Other Forms of Removable Partial Denture
Dr. Amal Fathy Kaddah
Professor of Prosthodontic
Faculty of Dentistry
Cairo University
The secret of friendship is being a good
listener
 Is a dental prosthesis that substitute
teeth and associated structures in
partially edentulous arch made from
acrylic resin and can be removed
and replaced at will.
Temporary removable partial
dentures
Temporary RPD:
 A removable prosthesis that is used
temporarily for a period of time until
a more definitive prosthesis can be
provided.
1. Reestablish Esthetic or Appearance.
2. Maintenance of space.
3. Improving patient tolerance for wearing a
prosthesis
4. Reestablishing occlusal relationships.
5. Conditioning teeth and residual ridges.
6. An interim restoration during treatment.
objectives:
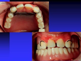
1- Reestablish Esthetic or
Appearance.
Before and After construction of the
immediate treatment partial denture
2. Maintenance of space
 In young patients the space should be
maintained until the adjacent teeth have
reached sufficient maturity to be used as
abutments for fixed restorations
 In adult patients can prevent undesirable
migration and extrusion of adjacent or
opposing teeth until definitive treatment
can be accomplished.
Space maintenance
Aesthetics
Improving patient tolerance
3. Improving patient tolerance
for wearing a prosthesis
 Allows a period in which
the patient can gradually
adapt to permanent
prosthesis.
4. Reestablishment of occlusal
relationships
Temporary RPDs may be used
as occlusal splint
 To establish a new occlusal
relationship or occlusal vertical
dimension
The increase in occlusal vertical
dimension is sometimes necessary to
accommodate the required restorations,
to be tolerated by the patient
5. To condition teeth and ridge
tissue
Temporary RPDs or occlusal
splint
 Prepare or condition the teeth and
ridge tissue for the definitive
removable partial denture that will
follow.
Carry tissue treatment material to
abused oral tissues.
6. Interim restoration during
treatment
 Replaced with fixed restorations
 Age
 Newly extraction
 Implant healing period
An interim denture can be helpful in
patients exhibiting gingival trauma
as a result of a deep incisal overbite
Prevention of gingival trauma should not be
attempted with an onlay appliance covering
only the posterior teeth as continued
eruption of the anterior teeth may result in
the original traumatic relationship
In the young patient the palatal table may
allowing further eruption of the posterior
teeth and causing some intrusion of the
mandibular anterior teeth
Indications
1. Young Patients
2. Elderly Patients whose health
contraindicates lengthy and physically
tiring procedures
3. When cost is a prime requisite, and
patients who cannot afford the
expenses of metallic pd or fixed
restorations
Indications
4.When a diagnostic or interim
(Temporary) partial denture is
required before a definite
restoration.
5.As a template for implant
location
Indications
6. Treatment Partial Denture
A. Carry tissue treatment material to abused
oral tissues.
B. To re-establish the vertical dimension of
occlusion .
C. As a splint following surgical corrections
D. As a night guard or mouth protective
device to correct or control undesirable
oral habits, or to protect the mouth and
teeth from trauma.
Advantages of acrylic partial dentures
over Cobalt Chrome partial dentures
 Light in weight.
 Good appearance
 Not expensive (Low cost)
 Easy to construct and to repair
 Less laboratory and clinical
time consuming
Disadvantages of acrylic partial
dentures
 Poor thermal conductivity
 Lower strength (easily broken)
 Less hygienic
 Tendency for warpage if
overheated during polishing.
Types of Temporary RPDs
A. Interim Removable Partial
Denture (RPD)
B. Transitional RPD
C. Treatment RPD
D. Immediate RPD
 Removable partial dentures that is
used temporarily for a period of
time until a more definitive
prosthesis can be provided.
Temporary RPDs
A- Interim Removable partial dentures
Definition:
It is dental prosthesis used for a limited
period of time to enhance:
• Esthetics
• Function (mastication and speech)
• Occlusal support
• Stabilization and Convenience.
 Is to condition the patient to
the acceptance of an
artificial substitute for
missing natural teeth until
more definitive prosthodontic
therapy can be provided
Objectives of using an Interim RPD
 It may be indicated when age and
time factors may prohibit the
construction of the definitive
prosthesis.
(Permanent in some cases)
Objectives of using an Interim RPD
Interim Removable Partial
Dentures
 Short period of time
 Prior to a definitive denture
 Acrylic major
connector, wrought
wire clasps
Indications
 Large pulps (can’t fabricate bridge)
 Clinical crowns too short
 No usable undercuts
 Children - permanent prosthesis would
be quickly outgrown
 Temporary space maintenance (caries,
trauma, congenitally missing teeth)
Temporary space maintenance
(congenitally missing teeth)
 Temporary time or financial
constraints
 Sudden loss of teeth, before sufficient
healing has occurred (accidents, after
extractions)
Indications
B- Transitional RPD
 Transition to a complete denture
 Teeth need to be extracted but not
immediately (medically
compromised)
 Patient is not psychologically
prepared
 As will be replaced by the definitive
prosthesis after tissue changes have
occurred.
 i.e. Not all the artificial teeth will be
replaced at the same time (one by one).
