Lung Cancer:
Diagnosis, Staging, and Treatment
Dene W. Daugherty, DO
Department of Surgery
Lung Cancer
• Most common cause of cancer death in US
• Overall 5 year survival of 15%
• More deaths by lung cancer than the next
four most common cancers combined
(Colorectal, Breast, Prostate, & Pancreas)
Cancer Deaths in U.S.
(2007 American Cancer Society Data)
Lung 160,390
Colorectal 52,180
Breast 40,910
Prostate 27,050
Lung Cancer in the U.S.
(2007 American Cancer Society Data)
• Number of patients in the U.S. with lung cancer
continues to rise
• In 2007 estimated:
– 213,380 new cases
– 160,390 deaths
Lung Cancer Risk Factors
(2007 American Cancer Society Data)
• Gender
• Smoking history
• Older age
• Presence of airflow obstruction
• Genetic predisposition
• Occupational exposures
Lung Cancer and Gender
(2007 American Cancer Society Data)
• Male predilection, but changing rapidly
• Increase in women smokers
– 55% Men
– 45% Women
LUNG CANCERLUNG CANCER
(2007 American Cancer Society Data)
Tobacco Percent
active 85-87
passive 3-5
Etiology
Relationship to Smoking
Lung Cancer and Smoking
(2007 American Cancer Society Data)
• ~90% of lung cancers attributed to smoking
• However, only 20% smokers will develop
lung cancer in their lifetime.
– ? Death from other causes ie. CAD, COPD
– Genetic predisposition
• Risk decreases when stop smoking
• Yet, 50% of new cases are former smokers
Occupational Exposures Linked to
3 - 15% of Lung Cancers
(2007 American Cancer Society Data)
Proven Suspected
• Arsenic
• Asbestos
• Bischloromethyl ether
• Chromium
• Mustard gas
• Nickel
• Polycyclic aromatic
hydrocarbons
• Ionizing radiation
• Acrylonitrile
• Beryllium
• Vinyl chloride
• Silica
• Iron ore
• Wood dust
Asbestosis & Lung Cancer
(2007 American Cancer Society Data)
• Prolonged heavy exposure has relative risk
between 2 - 10 of causing lung cancer.
• Peak incidence 15 - 24 years after exposure.
• Fiber type is important:
– Crocidolite & amosite > chrysotile &
anthophyllite.
Asbestosis & Lung Cancer
(2007 American Cancer Society Data)
• Risk of smoking & asbestos exposure is
multiplied.
• Mortality ratio:
– Nonsmoking asbestos worker: 5.17
– Smoker: 10.85
– Smoker & asbestos worker: 53.24
Relative Risk of Developing Lung Cancer
(2007 American Cancer Society Data)
Lung Cancer:
Symptoms at Presentation
• Due to primary tumor:
• Cough, hemoptysis, chest pain, wheezing, dyspnea,
& fever.
• Thoracic extension of tumor:
• Chest pain, SVC syndrome, hoarseness, &
dysphagia.
Lung Cancer:
Symptoms at Presentation
• Metastases:
• Lymph node enlargement, bone pain, neurologic
deficits, skin & subcutaneous lesions.
• Systemic symptoms:
• Anorexia, weight loss, weakness, & paraneoplastic
syndromes
• Patients often present with advanced
disease due to lack of symptoms at early
stages.
Question
• A 65 year old male presents with a
complaint of fevers, chills, a productive
cough and scant hemoptysis. A CXR is
obtained. What diagnostic test do you order
next?
Question
• A) CT scan of the thorax with IV contrast.
• B) Sputum cytology.
• C) Flexible bronchoscopy.
• D) CT-guided transthoracic needle biopsy.
• E) Surgical resection.
Answer
• A) CT scan of the thorax with IV contrast.
• B) Sputum cytology.
• C) Flexible bronchoscopy.
• D) CT-guided transthoracic needle biopsy.
• E) Surgical resection.
Lung Cancer:
Findings on Chest X-ray
• Nodule (< 3cm) vs. Mass (>= 3cm).
– Location:
• Peripheral (Adenocarcinoma) vs.
• Central (Squamous).
– Single or multiple (metastases).
• Endobronchial obstruction.
– Atelectasis of lobe or lung.
– Pneumonia.
Lung Cancer:
The Chest X-ray
• Hilar and mediastinal adenopathy.
• Pleural effusions.
• Elevated hemidiaphragm.
Lung Cancer:
CT Scan of Thorax
• Nodule details:
– Calcification, spiculation etc..
• Evaluate extension into adjacent structures:
– Endobronchial, great vessels, pericardium etc..
• Evaluation of adenopathy.
• Upper abdominal pathology:
– Metastatic lesions in liver, adrenals, & kidneys.
Lung Cancer:
Sputum Cytology
• Helpful for central lesions.
• With three samples:
– 80% detection rate of centrally located tumors.
