MALIGNANT LESIONS
OF LIVER
Dr. Harshita Saxena
Department of Radiodiagnosis
Sir Ganga Ram Hospital
New Delhi
PRIMARY
 Hepatocytes
o Hepatocellular carcinoma
(HCC)
o Fibrolamellar HCC
o Hepatoblastoma
 Biliary epithelium
o Cholangiocarcinoma
o Cystadenocarcinoma
 Mesenchymal origin
o Angiosarcoma
o Epitheloid
hemangioendothelioma
o Leiomyosarcoma
o Lymphoma
SECONDARY
o Metastatic deposits
o Lymphoma
METASTASIS IS COMMONEST MALIGNANT HEPATIC LESION
In paediatric age group most common malignant
tumors in decreasing order of frequency
 Hepatoblastoma,
 Hepatocellular carcinoma (HCC),
 Undifferentiated (embryonal) sarcoma (UES),
 Angiosarcoma, and
 Embryonal rhabdomyosarcoma.
 Epithelioid hemangioendothelioma (EHE) may also occur in
adolescents.
RadioGraphics 2011; 31:483–507
In a study of 716 cases of pediatric liver tumors submitted to the
Armed Forces Institute of Pathology between 1970 and 1999, Ishak
et al (1)
Hepatocellular Carcinoma
 Most common primary malignancy of the liver
 Male : female > 4 : 1
 Rising incidence, attributed to a rise in hepatitis B and C infection
Risk factors
 hepatitis B (HBV) infection
 hepatitis C (HCV) infection
 alcoholism
 biliary cirrhosis
 food toxins e.g. aflatoxins
 congenital biliary atresia
 inborn errors of metabolism
haemochromatosis
alpha-1 antitrypsin deficiency
type 1 glycogen storage disease
Wilson disease
Clinical presentation
 HCC are typically diagnosed in adults in late middle age or elderly
 Patients with cirrhosis usually present earlier.
 less aggressive - pyrexia of unknown origin, abdominal pain,
malaise, weight loss, and hepatomegaly. Jaundice is rare.
 Aggressive - hemoperitoneum.
Investigation
 alpha-fetoprotein (AFP) levels are elevated in 50-75 % of cases
 Radiological investigation including ultrasound, CT and MRI
 Biopsy
USG
• Variable appearance
• Small (<3cm) usually
hypoechoic
• Larger tumors often are
heterogeneous
• May invade the portal vein
• Most tumors will show central
vascularity on Doppler study.
CT
 Focal calcification -7.5%
 Majority – hyperdense on
arterial phase, as HCCs take
supply from the hepatic artery
rather than portal vein
 Heterogenous enhancement
due to central necrosis
 Arterio portal shunts
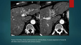
Tumour thrombus shows enhancement on arterial phase, it causes expansion of vessel &
will often show continuity with primary tumour.
In phase
Out phase
If HCC is containing fat :- loss of signal on the out-of-phase image compared with the in-phase image can be seen.
T1 T2
SPIO
RES SPECIFIC CONTRAST
ADMINISTRATION
Ferucarbotran (after 20min)
Pathologically, there are several
variant types of HCC
 clear cell type HCC,
 fibrolamellar HCC,
 sarcomatoid HCC,
 combined HCC–cholangiocarcinoma, and
 sclerosing HCC
Hepatocellular carcinoma variants: radiologic-pathologic
correlation. AJR Am J Roentgenol. 2009 Jul;193(1):W7-13.
Clear cell type HCC
 Abundant cytoplasmic fat is present resulting increased
echogenicity on USG and decreased attenuation on CT.
 Signal drop on opposed-phase T1-weighted MR images.
Sarcomatoid HCC
 is an aggressive variant that grow rapidly, resulting in central
necrosis or hemorrhage
 shows peripheral enhancement with an unenhanced central
portion
Combined HCC-cholangiocarcinoma
 composed of elements from both entities.
 On contrast-enhanced CT and MRI :- the HCC-dominant tumor is
well enhanced in the early phase and washed out in the late phase,
and the cholangiocarcinoma-dominant tumor shows peripheral
and delayed enhancement.
Sclerosing HCC
 characterized by intense fibrosis.
 With remarkable progressive and prolonged enhancement
Fibrolamellar Carcinoma
 usually presents as a single, large, well-demarcated, but
nonencapsulated tumor with fibrous bands and a central
fibrous scar.
 adolescents or young adults.
