Micturating Cystourethrography (MCU)
&
Retrograde Urethrography (RGU)
By
Dr. J K PATIL
D.Y. PATIL MEDICAL COLLEGE AND HOSPITAL
RADIODIAGNOSIS DEPARTMENT
ANATOMY OF URETHRA
• MALE URETHRA IS 18-20 cms LONG
• EXTENDS FROM BLADDER NECK TILL THE MEATAL OPENING AT PENIS
• It has four named regions:
 Prostatic urethra:
• Is approximately 3 cm in length.
• Passes through the prostate gland.
 Membranous urethra:
• Is approximately 1 cm in length.
• Passes through the urogenital diaphragm.
 Bulbar urethra
From inferior aspect of urogenital diaphragm to
penoscrotal junction.
 Spongy (penile) urethra:
Passes through the length of the penis.
PARTS OF URETHRA
 ANTERIOR URETHRA
-PENILE URETHRA
-BULBAR URETHRA
 POSTERIOR URETHRA
- MEMBRANOUS URETHRA
- PROSTATIC URETHRA
SPHINCTERS OF URETHRA
INTERNAL URETHRAL SPHINCTER -
• involuntary in nature
• Supplied by sympathetic nerves
• It controls the neck of the bladder & prostatic
urethra above the opening of ejaculatory ducts
EXTERNAL URETHRAL SPHINCTER-
• voluntary in nature
• Supplied by perineal branch of the pudendal nerve (s2-s4)
• Controls the membranous urethra & is responsible for voluntary holding of urine
Female urethra :-
• Widest at bladder neck.
• 4-5cms in length
• Narrowest & least distensible at meatus.
• This forms the Spinning top configuration of urethra
on normal MCU.
Urethrography is of 2 types:
1. Ascending/Retrograde urethrography - Contrast is retrogradely injected
in the ureter with the urethral orifice occluded to prevent reflux of contrast.
2. Descending /MCU- Bladder is filled with contrast via suprapubic or
retrograde catheterization and the urethra is assessed during voiding.
• Voiding cystourethrogram/ Micturating cystourethrogram demonstrates the lower
urinary tract
• Helps in detection of:
 vesico-ureteral reflux
 bladder pathology
congenital or acquired anomalies of bladder outflow tract.
Micturating Cystourethrogram (MCU)
INDICATIONS
Children:
1. UTI
2. Voiding difficulties like dysuria, thin stream, dribbling, frequency, urgency.
3. Vesico ureteric reflux.
4. Other congenital anomalies : Meningomyelocele, Sacral agenesis,Rectal anomalies.
5. For post operative evaluation of ureteric abnormalities.
6. Pelvic Trauma.
7. In renal failure to exclude reflux.
8. Boys with hematuria-MCU can demonstrate posterior uretheral valve or polyp.
Adults
Main indications:
1. Trauma to urethra.
2. Urethral stricture.
3. Suspected urethral diverticula.
CONTRAST MEDIA
• Water soluble constrast media like Urograffin 60% are used which is diluted with
normal saline in 1 :3 ratio.
• The estimated volume of contrast medium to be given:
Less than one year
Weight (kg) x 7 = capacity (ml)
Less than two years
(2 x age in years + 2) × 30 = capacity (ml)
More than two years
(Age in years/2 + 6) × 30 = capacity (ml)
Procedure
• Using a sterile technique, a catheter is introduced into the bladder.
• A 5f feeding tube with side holes are used for children and in older children or
adults 8f or 10 f catheters are used.
• In girls after initial inspection of perineum to identify any local genitilia
abnormalities (cystoceles or labial fusion ) the catheter is introduced.
• When it enters the bladder a varying amount of urine will flow through it .if no
flow a catheter is introduced till urine is obtained.
• Suprapubic pressure Is sometimes helpful.
• In males, foreskin is retracted and catheter is introduced.
• The catheter should be lubricated with anaesthetic jelly and inserted slowly and
gently into the urthera holding the penis is vertical position.
• The normal bladder capacity in children is estimated to be 1 ounce i.e 29 cc.
• For newborns -30 to 35 cc can be instilled.
• For upto 3 yrs - 200 to 250 cc
• Adequate capacity is reached when the child becomes uncomfortable and begins
voiding around the catheter.
Filming
In children
• In children up to the age of 2 yrs bladder is filled by hand injection.
