OEDEMA PATHOPHYSIOLOGY
OEDEMA
Definition and types
• The Greek word oedema means swelling. Oedema may be
defined as abnormal and excessive accumulation of fluid in the
interstitial tissue spaces and serous cavities.
• The presence of abnormal collection of fluid within the cell is
sometimes called intracellular oedema but should more
appropriately be called hydropic degeneration.
• The accumulation of fluid in the body cavities is correspondingly
known as ascites (in the peritoneal cavity), hydrothorax or pleural
effusion (in the pleural cavity) and hydropericardium or pericardial
effusion (in the pericardial cavity)
The oedema may be of 2 main types.
• Localized in the organ and limb; and
• Generalized (anasarca or dropsy) when it is systemic in
distribution, particularly noticeable in the subcutaneous tissues.
• Besides, there are a few special forms of oedema. The oedema
fluid lies free in the interstitial space between the cells and can
be displaced from one place to another. In the case of oedema
in the subcutaneous tissue, momentary pressure of finger
produces a depression known as pitting oedema. The other
variety is nonpitting or solid oedema in which no pitting is
produced on pressure e.g. in myxoedema, elephantiasis.
OEDEMA
THE PHYSIOLOGY OF OEDEMA.
2nd Year Pathology
2010
• Extravascular fluid collections can be classified as
follows:
• Exudate: rich in protein and/or cells (grossly cloudy)
• Transudate: an ultrafiltrate of plasma with little protein and few
or no cells (grossly clear)
• Oedema = increased volume of fluid in interstitial space
• Effusion = increased fluid in a body cavity
• pleural / pericardial / peritoneal cavity
• Oedema and effusions have similar pathogenesis
THE PHYSIOLOGY OF OEDEMA.
2nd Year Pathology 2010
NORMAL HOMEOSTASIS
• Movement of fluid between microcirculation (arterioles,
capillaries, veins) and interstitium dependent on
• intravascular hydrostatic pressure
• intravascular colloid osmotic pressure
• Normally
• net outflow at arteriolar end (hydrostatic > osmotic)
• no net flow across capillaries (hydrostatic = osmotic)
• net inflow at venular end (hydrostatic < osmotic)
• any excess interstitial fluid removed by lymphatics
• no net increase in interstitial fluid volume
FLUID BALANCE
• Body is 60% water
• Intracellular (70%)
• Intravascular (5%)
• Interstitial (25%)
FLUID REGULATION
• Brain controls thirst
• Kidneys control elimination of fluid
• Blood plasma proteins pull fluid into the bloodstream
• Cell membrane and capillary permeability regulate flow
in and out
FLUID DISRUPTION
• Fluid loss (dehydration)
• Decrease in total water volume
• Fluid distribution
• Water not getting to where it’s needed
• Edema
• Too much water in some parts of the body
HYDROSTATIC PRESSURE:
• Intra-capillary vs interstitial
• Capillary pressures vary:
• Nail bed capillaries: 32 mmHg at arteriolar end and 15 mmHg at
venous end. Mean 25 mmHg.
• Hydrostatic pressure gradient:
• Intra-capillary hydrostatic pressure – interstitial fluid hydrostatic
pressure
INTERSTITIAL HYDROSTATIC PRESSURE:
• Varies from one organ to another:
• Subcutaneous tissue: Subatmospheric (-2 mmHg)
• Liver, kidney: +
• Brain: As high as 6 mmHg
ONCOTIC PRESSURE:
• Capillary wall usually impermeable to plasma proteins
and other colloids.
• Only water and small solutes cross capillary wall.
• Crystalloids vs colloids
• These colloids exert an osmotic pressure of about 25
mmHg.
• The colloid osmotic pressure due to the plasma
colloids=oncotic pressure.
OEDEMA:
• Due to disturbance in hydrostatic and/or oncotic
pressure between intra-capillary and interstitial
component.
ORGAN SPECIFIC:
• Brain: Cerebral oedema
• Lung: Intra-alveolar=pulmonary oedema, intra-
pleural=pleural effusion
• Peritoneum=ascites
• Severe generalized oedema=anasarca
REDUCED ONCOTIC PRESSURE:
• Reduction in production of colloids--- plasma proteins.
• Liver failure
• Malnutrition
• Increase in loss of colloids--- plasma proteins.
• Nephrotic syndrome
• Catabolic states
INCREASE CAPILLARY HYDROSTATIC
PRESSURE:
• Venous end: Heart failure, deep venous thrombosis, superior
vena cava obstruction etc.
• Arterial end: Pre-capillary dilatation. Calcium channel blockers.
INCREASED INTERSTITIAL ONCOTIC
PRESSURE:
• Lymphatic obstruction:
• Primary vs secondary group.
CAPILLARY LEAKS:
• Result of capillary damage:
• Pleura: Infections, tumors
• Alveoli: Inhalation of noxious substance, eg chlorine
gas etc
DIVERSE CAUSES OF OEDEMA:
• Anaemia
• Hypothyroidism
HORMONES INVOLVED IN EDEMA:
• Renin angiotensin aldosterone system: secondary
hyperaldosteronism
• ADH (Vasopressin)
• ANP
CLINICAL PHYSIOLOGICAL APPROACH
TO EDEMA:
• Hypervolemia:
• Vs
• Normovolemia:
JUGULAR VENOUS PRESSURE:
• Elevated and pulsating:
• =hypervolemia
• Then edema:
• Due to increased capillary hydrostatic pressure:
• Cardiac failure, or isolated RV (pulm HT)
• Hypervolemia caused by transfusion
NORMAL JVP:
• Unilateral
• Unilateral increase in capillary pressure
• Deep venous thrombosis
• OR:
• Unilateral increase in interstitial colloid osmotic pressure
• Lymphatic obstruction (radiation, filariasis, congenital)
• Edema due to capillary hypertension with normal venous
pressure:
• Pre-capillary dilatation:
• Calcium channel blockers
GENERALIZED EDEMA WITHOUT
HYPERVOLEMIA:
• Decreased capillary colloid oncotic pressure: liver,
kidney, catabolic states, malnutrition.
• Increased interstitial colloid oncotic pressure:
lymphatic.
• Increase in capillary permeability: Inflammation, toxins,
severe anaemia
PRESSURE CHANGES IN THE HEART:
• Atria: Study curve in Ganong: jugular venous pressure curve,
also known as flobogram, indicative of pressure changes in
superior vena cava/ right atrium.
• 3 waves in the curve:
• a-wave: atrial systole
• c-wave: bulging of tricuspid valve into R atrium
• v-wave: rise in atrial pressure, just before tricuspid valve opens
during diastole.
• Clinical application of these 3 waves:
• Sinus rhythm or not.
• Pulmonary hypertension
• 3`rd degree heart block
• Patency between SVC and RA
• Tricuspid regurgitation and stenosis
Oedema fluid may be:
• 1] transudate which is more often the case, such as in oedema
of cardiac and renal disease; or
• 2] exudate such as in inflammatory oedema.
The differences between transudate and exudate are tabulated.