 The typical risk factors for HCC such as cirrhosis, elevated
alphafetoprotein etc are absent.
On histopathology it is characterized by
laminated fibrous layers, interspersed
between the tumor cells.
 USG:
 as a solitary, well-defined,
lobulated mass with
variable echotexture
 calcification may be
seen(50%)
CT:
 Hypodense mass
 Central scar – Calcification
 Predominant heterogenous enhancement
MRI
ON MRI FLC SHOWS HETEROGENOUS ENHANCEMENT
WITH HYPOINT SCAR WHICH SHOWS DELAYED ENHANCEMENT
FNH v/s FLC
 Central scar of FNH -hyperintense on T2.
 FNH rarely has calcification within the scar.
 While FNH is always very homogeneous, FLC is usually
heterogeneous following contrast administration.
 Fibrolamellar carcinomas do not show significant
enhancement on delayed hepatobiliary phase images after
administration of Gd-BOPTA however FNH appears
hyperintense.
 FLC has relative lack of Kupffer cells, resulting in a photopenic
defect at 99mTc labeled sulfur colloid scanning
 Biopsy
 normal hepatocytes with bile ductules in FNH
 Malignant, eosinophilic hepatocytes in FLC
* American College of Radiology (ACR).
LIRADS
A system of standardized
terminology and criteria to
interpret and report
imaging examinations of
the liver.
LR-3 Intermediate probability
of being HCC
LR-4 Probably HCC
LR-5 Definitely HCC.
OM: Other Malignancy
Cholangiocellular carcinoma
(CCC)
•Metastasis
•Lymphoma,
•Post-transplant
lymphoproliferative disorder
(PTLD)
LR5V: Definitely HCC with
Tumor in vein
The term tumor in vein is
preferred over the term tumor
thrombus
reduction in enhancement resulting in portal
venous phase or delayed phase hypo-
enhancement relative to liver.
Delayed phase
usually should be
acquired at around
3-5 mints
Peripheral rim of smooth hyper-
enhancement in the portal venous
phase or delayed phase that
unequivocally is thicker or more
conspicuous than the rims
surrounding background nodules.
increase in diameter of a mass by a minimum of 5mm AND, depending on the
time interval between examinations, by the following amounts:
o Time interval Diameter increase ≤ 6 months ≥ 50%
o > 6 months ≥ 100%
o A new ≥10mm mass also represents threshold growth, regardless of the time
interval.
AASLD
Criteria
Hepatocellular carcinoma: illustrated guide to systematic radiologic diagnosis and staging according to guidelines of the American Association for the Study of
Liver Diseases. Radiographics. 2013 Oct;33(6):1653-68.
Staging of
Hepatocellular Carcinoma
AASLD advocates use of the BCLC (Barcelona Clinic Liver Cancer )
staging system because it is the only system that encompasses the three
factors that have been shown to be independent predictors of survival :-
 radiologic tumor extent,
 liver function { by using the Child-Turcotte-Pugh (CTP) score} and
 patient’s performance status { by using the Eastern Cooperative Oncology
Group (ECOG) scale}
Radiologic BCLC stage 0 disease is a solitary lesion
that measures less than 2 cm in diameter
portal
hypertension or
hyperbilirubinemia
ABSENT
RESECTION
portal
hypertension or
hyperbilirubinemia
PRESENT
TRANSPLANTATION
Associated
comorbidities
RFA
Radiologic BCLC stage A disease is a solitary lesion that measures
more than 2 cm in diameter or early multifocal disease that consists
of up to three lesions, none of which measure more than 3 cm in
diameter
portal
hypertension or
hyperbilirubinemia
ABSENT
RESECTION
portal
hypertension or
hyperbilirubinemia
PRESENT
TRANSPLANTATION
Associated
comorbidities
RFA
Radiologic BCLC stage B disease is advanced
multifocal disease that consists of more than one
lesion, with at least one that is larger than 3 cm, or
of more than three lesions regardless of size
TACE
Radiologic BCLC stage C disease is
hepatocellular carcinoma with either vascular
invasion or nodal or metastatic disease.
SORAFENIB
BCLC stage D disease is not a radiologic stage. It
is determined only on the basis of poor liver
function and poor patient performance (CTP = C,
ECOG > 2).
Management consist of only supportive therapies
Transplantation criteria widely used
Milan criteria
 presence of a solitary hepatocellular carcinoma <5 cm, or
 up to three separate lesions, each <3 cm.
 no extrahepatic involvement
 no major vessel involvement
HEPATOBLASTOMA
 Most common primary liver tumor in childhood.
