Prof. Amal F. Kaddah
Other Forms of Removable Partial Denture
Dr. Amal Fathy Kaddah
Professor of Prosthodontic
Faculty of Dentistry
Cairo University
When you realize you've made a mistake, take
immediate steps to correct it.
Removable Partial Dentures (RPDs)
• Metallic Removable Partial Denture
• Acrylic Temporary Removable Partial
Denture
• Other Forms of Removable Partial Denture
I. Unilateral RPD
II. Swing-lock RPD
III.Overlay partial denture (R P overdentures)
IV.Implant supported RPDs
V. Attachments for RPDs
VI.Fixed-Removable partial dentures.
VII.Esthetic design of RPDs
Other forms of removable partial denture
VII- Esthetic design of RPDs
1. Rotational path of insertion
2. I bar
3. R L S
4. MGR clasp Design
5. Hidden Clasp/ Twin Flex/Saddle Lock
6. EthetiClasp TM
7. Equipoise
8. Virginia RP (Cu-sil Partial Denture. gasket retention systems.)
9. Flexible Removable Partial Dentures
10. Tooth coloured occlusal approaching clasps (‘invisible’
clasps (optiflex)
11.Other alternatives
ABonding composite to clasp arm
Anodizing clasp arm
12. Precision & Semi-Precision Attachments for Removable
Partial Dentures
Tooth and Tissue Supported RPD Tooth Supported RPD
Metallic Removable Partial Denture
Types of Temporary RPDs
A. Interim Removable Partial Denture (RPD)
B. Transitional RPD
C. Treatment RPD
D. Immediate RPD
*Tissue Supported RPD
Other Forms of Removable
Partial Denture
CONTENTS
I. UNILATERAL RPD
II.SWING-LOCK RPD
III.OVERLAY REMOVALE PARTIAL DENTURE
IV.IMPLANT SUPPORTED RPDs
V.ATTACHMENTS FOR RPDs
VI.FIXED-REMOVABLE PARTIAL DENTURES
VII.ESTHETIC CLASPING PARTIAL DENTURES
Should be used with caution, as the
chance of the denture becoming
dislodged and aspirated is too great
I- UNILATERAL REMOVABLE PARTIAL DENTURES
Bilateral RPD Unilateral RPD
(Removable Bridge)
Which restore missing teeth and
extended on both sides of the
dental arch
* Long clinical crown of abutment tooth
*Buccal and lingual surfaces of the
abutment tooth must be parallel to
resist tipping forces
*Retentive undercuts should be available on
both the buccal and lingual surfaces of each
abutment
UNILATERAL REMOVABLE PARTIAL DENTURES
X
Unilateral RPD
(Removable Bridge)
 Which has extensions into undercuts on
the labial surfaces of the teeth.
II- THE SWING-LOCK RPD
It consists of a labial/buccal retaining bar,
hinged at one end and locked with a latch
at the other, together with
The swing-lock RPD
a reciprocating lingual
plate to gain a maximum
retention and stability.
The bar incorporate rigid struts or an
acrylic veneer which make prosthesis
immobile.
The swing-lock RPD
A labial acrylic veneer
INDICATIONS
 Missing key abutment
 Reduced bone support
 Gingival recession
The retching ( gagging)
Patient
Maxillofacial defects
CONTRINDICATIONS
Poor oral hygiene
High smile line
Soft-tissue limitations
Certain malocclusion
Alveolar limitations
•The denture can be particularly
helpful where the remaining
natural teeth offer very little
undercut for conventional clasp
retention.
Advantages
• The “gate” can carry a labial acrylic veneer. This
veneer can be used to improve the appearance
when a considerable amount of root surface has
been exposed following periodontal surgery.
Advantages
Disadvantage
As this type of denture covers a
considerable amount of gingival
margin, the standard of plaque
control must be high.
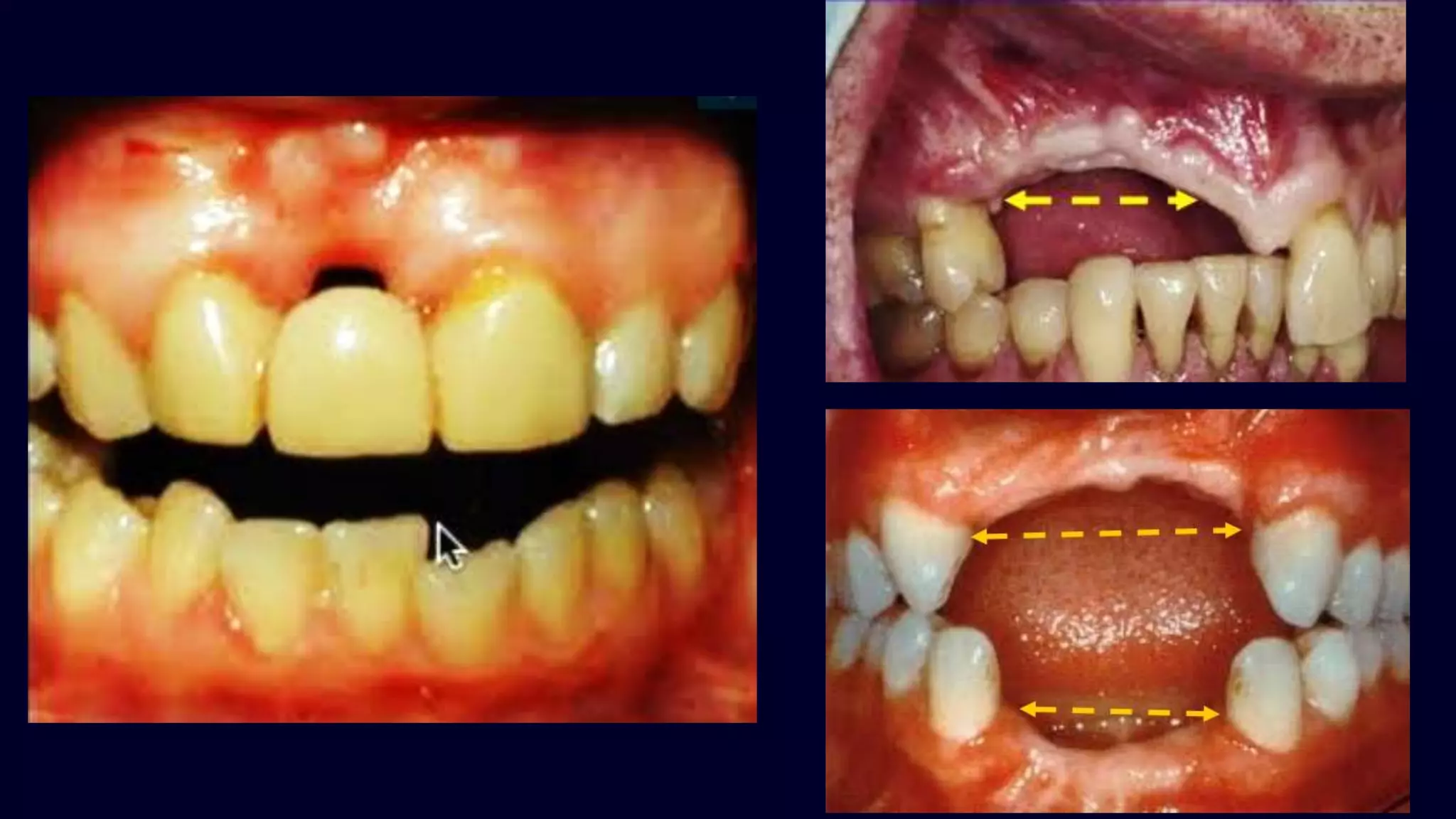
III- OVERLAY REMOVABLE PARTIAL DENTURE
• Any removable dental prosthesis constructed over one
or more remaining natural teeth, roots of natural teeth,
and/or dental implants, providing additional support,
stability & retention
= Overlay denture,
= Overlay prosthesis,
= Superimposed prosthesis
• The endodontically treated abutment is prepared by
removing the clinical crown few millimeters above the
free gingival margin to create a dome-shaped
preparation with a lightly chamfered margin extending
slightly subgingivally.
 Metal coping is made and
cemented over the
abutments.
 The removable partial
overdenture is then completed
in the usual manner.
1- Preservation of the alveolar ridge
Advantages of Overdentures
• Improved occlusal stress distribution.
• Edentulous mouth Bone loss of
6.6mm in 7 years.
• Dentate mouth Bone loss of 0.8 mm in
7 years.
TallgreenA , Acta Odontol Scand 24: 195-239, 1966.
2- Preservation of the remaining teeth
3- Preservation of proprioceptive
response:
Enhance neuromuscular control,
occlusal awareness and biting force.
4.Improved Crown to Root ratio (C/R)
5.Support and Stability.
6.Controlled Retention through the use of
attachments
7.Increase the patient acceptance and
Psychological Benefits
8.Convertibility
9.Conventional dental procedures
Disadvantages of Overdentures
Gingival irritation
1. Covering the gingival margins
• Periodontal breakdown of the abutment teeth.
