SURGICALSURGICAL LIVERLIVER andand
BILIARYBILIARY PATHOLOGYPATHOLOGY
of Dr. Florencio C. Dizonof Dr. Florencio C. Dizon
By Dr. Noel C. Santos, M.D.
LIVER PATHOLOGYLIVER PATHOLOGY
 Focal liver lesionsFocal liver lesions
– Tumor-like lesions and tumorsTumor-like lesions and tumors
 Liver transplantationLiver transplantation
 Diseases of gallbladder and bile ductsDiseases of gallbladder and bile ducts
– Diseases of gall bladderDiseases of gall bladder
– Diseases of extrahepatic bile ductsDiseases of extrahepatic bile ducts
– TumorsTumors
Focal liver lesionsFocal liver lesions
 Tumor-like lesions of the liverTumor-like lesions of the liver
– FNHFNH, NRH, mesenchymal hamartoma, cysts,, NRH, mesenchymal hamartoma, cysts,
inflammatory pseudotumor, abscessus, infarctusinflammatory pseudotumor, abscessus, infarctus
 Benign liver tumorsBenign liver tumors
– Non epithelialNon epithelial:: haemangiomahaemangioma, fibroma,, fibroma,
angiomyolipoma etcangiomyolipoma etc
– EpithelialEpithelial:: adenomaadenoma (HCA, CCA)(HCA, CCA)
 Malignant liver tumorsMalignant liver tumors
– Non epithelialNon epithelial: haemangiosarcoma, -endothelioma: haemangiosarcoma, -endothelioma
embryonal sarcoma, lymphomaembryonal sarcoma, lymphoma
– EpithelialEpithelial:: hepatocellular cc, cholangiocellular cc.,hepatocellular cc, cholangiocellular cc.,
mixed, hepatoblasomamixed, hepatoblasoma
Classification of liver cystsClassification of liver cysts
I.I. ParasiticParasitic
II.II. Non parasiticNon parasitic
A. SoliterA. Soliter
B. HerediterB. Herediter
1. Non communitating ductal1. Non communitating ductal
2. DPM („ductal plate malformatio”-2. DPM („ductal plate malformatio”-
communitating)communitating)
•• CHF (cong. hepatic fibrosis)CHF (cong. hepatic fibrosis)
•• ARPKDARPKD
•• syndromes (Meckel-Gruber, Ivemark)syndromes (Meckel-Gruber, Ivemark)
3. Isolated hepatic3. Isolated hepatic
*Witzleben, G. L., Ruchelli, E.*Witzleben, G. L., Ruchelli, E.
Ecchinococcus cyst
1 cm
Hepar polycysticum
II. Non parasiticII. Non parasitic
C.C. Systemic biliary dilatativeSystemic biliary dilatative
1. Without choledochus cyst1. Without choledochus cyst
(„simple” Caroli disease)(„simple” Caroli disease)
2. With choledochus cyst2. With choledochus cyst
D. OtherD. Other
1.1. Traumatic, infarctusTraumatic, infarctus
2. Duodenal duplication2. Duodenal duplication
3.3. Tumors with cystTumors with cyst
•• cystadenoma/-carcinomacystadenoma/-carcinoma
•• mesenchymal hamartomamesenchymal hamartoma
•• giant cavernous haemangiomagiant cavernous haemangioma
•• teratomateratoma
•• otherother
4.4. PeliosisPeliosis
*Witzleben, G. L., Ruchelli, E.*Witzleben, G. L., Ruchelli, E.
Classification of liver cystsClassification of liver cysts
1 cm
Mesenchymal hamartoma (children, benign)
Peliosis hepatis (dilated sinusoids)
Tumor-like focal liver lesionsTumor-like focal liver lesions
– Focal nodular hyperplasia (FNH)Focal nodular hyperplasia (FNH)
– InflammatorInflammatoryy pseudotumorpseudotumor
– Mesenchymal hamartomaMesenchymal hamartoma
– NoduNodulalar regenerar regeneratitiv hyperplasiav hyperplasia
– InfarctInfarct
– Granulomas (Boeck, tbc etc)Granulomas (Boeck, tbc etc)
Focal nodular hyperplasia (FNH)
- Female predominance,
- Well circumsized, - No capsule
- Central scar (fibrous septa radiate,
“focal cirrhosis”)
- Color (pale, fatty, haemorrhagic etc.)