 Usually occurs in first 3 yrs of life.
 Present as painless abdominal mass, anorexia, wt loss, pain &
jaundice.
 S.AFP is usually elevated.
 Usually unifocal but multiple nodules or diffuse liver
involvement may be seen. calcification in about 33%.
 Epithelial hepatoblastomas demonstrate a more
homogeneous appearance, while mixed tumors are more
heterogeneous in attenuation.
USG
 large, inhomogeneous echogenic mass sometime
with calcification.
CT
 well defined heterogeneous
hypodense mass. Frequently
with areas of necrosis,
haemorrhage and
calcification.
 Like HCC, hepatoblastoma
can invade the portal or
hepatic veins
Arterial neovascularity can be seen with washout
on delayed scans.
MRI:
 T1: generally hypointense
 C+ (Gd): can show heterogeneous enhancement
 T2 : generally hyperintense compared to liver
 areas of necrosis and haemorrhage are common
Cholangiocarcinoma
 second most common primary hepatic tumour
 usually in the elderly (7th decade).
 There is slight male predilection.
 Elevated tumor markers: CA19-9, CEA
Risk factors • primary sclerosing cholangitis (PSC)
• recurrent pyogenic cholangitis
• liver flukes
• Opisthorchis viverrini
• Clonorchis sinensis (clonorchiasis)
• Caroli's disease/choledochal cysts
• toxins
• thorotrast
• dioxin
• polyvinyl chloride
• heavy alcohol use
• viral infection(s)
• HIV
• hepatitis B and hepatitis C
• EBV
According to
macroscopic growth pattern
 mass-forming
 periductal infiltrating: most common at the hilum
 intraductal: slow growing with better prognosis
Cholangiocarcinoma: pictorial essay of CT and cholangiographic findings. Radiographics. 2002 Jan-Feb;22(1):173-87.
Ultrasound
 Mass-forming intrahepatic: tumours will be homogeneous mass of
intermediate echogenicity with a peripheral hypoechoic halo of
compressed liver.
 are often associated with capsular retraction
 Periductal infiltrating:
 altered calibre bile duct (narrowed or dilated) without a well-
defined mass.
 Intraductal:
 usually ductectasia with or without a visible mass. If a polypoid mass
is seen, it is usually hyperechoic.
 Mass-forming cholangiocarcinomas: are typically homogeneously
low in attenuation on non-contrast scans, and demonstrate
heterogeneous peripheral enhancement with gradual
enhancement centrally.
 capsular retraction may be seen.
 The bile ducts distal to the mass are typically dilated.
 unlike HCC, cholangiocarcinoma only rarely forms a tumour
thrombus .
The lesion appears hyperdense in the
equilibrium phase due to dens fibrous tissue
retaining contrast
Appears hypoint on T1 and hyperint on T2 WI & Shows Heterogeneous predominantly peripheral enhancement which becomes more extensive
and central on the delayed images.
Cystadenocarcinoma
 rare, usually slow growing, multilocular cystic tumors
 in middle-aged women
 Symptoms are related to the mass effect of the
lesion and consist of intermittent pain or biliary
obstruction.
Imaging features
 USG & CT: it appears as a solitary cystic mass with a
well-defined thick fibrous capsule, mural nodules,
internal septa, and rarely capsular calcification.
 Polypoid, pedunculated excrescences
MRI
 fluid-containing multilocular mass, with homogeneous low
signal intensity on T1-weighted images and homogeneous
high signal intensity on T2-weighted images.
PV-phase Gd - enhanced T1w MR
shows enhancement of the capsule
and septa.
ANGIOSARCOMA
 Rare tumor seen in adults of 5th to 7th decade, more common in
men than in women.
 associated with chemical carcinogens exposure including
Thorotrast.
 Metastases are seen in 60% of patients at presentation, the
median survival is only 6 months.
 On USG, either multiple nodules or a solitary mass can be
demonstrated.
 The echotexture of an angiosarcoma varies according to the
degree of internal necrosis and hemorrhage.
Malignant vascular tumors of the liver: radiologic-pathologic correlation.
Radiographics. 1994 Jan;14(1):153-66.
CT
 either single or multiple masses
that are predominantly
hypoattenuating & may contain
foci of calcification
 Dynamic CT findings may mimic
a large hemangioma,
 incomplete filling with contrast
material is the rule.
