PERICARDIAL DISEASEPERICARDIAL DISEASE
Which of the following are ECGWhich of the following are ECG
findins in acute pericarditis ?findins in acute pericarditis ?
PR segment depressionPR segment depression
ST segment coved –shaped elevationST segment coved –shaped elevation
ST segment depressionST segment depression
ST segment convex elevationST segment convex elevation
ST segment horisontal elevationST segment horisontal elevation
Which is the treatment in acuteWhich is the treatment in acute
cardiac tamponade?cardiac tamponade?
NSAIDsNSAIDs
colchicinecolchicine
corticoidscorticoids
pericardiocentesyspericardiocentesys
SurgicalSurgical
Which of the following are clinicalWhich of the following are clinical
findings in constrictive pericarditis?findings in constrictive pericarditis?
jugular distensionjugular distension
hepatomegalyhepatomegaly
ascitesascites
edemaedema
aortic calcificationsaortic calcifications
PERICARDITIS
What you should know
DEFINITION ETIOLOGY MORPHOPATHOLOGY
CLINICS LAB TESTS PARACLINICAL
EXAMINATIONS
DIFFERENTIAL
DIAGNOSIS
TREATMENT COMPLICATIONS
CASE No 1CASE No 1
age: 41age: 41
Hrimiuc LiviuHrimiuc Liviu
ANAMNESYSANAMNESYS
Thoracic pain for 3 weeksThoracic pain for 3 weeks
Physical examination – pericardial rubPhysical examination – pericardial rub
EKG –ischemia ?EKG –ischemia ?
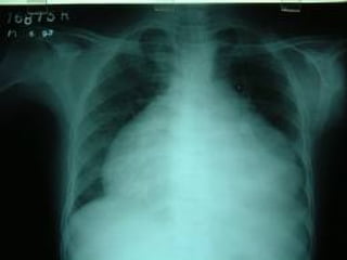
Echo –pericardial fluidEcho –pericardial fluid
LAB TESTSLAB TESTS
VSHVSH==8mm;8mm;
CRP= 9.8 mg/dl,CRP= 9.8 mg/dl,
LL==9130/mm9130/mm33
;;
Troponina<0.2 ng/mL.Troponina<0.2 ng/mL.
CPK=200U/lCPK=200U/l
CK-MB =14U/lCK-MB =14U/l
HbHb==13.3g%; Ht13.3g%; Ht==38.6%;38.6%;
Tr=616000/µL,Tr=616000/µL,
Uree=33mg/dL,Uree=33mg/dL,
CreatininăCreatinină==1.01mg%;1.01mg%;
ASAT=11U/L,ASAT=11U/L,
ALAT=19U/L,ALAT=19U/L,
Na=139mmol/l,Na=139mmol/l,
KK==5.2mmol/l,5.2mmol/l,
Ca=1.28mmol/l,Ca=1.28mmol/l,
LAB TESTSLAB TESTS
GlicemieGlicemie==93,93,
Acid uric=5.3mg/dL,Acid uric=5.3mg/dL,
ColesterolColesterol==123mg/dl,123mg/dl,
TGLTGL==77mg/dL,77mg/dL,
HDL=21mg/dl,HDL=21mg/dl,
LDL=87mlg/d, TQLDL=87mlg/d, TQ==15”,15”,
APTTAPTT==35”,35”,
INR=1.17,INR=1.17,
Examen de urină: DExamen de urină: D==1020,1020,
A,P,Z=neg, Sed. 0, pH=6.A,P,Z=neg, Sed. 0, pH=6.
Imunologie:Imunologie:
Ag HBS-negativ,Ag HBS-negativ,
Ac HCV-negativ,Ac HCV-negativ,
HIV,HIV,
Ig M anti CMV,Ig M anti CMV,
IgM anti EVB,IgM anti EVB,
Ac anti CoxackieAc anti Coxackie
Echo virusEcho virus
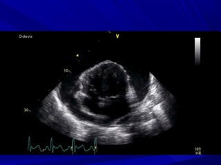
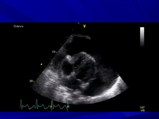
ECHO-CARDIOGRAPHYECHO-CARDIOGRAPHY
TREATEMENTTREATEMENT
IBUPROFEN 2x 600mg/dayIBUPROFEN 2x 600mg/day
OMERAN 2x20 mg/dayOMERAN 2x20 mg/day
TREATEMENTTREATEMENT
IsoniazidaIsoniazida 2/zi,2/zi,
Pirazinamida 4/zi siPirazinamida 4/zi si
Etambutol 4/zi,Etambutol 4/zi,
Once a day in the morningOnce a day in the morning
ACUTE PERICARDITISACUTE PERICARDITIS
PERICARDITIS
What you should know
DEFINITION ETIOLOGY MORPHOPATHOLOGY
CLINICS LAB TESTS PARACLINICAL
EXAMINATIONS
DIFFERENTIAL
DIAGNOSIS
TREATMENT COMPLICATIONS
PERICARDITIS
What you should know
DEFINITION ETIOLOGY MORPHOPATHOLOGY
CLINICS LAB TESTS PARACLINICAL
EXAMINATIONS
DIFFERENTIAL
DIAGNOSIS
TREATMENT COMPLICATIONS
DEFINITIONDEFINITION
Pericardium – 2 layers – visceralPericardium – 2 layers – visceral
- parietal- parietal
Acute pericarditis: symptoms and / orAcute pericarditis: symptoms and / or
signs resulting from pericardialsigns resulting from pericardial
inflammation of no more than 2 weeksinflammation of no more than 2 weeks
durationduration
DEFINITIONDEFINITION
Inflammation of the pericardium of < 2Inflammation of the pericardium of < 2
weeksweeks
EPIDEMIOLOGYEPIDEMIOLOGY
1% of all deaths.1% of all deaths.