– 50% detection rate of peripheral lesions.
Lung Cancer:
Video Flexible Bronchoscopy
• Excellent to evaluate endobronchial disease.
• Brushings and bronchial biopsies are high
yield for visible lesions.
• Transbronchial biopsies of large peripheral
lesions +/- fluoroscopic guidance.
• Evaluation of obstruction for stent
placement & brachytherapy.
Lung Cancer:
Transbronchial Needle Aspiration (TBNA)
• Allows biopsy of subcarinal & paratracheal
lymph nodes during flexible bronchoscopy.
• Helpful for staging.
• Minimal risk to patient.
Lung Cancer:
CT - Guided Transthoracic Needle Biopsy
• Peripheral lesions away from diaphragm.
• 25% pneumothorax risk.
• May be beneficial for poor operative
candidates.
• Remember:
– Negative needle biopsy result may be false
negative.
Question
• Patient is a 65 year old smoker with
following CXR and CT scan of chest:
Question
• What test do we order next?
• A. CT-guided lung biopsy.
• B. Video Assisted Thoracic Surgical open
lung biopsy with possible lobectomy.
• C. PET scan.
• D. PFT’s.
• E. CT scan of head.
• What test do we order next?
• A. CT-guided lung biopsy.
• B. Video Assisted Thoracic Surgical open
lung biopsy.
• C. PET scan.
• D. PFT’s.
• E. CT scan of head.
Answer
Alternative Answer
• Mediastinoscopy or Transbronchial Needle
Aspiration (TBNA)
– would also have been an appropriate method of
staging mediastinum.
Lung Cancer:
PET Scan
• Marker of active glucose metabolism.
• Can detect lesions to 0.8cm.
• ~90% sensitivity & ~85% specificity.
• Indications:
– Staging lung cancer.
– Solitary pulmonary nodule.
Lung Cancer:
Other Diagnostic Tests
• Thoracentesis.
• Surgical resection:
– Thoracotomy vs. VATS.
Staging of the Mediastinum
• Mediastinoscopy:
– Mediastinal lymphadenopathy staging.
– Central lesions.
– Large peripheral lesions.
– “Gold Standard.”
Newer Technologies
• Endobronchial
Ultrasound (EBUS)
• Endoscopic
Ultrasound (EUS)
Histology of Lung Cancers in U.S.
(2007 American Cancer Society Data)
0
5
10
15
20
25
30
35
40
Percent of New Cases of Lung Cancer
Adenocarcinoma
Squamous
Large Cell
Bronchoalveolar
Small Cell
Adenocarcinoma
• Most common cell
type in US.
• Peripheral location.
• Glandular formation.
• Mucin production.
Bronchoalveolar Cell Carcinoma
• Subtype of
adenocarcinoma.
• Preservation of
alveolar architecture.
• Spread through the
airways.
• May present as
unresolving
pneumonia.
Squamous Cell Carcinoma
• Cavitation.
• Centrally located
along airways.
• Intravascular invasion.
• Intercellular bridging.
• Keratinization.
Squamous Cell Carcinoma
• Keratin pearls.
• Nests of cells.
Large Cell Carcinoma
• A poorly differentiated
carcinoma.
• Diagnosis of
exclusion.
• Large cells.
• Abundant cytoplasm.
• Large nuclei with
prominent or vesicular
nucleoli.
NonSmall Cell Cancer
T Stage
• T1: < 3cm in diameter, contained within
visceral pleura.
• T2: > 3cm in diameter, >= 2cm away from
carina, invading into visceral pleura, or
lobar atelectasis
• T3: any size, extension into chest wall,
diaphragm, mediastinum, (but not great
vessels) or <2cm from carina or atelectasis
of entire lung
NonSmall Cell Cancer
T Stage
• T4: any size invading into great vessels,
heart, trachea, esophagus, vertebrae, main
carina or malignant pleural effusion.
NonSmall Cell Cancer
N Stage
• N0: No nodes.
• N1: Ipsilateral hilar or
peribronchial.
• N2: Ipsilateral
mediastinal, subcarinal.
• N3: Contralateral hilar,
contralateral mediastinal
or supraclavicular/scalene.
Non Small Cell Carcinoma
Staging
N0 N1 N2 N3
T1 IA IIA IIIA IIIB
T2 IB IIB IIIA IIIB
T3 IIB IIIA IIIA IIIB
T4 IIIB IIIB IIIB IIIB
M1 IV
Clinical
Stage
12 24 36 48 60
IA 91 79 71 67 61
IB 72 54 46 41 38
IIA 79 49 38 34 34
IIB 59 41 33 26 24
IIIA 50 25 18 14 13
IIIB 34 13 7 6 5
IV 19 6 2 2 1
CF Mountain. Chest. 1997; 111(6).