- Bile ducts: numerous, tortuous
- Inflammatory cells
Focal Nodular
Hyperplasia (FNH)
(central scar!!!)
1 cm
Focal nodular hyperplasia
1 cm
Focal nodular hyperplasia (cental fibrosis)
Infarctus anaemicus hepatis,
Classification of primary liverClassification of primary liver
tumorstumors
Epithelial
Hepatocellular adenoma
Cholangiocellular adenoma/cystadenoma
Biliary papilloma/papillomatosis
Hepatocellular carcinoma
-Cholangiocellular carcinoma
Mixed carcinoma
Hepatoblastoma
Nonepithelial
Haemangioma
Angiolipoma/myolipoma
Fibroma
Haemangiosarcoma
Haemangioendothelioma
Carcinoid, lymphoma, etc
Benign Malignant
1 cm
Haemangioma hepatis
(the most common primary liver tumor)
Haemangioma
hepatis
(giant form)
Hepatocellular adenoma
- Female predominance
- Associated with oral contraceptives,
anabolic steroids
- Sharply demarcated, - Encapsulated
- Homogenous structure, but
hemorrhage, necrosis common,
- Steatosis, no bile ducts in the tumor
Adenoma hepatocellulare
(yellow, steatosis, capsule)
1 cm
Adenoma hepatocellulare (extended bleeding,
rupture might occur)
Cytological smear, HE stain
Fine needle aspiration from the liver
Border of liver
and tumor
(after formalin fixation).
Hepatocellula adenoma with extended peliosis.
The tumor cells are similar to normal hepatocytes. HE stain
Classification of primary liverClassification of primary liver
tumorstumors
Epithelial
Hepatocellular adenoma
Cholangiocellular adenoma/cystadenoma
Biliary papilloma/papillomatosis
Hepatocellular carcinoma
-Cholangiocellular carcinoma
Mixed carcinoma
Hepatoblastoma
Nonepithelial
Haemangioma
Aangiolipoma/myolipoma
Fibroma
Haemangiosarcoma
Haemangioendothelioma
Carcinoid, lymphoma, etc
Benign Malignant
Hepatocellular carcinoma
- Cirrhosis (70%)
- Association with HBV/HCV/alkohol etc
- Gross: uneven border, usually no capsule,
haemorrhage, necrosis
- Hist: trabecular, pseudoglandular
(acinar), clear cell, scirrhous,
fibrolamellar (grades I-IV)
- Progression: infiltration of capsule (if
exists), venous invasion
HCC
extracapsular
cirrhosis
HCC
necrosis
HCC
1 cm
Fibrolamellar HCC
Different histological types of HCC
HCC, trabecular HCC, pseudoglandular
HCC, anaplastic
HCC, venous
invasion
Characteristics of HCCCharacteristics of HCC
 5% of malignant tumors5% of malignant tumors
 564 000564 000 new cases annuallynew cases annually
 (in 2000) and similar death(in 2000) and similar death
 Incidence is dubbled in the pastIncidence is dubbled in the past
20 yrs (Japan, USA, Sweden,20 yrs (Japan, USA, Sweden,
France)France)
 7.7. in malesin males
 9.9. in femelsin femels
 Characteristic geographyCharacteristic geography
 Etiological factors:Etiological factors: HBV, HCVHBV, HCV,,
AFB1 (80%), alkohol etcAFB1 (80%), alkohol etc
Unknown
35%
HBV/HDV
5%
HBV
15%
HCV
45%
Koff RS, et al.Koff RS, et al. ViralViral Hepatitis.Hepatitis. 2nd ed. 1994.2nd ed. 1994.
HBV, HCV
HCC
Mutagen effects
Cirrhosis !
Aflatoxin
Fusarium toxin
Hepatocarcinogenesis
Etiological
factors
Alcohol
Androgens
Metabolic diseases
Schistosoma
proto
Onkogenes
c-myc, N-ras, c-fos
HCC
Citokines
TGF-α, HGF !
IGF-I, IGF-II.,
TGF-β,
Tumor
suppressor genes
p53, p16, RB
Hepatocarcinogenesis
LOH 1p,1q,
2q, 4q, 5q, 6q, 9p, 9q,
10q, 11p, 13q, 16p,
16q, 17p, 22/APC
Adhesion
molecules
Integrins,
E-cadherin,
β-catenin !
Ampl.