5% of all non-ischemic thoracic pain5% of all non-ischemic thoracic pain
1% of all ST elevations in ED1% of all ST elevations in ED
PERICARDITIS
What you should know
DEFINITION ETIOLOGY MORPHOPATHOLOGY
CLINICS LAB TESTS PARACLINICAL
EXAMINATIONS
DIFFERENTIAL
DIAGNOSIS
TREATMENT COMPLICATIONS
PERICARDITIS
What you should know
DEFINITION ETIOLOGY MORPHOPATHOLOGY
CLINICS LAB TESTS PARACLINICAL
EXAMINATIONS
DIFFERENTIAL
DIAGNOSIS
TREATMENT COMPLICATIONS
ETIOLOGYETIOLOGY
Idiopathic –most frequent >50%Idiopathic –most frequent >50%
viral,viral,
TBTB
BacterialBacterial
NeoplasiaNeoplasia
Renal failureRenal failure
PERICARDITIS
What you should know
DEFINITION ETIOLOGY MORPHOPATHOLOGY
CLINICS LAB TESTS PARACLINICAL
EXAMINATIONS
DIFFERENTIAL
DIAGNOSIS
TREATMENT COMPLICATIONS
PERICARDITIS
What you should know
DEFINITION ETIOLOGY MORPHOPATHOLOGY
CLINICS LAB TESTS PARACLINICAL
EXAMINATIONS
DIFFERENTIAL
DIAGNOSIS
TREATMENT COMPLICATIONS
MORPHOPATHOLOGYMORPHOPATHOLOGY
Acute inflammationAcute inflammation
Fibrin depositsFibrin deposits
Increased vascularisationIncreased vascularisation
+/- pericardial fluid+/- pericardial fluid
AdherenceAdherence
+/- myocarditis (CPK , trop)+/- myocarditis (CPK , trop)
PERICARDITIS
What you should know
DEFINITION ETIOLOGY MORPHOPATHOLOGY
CLINICS LAB TESTS PARACLINICAL
EXAMINATIONS
DIFFERENTIAL
DIAGNOSIS
TREATMENT COMPLICATIONS
PERICARDITIS
What you should know
DEFINITION ETIOLOGY MORPHOPATHOLOGY
CLINICS LAB TESTS PARACLINICAL
EXAMINATIONS
DIFFERENTIAL
DIAGNOSIS
TREATMENT COMPLICATIONS
Chest painChest pain
Pericardial rubPericardial rub
CLINICAL DATACLINICAL DATA
Chest painChest pain
---- Pericardial typePericardial type
- sharp- sharp
- rapid onset- rapid onset
- radiation – in the trapezius ridge- radiation – in the trapezius ridge
- relieved by sitting forward and worsened by lying down- relieved by sitting forward and worsened by lying down
Increased by inspirationIncreased by inspiration
Increased by thoracic movementIncreased by thoracic movement
Increased by coughIncreased by cough
– Can be preceded by fever, muscular painCan be preceded by fever, muscular pain
Pericardial rubPericardial rub
CLINICAL DATACLINICAL DATA
Chest painChest pain
Pericardial rubPericardial rub
systolic/diastolicsystolic/diastolic
Left parasternal areaLeft parasternal area
Left decubitus / sitting forwardLeft decubitus / sitting forward
dynamic in timedynamic in time
CLINICAL DATACLINICAL DATA
PERICARDITIS
What you should know
DEFINITION ETIOLOGY MORPHOPATHOLOGY
CLINICS LAB TESTS PARACLINICAL
EXAMINATIONS
DIFFERENTIAL
DIAGNOSIS
TREATMENT COMPLICATIONS
PERICARDITIS
What you should know
DEFINITION ETIOLOGY MORPHOPATHOLOGY
CLINICS LAB TESTS PARACLINICAL
EXAMINATIONS
DIFFERENTIAL
DIAGNOSIS
TREATMENT COMPLICATIONS
LAB TESTSLAB TESTS
FIRST LINEFIRST LINE SECOND LINESECOND LINE
LAB TESTSLAB TESTS
FIRST LINEFIRST LINE
Complete blood countComplete blood count
BiochemistryBiochemistry
CoagulationsCoagulations
Inflammatory syndromeInflammatory syndrome
Cardiac enzymesCardiac enzymes
SECOND LINESECOND LINE
LAB TESTSLAB TESTS
HemogramHemogram
-- ↑ WBC 11000-13000/mm³↑ WBC 11000-13000/mm³
Inflammation syndrome: ESR, CPR, Fbg,Inflammation syndrome: ESR, CPR, Fbg, ÎÎ
EnzymesEnzymes – some patients – elevated CK-MB– some patients – elevated CK-MB
and / or TnI (concomitant myocarditis)and / or TnI (concomitant myocarditis)
PERICARDITIS
What you should know
DEFINITION ETIOLOGY MORPHOPATHOLOGY
CLINICS LAB TESTS PARACLINICAL
EXAMINATIONS
DIFFERENTIAL
DIAGNOSIS
TREATMENT COMPLICATIONS
PERICARDITIS
What you should know
DEFINITION ETIOLOGY MORPHOPATHOLOGY
CLINICS LAB TESTS PARACLINICAL
EXAMINATIONS
DIFFERENTIAL
DIAGNOSIS
TREATMENT COMPLICATIONS
PARACLINICALPARACLINICAL
EXAMINATIONSEXAMINATIONS
FIRST LINEFIRST LINE SECOND LINESECOND LINE
PARACLINICALPARACLINICAL
EXAMINATIONSEXAMINATIONS
FIRST LINEFIRST LINE
EKGEKG
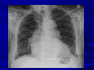
Chest radiographChest radiograph
EchocardiographyEchocardiography
SECOND LINESECOND LINE
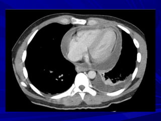
Chest tomographyChest tomography
MRIMRI