For older children contrast medium is instilled from a bottle elevated one metre above examination table.
• During filling, fluoroscopic screening is performed at short intervals to see if vesicoureteral reflux, diverticuli
or other abnormalities are present. The child is turned oblique on both sides to ensure that minimal reflux
is not overlooked.
• If reflux appears, films are taken in the appropriate oblique projection. If the bladder appears normal, one
film is taken in the frontal projection at the end of filling.
• Voiding starts in infants the moment the catheter is removed.
• At the end of voiding, a frontal film is made of the entire abdomen including the kidney region in order to
prevent overlooking the vesicoureteral reflux which is apparent only on termination of voiding and may
reach the upper collecting system.
In adult male :
• Bladder is filled in the usual way as in older child and voiding filming is done in both oblique
projection views.
• The voiding study in male adults can be modified by getting the patient to void against resistance
i.e. by compression of distal part of penis or using penile clamp thus enhancing the visualization
of urethra by artificial distention.This is known as CHOKE CYSTOURETHROGRAPHY
In adult female:
• The procedure is essentially the same
• In addition to the standard exposures, a double exposed film taken at rest and during straining
demonstrates the degree of bladder descent if any.
Filming Technique:
Scout film:
• The first image that is taken while performing the MCU and VCUG is the image of KUB that
is called scout film. We evaluate the spine, pelvis, and soft tissues on the scout film.
• After several seconds of the contrast media begins to flow, the image of minimally filled
bladder is taken in Antero-posterior (AP) projection.
• During early filling a ureterocele or tumor can be detected
and it may obscure as more contrast material enters
into the bladder.
Voiding phase
• The image taken during voiding may demonstrate the urethral strictures or obstructions.
• They will also give the details of the presence or absence of vesicoureteral reflux.
• Voiding film necessary because gives the determination of reflux because reflux may
only happen with the pressure generated by voiding.
Post-voiding film
• A post-voiding film may demonstrate the reflux or extravasation of
urine from the bladder or urethra.
• A normal post-void film has no reflux and no residual urine.
COMPLICATIONS
• Contrast reaction.
• Contrast induced cystitis.
• UTI.
• Catheter trauma.
• Bladder perforation - overfilling.
• Retention of a foley catheter.
• Catheterisation of vagina / ectopic ureter.
• Radiation exposure
• Autonomic dysreflexia- in paraplegic patients due to spinal cord injury at or above t6
level, forceful injection of contrast causes severe headache ,sweating,hypertension
with bradycardia due to forceful opening of bladder neck
ALTERNATE TECHNIQUES
1) SUPRAPUBIC BLADDER PUNCTURE.
Sometimes in PUV & pelvic trauma - not possible to catheterize.
2) EXCRETION MCU (MCU followed by IVU)
• This method makes use of contrast media accumulated in the urinary bladdder during ivp
Advantages : avoidance of physical and psychological trauma of catherization
• Avoidance of infection
Disadvatanges : visualization is not usually adequate Takes longer time
• Vu reflux visualised poorly.
.
Retrograde/Ascending Urethrography (RGU)
Definition:
• It is retrograde demonstration of the renal pelvis and ureter by the
retrograde injection of radio-opaque material through the ureters.
INDICATIONS:-
• Stricture
• Urethral Trauma
• Fistulae or false passages
• Congenital abnormalities
 Periurethral / prostatic abscess
CONTRAINDICATIONS:-
• Acute UTI
• Recent instrumentation
CONTRAST MEDIUM :-
• Iopamidol (LOCM)
EQUIPMENT :-
Tilting radiography table.
• Fluoroscopy/spot film device.
• Foley's catheter, Syringe, Gloves
PREPARATION :-
• Patient is asked to micturate prior to the procedure
TECHINIQUE :-
Preliminary film - coned supine PA view of bladder base and urethra
• Patient is made to lie in supine position and slightly tilted
with legs position as shown in the image.
• Using aseptic conditions, the tip of the Foley's catheter is
inserted in the urethra after applying lignocaine jelly
for 2 to 4 cm length.
• Pressure is applied over the glans penis to avoid expulsion of the catheter and also to
straighten the penis over the ipsilateral leg and prevent urethral overlap.
• Contrast medium is injected slowly under fluoroscopic control.
IMAGING:-
• Supine PA before injecting contrast medium.
