LUNG SBRT
Dr. Rituparna Biswas
Senior Resident
Radiation Oncology, BRA IRCH, AIIMS
Introduction
• Early stage lung cancer may often be not amenable for surgery due to
poor underlying lung function.
• While conventional radiation therapy may be utilized, respiratory motion
often implies inclusion of large volumes of normal lung.
• This poses a significant challenge for utilising SBRT, where sharp
gradients and short treatment schedules benefit these patients.
Treatment Indications
• SBRT is currently employed in NSCLC. SBRT has no established role in
small cell lung cancer.
 Most established SBRT criteria include N0 patients with <5 cm,
peripherally located tumors, but tumors may be more cautiously treated
with expanded criteria of larger size (<7 cm), central location, multiple
synchronous lesions, and chest wall invasion (T3N0) with historically
inferior results.
• SBRT has a developing role as a boost following definitive chemoradiation
in management of locally advanced NSCLC, for re-irradiation of locally
recurrent disease, and for treatment of intrathoracic oligometastases from
various primary histologies
Methods to Reduce the Impact of the Tumor Motion
Most methods reduce all
margins except the margin
from GTV to CTV.
The following methods have been applied to reduce the impact of
respiratory tumor motion on dose distribution:
(1) patient-specific treatment volumes based on tumor motion observed
during planning CT scans (4DCT-based ITV),
(2) forced shallow breathing with abdominal compression,
(3) breath-hold methods,
(4) respiratory gating methods, and
(5) real time tumor tracking.
4DCT-Based Internal Gross Tumor Volume (ITV)
The breathing cycle is divided into distinct bins (e.g., peak exhale, mid inhale, peak inhale, mid exhale). Images
are sorted into these image bins depending on the phase of the breathing cycle in which they were acquired, yielding a 4D CT
data set.
4DCT-Based Internal Gross Tumor Volume (ITV)
• Ideally, ITV should be delineated by manually contouring GTV in all 10
breath phases of a 4D scan image sets, which is the most accurate tool to
determine ITV, but it is a labor-intensive task.
• To reduce the workload of contouring multiple GTVs, one solution is to
contour only two extreme phases at end-inhalation and end-exhalation and
then to sum of the two becoming ITV.
• Other is to use the post-processing tools of maximum intensity projection
(MIP). MIP-based ITV delineation is performed on a single 3-D CT data set,
where each pixel in this set represents the brightest object encountered by
corresponding voxels in all volumetric 4D CT data sets.
A disadvantage of an MIP-defined mGTV is that in regions where the
background and tumor have similar Hounsfield units, the tumor is less clearly
defined. This situation includes nodal volumes within the hilum or mediastinum,
tumors located near the diaphragm, and tumors surrounded by atelectasis.
Forced Shallow Breathing with Abdominal Compression
The whole body frame
with abdominal
immobilization. Green
arrow, the whole body
frame; red arrow, the
abdominal compression
plate
A detailed picture of
the whole body frame
with abdominal
immobilization. Yellow
arrow, abdominal plate;
green arrow, screw to
regulate the degree of
abdominal
compression
A CT scan slice
through the whole
body frame. Red
arrow, the whole
body frame; yellow
arrow, abdominal
plate; green arrow,
screw to regulate the
degree of abdominal
compression
Breath-Hold Methods
• Radiation is only delivered when the tumor is not moving during the breath hold.
• Active breathing control- ABC apparatus can be used to suspend breathing at any pre-
determined position along the normal breathing cycle.
• In the DIBH technique, the patient is initially maintained at quiet tidal breathing, followed
by a deep inspiration, a deep expiration, a second deep inspiration, and breath hold.
• Different methods to monitor lung inflation levels:
1. Differential pressure pneumotachograph spirometer
2. self-gated DIBH
• To familiarize the patient with the procedure, a training session is given a few days before
the planned simulation.
• Breath-holding techniques may be poorly tolerated by patients with mediocre lung
function
• Respiratory gating involves administration of radiation within a particular window of the
patient’s breathing cycle.
• Requires monitoring patient’s respiratory motion using either an external or internal fiducial
markers
• Commercially available respiratory gating systems are the Varian RPM system and the
BrainLAB ExacTracGating system.
