HEMOGLOBIN CHEMISTRY
DR ROHINI C SANE
Structural Aspects of hemoglobin
• Molecular weight of hemoglobin (human)—67000 Dalton
• Normal concentration of hemoglobin(male)—14-16 gm %
• Normal concentration of hemoglobin(female)—13-15gm %
• Hemoglobin =heme + globin (TOTAL 574 amino acids )
• Normal hemoglobin 97% HbA +2% Hb A2 + 1% HbF
• Globin Structure of HbA (97% ) - 2 alpha chains + 2 beta chains
• Alpha chain (each )–141 amino acids
• Beta chain (each ) -146 amino acids
• Hb F ( < 2% ) = 2 ALPHA chains +2 GAMMA chains
• Hb A2 ( < 5% ) = 2 ALPHA chains +2 delta chains
• Subunits held by non covalent interactions ,hydrophobic interactions
,ionic interactions
Structural Aspects of hemoglobin
Type Composition & symbol % Total haemoglobin
HbA1 α2β2 97%
HbA2 α2δ2 5%
Hb F α2γ2 2%
HbA1 C α2β2 (GLYCATED HB ) <5% ( prognosis of
Diabetes Mellitus )
38 Histidine in one Hb molecule facilitates buffering action.
Structural Aspects of hemoglobin
Polypeptide chain type symbol N TERMINAL END C TERMINAL END
Alpha α VALINE Not specific
Beta β VALINE HIS
Gamma γ GLYCINE HIS
Delta δ VALINE HIS
Structural Aspects of hemoglobin
1. Alpha chain gene 2 genes on chromosome 16
2. Beta ,gamma ,delta gene  a single gene on chromosome 11
3. Delta gene active during embryonic development
4. 2 gamma genes ( G γ-Grover /A γ) responsible for synthesis of Hb F
5. 2WEEKS OF GESTASTION CONC OF Hb F starts increasing
6. Concentration of Hb F is 80% at birth ,6months after birth
concentration decreases less than 3%
7. Alpha gene 7 helical segments
8. Beta gene 8 helical segments
9. 38 Histidine molecules impart BUFFERING action
Structural Aspects of hemoglobin
• Iso electric p H of HbA  6.85
• Iso electric p H of HbA 27.4
• During electrophoresis at p H 8.6( OF BARBITONE BUFFER ) both
HbA& HbA 2 carry positive charge move towards negatively charged
electrode ( cathode )
• Hb A moves faster to cathode than HbA 2
Abnormal hemoglobin variants
• Alpha chain mutation
• Beta chain mutation
• Hemoglobin variants
• α gene family -2 genes on chromosome 16
• δ gene active in embryonic development
• β gene family –single gene on chromosome 11(tandom genes )
• ε gene embryonic development
• 2 γ genes ( G γ & A γ ) synthesis of HbF
• 2 Weeks after gestation -80% at birth HbF ,
• decrease in HbF after birth- upto 6 months 3 % retained
• δ gene (δ globin )  HbA2
Haemoglobin Type Gene assembled
Grover II α ₂ ε ₂
Grover I ζ ₂ ε ₂
HbF α ₂ γ ₂
Hb A2 α ₂ δ ₂
Hb A α ₂ β ₂
Hemoglobinopathies – 400 mutant of hemoglobin
1. Synthesis of abnormal hemoglobin
2. Production of insufficient quantities of normal hemoglobin
(decreased synthesis of Beta chain in beta thalassemia )
3. Both
Structure of Hemoglobin
• 4 PYRROLE RINGS + 4 METHYL GROUPS + 2 VINYL GROUPS
• METHYL –CH3
• VINYL –CH3CH2
• PROPINOYL –CH3CH2 CH2
• METHYL –CH3
• METHYLENE –CH2
• METHENYL -=CH
Porphyrin ( C20H14N4 )
• Cyclic compounds  4 pyrrole rings held by methylene bridges ( -CH-)
• Metal ion + Nitrogen atom of pyrrole ring to form complex  Metallo
porphyrin
• 8 hydrogen atoms substituted
• Pyrrole ring   4 closed brackets  4 substitutes positions
• Type I porphyrin  symmetrical arrangement of substituent groups on all
8 positions ( eg .Uroporphyrin I )
• Type III porphyrin  asymmetrical arrangement of substituent groups on all 8
positions ( eg .Uroporphyrin III )  Fisher IX
Porphyrin ( C20H14N4 )
Hans Fischer Model
of
4 pyrole rings
( porphyrins )
of Hemoglobin
←Oxygenated hemoglobin with O₂
Oxidized hemoglobin has Ferric ( Fe ⁺³ oxidized form of iron atom )
Deoxy Hb -O ₂ CARRYING CAPACITY LOST
HEME GROUP
• Iron atom of heme:
Ferrous state (Fe ⁺² -reduced form of iron)
Attached to Six coordinated bonds =
4 coordinated bonds planer
+ 1 coordinated bond linked to O₂
+ 1 coordinated bond linked to His (64 ) of α or β globin chain
Undergoes Fe ⁺² reduced form ↔ Fe ⁺³ oxidized form
Heme is a constituent of Hemoglobin, catalase ,cytochromes
,chlorophylls ,Tryptophan pyrrolase .
Alpha chain of hemoglobin
Alpha chain
1. 38 Histidine residues – ( buffering action )
2. 58 th distal Histidine
3. 87 th  proximal Histidine ( lies near Fe²⁺ atom )
4. Forces holding alpha & beta chains together are
a) Van der Waals forces
b) Hydrogen bonds
c) Inter& intra electrostatic bonds
Transport of oxygen by hemoglobin
• Oxygenation :α₂β₂ subunits slip over each other ( 2x ( alpha –beta ) –
salt bridges broken
• Oxy –Hb - Relaxed form ( R ) - salt bridges broken on oxygenation
• De - oxy –Hb  Tight form ( T ) –( 2 x α ) + ( 2 x β )
Taut (T ) & Relax ( R ) forms of hemoglobin
• T conformation –electrostatic forces between COO- & NH2 group
• ( taut tense ) Deoxy haemglobin
• Hydrogen bonds & ionic bonds limit movement of monomers low
affinity for monomers
• R conformation –salt bonds broken HIGH AFFINITY FOR OXYGEN
• ( 2x alpha )+(2xbeta)  2x (alpha –beta )
• Deoxy hemoglobin oxy hemoglobin
• OXYGEN breaks salt bridges ( R form –high oxygen affinity )
• ALLOSTERIC BEHAVIOUR OF HAEMOGLOBIN
Deoxy –Hb Hb O₂ Hb O₄ Hb O₆ Hb O₈
T form ↓ ↓ ↓ ↓ ↓
↑
R form
Oxygenation of hemoglobin
CO-OPERATIVE BINDING OF OXYGEN TO HEMOGLOBIN
• Binding of oxygen to Heme will increase binding of oxygen to other heme
• Affinity of oxygen for hemoglobin
• Last oxygen binds with affinity 100 time greater than first oxygen
• Heme –Heme interaction ( cooperative binding of oxygen to Heme )
• Release oxygen from one Heme will release oxygen from other
• As there is communication between Heme groups of hemoglobin
• Myoglobin is reservoir (transient )& supplier of oxygen
Lung Tissue
Oxygen concentration high Oxygen concentration low
Oxygen binds to hemoglobin Oxygen is released to tissue
Structural changes in hemoglobin on oxygen binding
• Using x ray crystallographic study
• Homotropic effect binding of oxygen to hemoglobin
• Heterotrophic effect  binding of 2,3BPG to hemoglobin
• Distance between two beta chain decreases oxygenation from 4nm to 2nm
• Increasing affinity for oxygen with addition every molecule of oxygen
• On oxygenation iron moves in plane of Heme
• Decrease in diameter of iron (movement of iron accompanied by pulling of
proximal Histidine
• affinity of hemoglobin for last oxygen  first oxygen ( 100 times greater )
• Cooperative binding of oxygen to hemoglobin OR Heme –Heme interaction
• Release of oxygen from one Heme  Release of oxygen from other Heme
• Therefore communication between Heme groups of hemoglobin
Structural changes in Hb on oxygen binding
• Structural change in one subunit of hemoglobin on oxygenation is
communicated to other subunits
• Binding of oxygen to one Heme distorts globin chain to which it is
attached  distortion in neighboring chain oxygen binds more
easily.
