Lung Cancer
Jamal Turki
• The term lung cancer, or bronchogenic
carcinoma, refers to malignancies that
originate in the airways or pulmonary
parenchyma
• Lung cancer is among the most common
cancers worldwide
• Lung cancer is the leading cause of cancer-
related mortality in both men and women
Epidemiology
• In the United States, lung cancer is the second
most common cancer, after prostate cancer in
men and breast cancer in women, and the
most common cause of cancer deaths.
Cancer Deaths in U.S.
(2007 American Cancer Society Data)
Lung 160,390
Colorectal 52,180
Breast 40,910
Prostate 27,050
RISK FACTORS
• Smoking —account for approximately 90 percent
of all lung cancers
• The risk of developing lung cancer for a current
smoker of one pack per day for 40 years is
approximately 20 times that of someone who has
never smoked
• prevention :In individuals who do quit smoking,
the risk of developing lung cancer gradually falls
for about 15 years before it levels off and remains
about twice that of someone who never smoked
• Environmental toxins — These include exposure to second-
hand smoke, asbestos, radon, metals (arsenic, chromium, and
nickel), ionizing radiation, and polycyclic aromatic
hydrocarbons
• Pulmonary fibrosis — Several studies have shown that the risk
for lung cancer is increased about sevenfold patients with
pulmonary fibrosis
• HIV infection —
• Genetic factors — Genetic factors can affect both the risk for
and prognosis
• Dietary factors — Epidemiologic evidence has suggested that
various dietary factors (antioxidants, cruciferous vegetables,
phytoestrogens) may reduce the risk of lung cancer
Asbestosis & Lung Cancer
(2007 American Cancer Society Data)
• Prolonged heavy exposure has relative risk
between 2 - 10 of causing lung cancer.
• Peak incidence 15 - 24 years after exposure.
• Fiber type is important:
– Crocidolite & amosite > chrysotile & anthophyllite.
SCREENING
Guidelines from the American Cancer Society
(ACS), American College of Chest Physicians
(ACCP), National Comprehensive Cancer Network
(NCCN), and U.S. Preventive Services Task Force
(USPSTF) recommend offering annual screening
with low-dose computed tomography (LDCT)
scanning to patients aged 55 to 74 years (the
USPSTF extends the recommended age range to
80 years) and who have at least a 30 pack-year
smoking history and either continue to smoke or
have quit within the past 15 years.
PATHOLOGY
• Adenocarcinoma :40 % , Non-smokers
Peripheral, Preexisting scars, Bronchoalv.
• Squamous cell carcinoma- 25%, smokers,
central, Hypercalcemia, cavitation
• Large cell carcinoma: 5 %
• Small cell carcinoma: 15 %
• Others 15%
CLINICAL MANIFESTATIONS
• Persons aged 50-70 years.
• Lung cancer is more common in men than in
women.
• Symptoms may result from local effects of the
tumor, from regional or distant spread, or from
distant effects not related to metastases
(paraneoplastic syndromes).
• Approximately three-fourths of patients have one
or more symptoms at the time of diagnosis.
• Cough — Cough is present in 50 to 75 percent
of lung cancer patients at presentation
• Squamous cell and small cell carcinomas
• Bronchorrhea
• Post-obstructive pneumonia
• bronchiectasis is uncommon
• Hemoptysis : 25 to 50 percent of patients
• Chest pain : same side of the chest as the primary
tumor. Dull, aching, persistent pain
• Dyspnea : 25 percent of cases
obstructive pneumonitis
Atelectasis
Lymphangitic tumor spread
Pneumothorax
Pleural effusion
Pericardial effusion
• Hoarseness : recurrent laryngeal nerve
• Pleural involvement :typically exudates
The yield of pleural fluid cytology after a single
thoracentesis is about 60 percent, and the
yield rises to 85 percent with three
thoracenteses
• Superior vena cava syndrome :sensation of
fullness in the head and dyspnea. Cough, pain,
and dysphagia, Physical findings include
dilated neck veins, a prominent venous
pattern on the chest, facial edema, and a
plethoric appearance, more common in
patients with SCLC than NSCLC
• Pancoast's syndrome :pain (usually in the
shoulder, and less commonly in the forearm,
scapula, and fingers), Horner's syndrome,
bony destruction, and atrophy of hand
muscles.