Respiratory gating methods
• The RPM gating system uses an external IR marker as a surrogate for tumor
motion and may not necessarily correlate with internal motion
• In contrast, the ExacTracGating system combines the capability to track
externally placed markers in three dimensions with a digital radiography
system capable of locating internally placed fiducials.
Detecting the patient’s breathing pattern
using an IR camera system with reflecting
markers attached to the skin.
The system can trigger each of two
isocentrically aimed diagnostic X-ray
units at a user-defined point in the
breathing cycle
From these two images the 3D location of
an internally placed radio-opaque fiducial
marker can be determined.
The patient can then be moved into the
correct treatment position based on the
position of the internal markers.
ExacTrac Gating system
Real-Time Tumor Tracking
The CyberKnife.
White arrow, linear
accelerator; black
arrow, robot; red
arrow, one of
the 2 X-ray tubes;
green arrow, one of the
2 flat panels; blue
arrow, Synchrony
camera
• The imaging system consists of 2 diagnostic X-ray sources mounted to the ceiling
paired with amorphous silicon detectors to acquire live digital radiographic images of
the tumor, or tumor localizing surrogates such as the skull, spine, or fiducial markers.
• 3 LEDs are placed on the patient’s chest or abdomen to provide the external breathing
signal. The motion of these LEDs due to respiration is registered by a digital camera
array (the Synchrony camera).
• The tumor is localized by reconstructing the 3D position of the tumor or the fiducial
markers, which are automatically segmented in the X-ray images. The reconstructed
position is compared with the position in the planning CT scan.
Advantage:
An ITV is not required.
Simulation, Treatment Planning, Constraints and Prescription
• Treatment planning CT scan is performed with intravenous contrast
• 4D CT scans, exhale or inhale CT scan combined or not combined with a
contrast enhanced planning CT scan
• Scanned from his/her teeth to the middle of his/her abdomen
• Axial imaging has a slice thickness of 1.5–3 mm.
• The planning CT is transferred to the treatment planning system (TPS).
• The GTV is contoured using the lung window.
• CTV / ITV = GTV + 0–10 mm (in RTOG protocols , GTV and CTV have been
considered identical on CT planning with zero expansion margin added).
• PTV = CTV / ITV + 3–10 mm
Current RTOG guidelines are:
 Non-4DCT planning, PTV = GTV + 5 mm axial and 10 mm longitudinal
anisotropic margins.
 4DCT planning, PTV = ITV + 5 mm isotropic margin
• The OARs consist of both lungs, esophagus, the heart, central airway,
chestwall, brachial plexus, skin and the spinal cord.
• Usually, inverse treatment planning is used
• The number of beams varies between 7 and 15 using conventional IG-IMRT
techniques or up to 150 beams using stereotactic radiotherapy with the
CyberKnife
• Treatment planning guidelines (adapted from RTOG 0618).
 VRx dose ≥95 % PTV , V90 ≥99 % PTV.
 High dose region (≥105 % Rx dose) should fall within the PTV .
 Conformality Index goal ≤1.2.
Distinction of peripheral vs central tumors
Dose Prescription
• Goal is tumor BED10> 100. Adaptive dosimetry for histology -, volume-,
location-, and context-based lesions (primary vs. metastatic) are under
investigation.
• Current dose fractionation schema largely employs 1–5 fractions.
 Peripheral Lung Tumors
Common accepted schemas : 25–34 Gy × 1 fraction, 18-20 Gy × 3 fractions, 12
Gy × 4 fractions, 10 Gy × 5 fractions.
 Central Lung Tumors
accepted schema : 10 Gy × 5 fractions (BED10 dose limited to reduce toxicity of
central structures: large airways, heart , esophagus , and spinal cord ).
Recommended dose
constraints for SBRT lung
lesion target planning
assuming no prior regional
radiotherapy
(TG101, Benedict et al.,
2010; RTOG 0618).
EVIDENCES
Selected studies of SBRT treated NSCLC patients
• In a nutshell, these studies show local control rates of 85–95 % at 3–5 years,
and overall survival rates of 50–95 % at 3–5 years for early-stage NSCLC
managed with SBRT.