On oxygenation iron moves in plane of Heme  decrease in diameter of Iron movement
of Fe Is accompanied by pulling of proximal site primary event of Heme –Heme interaction
Difference between oxygenation and oxidation of Hemoglobin
OXYGENATION OXIDATION
IRON(Fe +2) IN FERROUS STATE IRON(Fe +3) IN FERRIC STATE
CARRIER OF OXYGEN OXYGEN CARRYING CAPACITY IS LOST
Transport of oxygen and carbon dioxide
by hemoglobin
Transport of oxygen and carbon dioxide
by hemoglobin
Binding of carbon dioxide to Hemoglobin
• Hb –NH2 + CO2 Hb-NH –COO - + H +
• OXY –HAEMOGLOBIN  0.15 moles OF CO2 of /mole of heme
• DEOXY – HAEMOGLOBIN 0.40 moles OF CO2 of /mole of heme
• CO2 Stabilizes the T form formation of Deoxy hemoglobin 
decreased oxygen affinity for hemoglobin
Transport of carbon dioxide in human body
• 200 ml of CO ₂ /min produced in body
In aerobic metabolism
O₂ (1 mole ) utilized  CO₂ (1 mole ) liberated
1. ( 15% ) of CO₂ transport ( dissolved form)by Hb
CO₂ + H ₂O  H ₂CO₃ HCO₃¯ + H⁺
2. ( 85% ) of CO₂ transport in Bicarbonate form
CO₂ + uncharged α amino acids of Hb  Carbamyl Hb
Hb -NH ₂+ CO ₂↔Hb –NH-COO¯ + H⁺ ( BUFFERED BY Hb-Haldane effect )
Transport of carbon dioxide by Hemoglobin
• Hb -NH₂ + CO ₂ ↔ Hb-NH -COO¯ ( Carbamoyl Hb)+ H⁺
• CO ₂ stabilizes the T form →decreased oxygen affinity for hemoglobin
formation of Deoxy Hb
HEMOGLOBIN CONCENTRATION OF CO₂
Oxy -Hb 0.15 mmol of CO₂ / moles of Heme
Deoxy –Hb 0.40 mmol of CO₂ / moles of Heme
(
Transport of oxygen to tissue
 Myoglobin : Reservoir (transient ) & supplier of oxygen
Lung Tissue
PO ₂ High low
Oxygen binds hemoglobin Oxygen released to tissue
Transport of oxygen by hemoglobin
1. Bind & transport large quantity of oxygen by Histidine
2. greater solubility
3. Powerful buffer
4. Release of oxygen at appropriate pressure
Oxygen dissociation curve (ODC )
• Graphic representation of binding ability of haemoglobin with oxygen
at different partial pressure of oxygen
• Ability of hemoglobin to load & unload oxygen at physiological p O2
( partial pressure of oxygen)
Transport of oxygen by haemoglobin
P O₂ (mm) of Hg % saturation
Inspired air 158
Alveolar air 100 97%
lung 90
Capillary bed 40 60%
37% - 40% O ₂ release of oxygen at tissue level
Bohr’s effect :
(1) binding of oxygen decreases with increase in concentration of hydrogen
ions ( decrease in pH )
(2) Increase in concentration of carbon dioxide  decrease in pH ( increase
in hydrogen ion concentration)  binding of oxygen to hemoglobin
decreases  release of oxygen to tissue
(3) Shift of oxygen curve to right (with increase in concentration of ,hydrogen
ions ( decrease in pH ), carbon dioxide ,2,3 BPG ,Chloride ions ,temperature
release of oxygen  decrease in % saturation of Hb with oxygen
(4 ) RESPONSIBLE FOR RELEASE OF OXYGEN FROM OXY HAEMOGLOBIN TO
TISSUE (with increase in concentration of ,hydrogen ions ( decrease in p H ),
carbon dioxide ,2,3 BPG ,Chloride ions ,temperature )
Bohr’s effect :
Increase in concentration of hydrogen
( lower pH )
Binding of oxygen to hemoglobin decreases
 release of oxygen to tissue
 Shift of oxygen dissociation curve to right
Shift of curve towards right  % saturation decreases ( oxygen released from Heme )
BOHR’ S EFFECT -responsible for release of oxygen from oxy hemoglobin to the tissue
( increase in p CO₂ & decrease in pH ) is observed during metabolism of cell.
Increase in Conc of 2,3 BPG & CHLORIDE
(Cl ¯ )Shift of curve towards right
Allosteric effectors : interact with
Hb & release O ₂ from oxy-Hb
A. 2,3 BPG
B. CO₂
C. H ⁺
D. Cl¯
Bohr’s Effect :
Mechanism of Bohr’s Effect
• Caused by binding of hydrogen & CO2 TO HEMOGLOBIN
• Aspartic acid ( 94 ) is in close proximity with his 146 of beta chain of
hemoglobin
• Binding of hydrogen to Histidine is promoted by negative charge on
aspartic acid
• Ionic bond formed between negatively charged aspartic acid &
positively charged Histidine formation of salt bridges
• OXY –Hb( R-form )  DEOXY –Hb ( T-form )
Oxy -hemoglobin Deoxy -hemoglobin
pI 6.6 pI 6.8
More negatively charged  CATIONS REQUIRED TO REMOVE
EXTRA NEGATIVE CHARGE .
OXY –Hb + H ⁺  HHb + O ₂( released to tissue )
H ⁺ -trapped
One proton  2 oxy molecule released
Lung –oxygen concentration high
4 O₂ bind to one hemoglobin therefore 4x 0.6 = 2.4 protons
released
H-Hb + 4 O₂  Hb(O₂ ) + 2.4 H ⁺
One mill mole of Deoxy –Hb
take up 0.6 mequ from 0.6
mequ of H ₂CO ₃
TISSUE LUNG
CO2 HIGH CO2 LOW
HYDROGEN ION CONC HIGH HYDROGEN ION CONCENTRATION LOW
CONCENTRATION OF OXYGEN LOW CONCENTRATION OF OXYGEN HIGH
FORMATION OF DEOXY HAEMOGLOBIN FAVORED FORMATION OF OXY HAEMOGLOBIN FAVORED
HISTIDINE PROTONATED HISTIDINE DEPROTONATED
AFFINITY FOR OXYGEN DECREASES AFFINITY FOR OXYGEN INCREASES (HIGH PO2 )
Hb O 2 + H+  HbH + + O2
EQULLIBRIUM TOWARDS RIGHT EQULLIBRIUM TOWARDS LEFT
CO2 BINDS ( Carbamoyl hemoglobin formation ) OXYGEN BINDS ( OXY Hb formation )
Removal of hydrogen ion from terminal amino group Removal of CO2 from
Stabilizes Hb in T form(co2 binding releases oxygen to
tissue )
CO2 BINDS LOOSELY TO R FORM
Role of chloride in oxygen transport
• Chloride bind to Deoxy hemoglobin with affinity greater than oxy
hemoglobin
• When chloride bind to Deoxy hemoglobin there is release of oxygen
• Influx of chloride into cell cytosol of RBC in peripheral tissue is
accompanied by efflux of bicarbonate ions
• Influx of bicarbonate ions into cell cytosol of RBC is accompanied by
exflux of chloride in lung tissue
• concentration of chloride ions
ISOHYDRIC TRANSPORT OF CO₂ & CHLORIDE SHIFT
Role of Chloride ( Cl¯ ) in oxygen transport
Chloride ( Cl¯ ) binds to de-oxy Hb
(1) Chloride ( Cl¯ )binding to de-oxy Hb release of oxygen
Deoxy –Hb
chloride ion
 release of O₂
CHLORIDE SHIFT : Hamburger effect
HCO₃¯ freely moves out
TISSUE RBC : HCO₃¯ freely moves out & chloride enters to
maintain electrical neutrality - Chloride shift – RBC Of venous
blood bulge
CHLORIDE ION ( Cl ¯ )
CONCENTRATION OF CHLORIDE IONS IS GREATER IN VENOUS BLOOD THAN ARTERIAL BLOOD
CHLORIDE SHIFT : Hamburger effect
HCO₃¯
LUNG RBC : chloride freely moves out &
HCO₃¯enters to maintain electrical
neutrality - Reversal of chloride shift –
RBC Of venous blood bulge
CHLORIDE ION ( Cl ¯ )
Oxygen released
CHLORIDE ENTERS RBC
ERYTHROCYTE IN TISSUE CAPILLARY : CHLORIDE SHIFT
ERYTHROCYTE IN LUNG CAPILLARY : CHLORIDE SHIFT
→ TO EXPIRED AIR
CHLORIDE LEAVES RBC ←
HCO ₃¯
ENTERS RBC
OXYGEN ENTERS
Hb acts as buffer
Hb act as buffer
For every 2 protons bound to
Hb
4O ₂ released
CARBONIC UNHYDRASE
FOUND IN RBC.
Significance of 2,3 BPG (Bi Phospho glyceride)
Increased stability Deoxy Hb confirmation by 2,3 BPG ( Mammals )
Effect of 2,3 BPG on oxygen affinity of Hb
• Most abundant phosphate in RBC
• Molar concentration of 2,3 BPG = Molar concentration of Hb
• Synthesis ( synthesis through Rapport Leubering cycle)
2, 3 BPG mutase ( Glycolysis )
1,3 BPG 2,3 BPG
• Retinholds & Ruth Benesch’s (1967 ) 2,3 BPG decreases affinity of Oxygen to
Hemoglobin
• 2,3 BPG regulates the binding of oxygen
• 1mole of 2,3 BPG binds to 1mole of Deoxy Hb not to oxy –Hb
• Molecular concentration 2,3 BPG = Molecular concentration OF hemoglobin
• HbO₂ + 2,3 BPG  Hb 2,3 BPG + O₂ ( release of O₂ )
( Oxy –Hb ) ( De-oxy Hb)
• At partial pressure of O₂ in tissue  2,3 BPG shift curve towards right
2,3 BPG & Hemoglobin
• 2,3 BPG decrease p H 6.95 ( intracellular in RBC )
• Binding of 2,3 BPG to Deoxy Hb- stabilization of T confirmation
• Biding of 2,3 BPG stabilizes Deoxy Hb
• Hb + 2,3 BPG Hb2.3 BPG ( Deoxy Hb bound to 2,3BPG )+ O₂
(release of O₂ to the tissue )there fore 2,3 BPG regulates binding of
oxygen to Deoxy Hb
Clinical significance of 2,3 BPG
• Release of oxygen to tissue ( supply of oxygen to tissue )
• To cope with oxygen demand  varied concentration of 2,3 BPG
1. Hypoxia : concentration of 2,3 BPG in RBC increases in chronic
hypoxic conditions
Adaptation to high altitude
Obstruction to pulmonary odema ( air flow in bronchial blocked )
• 2. Anemia : concentration of 2,3 BPG in RBC increases in chronic
anemic conditions  to cope with O₂ demand of body even at low
Hb concentration
Clinical significance of 2,3 BPG
• 3. Blood Transfusion : storage of blood in acid citrate dextrose  decrease
in concentration of 2,3, BPG ( O₂ remains bound to Hb )
• Blood stored in ACD fails to supply O₂ to tissue with 24-48 hrs 2,3 BPG
restored
• O₂ supply /tissue O₂ demand is met adequately after 24-48 hrs.
