INTERNATIONAL COMMISSION
ON RADIATION UNITS AND
MEASUREMENTS (ICRU)
REPORT 83
By: Subhash Verma
Resident Medical Physicist, IMS, BHU
OBJECTIVES OF ICRU
(1) Define Quantities and units of radiation and
radioactivity.
(2) Procedures suitable for the measurement and
application of these quantities in diagnostic radiology,
radiation therapy, radiation biology, nuclear medicine and
radiation protection.
(3) Physical data needed in the application of these
procedures.
ICRU REPORT 83 (2010)
ICRU REPORT 62 (1999)
ICRU REPORT 50 (1993)
ICRU REPORT 29
(1978)
ICRU REPORT 29
Target Volume : Tissues that are to be irradiated
to a specified absorbed dose.
Takes into account
a) expected movements (eg :- breathing)
b) expected variations in shape & size of the
target volume during course of treatment (eg :-
urinary bladder, stomach)
c) inaccuracies in treatment set up.
Treatment Volume : Volume enclosed by the
isodose surface representing the minimal target
dose.
Irradiated Volume : Volume receiving a dose considered
significant in relation to normal tissue tolerance.
Organ at Risk : Radio-sensitive organs in or near the target
volume that influences treatment planning and/or prescribed
dose.
Hot – Spot : Tissues outside the target area that receives
> 100% of specified target dose to area, atleast > 2 cm2
ICRU REPORT 50
VOLUMES
 Volumes defined prior to treatment
planning :
a) GTV
b) CTV
 Volumes defined at the time of
treatment planning :
a) PTV
b) OAR
 Volumes as a result of treatment
 Dose Variations in PTV
The degree of heterogeneity must be kept within + 7%
and – 5% of the prescribed dose.
* Hot Spot
A Hot Spot represents a volume outside the PTV, which receives a dose
> 107 % of the specified PTV dose
For > 1.5 cm diameter.
ICRU REFERENCE POINT
 It is the point within the PTV to which the dose is prescribed
or calculated.
Selected Based on .......
1. Should be representative of PTV.
2. The point should be easy to define in a clear and an ambiguous way.
3. The point should be selected where the dose can be accurately
determined.
4. The point should be selected in a region, where there is no steep
gradient.
ICRU 62
INTERNAL MARGIN AND SET UP MARGIN
 Internal margin : A margin to the CTV to account the
expected physiological movements & expected
variations in size, shape & position of the CTV during
therapy.
EXAMPLE : Respiration, swallowing, rectal/bladder filling
 Set up margin : To accounts the uncertainties in patient
positioning and aligning of therapeutic beams.
Example : Uncertainties in patient positioning, mechanical
uncertainties, dosimetric uncertnities, human factor etc.
Conventional Radiotherapy
1) Uses a number of coplanar beams.
2) Beam shaping by using customized blocks.
3) Use of wedges for producing desired dose distribution.
3D – Conformal Radiotherapy
1) Uses 3D planning techniques & special delivery systems to shape the
fields – to reduce normal tissue damage close to the target volume.
2) Uses a larger number of beams.
3) Beam shaping done by MLC s.
Intensity Modulated Radiotherapy
1) Large number of beams are used from different directions.
2) Each beam divided into number of beamlets whose intensity can be
modulated.
3) Intensity modulation & beam shaping done by MLC s.
INVERSE PLANNING
 inverse treatment planning starts
from a set of descriptors ie.
Desired absorbed dose to the
PTV & OARs
 Hard Constraints : Restrict the
solutions to those that are
feasible. They cannot be violated
 Soft Constraints : These are
malleable and allows to achieve
clinical goals.
eg : Dose volume uniformity and
Two snapshots from a treatment planning system of the optimization process after the
first and second cycles of iteration for optimized planning for prostate cancer.
Iteration 1st
Iteration 2nd
Why we need a report??
By the evolution of modern
technologies, conformity of
radio therapy techniques
has increased
It necessitate extreme care
in volume delineation, dose
prescription and recording
ICRU REPORT NO. 83
 The ICRU report 83 provides
the information necessary to
standardize techniques and
procedures and to harmonize
the prescribing, recording, and
reporting IMRT.