Non Small Cell CA
Survival Months after Treatment
Non Small Cell CA
Survival Months after Treatment
Pathologic
Stage
12 24 36 48 60
IA 94 86 80 73 67
IB 87 76 67 62 57
IIA 89 70 66 61 55
IIB 73 56 46 42 39
IIIA 64 40 32 26 23
CF Mountain. Chest. 1997; 111(6).
Current AJCC Changes
• Satellite nodules: T3
• Malignant effusions: StageIV
• Nodules in same lung but different lobe:
StageIV
Neuroendocrine Lung Tumors
• Small cell carcinoma.
• Atypical carcinoid.
• Typical carcinoid.
• Malignant
• Intermediate
• Benign
Small Cell Carcinoma
• Aggressive tumor.
• Smokers.
• Centrally located.
• Bulky adenopathy is
common.
• Distant metastases
common on
presentation.
Small Cell Carcinoma
• Small cells.
• Fine chromatin
pattern.
• Abundant mitosis.
• Scant cytoplasm.
• Tends to smudge
on microscopy.
• Synaptophysin
& chromogranin.
Carcinoid
• Typical carcinoid:
– Usually endobrochial.
– Present with
postobstructive
pneumonia.
– Surgical resection is
curative.
• Atypical carcinoid:
– More aggressive.
– May require surgery
with chemotherapy.
Small Cell Lung Cancer:
Staging
• Limited:
– 30-40% of small cell lung cancers.
– Confined to the hemithorax, mediastinum, and
ipsilateral supraclavicular lymph node.
– Within the confines of radiation port.
• Extensive:
– 60-70% of small cell lung cancers.
– Any distant spread.
Lung Cancer
Why the Poor Prognosis?
• Survival statistics reveal the advanced stage
at time of diagnosis
• Presentation is often after the patient
becomes symptomatic
– Usually Stages IIIA/B or IV
– These stages have poor long term survival
< 10% at 5 years
Lung Cancer
Why the Poor Prognosis?
• Successful surgical resection and cure are
only possible at early stages
• In U.S. only 20-25% of newly detected lung
cancer is Stage I
Question
• 60 yo male smoker with 4.1 cm solitary
adenocarcinoma. What is the best option for
treatment/survival?
A) Wedge resection.
B) Lobectomy.
C) Lobectomy with adjuvant chemotherapy.
D) Lobectomy with adjuvant radiation.
E) Lobectomy with adjuvant chemotherapy and
radiation.
Answer
• 60 yo male smoker with 4.1 cm solitary
adenocarcinoma. What is the best option for
treatment/survival?
A) Wedge resection.
B) Lobectomy.
C) Lobectomy with adjuvant chemotherapy.
D) Lobectomy with adjuvant radiation.
E) Lobectomy with adjuvant chemotherapy and
radiation.
Non Small Cell Lung Cancer
Treatment
• Stage IA:
– Lobectomy is treatment of choice.
– T1N0, lobectomy has 70% 5 year recurrence
free survival.
– If inoperable:
• 30% cure rate with XRT alone.
• Stereotactic radiosurgery (CyberKnife).
• Radiofrequency ablation.
Non Small Cell Lung Cancer
Treatment
• Stage 1B:
– Lobectomy.
– Adjuvant chemotherapy adds a 4-12% survival
benefit. Best in tumors > 4 cm.
» NEJM 2004.
» ASCO 2004.
Non Small Cell Lung Cancer
Treatment
• Stage II:
– Lobectomy is treatment of choice.
– Adjuvant chemotherapy now standard.
– Consider adjuvant XRT to mediastinum
Non Small Cell Lung Cancer
Treatment
• Stage III:
– Combination chemotherapy with XRT is
treatment of choice.
– Surgery has yet to be established consistently
as benefit in randomized trials.
– Neoadjuvant therapy followed by surgical
resection is option in IIIA.
Non Small Cell Lung Cancer
Treatment
• Stage IV:
– Chemotherapy.
Non Small Cell Lung Cancer
Contraindications to Surgical Resection
• Stage IIIB or IV.
• Extensive invasion into surrounding
structures:
• Vena cava or atrium involvement.
• Recurrent laryngeal or phrenic nerve involvement.
• SVC obstruction, malignant effusion, pericardial
tamponade.
• Contralateral lymph nodes.
Non Small Cell Lung Cancer
Contraindications to Surgical Resection
• Medically unfit:
– Poor cardiac or pulmonary status.
– Predicted postoperative FEV1% < 40%.
– Predicted postoperative DLCO% < 40%.
– Exercise studies for marginal candidates.
Chemotherapy Drugs
• Non small cell:
– Two drug regimen.
– Cis/Carbo platin + 1 other
(Taxol/Taxotere/Gemcitabine)
• Small cell:
– Cisplatin / Etoposide
Biologic Agents
• Avastin
– Angiogenesis inhibitor.
– Added to chemo.
– Bleeding risk.
– Contraindicated in squamous cell carcinoma.