2. Caries susceptibility
3. Bony undercuts
Limitation of the path of insertion
Esthetic, Pain or retention Problems
4. Inadequate reduction of the
abutment teeth may cause:
 Increased vertical dimension.
 Encroachment of the interocclusal
distance.
 Esthetics
Interference with proper
setting up of teeth
Fracture of artificial teeth
Fracture of the denture base
5. Expense and Time consuming
6. Bulkier
7. Removable Prosthesis
Types of over-Dentures
Tooth supported over-dentures.
Implant supported over- denture.
Overdentures can be classified into 2 categories,
depending on the types of abutment providing support
1. Definitive over-denture
2. Interim and transitional over-dentures
3. Immediate over-denture
4. Attachment retained over-denture
Types of tooth supported Over-dentures
This type of overdenture overlies natural tooth
structures
Definitive over-denture
Conventional partial over-denture
Constructed over 1 or more abutment teeth
Could be made entirely of
acrylic resin or in conjunction
with metal bases
Interim and transition overdentures
• Temporary RPDs Used for patients in transition or
preparation phase until permanent overdenture
constructed
• Patient old partial denture can be modified & used by
extending the denture & add new artificial teeth using
self cure acrylic resin
Immediate overdenture
• Constructed prior to preparation of
abutment teeth & ready for insertion after
preparation& reduction
• It enhances patient’s ability & adaptability to
wear dentures
Attachment retained over-denture
 Constructed with an incorporated attachment to
improve retention
 More expensive & more time for construction
Indicated for patient with good oral hygiene & low
caries index
 The abutment teeth should have good periodontal
condition & adequate bone support
I V- IMPLANT SUPPORTED RPDs
Lack of adequate support (tooth/soft tissue)
results in displacement of bilateral and
unilateral distal extension removable partial
dentures.
Placement of implants is one option for
managing this problem
Distal implants effectively convert a
Kennedy Class I or II denture to a Kennedy
Class III denture.
• This type of over denture gains support from
both the dental implants and intraoral tissues
• Implant-supported overdenture provides better
stability of prosthesis and reduce bone
resorption
Completed overlay RPD
• Implant-assisted overlay partial denture provides
favorable biomechanics and also offers optimal
esthetics for lip/cheek support and replace hard and
soft tissue
Why Implants and RPD in this patient?
• Implants were in grafted bone
• Implant/restoration ratio unfavorable
• Facilitate support, stability, retention
• Implants, teeth, mucosa
• Esthetic considerations
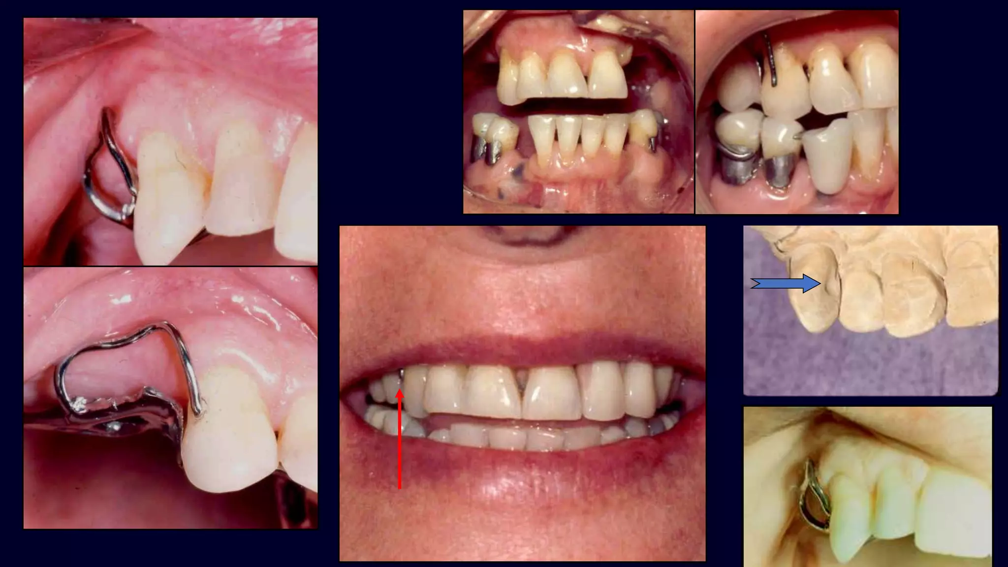
V- Attachments for RPDs
1. Attachment retained Partial denture
2. Attachment retained Partial over-denture
Classification of attachments based on their
location and Design:
1) Stud Attachments.
2) Magnetic Attachments.
3) Telescopic design
4) Bar attachments.
1- Attachment retained Partial denture
1) Intracoronal stud attachments.
2) Extracoronal stud attachments
2- Attachment retained over-denture
a) Rigid attachment Doesn’t allow movement of
denture base, provide adequate retention.
May induce more torque on abutment.
b) Resilient attachment designed to permit
some controlled movements of the
denture base, during functional loading.
Induces less torque on abutments.
Resilient attachment
Rigid attachment
Classification of attachments based on their
movement and function:
a)Precision Attachments
Ready made attachments (prefabricated from
milled alloys, made of precious metal)
b)Semiprecision Attachments
Fabricated in the dental laboratory
Classification of attachments based on their method of
fabrication and the tolerance of fit between the components
Precision Attachments
• They are Ready made attachments, their components
are machined in special alloys under precise tolerance.
• Box or key way
• Frictional Retention
• One path of insertion
• Allows minimal to no rotation
• The components are interchangeable
and usually easier to repair when necessary
• A precision attachment is prefabricated from
milled alloys, made of precious metal, and fit of
two working elements. They are generally
intracoronal and non-resilient..
Precision Attachments
• Precision attachment can be described
as a retainer used in fixed and removable
partial denture.
• Fabricated in the dental laboratory
• Economic benefits, easily fabrication
• Less intimate fit
• Principle to relieve stress
 Allows movement
 Resilient or stress releasing
• Lose stress distributing properties
Semiprecision Attachments
A. Intracoronal attachments
Precision
Non-Resilient
B. Extracoronal attachments
Precision / Semi-Precision
Resilient / Non-Resilient
1- Attachments retained Partial dentures
(Direct retainer Attachments)
Uses for Attachments Removable partial
dentures
•Esthetics
•Retention
•Function
• Metal receptacle (female part
=matrix) is incorporated entirely
within the contour of the crown.
A- Intracoronal attachments:
• Closely fitting component (Patrix = male part)
which is incorporated within the denture)
mates with the receptacle
Excessive tooth reduction and
compromised embrasures, which
result in oral hygiene and
periodontal situation problems.
In addition, all intracoronal attachments are
non-resilient.
A- Intracoronal attachments:
Crown
Female portion of the attachment is
within the crown
B- Extracoronal attachments
• All of their mechanism outside the contour of a
tooth.
Portion of attachment
outside of crown/retainer
contours (male or female)
Minimal tooth reduction is necessary
B- Extracoronal attachments
Portion of the crown outside the crown
abutment
Disadvantages
•Extra tooth preparation for intracoronal
attachment
•If insufficient reduction, Over-contoured
retainer
Contraindications
 Short clinical crowns
 Large pulps Dexterity problems
 Bruxers?
2- Over-Denture Attachment
1- Stud Attachments.
2- Magnetic Attachments.
3- Bar attachments.
4- Telescopic retainers.
It could be in the form of:
Consists of a male (stud), usually
attached to metal coping cemented
over prepared abutment
and female (housing) embedded in
the fitting surface of overdenture
base.
1- Stud attachments
a- Intra-Radicular:
The stud is attached to the fitting surface of the
denture and the housing is incorporated in the
abutment. e.g : Zest Anchor
1- Stud attachment
b- Extra-Radicular:
The stud is attached to the metal coping cemented
over the prepared abutment, while the housing is
embedded in the fitting surface of the denture.
e.g : Ceka , Rotherman, Gerber
1- Stud attachment
Overdentures with stud attachments
Female housing is embedded in the fitting surface
of the acrylic overdenture.
1- Stud attachment
1- Stud attachment
Examples of stud attachments
include:
•Ball and socket attachment
•O-rings attachment
•Extra-radicular attachment (ERA)
•Locator (self-aligning) attachment
1- Stud attachment
Ball attachment:
implant abutment while the socket (female
unit) is incorporated on the fitting surface of
the overdenture
1- Stud attachment
• This is the simplest system,
consisting of a ball and a socket.
• The ball (male unit) is made on the
This system consists of a metal
abutment analogue and a metal O-ring
fitted with silicone ring.
O-rings (ball type)attachment:
Note: Implants must
parallel to one another
O- ring
1- Stud attachment
• Favorable stress distribution patterns (ball type only)
• Minimize the risk of implant loss secondary to implant
overload
• " Simple to use "
• Less initial cost than a
tissue bar
O-rings (ball type)attachment:
1- Stud attachment
•This system is deemed most suitable
for parallel implant abutments.