IMRT has large number of degree of freedom and it use variable intensity beamlets
▪ Manual comparisons of all possible intensity patterns are not practical
▪ Thus some evaluation tools have to be used such as DVH
In this report the use of
DVHs in prescribing,
recording and reporting is
emphasized
Mean Dose Median Dose
The mean absorbed dose to the
PTV is equal to the amount of
energy imparted to the PTV divided
by the PTV mass.
The absorbed dose
received by 50 % of the
volume.
D50%
Dose Homogeneity
 Characterizes the uniformity of the absorbed dose
distribution within the target volume.
HI =
D2% - D98%
D50%
- D50%: (Dmedian) Dose received by 50% of PTV
- D98%: Dose received by 98% of PTV
- D2%: Dose received by 2% of PTV
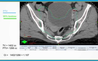
Dose Conformity
 Characterizes the degree to which the high dose region
conforms to the target volume, usually the PTV.
CI = TV / PTV
CI – must be between 1 – 2
CI of 0.9 – 1 & 2 – 2.5 means minor violation
CI of < 0.9 & > 2.5 means major violation
TV = 1402 cc
PTV= 1266 cc
CI = 1402/1266 = 1.107
PTV
95% Isodose
ICRU 83 Prescribing and Reporting
Historically, the ICRU identified three levels of
prescribing and reporting:
- Level 1
- Level 2
- Level 3
ICRU 83 – P & R Level 1
 Minimum standards
for prescribing and reporting
 knowledge of absorbed doses on
the central beam axis.
 Two- dimensional ( 2D ) absorbed-
dose distributions at the central axis are
available.
ICRU 83 – P & R Level 2
* Treatments are performed using computational
dosimetry and 3D imaging.
* volumes of interest are defined using CT or MRI
* 3D dose distributions are available.
* Dose-volume histograms ( DVH ́s).
* A complete QA program to ensure that the
prescribed treatment is accurately delivered.
ICRU 83 – P & R Level 3
* Optional research-and- development reporting.
* Development of new techniques approaches for
which reporting criteria are not yet established .
* Use of concepts such as
tumor-control- probability (TCP), normal tissue
complication probability ( NTCP )
Volumes in Radiotherapy
GTV
1. Gross Tumor Volume (GTV)
2. Clinical Target Volume (CTV)
3. Internal Target Volume (ITV)
4. Planning Target Volume (PTV)
5. Treated Volume (TV)
6. Remaining Volume at Risk (RVR)
* Organ at Risk (OAR)
7. Planning Organ at Risk Volume(PRV)
1. GROSS TUMOR VOLUME ( GTV )
 GTV is the gross demonstrable extent & location of the tumor
 GTV consists of
1) Primary Tumor GTV or GTV – T
2) Nodal GTV or GTV – N
3) Gross Metastatic Disease or GTV – M
2. CLINICAL TARGET VOLUME (CTV)
 CTV is a volume of tissue containing a demonstrable
GTV & / or subclinical malignant disease
 Includes microscopic tumor spread at the boundary of the
primary tumor.
 Includes possible infiltration of lymph nodes.
3. INTERNAL TARGET VOLUME (ITV)
 ITV = CTV + Margin taking into account uncertainties in
size, shape & position of the CTV within the patient(i.e.
IM)
Internal Variation :
a) Variation in size & shape of the CTV.
b)Variation in anatomic site.
c) Protocol Variation (eg : bowel preparation)
d) Patient specific differences.
FACTORS AFFECTING ITV MARGIN
4. PLANNING TARGET VOLUME (PTV)
 CTV = ITV + SM
FACTORS AFFECTING PTV MARGIN
External Variation :
a) Patient positioning.
b) Mechanical uncertainties (eg : sagging of gantry, couch & collimators)
c) Dosimetric uncertainties (penetration of beam)
d) Transfer error from CT & simulator to the treatment unit.
e) Human factor
STEPS TO REDUCE UNCERTAINTIES
 Use of patient immobilization.