Biologic Agents
• Tarceva
– Epidermal growth factor inhibitor.
– Second line therapy.
– Asian, never smoking, women,
adenocarcinoma / bronchoalveolar cell CA.
– PO.
– Rash, diarrhea.
Small Cell Lung Cancer
Treatment
• Untreated: 1.5 - 3 month median survival
• Limited: Chemotherapy with XRT.
– 10-20 month median survival.
– 5 year survival ~10%
• Extensive: Chemotherapy.
– 7-11 month median survival.
– 5 year survival < 1%.
Small Cell Lung Cancer
Brain Irradiation
• For known metastatic lesions.
• Prophylaxis in both Limited & Extensive
disease.
– Decreases the risk of developing brain
metastases.
– Improved survival.
Question
• A 60 year old white male smoker without
symptoms presents for a routine annual
physical and a CXR is performed. What
test do you order next?
Question
• A) CT chest with IV contrast.
• B) CT-guided transthoracic needle biopsy.
• C) Review prior chest X-rays.
• D) Full body PET scan.
• E) Surgical resection.
Answer
• A) CT chest with IV contrast.
• B) CT-guided transthoracic needle biopsy.
• C) Review prior chest X-rays.
• D) Full body PET scan.
• E) Surgical resection.
Evaluation of the Solitary
Pulmonary Nodule
• 25% have symptoms of cough, chest pain,
or hemoptysis.
• 75% asymptomatic.
• Benign nodules:
• 23% Tubercular lesions
• 14% Benign tumors (Hamartoma,
neurogenic tumors, bronchial adenoma,
mesothelioma)
• 13% Others (Chronic pneumonia, echinoccoccal
cyst, bronchogenic cyst, aspergilloma etc.)
Evaluation of the Solitary
Pulmonary Nodule
• Malignant nodules 49% of all SPN’s:
– Primary lung cancer 38%, metastatic cancer 9%
• Incidence of malignancy increases with age:
– Ages 35-39 : 3% are malignant.
– Ages 40-49 : 15%
– Ages 50-59 : 42%
– Ages 60+ : 50%
Evaluation of the Solitary
Pulmonary Nodule
• Malignant
Characteristics:
– Spiculations.
– Irregular contour.
– Eccentric
calcifications.
– > 3 cm.
• Benign
Characteristics:
– Smooth & round.
– Well circumscribed.
– Central, densely
calcified, laminated, or
“popcorn.”
– < 3 cm.
Evaluation of the Solitary
Pulmonary Nodule
• Comparison to prior films:
– New? Enlarging? Change in shape?
– Likely benign if no change in 2+ years.
• CT scan for better detail.
• Removal if new, bigger, or changing.
• CT-guided biopsy if not surgical candidate.
– Sampling error may require surgical biopsy.
Evaluation of the Solitary
Pulmonary Nodule
• Close follow up (3 months) if benign
appearance may be an option.
• Consider PET scan.
• Risk of waiting - may spread if malignant &
decrease survival.
• Future? Superdimension 3D
electromagnetic tracking/ virtual bronch
Solitary Nodule
• Follow up CT’s:
– 3, 6, 12, 24 months.
– If stable at 2 years, no further follow up.
Common Paraneoplastic
Syndromes:
Syndrome Frequent Histology
• Hypercalcemia
• SIADH
• Cushing’s Syndrome
• Eaton-Lambert
• Squamous Cell
• Small Cell
• Small Cell
• Small Cell
Question
• A 55 year old former smoker is concerned
about his risk for lung cancer and seeks
your advice. Which of the following
screening tests is recommended?
Question
• A) Annual chest x-ray.
• B) Sputum for cytology.
• C) Spiral CT scan.
• D) Flexible bronchoscopy +/- flourescence.
• E) None of the above.
Answer
• A) Annual chest x-ray.
• B) Sputum for cytology.
• C) Spiral CT scan.
• D) Flexible bronchoscopy +/- flourescence.
• E) None of the above.
NCI Cooperative Study
Results: Mortality Rates/1,000/year
• No significant change in mortality was noted
• Screening should not be offered to general
population
• However, CXR may be of benefit in an individual
high risk patient
Lung Cancer Screening:
Spiral CT Scan
• In preliminary studies, spiral CT detected
higher numbers of Stage I lung cancers in
patients at high risk.
• However, many benign nodules were also
discovered and required close follow up.
• Some patients had surgery for benign
disease as a result.
• Three large studies look promising!
Lung Cancer and Smoking
• In North America
– 50 million current tobacco smokers
– 50 million former smokers
• Primary prevention is key especially among the
youth
Lung Cancer: Diagnosis, Staging, and Treatment
Lung Cancer: Diagnosis, Staging, and Treatment

Lung Cancer: Diagnosis, Staging, and Treatment

  • 1.
