smear requires an
automatic slide spinner. For the
purpose of this lab exercise, we will use
the wedge smear.
'
$
WEDGE BLOOD SMEAR
é: Procedure:
1. Fill a capillary tube three-quarter full with the anticoagulated
specimen or a wooden stick.
2.Place a drop of blood, about 2 mm in diameter approximately
an inch from the frosted area of the slide.
3.Place the slide on a flat surface, and hold the narrow side of the
non frosted edge between your left thumb and forefinger.
4.With your right hand, place the smooth clean edge of a second
(spreader) slide on the specimen slide, just in front of the blood
drop.
5.Hold the spreader slide at a 30° angle, and draw it back against
the drop of blood.
“ .
›
6. Allow the blood to spread almost to the edges of the
slide.
7.Push the spread forward with one light, smooth, and fluid
motion. A thin film of blood in the shape of a bullet with a
feathered edge will remain on the slide.
8. Label the frosted edge with patient name, ID# and
date.
9.Allow the blood film to air-dry completely before
staining. (Do not blow to dry. The moisture from your
breath will cause RBC artifact.)
STEPS FOR BLOOD FILM
tai
l
bod
y
hea
d
Procedure notes
I. CHARACTERISTICS OF A GOOD
SMEAR:
1. A good blood film preparation
wilt be thick at the drop end and
thin at the opposite end.
Note: As soon as the drop of blood is
placed on the glass slide, the smear
should be made without delay. Any delay
results in anabnormal distribution of the
white blood cells, with many of the large
white cells accumulating at the thin edge
of the smear.
,
CHARACTERISTICS OF A GOOD
SMEAR:
2. The blood smear should
occupy the central portion of the
slide.
3.The blood smear should not touch
the edges. except for point of
application.
4. Should be margin free.
n. The thickness of the spread
The thickness of the spread when pulling
the smear is determined by:
1. The angle of the spreader slide. (the
greater the angle, thethicker and shorter
the smear).
|
.
2. Size of the blood drop.
3. Speed of spreading.
The thickness of the spread
,
Notes:
1.If the hematocrit is increased, the
angle of the spreader slide should
be decreased.
2.If the hematocrit is decreased, the
angle of the spreader slide should be
› increased.
high HCT
low HCT
small angle
large angle
Common causes of a poor blood smea
a. Drop of blood too large or too small.
b. Spreader slide pushed across the slide
in a jerky manner.
g
c. Failure to keep the entire edge of the
spreader slide against the slide while
making the smear.
d. Failure to keep the spreader slide at a
300
angle with the slide.
Common causes of a poor blood smear
e. Failure to push the spreader
slide completely across the slide.
f. Irregular spread with ridges
and long tail: Edge of
spreader dirty or chipped,
dusty slide.
Common causes of a poor blood smear
g. Holes in film:
.
Slide contaminated with fat or grease and air
•
,
bubbles.
h. Cellular degenerative changes:
Delay in Cixing, inadequate fixing time or
methanol contaminated with water.
A: Blood film with jagged tail made
from a
spreader with achipped end.
B: Film which is too thick
C: Film which is too long, too wide,
uneven thickness and made on a greasy
slide.
Examples of
unacceptable
smears
Examples of unacceptable
smears
Notes:
1. Although this is the easiest and most popular methods
for producing a blood smear, it does not produce a quality
smear.
The WBCs are unevenly distributed and RBC distortion i
seen at the edges
Smaller WBCs such as lymphocytes tend to reside in the
middle of the feathered edge.
2. Large cells such as monocytes, immature cells and
abnormal cells can be found in the outer limits of this area
3. Spun smears produce the most uniform distribution
of blood cells.
Biologic causes of a poor smear
,q
a. Cold agglutinin - RBCs will clump
together.
Warm the blood at 37o
C for 5 minutes,
and then remake the smear.
b. Lipeiiiia - holes will appear in the smear.
There is nothing you can do to correct this. ,
c. Roulearix - RBC's will form into stacks
resembling coins.
There is nothing you can do to correct this.
SLIDE FIXATION” &
STAINING
II. Fixing the films
&
1 To preserve the morphology of the
cells, films must be fixed as soon as
possible after they have dried.
ér It is important to prevent contact
with water before fixation is complete.
£. Methyl alcohol (methanol) is the
choice,
although ethyl alcohol (”absolute
alcohol") can be used. ,
G Methylated spirit (959< ethanol) must
not be used as it contains water.
II. Fixing the films
&To fix the films, place them in a
covered staining jar or tray
containing the alcohol for 2-3
minutes. In humid climates it
might be necessary to replace
the methanol 2-3 times per
day, the old portions can be
used for storing clean slides.
$
'
Staining the
ñ: Romanowsky staining:
Romanowsky stains are universally employed for
staining blood films and are generally very
satisfactory.
fi: There are a number of different combinations
of
›
these dyes, which vary, in their
staining
characteristics.