Pericardiocentesis +fluidPericardiocentesis +fluid
analysisanalysis
Pericardial biopsyPericardial biopsy
PARACLINICALPARACLINICAL
EXAMINATIONSEXAMINATIONS
FIRST LINEFIRST LINE
EKGEKG
Chest radiographChest radiograph
EchocardiographyEchocardiography
SECOND LINESECOND LINE
Chest tomographyChest tomography
MRIMRI
Pericardiocentesis +fluidPericardiocentesis +fluid
analysisanalysis
Pericardial biopsyPericardial biopsy
EKGEKG
Myocardial inflammation (subepicardial)Myocardial inflammation (subepicardial)
Fluid accumulationFluid accumulation
Movement of the heart in the pericardialMovement of the heart in the pericardial
sacsac
EKGEKG
Stage 1Stage 1
ST elevation coved upward without mirror depressionST elevation coved upward without mirror depression
PR segment depression in opposite direction of P wavePR segment depression in opposite direction of P wave
Stage 2Stage 2
STST  baselinebaseline
Flat T wavesFlat T waves
Stage 3Stage 3
Negative T wavesNegative T waves
Stage 4Stage 4
T normalizationT normalization
EKGEKG
Stage 1Stage 1
STST coved upwardcoved upward elevation without mirrorelevation without mirror
depressiondepression
–not convexnot convex
–not horisontalnot horisontal
PR deviation in opposite direction of P wavePR deviation in opposite direction of P wave
??
CartoCarto
Pericarditis or Myocardial infarction ?Pericarditis or Myocardial infarction ?
When in doubt get serial ECGs !When in doubt get serial ECGs !
Laboratory TestsLaboratory Tests
FIRST LINEFIRST LINE
EKGEKG
Chest radiographChest radiograph
EchocardiographyEchocardiography
SECOND LINESECOND LINE
Radiological FindingsRadiological Findings
Normal <200mlNormal <200ml
Cardiomegaly >200mlCardiomegaly >200ml
+/- pleural fluid+/- pleural fluid
+/- pulmonary / mediastinal+/- pulmonary / mediastinal
- occasionally – small pulmonary infiltration or pleural- occasionally – small pulmonary infiltration or pleural
effusion (viral infection)effusion (viral infection)
- bacterial – in conjunction with pneumonia- bacterial – in conjunction with pneumonia
Laboratory TestsLaboratory Tests
FIRST LINEFIRST LINE
EKGEKG
Chest radiographChest radiograph
EcocardiographyEcocardiography
SECOND LINESECOND LINE
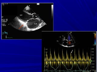
EchocardiographyEchocardiography
Normal in acute pericarditisNormal in acute pericarditis
Pericardial fluidPericardial fluid
Pericardial thicknessPericardial thickness
> 20 ml posteriorly> 20 ml posteriorly
>200ml anteriorly and posteriorly>200ml anteriorly and posteriorly
EchocardiographyEchocardiography
Mild < 5 mm in diastole (50-100ml)Mild < 5 mm in diastole (50-100ml)
Moderate 5-20 mm (100-500 ml)Moderate 5-20 mm (100-500 ml)
Severe >20 mm (>500ml)Severe >20 mm (>500ml)
PARACLINICALPARACLINICAL
EXAMINATIONSEXAMINATIONS
FIRST LINEFIRST LINE
EKGEKG
Chest radiographChest radiograph
EchocardiographyEchocardiography
SECOND LINESECOND LINE
Chest tomographyChest tomography
MRIMRI
Pericardiocentesis +fluidPericardiocentesis +fluid
analysisanalysis
Pericardial biopsyPericardial biopsy
PARACLINICALPARACLINICAL
EXAMINATIONSEXAMINATIONS
FIRST LINEFIRST LINE
EKGEKG
Chest radiographChest radiograph
EchocardiographyEchocardiography
SECOND LINESECOND LINE
Chest tomographyChest tomography
MRIMRI
PericardiocentesisPericardiocentesis
+fluid analysis+fluid analysis
Pericardial biopsyPericardial biopsy
PERICARDIOCENTESYSPERICARDIOCENTESYS
Class I-cardiacClass I-cardiac
tamponadetamponade
Class I - suspicion ofClass I - suspicion of
purulent pericarditispurulent pericarditis
Class I- suspicion of TBClass I- suspicion of TB
pericarditispericarditis
Class Iia – suspicion ofClass Iia – suspicion of
neoplastic pericarditisneoplastic pericarditis
Class I > 20 mmClass I > 20 mm
Class IIa 10-20 mmClass IIa 10-20 mm
FLUID ANALISYSFLUID ANALISYS
MACROSCOPICALMACROSCOPICAL
SerocitrinSerocitrin
Sanguinolent (TB, cancer, OAC)Sanguinolent (TB, cancer, OAC)
purulentpurulent
MICROSCOPICAL:MICROSCOPICAL:
CytologyCytology
BacteriologyBacteriology
Biochemistry: proteins, LDH, glucoseBiochemistry: proteins, LDH, glucose
Tumoral markers: CEA, alphaFP, CA-Tumoral markers: CEA, alphaFP, CA-