 It may become an interim complete
denture when all natural teeth have
been removed from the dental arch.
Transition to a
complete denture
Transition to a
complete denture
Transition to a
complete denture
C- Treatment Removable PD
 Improve a condition before a
definitive denture
 It is another form of Temporary
prosthesis that is used to
improve, treating or conditioning
the tissues.
Tissue conditioning
Treatment Denture
 Papillary hyperplasia (massage, Brushing,
With or without surgery)
 Acute inflammation (increase tissue
adaptation and redistribute the stress)
 May use the existing denture or a new
treatment denture may be made
Tissue conditioning
Treatment Denture
Epulis Fissuratum
Ill fitting and over
extended denture
Treatment Denture
• Alteration of vertical dimension /
occlusion
• Determine how patient will respond to
changes (TMD)
• Surgical Splint
Removal of palatal tori
Treatment Denture
Occlusal Splint
Determine how patient will
respond to changes (TMD)
Treatment Denture
Occlusal Splint
Implant healing
Treatment Denture
D- Immediate RPD
 It is a partial denture
constructed before the
extraction of unwanted teeth
and is inserted immediately
after their extraction.
D- Immediate RPD
Immediate
interim
denture
Immediate treatment partial
• Support
• Stability
• Retention
Definitive cast partial
• Support
• Stability
• Retention
Designing of acrylic partial
dentures
An acrylic removable partial denture
consists of:
 Acrylic resin denture base
 Acrylic teeth
 Wrought wire or cast clasps:
 Simple Circlet Clasp
 Half Jackson Clasp or Adam’s Crib:
Design
 Clasps (Wrought wire 0.02”)
 Circumferential
 Clasps (Wrought wire 0.02”)
 Ball clasps
Rest and retentive elements
Design
 Clasps (Wrought wire 0.02”)
 Adams clasps
 Rest and retentive elements
Design
 Bracing
 Lingual/palatal major connector
provides bracing
 Contacts teeth at the heights of
contour
Design
 Rests
 Usually wrought wire
 Acrylic may be used over cingulum
rest seats
 Longer term use
- cast retainers
Design
Design
 Major Connectors
 Full palatal coverage increases
strength & stability
 Extend denture to first molar
 Retentive clasps embedded into
major connector
Adjustment
(McCracken's Removable Partial
Prosthodontics, 11th Edition.
Elsevier, 2005)
Commonly adjust:
• Interproximal extensions (A)
• Where clasp exits from resin (B)
• Tissue undercuts (C)
Forms of acrylic RPD
1- Spoon denture
2- Every’s denture
 It is mucosa borne acylic RPD without
clasps that replaces missing maxillary
anterior teeth.
Spoon denture
 Dentures whose
retention depends
primarily on control
by the patient’s
musculature.
Where an acrylic denture is provided, tissue damage
is minimized by careful design of “spoon” denture.
It reduces gingival margin coverage to a minimum
but a potential hazard is the risk of inhalation or
ingestion.
aid stability and retention
Spoon denture was modified by frictional
contact between the connector and the
palatal surfaces of some of the posterior
teeth or by adding wrought wire clasps.
Which can be used for restoring multiple
bounded saddle areas in the upper jaw.
Every denture
Six principles are:
1. Arch completed through a series of contact points
2. Flanges establish lateral and antero-posterior
stability
3. Large denture base for retention and support
(maximum area coverage within physiological
limit)
4. Denture base with wide embrasures to preserve
gingival health (reduces gingival margin coverage
to a minimum)
5. Free occlusion to minimize occlusal forces
6. Post damming to improve retention
The inaccurate fit will encourage plaque
formation with consequent periodontal disease
and caries, thus introducing an unnecessary and
avoidable risk to oral health.
Disadvantage
 All denture borders are at least 3 mm
from the gingival margins.
 The “open” design of saddle/tooth
junction is employed.
Every denture
 Point contact between the artificial teeth and
abutment teeth is established to reduce
lateral stress to a minimum.
Every denture
 Posterior wire “stops” are
included to prevent distal
drift of the posterior teeth
with consequent loss of
the contact points.
Posterior wire “stops”
 Flanges are included to assist the
bracing of the denture.
Every denture
 Lateral stresses are
reduced by achieving as
much balanced occlusion
and articulation as possible.
 Which has extensions into undercuts
on the labial surfaces of the teeth.