2nd Year Pathology
2010
• Transudates:
• Serous:
• mainly edema fluid, very few cells
• pleural effusion = hydrothorax
• pericardial effusion = hydropericardium
• peritoneal effusion = hydroperitoneum / ascites
• Serosanguinous:
• serous fluid + red blood cells
• Causes:  hydrostatic pressure,  oncotic
pressure, salt and water retention
2nd Year Pathology
2010
• Exudates:
• Fibrinous (serofibrinous):
• protein-rich exudate containing fibrin strands
• Purulent:
• numerous inflammatory cells, mainly neutrophils
• (also called "empyema" in the pleural space)
• Causes: Inflammation / infection
• e.g. Pleural effusion due to pulmonary infarct
(fibrinous)/ pneumonia (purulent)
PATHOGENESIS OF OEDEMA
• Oedema is caused by mechanisms that interfere with normal
fluid balance of plasma, interstitial fluid and lymph flow. The
following six mechanisms may be operating singly or in
combination to produce oedema;
36
1) Capillary permeability
2) Hydrostatic pressure of intracapillary fluid
3) Oncotic pressure of intracapillary fluid
4) Oncotic pressure of interstitial fluid
5) Tissue resistance
6) Lymphatic drainnage
7) Renal hormonal factors
8) Atrial natriüretic peptide
PATHOGENESIS OF OEDEMA
PATHOGENESIS OF OEDEMA
• Decreased plasma oncotic pressure.
• increased capillary hydrostatic pressure
• lymphatic obstruction.
• tissue factors (increased oncotic pressure of interstitial fluid, and
decreased tissue tension).
• increased capillary permeability.
• sodium and water retention.
1. DECREASED PLASMA ONCOTIC
PRESSURE:
• The plasma oncotic pressure exerted by the total amount of plasma
proteins tends to draw fluid into the vessels normally. A fall in the
total plasma protein level (hypoproteinaemia of less than 5 g/dl),
results in lowering of plasma oncotic pressure in a way that it can no
longer counteract the effect of hydrostatic pressure of blood. This
results in increased outward movement of fluid from the capillary
wall and decreased inward movement of fluid from the interstitial
space causing oedema. Hypoproteinaemia usually produced
generalized oedema (anaasarca). Out of the various plasma
proteins, albumin has four times higher plasma oncotic pressure
that globulin so that it is hypoalbuminemia (albumin below 2.5 g/dl)
that results in oedema more often.
• The examples of oedema by this mechanisms are seen in the
following conditions:
• Oedema of renal disease e.g. in nephrotic syndrome, acute
glomerulonephritis.
• Ascites of liver disease e.g. in cirrhosis.
• Oedema due to other causes of hypoproteinaemia e.g. in
protein-losing enteropathy
2. INCREASED CAPILLARY HYDROSTATIC
PRESSURE:
• The hydrostatic pressure of the capillary is the force that
normally tends to drive fluid through the capillary wall into the
interstitial space by counter acting the force of plasma oncotic
pressure. A rise in the hydrostatic pressure at the venular end of
the capillary which is normally low (average 12 mmHg) to a level
more than the plasma oncotic pressure results in minimal or no
reabsorption of fluid at the venular end, consequently leading to
oedema.
• The examples of oedema by this mechanisms are seen in the
following disorders:
• Oedema of cardiac disease e.g. in congestive cardiac failure,
constrictive pericarditis.
• Ascites of liver disease e.g. in cirrhosis of liver.
• Passive congestion e.g. in mechanical obstruction due to
thrombosis of veins of the lower legs, varicosities, pressure by
pregnant uterus, tumors et.
• Postural oedema e.g. transient oedema of feet and ankles due
to increased venous pressure seen in individuals who remain
standing erect for longtime such as traffic constables.
3.LYMPHATIC OBSTRUCTION:
• Normally the interstitial fluid in the tissue spaces escapes by
way of lymphatics so that obstruction to outflow of these
channels causes localized oedema, known as lymphoedema.
• The examples of lymphoedema include the following:
• Removal of axillary lymph nodes in radical mastectomy for carcinoma of the breast
produces lymphoedema of the affected arm.
• Pressure from outside on the main abdominal or thoracic duct such as due to
tumours, effusions in serous cavities etc may produce lymphoedema. At times,
the main lymphatic channel may rupture and discharge chyle into the pleural cavity
(chylothorax) or into peritoneal cavity (chylous ascites).
• Inflammation of the lymphatics as seen in filariasis (infection with Wuchereria
bancrofti) results in chronic lymphoedema of scrotum and legs known as
elephantiasis.
• Occlusion of lymphatic channels by malignant cells may result in lymphoedema.
• Milroy's disease or hereditary lymphoedema is due to abnormal development of
lymphatic channels. It is seen in families and the oedema is mainly confined to one
or both the lower limbs.
4. TISSUE FACTORS:
• The forces acting in the interstitial space – oncotic pressure of
the interstitial space and tissue tension,are normally quite small
and insignificant to counteract the effect of plasma oncotic
pressure and capillary hydrostatic pressure respectively.
However,in some situations, the tissue factors in combination
with other mechanisms play a role in causation of oedema.
These are as under:
• Elevation of oncotic pressure of interstitial fluid as occurs due to
increased vascular permeability and inadequate removal of
proteins by lymphatics.
• Lowered tissue tension as seen in loose subcutaneous tissues
of eyelids and external genitalia.
5. INCREASED CAPILLARY PERMEABILITY:
• As described previously, an intact capillary endothelium is a
semipermeable membrane which permits the free flow of water
and crystalloids but allows minimal passage of plasma proteins
normally. However, when the capillary endothelium is injured by
various 'capillary poisons' such as toxins and their products,
histamine, anoxia, venoms,certain drugs and chemicals, the
capillary permeability to plasma proteins is enhanced due to
development of gaps between the endothelial cells. This, in turn,
causes reduced plasma oncotic pressure and elevated oncotic
pressure of interstitial fluid which consequently produces
oedema.
• The examples of oedema by this mechanism are seen in the
following conditions:
• Generalized oedema due to increased vascular permeability
may occur in systemic infections,poisonings, certain drugs and
chemicals,anaphylactic reactions and anoxia.
• Localized oedema such as:
• - Inflammatory oedema as seen in infections,allergic reactions,
insect-bite, irritant drugs and chemicals. It is generally exudate
in nature.
• - Angioneurotic oedema is an acute attack of localized oedema
occurring on the skin of face and trunk and may involve lips,
larynx, pharynx and lungs. It is possibly neurogenic or allergic in
origin.
6. SODIUM AND WATER RETENTION:
• Before describing the mechanism of oedema by sodium and
water retention, it is essential to recollect the normal regulatory
mechanism of sodium and water balance.
• Normally, about 80% of sodium is reabsorbed by the proximal
convoluted tubule under the influence of intrinsic renal
mechanism or extra-renal mechanism:
• Intrinsic renal mechanism is activated in response to sudden
reduction in the effective arterial blood volume (hypovolaemia)
as occurs in severe haemorrhage. Hypovolaemia stimulated the
arterial baroreceptors present in the carotid sinus and aortic
arch which in turn, send the sympathetic outflow via the
vasomotor centre in the brain. As a result of this, renal
ischaemia occurs which causes reduction in the glomerular
filtration rate, decreased excretion of sodium in the urine and
consequent retention of sodium.
• Extra-renal mechanism involves the secretion of aldosterone,
a sodium retaining hormone, by the renninangiotensin-
aldosterone system. Rennin in an enzyme secreted by the
granular cells in the juxtaglomerular apparatus. Its release is
stimulated in response to low concentration of sodium in the
tubules. Its main action is stimulation of the angiotensinogen
which is α2–globulin or rennin substrate present in the plasma.
On stimulation, angiotensis I, a decapeptide, is formed in the
plasma which is subsequently converted into angiotensin II, an
octapeptide, in the lungs and kidneys. Angiotensin II stimulates
the adrenal cortex to secrete aldosterone hormone. Aldosterone
increases sodium reabsorption in the renal tubules and
sometimes causes a rise in the blood pressure.
