HSG & FISTULOGRAM
PRESENTOR: DR VIMALA
MODERATOR: DR BHAGYA LAKSHMI
ASSISTANT PROFESSOR
HYSTEROSALPINGOGRAPHY(HSG)
• It is the radiograhic evaluation of uterine
cavity and fallopian tubes
after administration of radio-opaque material
through the cervical canal
• Important radiologic procedure in the
investigation of infertility
• Demonstrates the morphology of uterine
cavity, the lumina and the patency of fallopian
tubes
• INDICATIONS
• infertility (primary/secondary)- most common
indication
• Recurrent abortion
• Pelvic pain
• Prior to or after tubal surgery, tubal recanalization
• Prior to Rx with assisted reproductive techniques
• Congenital abnormalities/ anatomic variants
• Uterine or tubal lesion
• CONTRAINDICATIONS
• suspected pregnancy
• Acute pelvic infection
• Acute vaginal bleeding
• Recent dilation and curettage
• Tubal or uterine surgery in last 6 wks
• Contrast sensitivity
• CONTRAST MEDIUM
• High osmolar contrast medium –
diatrizoate(urograffin) or
• low osmolar contrast medium-
iopamidol,iohexol(omnipaque)
• 270/300mg /ml- 10 to 20ml
• Hsg done in preovulatory phase: day 6-day 10
• If pt has cycles longer than 28 days- stretched
to 12-13 days
• If pt has irregular cycles or absent mensus,
pregnancy test before hsg recommended
• Apprehensive pt may need premedication
• Consent should be obtained
• INSTRUMENTS AND ACCESSORIES
• Sterile disposable hsg tray
vaginalspeculum,
vulsellum forceps,
HSG balloon cathetors(5F to 7F)
hsg cannula(leech wilkinson canula),
• Fluoroscopy unit with spot film device
• Contrast media
• Lubricating jelly
• TECHNIQUE
• The pt is placed supine with knees flexed and legs abducted
• Vulva cleaned with chlorhexidine or saline.
• Speculum is then placed using sterile jelly and cervix is
exposed.
• Hsg canula/ cathetor is inserted in to cervical canal
(vulsellum forceps to hold the cervix)
• Care taken to expel all air bubbles from syringe/cannula
• Spasm of the uterine cornua relieved by intravenous
glucagon
• CONTRAST INSTILLATION
• Water soluble iodinated contrast media
• 5ml to fill uterine cavity and additional 5ml to
fill uterine cavity
• Contrast diluted in ratio 2:1
• Contrast slowly injected over 1 min and
radigraphs taken
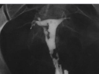
IMAGES should demonstrate
1) Full view of uterine cavity
2)Full view of fallopian tubes
3)Delayed view may be taken if there is
abnormal loculation of contrast
After end of procedure- antibiotic course and
inform vaginal spotting for 1-2 days
• Findings on HSG
• 1) Tubal blockages:
proximal/midsegmental/distal
• 2)mullerian malformations
• 3)Filling defects:
submucosal fibroids,polyps, ashermans
syndrome
Detectable pathologies
Uterine
• Uterine anomaly
• Fibroid(submucosal)
• Adenomyosis
• Endometrial polyp
• Intrauterine
ashesions/synechia
tubal
• Tubal block
• Tubal spasm
• Tubal polyp
• Hydrosalpinx
• Salpingitis isthmic nodosum
• Peritubal adhesions
Unicornuate uterus
Didelphys uterus
Bicornuate uterus
SEPTATE UTERUS
• Intercornual angle- <75
• Intercornual distance <2cm
BICORNUATE UTERUS
• Intercornual angle ->105
• Intercornual distance 2-4cm
Arcuate uterus
Hypoplastic uterus
Pseudo-unicornuate/true unicornuate
• HSG Findings in genital tube
-lead pipe appearance
-beaded appearance
-tobacco pouch appearance
-golf stick appearance
-cotton wool appearance
-cobble stone appearance
Cloudy sign
tobacco pouch appearence
• Broad filling defect, smooth regular outline:
polyp/fibroid
• Multiple irregular filling defects (moth eaten
appearance)- uterine adhesions-ashermans
syndrome
• Hydrosalpinx
• Common cause- salpingitis
• Distal tubal occlusion- dilatation of proximal
segment
Uterine cancer
• COMPLICATIONS
• Mild discomfort/pain
• Mild vaginal spotting
• Pelvic infection- serious complication
• Allergic reaction
• Venous or lymphatic intravasation of contrast
media
• DRAWBACKS
• Cannot see exterior of tube and contour of
uterus
• Sometimes due to pain on passage of dye-
cornual spasm- b/l cornual block
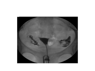
FISTULOGRAM
• A sinogram or fistulogram is a special x-ray
procedure , to visualize abnormal passage-
fistula/sinus in body
• following the injection of contrast media
• INDICATIONS
• Development of a sinus or fistula
• Route or extent of sinus or fistula
• Inorder to identify out which organs are
involved
• CONTRAINDICATIONS
-Pt suffering with pyrexia
-Severe localized infection
• ACCESSORIES AND DRUGS REQUIRED
• Iv cannula
• Dressing material
• Skin aseptic precautions
• Local anaesthetic injection
• A low osmolar contrast medium
• Disposable syringe
• TECHNIQUE
• A preliminary film taken- to exclude foreign
body
• The pt lines supine with opening of
sinus/fistula uppermost
• The surrounding skin should be aseptic
-If discharge of pus/mucous- then only contrast
injected
-If drainage tube is insitu-introduced through it
or cannula of appropriate size is inserted through
orifice
-gauze pad around site of entry to prevent reflex
-sufficient quantity of water soluble contrast- to
outline the extent of lesion
• FILMING
• Generally two images taken at right angles to
each other
• 1. AP or PA
• 2. LATERAL
• AFTERCARE
• Take care of sinus or fistula to avoid bacterial
infections and further complication of wound
• COMPLICATIONS
• Common risks- perforation of sinus/fistula
opening, bruising or infection from tube insertion
• Less common- allergic reactions
Tracheo-oesophageal fistula
Rectovaginal fistula
63
THANK YOU

HSG AND FISTULOGRAM.pptx

  • 1.