• 30º left anterior oblique
• 30º right anterior oblique
AFTER CARE:-
1. Observation.
2. Prophylatic antibiotics may be used
COMPLICATIONS :-
• Contrast reaction (due to absorption through bladder mucosa)
• UTI
• Urethral trauma.
• Extravasation of contrast - due to use of excessive pressure in
stricture.
Advantages of MR - MCU and RGU
1. These studies are most valuable to detect congenital anomalies, posterior urethral
injuries, and with urethral and periurethral tumours.
2. It is a better imaging modality for assessing the post traumatic pelvic anatomy &
non-invasive method for measuring stricture length.
3. It clearly shows the extent of scar tissue as well as prostatic displacement.
4. MR uretherography is more accurate in estimating the length of obliterative
urethral stricture than RGU combined with Voiding cystouretherography
Limitations of conventional RGU combined with voiding
cystouretherography:
1. It does not provide accurate length of the defect because of poor prostatic
urethral filling.
2. It does not provide information regarding extent of fibrosis of corpora spongiosa
or prostatic displacement.
3. The stricture length is overestimated if bladder neck does not relax.
Advantages of CT urethrography
1. C.T. voiding uretherography is more comfortable to the patient
because it requires adaptation only in one position.
2. Less time consuming; takes only few seconds
3. Comparison of lurninal size & stricture length for follow up is possible.
4. Extralurninal pathology can be detected
5. Good patient compliance
6. Ability to survey whole urinary tract from kidney to urethra
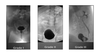
RGU/ASU vs VCUG/MCU
• RGU/ASU is carried out to visualise anterior urethral abnormalities
• VCUG/MCU for posterior urethral abnormalities.
• Additionally, although the bladder is not generally the main target of the exam, as with a
cystogram, a VCUG/MCU may be useful in detection of bladder abnormalities and vesico-
ureteric reflux (VUR).
• In a trauma situation, an RGU/ASU should be performed first. A VCUG/MCU should not be
performed first because blindly trying to introduce a Foley catheter into the bladder in a
trauma setting may lead to creating additional urethral damage with the catheter
THANK YOU

MCU AND RGU

  • 1.
    Micturating Cystourethrography (MCU) & RetrogradeUrethrography (RGU) By Dr. J K PATIL D.Y. PATIL MEDICAL COLLEGE AND HOSPITAL RADIODIAGNOSIS DEPARTMENT
  • 2.
    ANATOMY OF URETHRA •MALE URETHRA IS 18-20 cms LONG • EXTENDS FROM BLADDER NECK TILL THE MEATAL OPENING AT PENIS • It has four named regions:  Prostatic urethra: • Is approximately 3 cm in length. • Passes through the prostate gland.  Membranous urethra: • Is approximately 1 cm in length. • Passes through the urogenital diaphragm.
  • 3.
     Bulbar urethra Frominferior aspect of urogenital diaphragm to penoscrotal junction.  Spongy (penile) urethra: Passes through the length of the penis.
  • 4.
    PARTS OF URETHRA ANTERIOR URETHRA -PENILE URETHRA -BULBAR URETHRA  POSTERIOR URETHRA - MEMBRANOUS URETHRA - PROSTATIC URETHRA
  • 5.
    SPHINCTERS OF URETHRA INTERNALURETHRAL SPHINCTER - • involuntary in nature • Supplied by sympathetic nerves • It controls the neck of the bladder & prostatic urethra above the opening of ejaculatory ducts EXTERNAL URETHRAL SPHINCTER- • voluntary in nature • Supplied by perineal branch of the pudendal nerve (s2-s4) • Controls the membranous urethra & is responsible for voluntary holding of urine
  • 6.
    Female urethra :- •Widest at bladder neck. • 4-5cms in length • Narrowest & least distensible at meatus. • This forms the Spinning top configuration of urethra on normal MCU.
  • 7.
    Urethrography is of2 types: 1. Ascending/Retrograde urethrography - Contrast is retrogradely injected in the ureter with the urethral orifice occluded to prevent reflux of contrast. 2. Descending /MCU- Bladder is filled with contrast via suprapubic or retrograde catheterization and the urethra is assessed during voiding.
  • 8.
    • Voiding cystourethrogram/Micturating cystourethrogram demonstrates the lower urinary tract • Helps in detection of:  vesico-ureteral reflux  bladder pathology congenital or acquired anomalies of bladder outflow tract. Micturating Cystourethrogram (MCU)
  • 9.
