ASTHMA
CASE No 1
age: 66
• Dan B. Pascaru
• HTA from age 45
– Amlodipine
– Perindopril
Case No 1
• Stopped medication in sept 2018
CASE No 1
• Symptoms (2 days)
– Coughing
– Dyspneea
• Signs:
– Wheezing
– Crackles
CASE No 1
• Symptoms (2 days)
– Coughing
– Dyspneea
• Signs:
–Wheezing
– Crackles
DIAGNOSIS
• ACUTE EXACERBATION OF ASTHMA ?
Laboratory Tests ?
FIRST LINE SECOND LINE
Laboratory Tests
FIRST LINE
• Complete blood count
• Biochemistry
• Coagulation
• Arterial Blood Gases
• BNP
SECOND LINE
• Sputum examination
Laboratory Tests
FIRST LINE
• Complete blood count
• Biochemistry
• Coagulation
• Arterial Blood Gases
• BNP = 12.000
SECOND LINE
• Sputum examination
Beta2 mimetics ! prof
• Tachycardia
• Arrhytmias
• Myocardial ischemia
Case No 2
age: 16
Melinda Pasca
• History of asthma
• 2 crisis at age of 14
• 2 crisis/year
• No medication
Case No 2
Symptoms (2 hours)
• tachypnea
• acute shortness of breath
• audible wheezing
“I feel like a fish out of water”
Signs:
Wheezing
HR 110, RR 40
DIAGNOSIS
• ACUTE EXACERBATION OF ASTHMA ?
Laboratory Tests ?
FIRST LINE SECOND LINE
Laboratory Tests
FIRST LINE
• Complete blood count
• Biochemistry
• Coagulation
• Arterial Blood Gases
• BNP
SECOND LINE
• Sputum examination
Laboratory Tests
FIRST LINE
• Complete blood
count
• Biochemistry
• Coagulation
• Arterial Blood Gases
• BNP
SECOND LINE
• Sputum examination
Complete blood count
• Hb=12,7
• WBC=7000
• Pl=230.000
• Eosinophil count=15%
N=(1-4%)
• ESR=14 mm (N=0-9mm)
• CRP=N
• Fbg=N
Paraclinical Tests
FIRST LINE
• EKG
• Chest radiograph
• Echocardiography
SECOND LINE
• Spirometry
Paraclinical Tests
FIRST LINE
• EKG
• Chest radiograph
• Echocardiography
SECOND LINE
• Spirometry
Laboratory Tests
FIRST LINE
• EKG
• Chest radiograph
• Echocardiography
SECOND LINE
• Spirometry
Laboratory Tests
FIRST LINE
• Complete blood count
• Biochemistry
• Coagulation
• Arterial Blood Gases
• BNP
SECOND LINE
• Sputum examination
Arterial Blood Gases ?
pH PaCO2 HCO3
- PaO2
   (Slightly) 
pH= 7.5, PaCO2= 27, HCO3- =22 PaO2= 75
Laboratory Tests
FIRST LINE
• Complete blood count
• Biochemistry
• Coagulation
• Arterial Blood Gases
• BNP=120
SECOND LINE
• Sputum examination
DIAGNOSIS: ASTHMA
• Mild ?
• Moderate ?
• Severe ?
ASTHMA
DEFINITION
Chronic or acute disease ?
DEFINITION
• Common chronic disorder of the airways
• Characterized by
– Variable and recurring symptoms
– Airflow obstruction
– Bronchial hyperresponsiveness
– And underlying inflamation
In a class of 30 students, you can expect
2 to 3 students WILL have asthma
Etiology
• Extrinsic asthma
– Allergic or atopic asthma
• Intrinsic asthma
– Nonallergic or nonatopic asthma
Anatomic Alterations of the Lungs
• Smooth muscle constriction of bronchial airways
(bronchospasm)
• Excessive production of thick, whitish, tenacious bronchial
secretions
• Hyperinflation of alveoli (air-trapping)
• Mucus plugging and, in severe cases, atelectasis
Figure 13-2. The immunologic mechanisms in asthma.