Hepatic epithelioid
hemangioendothelioma
 Rare malignant hepatic vascular tumour often
incidentally discovered in adults.
Ultrasound
 predominantly hypoechoic; however, can also
have mixed echotexture.
Malignant vascular tumors of the liver: radiologic-pathologic correlation.
Radiographics. 1994 Jan;14(1):153-66.
CT
 Typically seen as multiple hypo-attenuating lesions that
coalesce to form larger confluent hypo-attenuating regions
in a peripheral or subcapsular distribution with peripheral and
progressive centripetal enhancement in larger lesions with
incomplete fill-in on delayed phase images.
 Subcapsular lesion often present with capsular retraction.
MRI
 T1: hypointense lesions
 T2: heterogeneously increased signal intensity.
 Lesions often shows peripheral halo or target
like appearance.
Hepatic lymphoma
can be broadly divided into:
 secondary hepatic involvement with lymphoma:
commonest by far, many tend to be non Hodgkin
lymphoma (NHL)
 primary hepatic lymphoma: extremely rare.
 It may be difficult to differentiate primary vs secondary from
analysis of the liver lesion alone.
CT
 Lesions are generally reported to be hypo attenuating on
CT.
MRI
 T1: hypointense (mild to moderate) relative to liver
 T2: hyperintense relative to liver
 C+ (Gd): transient increased perilesional enhancement is
common.
Metastasis
ADULTS
 Colon
 Stomach
 Pancreas
 Breast
 Lung
Children
 Neuroblastoma
 Wilms tumor
 Leukemia
Metastatic lesions are more common than primary in liver
Hypovascular metastases
 are the most common
 occur in GI tract, lung, breast and head/neck tumors.
 They are detected as hypodense lesions in the late portal venous
phase
 The rim enhancement that occurs represents viable tumor
peripherally.
Hypervascular
metastases
 Renal Cell Carcinoma,
 Thyroid,
 neuroendocrine tumors (islet cell tumors,
carcinoid, pheochromocytoma).
 Melanoma,
 Choriocarcinoma.
Hemorrhagic Liver Metastases
 Colon
 Thyroid
 Breast
 Choriocarcinoma
 Melanoma
 RCC
Metastatic tumor with internal fluid-fluid level (arrow)
suggesting intratumoral hemorrhage.
Published by the University of Washington in the public interest. ISSN
1930-0433
Calcified metastases
 Mucinous CA of GI tract (colon, stomach,
rectum),
 Melanoma
 Ovarian ca.
Cystic metastases
 Mucinous ovarian ca,
 Colonic ca
Main References
 Buetow PC, Buck JL, Ros PR, Goodman ZD. Malignant vascular tumors of the
liver: radiologic-pathologic correlation. Radiographics. 1994 Jan;14(1):153-66.
 McEvoy SH, McCarthy CJ, Lavelle LP, Moran DE, Cantwell CP, Skehan SJ et al.
Hepatocellular carcinoma: illustrated guide to systematic radiologic diagnosis
and staging according to guidelines of the American Association for the
Study of Liver Diseases. Radiographics. 2013 Oct;33(6):1653-68.
 Chung EM, Lattin GE Jr, Cube R, Lewis RB, Marichal-Hernández C, Shawhan R,
Conran RM. From the archives of the AFIP: Pediatric liver masses: radiologic-
pathologic correlation. Part 2. Malignant tumors. Radiographics. 2011 Mar-
Apr;31(2):483-507.
 Chung YE, Park MS, Park YN, Lee HJ, Seok JY, Yu JS, Kim MJ. Hepatocellular
carcinoma variants: radiologic-pathologic correlation. AJR Am J Roentgenol.
2009 Jul;193(1):W7-13.
 McEvoy SH, McCarthy CJ, Lavelle LP, Moran DE, Cantwell CP, Skehan SJ et al.
Hepatocellular carcinoma: illustrated guide to systematic radiologic diagnosis
and staging according to guidelines of the American Association for the
Study of Liver Diseases. Radiographics. 2013 Oct;33(6):1653-68.
 Han JK, Choi BI, Kim AY, An SK, Lee JW, Kim TK et al. Cholangiocarcinoma:
pictorial essay of CT and cholangiographic findings. Radiographics. 2002 Jan-
Feb;22(1):173-87.
 Liver Masses - Common Tumors. Richard Baron. Radiology Assistant.

Malignant liver lesions

  • 1.