RTOG Trials Of SBRT Lung
RTOG 0236
RTOG 0618
RTOG 0813
RTOG 0915
RTOG 0236 (Timmerman et al. 2010, Stanic et al. 2014).
• Phase II multicenter trial
• 55 patients with medically inoperable early-stage (<5 cm) peripheral NSCLC
(44 stage IA, 11 stage IB),
• treated with 54 Gy in 3 fractions SBRT.
• Three year primary tumor and involved lobe control was 98 %.
• Rate of distant failure 22 % at 3 years.
• OS 56 % at 3 years.
• Grade 3 and 4 toxicities were 12.7 % and 3.5 %, respectively.
• Poor baseline PFT not predictive of SBRT-related toxicity.
RTOG 0618 (Timmerman et al. 2013).
• Phase II trial
• 33 patients with medically operable early-stage peripheral NSCLC (<5 cm),
• treated with 60 Gy in 3 fractions.
• Completed accrual in 2010 with results presented at ASCO 2013
• showing estimated 2 years primary tumor failure rate of 7.8 %, with a median
follow-up of 25 months.
• Local failure , including ipsilateral lobe, was 19.2 %. PFS and OS at 2 years
were estimated at 65.4 % and 84.4 %.
• Grade 3 toxicity was 16 %.
RTOG 0813:
• Phase I/II dose-escalation trial
• 71 pts: Medically inoperable centrally
located early-stage NSCLC (<5 cm).
• Dose escalated to 60 Gy in 5
fractions. Closed to accrual at 120
patients in 2013.
Conclusion:
• local control at 2 yrs ; treated with the
two highest doses levels (11.5-12
Gy/fr x 5 fr) were high,
• G3+ toxicity rates were acceptable.
• Two-year OS rates of 70% were
comparable to pts with peripheral
early stage tumors.
RTOG 0915:(Videtic et al. 2013).
• Phase II randomized trial
• 34 Gy in 1 fraction vs. 48 Gy in 4 fractions for medially inoperable early-
stage peripheral NSCLC (<5 cm).
• Study completed accrual in 2011 with 94 patients.
• At 1 year, LC 97.1 % vs. 97.6 %; OS 85.4 % vs. 91.1 %, and PFS 78.0 % vs.
84.4 %. Adverse events were 9.8 % vs. 13.3 %.
• Based on the favorable toxicity, the 34 Gy in 1 fraction arm will be compared
to the 54 Gy in 3 fractions arm of RTOG 0236 in a phase III setting.
Selected studies of SBRT
for metastatic lung lesions
Studies show local control rates of largely 80–90 %
at 2 years, and overall survival rates of 30–85 % at
2 years for patients with pulmonary metastases
managed with SBRT
Role as Boost for Locally Advanced Lung Cancer
• Studies have suggested a role for dose escalation as part of conventional
chemoradiation in locally advanced lung cancer,for which SBRT may be of
utility.
 Karam et al. (2013)- LC and OS at 1 year were 76 % and 78 %, respectively
 Feddock J et al. (2013)- LC was 82.9 %
Recurrence/Re-irradiation
• Studies have suggested a role in patients with recurrent lung cancer or
metachronous primary NSCLC
 Reyngold et al. (2013)- Median RFS -13.8 months and median survival - 22
months.
 Liu et al. (2012)- LC and OS at 2 years were 42 % and 74 %
Common acute toxicities (<6 weeks):
• Fatigue
• Cough/ dyspnea
• Chest pain-May be related to regional pleuritis and/or pericarditis and is generally self-limited.
• Pneumonitis
• Esophagitis
• Dermatitis
Common late toxicities (>6 weeks):
• Persistent cough / dyspnea
• Radiation pneumonitis
• Brachial plexopathy- Apical lung tumors associated with greater risk of brachial plexus injury
• Chest wall pain and rib fracture-More common in patients with peripheral lesions.
• Radiation skin ulcer
• Esophageal stricture and tracheoesophageal fistula-Historically rare complication observed
with treatment of mediastinal lymphadenopathy in locally advanced lung cancer .