    HSG & FISTULOGRAM PRESENTOR:DR VIMALA MODERATOR: DR BHAGYA LAKSHMI ASSISTANT PROFESSOR
  • 2.
    HYSTEROSALPINGOGRAPHY(HSG) • It isthe radiograhic evaluation of uterine cavity and fallopian tubes after administration of radio-opaque material through the cervical canal
  • 3.
    • Important radiologicprocedure in the investigation of infertility • Demonstrates the morphology of uterine cavity, the lumina and the patency of fallopian tubes
  • 4.
    • INDICATIONS • infertility(primary/secondary)- most common indication • Recurrent abortion • Pelvic pain • Prior to or after tubal surgery, tubal recanalization • Prior to Rx with assisted reproductive techniques • Congenital abnormalities/ anatomic variants • Uterine or tubal lesion
  • 5.
    • CONTRAINDICATIONS • suspectedpregnancy • Acute pelvic infection • Acute vaginal bleeding • Recent dilation and curettage • Tubal or uterine surgery in last 6 wks • Contrast sensitivity
  • 6.
    • CONTRAST MEDIUM •High osmolar contrast medium – diatrizoate(urograffin) or • low osmolar contrast medium- iopamidol,iohexol(omnipaque) • 270/300mg /ml- 10 to 20ml
  • 7.
    • Hsg donein preovulatory phase: day 6-day 10 • If pt has cycles longer than 28 days- stretched to 12-13 days • If pt has irregular cycles or absent mensus, pregnancy test before hsg recommended • Apprehensive pt may need premedication • Consent should be obtained
  • 8.
    • INSTRUMENTS ANDACCESSORIES • Sterile disposable hsg tray vaginalspeculum, vulsellum forceps, HSG balloon cathetors(5F to 7F) hsg cannula(leech wilkinson canula), • Fluoroscopy unit with spot film device • Contrast media • Lubricating jelly
  • 9.
    • TECHNIQUE • Thept is placed supine with knees flexed and legs abducted • Vulva cleaned with chlorhexidine or saline. • Speculum is then placed using sterile jelly and cervix is exposed. • Hsg canula/ cathetor is inserted in to cervical canal (vulsellum forceps to hold the cervix) • Care taken to expel all air bubbles from syringe/cannula • Spasm of the uterine cornua relieved by intravenous glucagon
  • 10.
    • CONTRAST INSTILLATION •Water soluble iodinated contrast media • 5ml to fill uterine cavity and additional 5ml to fill uterine cavity • Contrast diluted in ratio 2:1 • Contrast slowly injected over 1 min and radigraphs taken
  • 11.
    IMAGES should demonstrate 1)Full view of uterine cavity 2)Full view of fallopian tubes 3)Delayed view may be taken if there is abnormal loculation of contrast After end of procedure- antibiotic course and inform vaginal spotting for 1-2 days
  • 12.
    • Findings onHSG • 1) Tubal blockages: proximal/midsegmental/distal • 2)mullerian malformations • 3)Filling defects: submucosal fibroids,polyps, ashermans syndrome
  • 16.
    Detectable pathologies Uterine • Uterineanomaly • Fibroid(submucosal) • Adenomyosis • Endometrial polyp • Intrauterine ashesions/synechia tubal • Tubal block • Tubal spasm • Tubal polyp • Hydrosalpinx • Salpingitis isthmic nodosum • Peritubal adhesions
  • 19.
  • 20.
  • 21.
  • 23.
    SEPTATE UTERUS • Intercornualangle- <75 • Intercornual distance <2cm BICORNUATE UTERUS • Intercornual angle ->105 • Intercornual distance 2-4cm
  • 25.
  • 26.
  • 27.
  • 28.