AHD mechanism. Retention of sodium leads to retention of
water secondarily under the influence of anti-diuretic hormone
(ADH) or vasopressin. This hormone is secreted by the cells of
the supraoptic and paraventricular nuclei in the hypothalamus
and is stored in the neurohypophysis (posterior pituitary). The
release of hormone is stimulated by increased concentration of
sodium in the plasma and hypovolaemia. Large amounts of
ADH produce highly concentrated urine.
• Excessive retention of sodium and water and their decreased
renal excretion occur in response to hypovolaemia and lowered
concentration of sodium in the renal tubules via stimulation of
intrinsic renal and extrarenal mechanisms as well as via release
of ADH.
• The examples of oedema by these mechanisms are as under:
• Oedema of cardiac disease e.g. in congestive cardiac failure.
• Ascites of liver disease e.g. in cirrhosis of liver.
• Oedema of renal disease e.g. in nephrotic syndrome,
glomerulonephritis.
PATHOGENESIS AND MORPHOLOGY OF
IMPORTANT TYPES OF OEDEMA.
• As observed from the pathogenesis of oedema just described,
more than one mechanism may be involved in many examples
of localized and generalized oedema. Some of the important
examples are described below:
RENAL OEDEMA
• General oedema occurs in certain disease of renal origin such
as in nephrotic syndrome, some types of glomerulonephritis,
and in renal failure due to acute tubular injury.
1. Oedema in nephrotic syndrome. Since there is persistent and
heavy proteinuria (albuminuria) in nephrotic syndrome, there is
hypoalbuminaemia causing decreased plasma oncotic pressure
resulting in severe generalized oedema (nephrotic oedema). The
hypoalbuminaemia causes fall in the plasma volume activating
renninangiotensin-aldosterone mechanism which results in
retention of sodium and water, thus setting in a vicious cycle which
persists till the albuminuria continues. Similar types of mechanisms
operates in the pathogenesis of oedema in protein-losing
enteropathy, further confirming the role protein loss in the
causation of oedema.
RENAL OEDEMA
• The nephrotic oedema is classically more severe and marked
and is present in the subcutaneous tissues as well as in the
visceral organs. The affected organ is enlarged and heavy with
tense capsule.
• Microscopically, the oedema fluid separates the connective
tissue fibers of subcutaneous tissues. Depending upon the
protein content, the oedema fluid may appear homogenous,
pale, eosinophilic, or may be deeply eosinophilic and granular.
RENAL OEDEMA
2. Oedema in glomerulonephritis. Oedema occurs in conditions with
diffuse glomerular disease such as in acute diffuse glomerulonephritis
and rapidly progressive glomerulonephritis (nephritic oedema). In
contrast to nephrotic oedema, nephritic oedema is not due to
hypoproteinaemia but is due to excessive reabsorption of sodium and
water in the renal tubules via reninangiotensinaldosterone mechanism.
The protein content of oedema fluid in glomerulonephritis is quite low
(less than 0.5 g/dl).
• The nephritic oedema is usually mild as compared to nephrotic
oedema and begins in the loose tissues such as on the face around
eyes, ankles and genitalia. Oedema in these conditions is usually
not affected by gravity (unlikely cardiac oedema).
• The salient differences between the nephrotic and nephritic
oedema are outlined.
RENAL OEDEMA
3. Oedema in acute tubular injury. Acute tubular injury following
shock or toxic chemicals results in gross oedema of the body. The
damaged tubules lose their capacity for selective reabsorption and
concentration of the glomerular filtrate resulting in increased
reabsorption and oliguria. Besides, there is excessive retention of
water and electrolytes and rise in blood urea.
RENAL OEDEMA
• Generalized oedema develops in right-sided and congestive
cardiac failure. Pathogenesis of cardiac oedema is explained on
the basis of the following hypothesis.
• Reduced cardiac output causes hypovolaemia which stimulated
intrinsic-renal and extra-renal hormonal (rennin-angiotensin-
aldosterone) mechanisms as well as ADH secretion resulting in
sodium and water retention and consequent oedema.
• Due to heart failure, there is elevated central venous pressure
which is transmitted backward to the venous end of the
capillaries, raising the capillary hydrostatic pressure and
consequent transudation; this is known as back pressure
hypothesis.
CARDIAC OEDEMA
• Chronic hypoxia may injure the capillary wall causing increased
capillary permeability and result in oedema; this is called
forward pressure hypothesis. However, this theory lacks support
since the oedema by this mechanism is exudate whereas the
cardiac oedema is typically transudate.
• In left heart failure, the changes are, however, different. There is
venous congestion, particularly in the lungs, so that pulmonary
oedema develops rather than generalized oedema.
• Cardiac oedema is influenced by gravity and is thus
characteristically dependent oedema i.e. in an ambulatory
patient it is on the lower extremities, while in a bed-ridden
patient oedema appears on the sacral and genital areas. The
accumulation of fluid may also occur in serous cavities.
CARDIAC OEDEMA
• Acute pulmonary oedema is the most important form of local
oedema as it causes serious functional impairment but has
special features. It differs from oedema elsewhere in that the
fluid accumulation is not only in the tissue space but also in the
pulmonary alveoli.
• Etiopathogenesis. The hydrostatic pressure in the pulmonary
capillaries is much lower (average 10 mmHg). Normally the
plasma oncotic pressure is adequate to prevent the escape of
fluid into the interstitial space and hence lungs are normally free
of oedema. Pulmonary oedema can result from either the
elevation of pulmonary hydrostatic pressure or the increased
capillary permeability.
PULMONARY OEDEMA
• Elevation in pulmonary hydrostatic pressure (Haemodynamic
oedema). In heart failure, there is increased in the pressure in
pulmonary veins which is transmitted to pulmonary capillaries. This
results in imbalance between pulmonary hydrostatic pressure and
the plasma oncotic pressure so that excessive fluid moves out of
pulmonary capillaries into the interstitium of the lungs.
Simultaneously, the endothelium of the pulmonary capillaries
develops fenestrations permitting passage of plasma proteins and
fluid into the interstitium. The interstitial fluid so collected is cleared
by the lymphatics present around the bronchioles, small muscular
arteries and veins. As the capacity of the lymphatics to drain the
fluid is exceeded (about tenfold increase in fluid) the excess fluid
starts accumulating in the interstitium (interstitial oedema) i.e. in the
loose tissues around bronchioles, arteries and in the lobular septa.
PULMONARY OEDEMA
• Next follows the thickening of the alveolar walls because of the
interstitial oedema. Upto this stage, no significant impairment of
gaseous exchange occurs. However, prolonged elevation of
hydrostatic pressure and due to high pressure of interstitial
oedema, the alveolar lining cells break and the alveolar air
spaces are flooded with fluid (alveolar oedema) driving the air
out of alveolus, thus seriously hampering the lung function.
PULMONARY OEDEMA
• Examples of pulmonary oedema by this mechanism are seen in
the left heart failure,mitral stenosis, pulmonary vein
obstruction,thyrotoxicosis, cardiac surgery, nephrotic syndrome
and obstruction to the lymphatic outflow by tumor or
inflammation.
PULMONARY OEDEMA
• Increased vascular permeability (Irritant oedema). The
vascular endothelium as well as the alveolar epithelial cells
(alveolo-capillary membrane) may be damaged causing
increased vascular permeability so that excessive fluid and
plasma proteins leak out, initially into the interstitium and
subsequently into the alveoli.