1. May-Grunwald-Giemsa is a good method
for routine work.
2. Giemsa stain is thought to produce more
delicate
staining characteristics.
Romanowsky
staining:
3. Wright's stain is a simpler method.
4. Leishman's is also a simple
method, which is especially suitable
when a stained blood film is required
urgently or the routine stain is not
available (e.g. at night).
5. Field's stain is a rapid stain
used primarily on thin films for
malarial parasites.
'
$
Princigle
& The main components of a
Romanowsky stain are:
&. A cationic or basic dye (methylene blue
or its oxidation products such as azure
B), which binds to anionic sites and
gives a blue-grey color to nucleic acids
(DNA or
RNA), nucleoproteins,
basophils and weakly to
granules o
granules o
neutrophils
fl An anionic or acidic dye such as eosin
Y , or eosin B, which binds to
cationic sites on proteins and gives an
orange-red color to hemoglobin and p,
Eosinophilic
granules
Blue
nucleus
Basophilic
granules
Principle
éi Leishman's stain : a polychromatic stain
£1 Methanol : fixes cells to slide.
éi methylene blue stains RNA,DNA:
blue-grey color
h
1
. Eosin stains hemoglobin, eosin granules:
orange-red color
N. pH value of phosphate buffer is very
›,
important.
STAINING PROCEDURE
é1.Thin smear are air dried.
9I. Flood the smear with stain.
B: Stain for 1-5 min. Experience
will indicate the optimum
time.
é. Add an equal amount of buffer
solution and mix the stain by
blowing
an eddy in the fluid.
é: Leave the mixture on the slide
for 10-
15 min.
é1.Wash off by running water
directly to
"
”
Examination blood smear
When completely dry, esamine the smear
with the microscope as follows:
Low power (10x) scan.
Determine the overall staining quality of
the blood smear.
a. Stain should not be too dark or too pale.
b. There should be no stain precipitate
present on smear.
c.RBCs should be appropriate color of
reddish pink.
’
Examination blood
smear
d.Lymphocytes have dark purple nuclei
with varying shades of blue cytoplasm.
e. Neutrophils have dark purple nuclei
with
reddish, granular cytoplasm.
f.Monocytes have a lighter purple nucleus
with a gray-blue cytoplasm.
g.Eosinophils have bright
red/orange granules.
h. Basophils have dark purple nuclei
Examination blood smear
B
I
. Determine if there is a good
distribution of the cells on the smear.
a.Scan the edges and center of the slide to
be sure there are no clumps of
RBCs, WBCs or platelets.
b.Scan the edges for abnormal cells.
c.High power (40 x) scan
& Find an optimal area for the detailed
examination and enumerations of cells.
a. The RBCs should not quite touch each
other.
b. There should be no area containing
large amounts of broken cells or
Precipitated stain.
c. The RBCs should have a
graduated central pallor.
d. Nuclei and cytoplasm of WBCs should be
‹
the proper color.
e. Platelets should be clearly visible.
Notes on the staining procedure:
›a Whichever method is used, it
is
!
important to select dyes that are
not contaminated with other dyes
or metallic salts.
›s Staining time must be specific
for each lot of stains and so we
must follow the kit procedure.
ts Bone marrow time staining must be );,
increased ”
Staining characteristics of a correctly stained
normal film:
n Nuclei
» Erythrocytes
• Neutrophils
•
Lymphocytes
lymphocytes
• Monocytes
• Basophils
n C riiiiiiles
» Neutrophils
• Eosinophils
• Basophils
• Monocytes
Platelets
Purple
Deep pink
Orange-pink
Blue; some small
deep blue
Grey-blue
Blue
Fine purple
Red-orange
Purple-black
Fine reddish (azurophil)
Purple
Staining faults
BI.
T
oo
faint:
Staining time too short.
Excessive washing after
staining.
B Stain deposit:
Stain solution left inuncovered
jar. Stain solution not filtered.
Dirty slides.
PH of the phosphate buffer
The phosphate buffer controls the PH
of the stain. If the PH is too acid, those
cells or cell parts taking up an acid dye
stain will stain pinker and the acid
components that stain with the basic
dye show very pale staining.
If the stain —buffer mixture is alkaline,
the red blood cells will appear grayish
blue and the white cell nuclei will stain
very deeply purple.
Therefore, to stain all cells and cell
parts well, the PH of the phosphate
buffer is critical.
Continue......
'
1. The staining rack must be
exactly l o ‘ ainst
uneven se enin of $h sdea
2. Insuft"icient washing of the smears
when removing the stain and
buffer mixture may cause stain
precipitate on the dried smear.
3. Excessive rinsing of the
stained smear will cause the stain to
fade.