Chromos-
region
1q, 8q
 p53p53
 ((p53, p14p53, p14 ARFARF
, MDM2), MDM2)
 wntwnt
 ((ββ-catenin-catenin))
 RB1RB1
 ((p16p16 INK4aINK4a
,, p15p15 INK4bINK4b
,, RB1RB1, CDK4,, CDK4,
 cyclin D1)cyclin D1)
Most common altered pathways in HCCMost common altered pathways in HCC
Edamoto et al. Int.J.Cancer 2003.106:334-341Edamoto et al. Int.J.Cancer 2003.106:334-341
Suriawinata A. and Ruliang Xu, Seminars in liver Disease, 2004Suriawinata A. and Ruliang Xu, Seminars in liver Disease, 2004
Classification of tumors of bile duct and gall bladderClassification of tumors of bile duct and gall bladder
originorigin))
Intrahepatic cholangiocarcinoma (ICC)Intrahepatic cholangiocarcinoma (ICC)
(synonim: cholangiocellular carcinoma)(synonim: cholangiocellular carcinoma)
•• peripheralperipheral ((CK7CK7+, CK20-)+, CK20-)
•• hilar (Klatskin tumor)hilar (Klatskin tumor)
from d. hepaticus (bifurcatio)from d. hepaticus (bifurcatio)
(CK7+/CK20+)(CK7+/CK20+)
Extrahepatic bile duct carcinomaExtrahepatic bile duct carcinoma (EBDC)(EBDC)
CK7CK7++
/CK20/CK20++
Gallbladder carcinomaGallbladder carcinoma
CK7CK7++
/CK20/CK20++
ICC osztályozása a májtumor TNM szerint; EBDC osztályozása „saját” TNM szerintICC osztályozása a májtumor TNM szerint; EBDC osztályozása „saját” TNM szerint
Cabibi et al. P.R.P., 2001, 22:114-23; Okuda et al. J. Gastroent.Hepatol. 2002, 17:1049-55Cabibi et al. P.R.P., 2001, 22:114-23; Okuda et al. J. Gastroent.Hepatol. 2002, 17:1049-55
Most common metastaticMost common metastatic
liver tumorsliver tumors
 Gastrointestinal tract, gallbladder,Gastrointestinal tract, gallbladder,
bile ducts , pancreasbile ducts , pancreas
 LungLung
 KidneyKidney
 BreastBreast
 MelanomaMelanoma
 neuroendocrinneuroendocrin
Metastatic liver tumors
Klatskin tumor (Hilar CCC).
Cholangiocellular carcinoma.
Cholangiocellular carcinoma.
Ductus choledocus
Tumor, protruding from the
Liver
Case reportCase report
54 y male54 y male
Jaundice, 3 wJaundice, 3 weekeekss
CT: enlarged tumor like alteration in the headCT: enlarged tumor like alteration in the head
region of the pancreas, multiple foci in theregion of the pancreas, multiple foci in the
liverliver
Liver biopsy (frozen saLiver biopsy (frozen sammple)ple)
Liver
Glandular tumor with fibrotic stroma
DiagnosisDiagnosis
Cholangiocellular (Cholangiocellular (““bile duct”) adenomabile duct”) adenoma
Attention!Attention!
It might mimic CCC or metastatic tumorIt might mimic CCC or metastatic tumor
(especially on frozen section)(especially on frozen section)
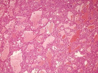
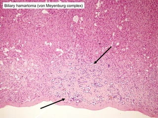
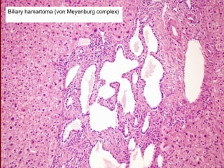
Biliary hamartoma (von Meyenburg complex)
Biliary hamartoma (von Meyenburg complex)
Gallbladder
1. Tumorlike lesions
- inflammatory origin
(polyp, xanthogranulomatous
cholecystitis etc)
- hyperplasia
(papillary, adenomyomatous)
- Heterotopic tissue (pancreas, stomach, endocrin)
- other
Gallbladder
2. Tumors
Benign
- adenoma
- cystadenoma
- papillomatosis
- mesenchymal
Malignant
- epithelial
- adenocarcinoma
- adenosquamosus cc.
- squamosus cc.
- differenciálatlan
- cystadenocarcinoma
- mesenchymal
- endocrin - carcinoid
Gallbladder carcinoma
Gross
- infiltrating
- exophytic
Histology
- adenocarcinoma
Immunohistochem
- CEA
- CA 19-9
Other
- TNM
- occult carcinoma
- in situ carcinoma
Gallbladder cc
Adenocarcinoma
Ductus choledochus carcinoma
Cholangiocellular carcinoma.
