Peripheral Arterial DiseaseArunJagannathan MDVascular and Interventional RadiologyCentral Illinois Radiological Associateswww.radclinic.com
What is an Interventional Radiologist?Interventional radiologists are board-certified physicians who specialize in minimally invasive, targeted treatments. They offer the most in-depth knowledge of the least invasive treatments available coupled with diagnostic and clinical experience across all specialties. They use X-rays, MRI and other imaging to advance a catheter in the body, usually in an artery, to treat at the source of the disease non-surgically. As the inventors of angioplasty and the catheter-delivered stent, which were first used in the legs to treat peripheral arterial disease, interventional radiologists pioneered minimally invasive modern medicine. www.radclinic.com
What is an Interventional Radiologist?Interventional radiology is a recognized medical specialty by the American Board of Medical Specialties. Interventional radiologists are board-certified physicians with additional advanced training in minimally invasive, targeted treatments performed using imaging to guide them. Their board certification includes both Vascular and Interventional Radiology and Diagnostic Radiology which are administered by the American Board of Radiology.www.radclinic.com
Other specialists that treat peripheral arterial diseaseInterventional Cardiologist: a specialist who treats coronary artery disease, peripheral artery disease and all aspects of atherosclerosisVascular Surgeon: a specialist of surgical interventions of arteries and veins and of therapies for the peripheral vascular systemwww.radclinic.com
Peripheral Arterial DiseasePeripheral Artery Disease (PAD) is a serious problemPAD is often asymptomatic and therefore, is not always easy to detectCritical Limb Ischemia, a result of untreated PAD, accounts for the majority of all non-traumatic amputations in the USwww.radclinic.com
Peripheral Arterial Disease (PAD)PAD affects 12-20% of Americans age 65 and older.112 million with PAD in the U.S. alone23x greater risk in those with diabetes over the age of 50.31. Becker, GJ, et al. The Importance of Increasing Public and Physician Awareness of Peripheral Arterial Disease. J VascintervRadiol 2002; 13[1];7-11.2. “Peripheral Arterial Disease in People with Diabetes”,  American Diabetes Association Consensus Statement, Diabetes Care, Volume 26, Number 12, December 2003, 3333-3341.3. “Diagnosis of PAD is Important for People with Diabetes”, American Diabetes Association Consensus Statement, Diabetes Care, November 21, 2003, www.diabetes.org. Disease (PAD)www.radclinic.com
Risk Factors for AtherosclerosisPADSmokingDiabetesHypertensionDyslipidemiaSedentary life styleAge >50Obesity PVD (carotid stenosis, AAA)African Americans, Hispanics, and diabetics have the highest prevalence of PADCADSmokingDiabetesHypertensionDyslipidemiaSedentary life styleAge >50Obesity PVD (carotid stenosis, AAA)www.radclinic.com
Symptoms of PADClaudication: Dull cramping or pain in muscles of hips, thighs or calf muscles when walking, climbing stairs, or exercise which is relieved with cessation of activityFatigue in legs which may require patient to stop and rest while walkingSlow or shuffled gait & having difficulty keeping up with otherswww.radclinic.com
Symptoms of PADNeuropathy or pain in feet with exerciseRest pain or night pain that occurs when legs elevated in bed, relieved when placed in dependent position. Typically in the distal foot, possibly in vicinity of an ulcerImpotence may be a sign of iliac disease and may see some relief with sildenafil citrate.www.radclinic.com
Why refer claudicating patients for treatment?Patients deserve a better quality of lifeLow risk options exist todayLesions are easier to treat in earlier stagesPatients can exercise and improve overall healthThe prognosis for untreated intermittent claudication is not goodwww.radclinic.com
Population >55 yrIntermittentClaudicationPeripheral VascularOutcomesOther CardiovascularMorbidity/Total MortalityLower ExtremityBypass Surgery7%MajorAmputation4%WorseningClaudication16%NonfatalCardiovascularEvent(MI/Stroke, 5-year Rate)20%5-yrMortality30%CardiovascularCause75%Prognosis in Patients with Intermittent ClaudicationAdapted from Weitz JI et al. Circulation. 1996;94:3026-3049.www.radclinic.com
Symptomatic and Asymptomatic PADNewly Diagnosed PAD(n=457)Prior Diagnosis of PAD(n=366)PARTNERS StudyHirsch AT et al. JAMA. 2001;286:1317-1324.