• Vasculopathy- (seen in re-irradiation setting of central lesions)
Guidelines to read for SBRT in early stage NSCLC:
1. American Society for Radiation Oncology (ASTRO) and American College of Radiology
(ACR) on SBRT.
2. ESTRO ACROP consensus guideline (2017)
3. European Organisation for Research and Treatment of Cancer (EORTC) on high precision
radiotherapy
3. American Association of Physicists in Medicine (AAPM) on SBRT
4. UK SABR guidelines
5. Canadian Association of Radiation Oncology (CARO) on practice guideline for lung, liver
and spine SBRT
6. German Society for Radiotherapy and Oncology (DEGRO) on SBRT practice for early
stage NSCLC
7. Canadian Comité de l’évolution des pratiques en oncologie (CEPO) on SBRT for early
stage NSCLC
Thank you

Lung sbrt ppt

  • 1.
    LUNG SBRT Dr. RituparnaBiswas Senior Resident Radiation Oncology, BRA IRCH, AIIMS
  • 2.
    Introduction • Early stagelung cancer may often be not amenable for surgery due to poor underlying lung function. • While conventional radiation therapy may be utilized, respiratory motion often implies inclusion of large volumes of normal lung. • This poses a significant challenge for utilising SBRT, where sharp gradients and short treatment schedules benefit these patients.
  • 3.
    Treatment Indications • SBRTis currently employed in NSCLC. SBRT has no established role in small cell lung cancer.  Most established SBRT criteria include N0 patients with <5 cm, peripherally located tumors, but tumors may be more cautiously treated with expanded criteria of larger size (<7 cm), central location, multiple synchronous lesions, and chest wall invasion (T3N0) with historically inferior results. • SBRT has a developing role as a boost following definitive chemoradiation in management of locally advanced NSCLC, for re-irradiation of locally recurrent disease, and for treatment of intrathoracic oligometastases from various primary histologies
  • 4.
    Methods to Reducethe Impact of the Tumor Motion Most methods reduce all margins except the margin from GTV to CTV.
  • 5.
    The following methodshave been applied to reduce the impact of respiratory tumor motion on dose distribution: (1) patient-specific treatment volumes based on tumor motion observed during planning CT scans (4DCT-based ITV), (2) forced shallow breathing with abdominal compression, (3) breath-hold methods, (4) respiratory gating methods, and (5) real time tumor tracking.
  • 6.
    4DCT-Based Internal GrossTumor Volume (ITV) The breathing cycle is divided into distinct bins (e.g., peak exhale, mid inhale, peak inhale, mid exhale). Images are sorted into these image bins depending on the phase of the breathing cycle in which they were acquired, yielding a 4D CT data set.
  • 7.
    4DCT-Based Internal GrossTumor Volume (ITV) • Ideally, ITV should be delineated by manually contouring GTV in all 10 breath phases of a 4D scan image sets, which is the most accurate tool to determine ITV, but it is a labor-intensive task. • To reduce the workload of contouring multiple GTVs, one solution is to contour only two extreme phases at end-inhalation and end-exhalation and then to sum of the two becoming ITV. • Other is to use the post-processing tools of maximum intensity projection (MIP). MIP-based ITV delineation is performed on a single 3-D CT data set, where each pixel in this set represents the brightest object encountered by corresponding voxels in all volumetric 4D CT data sets. A disadvantage of an MIP-defined mGTV is that in regions where the background and tumor have similar Hounsfield units, the tumor is less clearly defined. This situation includes nodal volumes within the hilum or mediastinum, tumors located near the diaphragm, and tumors surrounded by atelectasis.
  • 8.
    Forced Shallow Breathingwith Abdominal Compression The whole body frame with abdominal immobilization. Green arrow, the whole body frame; red arrow, the abdominal compression plate
  • 9.
    A detailed pictureof the whole body frame with abdominal immobilization. Yellow arrow, abdominal plate; green arrow, screw to regulate the degree of abdominal compression
  • 10.
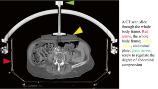
    A CT scanslice through the whole body frame. Red arrow, the whole body frame; yellow arrow, abdominal plate; green arrow, screw to regulate the degree of abdominal compression
  • 11.
