By :
Mustafa Hassan Elkady
Ehab Khaled
Under supervision :
Prof Dr : Sahar kortam
Definition
The overdenture is a complete or partial denture
prosthesis constructed over existing teeth, root
structure and/or dental implants.
 The overdenture is also called “overlay denture”,
“overlay prosthesis”, “superimposed prosthesis”
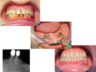
Implant overdenture
Advantages of Overdentures
1- Preservation of residual ridge .
• Improved occlusal stress distribution.
• Edentulous mouth Bone loss of 6.6mm in
7 years.
• Dentate mouth Bone loss of 0.8mm in 7
years.
Mandibular bone is affected four times
more than the maxillary bone.
Tallgreen A
Acta Odontol Scand 24: 195-239, 1966.
Mandibular bone is
Mandibular bone is
affected four times
affected four times
more than the
more than the
maxillary bone.
maxillary bone.
Advantages of Overdentures
2- Prevent the loss of
teeth.
3- Preservation of
proprioceptive
response:
Enhance neuromascular control , occlusal awareness
and biting force.
Proprioception
Periodontal mechanoreceptors are said to
allow a finer discrimination of food texture,
tooth contacts and levels of functional
loading.
This neuromuscular coordination allow pt
to have better control and greater confident in
their ability to eat, drink and speak.
The bite force for natural dentition is 150-
200 lb/in². Complete denture is 25 lb. and
overdenture is 75 Lb.
Advantages of Overdentures
4- Stability, Support.
◦ Bone preservation, presence of natural
teeth leading to less trauma to soft
tissues.
5- Retention.
◦ Through Attachments, additional
retention may be obtained by adding
different attachment devices.
Advantages of Overdentures
6-Patient acceptance and Psychological Benefits
7- Convertibility
8-Conventional dental procedures
Disadvantages of Overdentures
• Caries susceptibility.
Disadvantages of Overdentures
• Bony undercuts:
Limitation of the path of insertion of O. D.
Disadvantages of Overdentures
• Periodontal breakdown
of the abutment teeth.
– Gingivitis
– Periodontitis
– Hyperplasia
Disadvantages of Overdentures
• In adequate reduction of
the abutment teeth may
increased vertical
dimension.
Disadvantages of Overdentures
• Encroachment of the
interocclusal distance.
• Esthetics.
Disadvantages of Overdentures
Expense and Time consuming
Bulkier
Removable Prosthesis
Indications for Overdentures
Few remaining teeth are present, not suitable for fixed or RPD
Mobile teeth: Reduction of unhealthy remaining periodontal
teeth, decrease the C/R ratio, inturn decrease the
hypermobility of teeth.
Severe attrition
Abnormal jaws
Congenital defects
Alternative treatment to single
dentures
Contraindications for
Overdentures
If any other prosthetic plan can give superior results
In cases with poor oral hygiene.
Inadequate interarch distance to accept the denture and abutments.
Abutments exhibiting mobility, which exceeds grade III.
Inter-arch Space
The determination of a case
to be treated with
overdentures should be done
with care, mounted models
are extremely beneficial in
determining whether there is
adequate space for the
overdenture, attachments or
copings or bars.
Types
Complete overdentures .
Partial overdentures.
Fully tooth/implant supported.
Tissue – tooth/implant suported.
Immediate overdentures.
Transitional overdentures.
Definitive overdentures.
Classification of Overdentures
Tooth supported Implant supported
Classification of tooth-
supported overdentures
I. According to time of placement:
Immediate
Transitional
Definitive
(Remote)
Immediate Overdenture
I.O.D. is
constructed prior
to the preparation
of abutment teeth
and inserted after
the preparation.
When the
processed denture
is fitted, it is
relined with cold
cured
acrylic in the areas around the abutment teeth to make it fit
as well as possible.
Transitional Overdenture
Obtaining by
Converting an already
existing RPD to an
O.D.
Classification of tooth-
supported overdentures
II. According to design and technique of abutment preparation:
II. According to design and technique of abutment preparation:
1- Simple tooth reduction of vital abutment
1- Simple tooth reduction of vital abutment.
.
2- Tooth reduction and cast coping
2- Tooth reduction and cast coping of vital abut.
of vital abut.
Thimble or dome- shaped
Thimble or dome- shaped
3- Endodontic therapy and amalgam plug
4- Endodontic therapy with post and coping
5- Endodontic therapy with cast coping and
5- Endodontic therapy with cast coping and
attachments
attachments
6- Telescopic Overdenture
6- Telescopic Overdenture
Classification of tooth-supported
overdentures
II. According to design and technique of
abutment preparation:
1- Simple tooth modification
of vital abutment.
2- Tooth reduction and cast
coping of vital abut.