PERFORMING A MANUAL
DIFFERENTI&L
Noexw men•nRW
BLØØD
SMEAR
Neutrop
Eosl
Lymphosy ø
ț
Increases in any of the normal leukocyte types
or the presence of immature leukocytes or
erythrocytes in peripheral blood are important
diagnostically in a wide variety of inflammatory
disorders and leukemia.
Erythrocyte abnormalities are clinically
important in various anemia's.
R: Platelet size irregularities are
suggestive o particular thrombocyte disorders.
MANUAL DIFFERENTIAL
Principle
1
A stained smearis examined
in order to determine the
percentage of each type o
leukocyte present and assess the erythrocyte
and platelet morphology.
j
MANUAL DIFFERENTIAL
& Specimen:
›a Peripheral blood smear made from
EDTA-
anticoagulated blood.
›s Smears should be made within 1 hour
of 1
g
,
EDTA specimens
blood collection from
stored at room temperature to avoid
distortion of cell morphology.
›a Unstained smears can be stored
for indefinite periods in a dry environment,
but stained smears gradually fade unless
cover slipped.
MANUAL DIFFERENTIAL
é: Reagents, supplies and
equipment:
1.Manual cell counter designed
for differential counts
2.Microscope, immersion oil and
lens
paper
Procedure:
on the 10X
g: Focus the
microscope objective
(low power).
1. Scan the smear to check for
cell distribution, clumping, and
abnormal cells.
2. In scanning the
smear i
to note anything
mporta
nt
unusual
irregular, such as rouleaux or RBC
clumping.
•Observe one field and record the
number of WBC according to the
different type then turn to another field
in the snake-liked direction.
•Avoid repeat or miss some cells
OBSERVATIONS UNDERX4OX: WBC
ESTIMATES
G Using the X 40 high dry with no
oil.
P Choose a portion of the peripheral
smear where there is only slight
overlapping of the RBCs.
£
)
. Count 10 fields, take the total
number of white cells and divide by 10.
éi To do a WBC estimate by taking the
average number of white cells and
multiplying by 2000.
OBSERVATIONS UNDER x 100:
PLATELET ESTIMATES
1. Use the oil immersion lens
estimate the number of platelets per
Pield.
2. Look at 5-6 fields and take
an !
average.
!
3. Multiply the average by 20,000.
8
1
. Platelets per oil immersion field (OIF)
1) «8 platelets/OIF = decreased
MANUAL DIFFERENTIAL COUNTS
l
f
& These counts are done in the same
area as WBC and platelet estimates
with the red cells barely touching.
¥). This takes place under X 100 (oil) using |
› the zigzag method.
-hi Count 100 WBCs
f
l Reporting results
G Absolute number of cells/pl = 9o of cell
type in differential x white cell count.
OBSERVING AND RECORDING
NUCLEATED RED BLOOD
CELLS (NRBCS)
8?, If 10 or more nucleated RBC's
(NRBC) are seen, correct the
White Count using this formula:
Corrected WBC Count =
WBC x 100/( NRBC +
100)
Reference values vary depending
on age:
White blood
cells
Leukocytes are classified into two main groups;
granulocytes and nongranulocytes (also known
as agranulocytes).
1. The granulocytes, ( neutrophils, eosinophils,
and basophiles), have granules in their cell
cytoplasm.
Also have multilobed nucleus. As a result they
are also called polymorphonuclear leukocytes
or "polys"
The nuclei of neutrophils also appear
to be segmented, so
they may also be called " segmented
neutrophils or "segs".
2. The nongranuliicyte, (lymphocytes and
monocytes), do not have granules and have
nonlobular nuclei. They are sometimes referred
to as mononuclear leukocytes.
Leukocytosis
% Leukocytosis, a WBC above 10,000 is
usually due to an increase in one of the Live
types of white blood cells and is given the
name of the cell that shows the primary
increase.
q
1. Neutrophilic
leuhocytosis
2. Lymphocytic leukocytosis
3.Eosinophilic
IeuI‹ocytosis 4.Monocytic
leukocytosis 5.BasophiIic
leukocytosis
= neutrophilia
= lymphocytosis
= eosinophilia
=monocytosis
= basophilia
ta) Ensinnphil
Id) Small lymphocyte (e) Monocyte
(c) N eutroph il
1.Neutrophils
éi Neutrophils are so named because they
are not well stained by either eosin, a
red acidic stain, or by methylene blue, a
basic or alkaline stain
j
3
'
’
’
I
G Neutrophils are also known as "segs",
"PMNs" or "polys"
(polymorphonuclear).
éi They are the body's primary
defense against bacterial infection.
Neutrophils:
&Normally, most of the neutrophils
circulating in the bloodstream are in a
mature form, with the nucleus of the cell
being divided or segmented. Because of
the segmented appearance of the nucleus,
neutrophils are sometimes referred to as
"segs."
¥ The nucleus of less mature neutrophils is
not segmented, but has a band or rod-like
shape. Less mature neutrophils those
that have recently been released from the
bone marrow into the bloodstream - are
known as "bands" or "stabs".