Extra-radicular attachment (ERA):
Male Color Code:
Black fabrication male
White final male with light retention
Orange final male with moderate retention
Blue oversize male with heavy retention
Grey oversize male with very heavy retention
Yellow extra oversized male with more retention than grey
Red extra oversized male with more retention than yellow
1- Stud attachment
Completed overlay RPD
• White-colored (the least amount of retention) ERA were
used on the implants.
• Support, stability, and retention are achieved
• Support provided by the positive occlusal and cingulum
rests and the full palatal coverage
Extra-radicular attachment (ERA):
It is usually indicated when the implant
abutments are non-parallel to each other
1- Stud attachment
Locator (self-aligning) attachment:
*Can be used in cases of limited inter-arch space.
*Can accommodate inter implant angulations up
to 40°.
1- Stud attachment
Locator (self-aligning) attachment:
 Provides dual retention, one is mechanical and
another is frictional.
 The nylon male head is slightly oversized than its
female component which provides frictional fit.
1- Stud attachment
Locator (self-aligning) attachment:
The outer margin of attachment engages the shallow undercut
area on abutment to provide outer mechanical attachment.
Locator (self-aligning) attachment:
1- Stud attachment
*They cannot be used in cases where
rigid restoration is required.
*Regular replacement of male nylon
part due to constant wear and tear.
Disadvantages of using locator attachments:
1- Stud attachment
Locator (self-aligning) attachment:
2- Magnetic attachments
 Small, strong mini magnets
 One of poles cemented in a prepared
cavity in endodontically treated
abutment & the other attached to
denture base
Maxillary and mandibular removable overlay
dentures using magnetic attachments
Dental magnet placed on abutment
keepers ready to be cured to the denture
A Kennedy class II defect dentine was restored by
a magnetic attachment- supported RPD
3- Bar attachment
A bar contoured to connect abutment teeth
together, run parallel & overlie residual ridge
Provide support & retention for overdenture
& splint abutment teeth
Bars may be in form of preformed metal or
plastic
A- Bar units
Rigidly fixed to copings, don’t allow any
movement between bar & sleeve
Transmits occlusal stresses totally to
abutments “tooth born”
B- Bar joints
Resilient attachments allowing movement
between bar & sleeve
Support provided by both residual ridge &
abutment teeth “tooth tissue born”
Bar attachment
Sleeve
Clip, into which
the bar will slot
Bar
• The application of computer-aided design and
computer-aided manufacturing (CAD/CAM) in the
fabrication of the overdenture framework
simplifies the laboratory process of the implant
prostheses.
CADCAM-Bar
• The CAD/CAM System was utilized to produce a
lightweight titanium overdenture bar with locator
attachments.
CADCAM-Bar
• The digital workflow of
CAD/CAM milled implant
overdenture bar allows us
to avoid numerous
technical steps and
possibility of casting errors
involved in the conventional
casting of such bars.
CADCAM-Bar
4- Telescopic Overdenture
“Telescopic Overdenture”= Milled
primary copings with parallel walls and
the denture has secondary copings.
Retention is gained from friction due to the
parallel walls of the primary copings and
the precise fit of the secondary copings, full
extension of flanges is not critical.
Gold or metallic cast Copings and
telescopic crowns are a method of
improving overdenture retention.
These may be conical crowns (semi-
parallel wall) with a friction
adaptation at the marginal area of the
abutment or Milled crowns for larger
areas and parallel surfaces.
Friction retention is more
commonly used in exclusively
tooth-supported overdentures that
are not supported by soft tissue.
VI- FIXED-REMOVABLE PARTIAL DENTURE
The replacement of missing teeth
and restoration of alveolar contour.
Situations of trauma and cleft lip
and palate, and after the surgical
excision of pathoses.
 Reduction of the surrounding volume of hard
and soft tissues is even more pronounced
• The Andrews fixed dental prosthesis was
first introduced in 1976 by James Andrews,
• Consisted of a bar soldered to retainers at
each end onto which a denture is clipped.
- Extensive alveolar bone loss
- Median diastema
- Unfavorable skeletal
relationships
INDICATIONS
Precision attachments can be used in conjunction
with other conventional means of retention for
removable prostheses
Gold crowns have been placed on
the molar teeth incorporating rest
seats, guide planes and undercuts to
achieve support, stability and
conventional retention. Retention is
achieved anteriorly using a precision
attachment on the upper left lateral
incisor root.
the female ‘clip’
attachment is
embedded into the fit
surface of the denture
This tooth has been root treated and prepared for a
cast post and diaphragm onto which is soldered the
male component of a Rothermann type precision
attachment;
VII- ESTHETIC DESIGN OF RPDs
Alternatives to the circumferential clasp
1. Rotational Path
2. I Bar
1. RLS
2. MGR
5. Saddle-Lock ®
6. EsthetiClaspTM
7. Equipoise®
8. Gaskets
VII- ESTHETIC DESIGN OF RPDs
9. Flexible (polystyrene/ valplast)
10.Tooth coloured occlusal approaching
clasps (‘invisible’ clasps (optiflex)
11.Other alternatives
 Bonding composite to clasp arm
 Anodizing clasp arm
12. Precision & Semi-Precision Removable
Partial Dentures
1. Rotational Path Partial Dentures
Dual Path of Insertion Partial Dentures
• Conventional
– All rests seat simultaneously
• Rotational Path
– Insertion sequence
• First segment containing rotational
center
• Second segment rotated into final seat
Conventional Vs Rotational Path RPD
1- Elimination of clasps on one side of RPD
Rotational Path RPD
Objectives
3- Esthetic and Appearance
2- Create Guiding planes and retentive areas
Place rigid element into undercut
Rotate other end into place
(clasps)
Rotational Path RPD
1- Elimination of clasps on one side of RPD
Place in Undercut, Rotate Clasp into Place
Diagrammatic representation of seating of the
RPD framework, eliminating anterior clasps.
[From Jacobson: JPD 1994; 71:271-7].
a = long anterior rest
acting as the rotational
center for insertion of
RPD.
RPD rotated in position. No anterior clasp.
a = minor connector relieved following the
curve of insertion.
b = Minor connector providing retention
Large deep rests to provide
support, reciprocation
Reciprocation from adjacent
teeth
No rigid elements in undercut
Principles
Conventional versus Rotational Path
Guide planes in addition to Esthetic they
provide retention and effective in
stabilizing weakened teeth
2- Create Guiding planes and retentive areas
A cast in a tilted
relationship
represents a path of
placement toward
the side of the cast
that is tilted upward
Without guiding planes, Clasps designed are ineffective when
restoration is subject to dislodging forces in occlusal direction
Undercuts may affect appearance when anterior
teeth are to be replaced Mesial undercuts on teeth
adjacent to saddle ; bony undercut labially
Cast tilting may reduce anterior spaces and
reduce blocking out of labial undercut
3- Esthetic and Appearance
Undercut on the mesial aspects of the abutment teeth >>
if the RPD is constructed with this vertical path of insertion >>
Unsightly gaps between the saddle and the abutment teeth gingival
to the contact point >> Giving the cast a posterior tilt >> avoid
these gaps >> better appearance
This unsightly gap can be avoided by giving the cast a posterior tilt
BY POSTERIOR TILT THIS
UNSIGHTLY GAPS CAN BE
AVOIDED
By rotational path of insertion
Path of insertion is marked on
the cast using parallel lines
Minimal anterior spacing is
achieved with an upwards and
backwards path of insertion
How is problem of interference
overcome ?
•Avoidance - changing path of insertion
• Elimination - modify teeth (or bone ?)
• Exploitation - sectional dentures
- Surgery to remove interfering structures
- Contouring the tooth surface
For example, if a bony undercut is present labially , insertion
of a flanged denture along a path at right angles to the
occlusal plane will only be possible if the flange stands away
from the mucosa or is finished short of the undercut . This
can result in poor retention and appearance
Posterior tilt f the cast, thus the path of insertion is
parallel to the labial surface of the ridge. Thus, it is
possible to insert a flange that fits the ridge accurately
Undercut Alveolar Ridges The labial
undercut here is a source of ‘interference’
2. I bar
• Mesial occlusal rest
• Distal guide plane with proximal plate
• Buccal bar clasp
• Less visible than a circumferential clasp
3. RLS Clasp
 Mesio-occlusal Rest,
 A distolingual L-bar direct retainer
 Distobucca Stabilizer
Advantages:
• Reduces torque on the abutment tooth.
• Clasp disengagement as the distal
extension base moves tissue-ward in
function
Hiding Denture Clasp
The design of clasp for a distal
extension RPD that helps preserve both
3. RLS Clasp
the abutment teeth and
the tissues of the
edentulous ridge is
described.