Does “Asymptomatic” PAD Really Matter?Coronary Artery Surgery Study (CASS) in patients with known CAD the presence of PAD increased Cardiovascular mortality by 25% during a 10 yr follow-up (J AM CollCardiol 1994:23:1091-5)PAD, symptomatic or asymptomatic, is a powerful independent predictor of CAD and CVD (Vasc.Med.3,241,1998.)
www.radclinic.com
What can we do?PAD Screening for Early DetectionExamine patient medical, surgical, family historyQuestion the patient about lifestyle changes and symptoms onset, characteristics, etc.Visual screeningNon-invasive testingReferral to interventionalist for further workupwww.radclinic.com
Lifestyle Changes and SymptomsQuestions for patients with possible lower extremity disease:What is your typical activity level?Do you experience any discomfort in the calf, thigh, buttock or hip area that occurs with walking, climbing stairs?Describe the symptom, onset, duration and resolution?Do you experience rest pain, leg pain when in bed?Have you had any sores or skin ulcerations that won’t heal?Any changes in the color, temperature or appearance of your skin?Any problems with impotence or pain in your genitals? www.radclinic.com
Differentiating Leg Pain
Visual Cues to PAD and Arterial InsufficiencyCool, dry, atrophic skin on legsMay have signs of cellulitisThickened or deformed nails-dystrophicHair loss or uneven distribution on legsMuscle weakness or atrophyBruits on auscultation Ulcers or wounds on lower extremities Gangrenewww.radclinic.com
www.radclinic.com
PAD Diagnostic Tests Non-invasive tests1ABI (Ankle/Brachial Index)  Exercise TestSegmental PressuresSegmental Volume PlethysmographyDuplex UltrasonographyMRA (Magnetic Resonance Arteriography)CTA (Computed TomographicArteriography)Invasive tests1Peripheral Angiography1. Krajewski and Olin  Chapter 11  Peripheral Vascular Disease. 2nd ed. 1996www.radclinic.com
www.radclinic.com
www.radclinic.com
ADA Consensus PanelRecommends ABI Screening for:Patients over the age of 50 years who have diabetesPatients with diabetes younger than 50 years of age who have other PAD risk factors (ie. Smoking, hypertension, hyperlipidemia, diabetes more than 10 years)ABI should be repeated in 5 years if normalIf ABI is abnormal, then patient should be referredSource: Peripheral Arterial Disease in People with Diabetes, ADA, Consensus Statement, Diabetes Care, Volume 26, Number 12, December 2003.www.radclinic.com
The Ankle-Brachial Index  Lower extremity systolic pressure	     Brachial artery systolic pressureABI =Normal	0.95-1.2PAD	<0.90Rest pain/ulceration	<0.40The Ankle-Brachial Index is 95% sensitive and 99% specific for PADBoth ankle and brachial systolic pressures are obtained using a hand-held Doppler instrumentSource: Peripheral Arterial Disease in People with Diabetes, ADA, ConsensusStatement, Diabetes Care, Volume 26, Number 12, December 2003.www.radclinic.com
PAD Treatment Options MedicalRisk Factor Modification*Exercise Therapy*Drug Therapy* Endovascular TherapyPeripheral Transluminal Angioplasty*Peripheral Stenting*AtherectomyThrombolytic Therapy (adjunctive)SurgeryBypass Grafts*Amputation*Endarterectomy**Rosenfield K, Isner JM, Chap. 97 Textbook of Cardiovascular Medicine 1998www.radclinic.com
SilverhawkAtherectomywww.radclinic.com
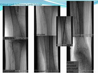
Critical Limb Ischemia/ Limb SalvageFrontrunner100% SFASFA postPatent peroneal with runoff to footSilverhawkZero runoff
PAD Videowww.radclinic.com

Peripheral Arterial Disease

  • 1.