    Lung Cancer: Diagnosis, Staging,and Treatment Dene W. Daugherty, DO Department of Surgery
  • 2.
    Lung Cancer • Mostcommon cause of cancer death in US • Overall 5 year survival of 15% • More deaths by lung cancer than the next four most common cancers combined (Colorectal, Breast, Prostate, & Pancreas)
  • 3.
    Cancer Deaths inU.S. (2007 American Cancer Society Data) Lung 160,390 Colorectal 52,180 Breast 40,910 Prostate 27,050
  • 4.
    Lung Cancer inthe U.S. (2007 American Cancer Society Data) • Number of patients in the U.S. with lung cancer continues to rise • In 2007 estimated: – 213,380 new cases – 160,390 deaths
  • 5.
    Lung Cancer RiskFactors (2007 American Cancer Society Data) • Gender • Smoking history • Older age • Presence of airflow obstruction • Genetic predisposition • Occupational exposures
  • 6.
    Lung Cancer andGender (2007 American Cancer Society Data) • Male predilection, but changing rapidly • Increase in women smokers – 55% Men – 45% Women
  • 7.
    LUNG CANCERLUNG CANCER (2007American Cancer Society Data) Tobacco Percent active 85-87 passive 3-5 Etiology Relationship to Smoking
  • 8.
    Lung Cancer andSmoking (2007 American Cancer Society Data) • ~90% of lung cancers attributed to smoking • However, only 20% smokers will develop lung cancer in their lifetime. – ? Death from other causes ie. CAD, COPD – Genetic predisposition • Risk decreases when stop smoking • Yet, 50% of new cases are former smokers
  • 9.
    Occupational Exposures Linkedto 3 - 15% of Lung Cancers (2007 American Cancer Society Data) Proven Suspected • Arsenic • Asbestos • Bischloromethyl ether • Chromium • Mustard gas • Nickel • Polycyclic aromatic hydrocarbons • Ionizing radiation • Acrylonitrile • Beryllium • Vinyl chloride • Silica • Iron ore • Wood dust
  • 10.
    Asbestosis & LungCancer (2007 American Cancer Society Data) • Prolonged heavy exposure has relative risk between 2 - 10 of causing lung cancer. • Peak incidence 15 - 24 years after exposure. • Fiber type is important: – Crocidolite & amosite > chrysotile & anthophyllite.
  • 11.
    Asbestosis & LungCancer (2007 American Cancer Society Data) • Risk of smoking & asbestos exposure is multiplied. • Mortality ratio: – Nonsmoking asbestos worker: 5.17 – Smoker: 10.85 – Smoker & asbestos worker: 53.24
  • 12.
    Relative Risk ofDeveloping Lung Cancer (2007 American Cancer Society Data)
  • 13.
    Lung Cancer: Symptoms atPresentation • Due to primary tumor: • Cough, hemoptysis, chest pain, wheezing, dyspnea, & fever. • Thoracic extension of tumor: • Chest pain, SVC syndrome, hoarseness, & dysphagia.
  • 14.
    Lung Cancer: Symptoms atPresentation • Metastases: • Lymph node enlargement, bone pain, neurologic deficits, skin & subcutaneous lesions. • Systemic symptoms: • Anorexia, weight loss, weakness, & paraneoplastic syndromes • Patients often present with advanced disease due to lack of symptoms at early stages.
  • 15.
    Question • A 65year old male presents with a complaint of fevers, chills, a productive cough and scant hemoptysis. A CXR is obtained. What diagnostic test do you order next?
  • 17.
    Question • A) CTscan of the thorax with IV contrast. • B) Sputum cytology. • C) Flexible bronchoscopy. • D) CT-guided transthoracic needle biopsy. • E) Surgical resection.
  • 18.
    Answer • A) CTscan of the thorax with IV contrast. • B) Sputum cytology. • C) Flexible bronchoscopy. • D) CT-guided transthoracic needle biopsy. • E) Surgical resection.
  • 19.
    Lung Cancer: Findings onChest X-ray • Nodule (< 3cm) vs. Mass (>= 3cm). – Location: • Peripheral (Adenocarcinoma) vs. • Central (Squamous). – Single or multiple (metastases). • Endobronchial obstruction. – Atelectasis of lobe or lung. – Pneumonia.
  • 20.
    Lung Cancer: The ChestX-ray • Hilar and mediastinal adenopathy. • Pleural effusions. • Elevated hemidiaphragm.
  • 21.
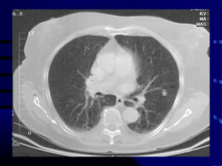
    Lung Cancer: CT Scanof Thorax • Nodule details: – Calcification, spiculation etc.. • Evaluate extension into adjacent structures: – Endobronchial, great vessels, pericardium etc.. • Evaluation of adenopathy. • Upper abdominal pathology: – Metastatic lesions in liver, adrenals, & kidneys.
  • 23.