    Breath-Hold Methods • Radiationis only delivered when the tumor is not moving during the breath hold. • Active breathing control- ABC apparatus can be used to suspend breathing at any pre- determined position along the normal breathing cycle. • In the DIBH technique, the patient is initially maintained at quiet tidal breathing, followed by a deep inspiration, a deep expiration, a second deep inspiration, and breath hold. • Different methods to monitor lung inflation levels: 1. Differential pressure pneumotachograph spirometer 2. self-gated DIBH • To familiarize the patient with the procedure, a training session is given a few days before the planned simulation. • Breath-holding techniques may be poorly tolerated by patients with mediocre lung function
  • 12.
    • Respiratory gatinginvolves administration of radiation within a particular window of the patient’s breathing cycle. • Requires monitoring patient’s respiratory motion using either an external or internal fiducial markers • Commercially available respiratory gating systems are the Varian RPM system and the BrainLAB ExacTracGating system. Respiratory gating methods
  • 13.
    • The RPMgating system uses an external IR marker as a surrogate for tumor motion and may not necessarily correlate with internal motion • In contrast, the ExacTracGating system combines the capability to track externally placed markers in three dimensions with a digital radiography system capable of locating internally placed fiducials.
  • 15.
    Detecting the patient’sbreathing pattern using an IR camera system with reflecting markers attached to the skin. The system can trigger each of two isocentrically aimed diagnostic X-ray units at a user-defined point in the breathing cycle From these two images the 3D location of an internally placed radio-opaque fiducial marker can be determined. The patient can then be moved into the correct treatment position based on the position of the internal markers. ExacTrac Gating system
  • 16.
    Real-Time Tumor Tracking TheCyberKnife. White arrow, linear accelerator; black arrow, robot; red arrow, one of the 2 X-ray tubes; green arrow, one of the 2 flat panels; blue arrow, Synchrony camera
  • 17.
    • The imagingsystem consists of 2 diagnostic X-ray sources mounted to the ceiling paired with amorphous silicon detectors to acquire live digital radiographic images of the tumor, or tumor localizing surrogates such as the skull, spine, or fiducial markers. • 3 LEDs are placed on the patient’s chest or abdomen to provide the external breathing signal. The motion of these LEDs due to respiration is registered by a digital camera array (the Synchrony camera). • The tumor is localized by reconstructing the 3D position of the tumor or the fiducial markers, which are automatically segmented in the X-ray images. The reconstructed position is compared with the position in the planning CT scan. Advantage: An ITV is not required.
  • 18.
    Simulation, Treatment Planning,Constraints and Prescription • Treatment planning CT scan is performed with intravenous contrast • 4D CT scans, exhale or inhale CT scan combined or not combined with a contrast enhanced planning CT scan • Scanned from his/her teeth to the middle of his/her abdomen • Axial imaging has a slice thickness of 1.5–3 mm. • The planning CT is transferred to the treatment planning system (TPS). • The GTV is contoured using the lung window. • CTV / ITV = GTV + 0–10 mm (in RTOG protocols , GTV and CTV have been considered identical on CT planning with zero expansion margin added). • PTV = CTV / ITV + 3–10 mm Current RTOG guidelines are:  Non-4DCT planning, PTV = GTV + 5 mm axial and 10 mm longitudinal anisotropic margins.  4DCT planning, PTV = ITV + 5 mm isotropic margin
  • 19.
    • The OARsconsist of both lungs, esophagus, the heart, central airway, chestwall, brachial plexus, skin and the spinal cord. • Usually, inverse treatment planning is used • The number of beams varies between 7 and 15 using conventional IG-IMRT techniques or up to 150 beams using stereotactic radiotherapy with the CyberKnife • Treatment planning guidelines (adapted from RTOG 0618).  VRx dose ≥95 % PTV , V90 ≥99 % PTV.  High dose region (≥105 % Rx dose) should fall within the PTV .  Conformality Index goal ≤1.2.
  • 20.
    Distinction of peripheralvs central tumors
  • 21.