A- Thimble-shaped
coping
B- Dome shaped Tooth reduction and
cast coping
30°
30°
15°
15°
Abutment preparation
Abutment preparation
3- Endodontic therapy
and amalgam plug
4- Endodontic therapy
with post and cast
coping
5- Endodontic therapy with
cast coping and attachments
6- Telescopic overdenture
Gold or metallic cast Copings and
telescopic crowns are a method of
improving overdenture retention.
These may be conical crowns (semi-
parallel wall) with a friction
adaptation at the marginal area of
the abutment or Milled crowns for
larger areas and parallel surfaces.
Friction retention is more commonly
used in exclusively tooth-supported
overdentures that are not supported
by soft tissue.
•Partial overdenture
Gold Copings
Abutment selection.
◦ Position of abutments.
◦ Number of abutments.
◦ Periodontal evaluation.
◦ Endodontic evaluation.
◦ Decay or previous restorations.
Position & Number of abutments
 At least one tooth per
quadrant.
 Retained teeth should
preferable not be adjacent
ones.
 There should be several
millimeters of space
between the reduced tooth
forms.
 Canines and premolars
are the best overdenture
abutments to reduce
adverse forces at this site.
Periodontal and Mobility Status
Bone support, pocket depth, width of attached
gingiva, mobility, furcation involvement, & root
morphology.
Minimal mobility
At least 6mm of bone support
Attached gingiva around the abutments
Good oral hygiene
Proper emergence profile to support
the marginal gingiva
Periodontal Condition
Crown/Root Ratio
Endodontic Potential and
prosthetic status
• Single rooted teeth are easer to treat.
• Pulpal recession
• The use of restorative materials and sealants
• Prior RCT already done.
• Potential for RCT.
Restorative Condition
Caries.
Previous restorations.
Crown lengthening indicated.
Preparing the Abutments
30°
30°
15°
15°
Abutment preparation
Abutment preparation
Shape
Endodontic
therapy and
amalgam plug
Shape
Attachments
An attachment is defined as a mechanical device used for
retention and stabilization of a prosthesis.
Classification of attachment
1. Acc to type
Stud , bar and magnet
2. Acc to resiliency
Rigid or resilient
3. Acc to location
intracoronal or extracoronal
4. Acc to fabrication
Precision or semi precision
5. Acc to retention
Friction , mechanical, magnetic
Intra radicular or extra
radicular
1. PRECISION ATTACHMENTS
Ready made attachment their component are
machined in a especial alloys under precise
tolerance. Less wear, Standard parts, easier to
repair
.
2- SEMI- PRECISION ATTACHMENTS
semi- precision attachment is fabricated by the direct
casting of plastic, wax or refractory patterns, subject
to variables of fabrication, economy.
I-
II-
Rigid attachments: do not allow for movement of the
denture base providing adequate retention. However, may induce more
torque on the abutments.
Resilient attachments: allow some controlled
vertical movement. They induce less torque on abutments. However,
they are more complex in design and fabrication.
it’s important to differentiate between resilient or non resilient type
restoration. Abutment/tooth supported restorations are
considered non-resilient or solid, while abutment and tissue-
supported restorations are considered resilient.
Selection of Overdenture
Attachments
Available interarch space
Cost
Alignment of the roots
Maintenance issue
Clinical experience and
personal preference
Attachment retained overdentures are more expensive and require
more work and time for their construction.
They are indicated for patients exhibiting good oral hygiene and low
caries index.
Abutment teeth should have good periodontal condition and adequate
bone support that enable them to tolerate extra stresses that may be
added by the attachment.
III- Attachments for Overdentures
1. Stud attachments
2. Magnets
3. Bar attachments
Stud attachments:
Consist of male stud that snugly fits a female housing.
The stud is usually attached to the metal coping cemented
over the prepared abutment, while the female housing is
embedded in the fitting surface of the acrylic overdenture
exactly opposite to the abutment.
►
►Among the simplest of all attachments
Among the simplest of all attachments
►
► Their retentive elements can be reactivated or replaced
in the denture base.
►
► Have applications for both root & implant supported
Have applications for both root & implant supported
prosthesis
prosthesis
*
* Brewer & Morrow (1980),
Brewer & Morrow (1980), classified stud attachments into:
classified stud attachments into:
Resilient Stud attachments Rigid stud attachments
* Designed so as to permit or
provide for a “controlled”
movement.
* They act as safety valve for
any overload situations.
* Do not allow any movement
* Indicated when interocclusal
space is limited & when no
potential movement of the
overdenture is required
Rigid stud
attachments
Stud atts. Work best when they
are Aligned with one another
and the path of insertion of the
denture
Resilient
stud
attachments
Three categories may be
considered:
1-Location
2-Function
3-Retention
Overdenture Attachments
Intracoronal stud
attachments.