• This mechanism explains pulmonary oedema in examples such
as in fulminant pulmonary and extrapulmonary infections,
inhalation of toxic substances, aspiration, shock, radiation injury,
hypersensitivity to drugs or antisera, uraemia and adult
respiratory distress syndrome (ARDS).
PULMONARY OEDEMA
• Acute high altitude oedema. Individuals climbing to high
altitude suddenly without halts and without waiting for
acclimatization to set in, suffer from serious circulatory and
respiratory ill-effects. Commonly, the deleterious effects begin to
appear after an altitude of 2500 meters is reached. These
changes include: appearance of oedema fluid in the lungs,
congestion and widespread minute hemorrhages. These
changes can cause death within a few days. The underlying
mechanism appears to be anoxic damage to the pulmonary
vessels. However, if acclimatization to high altitude is allowed to
take place, the individual develops polycythaemia, raised
pulmonary arterial pressure, increased pulmonary ventilation
and a rise in heart rate and increased cardiac output.
PULMONARY OEDEMA
• Pathologic changes. Irrespective of the underlying mechanism
in the pathogenesis of pulmonary oedema, the fluid
accumulates more in the basal regions of lungs. The thickened
interlobular septa along with their dilated lymphatics may be
seen in chest X-ray as lines perpendicular to the pleura and are
known as Kerley' lines.
• Grossly, the lungs in pulmonary oedema are heavy, moist and
subcrepitant. Cut surface exudes frothy fluid (mixture of air and
fluid).
PULMONARY OEDEMA
• Microscopically, the alveolar capillaries are congested. Initially
the excess fluid collects in the interstitial lung spaces (interstitial
oedema) but later the fluid fills the alveolar spaces (alveolar
oedema). The interstitium as well as the alveolar spaces thus
contain an eosinophilic, granular and pink proteinaceous
material, often admixed with some RBCs and macrophages.
This may be seen as brightly eosinophilic pink lines along the
alveolar margin called hyaline membrane. Long standing
pulmonary oedema is prone to get infected by bacteria
producing hypostatic pneumonia which may be fatal.
PULMONARY OEDEMA
• In chronically elevated venous pressure,known as chronic
passive congestion of lung or brown induration, the lungs are
firm and heavy. The sectioned surface is rusty brown in colour.
• Microscopically, the alveolar septa are widened and the alveolar
spaces contain numerous haemosiderin laden macrophages
(heart failure cells) and, in late stage, may show variable
amount of fibrosis.
PULMONARY OEDEMA
• Cerebral oedema or swelling of brain is the most threatening
example of oedema. The mechanism of fluid exchange in the
brain differs from elsewhere in the body since there are no
draining lymphatics in the brain but instead, the function of fluid-
electrolyte exchange is performed by the blood-brain barrier
located at the endothelial cells of the capillaries.
CEREBRAL OEDEMA
Cerebral oedema can be of 3 types.
• Vasogenic oedema. This is the most common type and
corresponds to oedema elsewhere resulting from increased
filtration pressure or increased capillary permeability. Vasogenic
oedema is prominent around cerebral contusions, infarcts, brain
abscess and some tumours.
• Grossly, the white matter is swollen, soft, with flattened gyri
and narrowed sulci. Sectioned surface is soft and gelatinous.
• Microscopically, there is separation of tissue elements by
the oedema fluid and swelling of astrocytes. The
perivascular (Virchowrobin) space is widened and clear
halos are seen around the small blood vessels.
CEREBRAL OEDEMA
• Cytotoxic oedema. In this type, the blood-brain barrier is intact
and the fluid accumulation is intracellular. The underlying
mechanism is disturbance in the cellular osmorgulation as
occurs in some metabolic derangements, acute hypoxia and
with some toxic chemicals.
• Microscopically, the cells are swollen and vacuolated. In
some situation, both vasogenic as well as Cytotoxic cerebral
oedema results e.g. in purulent meningitis.
CEREBRAL OEDEMA
• Interstitial oedema. This type of cerebral oedema occurs when
the excessive fluid crosses the ependymal lining of the
ventricles and accumulates in the periventricular white matter.
This mechanism is responsible for oedema in non-
communicating hydrocephalus.
CEREBRAL OEDEMA
77
DISSEMINATED OEDEMA
• oedema due to cardiac failure
• Nephritic oedema
• Nephrotic oedema
• oedema caused by liver failure
• Nutritional oedema (inadequate intake)
• Protein loss through gastrointestinal system
• oedema due to endocrine pathologies
• oedema during pregnancy
78
LOCAL OEDEMA
- Traumatic
- Inflammatory oedema
- Obstriction of venous circulation
- Thrombophlebitis
- Compression of veins
-Lymphatic oedema
-Angioneurotic oedema
79
CARDIAC INSUFFICIENCY
- Blood volume per minute decreases  Water is
conserved by renal and hormonal mechanisms
- Hydrostatic pressure increases
80
NEPHRITIC OEDEMA
Mild and hard oedema is seen in acute glomerulonephritis
Glomerular filtration decreases, but tubular reabsorbtion is
not disturbed. (glomerulotubular inbalance)
Capillaritis (generalized capillary disorder)
81
NEPHROTIC OEDEMA
-It is very soft and in anasarca type
-Low oncotic pressure due to protein loss
-Secondary hyperaldosteronism
82
CIRRHOTIC OEDEMA
• It is usually seen with ascites
• Albumin synthesis in liver decreases
• Some blood proteins are excreted in feces due to portal
hypertension
• Aldosteron breakdown in liver decreases ; secretion by adrenal
gland increases (secondary hyperaldosteronism)
83
NUTRITIONAL OEDEMA
• Kwashiworker
• Malabsobtion Syndromes
• Gastrectomy
• Cancer
84
OEDEMA DUE TO ENDOCRINE
PATHOLOGIES
• Mixoedema
• Premenstrual oedema
• Pregnancy
85
IATROGENIC OEDEMA
• Mineralocorticoid
• Corticosteroid
• Androgen
• ADH
86
INFLAMMATORY OEDEMA
Due tu increased permeability
- Microorganisms
- Connective tissue disorders
87
VENOUS OEDEMA
• Thrombophlebitis: Local inflamations cause
thrombus  venous obstriction
-Large and hard oedema
- Erythema, hotness,pain
• Compression of veins
-Ganglion, tumor,ascites
• oedema related to varices
High hydrostatic pressure in veins
88
LYMPHATIC OEDEMA
• Due to obstruction of lymph vessels, plasma proteins cannot
be taken from the interstitium
89
ANGIONEUROTIC OEDEMA
(QUINCKE’S OEDEMA)
Vessels insubcutaneous tissue enlarge due to local
histamine discharge and extravasation from capillaries
occurs
-Food allergy -Drug allergy
-Infections -Emotional
2nd Year Pathology 2010
Localised oedema - blister Generalised oedema – laryngeal
oedema in anaphylaxis
2nd Year Pathology
2010
PITTING SUBCUTANEOUS OEDEMA
2nd Year Pathology
2010
ACUTE PULMONARY OEDEMA
2nd Year Pathology
2010
CEREBRAL OEDEMA & HERNIATION
Flattened sulci and uncal herniation
2nd Year Pathology
2010
CEREBRAL OEDEMA & HERNIATION
Tonsillar herniation and
pontine haemorrhage
2nd Year Pathology
2010
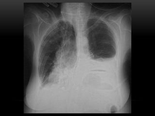
SEROUS PLEURAL EFFUSION
2nd Year Pathology
2010
2nd Year Pathology
2010
SEROSANGINOUS PLEURAL EFFUSION
2nd Year Pathology
2010
FIBRINOUS
PERICARDITIS
2nd Year Pathology
2010
HAEMOTHORAX
2nd Year Pathology
2010
CHYLOUS ASCITES

Patofisiologi edema

  • 1.