4. MGR Clasp Design
Mesial Groove Reciprocation
• Retention:
– 19 gage round W.W. I bar
– Retentive dimple at distal buccal
• Reciprocation
– Mesial groove/rest
• Distal proximal plate
distal facial I-bar
(wrought wire 19
ga.) Mesial
Groove
Reciprocation
shallow rest
Lingual view
5. Saddle-Lock ® - hidden clasp
r = retainer that emerges from
denture base to engage the
undercut on the proximal tooth
surfaces.
b = bracing arm
p = proximal minor connector
with relief space to allow
flexure of the retainer.
Saddle-Lock ® - hidden clasp
• Advantages
– Esthetics
• Limitations
– No metal horizontal shoe
extension
– Short retentive arm
– Adjustment access
• Utilizes proximal
undercuts
• Encircles tooth 181°
L clasp
C clasp
6. EsthetiClasp TM
• L-Clasp
– Clasp arm extending from
lingual minor connector
– Independent reciprocal rest
– L > rigidity than C
EsthetiClasp TM
C-Clasp
– Modified back-action clasp
– Rest incorporated in clasp
– C > flex than L
EsthetiClasp TM
7. Equipoise RPD System
• Esthetic retentive concept for distal extension
situations
• Rests placed away from edentulous
span
• 1mm vertical inter-proximal reduction
between abutment and adjacent tooth
Proposed by J.J. Goodman
Equipoise Lingual back-action clasp
reciprocated
Minimal facial clasp display.1mm
Labial view of a different RPD with an equipoise
clasp on tooth 22, satisfying the aesthetics as the
clasp assembly is inconspicuous
• Optional Bu-Li retentive
groove at mid and
gingival third junction
on distal surface of
abutment tooth
Equipoise RPD
System
Occlusal view of the clasps placed on the
13 and the 24 as part of a Kennedy class
IV RPD.
Equipoise Clasp:
Equipoise® - Critique
• Caries susceptible preparation
• Mesial proximal plate torque
• Minimal Stress release
• Potential loss of proximal space (Greater
preparation)
• Requires greater surveillance
• Kennedy Class III situations
• Visible metal mesial embrasure display
•Cu-Sil is a tissue-
bearing appliance
featuring a soft
elastomeric gasket
8- Cu-Sil® PARTIAL OVERDENTURES
Gasket Retention Systems
•It clasps the neck of each
natural tooth, sealing out
food and fluids, cushioning
and splinting each natural
tooth from the hard denture
base.
8- Cu-Sil® PARTIAL OVERDENTURES
Gasket Retention Systems
8- Cu-Sil® PARTIAL OVERDENTURES
Gasket Retention Systems
• It helps prevent tooth loss and
improves the prognosis of loose,
mobile, isolated, elongated or
periodontally involved
abutments by eliminating wear,
stress and torque.
It is a denture with holes, lined by a gasket of
silicone rubber, the holes thus providing space for
remaining natural teeth to emerge into the oral cavity
through the denture
8- Cu-Sil® PARTIAL OVERDENTURES
Gasket Retention Systems
 It is an acrylic tissue-bearing appliance
featuring a soft elastomeric gasket which
clasps the neck of each natural tooth,
 Sealing out food and fluids, and
cushioning and splinting each natural
tooth from the hard denture base.
8. Gasket Retention Systems(Cu-sil)
 Cu-Sil – Elastomeric
 No clasps
 Silicone gasket around teeth
 Retaining their very few remaining teeth.
8. Gasket Retention Systems(Cu-sil)
 Flexite/Valplast –Thermoplastic
 Compensates for lost bone/gingival height
8. Gasket Retention Systems(Cu-sil)
 It is an innovative approach to
preserve the few remaining
natural teeth
 Cu-sil denture is the simplest
RPD, No special impression
techniques or materials are
required.
8. Gasket Retention Systems(Cu-sil)
 It is a practical alternative to overdentures
 It can be used for roofless uppers and free
end partials where tooth contour is
insufficient to cast clasps.
 It improves the prognosis of loose, mobile
isolated elongated or periodontally involved
abutments
8. Gasket Retention Systems(Cu-sil)
Mechanical undercut of the remaining natural teeth
was examined with the help of a surveyor and blocked
out using dental plaster.
8. Gasket Retention Systems(Cu-sil)
It is an excellent option for the patients who
want to replace their missing teeth while
retaining their very few remaining teeth.
8. Gasket Retention Systems(Cu-sil)
 Preserving the remaining natural teeth
and have a positive effect on retention
and stability of dentures.
8. Gasket Retention Systems(Cu-sil)
 It gives the patient
psychological satisfaction
of retaining the natural
teeth.
 Future add-ons and relines are possible.
 The Cu-sil like denture can serve as conventional
full denture if the patient later loses all the natural
teeth.
 Cu-sil dentures serve as a solution for lone
standing or very few remaining teeth present in the
dental arch.
 No need of endodontic procedures
8. Gasket Retention Systems(Cu-sil)
Cu-Sil
Bitem
8. Gasket Retention Systems(Cu-sil)
• Limitations
– Hygiene
– Caries potential and Perio risk
– Liner lifespan
– Deterioration
•Bond
•Elasticity
•Yeast
Difficult to adjust, polish
Tend to tear, rough surface
8. Gasket Retention Systems(Cu-sil)
9- FLEXIBLE (POLYSTYRENE/ VALPLAST)
• Biocompatible nylon and
thermoplastic resin-flexibility and
stability.
• Color, shape and design of valplast
partials blend with natural
appearance of gingiva making
prostheses nearly invisible.
FLEXIBLE (POLYSTYRENE/VALPLAST)
• Strength of valplast resin doesn’t require a metal
framework-eliminates metallic taste.
• Enables partial to be fabricated thin enough with non
metallic clasps.
Polymethylene clasps are alternative to metal clasps
10. Tooth coloured occlusal approaching clasps
‘Invisible’ Clasps (Optiflex)
Non-metal, White
Opti•Flex Coating applied to metal clasps
Thick, white, ugly clasp?
Porous (plaque)
Fatigue
Bulky (comfort)
 Bonding composite to clasp arm
 Anodizing clasp arm
11- Other alternatives
12. Precision & Semi-Precision RPDs
Partial overdenture Extracoronal attachments
Summary - Esthetic Clasps
• Retention location
• Components
• Preparation
• Lab support
• Colour
 The choice of the RPD design should be
based on biologic as well as mechanical
principles.
 The dentist responsible for the treatment
rendered must be able to justify the design
used for each case in keeping with these
principles.
Conclusion
1. Applegate O.C.: Essentials of removable partial denture prosthesis. 1st ed. Philadelphia (PA): W. B. Saunders Co. 2000.
2. Aviv I, Ben-Ur Z, Cardash HS. An analysis of rotational movement of asymmetrical distal-extension removable partial dentures. J Prosthet Dent; 61:211-214. 1989.
3. Davenport, J.C. and Pollard, A.: Aspects of partial denture design; University of Birmingham .U.K. 2005.
4. Davenport, J.C., Basker, R.M., Heath, J.R. and Ralph, J.P.: A colour Atlas of Removable Partial Dentures. Wolfe Medical Publications Ltd. 2005.
5. Applegate O.C.: Essentials of removable partial denture prosthesis. 1st ed. Philadelphia (PA): W. B. Saunders Co. 2000.
6. Bas Garcia LT. The use of a rotational-path design for a mandibular removable partial denture. Compend Contin Educ Dent;25:552-567. 2004.
7. El Gamrawy, E. A.: Basic principles of Removable Partial Denture. Clinical course. Fifth ed. 1990.
8. Firtell DN, Jacobson TE. Removable partial dentures with rotational paths of insertion: Problem analysis. J Prosthet Dent;50:8-15. 1983.
9. Garver DG. A new clasping system for unilateral distal extension removable partial dentures. J Prosthet Dent;39: 268-273. 1987.
10.Halberstam SC, Renner RP. The rotational path removable partial denture: The over-looked alternative. Compendium;14: 544-552. 1993.
11.J. C. Davenport, R. M. Basker, J. R. Heath, J. P. Ralph, P-O. Glantz and P. Hammond: Clasp design, BDJ. JANUARY 27, VOLUME 190, NO. 2, PAGES 71-81. 2001
12.J. C. Davenport, R. M. Basker, J. R. Heath, J. P. Ralph, P-O. Glantz5 and P. Hammond: Indirect retention, EBRUARY 10, VOLUME 190, NO. 3, PAGES 128-132. 2001
13.Davenport, J. C., R. M. Basker, J. R. Heath, J. P. Ralph, P-O. Glantz5 and P. Hammond: Surveying NOVEMBER 25, VOLUME 189, NO. 10, PAGES 532-542. 2000
14.Davenport, J. C.,. Basker R. M,. Heath, J. R. Ralph J. P,. Glantz P-O and Hammond P.: Tooth preparation, MARCH 24, VOLUME 190, NO. 6, PAGES 288-294. 2001.