PCR-TBPCR-TB
Adenosindesaminase-TB
FLUID ANALISYS – de verificatFLUID ANALISYS – de verificat
MICROSCOPICAL:MICROSCOPICAL:
CytologyCytology
BacteriologyBacteriology
Biochemistry: proteins, LDH, glucoseBiochemistry: proteins, LDH, glucose
Proteins >3g/dl =exudateProteins >3g/dl =exudate
Fluid proteins / serum proteins >0,5 = exudateFluid proteins / serum proteins >0,5 = exudate
LDH > 200 = exudateLDH > 200 = exudate
LDH fluid/ser LDH >0,6 exudateLDH fluid/ser LDH >0,6 exudate
Glucose 95 =transudateGlucose 95 =transudate
Glucose<75 = exudateGlucose<75 = exudate
PARACLINICALPARACLINICAL
EXAMINATIONSEXAMINATIONS
FIRST LINEFIRST LINE
EKGEKG
Chest radiographChest radiograph
EchocardiographyEchocardiography
SECOND LINESECOND LINE
Chest tomographyChest tomography
MRIMRI
Pericardiocentesis +fluidPericardiocentesis +fluid
analysisanalysis
Pericardial biopsyPericardial biopsy
PERICARDIAL BIOPSYPERICARDIAL BIOPSY
No etiology for > 3 weeksNo etiology for > 3 weeks
PERICARDITIS
What you should know
DEFINITION ETIOLOGY MORPHOPATHOLOGY
CLINICS LAB TESTS PARACLINICAL
EXAMINATIONS
DIFFERENTIAL
DIAGNOSIS
TREATMENT COMPLICATIONS
PERICARDITIS
What you should know
DEFINITION ETIOLOGY MORPHOPATHOLOGY
CLINICS LAB TESTS PARACLINICAL
EXAMINATIONS
DIFFERENTIAL
DIAGNOSIS
TREATMENT COMPLICATIONS
DIFFERENTAIL DIAGNOSYSDIFFERENTAIL DIAGNOSYS
Of the painOf the pain
Of the pericardial rubOf the pericardial rub
Of the fluid in echocardiographyOf the fluid in echocardiography
DIFFERENTAIL DIAGNOSYSDIFFERENTAIL DIAGNOSYS
Of the painOf the pain
Myocardial infarction/ ischemiaMyocardial infarction/ ischemia
Pulmonary embolism / infarctionPulmonary embolism / infarction
Pneumonia/ pleurisyPneumonia/ pleurisy
Aortic dissectionAortic dissection
PneumothoraxPneumothorax
Herpes zoster painHerpes zoster pain
costochondritiscostochondritis
DIFFERENTAIL DIAGNOSYSDIFFERENTAIL DIAGNOSYS
Of the pericardial rubOf the pericardial rub
Systolic murmur MiR, TrRSystolic murmur MiR, TrR
Diastolic murmur AoR, MiSDiastolic murmur AoR, MiS
Systolo-diastolic murmurSystolo-diastolic murmur
Pleural rubPleural rub
Subcutaneous emphysemaSubcutaneous emphysema
DIFFERENTAIL DIAGNOSYSDIFFERENTAIL DIAGNOSYS
Of the fluid in echographyOf the fluid in echography
Pleural fluid (anterior RV, anterior descendentPleural fluid (anterior RV, anterior descendent
Aorta not posterior of LA)Aorta not posterior of LA)
Pericardial hematomaPericardial hematoma
Pericardial cystPericardial cyst
Pericardial tumorPericardial tumor
Epicardial fatEpicardial fat
LV pseudoaneurysmLV pseudoaneurysm
Giant LAGiant LA
PERICARDITIS
What you should know
DEFINITION ETIOLOGY MORPHOPATHOLOGY
CLINICS LAB TESTS PARACLINICAL
EXAMINATIONS
DIFFERENTIAL
DIAGNOSIS
TREATMENT COMPLICATIONS
PERICARDITIS
What you should know
DEFINITION ETIOLOGY MORPHOPATHOLOGY
CLINICS LAB TESTS PARACLINICAL
EXAMINATIONS
DIFFERENTIAL
DIAGNOSIS
TREATMENT COMPLICATIONS
TREATMENTTREATMENT
PHARMACOLOGICALPHARMACOLOGICAL
INTERVENTIONALINTERVENTIONAL
SURGICALSURGICAL
1. PHARMACOLOGICAL1. PHARMACOLOGICAL
TREATMENTTREATMENT
a)a) NSAIDNSAID
b)b) COLCHICINECOLCHICINE
c)c) PREDNISONEPREDNISONE
1. PHARMACOLOGICAL1. PHARMACOLOGICAL
TREATMENTTREATMENT
a)a) NSAIDNSAID
a)a) IBUPROFEN-electionIBUPROFEN-election
a)a) Rare adverse outcomesRare adverse outcomes
b)b) Good action on coronary flowGood action on coronary flow
c)c) 300-800 mg at 6-8 hours300-800 mg at 6-8 hours  several days/weeksseveral days/weeks
b)b) ASPIRINE 3 grams –first weekASPIRINE 3 grams –first week
(not in children)(not in children)
a)a) 2,5 grams –second week2,5 grams –second week
b)b) 2 grams –third week2 grams –third week
c)c) 1,5 grams –fourth week1,5 grams –fourth week
d)d) ……
c)c) INDOMETACIN – lowers the coronary flowINDOMETACIN – lowers the coronary flow
1. PHARMACOLOGICAL1. PHARMACOLOGICAL
TREATMENTTREATMENT
a)a) COLCHICINECOLCHICINE
Colchicine - loading 2 mg oralColchicine - loading 2 mg oral
- followed 1mg daily 10-14 days- followed 1mg daily 10-14 days
a)a) +/- NSAID+/- NSAID
a)a) Initial episodeInitial episode