Thank you for listening……Thank you for listening……
SURGICALSURGICAL LIVERLIVER andand
BILIARYBILIARY PATHOLOGYPATHOLOGY
of Dr. Florencio C. Dizonof Dr. Florencio C. Dizon
By Dr. Noel C. Santos, M.D.

Liver and Gallbladder Surgical Pathology

  • 1.
    SURGICALSURGICAL LIVERLIVER andand BILIARYBILIARYPATHOLOGYPATHOLOGY of Dr. Florencio C. Dizonof Dr. Florencio C. Dizon By Dr. Noel C. Santos, M.D.
  • 2.
    LIVER PATHOLOGYLIVER PATHOLOGY Focal liver lesionsFocal liver lesions – Tumor-like lesions and tumorsTumor-like lesions and tumors  Liver transplantationLiver transplantation  Diseases of gallbladder and bile ductsDiseases of gallbladder and bile ducts – Diseases of gall bladderDiseases of gall bladder – Diseases of extrahepatic bile ductsDiseases of extrahepatic bile ducts – TumorsTumors
  • 3.
    Focal liver lesionsFocalliver lesions  Tumor-like lesions of the liverTumor-like lesions of the liver – FNHFNH, NRH, mesenchymal hamartoma, cysts,, NRH, mesenchymal hamartoma, cysts, inflammatory pseudotumor, abscessus, infarctusinflammatory pseudotumor, abscessus, infarctus  Benign liver tumorsBenign liver tumors – Non epithelialNon epithelial:: haemangiomahaemangioma, fibroma,, fibroma, angiomyolipoma etcangiomyolipoma etc – EpithelialEpithelial:: adenomaadenoma (HCA, CCA)(HCA, CCA)  Malignant liver tumorsMalignant liver tumors – Non epithelialNon epithelial: haemangiosarcoma, -endothelioma: haemangiosarcoma, -endothelioma embryonal sarcoma, lymphomaembryonal sarcoma, lymphoma – EpithelialEpithelial:: hepatocellular cc, cholangiocellular cc.,hepatocellular cc, cholangiocellular cc., mixed, hepatoblasomamixed, hepatoblasoma
  • 4.
    Classification of livercystsClassification of liver cysts I.I. ParasiticParasitic II.II. Non parasiticNon parasitic A. SoliterA. Soliter B. HerediterB. Herediter 1. Non communitating ductal1. Non communitating ductal 2. DPM („ductal plate malformatio”-2. DPM („ductal plate malformatio”- communitating)communitating) •• CHF (cong. hepatic fibrosis)CHF (cong. hepatic fibrosis) •• ARPKDARPKD •• syndromes (Meckel-Gruber, Ivemark)syndromes (Meckel-Gruber, Ivemark) 3. Isolated hepatic3. Isolated hepatic *Witzleben, G. L., Ruchelli, E.*Witzleben, G. L., Ruchelli, E.
  • 5.
  • 6.
  • 7.
    II. Non parasiticII.Non parasitic C.C. Systemic biliary dilatativeSystemic biliary dilatative 1. Without choledochus cyst1. Without choledochus cyst („simple” Caroli disease)(„simple” Caroli disease) 2. With choledochus cyst2. With choledochus cyst D. OtherD. Other 1.1. Traumatic, infarctusTraumatic, infarctus 2. Duodenal duplication2. Duodenal duplication 3.3. Tumors with cystTumors with cyst •• cystadenoma/-carcinomacystadenoma/-carcinoma •• mesenchymal hamartomamesenchymal hamartoma •• giant cavernous haemangiomagiant cavernous haemangioma •• teratomateratoma •• otherother 4.4. PeliosisPeliosis *Witzleben, G. L., Ruchelli, E.*Witzleben, G. L., Ruchelli, E. Classification of liver cystsClassification of liver cysts
  • 8.
    1 cm Mesenchymal hamartoma(children, benign)
  • 9.
  • 10.
    Tumor-like focal liverlesionsTumor-like focal liver lesions – Focal nodular hyperplasia (FNH)Focal nodular hyperplasia (FNH) – InflammatorInflammatoryy pseudotumorpseudotumor – Mesenchymal hamartomaMesenchymal hamartoma – NoduNodulalar regenerar regeneratitiv hyperplasiav hyperplasia – InfarctInfarct – Granulomas (Boeck, tbc etc)Granulomas (Boeck, tbc etc)
  • 11.