• Blood with (ACD )+ Inosine ( Hypoxanthine Ribose )  prevent decrease in
2,3, BPG
• Inosine phosphorylation of tissue entry into HMP shunt  get
converted to 2,3, BPG increase in Conc in 2,3, BPG  release of oxygen
Myoglobin
1. Monomeric O₂ binding protein
2. Molecular weight -17000
3. Concentration in Heart & skeletal muscles: 2.5gm/100gm
4. Single polypeptide with 153 amino acids
5. pI= 6.5
6. Reservoir for O₂ ( carrier of O₂ is His 92 of Heme )
7. 90 % saturation at 30nm pO₂( Hb 50% saturated )
8. Binding of O₂ to Hb ( one Hb  4 Heme 4 O₂ , one myo  1 heme
1 O₂ molecule )
9. Absorbance spectra –oxy Hb 582,542 nm
Oxygen dissociation curve
Myoglobin : hyperbolic
Hb- sigmoid
Affinity for O₂ of Myoglobin> Hb
Half saturation (50% )-myoglobin is at 1mm &
for Hb 26 mm
No Bohr’ s effect
No cooperative binding
No 2,3 BPG effect
Mb + O₂ ↔ Mb O₂
Hb O₂ O₂  Mb O₂  O₂ CELLS ( FOR RESPITATION)
Severe exercise PO₂  5mm Hg  release of oxygen
NORMAL HAEMOGLOBIN DERIVATIVES
HAEMOGLOBIN
DERIVATIVES
COLOR CONCENTRATION
Oxy –Hb Red 97%
Deoxy –Hb purple Cyanosis > 5%
CO –Hb Cherry red 0.16%
Sulph –Hb Green High in cockroaches
Abnormal derivatives
1.Meth Hb ( synthesis in living system by H₂O₂, drugs ,free radicals
2. Carboxy Hb
Meth Hemoglobin –Meth- Hb
• Concentration of serum Meth- Hb= ( < 1% )
• Brown color of dried blood ( Meth –Hb ) & meat ( meth- myoglobin )
Normal Hemoglobin Meth- Hb
synthesis by oxygenation synthesis by oxidation ( BY H2O2 ,free radicals
,drugs )
O ₂ loosely binds Fails to bind to O ₂ ( H₂O molecule occupies O ₂
site in Heme )
Fe ²⁺ state ( Ferrous ) –no oxidation of Fe
²⁺ ( ferrous ) to ferric ( Fe³⁺ )
Fe ²⁺ Fe³⁺
Fe ²⁺
Fe ³⁺
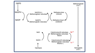
Meth –Hb reductase
75 %
NADH DEPENDENT
20 %
NADPH
DEPENDENT
5%
GLUTATHIONE
DEPENDENT
Concentration of serum Meth Hb > 1%
(normal < 1% )
Decrease capacity for oxygen binding therefore
transport
Increase concentration of Meth –Hb  (Cyanosis )
Meth Hemoglobinaemia ( acquired or congenital)
Congenital Meth Hemoglobinaemia
• Hemoglobin M ( proximal or distal Histidine of α or β globin chain
replaced by Tyrosine
• Deficiency of cytochrome b5 reductase
• 10-15% Hb as Meth –Hb ( normal < 1% )
Histidine -----------------------------Histidine
•58 distal 87 proximal
Histidine ------------------------------Histidine
•63 distal 92 proximal
α Globin chain
β Globin chain
Mutation in hemoglobin- Histidine to Tyr ( formation of Meth-Hb )
Acquired or Toxic Meth Hemoglobinaemia
1. Drinking of water contain Aniline dyes or nitrates
2. Drugs –Acetaminophen, Phenacein, Sulphanilamide ,Amyl nitrite ,
Na- nitroprusside
3. Person with G-6 –PD deficiency
NADPH synthesis
↓
Decrease dependent Meth–Hb reductase (Normal-75%)
Deficient HMP
Person with G-6 –PD deficiency
MANIFESTATION OF DISEASE EASILY
TREATMENT – SMALL DOSES OF REDUCING AGENTS
DECREASE IN METH-Hb  Hb ( inadequate )
5% NADPH dependent Meth Hb reductase
Meth –Hemoglobinaemia
Treatment of Acquired Meth –Hemoglobinaemia
2mg/ body Kg weight intravenous leucomethylene blue substitute
for NADPH
Preparation of Meth –Hb in laboratory
5 drops of blood + sodium Ferri-cyanide (oxidizing agent ) formation
of Meth hemoglobin (brown )-dark band at 633 nm (red region )
Preparation of Reduced –Hb in laboratory
5 drops of blood + Sodium dithionite  reduced Hb ( purple )
reversible reaction ( reversed by atmospheric oxygen )
Meth Hemoglobinemia
• ( a )
Ascorbic
acid
• (200- 500
mg/day)
• (b )
Methylene
blue
• -200-500
mg/day
• Gene
therapy
Treatment of Meth Hemoglobinaemia
Decrease level of Meth –Hb to 5-10% (cyanosis reversed)
Carboxy –Hb (CO-Hb )
Carbon monoxide ( CO )
1. produced by incomplete combustion –occupational hazard
2. Colorless
3. Odorless
4. Tasteless
5. Toxic industrial pollutant
6. Affinity of CO for Hemoglobin is 200 more than that for Oxygen( O₂ )
7. NORMAL INDIVIDUAL SMOKER
CONCENTRATION OF CO –Hb < 0.16 gm % > 4 gm%
One cigarette  10-20 ml of CO in Lungs
Heme of
hemoglobin
Heme of
myoglobin
Heme of
cytochrome
CO
Clinical manifestation of increased CO
1. Conc of CO-Hb > 20 gm%
2.Head ache
3. Nausea
4.Vommitting
5. Breathlessness
6. Irritability
7. 40-60 % saturation of Hb with CO  DEATH
8.