    Lung Cancer: Sputum Cytology •Helpful for central lesions. • With three samples: – 80% detection rate of centrally located tumors. – 50% detection rate of peripheral lesions.
  • 25.
    Lung Cancer: Video FlexibleBronchoscopy • Excellent to evaluate endobronchial disease. • Brushings and bronchial biopsies are high yield for visible lesions. • Transbronchial biopsies of large peripheral lesions +/- fluoroscopic guidance. • Evaluation of obstruction for stent placement & brachytherapy.
  • 27.
    Lung Cancer: Transbronchial NeedleAspiration (TBNA) • Allows biopsy of subcarinal & paratracheal lymph nodes during flexible bronchoscopy. • Helpful for staging. • Minimal risk to patient.
  • 29.
    Lung Cancer: CT -Guided Transthoracic Needle Biopsy • Peripheral lesions away from diaphragm. • 25% pneumothorax risk. • May be beneficial for poor operative candidates. • Remember: – Negative needle biopsy result may be false negative.
  • 30.
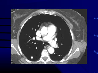
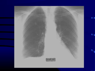
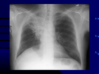
    Question • Patient isa 65 year old smoker with following CXR and CT scan of chest:
  • 33.
    Question • What testdo we order next? • A. CT-guided lung biopsy. • B. Video Assisted Thoracic Surgical open lung biopsy with possible lobectomy. • C. PET scan. • D. PFT’s. • E. CT scan of head.
  • 34.
    • What testdo we order next? • A. CT-guided lung biopsy. • B. Video Assisted Thoracic Surgical open lung biopsy. • C. PET scan. • D. PFT’s. • E. CT scan of head. Answer
  • 36.
    Alternative Answer • Mediastinoscopyor Transbronchial Needle Aspiration (TBNA) – would also have been an appropriate method of staging mediastinum.
  • 37.
    Lung Cancer: PET Scan •Marker of active glucose metabolism. • Can detect lesions to 0.8cm. • ~90% sensitivity & ~85% specificity. • Indications: – Staging lung cancer. – Solitary pulmonary nodule.
  • 38.
    Lung Cancer: Other DiagnosticTests • Thoracentesis. • Surgical resection: – Thoracotomy vs. VATS.
  • 39.
    Staging of theMediastinum • Mediastinoscopy: – Mediastinal lymphadenopathy staging. – Central lesions. – Large peripheral lesions. – “Gold Standard.”
  • 40.
    Newer Technologies • Endobronchial Ultrasound(EBUS) • Endoscopic Ultrasound (EUS)
  • 41.
    Histology of LungCancers in U.S. (2007 American Cancer Society Data) 0 5 10 15 20 25 30 35 40 Percent of New Cases of Lung Cancer Adenocarcinoma Squamous Large Cell Bronchoalveolar Small Cell
  • 42.
    Adenocarcinoma • Most commoncell type in US. • Peripheral location. • Glandular formation. • Mucin production.
  • 43.
    Bronchoalveolar Cell Carcinoma •Subtype of adenocarcinoma. • Preservation of alveolar architecture. • Spread through the airways. • May present as unresolving pneumonia.
  • 44.
    Squamous Cell Carcinoma •Cavitation. • Centrally located along airways. • Intravascular invasion. • Intercellular bridging. • Keratinization.
  • 45.
    Squamous Cell Carcinoma •Keratin pearls. • Nests of cells.
  • 46.
    Large Cell Carcinoma •A poorly differentiated carcinoma. • Diagnosis of exclusion. • Large cells. • Abundant cytoplasm. • Large nuclei with prominent or vesicular nucleoli.
  • 48.
    NonSmall Cell Cancer TStage • T1: < 3cm in diameter, contained within visceral pleura. • T2: > 3cm in diameter, >= 2cm away from carina, invading into visceral pleura, or lobar atelectasis • T3: any size, extension into chest wall, diaphragm, mediastinum, (but not great vessels) or <2cm from carina or atelectasis of entire lung
  • 49.
    NonSmall Cell Cancer TStage • T4: any size invading into great vessels, heart, trachea, esophagus, vertebrae, main carina or malignant pleural effusion.
  • 50.
    NonSmall Cell Cancer NStage • N0: No nodes. • N1: Ipsilateral hilar or peribronchial. • N2: Ipsilateral mediastinal, subcarinal. • N3: Contralateral hilar, contralateral mediastinal or supraclavicular/scalene.
  • 51.
    Non Small CellCarcinoma Staging N0 N1 N2 N3 T1 IA IIA IIIA IIIB T2 IB IIB IIIA IIIB T3 IIB IIIA IIIA IIIB T4 IIIB IIIB IIIB IIIB M1 IV
  • 52.