Extracoronal stud
attachments.
Intraradicular attachment.
Extraradicular attachment.
Bar attachment.
1-Location
1-Location
Intracoronal attachments:
Intracoronal attachments are
incorporated entirely within the
contour of the crown.
excessive tooth reduction and compromised embrasures, which
result in oral hygiene and periodontal situation problems. In
addition, all intracoronal attachments are non-resilient.
b. Extracoronal attachments
all of their
mechanism
outside the
contour of a
tooth. minimal tooth reduction is
necessary
b. Extracoronal attachments:
Extracoronal attachment
Extracoronal attachment act as
Stress Breakers
Stress Breakers
RPD having a movable joint between the
direct retainer and the denture base
This joint may
be in the form
of hinges, ball
and socket
devices or
sleeves and
cylinders
Hinged type stress breakers
allows vertical and hinge
movement of the base
Hinged type stress breakers allows vertical and
hinge movement of the base to prevent direct
transmission of tipping forces to the abutment
A- Dalbo extra-coronal
precision attachment device
B- Chrisman intra-coronal
retainer
Advantages
• Esthetics
• Hygiene
• Stress distribution:
Deep rest,
Directs stress along long axis
• Single path of movement
• Comfort
• Fewer lingual components
Disadvantages
Extra tooth preparation for
intracoronal attachments
Disadvantages
Can’t place flange in some undercuts
in overdenture attachments
Cost
Not Easy constructed
Parallelism
Casting
Processing
Needs Tissue base impression
Relating Base to teeth
Contraindications
Short clinical crowns
Large pulps
Dexterity problems
Bruxers?
Not Easy constructed
Parallelism Casting
Processing acrylic
Tissue base impression
Relating Base to teeth
Contraindications Short clinical crowns Large pulps
Dexterity problems
Bruxers?
Intraradicular attachment
Metal and plastic
sections (male) are
incorporated within the
root
Intraradicular attachment
Intraradicular attachment
Metal section (female )
is incorporated within
the root
*
* Chee & Donavan (1993),
Chee & Donavan (1993), classified stud attachments into:
classified stud attachments into:
Intra-radicular Extra-radicular
* The male portion (patrix)
forms part of the denture base
and engages a special depression
within the root contour or implant
* The male portion (patrix)
projects from the root surface
of the preparation or implant.
* Logic * Zest
* Rotherman attachment
* Dalla Bona
* Micro
Fix
Extraradicular attachment
Attachments for Overdentures
Types
1. Stud attachments
2. Magnets
3. Bar attachments
Magnets
Magnetic retention for overdenture:
One magnet pole is cemented in a prepared
cavity in the endodontically prepared tooth,
while the other pole is attached to the denture
base opposite to it.
Magnets
2-Function
it’s important to differentiate between
resilient or non resilient type restoration.
Abutment/tooth supported restorations are
considered non-resilient or solid, while
abutment and tissue-supported
restorations are considered resilient.
3- Retention of attachments
It can be obtained by:
frictional.
mechanical.
frictional and mechanical.
Magnets.
Another distinction is made between mechanical and
magnetic attachments. The difference lies in the
mechanism of retention as the nomenclature implies.
Magnets
Keepers
Attachments for Overdentures
Types
1. Stud attachments
2. Magnets
3. Bar attachments
Bar attachments:
A bar attachment is in the form of a bar contoured
to run parallel and overlie the residual ridge
connecting the abutments together.
The bar provides support and retention for the
overdenture and splinting of abutment teeth. (or
implants)
Bar attachment
Sleeve
Clip, into which the
bar will slot
Bar
• Should not cause
food entrapment
• Should not cause
Blanching of the
tissues
• Should not cause
encourage tissue
proliferation
** Adequate interocclusal
distance
**Adequate clearance beneath
the bar
** Adequate Bony support ** Bar should follow ridge
contour
Dolder bar
Single sleeve bar
Gilmore bar
Multi-sleeve system
Master cast to show
position and
alignment of bar
Bar attachment
•Retention tags project in the long axis of the bar, has been found
to be somewhat more fracture resistant-
•The buccoling. tags resist rotational force more than tagging
parallel with the bar.
•Tagging encroaches arrangement of artificial teeth .
Bar attachments are either in the form
of:
Bar units: rigid fixation where there is no movement
between bar and overlying sleeve “ Tooth borne”
Bar joints: Permit rotational movement between sleeve
and bar, utilizing some of the residual ridge for support “tooth
tissue borne”.
