Image guidance in Neurosurgery Towards improved quality and consistency in patient care   Deepak Agrawal Assist Prof, Department of Neurosurgery All India Institute of Medical Sciences, New Delhi
NEURONAVIGATION (IG SURGERY) A step towards consistency in surgical results Improves the quality of neurosurgical output in a centre Increases accuracy of the procedure
OBSTACLES High initial purchase cost Learning curve Cost of disposables (fiducials)
INITIAL PURCHASE COSTS Initial systems cost upto US$ 500000 AIIMS was the first centre in India to have IG system (Stealthstation) in India in 1998
MANTAINANCE COSTS Can be nearly 10% of capital cost every yr Nowadays maintenance contracts 5-10 yrs built into the initial purchase cost
LEARNING CURVE Initially added 2-3hrs to the operating time Systems are getting more user friendly With experience, only 15-20 minutes are needed to set up the system
COST OF DISPOSABLES Propriety item. Set of 10 fiducials costs $100
AIMS & OBJECTIVES To assess Vitamin E capsules as fiducials for IG neurosurgery Compare the accuracy of registration of Vitamin E capsules and proprietary fiducials
Materials & Methods INTERNAL VALIDATION Overall accuracy of registration (OAR) in mm (automatically calculated by stealthstation) OAR compared for Vitamin E & proprietary fiducials
Materials & Methods External Validation Accuracy physically checked by touching known bony points
 
VITAMIN E CAPSULES Easily available Extremely cheap Easy to apply Dab area with Tinc Benzoin Tape the capsule with leukoplast/ dynapore Easy to register
 
VITAMIN E CAPSULES
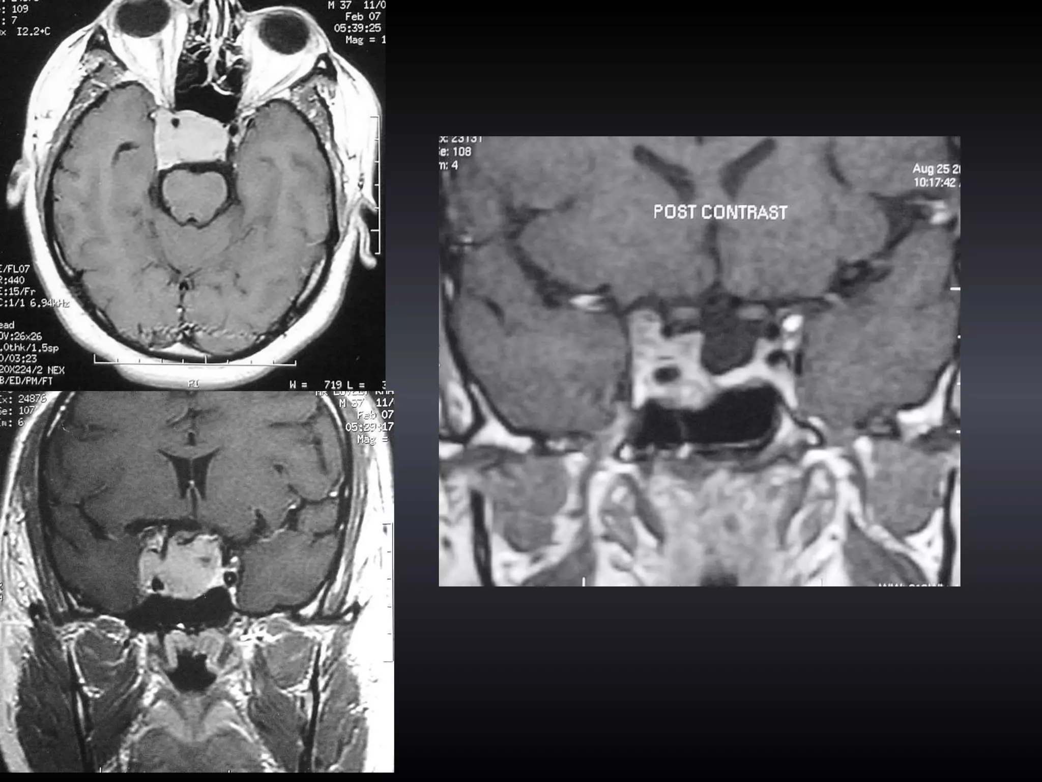
MPRAGE
 
FLAIR T2 FATSAT
OBSERVATIONS Vitamin E group  -23 pts over 6 months Regular fiducials group-  22 historical controls over 6 months prior to introduction of vitamin E
RESULTS (Overall Accuracy of registration {OAR}) Vitamin E- 23 pts  Mean OAR- 1.84 mm (1.2- 2.8 mm) Regular Fiducials- 22 pts Mean OAR- 2.41 mm (2.1-2.9 mm).
In spite of availability of image guidance (neuronavigation) at major centers around the world, most trans-sphenoidal surgeries for pituitary adenomas continue to be done under fluoroscopic control.
FLOUROSCOPY (Image intensifier) Limitations Radiation exposure Only 2D images available Inability to confirm midline access to sella Relationship of critical structures like carotid artery is not known Lead aprons- surgeon fatigue Image Guidance in Trans-sphenoidal surgery
IMAGE GUIDANCE ADVANTAGES Exquisite 3D visualization of midline & carotid arteries Not affected by brain shift Almost real time guidance None of the disadv of fluoroscopy Frees up X-ray machine Image Guidance in Trans-sphenoidal surgery
 