    Clinical Stage 12 24 3648 60 IA 91 79 71 67 61 IB 72 54 46 41 38 IIA 79 49 38 34 34 IIB 59 41 33 26 24 IIIA 50 25 18 14 13 IIIB 34 13 7 6 5 IV 19 6 2 2 1 CF Mountain. Chest. 1997; 111(6). Non Small Cell CA Survival Months after Treatment
  • 53.
    Non Small CellCA Survival Months after Treatment Pathologic Stage 12 24 36 48 60 IA 94 86 80 73 67 IB 87 76 67 62 57 IIA 89 70 66 61 55 IIB 73 56 46 42 39 IIIA 64 40 32 26 23 CF Mountain. Chest. 1997; 111(6).
  • 54.
    Current AJCC Changes •Satellite nodules: T3 • Malignant effusions: StageIV • Nodules in same lung but different lobe: StageIV
  • 55.
    Neuroendocrine Lung Tumors •Small cell carcinoma. • Atypical carcinoid. • Typical carcinoid. • Malignant • Intermediate • Benign
  • 56.
    Small Cell Carcinoma •Aggressive tumor. • Smokers. • Centrally located. • Bulky adenopathy is common. • Distant metastases common on presentation.
  • 57.
    Small Cell Carcinoma •Small cells. • Fine chromatin pattern. • Abundant mitosis. • Scant cytoplasm. • Tends to smudge on microscopy. • Synaptophysin & chromogranin.
  • 58.
    Carcinoid • Typical carcinoid: –Usually endobrochial. – Present with postobstructive pneumonia. – Surgical resection is curative. • Atypical carcinoid: – More aggressive. – May require surgery with chemotherapy.
  • 59.
    Small Cell LungCancer: Staging • Limited: – 30-40% of small cell lung cancers. – Confined to the hemithorax, mediastinum, and ipsilateral supraclavicular lymph node. – Within the confines of radiation port. • Extensive: – 60-70% of small cell lung cancers. – Any distant spread.
  • 61.
    Lung Cancer Why thePoor Prognosis? • Survival statistics reveal the advanced stage at time of diagnosis • Presentation is often after the patient becomes symptomatic – Usually Stages IIIA/B or IV – These stages have poor long term survival < 10% at 5 years
  • 62.
    Lung Cancer Why thePoor Prognosis? • Successful surgical resection and cure are only possible at early stages • In U.S. only 20-25% of newly detected lung cancer is Stage I
  • 63.
    Question • 60 yomale smoker with 4.1 cm solitary adenocarcinoma. What is the best option for treatment/survival? A) Wedge resection. B) Lobectomy. C) Lobectomy with adjuvant chemotherapy. D) Lobectomy with adjuvant radiation. E) Lobectomy with adjuvant chemotherapy and radiation.
  • 64.
    Answer • 60 yomale smoker with 4.1 cm solitary adenocarcinoma. What is the best option for treatment/survival? A) Wedge resection. B) Lobectomy. C) Lobectomy with adjuvant chemotherapy. D) Lobectomy with adjuvant radiation. E) Lobectomy with adjuvant chemotherapy and radiation.
  • 65.
    Non Small CellLung Cancer Treatment • Stage IA: – Lobectomy is treatment of choice. – T1N0, lobectomy has 70% 5 year recurrence free survival. – If inoperable: • 30% cure rate with XRT alone. • Stereotactic radiosurgery (CyberKnife). • Radiofrequency ablation.
  • 66.
    Non Small CellLung Cancer Treatment • Stage 1B: – Lobectomy. – Adjuvant chemotherapy adds a 4-12% survival benefit. Best in tumors > 4 cm. » NEJM 2004. » ASCO 2004.
  • 67.
    Non Small CellLung Cancer Treatment • Stage II: – Lobectomy is treatment of choice. – Adjuvant chemotherapy now standard. – Consider adjuvant XRT to mediastinum
  • 68.
    Non Small CellLung Cancer Treatment • Stage III: – Combination chemotherapy with XRT is treatment of choice. – Surgery has yet to be established consistently as benefit in randomized trials. – Neoadjuvant therapy followed by surgical resection is option in IIIA.
  • 69.
    Non Small CellLung Cancer Treatment • Stage IV: – Chemotherapy.
  • 70.
    Non Small CellLung Cancer Contraindications to Surgical Resection • Stage IIIB or IV. • Extensive invasion into surrounding structures: • Vena cava or atrium involvement. • Recurrent laryngeal or phrenic nerve involvement. • SVC obstruction, malignant effusion, pericardial tamponade. • Contralateral lymph nodes.
  • 71.
    Non Small CellLung Cancer Contraindications to Surgical Resection • Medically unfit: – Poor cardiac or pulmonary status. – Predicted postoperative FEV1% < 40%. – Predicted postoperative DLCO% < 40%. – Exercise studies for marginal candidates.
  • 72.
    Chemotherapy Drugs • Nonsmall cell: – Two drug regimen. – Cis/Carbo platin + 1 other (Taxol/Taxotere/Gemcitabine) • Small cell: – Cisplatin / Etoposide
  • 73.