Identification of CO-Hb by absorption spectroscopy
• Band pattern for normal Hb & CO –Hb similar ( band 580 & 540nm )
Normal Hb
Reduced Hb
Oxy – Hb Deoxy Hb
Entry of O₂ Oxy – Hb
reformed (reversible )
Carboxy Hb
Fails to form Reduced Hb
Carboxy Hb
(CO high affinity for Hb )
Na- Dithionite
vigorous shaking
Sickle cell anemia
SICKLE CELL ANAEMIA-SICKLE CELL HAEMOGLOBIN
• 1957-first sickle cell hemoglobin (Hb S )
• FIRST MOLECULAR DISEASE  ONE GENE ONE PROTEIN( Beadle
& Taum )
Crescent shape ( low hemoglobin content )
Occurrence of sickle cell anemia
• Tropical area –black population25% population Heterozygous ,central part
of & east part of India (scheduled tribe =ST)
MOLECULAR BASIS OF SICKLE CELL ANAEMIA
Linus Pauling ( 1954 Noble prize ) reported abnormal electrophoretic mobility & peptide mapping
Glutamic acid ( sixth position on beta globin chain ) replaced by Valine (Recessive Mutation )
Hb A & Hb F PREVENT SICKLING
Sickle cell disease
1. Glutamic acid  Valine (HbS )—hydrophilic to hydrophobic amino
acid
2. Stickiness on surface of a Hb molecule
3. polymerization of Hb in RBC Distortion of RBC into sickle shaped
4. Deoxy HbS –protrusion on one side and cavity on other side
5. Many molecule adhere together
6. Deletion of HbS  temp & pH dependent
7. Solubility is minimal at pH 6.35
8. Solubility increases with increase in pH
Sickle cell disease
Sickle cell disease
• solubility is minimum at pH 6.35
• solubility increases with increase in pH
• decrease in oxygen saturation & Hb concentration
• increase in proportion of polymeric & soluble
molecules
Sickle cell disease
• HbS bind & transport oxygen
• Decrease in oxygen saturation & Hb concentration relative
proportion of polymeric & soluble molecules
• Deoxygenated state sickling  viscosity of blood increases  slows
down the circulation decrease in oxygen tension- further sickling
• Vicious cycle
DE OXYGENATED STATE
SICKLING
VISCOCITY OF BLOOD INCREASES
SLOWS DOWN CIRCULATION
OXYGEN TENSION DECREASES
FURTHER SICKLING
DE OXYGENATED
STATE
SICKLING
VISCOCITY OF
BLOOD
INCREASES
SLOWS DOWN
CIRCULATION
OXYGEN TENSION
DECREASES
FURTHER
SICKLING
Viscous cycle of sickling
Mechanism of sickling in sickle cell anemia
• Glutamic acid replaced by Valine on beta chain at sixth position
• Decrease in solubility of HbS (Deoxy HbS )—T form
• Solubility of HbS ( OXY Hb S ) unaffected
• HbA lack sticky patches
• Formation of long aggregates of Deoxy HbS polymerization of HbS –
(Deoxy ) fibrous PPT Stiff fibers distorts RBC (SICKLE ) LYSIS
• Sickle cells plug capillaries  occlusion of major vessels infarction
of organ ( spleen ) death occurs in second decade of life
Formation of long aggregates of Deoxy HbS
Sticky patches of one HbS ( Deoxy Hb)+ receptors of another HbS ( DEOXY ) 
AGGREGATE
polymerization of HbS –(Deoxy )
Fibrous precipitate
Stiff fibres distorts RBC ( SICKLE )
Lysis
Sickle cell
Plug in capillaries
Occlusion of major vessels
Interaction in organ (spleen )
Death occurs in
second decade of life
HbS gives protection against plasmodium falciparum  causative of malaria
• Normal RBC (malaria parasite enters)  multiplies  RBC lysis hemolytic
anemia
• RBC with sickle cell trait  malarial parasite enters  could not multiply 
no malaria, no RBC lysis  normal health
1. Shorter life span of RBC carrying HbS interrupts parasite cycle
Malaria parasite  increase in acidity( decrease in pH )increase in sickling
RBC to 40% (normal 2% ) lysis of RBC
2. Low potassium level in sickled cells unfavorable for parasite
 sickle cell trait is an adaptation for survival of individual in malarial infested
region
Life span of sickle cell (homozygous )< 20yrs
Sickle cell anemia
Homozygous
1.Two mutant genes (one from each
parent)that code for beta chain
2.RBCs contain HbS
3.Sickle cell disease
4.Life span < 20years
Heterozygous
1 .one gene of beta chain is affected other gene
normal
2.RBCs contain Hbs & HbA
3.Sickle cell trait
4.Normal life –no clinical symptoms
Abnormalities associated with HbS
1. Life long hemolytic anemia-RBC fragile  continuous hemolysis
2.Tissue damage & pain  sickle cells block capillaries poor blood
supply to tissue extensive damage inflammation pain
3.Increased susceptibility to infection
4. Premature Death -Homozygous life span < 20yrs
Diagnostic of sickle cell anemia
1.Sickling test: blood smear + reducing agent ( sodium dithionite )
microscopic examination
Normal individual- sickle cells < 2% , sickle cell patient - sickle cell > 2%
2.solubility test : hem lysate in presence of reducing agent opalescence in
hemolysate (presence of Deoxy HbS )
3. ELECTROPHORESIS OF Hb:
Glutamic acid (- ve charged )  Valine ( neutral )  decreased mobility
towards anode
4. Finger printing technique –Ingram
5.Sourthen blot
Management of sickle cell disease
1.Repeated blood transfusions  iron overload ( Iron chelater Des ferroxamine )
cirrhosis
2.Treatment ( anti sickling agents )
a) Urea
b) *Cyanates (0.1 N) increase affinity for oxygen toHbS  Decrease
Deoxy HbS
c) Aspirin
• INTERFERE WITH POLYMRIZATION  inhibit sickling
3. sodium butyrate : induce HbF production  CLINICAL IMPROVEMENT
4.Gene therapy
5.Family counselling
*side effects of cyanates  nerve damage
25% HbA ,50 % heterozygous Hb AS SA ,25%Homozygous
Inheritance of Hb variants
AA SA SC
25% 25% 25% DOUBLE 25% HETEROZYGOTE
HETEROZYGOTE
Hemoglobinopathies
TYPE OF
HEMOGLOBINOPATHIES
Mutation Amino acid
substitution
Codon
Hb S Beta 6 Glu  Val GAGGUG
Hb C Beta 6 Glu Lys GAGAAG
Hb E Beta 26 Glu Lys GAGAAG
Hb D (Punjab ) Beta 121 Glu Gln GAGCAG
Hb O (Arab ) Beta 121 Glu Lys GAGAAG
Hb SM PROXIMAL or distal
Histidine in Alpha or Beta
chain
His  Tyr CACUAC
HbM The first abnormal Hb
( Saskatoon )1948
Mutations of Hemoglobin
Abnormal -Hb Amino acids Code
change
m-RNA Type of Mutation
1 HbS Glu Val GAG 
GUG
CTC  CAC partially acceptable –
Transvers
2 Hb- M His Tyr CAU UAU Missense -NON PROTEIN –
PROPERTIES CHANGED
3 Hb Wyne Met Ser Cys Lys
↓
Met Leu Ala Lys
AUG UCU UGA AAA
↓
AUG CUU GAA AAA
Frame shift
4 Tyr  Termination of
polypeptide
UAC UAA Non sense –PREMATURE
TERMINATION –β Thalessemia
5 Hb constant spring Termination  Gln UAA  CAA Nonsense –chain elongation
6 Hb-P,Hb Q , Hb –N,Hb -J Glu  Asp
Hb Wyne Met Ser Cys Lys
↓
Met Leu Ala Lys
AUG UCU UGA AAA
↓
AUG CUU GAA AAA
Frame shift
Hb electrophoresis for
Heamoglobinopathies
Hb C/E / S/ H /
beta Thalessemia trait
Hb S /D/A2/C/ E -SAME ELECTROPHORETIC
MOBILITY
Hb E /HbC – Heterozygous
Hb E /HbC – Homozygous
ELECTROPHORETIC MOBILITY TOWARDS ANODE SLOWER THAN Hb A & Hb S
Hemoglobin D ( Punjab )
1. Most common Hb variant in Punjab
2. Glu  Gln ( 121 th position on beta chain )
3. No sickling
4. Severe condition
Hb E SIMILLAR MOBILITY AS A₂
Unstable Hb variants
Increased tendency to denature ( molecular aggregates within cells )
↓
Increased hemolysis
Chronic Heinz body Anemia ( CHBA )
unstable variants of Hb Hemoglobino pathy
α chain unstable variants Hb Torino
β chain unstable variants Hb Belefast
γ chain unstable variants Hb F Poole
Unstable Hb variants
Hemichrome
( denatured Hb )
Membrane bound Heinz bodies –trapped
in spleen hepato splenomeghaly –help
in identification ( hemolysis )
Hemoglobin Abnormal chain Codon & AA at position Resultant abnormality
Hb constant spring α chain UAA  CAA
(iterm  Glu )
Chain is stopped only at next stop
signal –extra 31 amino acids
Hb Icaria α chain UAA  AAA
(iterm  Lys )
Chain is stopped only at next stop
signal –extra 31 amino acids
Hb Wayne β chain Frame shift mutation 137 AA onwards changed
----------------------------------------------------------- ← UAA
↓
--------------------------------------------------------------------------
↑
CAA
Chain elongation
-------------------------------------------------------------------
↑
CAA
↑
--------------------------------- ← UAA Premature termination
137
137 UAA
FRAME SHIFT MUTATION -WAYNE
Body CHBA (Chronic Heinz Body anemia)
1. Autosomal dominant inheritance
2. Moderate –severe hemolytic anemia
3. Hemolytic jaundice(spleeno meghaly )
4. Diagnosis  supravital staining  microscopic examinationcresy
violet ( Bronze bodies  indentation trapped in spleen
hemolysis
5. Electrophoresis presence of abnormal band
6. No specific treatment
Hb variants with increased Oxygen affinity
• α chain variants (Hb Chesapeake )
• β chain variants (Hb Olympia )
Hb binds to oxygen
But difficulty in unloading
Tissue hypoxia
Increased hypoxia
Increased erythropoiesis
Erythrocytosis
Individuals are asymptomatic
CHBA (Chronic Heinz Body anemia)