    MALIGNANT LESIONS OF LIVER Dr.Harshita Saxena Department of Radiodiagnosis Sir Ganga Ram Hospital New Delhi
  • 2.
    PRIMARY  Hepatocytes o Hepatocellularcarcinoma (HCC) o Fibrolamellar HCC o Hepatoblastoma  Biliary epithelium o Cholangiocarcinoma o Cystadenocarcinoma  Mesenchymal origin o Angiosarcoma o Epitheloid hemangioendothelioma o Leiomyosarcoma o Lymphoma SECONDARY o Metastatic deposits o Lymphoma METASTASIS IS COMMONEST MALIGNANT HEPATIC LESION
  • 3.
    In paediatric agegroup most common malignant tumors in decreasing order of frequency  Hepatoblastoma,  Hepatocellular carcinoma (HCC),  Undifferentiated (embryonal) sarcoma (UES),  Angiosarcoma, and  Embryonal rhabdomyosarcoma.  Epithelioid hemangioendothelioma (EHE) may also occur in adolescents. RadioGraphics 2011; 31:483–507 In a study of 716 cases of pediatric liver tumors submitted to the Armed Forces Institute of Pathology between 1970 and 1999, Ishak et al (1)
  • 4.
    Hepatocellular Carcinoma  Mostcommon primary malignancy of the liver  Male : female > 4 : 1  Rising incidence, attributed to a rise in hepatitis B and C infection
  • 5.
    Risk factors  hepatitisB (HBV) infection  hepatitis C (HCV) infection  alcoholism  biliary cirrhosis  food toxins e.g. aflatoxins  congenital biliary atresia  inborn errors of metabolism haemochromatosis alpha-1 antitrypsin deficiency type 1 glycogen storage disease Wilson disease
  • 6.
    Clinical presentation  HCCare typically diagnosed in adults in late middle age or elderly  Patients with cirrhosis usually present earlier.  less aggressive - pyrexia of unknown origin, abdominal pain, malaise, weight loss, and hepatomegaly. Jaundice is rare.  Aggressive - hemoperitoneum.
  • 7.
    Investigation  alpha-fetoprotein (AFP)levels are elevated in 50-75 % of cases  Radiological investigation including ultrasound, CT and MRI  Biopsy
  • 8.
    USG • Variable appearance •Small (<3cm) usually hypoechoic • Larger tumors often are heterogeneous • May invade the portal vein • Most tumors will show central vascularity on Doppler study.
  • 9.
    CT  Focal calcification-7.5%  Majority – hyperdense on arterial phase, as HCCs take supply from the hepatic artery rather than portal vein  Heterogenous enhancement due to central necrosis
  • 11.
  • 12.
    Tumour thrombus showsenhancement on arterial phase, it causes expansion of vessel & will often show continuity with primary tumour.
  • 14.
    In phase Out phase IfHCC is containing fat :- loss of signal on the out-of-phase image compared with the in-phase image can be seen.
  • 15.
    T1 T2 SPIO RES SPECIFICCONTRAST ADMINISTRATION Ferucarbotran (after 20min)
  • 16.
    Pathologically, there areseveral variant types of HCC  clear cell type HCC,  fibrolamellar HCC,  sarcomatoid HCC,  combined HCC–cholangiocarcinoma, and  sclerosing HCC Hepatocellular carcinoma variants: radiologic-pathologic correlation. AJR Am J Roentgenol. 2009 Jul;193(1):W7-13.
  • 17.
    Clear cell typeHCC  Abundant cytoplasmic fat is present resulting increased echogenicity on USG and decreased attenuation on CT.  Signal drop on opposed-phase T1-weighted MR images.
  • 18.
    Sarcomatoid HCC  isan aggressive variant that grow rapidly, resulting in central necrosis or hemorrhage  shows peripheral enhancement with an unenhanced central portion
  • 19.
    Combined HCC-cholangiocarcinoma  composedof elements from both entities.  On contrast-enhanced CT and MRI :- the HCC-dominant tumor is well enhanced in the early phase and washed out in the late phase, and the cholangiocarcinoma-dominant tumor shows peripheral and delayed enhancement.
  • 20.
    Sclerosing HCC  characterizedby intense fibrosis.  With remarkable progressive and prolonged enhancement
  • 21.