Bar Joints Bar Units
esilient version
ome rotational movement
ween the bar & the sleeve
more R.R support
Less torque on teeth
* Rigid version
* provides rigid fixation – no
movement between the bar &
the sleeve indicated
when saddle gap is long
►
► Dolder bar attachment
Dolder bar attachment
Resilient
Resilient Rigid
Rigid
Implant overdenture
Clinical Procedures
Treatment Planning
Patient Selection
◦ Medical History.
◦ Oral Hygiene.
◦ Compliance.
◦ Motivation.
Abutment selection.
◦ Position.
◦ Number of abutments
◦ Periodontal evaluation.
◦ Endodontic evaluation.
◦ Decay or previous restorations.
Inter-arch space.
Choices of Overdenture
Choices of Overdenture
Abutment
Abutment
1.
1. Amalgam plug
Amalgam plug
2.
2. Cast dowel dome
Cast dowel dome
3.
3. Attachment on the
Attachment on the
abutment root
abutment root
ctors to be considered
ctors to be considered
Cost
Cost
Abutment condition
Abutment condition
Does the patient have high risk
Does the patient have high risk
to caries?
to caries?
Do we need extra retention to
Do we need extra retention to
compensate the loss of peripheral
compensate the loss of peripheral
seal from ridge/soft tissue undercut
seal from ridge/soft tissue undercut
A- crown root ratio.
B- type of coping.
C- vertical space available.
D- number of teeth present.
E- amount of tooth support.
F- location of abutments.
Attachment selection:
Attachment selection:
it based on:
it based on:
G- location of the strongest abutments.
H- whether the overdenture is to be a
tooth-supported or tooth-tissue
supported.
J- type of the opposing dentition
whether complete denture,
overdenture, fixed appliances or
natural dentition.
K- the maintenance problems and of
least importance the cost.
Clinical Procedures
I-Abutment preparation:
-Crown reduction and contouring with or
without endodontic treatment
- Periodontal treatment.
II-Primary impression:
alginate impression in stock tray.
III- Special trays constructed on primary
cast.
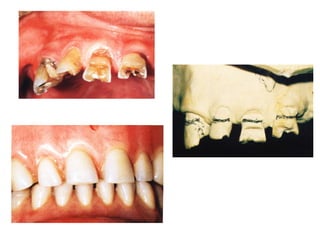
Preparing the Abutments
1. Maximum Reduction of the Coronal Portion
2. Crown-root ratio
3. No interference with artificial tooth placement
4. Restoration and polishing
Crown reduction
Clinical Procedures
III- Secondary impression
Made using rubber base stone
Clinical Procedures
Secondary impression is made using rubber
base, pour stone casts
Wax patterns for copings
Casting into metal
Copings are cemented on prepared abutments
Another Impressions are made to obtain casts
for the coping-covered abutments.
Another Impressions are made to obtain
casts for the coping covered abutments
Another Impressions are made to obtain casts for
the coping covered abutments
Upper special tray which is spaced for an alginate
impression technique.
Another Impressions are made to obtain casts for
the coping covered abutments
If precision attachments are
used. A special tray is used
with either impression paste or
elastomers depending on the
presence of undercuts. The
tray has a window over each of
the abutments, this ensures
any excess material flows out,
without displacing any of the
tissues
Clinical Procedures
IV- Jaw Relation Records:
Mounting of upper cast on semi ad. art. by
face-bow record mounting of lower
cast by centric occluding relation
setting up of teeth.
Clinical Procedures
Fitting surface of the trial denture should be relieved
over the abutments for proper denture settling
check for stability
check vertical dimension
check occlusion.
V- Try-in:
Clinical Procedures
VI- Denture processing
VII- Denture insertion
VIII- Post-insertion care
Denture abutment interface
“Passive” Contact
Abutment contacts denture in
function only
Fitting surface of the trial
denture should be relieved
over the abutments for proper
denture settling, avoid
pressure on the gingival
margin of the abutments
RESTING
FUNCTION
Oral hygiene maintenance
Maintenance
Oral Hygiene
 Brushing
 Denture kept in tap
water when not use.
Frequent recalls
For post insertion care and prophylactic care of abutments. (fluoride
application)
THANK YOU
THANK YOU

5-over denture new removable prosthodontics .ppt

  • 1.
    By : Mustafa HassanElkady Ehab Khaled Under supervision : Prof Dr : Sahar kortam
  • 2.
    Definition The overdenture isa complete or partial denture prosthesis constructed over existing teeth, root structure and/or dental implants.  The overdenture is also called “overlay denture”, “overlay prosthesis”, “superimposed prosthesis”
  • 3.
  • 4.
    Advantages of Overdentures 1-Preservation of residual ridge . • Improved occlusal stress distribution. • Edentulous mouth Bone loss of 6.6mm in 7 years. • Dentate mouth Bone loss of 0.8mm in 7 years. Mandibular bone is affected four times more than the maxillary bone. Tallgreen A Acta Odontol Scand 24: 195-239, 1966.