The swing-lock RPD
It consists of a labial/buccal retaining bar,
hinged at one end and locked with a latch
at the other, together with
The swing-lock RPD
a reciprocating lingual
plate to gain a
maximum retention and
stability.
The bar incorporate rigid struts or
an acrylic veneer which make
prosthesis immobile.
The swing-lock RPD
INDICATIONS
 Missing key abutment
 Reduced bone support
 Unfavorable tooth contour
 Unilateral abutments
The retching ( gagging)
Patient
Maxillofacial defects
CONTRINDICATIONS
Poor oral hygiene
High smile line
Soft-tissue limitations
Certain malocclusion
Alveolar limitations
 The denture can be particularly
helpful where the remaining
natural teeth offer very little
undercut for conventional clasp
retention.
Advantages
 The “gate” can carry a labial acrylic
veneer. This veneer can be used to
improve the appearance when a
considerable amount of root surface
has been exposed following
periodontal surgery.
Advantages
Disadvantage
 As this type of denture covers a
considerable amount of gingival
margin, the standard of plaque
control must be high.
Gingival recession
Interim Prosthesis Fabrication
Clinical Steps for Interim RPDs
1. History, examination, and proper treatment
planning
2. Mouth preparation (endodontic, periodontal,
surgery)
3. Upper and Lower impressions
4. Pour the casts
5. Maxillo-mandibular relations (occlusal
vertical dimension, centric record )
6. Articulate the casts
7. Draw design for interim partial denture
 Preliminary impressions
 Design the definitive partial
denture (interim denture will
use similar design)
Interim Prosthesis Fabrication
Interim Prosthesis Fabrication
 Optional Step (preferred)
 Tooth preparations for a
definitive RPD
 New alginate impression
 Mouth preparation (endodontic,
periodontal, surgery)
 Maxillo-mandibular relations
 Articulate casts
Interim Prosthesis Fabrication
Take care when
Utilizing Acrylic Interim Partials
1. ‘Flipper’ Gum strip
 Slang - No Clasps
A) The mucosa will become inflamed and
the bone will resorb.
B) The amount of bone which has been
destroyed is apparent when the
denture is removed.
A) B)
Take care
Utilizing Acrylic Interim Partials
2. Patients can be more
susceptible to caries as the
acrylic pd and remaining
natural teeth can become
target for plaque accumulation
3. Patients need Extra
prophylactic measures such as
more frequent hygiene visits
and regular use of fluoride
should be recommended.
4. Patients who insist on
wearing their prosthesis
while they sleep should
leave their partial out for
several hours during the day
(tissue rest)
5. When using clasps for retention,
care should be taken not to
interfere with patient’s normal
occlusion.
Occlusal interferences are one of
the main reasons for poor
patient compliance with these
appliances.
doesn’t need
it.
and the
person who
dislike you
won’t believe
Because the person who
likes you
Never explain yourself to
anyone.
Denture base extended on to the teeth
to aid stability and retention. This
extension also provides support
Wire "stops" must be included on the distal
surface of the most distally placed natural
teeth in the arch. In addition to providing point
contact, the stops also help to prevent anterior
movement of the denture base as well as distal
movement of the natural teeth.
“Every” design principles dictate that
denture coverage should always be minimal
to prevent accumulation of plaque and
mechanical irritation of the gingivae.
An Every denture covers a large palatal area yet
its contact with the standing teeth is minimal.
Resistance to anterior displacement is also
derived from the stops placed on the distal
surface of the molar teeth
 Connectors to the saddles should
be narrow to provide suitable
clearance for the gingivae
 A minimum clearance of 3 mm is
regarded as a satisfactory
distance.
 The denture base must not encroach on
the gingivae. A detrimental effect on
these tissues can result from mechanical
irritation and stagnation of food debris.
 Care must be taken to prevent inter-
proximal stagnation areas by
creating self-cleansing wide
embrasures as illustrated here.
 Stability of the Every denture against
lateral and posterior displacement is
achieved by the incorporation of
labial and buccal flanges
 Correct extension of the flanges is
important as over or under extension
will affect denture stability.
Creating "free" occlusion is an
essential feature for stability
 b, Free occlusion in
lateral excursion
 a, Centric occlusion
When free occlusion is created cuspal interference is
eliminated during jaw movements: This helps to
preserve stability of the denture and minimize trauma.
Selective grinding of the teeth during the setting up will
enable lateral and protrusive excursions without
interference from the natural teeth
1. Applegate O.C.: Essentials of removable partial denture prosthesis. 1st ed. Philadelphia (PA): W. B. Saunders Co. 2000.
2. Aviv I, Ben-Ur Z, Cardash HS. An analysis of rotational movement of asymmetrical distal-extension removable partial dentures. J Prosthet Dent; 61:211-214. 1989.