    Focal nodular hyperplasia(FNH) - Female predominance, - Well circumsized, - No capsule - Central scar (fibrous septa radiate, “focal cirrhosis”) - Color (pale, fatty, haemorrhagic etc.) - Bile ducts: numerous, tortuous - Inflammatory cells
  • 12.
  • 13.
    1 cm Focal nodularhyperplasia
  • 14.
    1 cm Focal nodularhyperplasia (cental fibrosis)
  • 15.
  • 16.
    Classification of primaryliverClassification of primary liver tumorstumors Epithelial Hepatocellular adenoma Cholangiocellular adenoma/cystadenoma Biliary papilloma/papillomatosis Hepatocellular carcinoma -Cholangiocellular carcinoma Mixed carcinoma Hepatoblastoma Nonepithelial Haemangioma Angiolipoma/myolipoma Fibroma Haemangiosarcoma Haemangioendothelioma Carcinoid, lymphoma, etc Benign Malignant
  • 17.
    1 cm Haemangioma hepatis (themost common primary liver tumor)
  • 18.
  • 19.
    Hepatocellular adenoma - Femalepredominance - Associated with oral contraceptives, anabolic steroids - Sharply demarcated, - Encapsulated - Homogenous structure, but hemorrhage, necrosis common, - Steatosis, no bile ducts in the tumor
  • 20.
  • 21.
    1 cm Adenoma hepatocellulare(extended bleeding, rupture might occur)
  • 22.
    Cytological smear, HEstain Fine needle aspiration from the liver
  • 23.
    Border of liver andtumor (after formalin fixation).
  • 25.
    Hepatocellula adenoma withextended peliosis. The tumor cells are similar to normal hepatocytes. HE stain
  • 26.
    Classification of primaryliverClassification of primary liver tumorstumors Epithelial Hepatocellular adenoma Cholangiocellular adenoma/cystadenoma Biliary papilloma/papillomatosis Hepatocellular carcinoma -Cholangiocellular carcinoma Mixed carcinoma Hepatoblastoma Nonepithelial Haemangioma Aangiolipoma/myolipoma Fibroma Haemangiosarcoma Haemangioendothelioma Carcinoid, lymphoma, etc Benign Malignant
  • 27.
    Hepatocellular carcinoma - Cirrhosis(70%) - Association with HBV/HCV/alkohol etc - Gross: uneven border, usually no capsule, haemorrhage, necrosis - Hist: trabecular, pseudoglandular (acinar), clear cell, scirrhous, fibrolamellar (grades I-IV) - Progression: infiltration of capsule (if exists), venous invasion
  • 28.
  • 29.
  • 30.
  • 31.
    Different histological typesof HCC HCC, trabecular HCC, pseudoglandular HCC, anaplastic HCC, venous invasion
  • 32.
    Characteristics of HCCCharacteristicsof HCC  5% of malignant tumors5% of malignant tumors  564 000564 000 new cases annuallynew cases annually  (in 2000) and similar death(in 2000) and similar death  Incidence is dubbled in the pastIncidence is dubbled in the past 20 yrs (Japan, USA, Sweden,20 yrs (Japan, USA, Sweden, France)France)  7.7. in malesin males  9.9. in femelsin femels  Characteristic geographyCharacteristic geography  Etiological factors:Etiological factors: HBV, HCVHBV, HCV,, AFB1 (80%), alkohol etcAFB1 (80%), alkohol etc Unknown 35% HBV/HDV 5% HBV 15% HCV 45% Koff RS, et al.Koff RS, et al. ViralViral Hepatitis.Hepatitis. 2nd ed. 1994.2nd ed. 1994.
  • 33.