    Peripheral Arterial DiseaseArunJagannathanMDVascular and Interventional RadiologyCentral Illinois Radiological Associateswww.radclinic.com
  • 2.
    What is anInterventional Radiologist?Interventional radiologists are board-certified physicians who specialize in minimally invasive, targeted treatments. They offer the most in-depth knowledge of the least invasive treatments available coupled with diagnostic and clinical experience across all specialties. They use X-rays, MRI and other imaging to advance a catheter in the body, usually in an artery, to treat at the source of the disease non-surgically. As the inventors of angioplasty and the catheter-delivered stent, which were first used in the legs to treat peripheral arterial disease, interventional radiologists pioneered minimally invasive modern medicine. www.radclinic.com
  • 3.
    What is anInterventional Radiologist?Interventional radiology is a recognized medical specialty by the American Board of Medical Specialties. Interventional radiologists are board-certified physicians with additional advanced training in minimally invasive, targeted treatments performed using imaging to guide them. Their board certification includes both Vascular and Interventional Radiology and Diagnostic Radiology which are administered by the American Board of Radiology.www.radclinic.com
  • 4.
    Other specialists thattreat peripheral arterial diseaseInterventional Cardiologist: a specialist who treats coronary artery disease, peripheral artery disease and all aspects of atherosclerosisVascular Surgeon: a specialist of surgical interventions of arteries and veins and of therapies for the peripheral vascular systemwww.radclinic.com
  • 5.
    Peripheral Arterial DiseasePeripheralArtery Disease (PAD) is a serious problemPAD is often asymptomatic and therefore, is not always easy to detectCritical Limb Ischemia, a result of untreated PAD, accounts for the majority of all non-traumatic amputations in the USwww.radclinic.com
  • 6.
    Peripheral Arterial Disease(PAD)PAD affects 12-20% of Americans age 65 and older.112 million with PAD in the U.S. alone23x greater risk in those with diabetes over the age of 50.31. Becker, GJ, et al. The Importance of Increasing Public and Physician Awareness of Peripheral Arterial Disease. J VascintervRadiol 2002; 13[1];7-11.2. “Peripheral Arterial Disease in People with Diabetes”, American Diabetes Association Consensus Statement, Diabetes Care, Volume 26, Number 12, December 2003, 3333-3341.3. “Diagnosis of PAD is Important for People with Diabetes”, American Diabetes Association Consensus Statement, Diabetes Care, November 21, 2003, www.diabetes.org. Disease (PAD)www.radclinic.com
  • 7.
    Risk Factors forAtherosclerosisPADSmokingDiabetesHypertensionDyslipidemiaSedentary life styleAge >50Obesity PVD (carotid stenosis, AAA)African Americans, Hispanics, and diabetics have the highest prevalence of PADCADSmokingDiabetesHypertensionDyslipidemiaSedentary life styleAge >50Obesity PVD (carotid stenosis, AAA)www.radclinic.com
  • 8.
    Symptoms of PADClaudication:Dull cramping or pain in muscles of hips, thighs or calf muscles when walking, climbing stairs, or exercise which is relieved with cessation of activityFatigue in legs which may require patient to stop and rest while walkingSlow or shuffled gait & having difficulty keeping up with otherswww.radclinic.com
  • 9.
    Symptoms of PADNeuropathyor pain in feet with exerciseRest pain or night pain that occurs when legs elevated in bed, relieved when placed in dependent position. Typically in the distal foot, possibly in vicinity of an ulcerImpotence may be a sign of iliac disease and may see some relief with sildenafil citrate.www.radclinic.com
  • 10.
    Why refer claudicatingpatients for treatment?Patients deserve a better quality of lifeLow risk options exist todayLesions are easier to treat in earlier stagesPatients can exercise and improve overall healthThe prognosis for untreated intermittent claudication is not goodwww.radclinic.com
  • 11.
    Population >55 yrIntermittentClaudicationPeripheralVascularOutcomesOther CardiovascularMorbidity/Total MortalityLower ExtremityBypass Surgery7%MajorAmputation4%WorseningClaudication16%NonfatalCardiovascularEvent(MI/Stroke, 5-year Rate)20%5-yrMortality30%CardiovascularCause75%Prognosis in Patients with Intermittent ClaudicationAdapted from Weitz JI et al. Circulation. 1996;94:3026-3049.www.radclinic.com
  • 12.