15. Davenport J. C., R. M. Basker, J. R. Heath, J. P. Ralph, P-O. Glantz5 and P. Hammond: Bracing and reciprocation, JJANUARY 13, VOLUME 190, NO. 1, PAGES 10-14,2001.
16.Davies, R. M. J. Gray and J. F. McCord: Good occlusal practice in removable prosthodontics NOVEMBER 10, VOLUME 191, NO. 9, PAGES 491-502. 2001
17.Jacobson TE, Krol AJ. Rotational path removable partial denture design. J Prosthet Dent;48:370-376. 1982
18.Jacobson TE. Rotational path partial denture design: A 10-year clinical follow-up—Part I. J Prosthet Dent;71:271-277. 1994
19.Kaddah, A. F.: OCCLUSION IN PROSTHODONTICS, Varieties, Aberrations & Management. Dar Eletehad. First Co. First ed. Cairo Egypt. 98/7071, 1998.
20.Kratochvil : Removable Partial Prosthodontics, 5th ed. St. Louis (MO): C.V. Mosby Co. 1990.
21.Krol AJ, Finzen FC. Rotational path removable partial dentures: Part 1. Replacement of posterior teeth. Int J Prosthodont;1: 17-27. 1988
22.McCracken W. L.: Partial denture construction. Eleventh ed. St. Louis (MO): C.V. Mosby Co.; 2005
23.Raymond J. Byron Jr.,. Robert Q. Frazer, , Michael C. Herren,: Rotational path removable partial denture: An esthetic alternative. Featured in General Dentistry, May/June. Pg.
245-250. 2007.
24.Reagan SE, Dao TM. Oral rehabilitation of a patient with congenital partial anodontia using a rotational path removable partial denture: Report of a case. Quintessence Int;26:181-185.
1995.
25.Schwartz RS, Murchison DG. Design variations of the rotational path removable partial denture. J Prosthet Dent 1987;58:336-338.ic principles of Removable Partial Denture. Clinical
course. Fifth ed. 1990.
26.Swenson M, Terklo L.: Partial denture. 1st ed. St. Louis (MO): C.V. Mosby Co.1975.
27. Ting-Ling Chang: Removable Partial Dentures; Division of Advanced Prosthodontics – lecture, UCLA School of Dentistry.
Bibliography
When you find a Dream inside your heart
Don't ever let it go
Other forms of removable partial denture

Other forms of removable partial denture

  • 1.
  • 3.
    Other Forms ofRemovable Partial Denture Dr. Amal Fathy Kaddah Professor of Prosthodontic Faculty of Dentistry Cairo University
  • 4.
    When you realizeyou've made a mistake, take immediate steps to correct it.
  • 5.
    Removable Partial Dentures(RPDs) • Metallic Removable Partial Denture • Acrylic Temporary Removable Partial Denture • Other Forms of Removable Partial Denture
  • 6.
    I. Unilateral RPD II.Swing-lock RPD III.Overlay partial denture (R P overdentures) IV.Implant supported RPDs V. Attachments for RPDs VI.Fixed-Removable partial dentures. VII.Esthetic design of RPDs Other forms of removable partial denture
  • 7.
    VII- Esthetic designof RPDs 1. Rotational path of insertion 2. I bar 3. R L S 4. MGR clasp Design 5. Hidden Clasp/ Twin Flex/Saddle Lock 6. EthetiClasp TM 7. Equipoise 8. Virginia RP (Cu-sil Partial Denture. gasket retention systems.)
  • 8.
    9. Flexible RemovablePartial Dentures 10. Tooth coloured occlusal approaching clasps (‘invisible’ clasps (optiflex) 11.Other alternatives ABonding composite to clasp arm Anodizing clasp arm 12. Precision & Semi-Precision Attachments for Removable Partial Dentures
  • 9.
    Tooth and TissueSupported RPD Tooth Supported RPD Metallic Removable Partial Denture
  • 10.
    Types of TemporaryRPDs A. Interim Removable Partial Denture (RPD) B. Transitional RPD C. Treatment RPD D. Immediate RPD *Tissue Supported RPD
  • 11.
    Other Forms ofRemovable Partial Denture
  • 12.
    CONTENTS I. UNILATERAL RPD II.SWING-LOCKRPD III.OVERLAY REMOVALE PARTIAL DENTURE IV.IMPLANT SUPPORTED RPDs V.ATTACHMENTS FOR RPDs VI.FIXED-REMOVABLE PARTIAL DENTURES VII.ESTHETIC CLASPING PARTIAL DENTURES
  • 13.
    Should be usedwith caution, as the chance of the denture becoming dislodged and aspirated is too great I- UNILATERAL REMOVABLE PARTIAL DENTURES
  • 14.
    Bilateral RPD UnilateralRPD (Removable Bridge) Which restore missing teeth and extended on both sides of the dental arch
  • 15.
    * Long clinicalcrown of abutment tooth *Buccal and lingual surfaces of the abutment tooth must be parallel to resist tipping forces *Retentive undercuts should be available on both the buccal and lingual surfaces of each abutment UNILATERAL REMOVABLE PARTIAL DENTURES
  • 16.
  • 17.
     Which hasextensions into undercuts on the labial surfaces of the teeth. II- THE SWING-LOCK RPD
  • 18.
    It consists ofa labial/buccal retaining bar, hinged at one end and locked with a latch at the other, together with The swing-lock RPD a reciprocating lingual plate to gain a maximum retention and stability.
  • 19.
    The bar incorporaterigid struts or an acrylic veneer which make prosthesis immobile. The swing-lock RPD
  • 20.
  • 21.
    INDICATIONS  Missing keyabutment  Reduced bone support
  • 22.
  • 23.
    The retching (gagging) Patient Maxillofacial defects
  • 24.
    CONTRINDICATIONS Poor oral hygiene Highsmile line Soft-tissue limitations Certain malocclusion Alveolar limitations
  • 25.
    •The denture canbe particularly helpful where the remaining natural teeth offer very little undercut for conventional clasp retention. Advantages
  • 26.
    • The “gate”can carry a labial acrylic veneer. This veneer can be used to improve the appearance when a considerable amount of root surface has been exposed following periodontal surgery. Advantages
  • 27.
    Disadvantage As this typeof denture covers a considerable amount of gingival margin, the standard of plaque control must be high.
  • 28.
    III- OVERLAY REMOVABLEPARTIAL DENTURE • Any removable dental prosthesis constructed over one or more remaining natural teeth, roots of natural teeth, and/or dental implants, providing additional support, stability & retention = Overlay denture, = Overlay prosthesis, = Superimposed prosthesis
  • 29.
    • The endodonticallytreated abutment is prepared by removing the clinical crown few millimeters above the free gingival margin to create a dome-shaped preparation with a lightly chamfered margin extending slightly subgingivally.
  • 31.
     Metal copingis made and cemented over the abutments.  The removable partial overdenture is then completed in the usual manner.
  • 32.
    1- Preservation ofthe alveolar ridge Advantages of Overdentures • Improved occlusal stress distribution. • Edentulous mouth Bone loss of 6.6mm in 7 years. • Dentate mouth Bone loss of 0.8 mm in 7 years. TallgreenA , Acta Odontol Scand 24: 195-239, 1966.
  • 33.
    2- Preservation ofthe remaining teeth 3- Preservation of proprioceptive response: Enhance neuromuscular control, occlusal awareness and biting force.
  • 34.
    4.Improved Crown toRoot ratio (C/R) 5.Support and Stability. 6.Controlled Retention through the use of attachments 7.Increase the patient acceptance and Psychological Benefits 8.Convertibility 9.Conventional dental procedures
  • 35.
    Disadvantages of Overdentures Gingivalirritation 1. Covering the gingival margins • Periodontal breakdown of the abutment teeth. 2. Caries susceptibility 3. Bony undercuts Limitation of the path of insertion Esthetic, Pain or retention Problems
  • 36.
    4. Inadequate reductionof the abutment teeth may cause:  Increased vertical dimension.  Encroachment of the interocclusal distance.  Esthetics
  • 37.
    Interference with proper settingup of teeth Fracture of artificial teeth Fracture of the denture base
  • 38.
    5. Expense andTime consuming 6. Bulkier 7. Removable Prosthesis
  • 39.
    Types of over-Dentures Toothsupported over-dentures. Implant supported over- denture. Overdentures can be classified into 2 categories, depending on the types of abutment providing support
  • 40.
    1. Definitive over-denture 2.Interim and transitional over-dentures 3. Immediate over-denture 4. Attachment retained over-denture Types of tooth supported Over-dentures This type of overdenture overlies natural tooth structures
  • 41.
    Definitive over-denture Conventional partialover-denture Constructed over 1 or more abutment teeth Could be made entirely of acrylic resin or in conjunction with metal bases
  • 42.