 Application of Quality Assurance program.
 Skill & experience of the radiation therapy technologists.
 Use of daily image guidance
 Following same treatment protocol for all patients (eg :
bladder or bowel protocol)
ORGAN AT RISK
 Definition : OAR or critical normal structure are tissues that if irradiated could
suffer significant morbidity & thus might influence the treatment planning
and/or the absorbed dose prescription.
 In principle, all non-target tissues could be OARs.
CLASSIFICATION OF ORGAN AT RISK
Planning Organ at Risk Volume
(PRV) : An integrated margin must be
added to the OAR to compensate for
variations including the movement of
organ as well as setup uncertainties
anatomical structures with important functional properties located in the vicinity of
the target volume.
Serial Organ
 Consist of a chain of functional units
 Destruction of a single functional unit is sufficient to cause
dysfunction of entire organ.
 Dmax. is important.
 Report recommends to report D2% .
 Contouring of entire organ may not be needed.
 Example:- Spinal cord, nerve, the gastro-intestinal
tract
Parallel Organ
 Consist of functional units acting independently of each other.
 Volume assessment is crucial.
 Whole organ should be contoured.
 More than one dose volume specification be reported.
 Mean absorbed dose is an useful measure.
 VD should be reported
 e.g., lung, parotid
D is the absorbed dose to a certain percentage of total volume which if exceeded causes serious complications (eg :- V
20 of lung).
Serial – Parallel Like structure
 Features of both serial & parallel organ.
 D2% , DMean & VD should be reported
5. PLANNING ORGAN AT RISK VOLUME
 Needed for uncertainties & variations in the position of the
OAR during treatment.
6. TREATED VOLUME (TV)
 The TV is the volume of tissue enclosed within a specific isodose
envelope, with the absorbed dose specified by the radiation oncology
team as appropriate to achieve tumor eradication or palliation, within
the bounds of acceptable complications.
 D 98 % could be selected to determine the TV in photon therapy
 Why ? provide information to evaluate causes for local recurrences
7. Remaining Volume at Risk
 RVR = Imaged volume within the patient – any delineated
OAR & CTV (s).
 the absorbed dose in the RVR might be useful in
estimating the risk of late effects, such as carcinogenesis.
 contouring the RVR is especially important for younger
patients who can expect a long life span.
Treatment Planning
PLANNING AIM,
PRESCRIPTION & TECHNICAL DATA
1. Planning Aim
 Initial specifications of the desired absorbed dose to
various delineated volumes of interest.
 Process of optimization involves prioritization of one
constraint over another and/or one volume over other.
 For study purpose biological metrics (TCP, NTCP) may
be used as additional constraints.
CTV in orange
PTV in red
PRV rectum in green
PRV bladder in dark blue
PRV femoral heads in light blue
Volume constraints for each
volume lead to more precision in
planning aims.
OVERLAPPING VOLUMES
Solution:- 1
 Sub-volumes are defined within
the PTV objectives are set for
each subvolumes
 Different absorbed dose
objectives are set for each
subvolumes.
OVERLAPPING VOLUMES
Solution :- 2
Absorbed dose objectives are
relaxed for one or more of the
contoured volumes that exhibit
overlap.
2. Prescription
 The prescription is a description of
* The volumes of interest
* The absorbed dose and/or dose–volume
requirements for the PTV
* The fractionation scheme
* The normal-tissue constraints
* The absorbed-dose distribution(s) planned
3. Technical Data
 The number of beams and their directions
 The aperture shapes or multileaf-collimator settings, etc.
 The number of monitor units per beam segment
 The positioning and immobilization parameters
for the patients on the couch, etc.
Absorbed
Dose
Summery
ICRU report 83
1. Deals with special technique, viz., IMRT.
2. More emphasis on statistics
3. Prescribing and reporting with dose-volume
specifications
4. Report median dose D50%.
5. Use model-based dose calculations
6. Include the effect of tissue heterogeneities
ICRU 83

ICRU 83

  • 1.