b)b) Prevention of recurrencePrevention of recurrence
1. PHARMACOLOGICAL1. PHARMACOLOGICAL
TREATMENTTREATMENT
a)a) CORTICOIDS (not in children)CORTICOIDS (not in children)
a)a) PREDNISONE:PREDNISONE:
b)b) If no response to NSAID/colchicineIf no response to NSAID/colchicine
c)c) Prednisone 60mg daily – 2 days withPrednisone 60mg daily – 2 days with
tapering to zero over a weektapering to zero over a week
2. INTERVENTIONAL2. INTERVENTIONAL
TREATMENT:TREATMENT:
a)a) PERICARDIOCENTESYSPERICARDIOCENTESYS
a)a) At the bed of the patientAt the bed of the patient
b)b) In the cath labIn the cath lab
3. SURGICAL TREATMENT3. SURGICAL TREATMENT
a)a) Surgical drainageSurgical drainage
b)b) PericardiectomyPericardiectomy
LOVE JOHNLOVE JOHN
PETERPETER
PERICARDIAL DISEASEPERICARDIAL DISEASE
PERICARDITIS
What you should know
DEFINITION ETIOLOGY MORPHOPATHOLOGY
CLINICS LAB TESTS PARACLINICAL
EXAMINATIONS
DIFFERENTIAL
DIAGNOSIS
TREATMENT COMPLICATIONSCOMPLICATIONS
EVOLUTIONEVOLUTION
Resolution: 2-5 weeksResolution: 2-5 weeks
Complications:Complications:
Chronic pericarditisChronic pericarditis
Cardiac tamponadeCardiac tamponade
Constrictive pericarditisConstrictive pericarditis
COMPLICATIONSCOMPLICATIONS
CHRONICAL
PERICARDITIS
CARDIAC
TAMPONADE
CONSTRICTIVE
PERICARDITIS
CHRONICAL
PERICARDITIS
COMPLICATIONS:COMPLICATIONS:
1)CHRONICAL PERICARDITIS1)CHRONICAL PERICARDITIS
> 3 months duration> 3 months duration
COMPLICATIONSCOMPLICATIONS
CHRONICAL
PERICARDITIS
CARDIAC
TAMPONADE
CONSTRICTIVE
PERICARDITIS
CARDIAC
TAMPONADE
COMPLICATIONS:COMPLICATIONS:
2) CARDIAC TAMPONADE2) CARDIAC TAMPONADE
Cardiac compression by the pericardialCardiac compression by the pericardial
fluidfluid
2) CARDIAC TAMPONADE-2) CARDIAC TAMPONADE-
PHYSIOPATHOLOGYPHYSIOPATHOLOGY
Pericardial pressurePericardial pressure
= Pleural pressure= Pleural pressure
< diastolic pressure LV,RV< diastolic pressure LV,RV
Increased pericardialIncreased pericardial
pressurepressure  low RV fillinglow RV filling
 low LV fillinglow LV filling
 low cardiaclow cardiac
output , TAoutput , TA
2) CARDIAC TAMPONADE-2) CARDIAC TAMPONADE-
CLINICSCLINICS
 Beck’s triad:Beck’s triad:
 -hypotension-hypotension
 -jugular distension-jugular distension
 -diminished heart sound-diminished heart sound
 Alternant pulseAlternant pulse
 Paradoxical pulseParadoxical pulse
Alternant pulseAlternant pulse ELECTRICAL ALTERNANCEELECTRICAL ALTERNANCE
Paradoxical pulseParadoxical pulse
= abnormally large decline in systolic= abnormally large decline in systolic
arterial pressure during inspirationarterial pressure during inspiration
2) CARDIAC TAMPONADE-2) CARDIAC TAMPONADE-
CLINICSCLINICS
 DyspneaDyspnea
 With normal lungWith normal lung
physical examinationphysical examination
PARACLINICALPARACLINICAL
EXAMINATIONSEXAMINATIONS
FIRST LINEFIRST LINE
EKGEKG
Chest radiographChest radiograph
EchocardiographyEchocardiography
SECOND LINESECOND LINE
CTCT
MRIMRI
PARACLINICALPARACLINICAL
EXAMINATIONSEXAMINATIONS
FIRST LINEFIRST LINE
EKGEKG
Chest radiographChest radiograph
EchocardiographyEchocardiography
SECOND LINESECOND LINE
CTCT
MRIMRI
EKGEKG
Electrical alternanceElectrical alternance
HypovoltageHypovoltage
Sinus tachycardia, sinus bradicardia, PEASinus tachycardia, sinus bradicardia, PEA
ELECTRICAL ALTERNANCEELECTRICAL ALTERNANCE
PARACLINICALPARACLINICAL
EXAMINATIONSEXAMINATIONS
FIRST LINEFIRST LINE
EKGEKG
Chest X-RayChest X-Ray
EchocardiographyEchocardiography
SECOND LINESECOND LINE
CTCT
MRIMRI
Chest X-RayChest X-Ray
Cannot make the difference betweenCannot make the difference between
Cardiac tamponadeCardiac tamponade--non-compressive fluidnon-compressive fluid
PARACLINICALPARACLINICAL
EXAMINATIONSEXAMINATIONS
FIRST LINEFIRST LINE
EKGEKG
Chest radiographChest radiograph
EchoEcho
cardiographycardiography
SECOND LINESECOND LINE
CTCT
MRIMRI
CARDIAC TAMPONADECARDIAC TAMPONADE
ECHO-CARDIOGRAPHYECHO-CARDIOGRAPHY
Signs of high fluid quantitySigns of high fluid quantity
Signs of high pericardial pressureSigns of high pericardial pressure
Signs of high systemic venous pressureSigns of high systemic venous pressure