!
n
Band
neutrophii
Segmented
neutrophile
Shift to left Increased bands mean acuti
infection, usually bacterial.
Shift to right Increased
hypersegmented neutrophile.
Increased neutrophils count (neutrophilia)
1. Acute bacterial infection.
2. Many inflammatory processes.
3. During physical stress.
4. With tissue necrosis.
5. Granulocytic leukemia.
Decreased neutrophil count (neutropenia)
6. Typhoid fever
7. Brucellosis
8.Viral diseases, including hepatitis, influenza,
rubella, and mumps.
9.A great infection can also deplete the bone marrow of
neutrophils.
10.Many drugs used to treat cancer prodxce bone
marrow depression.
BAND NEUTROPHIL
Cytoplasm : pink
Granules: primary
secondary
Nucleus: dark purple blue
dense chromatin
SEGMENTED NEUTROPHIL
Cytoplasm : pink
Granules: primary
secondary
Nucleus: dark purple blue
dense chromatin
2-5 lobes
SEGMENTED NEUTROPHIL
2. Eosinophils
& The most common reasons for an
increase in the eosinophil count are
Allergic reactions such as hay fever,
asthma, or drug hypersensitivity.
1.Parasitic infection
2.Eosinophilic
leukemia
Eosinophils
Cytoplasm : full of granules •
Granules: large refractile,
orange-red
1
Nucleus: blue
dense chromatin
2 lobes like a pair of glass
3 Basophils
ñ The purpose of basophils is not completely
understood.
›a Basophils are phagocytes and contain heparin,
histamines, and serotonin.
›a Tissue basophils are also called” mast cells.
la Basophile counts are used to analyze allergic
reactions.
An alteration in bone marrow function such as
leukemia or Hodgkin's disease may cause an
increase in basophils.
›a Corticosteroid drugs may cause the body's
small
BASOPHIL
Cytoplasm : pink
Granules: dark blue —
black obscure nucleus
Nucleus: blue
4.Lymphocytes
D
: Lymphocytes are the primary components
of the body's immune system. They are the
source of serum immunoglobulins and of
cellular immune response.
X Two types of lymphocytes:
1. B lymphocyte : Humoral
immunity
2. T lymphocyte : Cellular
immunity
¡
Lymphocytes:
Lymphocytes increase (lymphocytosis) in:
1.Many viral infections
2.Tuberculosis.
3.Typhoid fever
4.Lymphocytic leukemia.
A decreased lymphocyte (lymphopenia)
count of less than 500 places a patient
at very high risk of infection,
particularly
viral infections.
$
'
Lymphocytes:
Diameter: small 7-9
large 12-16
Cytoplasm: medium blue
Granules: small agranular
Largea few primary granules
Nucleus: dark blue Yound
dense chromatin
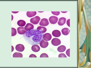
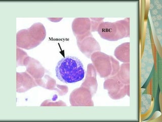
5. Monocytes
&
)
. Monocytes are the largest cells in
normal blood. They act as phagocytes
in some inflammatory diseases and are
the body's second line of defense
against infection.
Diseases that cause
a include:
monocytosi
s
•TubercuIosis
•BruceIlosis
•Malaria
•Rocky Mountain spotted
fever.
•Monocytic leukemia
•Chronic ulcerative colitis
Monocytes
Cytoplasm : grey blue
Granules: dust-like lilac
color granules
Nucleus: blue
large
irreg
ularl
y
shaped and
Notes:
1. A well-made and well-stained
smear is essential to the accuracy of the
differential count. The knowledge and ability
of the cell morphologist is critical to
high-quality results.
2. Before reporting significant
abnormalities such as blasts, malaria or
other significant finding on a patient's
differential, ask a more experienced tech
to review the smear for confirmation. In
clinical settings where a pathologist or
hematologist is present, the smear is set
aside for Pathologist Review.
g
3. If disrupted cells are present such as
smudge cells or basket cells, not them on the
report.
It may be necessary to make an albumin
smear to prevent the disruption of the cells.
RBC morphology and WBC morphology
must always be performed on the non-
albumin smear.
4. When the WBC is very
low (below 1,000/pL), it is difficult
to find enough WBCs
to perform a 100-
cell diGerential. In this situation,
a differential is
usually performed
by counting 50 cells. A notation on the
report must be made that only 50 white cells
5. When the WBC is very high (>50,000/pL), a
200-cell diG may be performed to increase
the accuracy of the diff.
6. Never hesitate to ask questions concerning
morphology or the identification of cells.
The diGerential is one of the most difficult
laboratory tests to learn. In fact, learning
about cells and their morphology is a process
that continues for as long as you perform
differentials.

STAINING PROCEDURE IN BLOOD PERIPHERAL12.pptx

  • 1.
  • 2.