AIMS & OBJECTIVES To study the utility of image guidance in trans-sphenoidal surgeries for pituitary adenomas in a tertiary care teaching hospital  Image Guidance in Trans-sphenoidal surgery
MATERIALS & METHODS Prospective study carried out over a 5 month period All surgeries were done under image-guidance only & no fluoroscopy was employed.  Image Guidance in Trans-sphenoidal surgery
MATERIALS & METHODS Parameters Assessed Time to set up IG in OR Overall accuracy of registration (OAR) Midline access Visualization of carotid arteries intra-operative complications Image Guidance in Trans-sphenoidal surgery
MATERIALS & METHODS All patients had a contrast CT of the head done within 48 hours of surgery to see for residual tumor.  Image Guidance in Trans-sphenoidal surgery
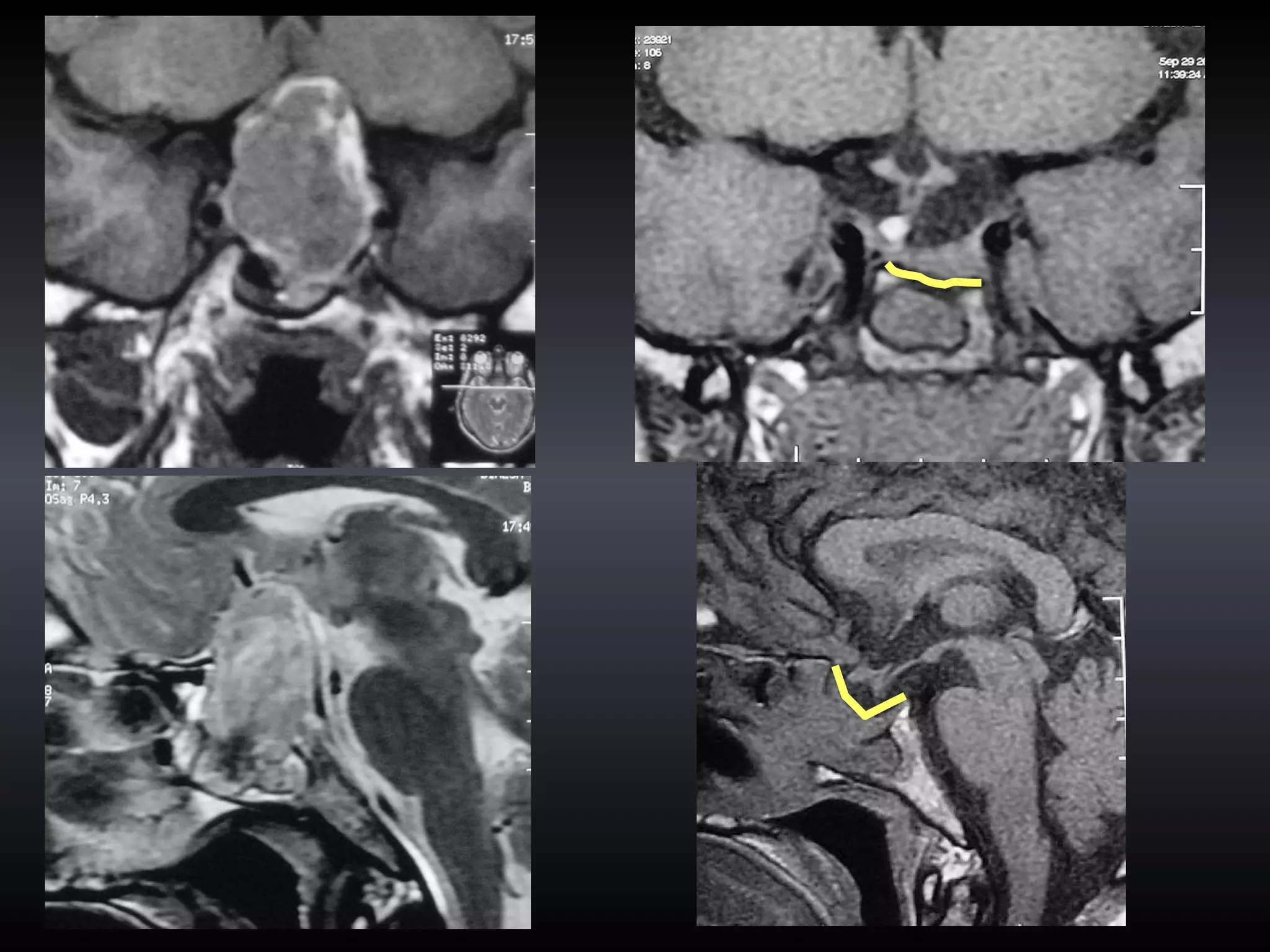
TECHNIQUE Image Guidance in Trans-sphenoidal surgery
TECHNIQUE
TECHNIQUE Image Guidance in Trans-sphenoidal surgery
TECHNIQUE Image Guidance in Trans-sphenoidal surgery
TECHNIQUE Image Guidance in Trans-sphenoidal surgery
TECHNIQUE
TECHNIQUE Image Guidance in Trans-sphenoidal surgery
OBSERVATIONS Seven pts underwent IG pit ad surgery Three patients had giant Pit ad Two had recurrent/residual disease Image Guidance in Trans-sphenoidal surgery
OBSERVATIONS 3 patients (all giant tumors) non-contrast MR images were used in for image guidance and contrast CT images were used in the rest  Image Guidance in Trans-sphenoidal surgery
RESULTS mean set up time for image-guidance was 12 minutes (range 7-17 minutes) mean ‘overall accuracy of registration’ was 1.6 mm (range 1.4-2.1 mm) mean operating time was 68 minutes (range 47-84 minutes)  Image Guidance in Trans-sphenoidal surgery
RESULTS In all cases the midline and the relation of the carotid artery to the sella could be confirmed using IG IG greatly helped in increasing the bony opening laterally Image Guidance in Trans-sphenoidal surgery
RESULTS No intra-operative or post-operative complications in any of the patients.  Image Guidance in Trans-sphenoidal surgery
RESULTS Postoperative scans Complete (grade 1) removal -3 pts. Residual tumor -4 pts. Image Guidance in Trans-sphenoidal surgery
 
