CUSTOMISINGTHE
PALATALCONTOURSOFA DENTURE
PRESENTED BY:
DR SRISHTI RELAN
I MDS 1
INTRODUCTION
• During denture fabrication, phonetic evaluation is frequently neglected, while
more emphasis is placed on other key elements of successful denture treatment
such as esthetics, function, and comfort.
• In order to produce articulate speech in complete denture patients, an effective
tongue-to-palate contact is an important factor. Unfortunately, very few attempts
are made to modify the palatal contours of maxillary dentures to produce the
desired “normal” speech.
• It is generally assumed that patients will successfully adapt to new dentures within
a few weeks. It may take longer to compensate for changes in palatal contours of
maxillary complete dentures, especially for elderly patients.
• Unfortunately, some patients never acclimate to the new dentures and continue
to experience difficulties in pronouncing intelligible sounds, especially the sibilant
sounds.
2
• The physiologic /s/ sound is formed by adaptation of the lateral margins of
the tongue to the palatal alveolar process of the posterior maxillae,
channelling a stream of air through the medial groove on the dorsum of the
tongue behind the maxillary central incisors.
• Tanaka reported that a reverse curve exists in the sagittal and frontal
sections of the palate in dentate patients. This convexity is important for
pronunciation of the sibilant sounds such as /s/ and /sh/.
3Reverse Curve in Sagittal Section
• If the anterior palatal area is over contoured such that the air stream is
excessively impeded, an /s/ sound may be heard as a central or frontal lisp
• However, if this area is undercontoured, resulting in an insufficient impeding
of the air stream, an /s/ sound may be perceived as a whistle. Therefore,
defective sibilant articulations may be attributed to faulty palatal contours
of complete dentures.
4
Undercontoring and Overcontouring of Palate
• Among the various anatomical landmarks of the oral cavity, Palatine rugae
are perhaps one of the least understood or unexplored regions of the oral
mucous membrane. Due to this, they have been arbitrarily associated with
functions like speech, adaptation, proprioception and taste.
• Palatal rugae also called plicae palatinae transversae and rugae palatina,
refer to the ridges on the anterior part of the palatal mucosa, each side of
the median palatal raphe and behind the incisive papilla ,they help in
gripping the food before tearing it with brute force.
5
CLASIFICATIONOFRUGAE:
6
Length of rugae
Primary rugae
(5-10 mm)
Secondary rugae
(3-5 mm)
Fragmentary rugae
(less than 3 mm).
unification
pattern
Converging pattern
occurs when two rugae
arise from different
regions and converge
transversely
Diverging pattern occurs
when two rugae begin from
the same origin but diverge
transversely
7
•Runs directly from origin to termination
Straight
•Simple crescent shape that was curved gently
Curvy
•Definite, continuous ring formation, diameter from origin to
termination is considered
Circular
•Serpentile form
Wavy
BASED ON SHAPE:-
8
This review article deals with different methods of palatine
rugae duplication in complete denture prosthesis to improve
phonetics
9
RUGAEDUPLICATIONUSINGPUTTYIMPRESSION
TECHNIQUE
Deo, Pratibha Katiyar Dr. Krishna, and Ritu Mohindra. "Duplication of Important Landmark-
Palatine Rugae." World 3.1 (2012): 95-96.
10
RUGAE DUPLICATION USING DENTAL FLOSS
Vijayaraghavan V, Chandni P. A simple method for palatal rugae carving in complete dentures. The
Journal of Indian Prosthodontic Society. 2013 Jun 1;13(2):137-8.
RUGAEDUPLICATIONUSINGTINFOIL:EXISTING
PROSTHESIS
11
Gitto, Christina A., Salvatore J. Esposito, and Julius M. Draper. "A simple method of adding palatal
rugae to a complete denture." The Journal of prosthetic dentistry 81.2 (1999): 237-239.
RUGAEDUPLICATIONUSINGTINFOILNEWPROSTHESIS
12
This article describes a technique for customizing palatal contours of a
maxillary complete denture with autopolymerizing acrylic resin to
improve speech intelligibility.
13
• A palatogram is a graphic representation of the area of the palate contacted
by tongue during a specified activity, usually speech- GPT 8.