• miosis (constriction of
the pupils),
• anhidrosis (lack of
sweating),
• ptosis (drooping of the
eyelid)
• enophthalmos (sunken
eyeball)
Extrathoracic metastases
• Liver
• Bone
• Adrenal
• Brain
Paraneoplastic phenomena
• Hypercalcemia:bony metastasis or secretion of a
parathyroid hormone-related protein (PTHrP),
calcitriol or other cytokines
• SIADH secretion :SCLC, Hyponatremia
• Neurologic: SCLC. Lambert-Eaton myasthenic
syndrome (LEMS), cerebellar ataxia, sensory
neuropathy, limbic encephalitis,
encephalomyelitis, autonomic neuropathy,
retinopathy, and opsomyoclonus
Hematologic manifestations — These include the
following:
• Anemia — Anemia is frequent in patients with
lung cancer and can contribute to fatigue and
dyspnea
• Leukocytosis — granulocyte-colony stimulating
factor
• Thrombocytosis — Thrombocytosis
• Eosinophilia
• Hypercoagulable disorders
• Hypertrophic osteoarthropathy :clubbing and
periosteal proliferation
• Cushing's syndrome — Ectopic production of
adrenal corticotropin (ACTH)
Diagnosis and staging
• HISTORY AND PHYSICAL EXAM
• LABORATORY TESTING: complete blood
count, serum electrolytes, calcium, alkaline
phosphatase, albumin, (ALT), (AST), total
bilirubin, and creatinine
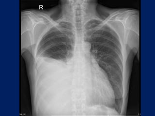
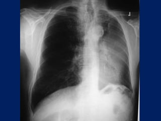
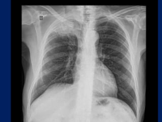
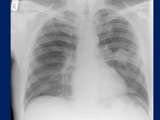
Chest radiographs may show the following:
• Pulmonary nodule, mass, or infiltrate
• Mediastinal widening
• Atelectasis
• Hilar enlargement
• Pleural effusion
Lung Cancer:
Findings on Chest X-ray
• Nodule (< 3cm) vs. Mass (>= 3cm).
– Location:
• Peripheral (Adenocarcinoma) vs.
• Central (Squamous).
– Single or multiple (metastases).
• Endobronchial obstruction.
– Atelectasis of lobe or lung.
– Pneumonia.
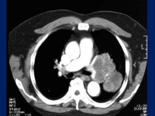
IMAGING
• All patients with suspected NSCLC should undergo
contrast-enhanced computed tomography (CT) that
extends through the lungs, liver, and adrenal glands. CT
is ideal for tumor node metastasis (TNM) staging
• It can characterize the primary tumor and define its
relationship to the chest wall and mediastinal
structures
• It can identify mediastinal lymph nodes that are
enlarged and suspicious for malignant involvement
• It can detect contralateral lung, chest wall, or upper
abdominal lesions that are suspicious for metastasis
TISSUE SAMPLING
1. Primary tumor — There are several options
for sampling a primary tumor:
Like Bronchoscopy or CT Transthoracic needle
aspiration
Sampling of pleural Effusion
2. Secondary Tumor
CT Guided TTNA
Common Paraneoplastic Syndromes:
Syndrome Frequent Histology
• Hypercalcemia
• SIADH
• Cushing’s Syndrome
• Eaton-Lambert
• Squamous Cell
• Small Cell
• Small Cell
• Small Cell
• Lymph nodes
• Pleural effusion
• Adrenal nodule
STAGING
• Based upon this initial evaluation, most
patients require additional imaging. This may
include whole body positron emission
tomography (PET), integratedCT/PET, bone
scanning, magnetic resonance imaging (MRI)
of the chest wall or brain, and/or CT of the
brain.
• Staging for NSCLC : TNM classification
• Staging of SCLC uses the Veterans
Administration Lung Study Group designations
of limited (confined to one hemithorax) or
extensive (beyond one hemithorax)
Treatment
• Surgery
• Chemotherapy
• Radiation therapy
Treatment
• Surgical resection offers the best opportunity
for long-term survival and cure in patients
with resectable NSCLC:
• Lobectomy
Resectability
Operability
Non Small Cell Lung Cancer
Contraindications to Surgical Resection
• Stage IIIB or IV.
• Extensive invasion into surrounding
structures:
• Vena cava or atrium involvement.
• Recurrent laryngeal or phrenic nerve involvement.
• SVC obstruction, malignant effusion, pericardial
tamponade.
• Contralateral lymph nodes.
Non Small Cell Lung Cancer
Contraindications to Surgical Resection
• Medically unfit:
– Poor cardiac or pulmonary status.
– Predicted postoperative FEV1% < 40%.
– Predicted postoperative DLCO% < 40%.
– Exercise studies for marginal candidates.