Intrinsic Asthma
(Nonallergic or Nonatopic Asthma)
• Infections
• Exercise and cold air
• Industrial pollutants or occupational exposure
• Drugs, food additives, and food preservatives
• Gastroesophageal reflux
• Sleep (nocturnal asthma)
• Emotional stress
• Premenstrual asthma
PHYSICAL EXAMINATION
Vital signs
• Increased respiratory rate
• Increased heart rate, cardiac output,
blood pressure
Clinical Data
Figure 2-12. Percussion becomes more hyperresonant with alveolar hyperinflation.
Figure 2-17. As air trapping and alveolar hyperinflation develop in obstructive lung diseases,
breath sounds progressively diminish.
Chest assessment findings
• Expiratory prolongation 1:3, 1:4
• Decreased tactile and vocal fremitus
• Hyperesonant percussion
• Diminished breath sounds
• Diminished heart sounds
• Wheezing and rhonchi
Clinical Data
• General findings
• Use of accessory muscles of inspiration
• Use of accessory muscles of expiration
• Pursed-lip breathing
• Substernal intercostal retractions
• Increased anteroposterior chest diameter (barrel
chest)
• Cyanosis
• Cough and sputum production
• Pulsus paradoxus ?
Clinical Data
Pulsus paradoxus
• Decreased blood pressure during inspiration
• Increased blood pressure during expiration
Clinical Data
Paradoxical pulse
• = abnormally large decline in systolic arterial
pressure during inspiration
NONPULMONARY MANIFESTATIONS
• Signs of atopy or allergic rhinitis
• Skin atopic dermatitis, eczema, or other
manifestations of allergic skin conditions.
LABORATORY TESTS
Laboratory Tests
FIRST LINE
• Complete blood count
• Biochemistry
• Coagulation
• Arterial Blood Gases
• BNP
SECOND LINE
• Sputum examination
Laboratory Tests
FIRST LINE
• Complete blood
count
• Biochemistry
• Coagulation
• Arterial Blood Gases
• BNP
SECOND LINE
• Sputum examination
COMPLETE BLOOD COUNT
- Blood eosinophilia greater than 4% or 300-400/µL is
consistent with the diagnosis of asthma, but
- a normal value is not exclusionary.
- IgE >100 IU patients with allergic reactions
- test for allergic sensitivity :
- allergy skin tests (Prick test)
- blood radioallergosorbent tests (RAST).
Paraclinical Tests
FIRST LINE
• EKG
• Chest radiograph
• Echocardiography
SECOND LINE
• Pulmonary Function Study
Paraclinical Tests
FIRST LINE
• EKG
• Chest radiograph
• Echocardiography
SECOND LINE
• Pulmonary Function Study
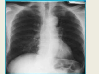
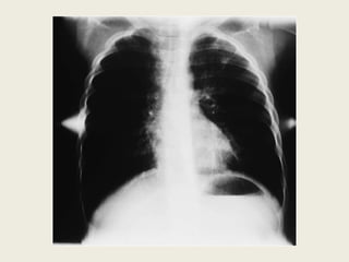
Radiologic Findings
Chest radiograph
• Normal
• Hyperinflation
– Increased anteroposterior diameter
– Translucent (dark) lung fields
– Depressed or flattened diaphragm
Laboratory Tests
FIRST LINE
• Complete blood count
• EKG
• Chest radiograph
• Arterial Blood Gases
• BNP
SECOND LINE
• Sputum examination
ABG
• pH=7,35-7,45
• paCO2=35-45mmHg
• SaO2=93-98%
• paO2=80-100mmHg
• HCO3=24-26mEq/l
Arterial Blood Gases
Mild to Moderate Asthma Episode
 Acute alveolar hyperventilation with hypoxemia
pH PaCO2 HCO3
- PaO2
   (Slightly) 
Arterial Blood Gases
Severe Asthmatic Episode (Status Asthmaticus)
 Acute ventilatory failure with hypoxemia
pH PaCO2 HCO3
- PaO2
   (Significantly) 
Laboratory Tests
FIRST LINE
• Complete blood count
• EKG
• Chest radiograph
• Arterial Blood Gases
• BNP
SECOND LINE
• Pulmonary Function Study
• Sputum examination
ratio
RESTRICTIVE
OBSTRUCTIVE
NORMAL
OBSTRUCTION
AFTER BRONCHODILATOR
Laboratory Tests
FIRST LINE
• Complete blood count
• Biochemistry
• Coagulation
• Arterial Blood Gases
• BNP
SECOND LINE
• Sputum examination
Sputum examination
• Eosinophils
• Charcot-Leyden crystals (see next slide)
• Casts of mucus from small airways
–called Kirschman spirals
• IgE level (elevated in extrinsic asthma)
Charcot-Leyden Crystals
Needle shaped crystals -
Represents breakdown products of
eosinophils
DIFFERENTIAL DIAGNOSIS ?