    Dose Prescription • Goalis tumor BED10> 100. Adaptive dosimetry for histology -, volume-, location-, and context-based lesions (primary vs. metastatic) are under investigation. • Current dose fractionation schema largely employs 1–5 fractions.  Peripheral Lung Tumors Common accepted schemas : 25–34 Gy × 1 fraction, 18-20 Gy × 3 fractions, 12 Gy × 4 fractions, 10 Gy × 5 fractions.  Central Lung Tumors accepted schema : 10 Gy × 5 fractions (BED10 dose limited to reduce toxicity of central structures: large airways, heart , esophagus , and spinal cord ).
  • 22.
    Recommended dose constraints forSBRT lung lesion target planning assuming no prior regional radiotherapy (TG101, Benedict et al., 2010; RTOG 0618).
  • 23.
  • 24.
    Selected studies ofSBRT treated NSCLC patients
  • 27.
    • In anutshell, these studies show local control rates of 85–95 % at 3–5 years, and overall survival rates of 50–95 % at 3–5 years for early-stage NSCLC managed with SBRT.
  • 28.
    RTOG Trials OfSBRT Lung RTOG 0236 RTOG 0618 RTOG 0813 RTOG 0915
  • 29.
    RTOG 0236 (Timmermanet al. 2010, Stanic et al. 2014). • Phase II multicenter trial • 55 patients with medically inoperable early-stage (<5 cm) peripheral NSCLC (44 stage IA, 11 stage IB), • treated with 54 Gy in 3 fractions SBRT. • Three year primary tumor and involved lobe control was 98 %. • Rate of distant failure 22 % at 3 years. • OS 56 % at 3 years. • Grade 3 and 4 toxicities were 12.7 % and 3.5 %, respectively. • Poor baseline PFT not predictive of SBRT-related toxicity.
  • 30.
    RTOG 0618 (Timmermanet al. 2013). • Phase II trial • 33 patients with medically operable early-stage peripheral NSCLC (<5 cm), • treated with 60 Gy in 3 fractions. • Completed accrual in 2010 with results presented at ASCO 2013 • showing estimated 2 years primary tumor failure rate of 7.8 %, with a median follow-up of 25 months. • Local failure , including ipsilateral lobe, was 19.2 %. PFS and OS at 2 years were estimated at 65.4 % and 84.4 %. • Grade 3 toxicity was 16 %.
  • 31.
    RTOG 0813: • PhaseI/II dose-escalation trial • 71 pts: Medically inoperable centrally located early-stage NSCLC (<5 cm). • Dose escalated to 60 Gy in 5 fractions. Closed to accrual at 120 patients in 2013. Conclusion: • local control at 2 yrs ; treated with the two highest doses levels (11.5-12 Gy/fr x 5 fr) were high, • G3+ toxicity rates were acceptable. • Two-year OS rates of 70% were comparable to pts with peripheral early stage tumors.
  • 32.
    RTOG 0915:(Videtic etal. 2013). • Phase II randomized trial • 34 Gy in 1 fraction vs. 48 Gy in 4 fractions for medially inoperable early- stage peripheral NSCLC (<5 cm). • Study completed accrual in 2011 with 94 patients. • At 1 year, LC 97.1 % vs. 97.6 %; OS 85.4 % vs. 91.1 %, and PFS 78.0 % vs. 84.4 %. Adverse events were 9.8 % vs. 13.3 %. • Based on the favorable toxicity, the 34 Gy in 1 fraction arm will be compared to the 54 Gy in 3 fractions arm of RTOG 0236 in a phase III setting.
  • 33.
    Selected studies ofSBRT for metastatic lung lesions
  • 34.
    Studies show localcontrol rates of largely 80–90 % at 2 years, and overall survival rates of 30–85 % at 2 years for patients with pulmonary metastases managed with SBRT
  • 35.
    Role as Boostfor Locally Advanced Lung Cancer • Studies have suggested a role for dose escalation as part of conventional chemoradiation in locally advanced lung cancer,for which SBRT may be of utility.  Karam et al. (2013)- LC and OS at 1 year were 76 % and 78 %, respectively  Feddock J et al. (2013)- LC was 82.9 % Recurrence/Re-irradiation • Studies have suggested a role in patients with recurrent lung cancer or metachronous primary NSCLC  Reyngold et al. (2013)- Median RFS -13.8 months and median survival - 22 months.  Liu et al. (2012)- LC and OS at 2 years were 42 % and 74 %
  • 36.