3. Davenport, J.C. and Pollard, A.: Aspects of partial denture design; University of Birmingham .U.K. 2005.
4. Davenport, J.C., Basker, R.M., Heath, J.R. and Ralph, J.P.: A colour Atlas of Removable Partial Dentures. Wolfe Medical Publications Ltd. 2005.
5. Applegate O.C.: Essentials of removable partial denture prosthesis. 1st ed. Philadelphia (PA): W. B. Saunders Co. 2000.
6. Bas Garcia LT. The use of a rotational-path design for a mandibular removable partial denture. Compend Contin Educ Dent;25:552-567. 2004.
7. El Gamrawy, E. A.: Basic principles of Removable Partial Denture. Clinical course. Fifth ed. 1990.
8. Firtell DN, Jacobson TE. Removable partial dentures with rotational paths of insertion: Problem analysis. J Prosthet Dent;50:8-15. 1983.
9. Garver DG. A new clasping system for unilateral distal extension removable partial dentures. J Prosthet Dent;39: 268-273. 1987.
10.Halberstam SC, Renner RP. The rotational path removable partial denture: The over-looked alternative. Compendium;14: 544-552. 1993.
11.J. C. Davenport, R. M. Basker, J. R. Heath, J. P. Ralph, P-O. Glantz and P. Hammond: Clasp design, BDJ. JANUARY 27, VOLUME 190, NO. 2, PAGES 71-81.
2001
12.J. C. Davenport, R. M. Basker, J. R. Heath, J. P. Ralph, P-O. Glantz5 and P. Hammond: Indirect retention, EBRUARY 10, VOLUME 190, NO. 3, PAGES 128-132.
2001
13.Davenport, J. C., R. M. Basker, J. R. Heath, J. P. Ralph, P-O. Glantz5 and P. Hammond:Surveying NOVEMBER 25, VOLUME 189, NO. 10, PAGES 532-542. 2000
14.Davenport, J. C.,. Basker R. M,. Heath, J. R. Ralph J. P,. Glantz P-O and Hammond P.: Tooth preparation, MARCH 24, VOLUME 190, NO. 6, PAGES 288-294.
2001.
15. Davenport J. C., R. M. Basker, J. R. Heath, J. P. Ralph, P-O. Glantz5 and P. Hammond: Bracing and reciprocation, JJANUARY 13, VOLUME 190, NO. 1, PAGES
10-14,2001.
16.Davies, R. M. J. Gray and J. F. McCord: Good occlusal practice in removable prosthodontics NOVEMBER 10, VOLUME 191, NO. 9, PAGES 491-502. 2001
17.Jacobson TE, Krol AJ. Rotational path removable partial denture design. J Prosthet Dent;48:370-376. 1982
18.Jacobson TE. Rotational path partial denture design: A 10-year clinical follow-up—Part I. J Prosthet Dent;71:271-277. 1994
19.Kaddah, A. F.: OCCLUSION IN PROSTHODONTICS, Varieties, Aberrations & Management. Dar Eletehad. First Co. First ed. Cairo Egypt. 98/7071, 1998.
20.Kratochvil : Removable Partial Prosthodontics, 5th ed. St. Louis (MO): C.V. Mosby Co. 1990.
21.Krol AJ, Finzen FC. Rotational path removable partial dentures: Part 1. Replacement of posterior teeth. Int J Prosthodont;1: 17-27. 1988
22.McCracken W. L.: Partial denture construction. Eleventh ed. St. Louis (MO): C.V. Mosby Co.; 2005
23.Raymond J. Byron Jr.,. Robert Q. Frazer, , Michael C. Herren,: Rotational path removable partial denture: An esthetic alternative. Featured in General
Dentistry, May/June. Pg. 245-250. 2007.
24.Reagan SE, Dao TM. Oral rehabilitation of a patient with congenital partial anodontia using a rotational path removable partial denture: Report of a case. Quintessence
Int;26:181-185. 1995.
25.Schwartz RS, Murchison DG. Design variations of the rotational path removable partial denture. J Prosthet Dent 1987;58:336-338.ic principles of Removable Partial
Denture. Clinical course. Fifth ed. 1990.
26.Swenson M, Terklo L.: Partial denture. 1st ed. St. Louis (MO): C.V. Mosby Co.1975.
27. Ting-Ling Chang: Removable Partial Dentures; Division of Advanced Prosthodontics – lecture, UCLA School of Dentistry.
Bibliography
} ‫البقرة‬117
Temporary removable partial dentures

Temporary removable partial dentures

  • 3.
    Other Forms ofRemovable Partial Denture Dr. Amal Fathy Kaddah Professor of Prosthodontic Faculty of Dentistry Cairo University
  • 4.