• LEFT HEART FAILURE
• COPD
HEART FAILURE
COPD
• Pulmonary Function Testing
-the degree of reversibility in FEV1 which indicates a
diagnosis of asthma is generally accepted as
≥ 12% and
≥ 200 ml
from the pre-bronchodilator value the administration of a
short-acting bronchodilator.
PARACLINICAL EXAMINATIONS
Figure 9-10. Bronchospasm clinical scenario (e.g., asthma).
ASTHMA
Figure 9-11. Excessive bronchial secretions clinical scenario.
COPD
GINA
FEV 1 > 80%
GINA
FEV 1 > 80%
FEV 1 > 80%
GINA
FEV 1 =60- 80%
FEV 1 > 80%
FEV 1 > 80%
GINA
FEV 1 =60- 80%
FEV 1<60%
FEV 1 > 80%
FEV 1 > 80%
TREATMENT
1. Wich of the folowing are clinical
findings in asthma ?
a) Wheezing
b) Retrosternal thoracic Pain
c) Diminished breath sounds at auscultation
d) Decreased heart rate (bradycardia)
e) Hepatomegaly, jugular distension and edema
2. In asthma, laboratory tests show:
a) Elevated BNP > 12.000
b) Increased anteroposterior diameter in X-ray
c) Elevated pH in mild to moderate asthma
d) restrictive respiratory disfunction in
spirometry
e) Thrombus in right pulmonary artery
3. What is the treatment for acute
asthmatic chrisis ?
a) Symbicort 3-4 times a day
b) Spiriva 1/day
c) Salbutamol
d) Oxygen
e) Intravenous Amynophiline
TREATMENT
TREATMENT
• 1
• 2
• 3
• 4
• 5
• 6
cromones
R
1 2 3 4 5
IgE
antagonist
CLASSIFICATION 3
bronchospasm
anticholinergics
methylxanthines
beta2 simpaticomimetics
Inflamation and edema
glucocorticosteroids
Mastocite degranulation
Phosphodiesterase-4 inhibitors
1
2
3
4
5
Leukotriene inhibitors 6
CLASIFICATION 3
bronchospasm
anticholinergics
methylxanthines
beta2 simpaticomimetics
Inflamation and edema
glucocorticosteroids
Mastocite degranulation
Phosphodiesterase-4 inhibitors
1
2
3
4
5
Leukotriene inhibitors 6
bronchospasm
anticholinergics
methylxanthines
beta2 simpaticomimetics
Inflamation and edema
glucocorticosteroids
Mastocite degranulation
Phosphodiesterase-4 inhibitors
1
2
3
4
5
Leukotriene inhibitors 6
BRONCHOSPASM
anticholinergics
simpaticomimetics
methilxantines
2
3
vegetativ
direct
bronchospasm
anticholinergics
methylxanthines
beta2 simpaticomimetics
Inflamation and edema
glucocorticosteroids
Mastocite degranulation
Phosphodiesterase-4 inhibitors
1
2
3
4
5
Leukotriene inhibitors 6
bronchospasm
anticholinergics
methylxanthines
beta2 simpaticomimetics
Inflamation and edema
glucocorticosteroids
Mastocite degranulation
Phosphodiesterase-4 inhibitors
1
2
3
4
5
Leukotriene inhibitors 6
bronchospasm
anticholinergics
methylxanthines
beta2 simpaticomimetics
Inflamation and edema
glucocorticosteroids
Mastocite degranulation
Phosphodiesterase-4 inhibitors
1
2
3
4
5
Leukotriene inhibitors 6
Beta2 agonists
• Short-acting
• FENOTEROL
• SALBUTAMOL
• TERBUTALINE
• Long-acting
• FORMOTEROL
• SALMETEROL
1
4 hours 12 hours
Beta2 agonists