Excludes other pathologies:Excludes other pathologies:
RV myocardial infarctionRV myocardial infarction
Pulmonary embolismPulmonary embolism
MyocarditisMyocarditis
ECHO-CARDIOGRAPHYECHO-CARDIOGRAPHY
Signs of high fluid quantitySigns of high fluid quantity
Swinging heartSwinging heart
Signs of high pericardial pressureSigns of high pericardial pressure
RA diastolic collapseRA diastolic collapse
RV diastolic collapseRV diastolic collapse
LA, LV diastolic collapseLA, LV diastolic collapse
Signs of high systemic venous pressureSigns of high systemic venous pressure
IVC distensionIVC distension
< 50% collapse in inspiration< 50% collapse in inspiration
DIFFERENTIAL DIAGNOSISDIFFERENTIAL DIAGNOSIS
Pulmonary embolismPulmonary embolism
Constrictive pericarditisConstrictive pericarditis
Right ventricular infarctionRight ventricular infarction
Large pleural effusionLarge pleural effusion
CARDIAC TAMPONADE-TREATMENTCARDIAC TAMPONADE-TREATMENT
Pharmacological:Pharmacological:
InterventionalInterventional
SurgicalSurgical
CARDIAC TAMPONADE-TREATMENTCARDIAC TAMPONADE-TREATMENT
Pharmacological:Pharmacological: hTAhTA
i.v.:i.v.: blood,blood,
plasmaplasma
serumserum
Inotropes:Inotropes:
dopaminedopamine
dobutaminedobutamine
noradrenalinenoradrenaline
CARDIAC TAMPONADE-TREATMENTCARDIAC TAMPONADE-TREATMENT
InterventionalInterventional
PericardiocentesisPericardiocentesis
Contraindications:Contraindications:
Aortic dissection with hemorrhagic tamponadeAortic dissection with hemorrhagic tamponade
Cardiac trauma with hemorrhagic tamponadeCardiac trauma with hemorrhagic tamponade
Rupture of Left ventricular aneurismRupture of Left ventricular aneurism
CARDIAC TAMPONADE-TREATMENTCARDIAC TAMPONADE-TREATMENT
SurgicalSurgical
Localized tamponadeLocalized tamponade
Recurrence of cardiac tamponadeRecurrence of cardiac tamponade
Creation of a pericardial windowCreation of a pericardial window
Sclerosing the pericardumSclerosing the pericardum
Pericardio-peritoneal shuntPericardio-peritoneal shunt
COMPLICATIONSCOMPLICATIONS
CHRONICAL
PERICARDITIS
CARDIAC
TAMPONADE
CONSTRICTIVE
PERICARDITIS
CONSTRICTIVE
PERICARDITIS
COMPLICATIONS:COMPLICATIONS:
3)CONSTRICTIVE PERICARDITIS3)CONSTRICTIVE PERICARDITIS
Fibrosis, calcifications, adherenceFibrosis, calcifications, adherence
CP is the end stage of an inflammatoryCP is the end stage of an inflammatory
processesprocesses
CONSTRICTIVE PERICARDITISCONSTRICTIVE PERICARDITIS
The heart gets compressed by theThe heart gets compressed by the
constrictive processconstrictive process
Blood back up into lungs abdomen andBlood back up into lungs abdomen and
legs.legs.
CONSTRICTIVE PERICARDITISCONSTRICTIVE PERICARDITIS
ETIOLOGYETIOLOGY
idiopathic, irradiation, postsurgical, infections, neoplasm,idiopathic, irradiation, postsurgical, infections, neoplasm,
autoimmune (connective tissue) disorders uremia, post-autoimmune (connective tissue) disorders uremia, post-
trauma, sarcoid, methysergide therapy, implantabletrauma, sarcoid, methysergide therapy, implantable
defibrillator patches, tuberculosisdefibrillator patches, tuberculosis
3)CONSTRICTIVE PERICARDITIS3)CONSTRICTIVE PERICARDITIS
PHYSIOPATHOLOGYPHYSIOPATHOLOGY
Diastolic heart failureDiastolic heart failure
Restricted filling of RV, LVRestricted filling of RV, LV
almost all ventricular filling occurs early in diastolealmost all ventricular filling occurs early in diastole
High RV diastolic pressureHigh RV diastolic pressure 
systemic venous congestion- hepatic congestion,systemic venous congestion- hepatic congestion,
peripheral edema, ascites, anasarcaperipheral edema, ascites, anasarca
↓↓ CO- fatigue, muscle wasting, weight lossCO- fatigue, muscle wasting, weight loss
3)CONSTRICTIVE PERICARDITIS3)CONSTRICTIVE PERICARDITIS
CLINICS:CLINICS:
Signs of RV failure:Signs of RV failure:
jugular distension, ascites,jugular distension, ascites,
edema, hepatomegaly, jaundiceedema, hepatomegaly, jaundice
Kusmaul sign- inspiratory increase in systemic venousKusmaul sign- inspiratory increase in systemic venous
pressurepressure
PARACLINICALPARACLINICAL
EXAMINATIONSEXAMINATIONS