  • 5.
    Mandibular bone is Mandibularbone is affected four times affected four times more than the more than the maxillary bone. maxillary bone.
  • 6.
    Advantages of Overdentures 2-Prevent the loss of teeth. 3- Preservation of proprioceptive response: Enhance neuromascular control , occlusal awareness and biting force.
  • 7.
    Proprioception Periodontal mechanoreceptors aresaid to allow a finer discrimination of food texture, tooth contacts and levels of functional loading. This neuromuscular coordination allow pt to have better control and greater confident in their ability to eat, drink and speak. The bite force for natural dentition is 150- 200 lb/in². Complete denture is 25 lb. and overdenture is 75 Lb.
  • 8.
    Advantages of Overdentures 4-Stability, Support. ◦ Bone preservation, presence of natural teeth leading to less trauma to soft tissues. 5- Retention. ◦ Through Attachments, additional retention may be obtained by adding different attachment devices.
  • 9.
    Advantages of Overdentures 6-Patientacceptance and Psychological Benefits 7- Convertibility 8-Conventional dental procedures
  • 10.
    Disadvantages of Overdentures •Caries susceptibility.
  • 11.
    Disadvantages of Overdentures •Bony undercuts: Limitation of the path of insertion of O. D.
  • 12.
    Disadvantages of Overdentures •Periodontal breakdown of the abutment teeth. – Gingivitis – Periodontitis – Hyperplasia
  • 13.
    Disadvantages of Overdentures •In adequate reduction of the abutment teeth may increased vertical dimension.
  • 14.
    Disadvantages of Overdentures •Encroachment of the interocclusal distance. • Esthetics.
  • 15.
    Disadvantages of Overdentures Expenseand Time consuming Bulkier Removable Prosthesis
  • 16.
    Indications for Overdentures Fewremaining teeth are present, not suitable for fixed or RPD Mobile teeth: Reduction of unhealthy remaining periodontal teeth, decrease the C/R ratio, inturn decrease the hypermobility of teeth. Severe attrition Abnormal jaws Congenital defects Alternative treatment to single dentures
  • 17.
    Contraindications for Overdentures If anyother prosthetic plan can give superior results In cases with poor oral hygiene. Inadequate interarch distance to accept the denture and abutments. Abutments exhibiting mobility, which exceeds grade III.
  • 18.
    Inter-arch Space The determinationof a case to be treated with overdentures should be done with care, mounted models are extremely beneficial in determining whether there is adequate space for the overdenture, attachments or copings or bars.
  • 19.
    Types Complete overdentures . Partialoverdentures. Fully tooth/implant supported. Tissue – tooth/implant suported. Immediate overdentures. Transitional overdentures. Definitive overdentures.
  • 20.
    Classification of Overdentures Toothsupported Implant supported
  • 21.
    Classification of tooth- supportedoverdentures I. According to time of placement: Immediate Transitional Definitive (Remote)
  • 22.
    Immediate Overdenture I.O.D. is constructedprior to the preparation of abutment teeth and inserted after the preparation. When the processed denture is fitted, it is relined with cold cured acrylic in the areas around the abutment teeth to make it fit as well as possible.
  • 23.
    Transitional Overdenture Obtaining by Convertingan already existing RPD to an O.D.
  • 24.
    Classification of tooth- supportedoverdentures II. According to design and technique of abutment preparation: II. According to design and technique of abutment preparation: 1- Simple tooth reduction of vital abutment 1- Simple tooth reduction of vital abutment. . 2- Tooth reduction and cast coping 2- Tooth reduction and cast coping of vital abut. of vital abut. Thimble or dome- shaped Thimble or dome- shaped 3- Endodontic therapy and amalgam plug 4- Endodontic therapy with post and coping 5- Endodontic therapy with cast coping and 5- Endodontic therapy with cast coping and attachments attachments 6- Telescopic Overdenture 6- Telescopic Overdenture
  • 25.
    Classification of tooth-supported overdentures II.According to design and technique of abutment preparation: 1- Simple tooth modification of vital abutment.
  • 33.
    2- Tooth reductionand cast coping of vital abut. A- Thimble-shaped coping
  • 34.
    B- Dome shapedTooth reduction and cast coping
  • 35.
  • 36.
    3- Endodontic therapy andamalgam plug 4- Endodontic therapy with post and cast coping
  • 37.
    5- Endodontic therapywith cast coping and attachments
  • 38.
  • 41.
    Gold or metalliccast Copings and telescopic crowns are a method of improving overdenture retention. These may be conical crowns (semi- parallel wall) with a friction adaptation at the marginal area of the abutment or Milled crowns for larger areas and parallel surfaces. Friction retention is more commonly used in exclusively tooth-supported overdentures that are not supported by soft tissue.