    Symptomatic and AsymptomaticPADNewly Diagnosed PAD(n=457)Prior Diagnosis of PAD(n=366)PARTNERS StudyHirsch AT et al. JAMA. 2001;286:1317-1324.
  • 13.
    Does “Asymptomatic” PADReally Matter?Coronary Artery Surgery Study (CASS) in patients with known CAD the presence of PAD increased Cardiovascular mortality by 25% during a 10 yr follow-up (J AM CollCardiol 1994:23:1091-5)PAD, symptomatic or asymptomatic, is a powerful independent predictor of CAD and CVD (Vasc.Med.3,241,1998.)
  • 14.
  • 15.
    What can wedo?PAD Screening for Early DetectionExamine patient medical, surgical, family historyQuestion the patient about lifestyle changes and symptoms onset, characteristics, etc.Visual screeningNon-invasive testingReferral to interventionalist for further workupwww.radclinic.com
  • 16.
    Lifestyle Changes andSymptomsQuestions for patients with possible lower extremity disease:What is your typical activity level?Do you experience any discomfort in the calf, thigh, buttock or hip area that occurs with walking, climbing stairs?Describe the symptom, onset, duration and resolution?Do you experience rest pain, leg pain when in bed?Have you had any sores or skin ulcerations that won’t heal?Any changes in the color, temperature or appearance of your skin?Any problems with impotence or pain in your genitals? www.radclinic.com
  • 17.
  • 18.
    Visual Cues toPAD and Arterial InsufficiencyCool, dry, atrophic skin on legsMay have signs of cellulitisThickened or deformed nails-dystrophicHair loss or uneven distribution on legsMuscle weakness or atrophyBruits on auscultation Ulcers or wounds on lower extremities Gangrenewww.radclinic.com
  • 19.
  • 20.
    PAD Diagnostic TestsNon-invasive tests1ABI (Ankle/Brachial Index) Exercise TestSegmental PressuresSegmental Volume PlethysmographyDuplex UltrasonographyMRA (Magnetic Resonance Arteriography)CTA (Computed TomographicArteriography)Invasive tests1Peripheral Angiography1. Krajewski and Olin Chapter 11 Peripheral Vascular Disease. 2nd ed. 1996www.radclinic.com
  • 21.
  • 22.
  • 23.
    ADA Consensus PanelRecommendsABI Screening for:Patients over the age of 50 years who have diabetesPatients with diabetes younger than 50 years of age who have other PAD risk factors (ie. Smoking, hypertension, hyperlipidemia, diabetes more than 10 years)ABI should be repeated in 5 years if normalIf ABI is abnormal, then patient should be referredSource: Peripheral Arterial Disease in People with Diabetes, ADA, Consensus Statement, Diabetes Care, Volume 26, Number 12, December 2003.www.radclinic.com
  • 24.
    The Ankle-Brachial Index Lower extremity systolic pressure Brachial artery systolic pressureABI =Normal 0.95-1.2PAD <0.90Rest pain/ulceration <0.40The Ankle-Brachial Index is 95% sensitive and 99% specific for PADBoth ankle and brachial systolic pressures are obtained using a hand-held Doppler instrumentSource: Peripheral Arterial Disease in People with Diabetes, ADA, ConsensusStatement, Diabetes Care, Volume 26, Number 12, December 2003.www.radclinic.com
  • 25.
    PAD Treatment OptionsMedicalRisk Factor Modification*Exercise Therapy*Drug Therapy* Endovascular TherapyPeripheral Transluminal Angioplasty*Peripheral Stenting*AtherectomyThrombolytic Therapy (adjunctive)SurgeryBypass Grafts*Amputation*Endarterectomy**Rosenfield K, Isner JM, Chap. 97 Textbook of Cardiovascular Medicine 1998www.radclinic.com
  • 26.
  • 27.
    Critical Limb Ischemia/Limb SalvageFrontrunner100% SFASFA postPatent peroneal with runoff to footSilverhawkZero runoff
  • 28.