  • 2.
    OEDEMA Definition and types •The Greek word oedema means swelling. Oedema may be defined as abnormal and excessive accumulation of fluid in the interstitial tissue spaces and serous cavities. • The presence of abnormal collection of fluid within the cell is sometimes called intracellular oedema but should more appropriately be called hydropic degeneration. • The accumulation of fluid in the body cavities is correspondingly known as ascites (in the peritoneal cavity), hydrothorax or pleural effusion (in the pleural cavity) and hydropericardium or pericardial effusion (in the pericardial cavity)
  • 3.
    The oedema maybe of 2 main types. • Localized in the organ and limb; and • Generalized (anasarca or dropsy) when it is systemic in distribution, particularly noticeable in the subcutaneous tissues. • Besides, there are a few special forms of oedema. The oedema fluid lies free in the interstitial space between the cells and can be displaced from one place to another. In the case of oedema in the subcutaneous tissue, momentary pressure of finger produces a depression known as pitting oedema. The other variety is nonpitting or solid oedema in which no pitting is produced on pressure e.g. in myxoedema, elephantiasis. OEDEMA
  • 4.
  • 5.
    2nd Year Pathology 2010 •Extravascular fluid collections can be classified as follows: • Exudate: rich in protein and/or cells (grossly cloudy) • Transudate: an ultrafiltrate of plasma with little protein and few or no cells (grossly clear) • Oedema = increased volume of fluid in interstitial space • Effusion = increased fluid in a body cavity • pleural / pericardial / peritoneal cavity • Oedema and effusions have similar pathogenesis THE PHYSIOLOGY OF OEDEMA.
  • 6.
    2nd Year Pathology2010 NORMAL HOMEOSTASIS • Movement of fluid between microcirculation (arterioles, capillaries, veins) and interstitium dependent on • intravascular hydrostatic pressure • intravascular colloid osmotic pressure • Normally • net outflow at arteriolar end (hydrostatic > osmotic) • no net flow across capillaries (hydrostatic = osmotic) • net inflow at venular end (hydrostatic < osmotic) • any excess interstitial fluid removed by lymphatics • no net increase in interstitial fluid volume
  • 8.
    FLUID BALANCE • Bodyis 60% water • Intracellular (70%) • Intravascular (5%) • Interstitial (25%)
  • 9.
    FLUID REGULATION • Braincontrols thirst • Kidneys control elimination of fluid • Blood plasma proteins pull fluid into the bloodstream • Cell membrane and capillary permeability regulate flow in and out
  • 10.
    FLUID DISRUPTION • Fluidloss (dehydration) • Decrease in total water volume • Fluid distribution • Water not getting to where it’s needed • Edema • Too much water in some parts of the body
  • 11.
    HYDROSTATIC PRESSURE: • Intra-capillaryvs interstitial • Capillary pressures vary: • Nail bed capillaries: 32 mmHg at arteriolar end and 15 mmHg at venous end. Mean 25 mmHg. • Hydrostatic pressure gradient: • Intra-capillary hydrostatic pressure – interstitial fluid hydrostatic pressure
  • 12.
    INTERSTITIAL HYDROSTATIC PRESSURE: •Varies from one organ to another: • Subcutaneous tissue: Subatmospheric (-2 mmHg) • Liver, kidney: + • Brain: As high as 6 mmHg
  • 13.
    ONCOTIC PRESSURE: • Capillarywall usually impermeable to plasma proteins and other colloids. • Only water and small solutes cross capillary wall. • Crystalloids vs colloids
  • 14.
    • These colloidsexert an osmotic pressure of about 25 mmHg. • The colloid osmotic pressure due to the plasma colloids=oncotic pressure.
  • 15.
    OEDEMA: • Due todisturbance in hydrostatic and/or oncotic pressure between intra-capillary and interstitial component.
  • 16.
    ORGAN SPECIFIC: • Brain:Cerebral oedema • Lung: Intra-alveolar=pulmonary oedema, intra- pleural=pleural effusion • Peritoneum=ascites • Severe generalized oedema=anasarca
  • 18.
    REDUCED ONCOTIC PRESSURE: •Reduction in production of colloids--- plasma proteins. • Liver failure • Malnutrition • Increase in loss of colloids--- plasma proteins. • Nephrotic syndrome • Catabolic states
  • 19.
    INCREASE CAPILLARY HYDROSTATIC PRESSURE: •Venous end: Heart failure, deep venous thrombosis, superior vena cava obstruction etc. • Arterial end: Pre-capillary dilatation. Calcium channel blockers.
  • 20.
    INCREASED INTERSTITIAL ONCOTIC PRESSURE: •Lymphatic obstruction: • Primary vs secondary group.
  • 21.
    CAPILLARY LEAKS: • Resultof capillary damage: • Pleura: Infections, tumors • Alveoli: Inhalation of noxious substance, eg chlorine gas etc
  • 22.
    DIVERSE CAUSES OFOEDEMA: • Anaemia • Hypothyroidism
  • 23.
    HORMONES INVOLVED INEDEMA: • Renin angiotensin aldosterone system: secondary hyperaldosteronism • ADH (Vasopressin) • ANP
  • 24.
    CLINICAL PHYSIOLOGICAL APPROACH TOEDEMA: • Hypervolemia: • Vs • Normovolemia:
  • 25.
    JUGULAR VENOUS PRESSURE: •Elevated and pulsating: • =hypervolemia • Then edema: • Due to increased capillary hydrostatic pressure: • Cardiac failure, or isolated RV (pulm HT) • Hypervolemia caused by transfusion
  • 26.
    NORMAL JVP: • Unilateral •Unilateral increase in capillary pressure • Deep venous thrombosis • OR: • Unilateral increase in interstitial colloid osmotic pressure • Lymphatic obstruction (radiation, filariasis, congenital)
  • 27.
    • Edema dueto capillary hypertension with normal venous pressure: • Pre-capillary dilatation: • Calcium channel blockers
  • 28.
    GENERALIZED EDEMA WITHOUT HYPERVOLEMIA: •Decreased capillary colloid oncotic pressure: liver, kidney, catabolic states, malnutrition. • Increased interstitial colloid oncotic pressure: lymphatic. • Increase in capillary permeability: Inflammation, toxins, severe anaemia
  • 29.
    PRESSURE CHANGES INTHE HEART: • Atria: Study curve in Ganong: jugular venous pressure curve, also known as flobogram, indicative of pressure changes in superior vena cava/ right atrium. • 3 waves in the curve:
  • 30.
    • a-wave: atrialsystole • c-wave: bulging of tricuspid valve into R atrium • v-wave: rise in atrial pressure, just before tricuspid valve opens during diastole. • Clinical application of these 3 waves:
  • 31.
    • Sinus rhythmor not. • Pulmonary hypertension • 3`rd degree heart block • Patency between SVC and RA • Tricuspid regurgitation and stenosis
  • 32.
    Oedema fluid maybe: • 1] transudate which is more often the case, such as in oedema of cardiac and renal disease; or • 2] exudate such as in inflammatory oedema. The differences between transudate and exudate are tabulated.
  • 33.