  • 42.
  • 44.
  • 45.
    Abutment selection. ◦ Positionof abutments. ◦ Number of abutments. ◦ Periodontal evaluation. ◦ Endodontic evaluation. ◦ Decay or previous restorations.
  • 46.
    Position & Numberof abutments  At least one tooth per quadrant.  Retained teeth should preferable not be adjacent ones.  There should be several millimeters of space between the reduced tooth forms.  Canines and premolars are the best overdenture abutments to reduce adverse forces at this site.
  • 47.
    Periodontal and MobilityStatus Bone support, pocket depth, width of attached gingiva, mobility, furcation involvement, & root morphology. Minimal mobility At least 6mm of bone support Attached gingiva around the abutments Good oral hygiene Proper emergence profile to support the marginal gingiva
  • 48.
  • 49.
    Endodontic Potential and prostheticstatus • Single rooted teeth are easer to treat. • Pulpal recession • The use of restorative materials and sealants • Prior RCT already done. • Potential for RCT.
  • 50.
  • 52.
  • 53.
  • 54.
  • 55.
  • 57.
  • 58.
    Attachments An attachment isdefined as a mechanical device used for retention and stabilization of a prosthesis.
  • 59.
    Classification of attachment 1.Acc to type Stud , bar and magnet 2. Acc to resiliency Rigid or resilient 3. Acc to location intracoronal or extracoronal 4. Acc to fabrication Precision or semi precision 5. Acc to retention Friction , mechanical, magnetic Intra radicular or extra radicular
  • 60.
    1. PRECISION ATTACHMENTS Readymade attachment their component are machined in a especial alloys under precise tolerance. Less wear, Standard parts, easier to repair . 2- SEMI- PRECISION ATTACHMENTS semi- precision attachment is fabricated by the direct casting of plastic, wax or refractory patterns, subject to variables of fabrication, economy. I-
  • 61.
    II- Rigid attachments: donot allow for movement of the denture base providing adequate retention. However, may induce more torque on the abutments. Resilient attachments: allow some controlled vertical movement. They induce less torque on abutments. However, they are more complex in design and fabrication.
  • 62.
    it’s important todifferentiate between resilient or non resilient type restoration. Abutment/tooth supported restorations are considered non-resilient or solid, while abutment and tissue- supported restorations are considered resilient.
  • 63.
    Selection of Overdenture Attachments Availableinterarch space Cost Alignment of the roots Maintenance issue Clinical experience and personal preference
  • 64.
    Attachment retained overdenturesare more expensive and require more work and time for their construction. They are indicated for patients exhibiting good oral hygiene and low caries index. Abutment teeth should have good periodontal condition and adequate bone support that enable them to tolerate extra stresses that may be added by the attachment.
  • 65.
    III- Attachments forOverdentures 1. Stud attachments 2. Magnets 3. Bar attachments
  • 66.
    Stud attachments: Consist ofmale stud that snugly fits a female housing. The stud is usually attached to the metal coping cemented over the prepared abutment, while the female housing is embedded in the fitting surface of the acrylic overdenture exactly opposite to the abutment.
  • 67.
    ► ►Among the simplestof all attachments Among the simplest of all attachments ► ► Their retentive elements can be reactivated or replaced in the denture base. ► ► Have applications for both root & implant supported Have applications for both root & implant supported prosthesis prosthesis
  • 68.
    * * Brewer &Morrow (1980), Brewer & Morrow (1980), classified stud attachments into: classified stud attachments into: Resilient Stud attachments Rigid stud attachments * Designed so as to permit or provide for a “controlled” movement. * They act as safety valve for any overload situations. * Do not allow any movement * Indicated when interocclusal space is limited & when no potential movement of the overdenture is required
  • 69.
    Rigid stud attachments Stud atts.Work best when they are Aligned with one another and the path of insertion of the denture
  • 70.
  • 71.
    Three categories maybe considered: 1-Location 2-Function 3-Retention
  • 72.
    Overdenture Attachments Intracoronal stud attachments. Extracoronalstud attachments. Intraradicular attachment. Extraradicular attachment. Bar attachment. 1-Location 1-Location
  • 73.
    Intracoronal attachments: Intracoronal attachmentsare incorporated entirely within the contour of the crown. excessive tooth reduction and compromised embrasures, which result in oral hygiene and periodontal situation problems. In addition, all intracoronal attachments are non-resilient.
  • 75.
    b. Extracoronal attachments allof their mechanism outside the contour of a tooth. minimal tooth reduction is necessary
  • 76.
  • 77.