• Short-acting
• FENOTEROL =BEROTEC
• SALBUTAMOL =VENTOLIN
• TERBUTALINE =BRYCANIL
• Long-acting
• FORMOTEROL=OXIS
TURBUHALER
• SALMETEROL=SEREVENT
1
4 hours
SELECTIVES 12 hours
bronchospasm
anticholinergics
methylxanthines
beta2 simpaticomimetics
Inflamation and edema
glucocorticosteroids
Mastocite degranulation
Phosphodiesterase-4 inhibitors
1
2
3
4
5
Leukotriene inhibitors 6
Anticholinergics
• Short-acting
• IPRATROPIUM
BROMIDE
• OXITROPIUM
BROMIDE
• Long-acting
• TIOTROPIUM
2
Anticholinergics
• Short-acting
• IPRATROPIUM
BROMIDE=IPRAVENT
• OXITROPIUM
BROMIDE=ATROVENT
• Long-acting
• TIOTROPIUM =SPIRIVA
2
24 hours
6 hours
bronchospasm
anticholinergics
methylxanthines
beta2 simpaticomimetics
Inflamation and edema
glucocorticosteroids
Mastocite degranulation
Phosphodiesterase-4 inhibitors
1
2
3
4
5
Leukotriene inhibitors 6
Methylxantines
• Short-acting
• Aminophyline
• Long-acting
• Theophyline (SR)
3
Methylxantines
• Short-acting
• Aminophyline
=MIOFILIN
• Long-acting
• Theophyline (SR)
3
bronchospasm
anticholinergics
methylxanthines
beta2 simpaticomimetics
Inflamation and edema
glucocorticosteroids
Mastocite degranulation
Phosphodiesterase-4 inhibitors
1
2
3
4
5
Leukotriene inhibitors 6
Glucocorticosteroids
• Systemic
• Prednisone
• Methyl-prednisolone
• Inhaled
• Beclomethasone
• Budesonide
• Fluticasone
4
HHC in acute form Long action
Glucocorticosteroids
• Systemic
• Prednisone
• Methyl-prednisolone
• Inhaled
• Beclomethasone=BECOTIDE
• Budesonide=PULMICORT
• Fluticasone=FLIXOTIDE
4
HHC in acute form Long action
bronchospasm
anticholinergics
methylxanthines
beta2 simpaticomimetics
Inflamation and edema
glucocorticosteroids
Mastocite degranulation
Phosphodiesterase-4 inhibitors
1
2
3
4
5
Leukotriene inhibitors 6
Phosphodiesterase-4inhibitors
• Cromolyn
• Nedocromil
5
Phosphodiesterase-4inhibitors
• Cromolyn =INTAL
• Nedocromil=TILADE
5
bronchospasm
anticholinergics
methylxanthines
beta2 simpaticomimetics
Inflamation and edema
glucocorticosteroids
Mastocite degranulation
Phosphodiesterase-4 inhibitors
1
2
3
4
5
Leukotriene inhibitors 6
Leukotriene -inhibitors
• Montelukast
• Zafirlukast
• Zileuton
6
Leukotriene -inhibitors
• Montelukast =SINGULAIR
• Zafirlukast=ACCOLATE
• Zileuton=ZYFLO
1/day
2/day
4/day
6
COMBINATIONS – in one inhaler
• Short-acting
β 2 agonist plus
anticholinergic
FENOTEROL+IPRATROPIUM
SALBUTAMOL+IPRATROPIUM
• Long-acting
β 2 agonist
plusglucocorticosteroids
FORMOTEROL+BUDESONIDE
SALMETEROL+FLUTICASONE
COMBINATIONS – in one inhaler
• Short-acting
β 2 agonist plus
anticholinergic
FENOTEROL+IPRATROPIUM=
BERODUAL
SALBUTAMOL+IPRATROPIUM=
COMBIVENT
• Long-acting
β 2 agonist
plusglucocorticosteroids
FORMOTEROL+BUDESONIDE=
SYMBICORT
SALMETEROL+FLUTICASONE=
SERETIDE
25/50 25/125 25/250
ASTHMATIC CRISYS TREATMENT
• ?