    2nd Year Pathology 2010 •Transudates: • Serous: • mainly edema fluid, very few cells • pleural effusion = hydrothorax • pericardial effusion = hydropericardium • peritoneal effusion = hydroperitoneum / ascites • Serosanguinous: • serous fluid + red blood cells • Causes:  hydrostatic pressure,  oncotic pressure, salt and water retention
  • 34.
    2nd Year Pathology 2010 •Exudates: • Fibrinous (serofibrinous): • protein-rich exudate containing fibrin strands • Purulent: • numerous inflammatory cells, mainly neutrophils • (also called "empyema" in the pleural space) • Causes: Inflammation / infection • e.g. Pleural effusion due to pulmonary infarct (fibrinous)/ pneumonia (purulent)
  • 35.
    PATHOGENESIS OF OEDEMA •Oedema is caused by mechanisms that interfere with normal fluid balance of plasma, interstitial fluid and lymph flow. The following six mechanisms may be operating singly or in combination to produce oedema;
  • 36.
    36 1) Capillary permeability 2)Hydrostatic pressure of intracapillary fluid 3) Oncotic pressure of intracapillary fluid 4) Oncotic pressure of interstitial fluid 5) Tissue resistance 6) Lymphatic drainnage 7) Renal hormonal factors 8) Atrial natriüretic peptide PATHOGENESIS OF OEDEMA
  • 41.
    PATHOGENESIS OF OEDEMA •Decreased plasma oncotic pressure. • increased capillary hydrostatic pressure • lymphatic obstruction. • tissue factors (increased oncotic pressure of interstitial fluid, and decreased tissue tension). • increased capillary permeability. • sodium and water retention.
  • 42.
    1. DECREASED PLASMAONCOTIC PRESSURE: • The plasma oncotic pressure exerted by the total amount of plasma proteins tends to draw fluid into the vessels normally. A fall in the total plasma protein level (hypoproteinaemia of less than 5 g/dl), results in lowering of plasma oncotic pressure in a way that it can no longer counteract the effect of hydrostatic pressure of blood. This results in increased outward movement of fluid from the capillary wall and decreased inward movement of fluid from the interstitial space causing oedema. Hypoproteinaemia usually produced generalized oedema (anaasarca). Out of the various plasma proteins, albumin has four times higher plasma oncotic pressure that globulin so that it is hypoalbuminemia (albumin below 2.5 g/dl) that results in oedema more often.
  • 43.
    • The examplesof oedema by this mechanisms are seen in the following conditions: • Oedema of renal disease e.g. in nephrotic syndrome, acute glomerulonephritis. • Ascites of liver disease e.g. in cirrhosis. • Oedema due to other causes of hypoproteinaemia e.g. in protein-losing enteropathy
  • 44.
    2. INCREASED CAPILLARYHYDROSTATIC PRESSURE: • The hydrostatic pressure of the capillary is the force that normally tends to drive fluid through the capillary wall into the interstitial space by counter acting the force of plasma oncotic pressure. A rise in the hydrostatic pressure at the venular end of the capillary which is normally low (average 12 mmHg) to a level more than the plasma oncotic pressure results in minimal or no reabsorption of fluid at the venular end, consequently leading to oedema.
  • 45.
    • The examplesof oedema by this mechanisms are seen in the following disorders: • Oedema of cardiac disease e.g. in congestive cardiac failure, constrictive pericarditis. • Ascites of liver disease e.g. in cirrhosis of liver. • Passive congestion e.g. in mechanical obstruction due to thrombosis of veins of the lower legs, varicosities, pressure by pregnant uterus, tumors et. • Postural oedema e.g. transient oedema of feet and ankles due to increased venous pressure seen in individuals who remain standing erect for longtime such as traffic constables.
  • 46.
    3.LYMPHATIC OBSTRUCTION: • Normallythe interstitial fluid in the tissue spaces escapes by way of lymphatics so that obstruction to outflow of these channels causes localized oedema, known as lymphoedema.
  • 47.
    • The examplesof lymphoedema include the following: • Removal of axillary lymph nodes in radical mastectomy for carcinoma of the breast produces lymphoedema of the affected arm. • Pressure from outside on the main abdominal or thoracic duct such as due to tumours, effusions in serous cavities etc may produce lymphoedema. At times, the main lymphatic channel may rupture and discharge chyle into the pleural cavity (chylothorax) or into peritoneal cavity (chylous ascites). • Inflammation of the lymphatics as seen in filariasis (infection with Wuchereria bancrofti) results in chronic lymphoedema of scrotum and legs known as elephantiasis. • Occlusion of lymphatic channels by malignant cells may result in lymphoedema. • Milroy's disease or hereditary lymphoedema is due to abnormal development of lymphatic channels. It is seen in families and the oedema is mainly confined to one or both the lower limbs.
  • 48.
    4. TISSUE FACTORS: •The forces acting in the interstitial space – oncotic pressure of the interstitial space and tissue tension,are normally quite small and insignificant to counteract the effect of plasma oncotic pressure and capillary hydrostatic pressure respectively. However,in some situations, the tissue factors in combination with other mechanisms play a role in causation of oedema. These are as under: • Elevation of oncotic pressure of interstitial fluid as occurs due to increased vascular permeability and inadequate removal of proteins by lymphatics. • Lowered tissue tension as seen in loose subcutaneous tissues of eyelids and external genitalia.
  • 49.
    5. INCREASED CAPILLARYPERMEABILITY: • As described previously, an intact capillary endothelium is a semipermeable membrane which permits the free flow of water and crystalloids but allows minimal passage of plasma proteins normally. However, when the capillary endothelium is injured by various 'capillary poisons' such as toxins and their products, histamine, anoxia, venoms,certain drugs and chemicals, the capillary permeability to plasma proteins is enhanced due to development of gaps between the endothelial cells. This, in turn, causes reduced plasma oncotic pressure and elevated oncotic pressure of interstitial fluid which consequently produces oedema.
  • 50.
    • The examplesof oedema by this mechanism are seen in the following conditions: • Generalized oedema due to increased vascular permeability may occur in systemic infections,poisonings, certain drugs and chemicals,anaphylactic reactions and anoxia. • Localized oedema such as: • - Inflammatory oedema as seen in infections,allergic reactions, insect-bite, irritant drugs and chemicals. It is generally exudate in nature. • - Angioneurotic oedema is an acute attack of localized oedema occurring on the skin of face and trunk and may involve lips, larynx, pharynx and lungs. It is possibly neurogenic or allergic in origin.
  • 51.
    6. SODIUM ANDWATER RETENTION: • Before describing the mechanism of oedema by sodium and water retention, it is essential to recollect the normal regulatory mechanism of sodium and water balance. • Normally, about 80% of sodium is reabsorbed by the proximal convoluted tubule under the influence of intrinsic renal mechanism or extra-renal mechanism:
  • 52.
    • Intrinsic renalmechanism is activated in response to sudden reduction in the effective arterial blood volume (hypovolaemia) as occurs in severe haemorrhage. Hypovolaemia stimulated the arterial baroreceptors present in the carotid sinus and aortic arch which in turn, send the sympathetic outflow via the vasomotor centre in the brain. As a result of this, renal ischaemia occurs which causes reduction in the glomerular filtration rate, decreased excretion of sodium in the urine and consequent retention of sodium.
  • 53.
    • Extra-renal mechanisminvolves the secretion of aldosterone, a sodium retaining hormone, by the renninangiotensin- aldosterone system. Rennin in an enzyme secreted by the granular cells in the juxtaglomerular apparatus. Its release is stimulated in response to low concentration of sodium in the tubules. Its main action is stimulation of the angiotensinogen which is α2–globulin or rennin substrate present in the plasma. On stimulation, angiotensis I, a decapeptide, is formed in the plasma which is subsequently converted into angiotensin II, an octapeptide, in the lungs and kidneys. Angiotensin II stimulates the adrenal cortex to secrete aldosterone hormone. Aldosterone increases sodium reabsorption in the renal tubules and sometimes causes a rise in the blood pressure.