    Interim and transitionoverdentures • Temporary RPDs Used for patients in transition or preparation phase until permanent overdenture constructed • Patient old partial denture can be modified & used by extending the denture & add new artificial teeth using self cure acrylic resin
  • 43.
    Immediate overdenture • Constructedprior to preparation of abutment teeth & ready for insertion after preparation& reduction • It enhances patient’s ability & adaptability to wear dentures
  • 44.
    Attachment retained over-denture Constructed with an incorporated attachment to improve retention  More expensive & more time for construction Indicated for patient with good oral hygiene & low caries index  The abutment teeth should have good periodontal condition & adequate bone support
  • 45.
    I V- IMPLANTSUPPORTED RPDs Lack of adequate support (tooth/soft tissue) results in displacement of bilateral and unilateral distal extension removable partial dentures. Placement of implants is one option for managing this problem Distal implants effectively convert a Kennedy Class I or II denture to a Kennedy Class III denture.
  • 46.
    • This typeof over denture gains support from both the dental implants and intraoral tissues • Implant-supported overdenture provides better stability of prosthesis and reduce bone resorption
  • 47.
    Completed overlay RPD •Implant-assisted overlay partial denture provides favorable biomechanics and also offers optimal esthetics for lip/cheek support and replace hard and soft tissue
  • 48.
    Why Implants andRPD in this patient? • Implants were in grafted bone • Implant/restoration ratio unfavorable • Facilitate support, stability, retention • Implants, teeth, mucosa • Esthetic considerations
  • 49.
    V- Attachments forRPDs 1. Attachment retained Partial denture 2. Attachment retained Partial over-denture Classification of attachments based on their location and Design:
  • 50.
    1) Stud Attachments. 2)Magnetic Attachments. 3) Telescopic design 4) Bar attachments. 1- Attachment retained Partial denture 1) Intracoronal stud attachments. 2) Extracoronal stud attachments 2- Attachment retained over-denture
  • 51.
    a) Rigid attachmentDoesn’t allow movement of denture base, provide adequate retention. May induce more torque on abutment. b) Resilient attachment designed to permit some controlled movements of the denture base, during functional loading. Induces less torque on abutments. Resilient attachment Rigid attachment Classification of attachments based on their movement and function:
  • 52.
    a)Precision Attachments Ready madeattachments (prefabricated from milled alloys, made of precious metal) b)Semiprecision Attachments Fabricated in the dental laboratory Classification of attachments based on their method of fabrication and the tolerance of fit between the components
  • 53.
    Precision Attachments • Theyare Ready made attachments, their components are machined in special alloys under precise tolerance. • Box or key way • Frictional Retention • One path of insertion • Allows minimal to no rotation • The components are interchangeable and usually easier to repair when necessary
  • 54.
    • A precisionattachment is prefabricated from milled alloys, made of precious metal, and fit of two working elements. They are generally intracoronal and non-resilient.. Precision Attachments • Precision attachment can be described as a retainer used in fixed and removable partial denture.
  • 55.
    • Fabricated inthe dental laboratory • Economic benefits, easily fabrication • Less intimate fit • Principle to relieve stress  Allows movement  Resilient or stress releasing • Lose stress distributing properties Semiprecision Attachments
  • 56.
    A. Intracoronal attachments Precision Non-Resilient B.Extracoronal attachments Precision / Semi-Precision Resilient / Non-Resilient 1- Attachments retained Partial dentures (Direct retainer Attachments)
  • 57.
    Uses for AttachmentsRemovable partial dentures •Esthetics •Retention •Function
  • 58.
    • Metal receptacle(female part =matrix) is incorporated entirely within the contour of the crown. A- Intracoronal attachments: • Closely fitting component (Patrix = male part) which is incorporated within the denture) mates with the receptacle
  • 59.
    Excessive tooth reductionand compromised embrasures, which result in oral hygiene and periodontal situation problems. In addition, all intracoronal attachments are non-resilient. A- Intracoronal attachments: Crown
  • 60.
    Female portion ofthe attachment is within the crown
  • 61.
    B- Extracoronal attachments •All of their mechanism outside the contour of a tooth. Portion of attachment outside of crown/retainer contours (male or female) Minimal tooth reduction is necessary
  • 62.
  • 63.
    Portion of thecrown outside the crown abutment
  • 64.
    Disadvantages •Extra tooth preparationfor intracoronal attachment •If insufficient reduction, Over-contoured retainer
  • 65.
    Contraindications  Short clinicalcrowns  Large pulps Dexterity problems  Bruxers?
  • 66.
    2- Over-Denture Attachment 1-Stud Attachments. 2- Magnetic Attachments. 3- Bar attachments. 4- Telescopic retainers. It could be in the form of:
  • 67.
    Consists of amale (stud), usually attached to metal coping cemented over prepared abutment and female (housing) embedded in the fitting surface of overdenture base. 1- Stud attachments
  • 68.
    a- Intra-Radicular: The studis attached to the fitting surface of the denture and the housing is incorporated in the abutment. e.g : Zest Anchor 1- Stud attachment
  • 69.
    b- Extra-Radicular: The studis attached to the metal coping cemented over the prepared abutment, while the housing is embedded in the fitting surface of the denture. e.g : Ceka , Rotherman, Gerber 1- Stud attachment
  • 70.
    Overdentures with studattachments Female housing is embedded in the fitting surface of the acrylic overdenture. 1- Stud attachment
  • 71.
  • 72.
    Examples of studattachments include: •Ball and socket attachment •O-rings attachment •Extra-radicular attachment (ERA) •Locator (self-aligning) attachment 1- Stud attachment
  • 73.
    Ball attachment: implant abutmentwhile the socket (female unit) is incorporated on the fitting surface of the overdenture 1- Stud attachment • This is the simplest system, consisting of a ball and a socket. • The ball (male unit) is made on the
  • 74.
    This system consistsof a metal abutment analogue and a metal O-ring fitted with silicone ring. O-rings (ball type)attachment: Note: Implants must parallel to one another O- ring 1- Stud attachment
  • 75.
    • Favorable stressdistribution patterns (ball type only) • Minimize the risk of implant loss secondary to implant overload • " Simple to use " • Less initial cost than a tissue bar O-rings (ball type)attachment: 1- Stud attachment
  • 76.
    •This system isdeemed most suitable for parallel implant abutments. Extra-radicular attachment (ERA): Male Color Code: Black fabrication male White final male with light retention Orange final male with moderate retention Blue oversize male with heavy retention Grey oversize male with very heavy retention Yellow extra oversized male with more retention than grey Red extra oversized male with more retention than yellow 1- Stud attachment
  • 77.
    Completed overlay RPD •White-colored (the least amount of retention) ERA were used on the implants. • Support, stability, and retention are achieved • Support provided by the positive occlusal and cingulum rests and the full palatal coverage Extra-radicular attachment (ERA):
  • 78.
    It is usuallyindicated when the implant abutments are non-parallel to each other 1- Stud attachment Locator (self-aligning) attachment:
  • 79.
    *Can be usedin cases of limited inter-arch space. *Can accommodate inter implant angulations up to 40°. 1- Stud attachment Locator (self-aligning) attachment:
  • 80.
     Provides dualretention, one is mechanical and another is frictional.  The nylon male head is slightly oversized than its female component which provides frictional fit. 1- Stud attachment Locator (self-aligning) attachment:
  • 81.
    The outer marginof attachment engages the shallow undercut area on abutment to provide outer mechanical attachment. Locator (self-aligning) attachment: 1- Stud attachment
  • 82.
    *They cannot beused in cases where rigid restoration is required. *Regular replacement of male nylon part due to constant wear and tear. Disadvantages of using locator attachments: 1- Stud attachment Locator (self-aligning) attachment:
  • 83.
    2- Magnetic attachments Small, strong mini magnets  One of poles cemented in a prepared cavity in endodontically treated abutment & the other attached to denture base
  • 84.
    Maxillary and mandibularremovable overlay dentures using magnetic attachments
  • 85.
    Dental magnet placedon abutment keepers ready to be cured to the denture
  • 86.
    A Kennedy classII defect dentine was restored by a magnetic attachment- supported RPD
  • 87.
    3- Bar attachment Abar contoured to connect abutment teeth together, run parallel & overlie residual ridge Provide support & retention for overdenture & splint abutment teeth Bars may be in form of preformed metal or plastic
  • 88.
    A- Bar units Rigidlyfixed to copings, don’t allow any movement between bar & sleeve Transmits occlusal stresses totally to abutments “tooth born”
  • 89.
    B- Bar joints Resilientattachments allowing movement between bar & sleeve Support provided by both residual ridge & abutment teeth “tooth tissue born”
  • 90.
    Bar attachment Sleeve Clip, intowhich the bar will slot Bar
  • 91.
    • The applicationof computer-aided design and computer-aided manufacturing (CAD/CAM) in the fabrication of the overdenture framework simplifies the laboratory process of the implant prostheses. CADCAM-Bar
  • 92.