    The secret offriendship is being a good listener
  • 6.
     Is adental prosthesis that substitute teeth and associated structures in partially edentulous arch made from acrylic resin and can be removed and replaced at will. Temporary removable partial dentures
  • 7.
    Temporary RPD:  Aremovable prosthesis that is used temporarily for a period of time until a more definitive prosthesis can be provided.
  • 8.
    1. Reestablish Estheticor Appearance. 2. Maintenance of space. 3. Improving patient tolerance for wearing a prosthesis 4. Reestablishing occlusal relationships. 5. Conditioning teeth and residual ridges. 6. An interim restoration during treatment. objectives:
  • 9.
    1- Reestablish Estheticor Appearance. Before and After construction of the immediate treatment partial denture
  • 10.
    2. Maintenance ofspace  In young patients the space should be maintained until the adjacent teeth have reached sufficient maturity to be used as abutments for fixed restorations  In adult patients can prevent undesirable migration and extrusion of adjacent or opposing teeth until definitive treatment can be accomplished.
  • 11.
  • 12.
    3. Improving patienttolerance for wearing a prosthesis  Allows a period in which the patient can gradually adapt to permanent prosthesis.
  • 13.
    4. Reestablishment ofocclusal relationships Temporary RPDs may be used as occlusal splint  To establish a new occlusal relationship or occlusal vertical dimension
  • 14.
    The increase inocclusal vertical dimension is sometimes necessary to accommodate the required restorations, to be tolerated by the patient
  • 15.
    5. To conditionteeth and ridge tissue Temporary RPDs or occlusal splint  Prepare or condition the teeth and ridge tissue for the definitive removable partial denture that will follow. Carry tissue treatment material to abused oral tissues.
  • 16.
    6. Interim restorationduring treatment  Replaced with fixed restorations  Age  Newly extraction  Implant healing period
  • 17.
    An interim denturecan be helpful in patients exhibiting gingival trauma as a result of a deep incisal overbite
  • 18.
    Prevention of gingivaltrauma should not be attempted with an onlay appliance covering only the posterior teeth as continued eruption of the anterior teeth may result in the original traumatic relationship
  • 19.
    In the youngpatient the palatal table may allowing further eruption of the posterior teeth and causing some intrusion of the mandibular anterior teeth
  • 20.
    Indications 1. Young Patients 2.Elderly Patients whose health contraindicates lengthy and physically tiring procedures 3. When cost is a prime requisite, and patients who cannot afford the expenses of metallic pd or fixed restorations
  • 21.
    Indications 4.When a diagnosticor interim (Temporary) partial denture is required before a definite restoration. 5.As a template for implant location
  • 22.
    Indications 6. Treatment PartialDenture A. Carry tissue treatment material to abused oral tissues. B. To re-establish the vertical dimension of occlusion . C. As a splint following surgical corrections D. As a night guard or mouth protective device to correct or control undesirable oral habits, or to protect the mouth and teeth from trauma.
  • 23.
    Advantages of acrylicpartial dentures over Cobalt Chrome partial dentures  Light in weight.  Good appearance  Not expensive (Low cost)  Easy to construct and to repair  Less laboratory and clinical time consuming
  • 24.
    Disadvantages of acrylicpartial dentures  Poor thermal conductivity  Lower strength (easily broken)  Less hygienic  Tendency for warpage if overheated during polishing.
  • 25.
    Types of TemporaryRPDs A. Interim Removable Partial Denture (RPD) B. Transitional RPD C. Treatment RPD D. Immediate RPD
  • 26.
     Removable partialdentures that is used temporarily for a period of time until a more definitive prosthesis can be provided. Temporary RPDs
  • 27.
    A- Interim Removablepartial dentures Definition: It is dental prosthesis used for a limited period of time to enhance: • Esthetics • Function (mastication and speech) • Occlusal support • Stabilization and Convenience.
  • 28.
     Is tocondition the patient to the acceptance of an artificial substitute for missing natural teeth until more definitive prosthodontic therapy can be provided Objectives of using an Interim RPD
  • 29.
     It maybe indicated when age and time factors may prohibit the construction of the definitive prosthesis. (Permanent in some cases) Objectives of using an Interim RPD
  • 30.
    Interim Removable Partial Dentures Short period of time  Prior to a definitive denture  Acrylic major connector, wrought wire clasps
  • 31.
    Indications  Large pulps(can’t fabricate bridge)  Clinical crowns too short  No usable undercuts  Children - permanent prosthesis would be quickly outgrown  Temporary space maintenance (caries, trauma, congenitally missing teeth)
  • 32.
  • 34.
     Temporary timeor financial constraints  Sudden loss of teeth, before sufficient healing has occurred (accidents, after extractions) Indications
  • 37.