1. PREOPERATIVE PULMONARY FUNCTION :
>Spirometry : preop FEV 1 (<60 percent predicted)
>Diffusing capacity
• Guidelines from the American College of Chest
Physicians and the British Thoracic Society suggest that
patients with a preoperative FEV 1 in excess of 2 L (or
>80 percent predicted) generally tolerate
pneumonectomy, whereas those with a preoperative
FEV 1 greater than 1.5 L tolerate lobectomy . However,
if there is either undue exertional dyspnea or
coexistent interstitial lung disease, then measurement
of DLCO should also be performed. Patients with
preoperative results for FEV 1 and DLCO that are both
>80 percent predicted do not need further
physiological testing.
2. PREDICTED POSTOPERATIVE PULMONARY
FUNCTION : a combination of spirometry and
quantitative perfusion lung scanning
• Guidelines from the American College of
Chest Physicians consider a patient to be at
increased risk for lung resection with
predicted postoperative values for either
FEV 1 or DLCO <40 percent predicted
3. MEASUREMENT OF GAS EXCHANGE
Arterial PO2
Arterial PCO2
4. EXERCISE TESTING
REGIMENS
• Carboplatin plus docetaxel
• Carboplatin plus pemetrexed
• Cetuximab, vinorelbine, and cisplatin
• Cisplatin plus pemetrexed
• Gemcitabine plus carboplatin
• Gemcitabine plus cisplatin (GC)
• Paclitaxel carboplatin
• Paclitaxel, carboplatin, and bevacizumab
• Vinorelbine plus cisplatin
RADIOTHERAPY
• SYMPTOM PALLIATION :Short courses of
radiation therapy are useful for patients who
require symptom palliation. This may include
symptoms arising from progressive
intrathoracic disease or disease at other sites
(eg, bone, brain).
PALLIATIVE CARE
• Shortness of breath
• Pain
• Psychological Impairment
Prognosis of NSCLC
• Stage of disease
• Clinical parameters :Performance status ,
Ethnicity
• Histopathology
• Molecular characterization :(EGFR)
• PET and PET-CT: SUV number
• Recurrence after complete resection
• In Europe, the 5-year overall survival rate is
11%. The highest recorded 5-year patient
survival rates are observed in the United
States. US data indicate that the 5-year
relative survival rate for lung cancer was
17.4%,
Estimated 5-year survival rates for specific stages of
disease are as follows:
• Stage IA - 75%
• Stage IB - 55%
• Stage IIA - 50%
• Stage IIB - 40%
• Stage IIIA - 10-35%
• Stage IIIB - Less than 5%
• Stage IV - Less than 5%
THANK YOU

Lung cancer

  • 1.
  • 2.
    • The termlung cancer, or bronchogenic carcinoma, refers to malignancies that originate in the airways or pulmonary parenchyma • Lung cancer is among the most common cancers worldwide • Lung cancer is the leading cause of cancer- related mortality in both men and women
  • 3.
    Epidemiology • In theUnited States, lung cancer is the second most common cancer, after prostate cancer in men and breast cancer in women, and the most common cause of cancer deaths.
  • 4.
    Cancer Deaths inU.S. (2007 American Cancer Society Data) Lung 160,390 Colorectal 52,180 Breast 40,910 Prostate 27,050
  • 5.
    RISK FACTORS • Smoking—account for approximately 90 percent of all lung cancers • The risk of developing lung cancer for a current smoker of one pack per day for 40 years is approximately 20 times that of someone who has never smoked • prevention :In individuals who do quit smoking, the risk of developing lung cancer gradually falls for about 15 years before it levels off and remains about twice that of someone who never smoked
  • 6.
    • Environmental toxins— These include exposure to second- hand smoke, asbestos, radon, metals (arsenic, chromium, and nickel), ionizing radiation, and polycyclic aromatic hydrocarbons • Pulmonary fibrosis — Several studies have shown that the risk for lung cancer is increased about sevenfold patients with pulmonary fibrosis • HIV infection — • Genetic factors — Genetic factors can affect both the risk for and prognosis • Dietary factors — Epidemiologic evidence has suggested that various dietary factors (antioxidants, cruciferous vegetables, phytoestrogens) may reduce the risk of lung cancer
  • 7.
    Asbestosis & LungCancer (2007 American Cancer Society Data) • Prolonged heavy exposure has relative risk between 2 - 10 of causing lung cancer. • Peak incidence 15 - 24 years after exposure. • Fiber type is important: – Crocidolite & amosite > chrysotile & anthophyllite.
  • 8.