FIRST LINEFIRST LINE
EKGEKG
Chest radiographChest radiograph
EchocardiographyEchocardiography
SECOND LINESECOND LINE
CTCT
MRIMRI
CatheterismCatheterism
/coronarography/coronarography
PARACLINICALPARACLINICAL
EXAMINATIONSEXAMINATIONS
FIRST LINEFIRST LINE
EKGEKG
Chest radiographChest radiograph
EchocardiographyEchocardiography
SECOND LINESECOND LINE
CTCT
MRIMRI
EKGEKG
no specific ECG findings:no specific ECG findings:
Normal EKGNormal EKG
HypovoltageHypovoltage
LA/RA dilation: mitral P wave / pulmonary P waveLA/RA dilation: mitral P wave / pulmonary P wave
Negative T wavesNegative T waves
PARACLINICALPARACLINICAL
EXAMINATIONSEXAMINATIONS
FIRST LINEFIRST LINE
EKGEKG
ChestChest
radiographradiograph
EchocardiographyEchocardiography
SECOND LINESECOND LINE
CTCT
MRIMRI
Chest X-RayChest X-Ray
Normal heartNormal heart
SVC distensionSVC distension
Pericardial calcificationsPericardial calcifications
DIFFERENTAIL DIAGNOSIS
Ventricular aneurysm
PARACLINICALPARACLINICAL
EXAMINATIONSEXAMINATIONS
FIRST LINEFIRST LINE
EKGEKG
Chest radiographChest radiograph
EchoEcho
cardiographycardiography
SECOND LINESECOND LINE
CTCT
MRIMRI
ECHO-CARDIOGRAPHYECHO-CARDIOGRAPHY
Thick pericardium/calcifiedThick pericardium/calcified
““Small ventricles”Small ventricles”
““Big atria”Big atria”
IVC distension, hepatic veins distensionIVC distension, hepatic veins distension
PARACLINICALPARACLINICAL
EXAMINATIONSEXAMINATIONS
FIRST LINEFIRST LINE
EKGEKG
Chest radiographChest radiograph
EchocardiographyEchocardiography
SECOND LINESECOND LINE
CTCT
MRIMRI
CT, MRICT, MRI
Thickness of the pericardiumThickness of the pericardium
CalcificationsCalcifications
Atrial dilatationAtrial dilatation
SVC, IVC distensionSVC, IVC distension
Ascites, pleural effusionAscites, pleural effusion
absence of pericardial thickening arguesabsence of pericardial thickening argues
against the diagnosis of constrictionagainst the diagnosis of constriction
Catheterism / CoronarographyCatheterism / Coronarography
RA, Rv diastolic, PCW, LV diastolicRA, Rv diastolic, PCW, LV diastolic
pressure are elevated and equalpressure are elevated and equal
marked diastolic dip followed by a plateaumarked diastolic dip followed by a plateau
(square root sign)(square root sign)
PASPPASP ~ 35-45 mmHg~ 35-45 mmHg
Coronarography-excludes ischemiaCoronarography-excludes ischemia
DIFFERENTIAL DIAGNOSYSDIFFERENTIAL DIAGNOSYS
Restrictive cardiomyopathy –very difficultRestrictive cardiomyopathy –very difficult
TREATMENTTREATMENT
PHARMACOLOGICALPHARMACOLOGICAL
SURGICALSURGICAL
TREATMENTTREATMENT
Pharmacological:Pharmacological:
Of right heart failureOf right heart failure
NO betablockersNO betablockers
NO calcium channel blockersNO calcium channel blockers
Sinus tahycardia is compentorySinus tahycardia is compentory
Surgical pericardiectomy:Surgical pericardiectomy:
TREATMENTTREATMENT
Pharmacological:Pharmacological:
Of left/right heart failureOf left/right heart failure
Diets, salt restrictionDiets, salt restriction
ß blockers, calcium blockers (should be avoided)ß blockers, calcium blockers (should be avoided)
the rate shouldn’t be allowed to drop below 80-90the rate shouldn’t be allowed to drop below 80-90
beats/minbeats/min
Atrial fibrillation- digoxinAtrial fibrillation- digoxin
Surgical pericardiectomy:Surgical pericardiectomy:
6-12% mortality6-12% mortality
Which of the following are ECGWhich of the following are ECG
findins in acute pericarditis ?findins in acute pericarditis ?
PR segment depressionPR segment depression
ST segment coved –shaped elevationST segment coved –shaped elevation
ST segment depressionST segment depression
ST segment convex elevationST segment convex elevation
ST segment horisontal elevationST segment horisontal elevation
Which is the treatment in acuteWhich is the treatment in acute
cardiac tamponade?cardiac tamponade?
NSAIDsNSAIDs
colchicinecolchicine
corticoidscorticoids
pericardiocentesyspericardiocentesys
SurgicalSurgical
Which of the following are clinicalWhich of the following are clinical
findings in constrictive pericarditis?findings in constrictive pericarditis?