    INTERNATIONAL COMMISSION ON RADIATIONUNITS AND MEASUREMENTS (ICRU) REPORT 83 By: Subhash Verma Resident Medical Physicist, IMS, BHU
  • 2.
    OBJECTIVES OF ICRU (1)Define Quantities and units of radiation and radioactivity. (2) Procedures suitable for the measurement and application of these quantities in diagnostic radiology, radiation therapy, radiation biology, nuclear medicine and radiation protection. (3) Physical data needed in the application of these procedures.
  • 3.
    ICRU REPORT 83(2010) ICRU REPORT 62 (1999) ICRU REPORT 50 (1993) ICRU REPORT 29 (1978)
  • 4.
    ICRU REPORT 29 TargetVolume : Tissues that are to be irradiated to a specified absorbed dose. Takes into account a) expected movements (eg :- breathing) b) expected variations in shape & size of the target volume during course of treatment (eg :- urinary bladder, stomach) c) inaccuracies in treatment set up. Treatment Volume : Volume enclosed by the isodose surface representing the minimal target dose.
  • 5.
    Irradiated Volume :Volume receiving a dose considered significant in relation to normal tissue tolerance. Organ at Risk : Radio-sensitive organs in or near the target volume that influences treatment planning and/or prescribed dose. Hot – Spot : Tissues outside the target area that receives > 100% of specified target dose to area, atleast > 2 cm2
  • 6.
    ICRU REPORT 50 VOLUMES Volumes defined prior to treatment planning : a) GTV b) CTV  Volumes defined at the time of treatment planning : a) PTV b) OAR  Volumes as a result of treatment
  • 7.
     Dose Variationsin PTV The degree of heterogeneity must be kept within + 7% and – 5% of the prescribed dose. * Hot Spot A Hot Spot represents a volume outside the PTV, which receives a dose > 107 % of the specified PTV dose For > 1.5 cm diameter.
  • 8.
    ICRU REFERENCE POINT It is the point within the PTV to which the dose is prescribed or calculated. Selected Based on ....... 1. Should be representative of PTV. 2. The point should be easy to define in a clear and an ambiguous way. 3. The point should be selected where the dose can be accurately determined. 4. The point should be selected in a region, where there is no steep gradient.
  • 10.
  • 11.
    INTERNAL MARGIN ANDSET UP MARGIN  Internal margin : A margin to the CTV to account the expected physiological movements & expected variations in size, shape & position of the CTV during therapy. EXAMPLE : Respiration, swallowing, rectal/bladder filling  Set up margin : To accounts the uncertainties in patient positioning and aligning of therapeutic beams. Example : Uncertainties in patient positioning, mechanical uncertainties, dosimetric uncertnities, human factor etc.
  • 14.
    Conventional Radiotherapy 1) Usesa number of coplanar beams. 2) Beam shaping by using customized blocks. 3) Use of wedges for producing desired dose distribution. 3D – Conformal Radiotherapy 1) Uses 3D planning techniques & special delivery systems to shape the fields – to reduce normal tissue damage close to the target volume. 2) Uses a larger number of beams. 3) Beam shaping done by MLC s. Intensity Modulated Radiotherapy 1) Large number of beams are used from different directions. 2) Each beam divided into number of beamlets whose intensity can be modulated. 3) Intensity modulation & beam shaping done by MLC s.
  • 16.
    INVERSE PLANNING  inversetreatment planning starts from a set of descriptors ie. Desired absorbed dose to the PTV & OARs  Hard Constraints : Restrict the solutions to those that are feasible. They cannot be violated  Soft Constraints : These are malleable and allows to achieve clinical goals. eg : Dose volume uniformity and
  • 17.
    Two snapshots froma treatment planning system of the optimization process after the first and second cycles of iteration for optimized planning for prostate cancer. Iteration 1st Iteration 2nd
  • 18.
    Why we needa report?? By the evolution of modern technologies, conformity of radio therapy techniques has increased It necessitate extreme care in volume delineation, dose prescription and recording
  • 19.