    B- Transitional RPD Transition to a complete denture  Teeth need to be extracted but not immediately (medically compromised)  Patient is not psychologically prepared
  • 38.
     As willbe replaced by the definitive prosthesis after tissue changes have occurred.  i.e. Not all the artificial teeth will be replaced at the same time (one by one).  It may become an interim complete denture when all natural teeth have been removed from the dental arch.
  • 39.
  • 40.
  • 41.
  • 42.
    C- Treatment RemovablePD  Improve a condition before a definitive denture  It is another form of Temporary prosthesis that is used to improve, treating or conditioning the tissues.
  • 43.
  • 44.
     Papillary hyperplasia(massage, Brushing, With or without surgery)  Acute inflammation (increase tissue adaptation and redistribute the stress)  May use the existing denture or a new treatment denture may be made Tissue conditioning Treatment Denture
  • 45.
    Epulis Fissuratum Ill fittingand over extended denture Treatment Denture
  • 46.
    • Alteration ofvertical dimension / occlusion • Determine how patient will respond to changes (TMD) • Surgical Splint Removal of palatal tori Treatment Denture
  • 47.
    Occlusal Splint Determine howpatient will respond to changes (TMD) Treatment Denture
  • 48.
  • 49.
  • 50.
    D- Immediate RPD It is a partial denture constructed before the extraction of unwanted teeth and is inserted immediately after their extraction.
  • 51.
  • 52.
  • 53.
    Immediate treatment partial •Support • Stability • Retention
  • 54.
    Definitive cast partial •Support • Stability • Retention
  • 56.
    Designing of acrylicpartial dentures
  • 57.
    An acrylic removablepartial denture consists of:  Acrylic resin denture base  Acrylic teeth  Wrought wire or cast clasps:  Simple Circlet Clasp  Half Jackson Clasp or Adam’s Crib:
  • 58.
    Design  Clasps (Wroughtwire 0.02”)  Circumferential
  • 59.
     Clasps (Wroughtwire 0.02”)  Ball clasps Rest and retentive elements Design
  • 60.
     Clasps (Wroughtwire 0.02”)  Adams clasps  Rest and retentive elements Design
  • 61.
     Bracing  Lingual/palatalmajor connector provides bracing  Contacts teeth at the heights of contour Design
  • 62.
     Rests  Usuallywrought wire  Acrylic may be used over cingulum rest seats  Longer term use - cast retainers Design
  • 63.
    Design  Major Connectors Full palatal coverage increases strength & stability  Extend denture to first molar  Retentive clasps embedded into major connector
  • 64.
    Adjustment (McCracken's Removable Partial Prosthodontics,11th Edition. Elsevier, 2005) Commonly adjust: • Interproximal extensions (A) • Where clasp exits from resin (B) • Tissue undercuts (C)
  • 65.
    Forms of acrylicRPD 1- Spoon denture 2- Every’s denture
  • 66.
     It ismucosa borne acylic RPD without clasps that replaces missing maxillary anterior teeth. Spoon denture  Dentures whose retention depends primarily on control by the patient’s musculature.
  • 67.
    Where an acrylicdenture is provided, tissue damage is minimized by careful design of “spoon” denture. It reduces gingival margin coverage to a minimum but a potential hazard is the risk of inhalation or ingestion. aid stability and retention
  • 68.
    Spoon denture wasmodified by frictional contact between the connector and the palatal surfaces of some of the posterior teeth or by adding wrought wire clasps.
  • 69.
    Which can beused for restoring multiple bounded saddle areas in the upper jaw. Every denture
  • 70.
    Six principles are: 1.Arch completed through a series of contact points 2. Flanges establish lateral and antero-posterior stability 3. Large denture base for retention and support (maximum area coverage within physiological limit) 4. Denture base with wide embrasures to preserve gingival health (reduces gingival margin coverage to a minimum) 5. Free occlusion to minimize occlusal forces 6. Post damming to improve retention
  • 71.
    The inaccurate fitwill encourage plaque formation with consequent periodontal disease and caries, thus introducing an unnecessary and avoidable risk to oral health. Disadvantage
  • 72.
     All dentureborders are at least 3 mm from the gingival margins.  The “open” design of saddle/tooth junction is employed. Every denture
  • 73.
     Point contactbetween the artificial teeth and abutment teeth is established to reduce lateral stress to a minimum. Every denture  Posterior wire “stops” are included to prevent distal drift of the posterior teeth with consequent loss of the contact points.
  • 74.
  • 75.
     Flanges areincluded to assist the bracing of the denture. Every denture  Lateral stresses are reduced by achieving as much balanced occlusion and articulation as possible.
  • 76.
     Which hasextensions into undercuts on the labial surfaces of the teeth. The swing-lock RPD
  • 77.