    Biologic Agents • Avastin –Angiogenesis inhibitor. – Added to chemo. – Bleeding risk. – Contraindicated in squamous cell carcinoma.
  • 74.
    Biologic Agents • Tarceva –Epidermal growth factor inhibitor. – Second line therapy. – Asian, never smoking, women, adenocarcinoma / bronchoalveolar cell CA. – PO. – Rash, diarrhea.
  • 75.
    Small Cell LungCancer Treatment • Untreated: 1.5 - 3 month median survival • Limited: Chemotherapy with XRT. – 10-20 month median survival. – 5 year survival ~10% • Extensive: Chemotherapy. – 7-11 month median survival. – 5 year survival < 1%.
  • 76.
    Small Cell LungCancer Brain Irradiation • For known metastatic lesions. • Prophylaxis in both Limited & Extensive disease. – Decreases the risk of developing brain metastases. – Improved survival.
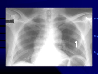
  • 77.
    Question • A 60year old white male smoker without symptoms presents for a routine annual physical and a CXR is performed. What test do you order next?
  • 79.
    Question • A) CTchest with IV contrast. • B) CT-guided transthoracic needle biopsy. • C) Review prior chest X-rays. • D) Full body PET scan. • E) Surgical resection.
  • 80.
    Answer • A) CTchest with IV contrast. • B) CT-guided transthoracic needle biopsy. • C) Review prior chest X-rays. • D) Full body PET scan. • E) Surgical resection.
  • 83.
    Evaluation of theSolitary Pulmonary Nodule • 25% have symptoms of cough, chest pain, or hemoptysis. • 75% asymptomatic. • Benign nodules: • 23% Tubercular lesions • 14% Benign tumors (Hamartoma, neurogenic tumors, bronchial adenoma, mesothelioma) • 13% Others (Chronic pneumonia, echinoccoccal cyst, bronchogenic cyst, aspergilloma etc.)
  • 84.
    Evaluation of theSolitary Pulmonary Nodule • Malignant nodules 49% of all SPN’s: – Primary lung cancer 38%, metastatic cancer 9% • Incidence of malignancy increases with age: – Ages 35-39 : 3% are malignant. – Ages 40-49 : 15% – Ages 50-59 : 42% – Ages 60+ : 50%
  • 85.
    Evaluation of theSolitary Pulmonary Nodule • Malignant Characteristics: – Spiculations. – Irregular contour. – Eccentric calcifications. – > 3 cm. • Benign Characteristics: – Smooth & round. – Well circumscribed. – Central, densely calcified, laminated, or “popcorn.” – < 3 cm.
  • 88.
    Evaluation of theSolitary Pulmonary Nodule • Comparison to prior films: – New? Enlarging? Change in shape? – Likely benign if no change in 2+ years. • CT scan for better detail. • Removal if new, bigger, or changing. • CT-guided biopsy if not surgical candidate. – Sampling error may require surgical biopsy.
  • 89.
    Evaluation of theSolitary Pulmonary Nodule • Close follow up (3 months) if benign appearance may be an option. • Consider PET scan. • Risk of waiting - may spread if malignant & decrease survival. • Future? Superdimension 3D electromagnetic tracking/ virtual bronch
  • 90.
    Solitary Nodule • Followup CT’s: – 3, 6, 12, 24 months. – If stable at 2 years, no further follow up.
  • 91.
    Common Paraneoplastic Syndromes: Syndrome FrequentHistology • Hypercalcemia • SIADH • Cushing’s Syndrome • Eaton-Lambert • Squamous Cell • Small Cell • Small Cell • Small Cell
  • 92.
    Question • A 55year old former smoker is concerned about his risk for lung cancer and seeks your advice. Which of the following screening tests is recommended?
  • 93.
    Question • A) Annualchest x-ray. • B) Sputum for cytology. • C) Spiral CT scan. • D) Flexible bronchoscopy +/- flourescence. • E) None of the above.
  • 94.
    Answer • A) Annualchest x-ray. • B) Sputum for cytology. • C) Spiral CT scan. • D) Flexible bronchoscopy +/- flourescence. • E) None of the above.
  • 95.
    NCI Cooperative Study Results:Mortality Rates/1,000/year • No significant change in mortality was noted • Screening should not be offered to general population • However, CXR may be of benefit in an individual high risk patient
  • 96.
    Lung Cancer Screening: SpiralCT Scan • In preliminary studies, spiral CT detected higher numbers of Stage I lung cancers in patients at high risk. • However, many benign nodules were also discovered and required close follow up. • Some patients had surgery for benign disease as a result. • Three large studies look promising!
  • 98.
    Lung Cancer andSmoking • In North America – 50 million current tobacco smokers – 50 million former smokers • Primary prevention is key especially among the youth