    ICRU REPORT NO.83  The ICRU report 83 provides the information necessary to standardize techniques and procedures and to harmonize the prescribing, recording, and reporting IMRT.
  • 20.
    IMRT has largenumber of degree of freedom and it use variable intensity beamlets ▪ Manual comparisons of all possible intensity patterns are not practical ▪ Thus some evaluation tools have to be used such as DVH In this report the use of DVHs in prescribing, recording and reporting is emphasized
  • 22.
    Mean Dose MedianDose The mean absorbed dose to the PTV is equal to the amount of energy imparted to the PTV divided by the PTV mass. The absorbed dose received by 50 % of the volume. D50%
  • 23.
    Dose Homogeneity  Characterizesthe uniformity of the absorbed dose distribution within the target volume. HI = D2% - D98% D50% - D50%: (Dmedian) Dose received by 50% of PTV - D98%: Dose received by 98% of PTV - D2%: Dose received by 2% of PTV
  • 25.
    Dose Conformity  Characterizesthe degree to which the high dose region conforms to the target volume, usually the PTV. CI = TV / PTV CI – must be between 1 – 2 CI of 0.9 – 1 & 2 – 2.5 means minor violation CI of < 0.9 & > 2.5 means major violation
  • 26.
    TV = 1402cc PTV= 1266 cc CI = 1402/1266 = 1.107 PTV 95% Isodose
  • 27.
    ICRU 83 Prescribingand Reporting Historically, the ICRU identified three levels of prescribing and reporting: - Level 1 - Level 2 - Level 3
  • 28.
    ICRU 83 –P & R Level 1  Minimum standards for prescribing and reporting  knowledge of absorbed doses on the central beam axis.  Two- dimensional ( 2D ) absorbed- dose distributions at the central axis are available.
  • 29.
    ICRU 83 –P & R Level 2 * Treatments are performed using computational dosimetry and 3D imaging. * volumes of interest are defined using CT or MRI * 3D dose distributions are available. * Dose-volume histograms ( DVH ́s). * A complete QA program to ensure that the prescribed treatment is accurately delivered.
  • 30.
    ICRU 83 –P & R Level 3 * Optional research-and- development reporting. * Development of new techniques approaches for which reporting criteria are not yet established . * Use of concepts such as tumor-control- probability (TCP), normal tissue complication probability ( NTCP )
  • 31.
    Volumes in Radiotherapy GTV 1.Gross Tumor Volume (GTV) 2. Clinical Target Volume (CTV) 3. Internal Target Volume (ITV) 4. Planning Target Volume (PTV) 5. Treated Volume (TV) 6. Remaining Volume at Risk (RVR) * Organ at Risk (OAR) 7. Planning Organ at Risk Volume(PRV)
  • 32.
    1. GROSS TUMORVOLUME ( GTV )  GTV is the gross demonstrable extent & location of the tumor  GTV consists of 1) Primary Tumor GTV or GTV – T 2) Nodal GTV or GTV – N 3) Gross Metastatic Disease or GTV – M
  • 33.
    2. CLINICAL TARGETVOLUME (CTV)  CTV is a volume of tissue containing a demonstrable GTV & / or subclinical malignant disease  Includes microscopic tumor spread at the boundary of the primary tumor.  Includes possible infiltration of lymph nodes.
  • 34.
    3. INTERNAL TARGETVOLUME (ITV)  ITV = CTV + Margin taking into account uncertainties in size, shape & position of the CTV within the patient(i.e. IM) Internal Variation : a) Variation in size & shape of the CTV. b)Variation in anatomic site. c) Protocol Variation (eg : bowel preparation) d) Patient specific differences. FACTORS AFFECTING ITV MARGIN
  • 35.
    4. PLANNING TARGETVOLUME (PTV)  CTV = ITV + SM FACTORS AFFECTING PTV MARGIN External Variation : a) Patient positioning. b) Mechanical uncertainties (eg : sagging of gantry, couch & collimators) c) Dosimetric uncertainties (penetration of beam) d) Transfer error from CT & simulator to the treatment unit. e) Human factor
  • 36.