• J. Oakley Coles, in 1871, was the first to use palatograms
• Palatogram is a simple and useful diagnostic tool for phonetic evaluation of
a maxillary complete denture patient, and functions by representing a static
record of contact area between the palate and the tongue upon
pronunciation of sounds. Although the contact areas for certain sounds are
individually determined, there exist sufficient similarities to constitute a
pattern, which serves as a reference.
14
TECHNIQUE
• Verify the teeth arrangement, OVD, and the occlusal plane of a trial denture
or a processed denture.
• Spray green-colored indicating material (Occlude; Pascal Co Inc, Bellevue,
Wash) on the palatal surface as a contact-recording media.
• Insert the denture and have the patient say “so-so” and open wide.
• Compare the contact areas with the general palatogram pattern for an /s/
sound
15
• If the anterior portion of a denture is:
• Roughen the improperly contoured area.
• Prepare a thick mixture of tissue-conditioning material and spread
an adequate amount of the mixture only on the outlined surface
Undercontoured, a large undisturbed area will
be noticeable between posterior wetted areas
Overcontoured, almost the
entire anterior portion of a
denture will be wet
16
• Insert the maxillary denture with the tissue conditioner in place, and have the patient
completely read each of the 10 stimulus sentences without repeating the same
sentence twice, and continue doing so for about 5 minutes at a rate faster than a
normal speaking rate.
• Evaluate the patient’s speech for clarity.
If a whistle persists, the airstream can be further impeded
by carving rugae with a #6 round bur to enhance air
turbulence and tactile sensitivity.
• If the prosthesis is a waxed trial denture, stop at this
step for processing. If it’s a processed denture then:
17
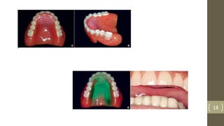
18
CONCLUSION
• By altering the palatal contour of the maxillary denture for a
patient who has sibilant distortions, improved intelligibility
of the sounds and/or a reduced period of adaptation can be
achieved.
19
20
Objectives
1) To compare and analyze the improvement in speech sounds /s/
and /sh/ using palatally contoured dentures when rugae is du-
plicated using two different impression materials in varying palatal
depth configuration.
2) To evaluate the most suitable impression material for a given
palatal vault depth.
21
• Patients were categorized of having shallow, medium, and deep
palates such that the distance from the deepest point in the midline
of upper diagnostic cast upto the crest of the ridge if measured :
15.5- 20mm - deep palate,
10.5- 15mm - medium
5.5-10mm - shallow.
A total of eight patients were present in each category
22
Materialand methods
23
Master cast -
duplicated using
Agar-Agar
two maxillary cast
for each patient.
Record bases -2mm
thickness uniformly
facebow transfer
and mounting of
original master cast
in centric relation
two tooth moulds
• During the same appointment two maxillary arch impressions of
each using
• Mucostatic (Alginate-Marieflex,Septodent)
• Muco-compressive (Impression compound-Ydents,MDM Corp).
24
25
Type II Inlay wax (BEGO) was added to these impressions to obtain a wax
pattern duplicating the existing rugae for all the patients
26
teeth arrangement
(master cast)
record
bases(duplicated casts)
were interchanged
Teeth arrangement
from second mold
flame shaped tungsten
carbide bur-reduce the
thickness of record
bases 0.5mm
Both the Wax patterns
of rugae was adapted
on the trimmed bases
both the upper record
bases –processed
S1,M1, D1-
mucocompressive
S2, M2, D2- mucostatic
• A total of two upper dentures and one lower denture was fabricated
for all the twenty four patients of different palatal vaults.
• Analysis of speech began after weeks , instructed to wear the given
set of two upper dentures alternatively every week for the period of
eight weeks
27
28
29
Conclusion
• In the present study, contour of the existing rugae was adequately
recorded in a mucostatic impression rather than mucocompressive
impression material thereby avoiding under contouring or over
contouring.
• By altering the palatal contour of the maxillary denture for a patient
who has sibilant distortions, improved intelligibility of the sounds
and/or a reduced period of adaptation can be achieved.
30
Evaluation or the intelligibility of/s/ and /sh/ sounds with the denture
was carried out.
• If a whistle persists, the air-stream was further impeded by carving
ridges (rugae) with a #6 round bur to enhance air turbulence and
tactile sensitivity.
• If a central lisp persisted, reduction of excessive anterior contour
and polishing the prostheses, or cutting a V-shaped groove in the
center and parallel to the course of the airstream was carried out
31
CONCLUSION
To obtain the best treatment results:
Phonetics is better served by keeping the posterior ridge area in
the denture as thin as possible and confining the palatal contour
in anterior region.