    Fibrolamellar Carcinoma  usuallypresents as a single, large, well-demarcated, but nonencapsulated tumor with fibrous bands and a central fibrous scar.  adolescents or young adults.  The typical risk factors for HCC such as cirrhosis, elevated alphafetoprotein etc are absent. On histopathology it is characterized by laminated fibrous layers, interspersed between the tumor cells.
  • 22.
     USG:  asa solitary, well-defined, lobulated mass with variable echotexture  calcification may be seen(50%)
  • 23.
    CT:  Hypodense mass Central scar – Calcification  Predominant heterogenous enhancement
  • 24.
    MRI ON MRI FLCSHOWS HETEROGENOUS ENHANCEMENT WITH HYPOINT SCAR WHICH SHOWS DELAYED ENHANCEMENT
  • 25.
    FNH v/s FLC Central scar of FNH -hyperintense on T2.  FNH rarely has calcification within the scar.  While FNH is always very homogeneous, FLC is usually heterogeneous following contrast administration.  Fibrolamellar carcinomas do not show significant enhancement on delayed hepatobiliary phase images after administration of Gd-BOPTA however FNH appears hyperintense.  FLC has relative lack of Kupffer cells, resulting in a photopenic defect at 99mTc labeled sulfur colloid scanning  Biopsy  normal hepatocytes with bile ductules in FNH  Malignant, eosinophilic hepatocytes in FLC
  • 26.
    * American Collegeof Radiology (ACR). LIRADS A system of standardized terminology and criteria to interpret and report imaging examinations of the liver. LR-3 Intermediate probability of being HCC LR-4 Probably HCC LR-5 Definitely HCC.
  • 27.
    OM: Other Malignancy Cholangiocellularcarcinoma (CCC) •Metastasis •Lymphoma, •Post-transplant lymphoproliferative disorder (PTLD)
  • 28.
    LR5V: Definitely HCCwith Tumor in vein The term tumor in vein is preferred over the term tumor thrombus
  • 29.
    reduction in enhancementresulting in portal venous phase or delayed phase hypo- enhancement relative to liver. Delayed phase usually should be acquired at around 3-5 mints
  • 30.
    Peripheral rim ofsmooth hyper- enhancement in the portal venous phase or delayed phase that unequivocally is thicker or more conspicuous than the rims surrounding background nodules.
  • 31.
    increase in diameterof a mass by a minimum of 5mm AND, depending on the time interval between examinations, by the following amounts: o Time interval Diameter increase ≤ 6 months ≥ 50% o > 6 months ≥ 100% o A new ≥10mm mass also represents threshold growth, regardless of the time interval.
  • 32.
    AASLD Criteria Hepatocellular carcinoma: illustratedguide to systematic radiologic diagnosis and staging according to guidelines of the American Association for the Study of Liver Diseases. Radiographics. 2013 Oct;33(6):1653-68.
  • 33.
    Staging of Hepatocellular Carcinoma AASLDadvocates use of the BCLC (Barcelona Clinic Liver Cancer ) staging system because it is the only system that encompasses the three factors that have been shown to be independent predictors of survival :-  radiologic tumor extent,  liver function { by using the Child-Turcotte-Pugh (CTP) score} and  patient’s performance status { by using the Eastern Cooperative Oncology Group (ECOG) scale}
  • 34.
    Radiologic BCLC stage0 disease is a solitary lesion that measures less than 2 cm in diameter portal hypertension or hyperbilirubinemia ABSENT RESECTION portal hypertension or hyperbilirubinemia PRESENT TRANSPLANTATION Associated comorbidities RFA
  • 35.
    Radiologic BCLC stageA disease is a solitary lesion that measures more than 2 cm in diameter or early multifocal disease that consists of up to three lesions, none of which measure more than 3 cm in diameter portal hypertension or hyperbilirubinemia ABSENT RESECTION portal hypertension or hyperbilirubinemia PRESENT TRANSPLANTATION Associated comorbidities RFA
  • 36.
    Radiologic BCLC stageB disease is advanced multifocal disease that consists of more than one lesion, with at least one that is larger than 3 cm, or of more than three lesions regardless of size TACE
  • 37.
    Radiologic BCLC stageC disease is hepatocellular carcinoma with either vascular invasion or nodal or metastatic disease. SORAFENIB
  • 38.
    BCLC stage Ddisease is not a radiologic stage. It is determined only on the basis of poor liver function and poor patient performance (CTP = C, ECOG > 2). Management consist of only supportive therapies
  • 39.