    STEPS TO REDUCEUNCERTAINTIES  Use of patient immobilization.  Application of Quality Assurance program.  Skill & experience of the radiation therapy technologists.  Use of daily image guidance  Following same treatment protocol for all patients (eg : bladder or bowel protocol)
  • 37.
    ORGAN AT RISK Definition : OAR or critical normal structure are tissues that if irradiated could suffer significant morbidity & thus might influence the treatment planning and/or the absorbed dose prescription.  In principle, all non-target tissues could be OARs.
  • 38.
    CLASSIFICATION OF ORGANAT RISK Planning Organ at Risk Volume (PRV) : An integrated margin must be added to the OAR to compensate for variations including the movement of organ as well as setup uncertainties anatomical structures with important functional properties located in the vicinity of the target volume.
  • 39.
    Serial Organ  Consistof a chain of functional units  Destruction of a single functional unit is sufficient to cause dysfunction of entire organ.  Dmax. is important.  Report recommends to report D2% .  Contouring of entire organ may not be needed.  Example:- Spinal cord, nerve, the gastro-intestinal tract
  • 40.
    Parallel Organ  Consistof functional units acting independently of each other.  Volume assessment is crucial.  Whole organ should be contoured.  More than one dose volume specification be reported.  Mean absorbed dose is an useful measure.  VD should be reported  e.g., lung, parotid D is the absorbed dose to a certain percentage of total volume which if exceeded causes serious complications (eg :- V 20 of lung).
  • 41.
    Serial – ParallelLike structure  Features of both serial & parallel organ.  D2% , DMean & VD should be reported
  • 42.
    5. PLANNING ORGANAT RISK VOLUME  Needed for uncertainties & variations in the position of the OAR during treatment.
  • 43.
    6. TREATED VOLUME(TV)  The TV is the volume of tissue enclosed within a specific isodose envelope, with the absorbed dose specified by the radiation oncology team as appropriate to achieve tumor eradication or palliation, within the bounds of acceptable complications.  D 98 % could be selected to determine the TV in photon therapy  Why ? provide information to evaluate causes for local recurrences
  • 44.
    7. Remaining Volumeat Risk  RVR = Imaged volume within the patient – any delineated OAR & CTV (s).  the absorbed dose in the RVR might be useful in estimating the risk of late effects, such as carcinogenesis.  contouring the RVR is especially important for younger patients who can expect a long life span.
  • 45.
  • 46.
    1. Planning Aim Initial specifications of the desired absorbed dose to various delineated volumes of interest.  Process of optimization involves prioritization of one constraint over another and/or one volume over other.  For study purpose biological metrics (TCP, NTCP) may be used as additional constraints.
  • 47.
    CTV in orange PTVin red PRV rectum in green PRV bladder in dark blue PRV femoral heads in light blue Volume constraints for each volume lead to more precision in planning aims.
  • 48.
    OVERLAPPING VOLUMES Solution:- 1 Sub-volumes are defined within the PTV objectives are set for each subvolumes  Different absorbed dose objectives are set for each subvolumes.
  • 49.
    OVERLAPPING VOLUMES Solution :-2 Absorbed dose objectives are relaxed for one or more of the contoured volumes that exhibit overlap.
  • 50.
    2. Prescription  Theprescription is a description of * The volumes of interest * The absorbed dose and/or dose–volume requirements for the PTV * The fractionation scheme * The normal-tissue constraints * The absorbed-dose distribution(s) planned
  • 51.
    3. Technical Data The number of beams and their directions  The aperture shapes or multileaf-collimator settings, etc.  The number of monitor units per beam segment  The positioning and immobilization parameters for the patients on the couch, etc.
  • 52.
  • 53.
    Summery ICRU report 83 1.Deals with special technique, viz., IMRT. 2. More emphasis on statistics 3. Prescribing and reporting with dose-volume specifications 4. Report median dose D50%. 5. Use model-based dose calculations 6. Include the effect of tissue heterogeneities