    SCREENING Guidelines from theAmerican Cancer Society (ACS), American College of Chest Physicians (ACCP), National Comprehensive Cancer Network (NCCN), and U.S. Preventive Services Task Force (USPSTF) recommend offering annual screening with low-dose computed tomography (LDCT) scanning to patients aged 55 to 74 years (the USPSTF extends the recommended age range to 80 years) and who have at least a 30 pack-year smoking history and either continue to smoke or have quit within the past 15 years.
  • 9.
    PATHOLOGY • Adenocarcinoma :40% , Non-smokers Peripheral, Preexisting scars, Bronchoalv. • Squamous cell carcinoma- 25%, smokers, central, Hypercalcemia, cavitation • Large cell carcinoma: 5 % • Small cell carcinoma: 15 % • Others 15%
  • 10.
    CLINICAL MANIFESTATIONS • Personsaged 50-70 years. • Lung cancer is more common in men than in women. • Symptoms may result from local effects of the tumor, from regional or distant spread, or from distant effects not related to metastases (paraneoplastic syndromes). • Approximately three-fourths of patients have one or more symptoms at the time of diagnosis.
  • 11.
    • Cough —Cough is present in 50 to 75 percent of lung cancer patients at presentation • Squamous cell and small cell carcinomas • Bronchorrhea • Post-obstructive pneumonia • bronchiectasis is uncommon
  • 12.
    • Hemoptysis :25 to 50 percent of patients • Chest pain : same side of the chest as the primary tumor. Dull, aching, persistent pain • Dyspnea : 25 percent of cases obstructive pneumonitis Atelectasis Lymphangitic tumor spread Pneumothorax Pleural effusion Pericardial effusion
  • 13.
    • Hoarseness :recurrent laryngeal nerve • Pleural involvement :typically exudates The yield of pleural fluid cytology after a single thoracentesis is about 60 percent, and the yield rises to 85 percent with three thoracenteses
  • 15.
    • Superior venacava syndrome :sensation of fullness in the head and dyspnea. Cough, pain, and dysphagia, Physical findings include dilated neck veins, a prominent venous pattern on the chest, facial edema, and a plethoric appearance, more common in patients with SCLC than NSCLC
  • 17.
    • Pancoast's syndrome:pain (usually in the shoulder, and less commonly in the forearm, scapula, and fingers), Horner's syndrome, bony destruction, and atrophy of hand muscles.
  • 18.
    • miosis (constrictionof the pupils), • anhidrosis (lack of sweating), • ptosis (drooping of the eyelid) • enophthalmos (sunken eyeball)
  • 19.
    Extrathoracic metastases • Liver •Bone • Adrenal • Brain
  • 20.
    Paraneoplastic phenomena • Hypercalcemia:bonymetastasis or secretion of a parathyroid hormone-related protein (PTHrP), calcitriol or other cytokines • SIADH secretion :SCLC, Hyponatremia • Neurologic: SCLC. Lambert-Eaton myasthenic syndrome (LEMS), cerebellar ataxia, sensory neuropathy, limbic encephalitis, encephalomyelitis, autonomic neuropathy, retinopathy, and opsomyoclonus
  • 21.
    Hematologic manifestations —These include the following: • Anemia — Anemia is frequent in patients with lung cancer and can contribute to fatigue and dyspnea • Leukocytosis — granulocyte-colony stimulating factor • Thrombocytosis — Thrombocytosis • Eosinophilia • Hypercoagulable disorders
  • 22.
    • Hypertrophic osteoarthropathy:clubbing and periosteal proliferation • Cushing's syndrome — Ectopic production of adrenal corticotropin (ACTH)
  • 23.
    Diagnosis and staging •HISTORY AND PHYSICAL EXAM • LABORATORY TESTING: complete blood count, serum electrolytes, calcium, alkaline phosphatase, albumin, (ALT), (AST), total bilirubin, and creatinine
  • 24.
    Chest radiographs mayshow the following: • Pulmonary nodule, mass, or infiltrate • Mediastinal widening • Atelectasis • Hilar enlargement • Pleural effusion
  • 25.
    Lung Cancer: Findings onChest X-ray • Nodule (< 3cm) vs. Mass (>= 3cm). – Location: • Peripheral (Adenocarcinoma) vs. • Central (Squamous). – Single or multiple (metastases). • Endobronchial obstruction. – Atelectasis of lobe or lung. – Pneumonia.
  • 26.
    IMAGING • All patientswith suspected NSCLC should undergo contrast-enhanced computed tomography (CT) that extends through the lungs, liver, and adrenal glands. CT is ideal for tumor node metastasis (TNM) staging • It can characterize the primary tumor and define its relationship to the chest wall and mediastinal structures • It can identify mediastinal lymph nodes that are enlarged and suspicious for malignant involvement • It can detect contralateral lung, chest wall, or upper abdominal lesions that are suspicious for metastasis
  • 34.