    It consists ofa labial/buccal retaining bar, hinged at one end and locked with a latch at the other, together with The swing-lock RPD a reciprocating lingual plate to gain a maximum retention and stability.
  • 78.
    The bar incorporaterigid struts or an acrylic veneer which make prosthesis immobile. The swing-lock RPD
  • 79.
    INDICATIONS  Missing keyabutment  Reduced bone support
  • 80.
     Unfavorable toothcontour  Unilateral abutments
  • 81.
    The retching (gagging) Patient Maxillofacial defects
  • 82.
    CONTRINDICATIONS Poor oral hygiene Highsmile line Soft-tissue limitations Certain malocclusion Alveolar limitations
  • 83.
     The denturecan be particularly helpful where the remaining natural teeth offer very little undercut for conventional clasp retention. Advantages
  • 84.
     The “gate”can carry a labial acrylic veneer. This veneer can be used to improve the appearance when a considerable amount of root surface has been exposed following periodontal surgery. Advantages
  • 85.
    Disadvantage  As thistype of denture covers a considerable amount of gingival margin, the standard of plaque control must be high.
  • 86.
  • 87.
  • 88.
    Clinical Steps forInterim RPDs 1. History, examination, and proper treatment planning 2. Mouth preparation (endodontic, periodontal, surgery) 3. Upper and Lower impressions 4. Pour the casts 5. Maxillo-mandibular relations (occlusal vertical dimension, centric record ) 6. Articulate the casts 7. Draw design for interim partial denture
  • 89.
     Preliminary impressions Design the definitive partial denture (interim denture will use similar design) Interim Prosthesis Fabrication
  • 90.
    Interim Prosthesis Fabrication Optional Step (preferred)  Tooth preparations for a definitive RPD  New alginate impression  Mouth preparation (endodontic, periodontal, surgery)
  • 91.
     Maxillo-mandibular relations Articulate casts Interim Prosthesis Fabrication
  • 92.
    Take care when UtilizingAcrylic Interim Partials
  • 93.
    1. ‘Flipper’ Gumstrip  Slang - No Clasps
  • 94.
    A) The mucosawill become inflamed and the bone will resorb. B) The amount of bone which has been destroyed is apparent when the denture is removed. A) B)
  • 95.
    Take care Utilizing AcrylicInterim Partials 2. Patients can be more susceptible to caries as the acrylic pd and remaining natural teeth can become target for plaque accumulation
  • 96.
    3. Patients needExtra prophylactic measures such as more frequent hygiene visits and regular use of fluoride should be recommended.
  • 97.
    4. Patients whoinsist on wearing their prosthesis while they sleep should leave their partial out for several hours during the day (tissue rest)
  • 98.
    5. When usingclasps for retention, care should be taken not to interfere with patient’s normal occlusion. Occlusal interferences are one of the main reasons for poor patient compliance with these appliances.
  • 99.
    doesn’t need it. and the personwho dislike you won’t believe Because the person who likes you Never explain yourself to anyone.
  • 100.
    Denture base extendedon to the teeth to aid stability and retention. This extension also provides support
  • 101.
    Wire "stops" mustbe included on the distal surface of the most distally placed natural teeth in the arch. In addition to providing point contact, the stops also help to prevent anterior movement of the denture base as well as distal movement of the natural teeth.
  • 102.
    “Every” design principlesdictate that denture coverage should always be minimal to prevent accumulation of plaque and mechanical irritation of the gingivae.
  • 103.
    An Every denturecovers a large palatal area yet its contact with the standing teeth is minimal. Resistance to anterior displacement is also derived from the stops placed on the distal surface of the molar teeth
  • 104.
     Connectors tothe saddles should be narrow to provide suitable clearance for the gingivae
  • 105.
     A minimumclearance of 3 mm is regarded as a satisfactory distance.
  • 106.
     The denturebase must not encroach on the gingivae. A detrimental effect on these tissues can result from mechanical irritation and stagnation of food debris.
  • 107.
     Care mustbe taken to prevent inter- proximal stagnation areas by creating self-cleansing wide embrasures as illustrated here.
  • 108.
     Stability ofthe Every denture against lateral and posterior displacement is achieved by the incorporation of labial and buccal flanges
  • 109.
     Correct extensionof the flanges is important as over or under extension will affect denture stability.
  • 110.
    Creating "free" occlusionis an essential feature for stability  b, Free occlusion in lateral excursion  a, Centric occlusion
  • 111.
    When free occlusionis created cuspal interference is eliminated during jaw movements: This helps to preserve stability of the denture and minimize trauma. Selective grinding of the teeth during the setting up will enable lateral and protrusive excursions without interference from the natural teeth
  • 112.