    Transplantation criteria widelyused Milan criteria  presence of a solitary hepatocellular carcinoma <5 cm, or  up to three separate lesions, each <3 cm.  no extrahepatic involvement  no major vessel involvement
  • 40.
    HEPATOBLASTOMA  Most commonprimary liver tumor in childhood.  Usually occurs in first 3 yrs of life.  Present as painless abdominal mass, anorexia, wt loss, pain & jaundice.  S.AFP is usually elevated.  Usually unifocal but multiple nodules or diffuse liver involvement may be seen. calcification in about 33%.  Epithelial hepatoblastomas demonstrate a more homogeneous appearance, while mixed tumors are more heterogeneous in attenuation.
  • 41.
    USG  large, inhomogeneousechogenic mass sometime with calcification.
  • 42.
    CT  well definedheterogeneous hypodense mass. Frequently with areas of necrosis, haemorrhage and calcification.  Like HCC, hepatoblastoma can invade the portal or hepatic veins Arterial neovascularity can be seen with washout on delayed scans.
  • 43.
    MRI:  T1: generallyhypointense  C+ (Gd): can show heterogeneous enhancement  T2 : generally hyperintense compared to liver  areas of necrosis and haemorrhage are common
  • 44.
    Cholangiocarcinoma  second mostcommon primary hepatic tumour  usually in the elderly (7th decade).  There is slight male predilection.  Elevated tumor markers: CA19-9, CEA
  • 45.
    Risk factors •primary sclerosing cholangitis (PSC) • recurrent pyogenic cholangitis • liver flukes • Opisthorchis viverrini • Clonorchis sinensis (clonorchiasis) • Caroli's disease/choledochal cysts • toxins • thorotrast • dioxin • polyvinyl chloride • heavy alcohol use • viral infection(s) • HIV • hepatitis B and hepatitis C • EBV
  • 46.
    According to macroscopic growthpattern  mass-forming  periductal infiltrating: most common at the hilum  intraductal: slow growing with better prognosis Cholangiocarcinoma: pictorial essay of CT and cholangiographic findings. Radiographics. 2002 Jan-Feb;22(1):173-87.
  • 47.
    Ultrasound  Mass-forming intrahepatic:tumours will be homogeneous mass of intermediate echogenicity with a peripheral hypoechoic halo of compressed liver.  are often associated with capsular retraction  Periductal infiltrating:  altered calibre bile duct (narrowed or dilated) without a well- defined mass.  Intraductal:  usually ductectasia with or without a visible mass. If a polypoid mass is seen, it is usually hyperechoic.
  • 48.
     Mass-forming cholangiocarcinomas:are typically homogeneously low in attenuation on non-contrast scans, and demonstrate heterogeneous peripheral enhancement with gradual enhancement centrally.  capsular retraction may be seen.  The bile ducts distal to the mass are typically dilated.  unlike HCC, cholangiocarcinoma only rarely forms a tumour thrombus . The lesion appears hyperdense in the equilibrium phase due to dens fibrous tissue retaining contrast
  • 49.
    Appears hypoint onT1 and hyperint on T2 WI & Shows Heterogeneous predominantly peripheral enhancement which becomes more extensive and central on the delayed images.
  • 50.
    Cystadenocarcinoma  rare, usuallyslow growing, multilocular cystic tumors  in middle-aged women  Symptoms are related to the mass effect of the lesion and consist of intermittent pain or biliary obstruction.
  • 51.
    Imaging features  USG& CT: it appears as a solitary cystic mass with a well-defined thick fibrous capsule, mural nodules, internal septa, and rarely capsular calcification.  Polypoid, pedunculated excrescences
  • 52.
    MRI  fluid-containing multilocularmass, with homogeneous low signal intensity on T1-weighted images and homogeneous high signal intensity on T2-weighted images. PV-phase Gd - enhanced T1w MR shows enhancement of the capsule and septa.
  • 53.
    ANGIOSARCOMA  Rare tumorseen in adults of 5th to 7th decade, more common in men than in women.  associated with chemical carcinogens exposure including Thorotrast.  Metastases are seen in 60% of patients at presentation, the median survival is only 6 months.  On USG, either multiple nodules or a solitary mass can be demonstrated.  The echotexture of an angiosarcoma varies according to the degree of internal necrosis and hemorrhage. Malignant vascular tumors of the liver: radiologic-pathologic correlation. Radiographics. 1994 Jan;14(1):153-66.
  • 54.