    INDICATIONS Children: 1. UTI 2. Voidingdifficulties like dysuria, thin stream, dribbling, frequency, urgency. 3. Vesico ureteric reflux. 4. Other congenital anomalies : Meningomyelocele, Sacral agenesis,Rectal anomalies. 5. For post operative evaluation of ureteric abnormalities. 6. Pelvic Trauma. 7. In renal failure to exclude reflux. 8. Boys with hematuria-MCU can demonstrate posterior uretheral valve or polyp.
  • 10.
    Adults Main indications: 1. Traumato urethra. 2. Urethral stricture. 3. Suspected urethral diverticula.
  • 11.
    CONTRAST MEDIA • Watersoluble constrast media like Urograffin 60% are used which is diluted with normal saline in 1 :3 ratio. • The estimated volume of contrast medium to be given: Less than one year Weight (kg) x 7 = capacity (ml) Less than two years (2 x age in years + 2) × 30 = capacity (ml) More than two years (Age in years/2 + 6) × 30 = capacity (ml)
  • 12.
    Procedure • Using asterile technique, a catheter is introduced into the bladder. • A 5f feeding tube with side holes are used for children and in older children or adults 8f or 10 f catheters are used. • In girls after initial inspection of perineum to identify any local genitilia abnormalities (cystoceles or labial fusion ) the catheter is introduced. • When it enters the bladder a varying amount of urine will flow through it .if no flow a catheter is introduced till urine is obtained.
  • 13.
    • Suprapubic pressureIs sometimes helpful. • In males, foreskin is retracted and catheter is introduced. • The catheter should be lubricated with anaesthetic jelly and inserted slowly and gently into the urthera holding the penis is vertical position. • The normal bladder capacity in children is estimated to be 1 ounce i.e 29 cc. • For newborns -30 to 35 cc can be instilled. • For upto 3 yrs - 200 to 250 cc • Adequate capacity is reached when the child becomes uncomfortable and begins voiding around the catheter.
  • 14.
    Filming In children • Inchildren up to the age of 2 yrs bladder is filled by hand injection. For older children contrast medium is instilled from a bottle elevated one metre above examination table. • During filling, fluoroscopic screening is performed at short intervals to see if vesicoureteral reflux, diverticuli or other abnormalities are present. The child is turned oblique on both sides to ensure that minimal reflux is not overlooked. • If reflux appears, films are taken in the appropriate oblique projection. If the bladder appears normal, one film is taken in the frontal projection at the end of filling. • Voiding starts in infants the moment the catheter is removed. • At the end of voiding, a frontal film is made of the entire abdomen including the kidney region in order to prevent overlooking the vesicoureteral reflux which is apparent only on termination of voiding and may reach the upper collecting system.
  • 15.
    In adult male: • Bladder is filled in the usual way as in older child and voiding filming is done in both oblique projection views. • The voiding study in male adults can be modified by getting the patient to void against resistance i.e. by compression of distal part of penis or using penile clamp thus enhancing the visualization of urethra by artificial distention.This is known as CHOKE CYSTOURETHROGRAPHY In adult female: • The procedure is essentially the same • In addition to the standard exposures, a double exposed film taken at rest and during straining demonstrates the degree of bladder descent if any.
  • 16.
    Filming Technique: Scout film: •The first image that is taken while performing the MCU and VCUG is the image of KUB that is called scout film. We evaluate the spine, pelvis, and soft tissues on the scout film. • After several seconds of the contrast media begins to flow, the image of minimally filled bladder is taken in Antero-posterior (AP) projection. • During early filling a ureterocele or tumor can be detected and it may obscure as more contrast material enters into the bladder.
  • 17.
    Voiding phase • Theimage taken during voiding may demonstrate the urethral strictures or obstructions. • They will also give the details of the presence or absence of vesicoureteral reflux. • Voiding film necessary because gives the determination of reflux because reflux may only happen with the pressure generated by voiding.
  • 18.
    Post-voiding film • Apost-voiding film may demonstrate the reflux or extravasation of urine from the bladder or urethra. • A normal post-void film has no reflux and no residual urine.
  • 20.
    COMPLICATIONS • Contrast reaction. •Contrast induced cystitis. • UTI. • Catheter trauma. • Bladder perforation - overfilling. • Retention of a foley catheter. • Catheterisation of vagina / ectopic ureter. • Radiation exposure • Autonomic dysreflexia- in paraplegic patients due to spinal cord injury at or above t6 level, forceful injection of contrast causes severe headache ,sweating,hypertension with bradycardia due to forceful opening of bladder neck
  • 21.