jugular distensionjugular distension
hepatomegalyhepatomegaly
ascitesascites
edemaedema
aortic calcificationsaortic calcifications
PARTICULAR FORMS OFPARTICULAR FORMS OF
PERICARDITISPERICARDITIS
Uremic pericarditisUremic pericarditis
TB pericarditisTB pericarditis
Lupus pericarditisLupus pericarditis
UREMIC
PERICARDITIS
TB
PERICARDITIS
LUPUS
PERICARDITIS
PARTICULAR FORMS OFPARTICULAR FORMS OF
PERICARDITISPERICARDITIS
Uremic pericarditisUremic pericarditis
TB pericarditisTB pericarditis
Lupus pericarditisLupus pericarditis
UREMIC
PERICARDITIS
TB
PERICARDITIS
LUPUS
PERICARDITIS
TREATMENTTREATMENT
Unexplained pericarditis +Unexplained pericarditis +
Advanced renal failureAdvanced renal failure
Institute dialysisInstitute dialysis
Rapid resolution of pericarditisRapid resolution of pericarditis
UREMIC PERICARDITISUREMIC PERICARDITIS
PARTICULAR FORMS OFPARTICULAR FORMS OF
PERICARDITISPERICARDITIS
Uremic pericarditisUremic pericarditis
TB pericarditisTB pericarditis
Lupus pericarditisLupus pericarditis
UREMIC
PERICARDITIS
TB
PERICARDITIS
LUPUS
PERICARDITIS
PARTICULAR FORMS OFPARTICULAR FORMS OF
PERICARDITISPERICARDITIS
Uremic pericarditisUremic pericarditis
TB pericarditisTB pericarditis
Lupus pericarditisLupus pericarditis
UREMIC
PERICARDITIS
TB
PERICARDITIS
LUPUS
PERICARDITIS
TB PericarditysTB Pericarditys
Difficult to diagnoseDifficult to diagnose
demonstration of tubercle bacilli
definitive diagnosis requires culturing
Mycobacterium tuberculosis
aspirated pericardial fluid or pericardial
biopsy
TB PERICARDITISTB PERICARDITIS
or appropriate response to a trial of
antituberculosis chemotherapy
TB PERICARDITISTB PERICARDITIS
tuberculin skin testing is of little value
mass BCG immunization,
cross-sensitization from mycobacteria present in
the environment
TB PERICARDITISTB PERICARDITIS
Pericardial fluid
ExudateExudate
 Proteins >3g/dl =exudateProteins >3g/dl =exudate
 Fluid proteins / serum proteins >0,5 = exudateFluid proteins / serum proteins >0,5 = exudate
 LDH > 200 = exudateLDH > 200 = exudate
 LDH fluid/ser LDH >0,6 exudateLDH fluid/ser LDH >0,6 exudate
 Glucose 95 =transudateGlucose 95 =transudate
 Glucose<75 = exudateGlucose<75 = exudate
TB PERICARDITISTB PERICARDITIS
Pericardial fluid
 polymerase chain reaction (PCR) for
detecting M tuberculosis DNA
 measurement of interferon-γ (IFN-γ) levels
 High ADA levels
PARTICULAR FORMS OFPARTICULAR FORMS OF
PERICARDITISPERICARDITIS
Uremic pericarditisUremic pericarditis
TB pericarditisTB pericarditis
Lupus pericarditisLupus pericarditis
UREMIC
PERICARDITIS
TB
PERICARDITIS
LUPUS
PERICARDITIS
PARTICULAR FORMS OFPARTICULAR FORMS OF
PERICARDITISPERICARDITIS
Uremic pericarditisUremic pericarditis
TB pericarditisTB pericarditis
Lupus pericarditisLupus pericarditis
UREMIC
PERICARDITIS
TB
PERICARDITIS
LUPUS
PERICARDITIS
LUPUS PERICARDITISLUPUS PERICARDITIS
Systemic lupus erythematosus (SLE), an
autoimmune disease
It attacks on the body’s immune system
can affect everything from the skin and
joints to internal organs.
TREATMENTTREATMENT
NSAIDs:NSAIDs:
CorticoidsCorticoids
AntimalarialsAntimalarials
TREATMENTTREATMENT
NSAIDs:NSAIDs:
Ibuprofen,Ibuprofen,
AspirinAspirin
CorticoidsCorticoids
PrednisonePrednisone
AntimalarialsAntimalarials
ChloroquineChloroquine
Hidroxichloroquine (Plaquenil)Hidroxichloroquine (Plaquenil)
THANK YOU
FOR YOUR
ATTENTION !!
ROBIN ALEX BOGDANFFY
LOVE JOHN PETER

Pericardial disease

Editor's Notes

  • #2 We will start with 2 case presentations. I would like to see your information about pericarditis.
  • #15 Before New years eve
  • #17 Another patient died
  • #18 It shields the heart from infection or malignacy It also prevents the heart from over-expanding when blood volume increases
  • #23 Like the skin around a cut
  • #40 Anamnesis: viral infection, lupus, renal failure
  • #47 Autoimune examination
  • #86 Is an older antiinflamatory drug
  • #92 We will start with 2 case presentations. I would like to see your information about asthma
  • #96 They may take NSAID and colchicine for several years
  • #98 Being overweight can worsen astma symptoms
  • #99 Being overweight can worsen astma symptoms
  • #100 Being overweight can worsen astma symptoms
  • #103 Being overweight can worsen astma symptoms
  • #106 When it turnes from tachycardia to bradicardia  cardiac arrest I had a pacient at the Heart Institute. I had a gard with doctor Sortan (pacemakers) Emergency department – basement- 3 beds for women and 5-6 for men A patient from nephrology. I saw him but I did not know why he was there. When you enter in a gard you need to know and evaluate all the patients. I have seen that he was silent, he was not feeling very good, he had a rapid pulse. Then I went away, he lost his counciousness, he was bradicardic So I intubated him and transported to the first flor- reanimation room He lost 1 teeth during intubation This was the first time that I did pericardial puncture He was already ded But I tried and it worked
  • #114 Subcostal view for puncture
  • #121 Removal of pericardial fluid
  • #131 Nancy cardiac center surgeon with the wire in the RVOT
  • #133 Being overweight can worsen astma symptoms
  • #136 Being overweight can worsen astma symptoms
  • #137 Being overweight can worsen astma symptoms
  • #155 Dr. Marian Ionut- enerved
  • #158 1 patients that died And another in 118