• ?
• ?
• ?
• ?
ASTHMATIC CRISIS TREATMENT
• 1)Beta2 mimetics (VENTOLIN)
• 2)ATROVENT (IPRATROPIUM BROMIDE)
• 3)AMYNOPHILINE (Miofilin 1-1-1 inj//day)
• 4) HHC 100mg (1-0-1 inj/day)
• 5)______
• 6)______
ASTHMATIC CRISIS TREATMENT
• Oxygen
• Antibiotics : Ampiciline, Cefalosporines, Quinolones
• Mucolitics: water, Acetilcisteine 3/day, Bromhexine.
• Bicarbonate
• ADRENALINE 0,3-0,5 ml
• Prednisone 30-40 mg/day < 5 mg/5 days
• Mechanical ventilation
CHRONICAL TREATMENT
• 1)Long acting beta 2 mimetics: Serevent
• 2)___________COPD
• 3)Teotard
• 4) inhaled glucosteroids: Becotide, Pulmocort, Flixotide
• 5) Cromolyn, Nedocromil
• 6)Leukotriene inhibitors: Singulair, zafirlukast, Zileuton
CLASSIFICATION 2
Beta2 mimetics !
• Tachycardia
• Arrhytmias
• Myocardial ischemia
OMALIZUMAB
• Monoclonal antibody
against IgE
• Expensive and requires
monthly injections
• Most effective if
allergies trigger asthma
• Children with
documented allegries
• Not for children without
allergies
cromones
R
1 2 3 4 5
IgE
antagonist
Asthma oct  2021 romani pptx
Asthma oct  2021 romani pptx

Asthma oct 2021 romani pptx

Editor's Notes

  • #2 We will start with 2 case presentations. I would like to see your information about asthma
  • #7 Sustain your clinical diagnosis
  • #10 I will tell you only the value of BNP and you will tell me if this is CF or Asthma
  • #11 Prin efectul beta 1
  • #12 His daughtert
  • #13 No signs on physical examiation
  • #25 Hyperpneea  elimination of CO2 PaCO2=35-45 HCO#=24-27 PaO2>80 pH 7,35-7,45 RESPIRATORY ALCALOSIS greater than 110 indicates pt is on supplemental oxygen.
  • #27 What form ? There is a clasification of Asthma
  • #39 usually, the cough is nonproductive and nonparoxysmal. -children with nocturnal asthma tend to cough after midnight and during the early hours of morning.
  • #43 in the mildest form, wheezing is only end expiratory. in a more severe asthmatic episode, wheezing is also present during inspiration.
  • #44 Obtained at the Patient’s Bedside Other signs
  • #45 Severe asthma
  • #52 Total serum immunoglobulin E levels greater than 100 IU are frequently observed in patients with allergic reactions. Two methods are available to …to specific allergens in the environment
  • #74 -Gastroesophageal reflux - Obstruction of the upper airways and inhalation of foreign bodies - Dysfunction of the vocal cords - Non-obstructive pulmonary diseases (diffuse interstitial pneumopathy) - Pulmonary thromboembolism - Hyperventilation syndrome and panic attack.