SPECIAL ADVANTAGES Recurrent/Residual tumors Fibrous Tumors All trans-sphenoidal procedures Residency Programs
CONCLUSIONS Image guidance markedly improves the visualization of sellar floor and its relation to the carotid arteries Improves the safety and quality of the surgical procedure Free of limitations of fluoroscopy  Image Guidance in Trans-sphenoidal surgery
CONCLUSIONS Vitamin E capsules serve as excellent fiducials for image guided neurosurgery Save more than 99% costs on the disposables Improve accuracy of the procedure as scalp movement is diminished
THANK YOU For want of a nail the shoe was lost,  For want of a shoe the horse was lost,  For want of a horse the rider was lost,  For want of a rider the battle was lost,  For want of a battle the Kingdom was lost,  And all for the want of a horseshoe nail.

Image guidance in neurosurgery

  • 1.
    Image guidance inNeurosurgery Towards improved quality and consistency in patient care Deepak Agrawal Assist Prof, Department of Neurosurgery All India Institute of Medical Sciences, New Delhi
  • 2.
    NEURONAVIGATION (IG SURGERY)A step towards consistency in surgical results Improves the quality of neurosurgical output in a centre Increases accuracy of the procedure
  • 3.
    OBSTACLES High initialpurchase cost Learning curve Cost of disposables (fiducials)
  • 4.
    INITIAL PURCHASE COSTSInitial systems cost upto US$ 500000 AIIMS was the first centre in India to have IG system (Stealthstation) in India in 1998
  • 5.
    MANTAINANCE COSTS Canbe nearly 10% of capital cost every yr Nowadays maintenance contracts 5-10 yrs built into the initial purchase cost
  • 6.
    LEARNING CURVE Initiallyadded 2-3hrs to the operating time Systems are getting more user friendly With experience, only 15-20 minutes are needed to set up the system
  • 7.
    COST OF DISPOSABLESPropriety item. Set of 10 fiducials costs $100
  • 8.
    AIMS & OBJECTIVESTo assess Vitamin E capsules as fiducials for IG neurosurgery Compare the accuracy of registration of Vitamin E capsules and proprietary fiducials
  • 9.
    Materials & MethodsINTERNAL VALIDATION Overall accuracy of registration (OAR) in mm (automatically calculated by stealthstation) OAR compared for Vitamin E & proprietary fiducials
  • 10.
    Materials & MethodsExternal Validation Accuracy physically checked by touching known bony points
  • 11.
  • 12.
    VITAMIN E CAPSULESEasily available Extremely cheap Easy to apply Dab area with Tinc Benzoin Tape the capsule with leukoplast/ dynapore Easy to register
  • 13.
  • 14.
  • 15.
  • 16.
  • 17.
  • 18.
    OBSERVATIONS Vitamin Egroup -23 pts over 6 months Regular fiducials group- 22 historical controls over 6 months prior to introduction of vitamin E
  • 19.
    RESULTS (Overall Accuracyof registration {OAR}) Vitamin E- 23 pts Mean OAR- 1.84 mm (1.2- 2.8 mm) Regular Fiducials- 22 pts Mean OAR- 2.41 mm (2.1-2.9 mm).
  • 20.
    In spite ofavailability of image guidance (neuronavigation) at major centers around the world, most trans-sphenoidal surgeries for pituitary adenomas continue to be done under fluoroscopic control.
  • 21.
    FLOUROSCOPY (Image intensifier)Limitations Radiation exposure Only 2D images available Inability to confirm midline access to sella Relationship of critical structures like carotid artery is not known Lead aprons- surgeon fatigue Image Guidance in Trans-sphenoidal surgery
  • 22.