    ALTERNATE TECHNIQUES 1) SUPRAPUBICBLADDER PUNCTURE. Sometimes in PUV & pelvic trauma - not possible to catheterize. 2) EXCRETION MCU (MCU followed by IVU) • This method makes use of contrast media accumulated in the urinary bladdder during ivp Advantages : avoidance of physical and psychological trauma of catherization • Avoidance of infection Disadvatanges : visualization is not usually adequate Takes longer time • Vu reflux visualised poorly. .
  • 27.
    Retrograde/Ascending Urethrography (RGU) Definition: •It is retrograde demonstration of the renal pelvis and ureter by the retrograde injection of radio-opaque material through the ureters.
  • 28.
    INDICATIONS:- • Stricture • UrethralTrauma • Fistulae or false passages • Congenital abnormalities  Periurethral / prostatic abscess CONTRAINDICATIONS:- • Acute UTI • Recent instrumentation
  • 29.
    CONTRAST MEDIUM :- •Iopamidol (LOCM) EQUIPMENT :- Tilting radiography table. • Fluoroscopy/spot film device. • Foley's catheter, Syringe, Gloves PREPARATION :- • Patient is asked to micturate prior to the procedure
  • 30.
    TECHINIQUE :- Preliminary film- coned supine PA view of bladder base and urethra • Patient is made to lie in supine position and slightly tilted with legs position as shown in the image. • Using aseptic conditions, the tip of the Foley's catheter is inserted in the urethra after applying lignocaine jelly for 2 to 4 cm length. • Pressure is applied over the glans penis to avoid expulsion of the catheter and also to straighten the penis over the ipsilateral leg and prevent urethral overlap. • Contrast medium is injected slowly under fluoroscopic control.
  • 31.
    IMAGING:- • Supine PAbefore injecting contrast medium. • 30º left anterior oblique • 30º right anterior oblique
  • 32.
    AFTER CARE:- 1. Observation. 2.Prophylatic antibiotics may be used COMPLICATIONS :- • Contrast reaction (due to absorption through bladder mucosa) • UTI • Urethral trauma. • Extravasation of contrast - due to use of excessive pressure in stricture.
  • 33.
    Advantages of MR- MCU and RGU 1. These studies are most valuable to detect congenital anomalies, posterior urethral injuries, and with urethral and periurethral tumours. 2. It is a better imaging modality for assessing the post traumatic pelvic anatomy & non-invasive method for measuring stricture length. 3. It clearly shows the extent of scar tissue as well as prostatic displacement. 4. MR uretherography is more accurate in estimating the length of obliterative urethral stricture than RGU combined with Voiding cystouretherography
  • 34.
    Limitations of conventionalRGU combined with voiding cystouretherography: 1. It does not provide accurate length of the defect because of poor prostatic urethral filling. 2. It does not provide information regarding extent of fibrosis of corpora spongiosa or prostatic displacement. 3. The stricture length is overestimated if bladder neck does not relax.
  • 35.
    Advantages of CTurethrography 1. C.T. voiding uretherography is more comfortable to the patient because it requires adaptation only in one position. 2. Less time consuming; takes only few seconds 3. Comparison of lurninal size & stricture length for follow up is possible. 4. Extralurninal pathology can be detected 5. Good patient compliance 6. Ability to survey whole urinary tract from kidney to urethra
  • 39.
    RGU/ASU vs VCUG/MCU •RGU/ASU is carried out to visualise anterior urethral abnormalities • VCUG/MCU for posterior urethral abnormalities. • Additionally, although the bladder is not generally the main target of the exam, as with a cystogram, a VCUG/MCU may be useful in detection of bladder abnormalities and vesico- ureteric reflux (VUR). • In a trauma situation, an RGU/ASU should be performed first. A VCUG/MCU should not be performed first because blindly trying to introduce a Foley catheter into the bladder in a trauma setting may lead to creating additional urethral damage with the catheter
  • 40.

Editor's Notes

  • #27 Voiding cyctourethrography in AP and oblique projections sowing bladder diverticulum
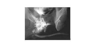
  • #39 Retrograde Urethrogram showing extravastion of contarst at the site of posterior uretrhal injury