CHBA (Chronic Heinz Body anemia)
1.Decreased cooperative effect
2.Oxygen dissociation curve (ODC )
shifted towards left
3. Diminished Bohr’s effect
4.Decreased interaction with 2,3 BPG
5.Autosomal dominant inheritance
Hb variants with decreased Oxygen affinity
Hb Kanas
Cyanosis
Hb Hope
1. No hemolytic anemia
2. No Meth hemoglobinomia
3. unstable
Hemoglobin M ( Hb M )
• Autosomal dominant inheritance
cyanosis
Oxygen binding is decreased
Met-Hb
Hemin
Hb gets oxidized
Proximal or distal Histidine of α or β chain replaced
Hemoglobin M ( Hb M )
1. Alpha 58 His Tyr ( Hb M Boston)
2. Beta 92His  Tyr ( Hb M Hyde park )
3. Most common Hb variant
4. Single base substitution or point mutation
5. Terminator colon mutation ( Constant spring /Constant Icaria )
6. Frame shift mutation Wyne 137 amino acid changed
altered amino acids after 138 amino acids abnormal
Terminator codon mutation
1. Elongated polypeptide
2. Premature chain termination
3. Frame shift mutation  Hb Wayne  137 th amino acid onwards
 abnormal synthesis up to 147 amino acids ( due to deletion of
one base pair )
Fetal hemoglobin ( Hb F )
• Hb 2 α chains & 2 delta chains ( delta chain 146 amino acids ,
39amino acids differ from beta chain )
Physical chemical properties of Hb F
1. Increased solubility of Deoxy HbF
2. slower electrophoretic mobility
3. Increased resistance of Hb F to alkali denaturation
4. Decreased interaction with 2,3 BPG
5. Hereditary persistence of HbF ( HPF ) increased HbF without
Thalassemia, no DELTA  BETA gene switching
6. Kleihour staining for Hb F detection
Fetal hemoglobin ( HbF )
• HbF has γ globin  less positive amino acids
• HbF weak binding to 2,3 BPG
• HbF has higher affinity for O₂ compared to adult Hb
• Binding affinity for O₂ of HbF > HbA ( transfer of O₂ from maternal
blood to fetus by HbFO ₂)
• Delivery of O₂ to fetus
Embryonic Hb - 3-8 weeks
Grover I -zeta ₂ Epsilon ₂ (ζ₂ ε₂ )
Grover II -ALPHA ₂ zeta ₂ ( α₂ ε₂ )
Fetal hemoglobin ( Hb F )
• Hb F – (2 α 2 γ )
• α globin not synthesized
• Synthesis γ & β chain continues  Tetramers (γ ₄ )—Hb Bart
• β ₄ Tetramers (β ₄ )—Hb H
• HbH lack Heme –Heme interaction
Hb H & Hb Bart
Hb lack Heme –Heme interaction
Oxygen dissociation curve -Hyperbolic
No delivery of sufficient oxygen to tissue
Fetal death
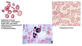
Thalassemia
• Thalassa  sea
• Hereditary
• hemolytic disorder
• Impairment /imbalance in synthesis of globin chains of globin
• Mediterranean sea /Central Africa /India /Far east
• Deficit of gene functions, amino acid sequence normal
Molecular basis of Thalassemia
• Normal hemoglobin = α₂β₂
• α Thalassemia (cause : decrease synthesis of α globin chain/s )
• β Thalassemia (cause : decrease synthesis of β globin chain/s )
1. Gene deletion & substitution
2. Under production or instability of mRNA
3. Defect in the initiation of chain synthesis
4. Premature chain termination
Thalassemia
α Thalassemia
1. α deletion are rare
2. Hb A decreased
3. Hb F increased
4. Hb A₂ increased
δ₂β₂ (delta beta Thalassemia )
1. Hb Lepore
2. Hereditary Persistence of HbF
Beta Thalassemia
Decreased synthesis or lack of the beta chain
Production of alpha chain continues
α₄ (tetramer )
Premature death of RBC
Beta Thalassemia
MINOR
HETEROZYGOUS/TRAIT
DEFECT IN SYNTHESIS OF ONE OUT OF TWO BETA
GENES ON CHROMOSOME 11
Asymptomatic
Some amount of beta globin from
affected gene
MAJOR
HOMOZYGOUS
DEFECT IN SYNTHESIS OF BOTH BETA
GENES ON CHROMOSOME 11
Healthy at birth anemia ,hypertension
,hepatospleenomeghaly
Beta globin is not synthesized during
fetal development
TYPE Number of missing genes Number of missing genes
1.Normal Nil Nil
2. Silent carrier 1 No symptoms
3. α Thalassemia Trait 2 Minor anemia
4. Hemoglobin H 3 Mild /moderate anemia
/normal life
5. Hydrops Fetalis 4 Fetal death occurs at birth
Alpha Thalassemia
Treatment of Thalassemia
1. Repeated blood transfusion
2.Spleenectomy  decrease lessen anemia
3. Bone marrow transplantation ( as bone marrow skull expands 
skull bone “ Hair on end appearance ”
4. Chemotherapy : Azacytidine
5 .Gene therapy /stem cell therapy on the way of success ?
Azacytidine
Activates dormant gene for γ globin-temporarily
Base is incorporated into repressed γ globin-
No methylation
Non methylated gene can be expressed
Expression of HbF
Treatment of Thalassemia-chemotherapy
CHEMOTHERAPY HAS LIMITED SUCCESS
1.Repeated blood transfusion 2.
•Transfusions:
• Regular blood transfusions to ensure non-anemic states and prevent some of the disease complications (Target Hb
90-100 g/L)
• Leukodepletion techniques are used to ensure less alloimmunization and non-hemolytic transfusion reactions.
• Testing for viruses is done to reduce transfusion transmitted infections
•Iron chelation:
• Deferoxamine/deferiprone work by binding serum iron and clearing it via the urine.
• Deferiprone has been shown to improve cardiac functioning (left ventricular ejection fraction; LVEF) in patients with
thalassemia major.
•Endocrine therapy:
• Administration of the deficient hormones (sex hormones and thyroid hormones)
• Use of fertility agents to induce spermatogenesis and achievement of pregnancy
• osteoclast inhibitors (bisphosphonates) to prevent osteopenia and osteoporosis.
•Splenectomy and cholecystectomy:
• Splenectomies often assist with reducing transfusion requirements
• Cholecystectomies are often required to the presence of bilirubin stones in the gallbladder.
TREATMENT OF THALESSEMIA PATIENTS
Hemoglobin Lepore
• Hemoglobin with 2 α + 2 δ chimeric chains
• δ (delta )chain β ( beta ) chain
• Homologous crossing over of chromosome  chimeric
Hemoglobin Lepore
Hereditary persistent fetal Hb ( HbF )
1. Increase in HbF
2. no clinical symptoms
3. Failure to switch over γ gene to β gene
Inheritance of Hb variants
• α chain inheritance
• α genes 4 (less likely to produce impairment )
• β genes  2 (β gene variant more common &severe than α chain
inheritance
• α chain variant constitute only 25%
Haemoglobin chemistry

Haemoglobin chemistry

  • 1.
  • 3.
    Structural Aspects ofhemoglobin • Molecular weight of hemoglobin (human)—67000 Dalton • Normal concentration of hemoglobin(male)—14-16 gm % • Normal concentration of hemoglobin(female)—13-15gm % • Hemoglobin =heme + globin (TOTAL 574 amino acids ) • Normal hemoglobin 97% HbA +2% Hb A2 + 1% HbF • Globin Structure of HbA (97% ) - 2 alpha chains + 2 beta chains • Alpha chain (each )–141 amino acids • Beta chain (each ) -146 amino acids • Hb F ( < 2% ) = 2 ALPHA chains +2 GAMMA chains • Hb A2 ( < 5% ) = 2 ALPHA chains +2 delta chains • Subunits held by non covalent interactions ,hydrophobic interactions ,ionic interactions
  • 8.
    Structural Aspects ofhemoglobin Type Composition & symbol % Total haemoglobin HbA1 α2β2 97% HbA2 α2δ2 5% Hb F α2γ2 2% HbA1 C α2β2 (GLYCATED HB ) <5% ( prognosis of Diabetes Mellitus ) 38 Histidine in one Hb molecule facilitates buffering action.
  • 9.
    Structural Aspects ofhemoglobin Polypeptide chain type symbol N TERMINAL END C TERMINAL END Alpha α VALINE Not specific Beta β VALINE HIS Gamma γ GLYCINE HIS Delta δ VALINE HIS
  • 10.
    Structural Aspects ofhemoglobin 1. Alpha chain gene 2 genes on chromosome 16 2. Beta ,gamma ,delta gene  a single gene on chromosome 11 3. Delta gene active during embryonic development 4. 2 gamma genes ( G γ-Grover /A γ) responsible for synthesis of Hb F 5. 2WEEKS OF GESTASTION CONC OF Hb F starts increasing 6. Concentration of Hb F is 80% at birth ,6months after birth concentration decreases less than 3% 7. Alpha gene 7 helical segments 8. Beta gene 8 helical segments 9. 38 Histidine molecules impart BUFFERING action
  • 12.
    Structural Aspects ofhemoglobin • Iso electric p H of HbA  6.85 • Iso electric p H of HbA 27.4 • During electrophoresis at p H 8.6( OF BARBITONE BUFFER ) both HbA& HbA 2 carry positive charge move towards negatively charged electrode ( cathode ) • Hb A moves faster to cathode than HbA 2
  • 15.
    Abnormal hemoglobin variants •Alpha chain mutation • Beta chain mutation • Hemoglobin variants • α gene family -2 genes on chromosome 16 • δ gene active in embryonic development • β gene family –single gene on chromosome 11(tandom genes ) • ε gene embryonic development • 2 γ genes ( G γ & A γ ) synthesis of HbF • 2 Weeks after gestation -80% at birth HbF , • decrease in HbF after birth- upto 6 months 3 % retained • δ gene (δ globin )  HbA2
  • 17.
    Haemoglobin Type Geneassembled Grover II α ₂ ε ₂ Grover I ζ ₂ ε ₂ HbF α ₂ γ ₂ Hb A2 α ₂ δ ₂ Hb A α ₂ β ₂
  • 19.