  • 54.
    AHD mechanism. Retentionof sodium leads to retention of water secondarily under the influence of anti-diuretic hormone (ADH) or vasopressin. This hormone is secreted by the cells of the supraoptic and paraventricular nuclei in the hypothalamus and is stored in the neurohypophysis (posterior pituitary). The release of hormone is stimulated by increased concentration of sodium in the plasma and hypovolaemia. Large amounts of ADH produce highly concentrated urine. • Excessive retention of sodium and water and their decreased renal excretion occur in response to hypovolaemia and lowered concentration of sodium in the renal tubules via stimulation of intrinsic renal and extrarenal mechanisms as well as via release of ADH.
  • 55.
    • The examplesof oedema by these mechanisms are as under: • Oedema of cardiac disease e.g. in congestive cardiac failure. • Ascites of liver disease e.g. in cirrhosis of liver. • Oedema of renal disease e.g. in nephrotic syndrome, glomerulonephritis.
  • 56.
    PATHOGENESIS AND MORPHOLOGYOF IMPORTANT TYPES OF OEDEMA. • As observed from the pathogenesis of oedema just described, more than one mechanism may be involved in many examples of localized and generalized oedema. Some of the important examples are described below:
  • 57.
    RENAL OEDEMA • Generaloedema occurs in certain disease of renal origin such as in nephrotic syndrome, some types of glomerulonephritis, and in renal failure due to acute tubular injury.
  • 58.
    1. Oedema innephrotic syndrome. Since there is persistent and heavy proteinuria (albuminuria) in nephrotic syndrome, there is hypoalbuminaemia causing decreased plasma oncotic pressure resulting in severe generalized oedema (nephrotic oedema). The hypoalbuminaemia causes fall in the plasma volume activating renninangiotensin-aldosterone mechanism which results in retention of sodium and water, thus setting in a vicious cycle which persists till the albuminuria continues. Similar types of mechanisms operates in the pathogenesis of oedema in protein-losing enteropathy, further confirming the role protein loss in the causation of oedema. RENAL OEDEMA
  • 59.
    • The nephroticoedema is classically more severe and marked and is present in the subcutaneous tissues as well as in the visceral organs. The affected organ is enlarged and heavy with tense capsule. • Microscopically, the oedema fluid separates the connective tissue fibers of subcutaneous tissues. Depending upon the protein content, the oedema fluid may appear homogenous, pale, eosinophilic, or may be deeply eosinophilic and granular. RENAL OEDEMA
  • 60.
    2. Oedema inglomerulonephritis. Oedema occurs in conditions with diffuse glomerular disease such as in acute diffuse glomerulonephritis and rapidly progressive glomerulonephritis (nephritic oedema). In contrast to nephrotic oedema, nephritic oedema is not due to hypoproteinaemia but is due to excessive reabsorption of sodium and water in the renal tubules via reninangiotensinaldosterone mechanism. The protein content of oedema fluid in glomerulonephritis is quite low (less than 0.5 g/dl). • The nephritic oedema is usually mild as compared to nephrotic oedema and begins in the loose tissues such as on the face around eyes, ankles and genitalia. Oedema in these conditions is usually not affected by gravity (unlikely cardiac oedema). • The salient differences between the nephrotic and nephritic oedema are outlined. RENAL OEDEMA
  • 61.
    3. Oedema inacute tubular injury. Acute tubular injury following shock or toxic chemicals results in gross oedema of the body. The damaged tubules lose their capacity for selective reabsorption and concentration of the glomerular filtrate resulting in increased reabsorption and oliguria. Besides, there is excessive retention of water and electrolytes and rise in blood urea. RENAL OEDEMA
  • 62.
    • Generalized oedemadevelops in right-sided and congestive cardiac failure. Pathogenesis of cardiac oedema is explained on the basis of the following hypothesis. • Reduced cardiac output causes hypovolaemia which stimulated intrinsic-renal and extra-renal hormonal (rennin-angiotensin- aldosterone) mechanisms as well as ADH secretion resulting in sodium and water retention and consequent oedema. • Due to heart failure, there is elevated central venous pressure which is transmitted backward to the venous end of the capillaries, raising the capillary hydrostatic pressure and consequent transudation; this is known as back pressure hypothesis. CARDIAC OEDEMA
  • 63.
    • Chronic hypoxiamay injure the capillary wall causing increased capillary permeability and result in oedema; this is called forward pressure hypothesis. However, this theory lacks support since the oedema by this mechanism is exudate whereas the cardiac oedema is typically transudate. • In left heart failure, the changes are, however, different. There is venous congestion, particularly in the lungs, so that pulmonary oedema develops rather than generalized oedema. • Cardiac oedema is influenced by gravity and is thus characteristically dependent oedema i.e. in an ambulatory patient it is on the lower extremities, while in a bed-ridden patient oedema appears on the sacral and genital areas. The accumulation of fluid may also occur in serous cavities. CARDIAC OEDEMA
  • 64.
    • Acute pulmonaryoedema is the most important form of local oedema as it causes serious functional impairment but has special features. It differs from oedema elsewhere in that the fluid accumulation is not only in the tissue space but also in the pulmonary alveoli. • Etiopathogenesis. The hydrostatic pressure in the pulmonary capillaries is much lower (average 10 mmHg). Normally the plasma oncotic pressure is adequate to prevent the escape of fluid into the interstitial space and hence lungs are normally free of oedema. Pulmonary oedema can result from either the elevation of pulmonary hydrostatic pressure or the increased capillary permeability. PULMONARY OEDEMA
  • 65.
    • Elevation inpulmonary hydrostatic pressure (Haemodynamic oedema). In heart failure, there is increased in the pressure in pulmonary veins which is transmitted to pulmonary capillaries. This results in imbalance between pulmonary hydrostatic pressure and the plasma oncotic pressure so that excessive fluid moves out of pulmonary capillaries into the interstitium of the lungs. Simultaneously, the endothelium of the pulmonary capillaries develops fenestrations permitting passage of plasma proteins and fluid into the interstitium. The interstitial fluid so collected is cleared by the lymphatics present around the bronchioles, small muscular arteries and veins. As the capacity of the lymphatics to drain the fluid is exceeded (about tenfold increase in fluid) the excess fluid starts accumulating in the interstitium (interstitial oedema) i.e. in the loose tissues around bronchioles, arteries and in the lobular septa. PULMONARY OEDEMA
  • 66.
    • Next followsthe thickening of the alveolar walls because of the interstitial oedema. Upto this stage, no significant impairment of gaseous exchange occurs. However, prolonged elevation of hydrostatic pressure and due to high pressure of interstitial oedema, the alveolar lining cells break and the alveolar air spaces are flooded with fluid (alveolar oedema) driving the air out of alveolus, thus seriously hampering the lung function. PULMONARY OEDEMA
  • 67.
    • Examples ofpulmonary oedema by this mechanism are seen in the left heart failure,mitral stenosis, pulmonary vein obstruction,thyrotoxicosis, cardiac surgery, nephrotic syndrome and obstruction to the lymphatic outflow by tumor or inflammation. PULMONARY OEDEMA
  • 68.