32
REFERENCES:
• Kong HJ, Hansen CA. Customizing palatal contours of a denture to improve
speech intelligibility. The Journal of prosthetic dentistry. 2008 Mar
1;99(3):243-248.
• Sharry JJ. Complete denture prosthodontics. 3rd. New York: McGraw-Hill;
1974. p.130-48.
• Goyal BK, Greenstein P. Functional contouring of the palatal vault for
improving speech with complete dentures. The Journal of prosthetic
dentistry. 1982 Dec 1;48(6):640-6.
33
• Neelakantan A, Dhaded S. Rugae Duplication–Different Techniques
Of Customizing Palatal Rugae in Maxillary Complete Denture to
Enhance Phonetics. VOLUME 1 ISSUE. 2016 Jun:1.
• Vaswani P, Sanyal P, Prajapati A. Comparison of speech articulation
and intelligibility in palatally contoured dentures using a novel rugae
duplication technique: A clinical study. International Journal of
Dental Research. 2015;3(2):15-20.
34

Palatal contours of denture

  • 1.
  • 2.
    INTRODUCTION • During denturefabrication, phonetic evaluation is frequently neglected, while more emphasis is placed on other key elements of successful denture treatment such as esthetics, function, and comfort. • In order to produce articulate speech in complete denture patients, an effective tongue-to-palate contact is an important factor. Unfortunately, very few attempts are made to modify the palatal contours of maxillary dentures to produce the desired “normal” speech. • It is generally assumed that patients will successfully adapt to new dentures within a few weeks. It may take longer to compensate for changes in palatal contours of maxillary complete dentures, especially for elderly patients. • Unfortunately, some patients never acclimate to the new dentures and continue to experience difficulties in pronouncing intelligible sounds, especially the sibilant sounds. 2
  • 3.
    • The physiologic/s/ sound is formed by adaptation of the lateral margins of the tongue to the palatal alveolar process of the posterior maxillae, channelling a stream of air through the medial groove on the dorsum of the tongue behind the maxillary central incisors. • Tanaka reported that a reverse curve exists in the sagittal and frontal sections of the palate in dentate patients. This convexity is important for pronunciation of the sibilant sounds such as /s/ and /sh/. 3Reverse Curve in Sagittal Section
  • 4.
    • If theanterior palatal area is over contoured such that the air stream is excessively impeded, an /s/ sound may be heard as a central or frontal lisp • However, if this area is undercontoured, resulting in an insufficient impeding of the air stream, an /s/ sound may be perceived as a whistle. Therefore, defective sibilant articulations may be attributed to faulty palatal contours of complete dentures. 4 Undercontoring and Overcontouring of Palate
  • 5.
    • Among thevarious anatomical landmarks of the oral cavity, Palatine rugae are perhaps one of the least understood or unexplored regions of the oral mucous membrane. Due to this, they have been arbitrarily associated with functions like speech, adaptation, proprioception and taste. • Palatal rugae also called plicae palatinae transversae and rugae palatina, refer to the ridges on the anterior part of the palatal mucosa, each side of the median palatal raphe and behind the incisive papilla ,they help in gripping the food before tearing it with brute force. 5
  • 6.
    CLASIFICATIONOFRUGAE: 6 Length of rugae Primaryrugae (5-10 mm) Secondary rugae (3-5 mm) Fragmentary rugae (less than 3 mm). unification pattern Converging pattern occurs when two rugae arise from different regions and converge transversely Diverging pattern occurs when two rugae begin from the same origin but diverge transversely
  • 7.
    7 •Runs directly fromorigin to termination Straight •Simple crescent shape that was curved gently Curvy •Definite, continuous ring formation, diameter from origin to termination is considered Circular •Serpentile form Wavy BASED ON SHAPE:-
  • 8.
    8 This review articledeals with different methods of palatine rugae duplication in complete denture prosthesis to improve phonetics
  • 9.
    9 RUGAEDUPLICATIONUSINGPUTTYIMPRESSION TECHNIQUE Deo, Pratibha KatiyarDr. Krishna, and Ritu Mohindra. "Duplication of Important Landmark- Palatine Rugae." World 3.1 (2012): 95-96.