    Hemoglobinopathies – 400mutant of hemoglobin 1. Synthesis of abnormal hemoglobin 2. Production of insufficient quantities of normal hemoglobin (decreased synthesis of Beta chain in beta thalassemia ) 3. Both
  • 22.
    Structure of Hemoglobin •4 PYRROLE RINGS + 4 METHYL GROUPS + 2 VINYL GROUPS • METHYL –CH3 • VINYL –CH3CH2 • PROPINOYL –CH3CH2 CH2 • METHYL –CH3 • METHYLENE –CH2 • METHENYL -=CH
  • 31.
    Porphyrin ( C20H14N4) • Cyclic compounds  4 pyrrole rings held by methylene bridges ( -CH-) • Metal ion + Nitrogen atom of pyrrole ring to form complex  Metallo porphyrin • 8 hydrogen atoms substituted • Pyrrole ring   4 closed brackets  4 substitutes positions • Type I porphyrin  symmetrical arrangement of substituent groups on all 8 positions ( eg .Uroporphyrin I ) • Type III porphyrin  asymmetrical arrangement of substituent groups on all 8 positions ( eg .Uroporphyrin III )  Fisher IX
  • 32.
  • 33.
    Hans Fischer Model of 4pyrole rings ( porphyrins ) of Hemoglobin
  • 34.
    ←Oxygenated hemoglobin withO₂ Oxidized hemoglobin has Ferric ( Fe ⁺³ oxidized form of iron atom ) Deoxy Hb -O ₂ CARRYING CAPACITY LOST
  • 35.
    HEME GROUP • Ironatom of heme: Ferrous state (Fe ⁺² -reduced form of iron) Attached to Six coordinated bonds = 4 coordinated bonds planer + 1 coordinated bond linked to O₂ + 1 coordinated bond linked to His (64 ) of α or β globin chain Undergoes Fe ⁺² reduced form ↔ Fe ⁺³ oxidized form Heme is a constituent of Hemoglobin, catalase ,cytochromes ,chlorophylls ,Tryptophan pyrrolase .
  • 36.
    Alpha chain ofhemoglobin Alpha chain 1. 38 Histidine residues – ( buffering action ) 2. 58 th distal Histidine 3. 87 th  proximal Histidine ( lies near Fe²⁺ atom ) 4. Forces holding alpha & beta chains together are a) Van der Waals forces b) Hydrogen bonds c) Inter& intra electrostatic bonds
  • 37.
    Transport of oxygenby hemoglobin • Oxygenation :α₂β₂ subunits slip over each other ( 2x ( alpha –beta ) – salt bridges broken • Oxy –Hb - Relaxed form ( R ) - salt bridges broken on oxygenation • De - oxy –Hb  Tight form ( T ) –( 2 x α ) + ( 2 x β )
  • 39.
    Taut (T )& Relax ( R ) forms of hemoglobin • T conformation –electrostatic forces between COO- & NH2 group • ( taut tense ) Deoxy haemglobin • Hydrogen bonds & ionic bonds limit movement of monomers low affinity for monomers • R conformation –salt bonds broken HIGH AFFINITY FOR OXYGEN • ( 2x alpha )+(2xbeta)  2x (alpha –beta ) • Deoxy hemoglobin oxy hemoglobin • OXYGEN breaks salt bridges ( R form –high oxygen affinity ) • ALLOSTERIC BEHAVIOUR OF HAEMOGLOBIN
  • 40.
    Deoxy –Hb HbO₂ Hb O₄ Hb O₆ Hb O₈ T form ↓ ↓ ↓ ↓ ↓ ↑ R form Oxygenation of hemoglobin
  • 42.
    CO-OPERATIVE BINDING OFOXYGEN TO HEMOGLOBIN • Binding of oxygen to Heme will increase binding of oxygen to other heme • Affinity of oxygen for hemoglobin • Last oxygen binds with affinity 100 time greater than first oxygen • Heme –Heme interaction ( cooperative binding of oxygen to Heme ) • Release oxygen from one Heme will release oxygen from other • As there is communication between Heme groups of hemoglobin • Myoglobin is reservoir (transient )& supplier of oxygen Lung Tissue Oxygen concentration high Oxygen concentration low Oxygen binds to hemoglobin Oxygen is released to tissue
  • 43.
    Structural changes inhemoglobin on oxygen binding • Using x ray crystallographic study • Homotropic effect binding of oxygen to hemoglobin • Heterotrophic effect  binding of 2,3BPG to hemoglobin • Distance between two beta chain decreases oxygenation from 4nm to 2nm • Increasing affinity for oxygen with addition every molecule of oxygen • On oxygenation iron moves in plane of Heme • Decrease in diameter of iron (movement of iron accompanied by pulling of proximal Histidine • affinity of hemoglobin for last oxygen  first oxygen ( 100 times greater ) • Cooperative binding of oxygen to hemoglobin OR Heme –Heme interaction • Release of oxygen from one Heme  Release of oxygen from other Heme • Therefore communication between Heme groups of hemoglobin
  • 44.
    Structural changes inHb on oxygen binding • Structural change in one subunit of hemoglobin on oxygenation is communicated to other subunits • Binding of oxygen to one Heme distorts globin chain to which it is attached  distortion in neighboring chain oxygen binds more easily.
  • 46.
    On oxygenation ironmoves in plane of Heme  decrease in diameter of Iron movement of Fe Is accompanied by pulling of proximal site primary event of Heme –Heme interaction
  • 49.
    Difference between oxygenationand oxidation of Hemoglobin OXYGENATION OXIDATION IRON(Fe +2) IN FERROUS STATE IRON(Fe +3) IN FERRIC STATE CARRIER OF OXYGEN OXYGEN CARRYING CAPACITY IS LOST
  • 51.
    Transport of oxygenand carbon dioxide by hemoglobin
  • 52.
    Transport of oxygenand carbon dioxide by hemoglobin
  • 56.
    Binding of carbondioxide to Hemoglobin • Hb –NH2 + CO2 Hb-NH –COO - + H + • OXY –HAEMOGLOBIN  0.15 moles OF CO2 of /mole of heme • DEOXY – HAEMOGLOBIN 0.40 moles OF CO2 of /mole of heme • CO2 Stabilizes the T form formation of Deoxy hemoglobin  decreased oxygen affinity for hemoglobin
  • 57.
    Transport of carbondioxide in human body • 200 ml of CO ₂ /min produced in body In aerobic metabolism O₂ (1 mole ) utilized  CO₂ (1 mole ) liberated 1. ( 15% ) of CO₂ transport ( dissolved form)by Hb CO₂ + H ₂O  H ₂CO₃ HCO₃¯ + H⁺ 2. ( 85% ) of CO₂ transport in Bicarbonate form CO₂ + uncharged α amino acids of Hb  Carbamyl Hb Hb -NH ₂+ CO ₂↔Hb –NH-COO¯ + H⁺ ( BUFFERED BY Hb-Haldane effect )
  • 58.
    Transport of carbondioxide by Hemoglobin • Hb -NH₂ + CO ₂ ↔ Hb-NH -COO¯ ( Carbamoyl Hb)+ H⁺ • CO ₂ stabilizes the T form →decreased oxygen affinity for hemoglobin formation of Deoxy Hb HEMOGLOBIN CONCENTRATION OF CO₂ Oxy -Hb 0.15 mmol of CO₂ / moles of Heme Deoxy –Hb 0.40 mmol of CO₂ / moles of Heme
  • 59.
  • 62.
    Transport of oxygento tissue  Myoglobin : Reservoir (transient ) & supplier of oxygen Lung Tissue PO ₂ High low Oxygen binds hemoglobin Oxygen released to tissue
  • 64.
    Transport of oxygenby hemoglobin 1. Bind & transport large quantity of oxygen by Histidine 2. greater solubility 3. Powerful buffer 4. Release of oxygen at appropriate pressure
  • 65.
    Oxygen dissociation curve(ODC ) • Graphic representation of binding ability of haemoglobin with oxygen at different partial pressure of oxygen • Ability of hemoglobin to load & unload oxygen at physiological p O2 ( partial pressure of oxygen)
  • 68.
    Transport of oxygenby haemoglobin P O₂ (mm) of Hg % saturation Inspired air 158 Alveolar air 100 97% lung 90 Capillary bed 40 60% 37% - 40% O ₂ release of oxygen at tissue level
  • 73.
    Bohr’s effect : (1)binding of oxygen decreases with increase in concentration of hydrogen ions ( decrease in pH ) (2) Increase in concentration of carbon dioxide  decrease in pH ( increase in hydrogen ion concentration)  binding of oxygen to hemoglobin decreases  release of oxygen to tissue (3) Shift of oxygen curve to right (with increase in concentration of ,hydrogen ions ( decrease in pH ), carbon dioxide ,2,3 BPG ,Chloride ions ,temperature release of oxygen  decrease in % saturation of Hb with oxygen (4 ) RESPONSIBLE FOR RELEASE OF OXYGEN FROM OXY HAEMOGLOBIN TO TISSUE (with increase in concentration of ,hydrogen ions ( decrease in p H ), carbon dioxide ,2,3 BPG ,Chloride ions ,temperature )
  • 75.
    Bohr’s effect : Increasein concentration of hydrogen ( lower pH ) Binding of oxygen to hemoglobin decreases  release of oxygen to tissue  Shift of oxygen dissociation curve to right
  • 77.