    Aim of bloodsmear & Value oI‘ blood lilins: ›8 Examination of thin blood films is important in the investigation and management of anaemia, infections, and other conditions which produce changes in the appearance of blood cells and differential white cell count. ›# A blood film report can provide rapidly and at low cost, useful information about a patient's condition.
  • 3.
    Making blood films GThree basic steps to make blood i"ilm: 1. Preparation of blood smear. 2. Fixation of blood smear. 3. Staining of blood smear.
  • 4.
    I. PREPARATION OFBLOOD SMEAR M Specimen: EDTA anticoagulated blood is preferred. Blood smears can also be made from Pinger stick blood directly onto slide. • Reagents, equipment. and supplies: (a) Spreaders (b) Clean slides
  • 5.
    Making blood smear 8?,Three methods may be used to make blood smears: 1. The cover glass smear. 2. The wedge smear . 3. The spun smear. • The spun smear requires an automatic slide spinner. For the purpose of this lab exercise, we will use the wedge smear. ' $
  • 6.
    WEDGE BLOOD SMEAR é:Procedure: 1. Fill a capillary tube three-quarter full with the anticoagulated specimen or a wooden stick. 2.Place a drop of blood, about 2 mm in diameter approximately an inch from the frosted area of the slide. 3.Place the slide on a flat surface, and hold the narrow side of the non frosted edge between your left thumb and forefinger. 4.With your right hand, place the smooth clean edge of a second (spreader) slide on the specimen slide, just in front of the blood drop. 5.Hold the spreader slide at a 30° angle, and draw it back against the drop of blood. “ . ›
  • 7.
    6. Allow theblood to spread almost to the edges of the slide. 7.Push the spread forward with one light, smooth, and fluid motion. A thin film of blood in the shape of a bullet with a feathered edge will remain on the slide. 8. Label the frosted edge with patient name, ID# and date. 9.Allow the blood film to air-dry completely before staining. (Do not blow to dry. The moisture from your breath will cause RBC artifact.)
  • 8.
  • 10.
  • 13.
    Procedure notes I. CHARACTERISTICSOF A GOOD SMEAR: 1. A good blood film preparation wilt be thick at the drop end and thin at the opposite end. Note: As soon as the drop of blood is placed on the glass slide, the smear should be made without delay. Any delay results in anabnormal distribution of the white blood cells, with many of the large white cells accumulating at the thin edge of the smear. ,
  • 14.
    CHARACTERISTICS OF AGOOD SMEAR: 2. The blood smear should occupy the central portion of the slide. 3.The blood smear should not touch the edges. except for point of application. 4. Should be margin free.
  • 15.
    n. The thicknessof the spread The thickness of the spread when pulling the smear is determined by: 1. The angle of the spreader slide. (the greater the angle, thethicker and shorter the smear). | . 2. Size of the blood drop. 3. Speed of spreading.
  • 16.
    The thickness ofthe spread , Notes: 1.If the hematocrit is increased, the angle of the spreader slide should be decreased. 2.If the hematocrit is decreased, the angle of the spreader slide should be › increased.
  • 17.
    high HCT low HCT smallangle large angle
  • 18.
    Common causes ofa poor blood smea a. Drop of blood too large or too small. b. Spreader slide pushed across the slide in a jerky manner. g c. Failure to keep the entire edge of the spreader slide against the slide while making the smear. d. Failure to keep the spreader slide at a 300 angle with the slide.
  • 19.
    Common causes ofa poor blood smear e. Failure to push the spreader slide completely across the slide. f. Irregular spread with ridges and long tail: Edge of spreader dirty or chipped, dusty slide.
  • 20.
    Common causes ofa poor blood smear g. Holes in film: . Slide contaminated with fat or grease and air • , bubbles. h. Cellular degenerative changes: Delay in Cixing, inadequate fixing time or methanol contaminated with water.
  • 21.
    A: Blood filmwith jagged tail made from a spreader with achipped end. B: Film which is too thick C: Film which is too long, too wide, uneven thickness and made on a greasy slide.
  • 22.
  • 23.
  • 24.
    Notes: 1. Although thisis the easiest and most popular methods for producing a blood smear, it does not produce a quality smear. The WBCs are unevenly distributed and RBC distortion i seen at the edges Smaller WBCs such as lymphocytes tend to reside in the middle of the feathered edge. 2. Large cells such as monocytes, immature cells and abnormal cells can be found in the outer limits of this area 3. Spun smears produce the most uniform distribution of blood cells.
  • 25.
    Biologic causes ofa poor smear ,q a. Cold agglutinin - RBCs will clump together. Warm the blood at 37o C for 5 minutes, and then remake the smear. b. Lipeiiiia - holes will appear in the smear. There is nothing you can do to correct this. , c. Roulearix - RBC's will form into stacks resembling coins. There is nothing you can do to correct this.
  • 26.
  • 27.