  • 10.
    10 RUGAE DUPLICATION USINGDENTAL FLOSS Vijayaraghavan V, Chandni P. A simple method for palatal rugae carving in complete dentures. The Journal of Indian Prosthodontic Society. 2013 Jun 1;13(2):137-8.
  • 11.
    RUGAEDUPLICATIONUSINGTINFOIL:EXISTING PROSTHESIS 11 Gitto, Christina A.,Salvatore J. Esposito, and Julius M. Draper. "A simple method of adding palatal rugae to a complete denture." The Journal of prosthetic dentistry 81.2 (1999): 237-239.
  • 12.
  • 13.
    This article describesa technique for customizing palatal contours of a maxillary complete denture with autopolymerizing acrylic resin to improve speech intelligibility. 13
  • 14.
    • A palatogramis a graphic representation of the area of the palate contacted by tongue during a specified activity, usually speech- GPT 8. • J. Oakley Coles, in 1871, was the first to use palatograms • Palatogram is a simple and useful diagnostic tool for phonetic evaluation of a maxillary complete denture patient, and functions by representing a static record of contact area between the palate and the tongue upon pronunciation of sounds. Although the contact areas for certain sounds are individually determined, there exist sufficient similarities to constitute a pattern, which serves as a reference. 14
  • 15.
    TECHNIQUE • Verify theteeth arrangement, OVD, and the occlusal plane of a trial denture or a processed denture. • Spray green-colored indicating material (Occlude; Pascal Co Inc, Bellevue, Wash) on the palatal surface as a contact-recording media. • Insert the denture and have the patient say “so-so” and open wide. • Compare the contact areas with the general palatogram pattern for an /s/ sound 15
  • 16.
    • If theanterior portion of a denture is: • Roughen the improperly contoured area. • Prepare a thick mixture of tissue-conditioning material and spread an adequate amount of the mixture only on the outlined surface Undercontoured, a large undisturbed area will be noticeable between posterior wetted areas Overcontoured, almost the entire anterior portion of a denture will be wet 16
  • 17.
    • Insert themaxillary denture with the tissue conditioner in place, and have the patient completely read each of the 10 stimulus sentences without repeating the same sentence twice, and continue doing so for about 5 minutes at a rate faster than a normal speaking rate. • Evaluate the patient’s speech for clarity. If a whistle persists, the airstream can be further impeded by carving rugae with a #6 round bur to enhance air turbulence and tactile sensitivity. • If the prosthesis is a waxed trial denture, stop at this step for processing. If it’s a processed denture then: 17
  • 18.
  • 19.
    CONCLUSION • By alteringthe palatal contour of the maxillary denture for a patient who has sibilant distortions, improved intelligibility of the sounds and/or a reduced period of adaptation can be achieved. 19
  • 20.
  • 21.
    Objectives 1) To compareand analyze the improvement in speech sounds /s/ and /sh/ using palatally contoured dentures when rugae is du- plicated using two different impression materials in varying palatal depth configuration. 2) To evaluate the most suitable impression material for a given palatal vault depth. 21
  • 22.
    • Patients werecategorized of having shallow, medium, and deep palates such that the distance from the deepest point in the midline of upper diagnostic cast upto the crest of the ridge if measured : 15.5- 20mm - deep palate, 10.5- 15mm - medium 5.5-10mm - shallow. A total of eight patients were present in each category 22
  • 23.
    Materialand methods 23 Master cast- duplicated using Agar-Agar two maxillary cast for each patient. Record bases -2mm thickness uniformly facebow transfer and mounting of original master cast in centric relation two tooth moulds
  • 24.
    • During thesame appointment two maxillary arch impressions of each using • Mucostatic (Alginate-Marieflex,Septodent) • Muco-compressive (Impression compound-Ydents,MDM Corp). 24
  • 25.
    25 Type II Inlaywax (BEGO) was added to these impressions to obtain a wax pattern duplicating the existing rugae for all the patients
  • 26.
    26 teeth arrangement (master cast) record bases(duplicatedcasts) were interchanged Teeth arrangement from second mold flame shaped tungsten carbide bur-reduce the thickness of record bases 0.5mm Both the Wax patterns of rugae was adapted on the trimmed bases both the upper record bases –processed S1,M1, D1- mucocompressive S2, M2, D2- mucostatic
  • 27.