    Shift of curvetowards right  % saturation decreases ( oxygen released from Heme ) BOHR’ S EFFECT -responsible for release of oxygen from oxy hemoglobin to the tissue ( increase in p CO₂ & decrease in pH ) is observed during metabolism of cell. Increase in Conc of 2,3 BPG & CHLORIDE (Cl ¯ )Shift of curve towards right Allosteric effectors : interact with Hb & release O ₂ from oxy-Hb A. 2,3 BPG B. CO₂ C. H ⁺ D. Cl¯
  • 78.
  • 79.
    Mechanism of Bohr’sEffect • Caused by binding of hydrogen & CO2 TO HEMOGLOBIN • Aspartic acid ( 94 ) is in close proximity with his 146 of beta chain of hemoglobin • Binding of hydrogen to Histidine is promoted by negative charge on aspartic acid • Ionic bond formed between negatively charged aspartic acid & positively charged Histidine formation of salt bridges • OXY –Hb( R-form )  DEOXY –Hb ( T-form )
  • 82.
    Oxy -hemoglobin Deoxy-hemoglobin pI 6.6 pI 6.8 More negatively charged  CATIONS REQUIRED TO REMOVE EXTRA NEGATIVE CHARGE . OXY –Hb + H ⁺  HHb + O ₂( released to tissue ) H ⁺ -trapped One proton  2 oxy molecule released Lung –oxygen concentration high 4 O₂ bind to one hemoglobin therefore 4x 0.6 = 2.4 protons released H-Hb + 4 O₂  Hb(O₂ ) + 2.4 H ⁺ One mill mole of Deoxy –Hb take up 0.6 mequ from 0.6 mequ of H ₂CO ₃
  • 87.
    TISSUE LUNG CO2 HIGHCO2 LOW HYDROGEN ION CONC HIGH HYDROGEN ION CONCENTRATION LOW CONCENTRATION OF OXYGEN LOW CONCENTRATION OF OXYGEN HIGH FORMATION OF DEOXY HAEMOGLOBIN FAVORED FORMATION OF OXY HAEMOGLOBIN FAVORED HISTIDINE PROTONATED HISTIDINE DEPROTONATED AFFINITY FOR OXYGEN DECREASES AFFINITY FOR OXYGEN INCREASES (HIGH PO2 ) Hb O 2 + H+  HbH + + O2 EQULLIBRIUM TOWARDS RIGHT EQULLIBRIUM TOWARDS LEFT CO2 BINDS ( Carbamoyl hemoglobin formation ) OXYGEN BINDS ( OXY Hb formation ) Removal of hydrogen ion from terminal amino group Removal of CO2 from Stabilizes Hb in T form(co2 binding releases oxygen to tissue ) CO2 BINDS LOOSELY TO R FORM
  • 88.
    Role of chloridein oxygen transport • Chloride bind to Deoxy hemoglobin with affinity greater than oxy hemoglobin • When chloride bind to Deoxy hemoglobin there is release of oxygen • Influx of chloride into cell cytosol of RBC in peripheral tissue is accompanied by efflux of bicarbonate ions • Influx of bicarbonate ions into cell cytosol of RBC is accompanied by exflux of chloride in lung tissue • concentration of chloride ions
  • 89.
    ISOHYDRIC TRANSPORT OFCO₂ & CHLORIDE SHIFT
  • 90.
    Role of Chloride( Cl¯ ) in oxygen transport Chloride ( Cl¯ ) binds to de-oxy Hb (1) Chloride ( Cl¯ )binding to de-oxy Hb release of oxygen Deoxy –Hb chloride ion  release of O₂
  • 91.
    CHLORIDE SHIFT :Hamburger effect HCO₃¯ freely moves out TISSUE RBC : HCO₃¯ freely moves out & chloride enters to maintain electrical neutrality - Chloride shift – RBC Of venous blood bulge CHLORIDE ION ( Cl ¯ ) CONCENTRATION OF CHLORIDE IONS IS GREATER IN VENOUS BLOOD THAN ARTERIAL BLOOD
  • 92.
    CHLORIDE SHIFT :Hamburger effect HCO₃¯ LUNG RBC : chloride freely moves out & HCO₃¯enters to maintain electrical neutrality - Reversal of chloride shift – RBC Of venous blood bulge CHLORIDE ION ( Cl ¯ )
  • 93.
    Oxygen released CHLORIDE ENTERSRBC ERYTHROCYTE IN TISSUE CAPILLARY : CHLORIDE SHIFT
  • 94.
    ERYTHROCYTE IN LUNGCAPILLARY : CHLORIDE SHIFT → TO EXPIRED AIR CHLORIDE LEAVES RBC ← HCO ₃¯ ENTERS RBC OXYGEN ENTERS
  • 96.
    Hb acts asbuffer Hb act as buffer For every 2 protons bound to Hb 4O ₂ released CARBONIC UNHYDRASE FOUND IN RBC.
  • 97.
    Significance of 2,3BPG (Bi Phospho glyceride) Increased stability Deoxy Hb confirmation by 2,3 BPG ( Mammals )
  • 98.
    Effect of 2,3BPG on oxygen affinity of Hb • Most abundant phosphate in RBC • Molar concentration of 2,3 BPG = Molar concentration of Hb • Synthesis ( synthesis through Rapport Leubering cycle) 2, 3 BPG mutase ( Glycolysis ) 1,3 BPG 2,3 BPG • Retinholds & Ruth Benesch’s (1967 ) 2,3 BPG decreases affinity of Oxygen to Hemoglobin • 2,3 BPG regulates the binding of oxygen • 1mole of 2,3 BPG binds to 1mole of Deoxy Hb not to oxy –Hb • Molecular concentration 2,3 BPG = Molecular concentration OF hemoglobin • HbO₂ + 2,3 BPG  Hb 2,3 BPG + O₂ ( release of O₂ ) ( Oxy –Hb ) ( De-oxy Hb) • At partial pressure of O₂ in tissue  2,3 BPG shift curve towards right
  • 109.
    2,3 BPG &Hemoglobin • 2,3 BPG decrease p H 6.95 ( intracellular in RBC ) • Binding of 2,3 BPG to Deoxy Hb- stabilization of T confirmation • Biding of 2,3 BPG stabilizes Deoxy Hb • Hb + 2,3 BPG Hb2.3 BPG ( Deoxy Hb bound to 2,3BPG )+ O₂ (release of O₂ to the tissue )there fore 2,3 BPG regulates binding of oxygen to Deoxy Hb
  • 110.
    Clinical significance of2,3 BPG • Release of oxygen to tissue ( supply of oxygen to tissue ) • To cope with oxygen demand  varied concentration of 2,3 BPG 1. Hypoxia : concentration of 2,3 BPG in RBC increases in chronic hypoxic conditions Adaptation to high altitude Obstruction to pulmonary odema ( air flow in bronchial blocked ) • 2. Anemia : concentration of 2,3 BPG in RBC increases in chronic anemic conditions  to cope with O₂ demand of body even at low Hb concentration
  • 111.
    Clinical significance of2,3 BPG • 3. Blood Transfusion : storage of blood in acid citrate dextrose  decrease in concentration of 2,3, BPG ( O₂ remains bound to Hb ) • Blood stored in ACD fails to supply O₂ to tissue with 24-48 hrs 2,3 BPG restored • O₂ supply /tissue O₂ demand is met adequately after 24-48 hrs. • Blood with (ACD )+ Inosine ( Hypoxanthine Ribose )  prevent decrease in 2,3, BPG • Inosine phosphorylation of tissue entry into HMP shunt  get converted to 2,3, BPG increase in Conc in 2,3, BPG  release of oxygen
  • 114.
    Myoglobin 1. Monomeric O₂binding protein 2. Molecular weight -17000 3. Concentration in Heart & skeletal muscles: 2.5gm/100gm 4. Single polypeptide with 153 amino acids 5. pI= 6.5 6. Reservoir for O₂ ( carrier of O₂ is His 92 of Heme ) 7. 90 % saturation at 30nm pO₂( Hb 50% saturated ) 8. Binding of O₂ to Hb ( one Hb  4 Heme 4 O₂ , one myo  1 heme 1 O₂ molecule ) 9. Absorbance spectra –oxy Hb 582,542 nm
  • 120.
    Oxygen dissociation curve Myoglobin: hyperbolic Hb- sigmoid Affinity for O₂ of Myoglobin> Hb Half saturation (50% )-myoglobin is at 1mm & for Hb 26 mm No Bohr’ s effect No cooperative binding No 2,3 BPG effect Mb + O₂ ↔ Mb O₂ Hb O₂ O₂  Mb O₂  O₂ CELLS ( FOR RESPITATION) Severe exercise PO₂  5mm Hg  release of oxygen
  • 123.
    NORMAL HAEMOGLOBIN DERIVATIVES HAEMOGLOBIN DERIVATIVES COLORCONCENTRATION Oxy –Hb Red 97% Deoxy –Hb purple Cyanosis > 5% CO –Hb Cherry red 0.16% Sulph –Hb Green High in cockroaches
  • 125.
    Abnormal derivatives 1.Meth Hb( synthesis in living system by H₂O₂, drugs ,free radicals 2. Carboxy Hb
  • 126.