    II. Fixing thefilms & 1 To preserve the morphology of the cells, films must be fixed as soon as possible after they have dried. ér It is important to prevent contact with water before fixation is complete. £. Methyl alcohol (methanol) is the choice, although ethyl alcohol (”absolute alcohol") can be used. , G Methylated spirit (959< ethanol) must not be used as it contains water.
  • 28.
    II. Fixing thefilms &To fix the films, place them in a covered staining jar or tray containing the alcohol for 2-3 minutes. In humid climates it might be necessary to replace the methanol 2-3 times per day, the old portions can be used for storing clean slides. $ '
  • 29.
    Staining the ñ: Romanowskystaining: Romanowsky stains are universally employed for staining blood films and are generally very satisfactory. fi: There are a number of different combinations of › these dyes, which vary, in their staining characteristics. 1. May-Grunwald-Giemsa is a good method for routine work. 2. Giemsa stain is thought to produce more delicate staining characteristics.
  • 30.
    Romanowsky staining: 3. Wright's stainis a simpler method. 4. Leishman's is also a simple method, which is especially suitable when a stained blood film is required urgently or the routine stain is not available (e.g. at night). 5. Field's stain is a rapid stain used primarily on thin films for malarial parasites. ' $
  • 31.
    Princigle & The maincomponents of a Romanowsky stain are: &. A cationic or basic dye (methylene blue or its oxidation products such as azure B), which binds to anionic sites and gives a blue-grey color to nucleic acids (DNA or RNA), nucleoproteins, basophils and weakly to granules o granules o neutrophils fl An anionic or acidic dye such as eosin Y , or eosin B, which binds to cationic sites on proteins and gives an orange-red color to hemoglobin and p,
  • 33.
  • 34.
    Principle éi Leishman's stain: a polychromatic stain £1 Methanol : fixes cells to slide. éi methylene blue stains RNA,DNA: blue-grey color h 1 . Eosin stains hemoglobin, eosin granules: orange-red color N. pH value of phosphate buffer is very ›, important.
  • 35.
    STAINING PROCEDURE é1.Thin smearare air dried. 9I. Flood the smear with stain. B: Stain for 1-5 min. Experience will indicate the optimum time. é. Add an equal amount of buffer solution and mix the stain by blowing an eddy in the fluid. é: Leave the mixture on the slide for 10- 15 min. é1.Wash off by running water directly to " ”
  • 36.
    Examination blood smear Whencompletely dry, esamine the smear with the microscope as follows: Low power (10x) scan. Determine the overall staining quality of the blood smear. a. Stain should not be too dark or too pale. b. There should be no stain precipitate present on smear. c.RBCs should be appropriate color of reddish pink. ’
  • 37.
    Examination blood smear d.Lymphocytes havedark purple nuclei with varying shades of blue cytoplasm. e. Neutrophils have dark purple nuclei with reddish, granular cytoplasm. f.Monocytes have a lighter purple nucleus with a gray-blue cytoplasm. g.Eosinophils have bright red/orange granules. h. Basophils have dark purple nuclei
  • 38.
    Examination blood smear B I .Determine if there is a good distribution of the cells on the smear. a.Scan the edges and center of the slide to be sure there are no clumps of RBCs, WBCs or platelets. b.Scan the edges for abnormal cells. c.High power (40 x) scan
  • 39.
    & Find anoptimal area for the detailed examination and enumerations of cells. a. The RBCs should not quite touch each other. b. There should be no area containing large amounts of broken cells or Precipitated stain. c. The RBCs should have a graduated central pallor. d. Nuclei and cytoplasm of WBCs should be ‹ the proper color. e. Platelets should be clearly visible.
  • 40.
    Notes on thestaining procedure: ›a Whichever method is used, it is ! important to select dyes that are not contaminated with other dyes or metallic salts. ›s Staining time must be specific for each lot of stains and so we must follow the kit procedure. ts Bone marrow time staining must be );, increased ”
  • 41.
    Staining characteristics ofa correctly stained normal film: n Nuclei » Erythrocytes • Neutrophils • Lymphocytes lymphocytes • Monocytes • Basophils n C riiiiiiles » Neutrophils • Eosinophils • Basophils • Monocytes Platelets Purple Deep pink Orange-pink Blue; some small deep blue Grey-blue Blue Fine purple Red-orange Purple-black Fine reddish (azurophil) Purple
  • 42.
    Staining faults BI. T oo faint: Staining timetoo short. Excessive washing after staining. B Stain deposit: Stain solution left inuncovered jar. Stain solution not filtered. Dirty slides.
  • 43.
    PH of thephosphate buffer The phosphate buffer controls the PH of the stain. If the PH is too acid, those cells or cell parts taking up an acid dye stain will stain pinker and the acid components that stain with the basic dye show very pale staining. If the stain —buffer mixture is alkaline, the red blood cells will appear grayish blue and the white cell nuclei will stain very deeply purple. Therefore, to stain all cells and cell parts well, the PH of the phosphate buffer is critical.