    • HSG Findingsin genital tube -lead pipe appearance -beaded appearance -tobacco pouch appearance -golf stick appearance -cotton wool appearance -cobble stone appearance
  • 36.
  • 37.
  • 38.
    • Broad fillingdefect, smooth regular outline: polyp/fibroid • Multiple irregular filling defects (moth eaten appearance)- uterine adhesions-ashermans syndrome
  • 42.
    • Hydrosalpinx • Commoncause- salpingitis • Distal tubal occlusion- dilatation of proximal segment
  • 46.
  • 47.
    • COMPLICATIONS • Milddiscomfort/pain • Mild vaginal spotting • Pelvic infection- serious complication • Allergic reaction • Venous or lymphatic intravasation of contrast media
  • 48.
    • DRAWBACKS • Cannotsee exterior of tube and contour of uterus • Sometimes due to pain on passage of dye- cornual spasm- b/l cornual block
  • 49.
    FISTULOGRAM • A sinogramor fistulogram is a special x-ray procedure , to visualize abnormal passage- fistula/sinus in body • following the injection of contrast media
  • 50.
    • INDICATIONS • Developmentof a sinus or fistula • Route or extent of sinus or fistula • Inorder to identify out which organs are involved
  • 51.
    • CONTRAINDICATIONS -Pt sufferingwith pyrexia -Severe localized infection
  • 52.
    • ACCESSORIES ANDDRUGS REQUIRED • Iv cannula • Dressing material • Skin aseptic precautions • Local anaesthetic injection • A low osmolar contrast medium • Disposable syringe
  • 53.
    • TECHNIQUE • Apreliminary film taken- to exclude foreign body • The pt lines supine with opening of sinus/fistula uppermost • The surrounding skin should be aseptic
  • 54.
    -If discharge ofpus/mucous- then only contrast injected -If drainage tube is insitu-introduced through it or cannula of appropriate size is inserted through orifice -gauze pad around site of entry to prevent reflex -sufficient quantity of water soluble contrast- to outline the extent of lesion
  • 55.
    • FILMING • Generallytwo images taken at right angles to each other • 1. AP or PA • 2. LATERAL
  • 56.
    • AFTERCARE • Takecare of sinus or fistula to avoid bacterial infections and further complication of wound • COMPLICATIONS • Common risks- perforation of sinus/fistula opening, bruising or infection from tube insertion • Less common- allergic reactions
  • 57.
  • 59.
  • 63.

Editor's Notes

  • #3 Through cervical canal
  • #5 Tb, submucous fibroid, polyp , synechiae
  • #6 menstruation
  • #12 To demonstrate congenital abnormalities and filling defects Full view of tubes to demonstrate spill..if occluded, show the extent and level of block
  • #19 Each mullerian duct- one side fallopian tube,1/2 uterus,1/2 cervix,1/2 upper part of vagina- mullerian agenesis- both mullerian ducts absent, Unicornuate- only one side mullerian duct present, uterus didelphis-failed fusion of paired mullerian ducts (2), uterus bicornuate- incomplete fusion of mullerian duct- 2 fallopian tubes,uterus,cervix-1 or2(bicornis unicollis, bicornis unicollis) single vagina, septate uterus(complete or partial) arcuate uterus- slight indentation of fundus, des induced reproductive tract abnormalities-t shaped uterus
  • #27 Small size of uterus cavity with normal size of vagina
  • #28 Pseudounicornuate uterus- unilateral scarring of the cavity makes intrauterine obliteration, resembling unicornuate uterus, irregular contour and vertical orientation of long axis, true unicornuate uterus,- smooth contour, horizontal orientation of long axis and normal fallopian tube
  • #30 Tufted tube- multiple small diverticular appearance surrounding the ampulla produced by caseous ulceration gives the tubal outline a rosette like appearence
  • #31 Distribution of contrast in reticular pattern producing cotton wool plug appearence
  • #32 Beaded tube-multiple constrictions along the fallopian tube giving rise to beaded appearence
  • #37 Thickening of tubal walls w Due to peritubal adhesions- arrows represent a cloudy sign on hysterosalpingo gram- non specific feature of tubal tuberculosis
  • #38 Tobacco pouch appearance, terminal hydrosalpinx with conical narrowing is seen in rt tube,, eversion of fimbria secondary to adhesions..with a patent orifice produces the tobacco pouch appearance in the left terminal
  • #44 Commonly results from previous inflammation of fallopian tubes(salpingitis) Distal tubal occlusion- dilation of proximal segment Dilated lumen, contrast will not pass in to the pleural cavity
  • #47 Large contrast deficiency with abnormal border at left lateral uterus wall
  • #49 m/c cause of b/l cornual block- physiological
  • #50 Fistula abnormal pathological pathway between two anatomical spaces from an internal cavity or organ to surface of body.abnormal tube between organs or from an organ to skin Sinus tract abnormal channel that originates or ends in one opening. Tube closed at one end
  • #57 Antibiotics, allergic medication