    HBV, HCV HCC Mutagen effects Cirrhosis! Aflatoxin Fusarium toxin Hepatocarcinogenesis Etiological factors Alcohol Androgens Metabolic diseases Schistosoma
  • 34.
    proto Onkogenes c-myc, N-ras, c-fos HCC Citokines TGF-α,HGF ! IGF-I, IGF-II., TGF-β, Tumor suppressor genes p53, p16, RB Hepatocarcinogenesis LOH 1p,1q, 2q, 4q, 5q, 6q, 9p, 9q, 10q, 11p, 13q, 16p, 16q, 17p, 22/APC Adhesion molecules Integrins, E-cadherin, β-catenin ! Ampl. Chromos- region 1q, 8q
  • 35.
     p53p53  ((p53,p14p53, p14 ARFARF , MDM2), MDM2)  wntwnt  ((ββ-catenin-catenin))  RB1RB1  ((p16p16 INK4aINK4a ,, p15p15 INK4bINK4b ,, RB1RB1, CDK4,, CDK4,  cyclin D1)cyclin D1) Most common altered pathways in HCCMost common altered pathways in HCC Edamoto et al. Int.J.Cancer 2003.106:334-341Edamoto et al. Int.J.Cancer 2003.106:334-341 Suriawinata A. and Ruliang Xu, Seminars in liver Disease, 2004Suriawinata A. and Ruliang Xu, Seminars in liver Disease, 2004
  • 36.
    Classification of tumorsof bile duct and gall bladderClassification of tumors of bile duct and gall bladder originorigin)) Intrahepatic cholangiocarcinoma (ICC)Intrahepatic cholangiocarcinoma (ICC) (synonim: cholangiocellular carcinoma)(synonim: cholangiocellular carcinoma) •• peripheralperipheral ((CK7CK7+, CK20-)+, CK20-) •• hilar (Klatskin tumor)hilar (Klatskin tumor) from d. hepaticus (bifurcatio)from d. hepaticus (bifurcatio) (CK7+/CK20+)(CK7+/CK20+) Extrahepatic bile duct carcinomaExtrahepatic bile duct carcinoma (EBDC)(EBDC) CK7CK7++ /CK20/CK20++ Gallbladder carcinomaGallbladder carcinoma CK7CK7++ /CK20/CK20++ ICC osztályozása a májtumor TNM szerint; EBDC osztályozása „saját” TNM szerintICC osztályozása a májtumor TNM szerint; EBDC osztályozása „saját” TNM szerint Cabibi et al. P.R.P., 2001, 22:114-23; Okuda et al. J. Gastroent.Hepatol. 2002, 17:1049-55Cabibi et al. P.R.P., 2001, 22:114-23; Okuda et al. J. Gastroent.Hepatol. 2002, 17:1049-55
  • 37.
    Most common metastaticMostcommon metastatic liver tumorsliver tumors  Gastrointestinal tract, gallbladder,Gastrointestinal tract, gallbladder, bile ducts , pancreasbile ducts , pancreas  LungLung  KidneyKidney  BreastBreast  MelanomaMelanoma  neuroendocrinneuroendocrin
  • 38.
  • 39.
  • 40.
  • 41.
  • 42.
    Case reportCase report 54y male54 y male Jaundice, 3 wJaundice, 3 weekeekss CT: enlarged tumor like alteration in the headCT: enlarged tumor like alteration in the head region of the pancreas, multiple foci in theregion of the pancreas, multiple foci in the liverliver Liver biopsy (frozen saLiver biopsy (frozen sammple)ple)
  • 43.
  • 44.
  • 45.
    Attention!Attention! It might mimicCCC or metastatic tumorIt might mimic CCC or metastatic tumor (especially on frozen section)(especially on frozen section)
  • 46.
    Biliary hamartoma (vonMeyenburg complex)
  • 47.
    Biliary hamartoma (vonMeyenburg complex)
  • 48.
    Gallbladder 1. Tumorlike lesions -inflammatory origin (polyp, xanthogranulomatous cholecystitis etc) - hyperplasia (papillary, adenomyomatous) - Heterotopic tissue (pancreas, stomach, endocrin) - other
  • 49.
    Gallbladder 2. Tumors Benign - adenoma -cystadenoma - papillomatosis - mesenchymal Malignant - epithelial - adenocarcinoma - adenosquamosus cc. - squamosus cc. - differenciálatlan - cystadenocarcinoma - mesenchymal - endocrin - carcinoid
  • 50.
    Gallbladder carcinoma Gross - infiltrating -exophytic Histology - adenocarcinoma Immunohistochem - CEA - CA 19-9 Other - TNM - occult carcinoma - in situ carcinoma
  • 51.
  • 52.
  • 53.
  • 54.
    Thank you forlistening……Thank you for listening……
  • 55.
    SURGICALSURGICAL LIVERLIVER andand BILIARYBILIARYPATHOLOGYPATHOLOGY of Dr. Florencio C. Dizonof Dr. Florencio C. Dizon By Dr. Noel C. Santos, M.D.