  • 45.
    Continue...... ' 1. The stainingrack must be exactly l o ‘ ainst uneven se enin of $h sdea 2. Insuft"icient washing of the smears when removing the stain and buffer mixture may cause stain precipitate on the dried smear. 3. Excessive rinsing of the stained smear will cause the stain to fade.
  • 46.
  • 47.
  • 48.
    Increases in anyof the normal leukocyte types or the presence of immature leukocytes or erythrocytes in peripheral blood are important diagnostically in a wide variety of inflammatory disorders and leukemia. Erythrocyte abnormalities are clinically important in various anemia's. R: Platelet size irregularities are suggestive o particular thrombocyte disorders. MANUAL DIFFERENTIAL Principle 1 A stained smearis examined in order to determine the percentage of each type o leukocyte present and assess the erythrocyte and platelet morphology. j
  • 49.
    MANUAL DIFFERENTIAL & Specimen: ›aPeripheral blood smear made from EDTA- anticoagulated blood. ›s Smears should be made within 1 hour of 1 g , EDTA specimens blood collection from stored at room temperature to avoid distortion of cell morphology. ›a Unstained smears can be stored for indefinite periods in a dry environment, but stained smears gradually fade unless cover slipped.
  • 50.
    MANUAL DIFFERENTIAL é: Reagents,supplies and equipment: 1.Manual cell counter designed for differential counts 2.Microscope, immersion oil and lens paper
  • 51.
    Procedure: on the 10X g:Focus the microscope objective (low power). 1. Scan the smear to check for cell distribution, clumping, and abnormal cells. 2. In scanning the smear i to note anything mporta nt unusual irregular, such as rouleaux or RBC clumping.
  • 52.
    •Observe one fieldand record the number of WBC according to the different type then turn to another field in the snake-liked direction. •Avoid repeat or miss some cells
  • 53.
    OBSERVATIONS UNDERX4OX: WBC ESTIMATES GUsing the X 40 high dry with no oil. P Choose a portion of the peripheral smear where there is only slight overlapping of the RBCs. £ ) . Count 10 fields, take the total number of white cells and divide by 10. éi To do a WBC estimate by taking the average number of white cells and multiplying by 2000.
  • 54.
    OBSERVATIONS UNDER x100: PLATELET ESTIMATES 1. Use the oil immersion lens estimate the number of platelets per Pield. 2. Look at 5-6 fields and take an ! average. ! 3. Multiply the average by 20,000. 8 1 . Platelets per oil immersion field (OIF) 1) «8 platelets/OIF = decreased
  • 56.
    MANUAL DIFFERENTIAL COUNTS l f &These counts are done in the same area as WBC and platelet estimates with the red cells barely touching. ¥). This takes place under X 100 (oil) using | › the zigzag method. -hi Count 100 WBCs f l Reporting results G Absolute number of cells/pl = 9o of cell type in differential x white cell count.
  • 57.
    OBSERVING AND RECORDING NUCLEATEDRED BLOOD CELLS (NRBCS) 8?, If 10 or more nucleated RBC's (NRBC) are seen, correct the White Count using this formula: Corrected WBC Count = WBC x 100/( NRBC + 100)
  • 58.
    Reference values varydepending on age:
  • 59.
    White blood cells Leukocytes areclassified into two main groups; granulocytes and nongranulocytes (also known as agranulocytes). 1. The granulocytes, ( neutrophils, eosinophils, and basophiles), have granules in their cell cytoplasm. Also have multilobed nucleus. As a result they are also called polymorphonuclear leukocytes or "polys" The nuclei of neutrophils also appear to be segmented, so they may also be called " segmented neutrophils or "segs". 2. The nongranuliicyte, (lymphocytes and monocytes), do not have granules and have nonlobular nuclei. They are sometimes referred to as mononuclear leukocytes.
  • 60.
    Leukocytosis % Leukocytosis, aWBC above 10,000 is usually due to an increase in one of the Live types of white blood cells and is given the name of the cell that shows the primary increase. q 1. Neutrophilic leuhocytosis 2. Lymphocytic leukocytosis 3.Eosinophilic IeuI‹ocytosis 4.Monocytic leukocytosis 5.BasophiIic leukocytosis = neutrophilia = lymphocytosis = eosinophilia =monocytosis = basophilia
  • 61.
    ta) Ensinnphil Id) Smalllymphocyte (e) Monocyte (c) N eutroph il
  • 62.
    1.Neutrophils éi Neutrophils areso named because they are not well stained by either eosin, a red acidic stain, or by methylene blue, a basic or alkaline stain j 3 ' ’ ’ I G Neutrophils are also known as "segs", "PMNs" or "polys" (polymorphonuclear). éi They are the body's primary defense against bacterial infection.
  • 63.