    Common acute toxicities(<6 weeks): • Fatigue • Cough/ dyspnea • Chest pain-May be related to regional pleuritis and/or pericarditis and is generally self-limited. • Pneumonitis • Esophagitis • Dermatitis Common late toxicities (>6 weeks): • Persistent cough / dyspnea • Radiation pneumonitis • Brachial plexopathy- Apical lung tumors associated with greater risk of brachial plexus injury • Chest wall pain and rib fracture-More common in patients with peripheral lesions. • Radiation skin ulcer • Esophageal stricture and tracheoesophageal fistula-Historically rare complication observed with treatment of mediastinal lymphadenopathy in locally advanced lung cancer . • Vasculopathy- (seen in re-irradiation setting of central lesions)
  • 37.
    Guidelines to readfor SBRT in early stage NSCLC: 1. American Society for Radiation Oncology (ASTRO) and American College of Radiology (ACR) on SBRT. 2. ESTRO ACROP consensus guideline (2017) 3. European Organisation for Research and Treatment of Cancer (EORTC) on high precision radiotherapy 3. American Association of Physicists in Medicine (AAPM) on SBRT 4. UK SABR guidelines 5. Canadian Association of Radiation Oncology (CARO) on practice guideline for lung, liver and spine SBRT 6. German Society for Radiotherapy and Oncology (DEGRO) on SBRT practice for early stage NSCLC 7. Canadian Comité de l’évolution des pratiques en oncologie (CEPO) on SBRT for early stage NSCLC
  • 38.

Editor's Notes

  • #5 The CTV plus a margin for the internal motion of the CTV is called the internal target volume (ITV).
  • #9 The patient is immobilized in a stereotactic body frame (Fig. 8.5). This usually consists of a vacuum pillow and a rigid frame with a laser system attached for positioning and a diaphragm control device. Several small tattoos are placed on the patient’s chest for repeated positioning. A pressure can be applied to the upper abdomen using the diaphragm control device. This device consists of an abdominal plate and a screw that is attached to the body frame (Fig. 8.6). The pressure on the upper abdomen is regulated by adjusting the height of the plate with the screw (Fig. 8.7). The patient is now only able to have shallow breathing. Margin reduction from CTV to PTV is possible because on one hand the tumor will move less than 1 cm due to the shallow breathing and on the other hand due to the exact immobilization with the whole body frame and the abdominal compression
  • #12 ABC- The spirometer actively controls a balloon valve, consequently taking control over the patients breath-hold. In the example shown in Fig. 24.4, the patient was initially brought to quiet tidal breathing and then verbally coached to perform a slow deep inspiration, a slow deep expiration, and a second slow deep inspiration followed by breathhold. Treatment planning and delivery can then be performed at identical ABC conditions with minimal margin for breathing motion. With the breath-hold methods, the CTV to PTV margin is reduced because radiation is only delivered when the tumor is not moving during the breath hold. At this point the patient is at approximately 100 % vital capacity, and simulation, verification, and treatment take place during this phase of breath- holding. Different methods have been implemented based on this principle. To monitor lung inflation levels, the patient breaths through a mouthpiece connected to a differential pressure pneumotachograph spirometer or modified ventilator interfaced to a laptop computer to monitor the air flow. A nose clip is used to prevent nasal breathing [26–28]. If the patient is at the right inspiration level, the therapist can turn on the beam. With another method, the patient controls an interlock of a modified linear accelerator if he/she reaches the right inspiration level. The therapist turns on the beam when the patient judges that he/she has attained the correct breath-hold level (=self-gated DIBH).
  • #16 Once it has detected a breathing pattern. The system also has the capability to trigger the linear accelerator at the same point of the breathing cycle that the localization X-rays were acquired
  • #17 The most commonly used method of real-time online tumor tracking is the CyberKnife Synchrony system.
  • #21 peripherally located tumors (> 2 cm in all directions around the proximal bronchial tree