    • The CAD/CAMSystem was utilized to produce a lightweight titanium overdenture bar with locator attachments. CADCAM-Bar
  • 93.
    • The digitalworkflow of CAD/CAM milled implant overdenture bar allows us to avoid numerous technical steps and possibility of casting errors involved in the conventional casting of such bars. CADCAM-Bar
  • 94.
    4- Telescopic Overdenture “TelescopicOverdenture”= Milled primary copings with parallel walls and the denture has secondary copings. Retention is gained from friction due to the parallel walls of the primary copings and the precise fit of the secondary copings, full extension of flanges is not critical.
  • 95.
    Gold or metalliccast Copings and telescopic crowns are a method of improving overdenture retention. These may be conical crowns (semi- parallel wall) with a friction adaptation at the marginal area of the abutment or Milled crowns for larger areas and parallel surfaces.
  • 96.
    Friction retention ismore commonly used in exclusively tooth-supported overdentures that are not supported by soft tissue.
  • 97.
    VI- FIXED-REMOVABLE PARTIALDENTURE The replacement of missing teeth and restoration of alveolar contour. Situations of trauma and cleft lip and palate, and after the surgical excision of pathoses.  Reduction of the surrounding volume of hard and soft tissues is even more pronounced
  • 98.
    • The Andrewsfixed dental prosthesis was first introduced in 1976 by James Andrews, • Consisted of a bar soldered to retainers at each end onto which a denture is clipped.
  • 99.
    - Extensive alveolarbone loss - Median diastema - Unfavorable skeletal relationships INDICATIONS
  • 101.
    Precision attachments canbe used in conjunction with other conventional means of retention for removable prostheses Gold crowns have been placed on the molar teeth incorporating rest seats, guide planes and undercuts to achieve support, stability and conventional retention. Retention is achieved anteriorly using a precision attachment on the upper left lateral incisor root.
  • 102.
    the female ‘clip’ attachmentis embedded into the fit surface of the denture This tooth has been root treated and prepared for a cast post and diaphragm onto which is soldered the male component of a Rothermann type precision attachment;
  • 103.
  • 104.
    Alternatives to thecircumferential clasp 1. Rotational Path 2. I Bar 1. RLS 2. MGR 5. Saddle-Lock ® 6. EsthetiClaspTM 7. Equipoise® 8. Gaskets VII- ESTHETIC DESIGN OF RPDs
  • 105.
    9. Flexible (polystyrene/valplast) 10.Tooth coloured occlusal approaching clasps (‘invisible’ clasps (optiflex) 11.Other alternatives  Bonding composite to clasp arm  Anodizing clasp arm 12. Precision & Semi-Precision Removable Partial Dentures
  • 106.
    1. Rotational PathPartial Dentures Dual Path of Insertion Partial Dentures • Conventional – All rests seat simultaneously • Rotational Path – Insertion sequence • First segment containing rotational center • Second segment rotated into final seat Conventional Vs Rotational Path RPD
  • 107.
    1- Elimination ofclasps on one side of RPD Rotational Path RPD Objectives 3- Esthetic and Appearance 2- Create Guiding planes and retentive areas
  • 108.
    Place rigid elementinto undercut Rotate other end into place (clasps) Rotational Path RPD 1- Elimination of clasps on one side of RPD
  • 109.
    Place in Undercut,Rotate Clasp into Place
  • 110.
    Diagrammatic representation ofseating of the RPD framework, eliminating anterior clasps. [From Jacobson: JPD 1994; 71:271-7]. a = long anterior rest acting as the rotational center for insertion of RPD.
  • 111.
    RPD rotated inposition. No anterior clasp. a = minor connector relieved following the curve of insertion. b = Minor connector providing retention
  • 113.
    Large deep reststo provide support, reciprocation Reciprocation from adjacent teeth No rigid elements in undercut Principles
  • 114.
  • 115.
    Guide planes inaddition to Esthetic they provide retention and effective in stabilizing weakened teeth 2- Create Guiding planes and retentive areas
  • 116.
    A cast ina tilted relationship represents a path of placement toward the side of the cast that is tilted upward
  • 117.
    Without guiding planes,Clasps designed are ineffective when restoration is subject to dislodging forces in occlusal direction
  • 118.
    Undercuts may affectappearance when anterior teeth are to be replaced Mesial undercuts on teeth adjacent to saddle ; bony undercut labially Cast tilting may reduce anterior spaces and reduce blocking out of labial undercut 3- Esthetic and Appearance
  • 119.
    Undercut on themesial aspects of the abutment teeth >> if the RPD is constructed with this vertical path of insertion >> Unsightly gaps between the saddle and the abutment teeth gingival to the contact point >> Giving the cast a posterior tilt >> avoid these gaps >> better appearance This unsightly gap can be avoided by giving the cast a posterior tilt
  • 120.
    BY POSTERIOR TILTTHIS UNSIGHTLY GAPS CAN BE AVOIDED By rotational path of insertion
  • 121.
    Path of insertionis marked on the cast using parallel lines Minimal anterior spacing is achieved with an upwards and backwards path of insertion
  • 122.
    How is problemof interference overcome ? •Avoidance - changing path of insertion • Elimination - modify teeth (or bone ?) • Exploitation - sectional dentures - Surgery to remove interfering structures - Contouring the tooth surface
  • 123.
    For example, ifa bony undercut is present labially , insertion of a flanged denture along a path at right angles to the occlusal plane will only be possible if the flange stands away from the mucosa or is finished short of the undercut . This can result in poor retention and appearance
  • 124.
    Posterior tilt fthe cast, thus the path of insertion is parallel to the labial surface of the ridge. Thus, it is possible to insert a flange that fits the ridge accurately
  • 125.
    Undercut Alveolar RidgesThe labial undercut here is a source of ‘interference’
  • 127.
    2. I bar •Mesial occlusal rest • Distal guide plane with proximal plate • Buccal bar clasp • Less visible than a circumferential clasp
  • 128.
    3. RLS Clasp Mesio-occlusal Rest,  A distolingual L-bar direct retainer  Distobucca Stabilizer Advantages: • Reduces torque on the abutment tooth. • Clasp disengagement as the distal extension base moves tissue-ward in function Hiding Denture Clasp
  • 129.
    The design ofclasp for a distal extension RPD that helps preserve both 3. RLS Clasp the abutment teeth and the tissues of the edentulous ridge is described.
  • 130.
    4. MGR ClaspDesign Mesial Groove Reciprocation • Retention: – 19 gage round W.W. I bar – Retentive dimple at distal buccal • Reciprocation – Mesial groove/rest • Distal proximal plate
  • 131.
    distal facial I-bar (wroughtwire 19 ga.) Mesial Groove Reciprocation shallow rest Lingual view
  • 135.
    5. Saddle-Lock ®- hidden clasp r = retainer that emerges from denture base to engage the undercut on the proximal tooth surfaces. b = bracing arm p = proximal minor connector with relief space to allow flexure of the retainer.
  • 136.
    Saddle-Lock ® -hidden clasp • Advantages – Esthetics • Limitations – No metal horizontal shoe extension – Short retentive arm – Adjustment access
  • 137.
    • Utilizes proximal undercuts •Encircles tooth 181° L clasp C clasp 6. EsthetiClasp TM
  • 138.
    • L-Clasp – Clasparm extending from lingual minor connector – Independent reciprocal rest – L > rigidity than C EsthetiClasp TM
  • 139.
    C-Clasp – Modified back-actionclasp – Rest incorporated in clasp – C > flex than L EsthetiClasp TM
  • 140.
    7. Equipoise RPDSystem • Esthetic retentive concept for distal extension situations • Rests placed away from edentulous span • 1mm vertical inter-proximal reduction between abutment and adjacent tooth Proposed by J.J. Goodman
  • 141.
    Equipoise Lingual back-actionclasp reciprocated Minimal facial clasp display.1mm
  • 142.
    Labial view ofa different RPD with an equipoise clasp on tooth 22, satisfying the aesthetics as the clasp assembly is inconspicuous
  • 143.
    • Optional Bu-Liretentive groove at mid and gingival third junction on distal surface of abutment tooth Equipoise RPD System
  • 144.
    Occlusal view ofthe clasps placed on the 13 and the 24 as part of a Kennedy class IV RPD. Equipoise Clasp:
  • 145.
    Equipoise® - Critique •Caries susceptible preparation • Mesial proximal plate torque • Minimal Stress release • Potential loss of proximal space (Greater preparation) • Requires greater surveillance • Kennedy Class III situations • Visible metal mesial embrasure display
  • 146.
    •Cu-Sil is atissue- bearing appliance featuring a soft elastomeric gasket 8- Cu-Sil® PARTIAL OVERDENTURES Gasket Retention Systems
  • 147.
    •It clasps theneck of each natural tooth, sealing out food and fluids, cushioning and splinting each natural tooth from the hard denture base. 8- Cu-Sil® PARTIAL OVERDENTURES Gasket Retention Systems
  • 148.