    Extracoronal attachment Extracoronal attachmentact as Stress Breakers Stress Breakers RPD having a movable joint between the direct retainer and the denture base This joint may be in the form of hinges, ball and socket devices or sleeves and cylinders Hinged type stress breakers allows vertical and hinge movement of the base
  • 78.
    Hinged type stressbreakers allows vertical and hinge movement of the base to prevent direct transmission of tipping forces to the abutment A- Dalbo extra-coronal precision attachment device B- Chrisman intra-coronal retainer
  • 79.
    Advantages • Esthetics • Hygiene •Stress distribution: Deep rest, Directs stress along long axis • Single path of movement
  • 80.
    • Comfort • Fewerlingual components
  • 81.
    Disadvantages Extra tooth preparationfor intracoronal attachments
  • 82.
    Disadvantages Can’t place flangein some undercuts in overdenture attachments Cost
  • 83.
    Not Easy constructed Parallelism Casting Processing NeedsTissue base impression Relating Base to teeth
  • 84.
    Contraindications Short clinical crowns Largepulps Dexterity problems Bruxers?
  • 85.
    Not Easy constructed ParallelismCasting Processing acrylic Tissue base impression Relating Base to teeth Contraindications Short clinical crowns Large pulps Dexterity problems Bruxers?
  • 86.
    Intraradicular attachment Metal andplastic sections (male) are incorporated within the root
  • 87.
  • 88.
    Intraradicular attachment Metal section(female ) is incorporated within the root
  • 89.
    * * Chee &Donavan (1993), Chee & Donavan (1993), classified stud attachments into: classified stud attachments into: Intra-radicular Extra-radicular * The male portion (patrix) forms part of the denture base and engages a special depression within the root contour or implant * The male portion (patrix) projects from the root surface of the preparation or implant. * Logic * Zest * Rotherman attachment * Dalla Bona * Micro Fix
  • 90.
  • 91.
    Attachments for Overdentures Types 1.Stud attachments 2. Magnets 3. Bar attachments
  • 92.
    Magnets Magnetic retention foroverdenture: One magnet pole is cemented in a prepared cavity in the endodontically prepared tooth, while the other pole is attached to the denture base opposite to it.
  • 93.
  • 94.
    2-Function it’s important todifferentiate between resilient or non resilient type restoration. Abutment/tooth supported restorations are considered non-resilient or solid, while abutment and tissue-supported restorations are considered resilient.
  • 95.
    3- Retention ofattachments It can be obtained by: frictional. mechanical. frictional and mechanical. Magnets.
  • 96.
    Another distinction ismade between mechanical and magnetic attachments. The difference lies in the mechanism of retention as the nomenclature implies. Magnets Keepers
  • 98.
    Attachments for Overdentures Types 1.Stud attachments 2. Magnets 3. Bar attachments
  • 99.
    Bar attachments: A barattachment is in the form of a bar contoured to run parallel and overlie the residual ridge connecting the abutments together. The bar provides support and retention for the overdenture and splinting of abutment teeth. (or implants)
  • 100.
    Bar attachment Sleeve Clip, intowhich the bar will slot Bar
  • 101.
    • Should notcause food entrapment • Should not cause Blanching of the tissues • Should not cause encourage tissue proliferation
  • 102.
    ** Adequate interocclusal distance **Adequateclearance beneath the bar ** Adequate Bony support ** Bar should follow ridge contour
  • 103.
    Dolder bar Single sleevebar Gilmore bar Multi-sleeve system Master cast to show position and alignment of bar
  • 104.
    Bar attachment •Retention tagsproject in the long axis of the bar, has been found to be somewhat more fracture resistant- •The buccoling. tags resist rotational force more than tagging parallel with the bar. •Tagging encroaches arrangement of artificial teeth .
  • 105.
    Bar attachments areeither in the form of: Bar units: rigid fixation where there is no movement between bar and overlying sleeve “ Tooth borne” Bar joints: Permit rotational movement between sleeve and bar, utilizing some of the residual ridge for support “tooth tissue borne”.
  • 106.
    Bar Joints BarUnits esilient version ome rotational movement ween the bar & the sleeve more R.R support Less torque on teeth * Rigid version * provides rigid fixation – no movement between the bar & the sleeve indicated when saddle gap is long ► ► Dolder bar attachment Dolder bar attachment Resilient Resilient Rigid Rigid
  • 107.
  • 108.
  • 109.
    Treatment Planning Patient Selection ◦Medical History. ◦ Oral Hygiene. ◦ Compliance. ◦ Motivation. Abutment selection. ◦ Position. ◦ Number of abutments ◦ Periodontal evaluation. ◦ Endodontic evaluation. ◦ Decay or previous restorations. Inter-arch space.
  • 110.