    TISSUE SAMPLING 1. Primarytumor — There are several options for sampling a primary tumor: Like Bronchoscopy or CT Transthoracic needle aspiration Sampling of pleural Effusion 2. Secondary Tumor
  • 39.
  • 40.
    Common Paraneoplastic Syndromes: SyndromeFrequent Histology • Hypercalcemia • SIADH • Cushing’s Syndrome • Eaton-Lambert • Squamous Cell • Small Cell • Small Cell • Small Cell
  • 42.
    • Lymph nodes •Pleural effusion • Adrenal nodule
  • 44.
    STAGING • Based uponthis initial evaluation, most patients require additional imaging. This may include whole body positron emission tomography (PET), integratedCT/PET, bone scanning, magnetic resonance imaging (MRI) of the chest wall or brain, and/or CT of the brain.
  • 45.
    • Staging forNSCLC : TNM classification • Staging of SCLC uses the Veterans Administration Lung Study Group designations of limited (confined to one hemithorax) or extensive (beyond one hemithorax)
  • 46.
  • 48.
    Treatment • Surgical resectionoffers the best opportunity for long-term survival and cure in patients with resectable NSCLC: • Lobectomy Resectability Operability
  • 49.
    Non Small CellLung Cancer Contraindications to Surgical Resection • Stage IIIB or IV. • Extensive invasion into surrounding structures: • Vena cava or atrium involvement. • Recurrent laryngeal or phrenic nerve involvement. • SVC obstruction, malignant effusion, pericardial tamponade. • Contralateral lymph nodes.
  • 50.
    Non Small CellLung Cancer Contraindications to Surgical Resection • Medically unfit: – Poor cardiac or pulmonary status. – Predicted postoperative FEV1% < 40%. – Predicted postoperative DLCO% < 40%. – Exercise studies for marginal candidates.
  • 51.
    1. PREOPERATIVE PULMONARYFUNCTION : >Spirometry : preop FEV 1 (<60 percent predicted) >Diffusing capacity
  • 52.
    • Guidelines fromthe American College of Chest Physicians and the British Thoracic Society suggest that patients with a preoperative FEV 1 in excess of 2 L (or >80 percent predicted) generally tolerate pneumonectomy, whereas those with a preoperative FEV 1 greater than 1.5 L tolerate lobectomy . However, if there is either undue exertional dyspnea or coexistent interstitial lung disease, then measurement of DLCO should also be performed. Patients with preoperative results for FEV 1 and DLCO that are both >80 percent predicted do not need further physiological testing.
  • 53.
    2. PREDICTED POSTOPERATIVEPULMONARY FUNCTION : a combination of spirometry and quantitative perfusion lung scanning • Guidelines from the American College of Chest Physicians consider a patient to be at increased risk for lung resection with predicted postoperative values for either FEV 1 or DLCO <40 percent predicted
  • 54.
    3. MEASUREMENT OFGAS EXCHANGE Arterial PO2 Arterial PCO2
  • 55.
  • 56.
    REGIMENS • Carboplatin plusdocetaxel • Carboplatin plus pemetrexed • Cetuximab, vinorelbine, and cisplatin • Cisplatin plus pemetrexed • Gemcitabine plus carboplatin • Gemcitabine plus cisplatin (GC) • Paclitaxel carboplatin • Paclitaxel, carboplatin, and bevacizumab • Vinorelbine plus cisplatin
  • 57.
    RADIOTHERAPY • SYMPTOM PALLIATION:Short courses of radiation therapy are useful for patients who require symptom palliation. This may include symptoms arising from progressive intrathoracic disease or disease at other sites (eg, bone, brain).
  • 58.
    PALLIATIVE CARE • Shortnessof breath • Pain • Psychological Impairment
  • 59.
    Prognosis of NSCLC •Stage of disease • Clinical parameters :Performance status , Ethnicity • Histopathology • Molecular characterization :(EGFR) • PET and PET-CT: SUV number • Recurrence after complete resection
  • 60.
    • In Europe,the 5-year overall survival rate is 11%. The highest recorded 5-year patient survival rates are observed in the United States. US data indicate that the 5-year relative survival rate for lung cancer was 17.4%,
  • 61.
    Estimated 5-year survivalrates for specific stages of disease are as follows: • Stage IA - 75% • Stage IB - 55% • Stage IIA - 50% • Stage IIB - 40% • Stage IIIA - 10-35% • Stage IIIB - Less than 5% • Stage IV - Less than 5%
  • 62.