    8- Cu-Sil® PARTIALOVERDENTURES Gasket Retention Systems • It helps prevent tooth loss and improves the prognosis of loose, mobile, isolated, elongated or periodontally involved abutments by eliminating wear, stress and torque.
  • 149.
    It is adenture with holes, lined by a gasket of silicone rubber, the holes thus providing space for remaining natural teeth to emerge into the oral cavity through the denture 8- Cu-Sil® PARTIAL OVERDENTURES Gasket Retention Systems
  • 150.
     It isan acrylic tissue-bearing appliance featuring a soft elastomeric gasket which clasps the neck of each natural tooth,  Sealing out food and fluids, and cushioning and splinting each natural tooth from the hard denture base. 8. Gasket Retention Systems(Cu-sil)
  • 151.
     Cu-Sil –Elastomeric  No clasps  Silicone gasket around teeth  Retaining their very few remaining teeth. 8. Gasket Retention Systems(Cu-sil)
  • 152.
     Flexite/Valplast –Thermoplastic Compensates for lost bone/gingival height 8. Gasket Retention Systems(Cu-sil)
  • 153.
     It isan innovative approach to preserve the few remaining natural teeth  Cu-sil denture is the simplest RPD, No special impression techniques or materials are required. 8. Gasket Retention Systems(Cu-sil)
  • 154.
     It isa practical alternative to overdentures  It can be used for roofless uppers and free end partials where tooth contour is insufficient to cast clasps.  It improves the prognosis of loose, mobile isolated elongated or periodontally involved abutments 8. Gasket Retention Systems(Cu-sil)
  • 155.
    Mechanical undercut ofthe remaining natural teeth was examined with the help of a surveyor and blocked out using dental plaster. 8. Gasket Retention Systems(Cu-sil)
  • 156.
    It is anexcellent option for the patients who want to replace their missing teeth while retaining their very few remaining teeth. 8. Gasket Retention Systems(Cu-sil)
  • 157.
     Preserving theremaining natural teeth and have a positive effect on retention and stability of dentures. 8. Gasket Retention Systems(Cu-sil)  It gives the patient psychological satisfaction of retaining the natural teeth.
  • 158.
     Future add-onsand relines are possible.  The Cu-sil like denture can serve as conventional full denture if the patient later loses all the natural teeth.  Cu-sil dentures serve as a solution for lone standing or very few remaining teeth present in the dental arch.  No need of endodontic procedures 8. Gasket Retention Systems(Cu-sil)
  • 159.
    Cu-Sil Bitem 8. Gasket RetentionSystems(Cu-sil) • Limitations – Hygiene – Caries potential and Perio risk – Liner lifespan – Deterioration •Bond •Elasticity •Yeast
  • 160.
    Difficult to adjust,polish Tend to tear, rough surface 8. Gasket Retention Systems(Cu-sil)
  • 161.
    9- FLEXIBLE (POLYSTYRENE/VALPLAST) • Biocompatible nylon and thermoplastic resin-flexibility and stability. • Color, shape and design of valplast partials blend with natural appearance of gingiva making prostheses nearly invisible.
  • 162.
    FLEXIBLE (POLYSTYRENE/VALPLAST) • Strengthof valplast resin doesn’t require a metal framework-eliminates metallic taste. • Enables partial to be fabricated thin enough with non metallic clasps.
  • 163.
    Polymethylene clasps arealternative to metal clasps 10. Tooth coloured occlusal approaching clasps ‘Invisible’ Clasps (Optiflex) Non-metal, White Opti•Flex Coating applied to metal clasps Thick, white, ugly clasp? Porous (plaque) Fatigue Bulky (comfort)
  • 164.
     Bonding compositeto clasp arm  Anodizing clasp arm 11- Other alternatives
  • 165.
    12. Precision &Semi-Precision RPDs Partial overdenture Extracoronal attachments
  • 167.
    Summary - EstheticClasps • Retention location • Components • Preparation • Lab support • Colour
  • 168.
     The choiceof the RPD design should be based on biologic as well as mechanical principles.  The dentist responsible for the treatment rendered must be able to justify the design used for each case in keeping with these principles. Conclusion
  • 169.
    1. Applegate O.C.:Essentials of removable partial denture prosthesis. 1st ed. Philadelphia (PA): W. B. Saunders Co. 2000. 2. Aviv I, Ben-Ur Z, Cardash HS. An analysis of rotational movement of asymmetrical distal-extension removable partial dentures. J Prosthet Dent; 61:211-214. 1989. 3. Davenport, J.C. and Pollard, A.: Aspects of partial denture design; University of Birmingham .U.K. 2005. 4. Davenport, J.C., Basker, R.M., Heath, J.R. and Ralph, J.P.: A colour Atlas of Removable Partial Dentures. Wolfe Medical Publications Ltd. 2005. 5. Applegate O.C.: Essentials of removable partial denture prosthesis. 1st ed. Philadelphia (PA): W. B. Saunders Co. 2000. 6. Bas Garcia LT. The use of a rotational-path design for a mandibular removable partial denture. Compend Contin Educ Dent;25:552-567. 2004. 7. El Gamrawy, E. A.: Basic principles of Removable Partial Denture. Clinical course. Fifth ed. 1990. 8. Firtell DN, Jacobson TE. Removable partial dentures with rotational paths of insertion: Problem analysis. J Prosthet Dent;50:8-15. 1983. 9. Garver DG. A new clasping system for unilateral distal extension removable partial dentures. J Prosthet Dent;39: 268-273. 1987. 10.Halberstam SC, Renner RP. The rotational path removable partial denture: The over-looked alternative. Compendium;14: 544-552. 1993. 11.J. C. Davenport, R. M. Basker, J. R. Heath, J. P. Ralph, P-O. Glantz and P. Hammond: Clasp design, BDJ. JANUARY 27, VOLUME 190, NO. 2, PAGES 71-81. 2001 12.J. C. Davenport, R. M. Basker, J. R. Heath, J. P. Ralph, P-O. Glantz5 and P. Hammond: Indirect retention, EBRUARY 10, VOLUME 190, NO. 3, PAGES 128-132. 2001 13.Davenport, J. C., R. M. Basker, J. R. Heath, J. P. Ralph, P-O. Glantz5 and P. Hammond: Surveying NOVEMBER 25, VOLUME 189, NO. 10, PAGES 532-542. 2000 14.Davenport, J. C.,. Basker R. M,. Heath, J. R. Ralph J. P,. Glantz P-O and Hammond P.: Tooth preparation, MARCH 24, VOLUME 190, NO. 6, PAGES 288-294. 2001. 15. Davenport J. C., R. M. Basker, J. R. Heath, J. P. Ralph, P-O. Glantz5 and P. Hammond: Bracing and reciprocation, JJANUARY 13, VOLUME 190, NO. 1, PAGES 10-14,2001. 16.Davies, R. M. J. Gray and J. F. McCord: Good occlusal practice in removable prosthodontics NOVEMBER 10, VOLUME 191, NO. 9, PAGES 491-502. 2001 17.Jacobson TE, Krol AJ. Rotational path removable partial denture design. J Prosthet Dent;48:370-376. 1982 18.Jacobson TE. Rotational path partial denture design: A 10-year clinical follow-up—Part I. J Prosthet Dent;71:271-277. 1994 19.Kaddah, A. F.: OCCLUSION IN PROSTHODONTICS, Varieties, Aberrations & Management. Dar Eletehad. First Co. First ed. Cairo Egypt. 98/7071, 1998. 20.Kratochvil : Removable Partial Prosthodontics, 5th ed. St. Louis (MO): C.V. Mosby Co. 1990. 21.Krol AJ, Finzen FC. Rotational path removable partial dentures: Part 1. Replacement of posterior teeth. Int J Prosthodont;1: 17-27. 1988 22.McCracken W. L.: Partial denture construction. Eleventh ed. St. Louis (MO): C.V. Mosby Co.; 2005 23.Raymond J. Byron Jr.,. Robert Q. Frazer, , Michael C. Herren,: Rotational path removable partial denture: An esthetic alternative. Featured in General Dentistry, May/June. Pg. 245-250. 2007. 24.Reagan SE, Dao TM. Oral rehabilitation of a patient with congenital partial anodontia using a rotational path removable partial denture: Report of a case. Quintessence Int;26:181-185. 1995. 25.Schwartz RS, Murchison DG. Design variations of the rotational path removable partial denture. J Prosthet Dent 1987;58:336-338.ic principles of Removable Partial Denture. Clinical course. Fifth ed. 1990. 26.Swenson M, Terklo L.: Partial denture. 1st ed. St. Louis (MO): C.V. Mosby Co.1975. 27. Ting-Ling Chang: Removable Partial Dentures; Division of Advanced Prosthodontics – lecture, UCLA School of Dentistry. Bibliography
  • 170.
    When you finda Dream inside your heart Don't ever let it go