  • #97 1 nu este necesara medicatia de fond 2. De elective corticoizi-doza mica low 3. Treapta 3: corticoizi doza moderata sau corticoizi doza mica+ betaagonisti cu durata lunga de actiune; ca si alternative este:corticoizi cu antileucotriene sau corticoizi cu teofilina retard sau corticoizi cu anticolinergice cu durata lunga (tiotropium rec) 4. Corticoizi in doza mare+beta 2 agonisti cu durata lunga de actiune sau doza mare de corticoizi sau antileucotriene sau teofilina sau anticolinergice
  • #107 Neselective: adrenalina alfa=beta, isoprenalina beta1 si beta2 Selective-cele enumerate beta2>> beta1 BEROTEC VENTOLIN BRYCANIL REMINDER: Bronchodilators relieve symptoms but cannot reduce or prevent the swelling of airways that cause the symptoms. Debutul efectului la 5 minute dureaza 4 ore 4 doze/zi. OXIS TURBUHALER SEREVENT Debutul efectului la 3 ore dureaza 12 ore nu in acut ci in tratamentul cronic si profilaxia crizelor de astm ex: astmul indus de effort.
  • #108 Neselective: adrenalina alfa=beta, isoprenalina beta1 si beta2 Selective-cele enumerate beta2>> beta1 BEROTEC VENTOLIN BRYCANIL REMINDER: Bronchodilators relieve symptoms but cannot reduce or prevent the swelling of airways that cause the symptoms. Debutul efectului la 5 minute dureaza 4 ore 4 doze/zi. OXIS TURBUHALER SEREVENT Debutul efectului la 3 ore dureaza 12 ore nu in acut ci in tratamentul cronic si profilaxia crizelor de astm ex: astmul indus de effort.
  • #111 IPRAVENT=ipatropium bromide ATROVENT Efect in 15 minute, durata 6 ore SPIRIVA 24 ore deci nu se foloseste in urgenta
  • #112 IPRAVENT=ipatropium bromide ATROVENT Efect in 15 minute, durata 6 ore SPIRIVA 24 ore deci nu se foloseste in urgenta
  • #114 200 mg de 2 ori/ zi la copii si adolescenti 350 mg Theotard de 2 ori/zi
  • #115 200 mg de 2 ori/ zi la copii si adolescenti 350 mg Theotard de 2 ori/zi
  • #118 BECOTIDE PULMICORT FLIXOTIDE Doar pt tratament de intretinere Oral:are used for short-term treatment (3-10 d) to gain prompt control of inadequately controlled acute asthmatic episodes. I.V. corticosteroids are used in the acute phase of asthma.
  • #119 BECOTIDE PULMICORT FLIXOTIDE Doar pt tratament de intretinere Oral:are used for short-term treatment (3-10 d) to gain prompt control of inadequately controlled acute asthmatic episodes. I.V. corticosteroids are used in the acute phase of asthma.
  • #122 INTAL TILADE
  • #123 INTAL TILADE
  • #125 SINGULAIR 1/zi oraly ACCOLATE 2/zi oraly Zyflo 4/zi oraly
  • #126 SINGULAIR 1/zi oraly ACCOLATE 2/zi oraly Zyflo 4/zi oraly
  • #128 Nu sunt cu durata lunga beta2 si anticolinergic SERETIDE25/50 microgr 25/125 microgr 25/250 microgr Cele long-acting nu sunt eficiente in acut
  • #129 Nu sunt cu durata lunga beta2 si anticolinergic SERETIDE25/50 microgr 25/125 microgr 25/250 microgr Cele long-acting nu sunt eficiente in acut
  • #141 Prin efectul beta 1
  • #145 1 nu este necesara medicatia de fond 2. De elective corticoizi-doza mica low 3. Treapta 3: corticoizi doza moderata sau corticoizi doza mica+ betaagonisti cu durata lunga de actiune; ca si alternative este:corticoizi cu antileucotriene sau corticoizi cu teofilina retard sau corticoizi cu anticolinergice cu durata lunga (tiotropium rec) 4. Corticoizi in doza mare+beta 2 agonisti cu durata lunga de actiune sau doza mare de corticoizi sau antileucotriene sau teofilina sau anticolinergice
  • #146 You must know that asthmatics can play sports There are many asthmatics players: David Backhamp
  • #147 And don’t forget Mark Spitz who won 7 gold medals in swimming in the same Olimpics who was also asthmatic.