    IMAGE GUIDANCE ADVANTAGESExquisite 3D visualization of midline & carotid arteries Not affected by brain shift Almost real time guidance None of the disadv of fluoroscopy Frees up X-ray machine Image Guidance in Trans-sphenoidal surgery
  • 23.
  • 24.
    AIMS & OBJECTIVESTo study the utility of image guidance in trans-sphenoidal surgeries for pituitary adenomas in a tertiary care teaching hospital Image Guidance in Trans-sphenoidal surgery
  • 25.
    MATERIALS & METHODSProspective study carried out over a 5 month period All surgeries were done under image-guidance only & no fluoroscopy was employed. Image Guidance in Trans-sphenoidal surgery
  • 26.
    MATERIALS & METHODSParameters Assessed Time to set up IG in OR Overall accuracy of registration (OAR) Midline access Visualization of carotid arteries intra-operative complications Image Guidance in Trans-sphenoidal surgery
  • 27.
    MATERIALS & METHODSAll patients had a contrast CT of the head done within 48 hours of surgery to see for residual tumor. Image Guidance in Trans-sphenoidal surgery
  • 28.
    TECHNIQUE Image Guidancein Trans-sphenoidal surgery
  • 29.
  • 30.
    TECHNIQUE Image Guidancein Trans-sphenoidal surgery
  • 31.
    TECHNIQUE Image Guidancein Trans-sphenoidal surgery
  • 32.
    TECHNIQUE Image Guidancein Trans-sphenoidal surgery
  • 33.
  • 34.
    TECHNIQUE Image Guidancein Trans-sphenoidal surgery
  • 35.
    OBSERVATIONS Seven ptsunderwent IG pit ad surgery Three patients had giant Pit ad Two had recurrent/residual disease Image Guidance in Trans-sphenoidal surgery
  • 36.
    OBSERVATIONS 3 patients(all giant tumors) non-contrast MR images were used in for image guidance and contrast CT images were used in the rest Image Guidance in Trans-sphenoidal surgery
  • 37.
    RESULTS mean setup time for image-guidance was 12 minutes (range 7-17 minutes) mean ‘overall accuracy of registration’ was 1.6 mm (range 1.4-2.1 mm) mean operating time was 68 minutes (range 47-84 minutes) Image Guidance in Trans-sphenoidal surgery
  • 38.
    RESULTS In allcases the midline and the relation of the carotid artery to the sella could be confirmed using IG IG greatly helped in increasing the bony opening laterally Image Guidance in Trans-sphenoidal surgery
  • 39.
    RESULTS No intra-operativeor post-operative complications in any of the patients. Image Guidance in Trans-sphenoidal surgery
  • 40.
    RESULTS Postoperative scansComplete (grade 1) removal -3 pts. Residual tumor -4 pts. Image Guidance in Trans-sphenoidal surgery
  • 41.
  • 42.
    SPECIAL ADVANTAGES Recurrent/Residualtumors Fibrous Tumors All trans-sphenoidal procedures Residency Programs
  • 43.
    CONCLUSIONS Image guidancemarkedly improves the visualization of sellar floor and its relation to the carotid arteries Improves the safety and quality of the surgical procedure Free of limitations of fluoroscopy Image Guidance in Trans-sphenoidal surgery
  • 44.
    CONCLUSIONS Vitamin Ecapsules serve as excellent fiducials for image guided neurosurgery Save more than 99% costs on the disposables Improve accuracy of the procedure as scalp movement is diminished
  • 45.
    THANK YOU Forwant of a nail the shoe was lost, For want of a shoe the horse was lost, For want of a horse the rider was lost, For want of a rider the battle was lost, For want of a battle the Kingdom was lost, And all for the want of a horseshoe nail.