    CT  either singleor multiple masses that are predominantly hypoattenuating & may contain foci of calcification  Dynamic CT findings may mimic a large hemangioma,  incomplete filling with contrast material is the rule.
  • 56.
    Hepatic epithelioid hemangioendothelioma  Raremalignant hepatic vascular tumour often incidentally discovered in adults. Ultrasound  predominantly hypoechoic; however, can also have mixed echotexture. Malignant vascular tumors of the liver: radiologic-pathologic correlation. Radiographics. 1994 Jan;14(1):153-66.
  • 57.
    CT  Typically seenas multiple hypo-attenuating lesions that coalesce to form larger confluent hypo-attenuating regions in a peripheral or subcapsular distribution with peripheral and progressive centripetal enhancement in larger lesions with incomplete fill-in on delayed phase images.  Subcapsular lesion often present with capsular retraction.
  • 58.
    MRI  T1: hypointenselesions  T2: heterogeneously increased signal intensity.  Lesions often shows peripheral halo or target like appearance.
  • 59.
    Hepatic lymphoma can bebroadly divided into:  secondary hepatic involvement with lymphoma: commonest by far, many tend to be non Hodgkin lymphoma (NHL)  primary hepatic lymphoma: extremely rare.  It may be difficult to differentiate primary vs secondary from analysis of the liver lesion alone. CT  Lesions are generally reported to be hypo attenuating on CT. MRI  T1: hypointense (mild to moderate) relative to liver  T2: hyperintense relative to liver  C+ (Gd): transient increased perilesional enhancement is common.
  • 60.
    Metastasis ADULTS  Colon  Stomach Pancreas  Breast  Lung Children  Neuroblastoma  Wilms tumor  Leukemia Metastatic lesions are more common than primary in liver
  • 61.
    Hypovascular metastases  arethe most common  occur in GI tract, lung, breast and head/neck tumors.  They are detected as hypodense lesions in the late portal venous phase  The rim enhancement that occurs represents viable tumor peripherally.
  • 62.
    Hypervascular metastases  Renal CellCarcinoma,  Thyroid,  neuroendocrine tumors (islet cell tumors, carcinoid, pheochromocytoma).  Melanoma,  Choriocarcinoma.
  • 63.
    Hemorrhagic Liver Metastases Colon  Thyroid  Breast  Choriocarcinoma  Melanoma  RCC Metastatic tumor with internal fluid-fluid level (arrow) suggesting intratumoral hemorrhage. Published by the University of Washington in the public interest. ISSN 1930-0433
  • 64.
    Calcified metastases  MucinousCA of GI tract (colon, stomach, rectum),  Melanoma  Ovarian ca.
  • 65.
    Cystic metastases  Mucinousovarian ca,  Colonic ca
  • 66.
    Main References  BuetowPC, Buck JL, Ros PR, Goodman ZD. Malignant vascular tumors of the liver: radiologic-pathologic correlation. Radiographics. 1994 Jan;14(1):153-66.  McEvoy SH, McCarthy CJ, Lavelle LP, Moran DE, Cantwell CP, Skehan SJ et al. Hepatocellular carcinoma: illustrated guide to systematic radiologic diagnosis and staging according to guidelines of the American Association for the Study of Liver Diseases. Radiographics. 2013 Oct;33(6):1653-68.  Chung EM, Lattin GE Jr, Cube R, Lewis RB, Marichal-Hernández C, Shawhan R, Conran RM. From the archives of the AFIP: Pediatric liver masses: radiologic- pathologic correlation. Part 2. Malignant tumors. Radiographics. 2011 Mar- Apr;31(2):483-507.  Chung YE, Park MS, Park YN, Lee HJ, Seok JY, Yu JS, Kim MJ. Hepatocellular carcinoma variants: radiologic-pathologic correlation. AJR Am J Roentgenol. 2009 Jul;193(1):W7-13.  McEvoy SH, McCarthy CJ, Lavelle LP, Moran DE, Cantwell CP, Skehan SJ et al. Hepatocellular carcinoma: illustrated guide to systematic radiologic diagnosis and staging according to guidelines of the American Association for the Study of Liver Diseases. Radiographics. 2013 Oct;33(6):1653-68.  Han JK, Choi BI, Kim AY, An SK, Lee JW, Kim TK et al. Cholangiocarcinoma: pictorial essay of CT and cholangiographic findings. Radiographics. 2002 Jan- Feb;22(1):173-87.  Liver Masses - Common Tumors. Richard Baron. Radiology Assistant.