    Choices of Overdenture Choicesof Overdenture Abutment Abutment 1. 1. Amalgam plug Amalgam plug 2. 2. Cast dowel dome Cast dowel dome 3. 3. Attachment on the Attachment on the abutment root abutment root ctors to be considered ctors to be considered Cost Cost Abutment condition Abutment condition Does the patient have high risk Does the patient have high risk to caries? to caries? Do we need extra retention to Do we need extra retention to compensate the loss of peripheral compensate the loss of peripheral seal from ridge/soft tissue undercut seal from ridge/soft tissue undercut
  • 111.
    A- crown rootratio. B- type of coping. C- vertical space available. D- number of teeth present. E- amount of tooth support. F- location of abutments. Attachment selection: Attachment selection: it based on: it based on:
  • 112.
    G- location ofthe strongest abutments. H- whether the overdenture is to be a tooth-supported or tooth-tissue supported. J- type of the opposing dentition whether complete denture, overdenture, fixed appliances or natural dentition. K- the maintenance problems and of least importance the cost.
  • 113.
    Clinical Procedures I-Abutment preparation: -Crownreduction and contouring with or without endodontic treatment - Periodontal treatment. II-Primary impression: alginate impression in stock tray. III- Special trays constructed on primary cast.
  • 114.
    Preparing the Abutments 1.Maximum Reduction of the Coronal Portion 2. Crown-root ratio 3. No interference with artificial tooth placement 4. Restoration and polishing Crown reduction
  • 116.
    Clinical Procedures III- Secondaryimpression Made using rubber base stone
  • 117.
    Clinical Procedures Secondary impressionis made using rubber base, pour stone casts Wax patterns for copings Casting into metal Copings are cemented on prepared abutments Another Impressions are made to obtain casts for the coping-covered abutments.
  • 120.
    Another Impressions aremade to obtain casts for the coping covered abutments
  • 121.
    Another Impressions aremade to obtain casts for the coping covered abutments Upper special tray which is spaced for an alginate impression technique.
  • 122.
    Another Impressions aremade to obtain casts for the coping covered abutments If precision attachments are used. A special tray is used with either impression paste or elastomers depending on the presence of undercuts. The tray has a window over each of the abutments, this ensures any excess material flows out, without displacing any of the tissues
  • 123.
    Clinical Procedures IV- JawRelation Records: Mounting of upper cast on semi ad. art. by face-bow record mounting of lower cast by centric occluding relation setting up of teeth.
  • 124.
    Clinical Procedures Fitting surfaceof the trial denture should be relieved over the abutments for proper denture settling check for stability check vertical dimension check occlusion. V- Try-in:
  • 125.
    Clinical Procedures VI- Dentureprocessing VII- Denture insertion VIII- Post-insertion care
  • 126.
  • 127.
    “Passive” Contact Abutment contactsdenture in function only Fitting surface of the trial denture should be relieved over the abutments for proper denture settling, avoid pressure on the gingival margin of the abutments RESTING FUNCTION
  • 128.
  • 129.
    Maintenance Oral Hygiene  Brushing Denture kept in tap water when not use. Frequent recalls For post insertion care and prophylactic care of abutments. (fluoride application)
  • 192.

Editor's Notes

  • #67 Click: Stud attachments are considered simple and relatively small when compared to other attachments Click: They have applications for both root Click and implant-supported prosthesis Click Their retentive elements can be reactivated or replaced in the denture base.
  • #68  Click Stud attachments have been classified according to resiliency into Click Resilient & Rigid Click * Designed so as to permit or provide for a “controlled” movement.* They act as safety valve for any overload situations. Click The most common resilient stud attachments are the ball & socket types. Examples of which are the flexi-overdenture attachment & the OT-cap attachment Click Rigid attachments on the other hand do not allow any movement. They* Indicated when interocclusal space is limited & when no potential movement of the overdenture is required. Click Micro-fix is an example.
  • #89 Click depending on the location of the patrix, Stud attachments are classified into Click intra & Extra-radicular Click In the intra-radicular, The male portion (patrix) forms part of the denture base and engages a special depression within the root contour or implant Click In the extra-radicular, the patrix projects from the root surface of the preparation or implant. Click the logic attachment and the Click Zest are Examples of intra-radicular attachments examples of the extra-radicular attachments include Click Rotherman, Click Micro-fix and the Click Dalla Bona
  • #96 - CLICK Another distinction is made between mechanical and magnetic attachments. The difference lies in the mechanism of retention as the nomenclature implies. CLICK Keepers are usually attached to teeth or implants. CLICK Magnets are incorporated in the superstructure.
  • #100 wallet
  • #110 Abutment roots are long and parallel-sided can be use to attachment. Large expose dentine surface are susceptible to caries, vigorous brushing and occlusal wear. Coping could provide some caries protection but the margin area can still get caries.