    Neutrophils: &Normally, most ofthe neutrophils circulating in the bloodstream are in a mature form, with the nucleus of the cell being divided or segmented. Because of the segmented appearance of the nucleus, neutrophils are sometimes referred to as "segs." ¥ The nucleus of less mature neutrophils is not segmented, but has a band or rod-like shape. Less mature neutrophils those that have recently been released from the bone marrow into the bloodstream - are known as "bands" or "stabs".
  • 64.
    ! n Band neutrophii Segmented neutrophile Shift to leftIncreased bands mean acuti infection, usually bacterial. Shift to right Increased hypersegmented neutrophile.
  • 65.
    Increased neutrophils count(neutrophilia) 1. Acute bacterial infection. 2. Many inflammatory processes. 3. During physical stress. 4. With tissue necrosis. 5. Granulocytic leukemia. Decreased neutrophil count (neutropenia) 6. Typhoid fever 7. Brucellosis 8.Viral diseases, including hepatitis, influenza, rubella, and mumps. 9.A great infection can also deplete the bone marrow of neutrophils. 10.Many drugs used to treat cancer prodxce bone marrow depression.
  • 66.
    BAND NEUTROPHIL Cytoplasm :pink Granules: primary secondary Nucleus: dark purple blue dense chromatin
  • 68.
    SEGMENTED NEUTROPHIL Cytoplasm :pink Granules: primary secondary Nucleus: dark purple blue dense chromatin 2-5 lobes
  • 69.
  • 70.
    2. Eosinophils & Themost common reasons for an increase in the eosinophil count are Allergic reactions such as hay fever, asthma, or drug hypersensitivity. 1.Parasitic infection 2.Eosinophilic leukemia
  • 71.
    Eosinophils Cytoplasm : fullof granules • Granules: large refractile, orange-red 1 Nucleus: blue dense chromatin 2 lobes like a pair of glass
  • 74.
    3 Basophils ñ Thepurpose of basophils is not completely understood. ›a Basophils are phagocytes and contain heparin, histamines, and serotonin. ›a Tissue basophils are also called” mast cells. la Basophile counts are used to analyze allergic reactions. An alteration in bone marrow function such as leukemia or Hodgkin's disease may cause an increase in basophils. ›a Corticosteroid drugs may cause the body's small
  • 75.
    BASOPHIL Cytoplasm : pink Granules:dark blue — black obscure nucleus Nucleus: blue
  • 77.
    4.Lymphocytes D : Lymphocytes arethe primary components of the body's immune system. They are the source of serum immunoglobulins and of cellular immune response. X Two types of lymphocytes: 1. B lymphocyte : Humoral immunity 2. T lymphocyte : Cellular immunity ¡
  • 78.
    Lymphocytes: Lymphocytes increase (lymphocytosis)in: 1.Many viral infections 2.Tuberculosis. 3.Typhoid fever 4.Lymphocytic leukemia. A decreased lymphocyte (lymphopenia) count of less than 500 places a patient at very high risk of infection, particularly viral infections. $ '
  • 79.
    Lymphocytes: Diameter: small 7-9 large12-16 Cytoplasm: medium blue Granules: small agranular Largea few primary granules Nucleus: dark blue Yound dense chromatin
  • 81.
    5. Monocytes & ) . Monocytesare the largest cells in normal blood. They act as phagocytes in some inflammatory diseases and are the body's second line of defense against infection. Diseases that cause a include: monocytosi s •TubercuIosis •BruceIlosis •Malaria •Rocky Mountain spotted fever. •Monocytic leukemia •Chronic ulcerative colitis
  • 82.
    Monocytes Cytoplasm : greyblue Granules: dust-like lilac color granules Nucleus: blue large irreg ularl y shaped and
  • 85.
    Notes: 1. A well-madeand well-stained smear is essential to the accuracy of the differential count. The knowledge and ability of the cell morphologist is critical to high-quality results. 2. Before reporting significant abnormalities such as blasts, malaria or other significant finding on a patient's differential, ask a more experienced tech to review the smear for confirmation. In clinical settings where a pathologist or hematologist is present, the smear is set aside for Pathologist Review. g
  • 86.
    3. If disruptedcells are present such as smudge cells or basket cells, not them on the report. It may be necessary to make an albumin smear to prevent the disruption of the cells. RBC morphology and WBC morphology must always be performed on the non- albumin smear. 4. When the WBC is very low (below 1,000/pL), it is difficult to find enough WBCs to perform a 100- cell diGerential. In this situation, a differential is usually performed by counting 50 cells. A notation on the report must be made that only 50 white cells
  • 87.
    5. When theWBC is very high (>50,000/pL), a 200-cell diG may be performed to increase the accuracy of the diff. 6. Never hesitate to ask questions concerning morphology or the identification of cells. The diGerential is one of the most difficult laboratory tests to learn. In fact, learning about cells and their morphology is a process that continues for as long as you perform differentials.