    1. Applegate O.C.:Essentials of removable partial denture prosthesis. 1st ed. Philadelphia (PA): W. B. Saunders Co. 2000. 2. Aviv I, Ben-Ur Z, Cardash HS. An analysis of rotational movement of asymmetrical distal-extension removable partial dentures. J Prosthet Dent; 61:211-214. 1989. 3. Davenport, J.C. and Pollard, A.: Aspects of partial denture design; University of Birmingham .U.K. 2005. 4. Davenport, J.C., Basker, R.M., Heath, J.R. and Ralph, J.P.: A colour Atlas of Removable Partial Dentures. Wolfe Medical Publications Ltd. 2005. 5. Applegate O.C.: Essentials of removable partial denture prosthesis. 1st ed. Philadelphia (PA): W. B. Saunders Co. 2000. 6. Bas Garcia LT. The use of a rotational-path design for a mandibular removable partial denture. Compend Contin Educ Dent;25:552-567. 2004. 7. El Gamrawy, E. A.: Basic principles of Removable Partial Denture. Clinical course. Fifth ed. 1990. 8. Firtell DN, Jacobson TE. Removable partial dentures with rotational paths of insertion: Problem analysis. J Prosthet Dent;50:8-15. 1983. 9. Garver DG. A new clasping system for unilateral distal extension removable partial dentures. J Prosthet Dent;39: 268-273. 1987. 10.Halberstam SC, Renner RP. The rotational path removable partial denture: The over-looked alternative. Compendium;14: 544-552. 1993. 11.J. C. Davenport, R. M. Basker, J. R. Heath, J. P. Ralph, P-O. Glantz and P. Hammond: Clasp design, BDJ. JANUARY 27, VOLUME 190, NO. 2, PAGES 71-81. 2001 12.J. C. Davenport, R. M. Basker, J. R. Heath, J. P. Ralph, P-O. Glantz5 and P. Hammond: Indirect retention, EBRUARY 10, VOLUME 190, NO. 3, PAGES 128-132. 2001 13.Davenport, J. C., R. M. Basker, J. R. Heath, J. P. Ralph, P-O. Glantz5 and P. Hammond:Surveying NOVEMBER 25, VOLUME 189, NO. 10, PAGES 532-542. 2000 14.Davenport, J. C.,. Basker R. M,. Heath, J. R. Ralph J. P,. Glantz P-O and Hammond P.: Tooth preparation, MARCH 24, VOLUME 190, NO. 6, PAGES 288-294. 2001. 15. Davenport J. C., R. M. Basker, J. R. Heath, J. P. Ralph, P-O. Glantz5 and P. Hammond: Bracing and reciprocation, JJANUARY 13, VOLUME 190, NO. 1, PAGES 10-14,2001. 16.Davies, R. M. J. Gray and J. F. McCord: Good occlusal practice in removable prosthodontics NOVEMBER 10, VOLUME 191, NO. 9, PAGES 491-502. 2001 17.Jacobson TE, Krol AJ. Rotational path removable partial denture design. J Prosthet Dent;48:370-376. 1982 18.Jacobson TE. Rotational path partial denture design: A 10-year clinical follow-up—Part I. J Prosthet Dent;71:271-277. 1994 19.Kaddah, A. F.: OCCLUSION IN PROSTHODONTICS, Varieties, Aberrations & Management. Dar Eletehad. First Co. First ed. Cairo Egypt. 98/7071, 1998. 20.Kratochvil : Removable Partial Prosthodontics, 5th ed. St. Louis (MO): C.V. Mosby Co. 1990. 21.Krol AJ, Finzen FC. Rotational path removable partial dentures: Part 1. Replacement of posterior teeth. Int J Prosthodont;1: 17-27. 1988 22.McCracken W. L.: Partial denture construction. Eleventh ed. St. Louis (MO): C.V. Mosby Co.; 2005 23.Raymond J. Byron Jr.,. Robert Q. Frazer, , Michael C. Herren,: Rotational path removable partial denture: An esthetic alternative. Featured in General Dentistry, May/June. Pg. 245-250. 2007. 24.Reagan SE, Dao TM. Oral rehabilitation of a patient with congenital partial anodontia using a rotational path removable partial denture: Report of a case. Quintessence Int;26:181-185. 1995. 25.Schwartz RS, Murchison DG. Design variations of the rotational path removable partial denture. J Prosthet Dent 1987;58:336-338.ic principles of Removable Partial Denture. Clinical course. Fifth ed. 1990. 26.Swenson M, Terklo L.: Partial denture. 1st ed. St. Louis (MO): C.V. Mosby Co.1975. 27. Ting-Ling Chang: Removable Partial Dentures; Division of Advanced Prosthodontics – lecture, UCLA School of Dentistry. Bibliography
  • 113.