    • Increased vascularpermeability (Irritant oedema). The vascular endothelium as well as the alveolar epithelial cells (alveolo-capillary membrane) may be damaged causing increased vascular permeability so that excessive fluid and plasma proteins leak out, initially into the interstitium and subsequently into the alveoli. • This mechanism explains pulmonary oedema in examples such as in fulminant pulmonary and extrapulmonary infections, inhalation of toxic substances, aspiration, shock, radiation injury, hypersensitivity to drugs or antisera, uraemia and adult respiratory distress syndrome (ARDS). PULMONARY OEDEMA
  • 69.
    • Acute highaltitude oedema. Individuals climbing to high altitude suddenly without halts and without waiting for acclimatization to set in, suffer from serious circulatory and respiratory ill-effects. Commonly, the deleterious effects begin to appear after an altitude of 2500 meters is reached. These changes include: appearance of oedema fluid in the lungs, congestion and widespread minute hemorrhages. These changes can cause death within a few days. The underlying mechanism appears to be anoxic damage to the pulmonary vessels. However, if acclimatization to high altitude is allowed to take place, the individual develops polycythaemia, raised pulmonary arterial pressure, increased pulmonary ventilation and a rise in heart rate and increased cardiac output. PULMONARY OEDEMA
  • 70.
    • Pathologic changes.Irrespective of the underlying mechanism in the pathogenesis of pulmonary oedema, the fluid accumulates more in the basal regions of lungs. The thickened interlobular septa along with their dilated lymphatics may be seen in chest X-ray as lines perpendicular to the pleura and are known as Kerley' lines. • Grossly, the lungs in pulmonary oedema are heavy, moist and subcrepitant. Cut surface exudes frothy fluid (mixture of air and fluid). PULMONARY OEDEMA
  • 71.
    • Microscopically, thealveolar capillaries are congested. Initially the excess fluid collects in the interstitial lung spaces (interstitial oedema) but later the fluid fills the alveolar spaces (alveolar oedema). The interstitium as well as the alveolar spaces thus contain an eosinophilic, granular and pink proteinaceous material, often admixed with some RBCs and macrophages. This may be seen as brightly eosinophilic pink lines along the alveolar margin called hyaline membrane. Long standing pulmonary oedema is prone to get infected by bacteria producing hypostatic pneumonia which may be fatal. PULMONARY OEDEMA
  • 72.
    • In chronicallyelevated venous pressure,known as chronic passive congestion of lung or brown induration, the lungs are firm and heavy. The sectioned surface is rusty brown in colour. • Microscopically, the alveolar septa are widened and the alveolar spaces contain numerous haemosiderin laden macrophages (heart failure cells) and, in late stage, may show variable amount of fibrosis. PULMONARY OEDEMA
  • 73.
    • Cerebral oedemaor swelling of brain is the most threatening example of oedema. The mechanism of fluid exchange in the brain differs from elsewhere in the body since there are no draining lymphatics in the brain but instead, the function of fluid- electrolyte exchange is performed by the blood-brain barrier located at the endothelial cells of the capillaries. CEREBRAL OEDEMA
  • 74.
    Cerebral oedema canbe of 3 types. • Vasogenic oedema. This is the most common type and corresponds to oedema elsewhere resulting from increased filtration pressure or increased capillary permeability. Vasogenic oedema is prominent around cerebral contusions, infarcts, brain abscess and some tumours. • Grossly, the white matter is swollen, soft, with flattened gyri and narrowed sulci. Sectioned surface is soft and gelatinous. • Microscopically, there is separation of tissue elements by the oedema fluid and swelling of astrocytes. The perivascular (Virchowrobin) space is widened and clear halos are seen around the small blood vessels. CEREBRAL OEDEMA
  • 75.
    • Cytotoxic oedema.In this type, the blood-brain barrier is intact and the fluid accumulation is intracellular. The underlying mechanism is disturbance in the cellular osmorgulation as occurs in some metabolic derangements, acute hypoxia and with some toxic chemicals. • Microscopically, the cells are swollen and vacuolated. In some situation, both vasogenic as well as Cytotoxic cerebral oedema results e.g. in purulent meningitis. CEREBRAL OEDEMA
  • 76.
    • Interstitial oedema.This type of cerebral oedema occurs when the excessive fluid crosses the ependymal lining of the ventricles and accumulates in the periventricular white matter. This mechanism is responsible for oedema in non- communicating hydrocephalus. CEREBRAL OEDEMA
  • 77.
    77 DISSEMINATED OEDEMA • oedemadue to cardiac failure • Nephritic oedema • Nephrotic oedema • oedema caused by liver failure • Nutritional oedema (inadequate intake) • Protein loss through gastrointestinal system • oedema due to endocrine pathologies • oedema during pregnancy
  • 78.
    78 LOCAL OEDEMA - Traumatic -Inflammatory oedema - Obstriction of venous circulation - Thrombophlebitis - Compression of veins -Lymphatic oedema -Angioneurotic oedema
  • 79.
    79 CARDIAC INSUFFICIENCY - Bloodvolume per minute decreases  Water is conserved by renal and hormonal mechanisms - Hydrostatic pressure increases
  • 80.
    80 NEPHRITIC OEDEMA Mild andhard oedema is seen in acute glomerulonephritis Glomerular filtration decreases, but tubular reabsorbtion is not disturbed. (glomerulotubular inbalance) Capillaritis (generalized capillary disorder)
  • 81.
    81 NEPHROTIC OEDEMA -It isvery soft and in anasarca type -Low oncotic pressure due to protein loss -Secondary hyperaldosteronism
  • 82.
    82 CIRRHOTIC OEDEMA • Itis usually seen with ascites • Albumin synthesis in liver decreases • Some blood proteins are excreted in feces due to portal hypertension • Aldosteron breakdown in liver decreases ; secretion by adrenal gland increases (secondary hyperaldosteronism)
  • 83.
    83 NUTRITIONAL OEDEMA • Kwashiworker •Malabsobtion Syndromes • Gastrectomy • Cancer
  • 84.
    84 OEDEMA DUE TOENDOCRINE PATHOLOGIES • Mixoedema • Premenstrual oedema • Pregnancy
  • 85.
    85 IATROGENIC OEDEMA • Mineralocorticoid •Corticosteroid • Androgen • ADH
  • 86.
    86 INFLAMMATORY OEDEMA Due tuincreased permeability - Microorganisms - Connective tissue disorders
  • 87.
    87 VENOUS OEDEMA • Thrombophlebitis:Local inflamations cause thrombus  venous obstriction -Large and hard oedema - Erythema, hotness,pain • Compression of veins -Ganglion, tumor,ascites • oedema related to varices High hydrostatic pressure in veins
  • 88.
    88 LYMPHATIC OEDEMA • Dueto obstruction of lymph vessels, plasma proteins cannot be taken from the interstitium
  • 89.
    89 ANGIONEUROTIC OEDEMA (QUINCKE’S OEDEMA) Vesselsinsubcutaneous tissue enlarge due to local histamine discharge and extravasation from capillaries occurs -Food allergy -Drug allergy -Infections -Emotional
  • 90.
    2nd Year Pathology2010 Localised oedema - blister Generalised oedema – laryngeal oedema in anaphylaxis
  • 91.
  • 92.
  • 93.
    2nd Year Pathology 2010 CEREBRALOEDEMA & HERNIATION Flattened sulci and uncal herniation
  • 94.
    2nd Year Pathology 2010 CEREBRALOEDEMA & HERNIATION Tonsillar herniation and pontine haemorrhage
  • 95.
  • 96.
  • 97.
  • 98.
  • 99.
  • 100.