    • A totalof two upper dentures and one lower denture was fabricated for all the twenty four patients of different palatal vaults. • Analysis of speech began after weeks , instructed to wear the given set of two upper dentures alternatively every week for the period of eight weeks 27
  • 28.
  • 29.
  • 30.
    Conclusion • In thepresent study, contour of the existing rugae was adequately recorded in a mucostatic impression rather than mucocompressive impression material thereby avoiding under contouring or over contouring. • By altering the palatal contour of the maxillary denture for a patient who has sibilant distortions, improved intelligibility of the sounds and/or a reduced period of adaptation can be achieved. 30
  • 31.
    Evaluation or theintelligibility of/s/ and /sh/ sounds with the denture was carried out. • If a whistle persists, the air-stream was further impeded by carving ridges (rugae) with a #6 round bur to enhance air turbulence and tactile sensitivity. • If a central lisp persisted, reduction of excessive anterior contour and polishing the prostheses, or cutting a V-shaped groove in the center and parallel to the course of the airstream was carried out 31
  • 32.
    CONCLUSION To obtain thebest treatment results: Phonetics is better served by keeping the posterior ridge area in the denture as thin as possible and confining the palatal contour in anterior region. 32
  • 33.
    REFERENCES: • Kong HJ,Hansen CA. Customizing palatal contours of a denture to improve speech intelligibility. The Journal of prosthetic dentistry. 2008 Mar 1;99(3):243-248. • Sharry JJ. Complete denture prosthodontics. 3rd. New York: McGraw-Hill; 1974. p.130-48. • Goyal BK, Greenstein P. Functional contouring of the palatal vault for improving speech with complete dentures. The Journal of prosthetic dentistry. 1982 Dec 1;48(6):640-6. 33
  • 34.
    • Neelakantan A,Dhaded S. Rugae Duplication–Different Techniques Of Customizing Palatal Rugae in Maxillary Complete Denture to Enhance Phonetics. VOLUME 1 ISSUE. 2016 Jun:1. • Vaswani P, Sanyal P, Prajapati A. Comparison of speech articulation and intelligibility in palatally contoured dentures using a novel rugae duplication technique: A clinical study. International Journal of Dental Research. 2015;3(2):15-20. 34

Editor's Notes

  • #7 classification includes number, length, shape and identification pattern of rugae
  • #10 The primary impression is made in impression compound using stock tray and cast is poured. Putty is adapted over rugae area of maxillary cast to record prominent rugae on the palate.Modelling wax is melted and poured over the putty impression slowly and carefully to record the imprints of rugae over the impression. Before flasking of denture, wax imprint of rugae was placed on maxillary trial denture base, adapted carefully on the palatal portion of the maxillary trial denture base
  • #12 Adapt tinfoil on the cast with prominent rugae; flow hot baseplate wax over the surface to reinforce the tinfoil. Remove wax reinforced tinfoil from the cast and trim to desired shape.Autopolymerizing acrylic resin is applied on the underside of the tinfoil pattern to fabricate rugae. When cured, remove the tinfoil and secure acrylic rugae to the palatal area of the existing prosthesis with autopolymerizing acrylic resin. Refine, finish, and polish.
  • #13 Cut tinfoil (0.001 tinfoil) to the desired shape and adapt it to the rugae area on the master cast with prominent rugae. Tinfoil pattern is removed from the cast and is sealed to the palatal area of the completed wax-up with hot baseplate wax. Then it is flasked, processed, finished,and polished as usual
  • #16 Note that the /o/ sound pro-nounced immediately after the /s/sound naturally causes the tongue to drop away from the palatal surface resulting in less chance of erroneou contacts by the tongue.
  • #18 Fill the intaglio surface of the denture and the base of a denture processing flask with a mixture of laboratory plaster and pumice to make it easier to retrieve the denture Lightly lubricate the set mixture of laboratory plaster and pumice with petrolatum and fill the rest of the flask with type 3 DENTAL STONE leaving the area of tissue conditioner uncovered leaving the area of tissue conditioner uncovered
  • #26 In case of mucocompressive impression using medium fusing compound prior to addition of inlay wax for wax pattern fabrica-tion, the impression was chilled at temperature of 4degree Celsius in order to prevent thermal shock distortion of the impression during addition of softened inlay wax
  • #30 With decrease in mean values of scores ac-cording to speech rating scale