    Meth Hemoglobin –Meth-Hb • Concentration of serum Meth- Hb= ( < 1% ) • Brown color of dried blood ( Meth –Hb ) & meat ( meth- myoglobin ) Normal Hemoglobin Meth- Hb synthesis by oxygenation synthesis by oxidation ( BY H2O2 ,free radicals ,drugs ) O ₂ loosely binds Fails to bind to O ₂ ( H₂O molecule occupies O ₂ site in Heme ) Fe ²⁺ state ( Ferrous ) –no oxidation of Fe ²⁺ ( ferrous ) to ferric ( Fe³⁺ ) Fe ²⁺ Fe³⁺
  • 129.
  • 131.
    Meth –Hb reductase 75% NADH DEPENDENT 20 % NADPH DEPENDENT 5% GLUTATHIONE DEPENDENT
  • 132.
    Concentration of serumMeth Hb > 1% (normal < 1% ) Decrease capacity for oxygen binding therefore transport Increase concentration of Meth –Hb  (Cyanosis ) Meth Hemoglobinaemia ( acquired or congenital)
  • 133.
    Congenital Meth Hemoglobinaemia •Hemoglobin M ( proximal or distal Histidine of α or β globin chain replaced by Tyrosine • Deficiency of cytochrome b5 reductase • 10-15% Hb as Meth –Hb ( normal < 1% )
  • 134.
    Histidine -----------------------------Histidine •58 distal87 proximal Histidine ------------------------------Histidine •63 distal 92 proximal α Globin chain β Globin chain Mutation in hemoglobin- Histidine to Tyr ( formation of Meth-Hb )
  • 135.
    Acquired or ToxicMeth Hemoglobinaemia 1. Drinking of water contain Aniline dyes or nitrates 2. Drugs –Acetaminophen, Phenacein, Sulphanilamide ,Amyl nitrite , Na- nitroprusside 3. Person with G-6 –PD deficiency
  • 136.
    NADPH synthesis ↓ Decrease dependentMeth–Hb reductase (Normal-75%) Deficient HMP Person with G-6 –PD deficiency
  • 137.
    MANIFESTATION OF DISEASEEASILY TREATMENT – SMALL DOSES OF REDUCING AGENTS DECREASE IN METH-Hb  Hb ( inadequate ) 5% NADPH dependent Meth Hb reductase
  • 138.
    Meth –Hemoglobinaemia Treatment ofAcquired Meth –Hemoglobinaemia 2mg/ body Kg weight intravenous leucomethylene blue substitute for NADPH Preparation of Meth –Hb in laboratory 5 drops of blood + sodium Ferri-cyanide (oxidizing agent ) formation of Meth hemoglobin (brown )-dark band at 633 nm (red region ) Preparation of Reduced –Hb in laboratory 5 drops of blood + Sodium dithionite  reduced Hb ( purple ) reversible reaction ( reversed by atmospheric oxygen )
  • 139.
  • 140.
    • ( a) Ascorbic acid • (200- 500 mg/day) • (b ) Methylene blue • -200-500 mg/day • Gene therapy Treatment of Meth Hemoglobinaemia Decrease level of Meth –Hb to 5-10% (cyanosis reversed)
  • 141.
    Carboxy –Hb (CO-Hb) Carbon monoxide ( CO ) 1. produced by incomplete combustion –occupational hazard 2. Colorless 3. Odorless 4. Tasteless 5. Toxic industrial pollutant 6. Affinity of CO for Hemoglobin is 200 more than that for Oxygen( O₂ ) 7. NORMAL INDIVIDUAL SMOKER CONCENTRATION OF CO –Hb < 0.16 gm % > 4 gm% One cigarette  10-20 ml of CO in Lungs
  • 142.
  • 143.
    Clinical manifestation ofincreased CO 1. Conc of CO-Hb > 20 gm% 2.Head ache 3. Nausea 4.Vommitting 5. Breathlessness 6. Irritability 7. 40-60 % saturation of Hb with CO  DEATH 8.
  • 145.
    Identification of CO-Hbby absorption spectroscopy • Band pattern for normal Hb & CO –Hb similar ( band 580 & 540nm ) Normal Hb Reduced Hb Oxy – Hb Deoxy Hb Entry of O₂ Oxy – Hb reformed (reversible ) Carboxy Hb Fails to form Reduced Hb Carboxy Hb (CO high affinity for Hb ) Na- Dithionite vigorous shaking
  • 146.
  • 148.
    SICKLE CELL ANAEMIA-SICKLECELL HAEMOGLOBIN • 1957-first sickle cell hemoglobin (Hb S ) • FIRST MOLECULAR DISEASE  ONE GENE ONE PROTEIN( Beadle & Taum ) Crescent shape ( low hemoglobin content )
  • 149.
    Occurrence of sicklecell anemia • Tropical area –black population25% population Heterozygous ,central part of & east part of India (scheduled tribe =ST)
  • 151.
    MOLECULAR BASIS OFSICKLE CELL ANAEMIA Linus Pauling ( 1954 Noble prize ) reported abnormal electrophoretic mobility & peptide mapping Glutamic acid ( sixth position on beta globin chain ) replaced by Valine (Recessive Mutation ) Hb A & Hb F PREVENT SICKLING
  • 154.
    Sickle cell disease 1.Glutamic acid  Valine (HbS )—hydrophilic to hydrophobic amino acid 2. Stickiness on surface of a Hb molecule 3. polymerization of Hb in RBC Distortion of RBC into sickle shaped 4. Deoxy HbS –protrusion on one side and cavity on other side 5. Many molecule adhere together 6. Deletion of HbS  temp & pH dependent 7. Solubility is minimal at pH 6.35 8. Solubility increases with increase in pH
  • 155.
  • 156.
    Sickle cell disease •solubility is minimum at pH 6.35 • solubility increases with increase in pH • decrease in oxygen saturation & Hb concentration • increase in proportion of polymeric & soluble molecules
  • 157.
    Sickle cell disease •HbS bind & transport oxygen • Decrease in oxygen saturation & Hb concentration relative proportion of polymeric & soluble molecules • Deoxygenated state sickling  viscosity of blood increases  slows down the circulation decrease in oxygen tension- further sickling • Vicious cycle
  • 158.
    DE OXYGENATED STATE SICKLING VISCOCITYOF BLOOD INCREASES SLOWS DOWN CIRCULATION OXYGEN TENSION DECREASES FURTHER SICKLING
  • 159.
    DE OXYGENATED STATE SICKLING VISCOCITY OF BLOOD INCREASES SLOWSDOWN CIRCULATION OXYGEN TENSION DECREASES FURTHER SICKLING Viscous cycle of sickling
  • 162.
    Mechanism of sicklingin sickle cell anemia • Glutamic acid replaced by Valine on beta chain at sixth position • Decrease in solubility of HbS (Deoxy HbS )—T form • Solubility of HbS ( OXY Hb S ) unaffected • HbA lack sticky patches • Formation of long aggregates of Deoxy HbS polymerization of HbS – (Deoxy ) fibrous PPT Stiff fibers distorts RBC (SICKLE ) LYSIS • Sickle cells plug capillaries  occlusion of major vessels infarction of organ ( spleen ) death occurs in second decade of life
  • 163.
    Formation of longaggregates of Deoxy HbS Sticky patches of one HbS ( Deoxy Hb)+ receptors of another HbS ( DEOXY )  AGGREGATE polymerization of HbS –(Deoxy ) Fibrous precipitate Stiff fibres distorts RBC ( SICKLE ) Lysis
  • 165.
    Sickle cell Plug incapillaries Occlusion of major vessels Interaction in organ (spleen ) Death occurs in second decade of life
  • 172.
    HbS gives protectionagainst plasmodium falciparum  causative of malaria • Normal RBC (malaria parasite enters)  multiplies  RBC lysis hemolytic anemia • RBC with sickle cell trait  malarial parasite enters  could not multiply  no malaria, no RBC lysis  normal health 1. Shorter life span of RBC carrying HbS interrupts parasite cycle Malaria parasite  increase in acidity( decrease in pH )increase in sickling RBC to 40% (normal 2% ) lysis of RBC 2. Low potassium level in sickled cells unfavorable for parasite  sickle cell trait is an adaptation for survival of individual in malarial infested region Life span of sickle cell (homozygous )< 20yrs
  • 174.
    Sickle cell anemia Homozygous 1.Twomutant genes (one from each parent)that code for beta chain 2.RBCs contain HbS 3.Sickle cell disease 4.Life span < 20years Heterozygous 1 .one gene of beta chain is affected other gene normal 2.RBCs contain Hbs & HbA 3.Sickle cell trait 4.Normal life –no clinical symptoms
  • 177.
    Abnormalities associated withHbS 1. Life long hemolytic anemia-RBC fragile  continuous hemolysis 2.Tissue damage & pain  sickle cells block capillaries poor blood supply to tissue extensive damage inflammation pain 3.Increased susceptibility to infection 4. Premature Death -Homozygous life span < 20yrs
  • 178.
    Diagnostic of sicklecell anemia 1.Sickling test: blood smear + reducing agent ( sodium dithionite ) microscopic examination Normal individual- sickle cells < 2% , sickle cell patient - sickle cell > 2% 2.solubility test : hem lysate in presence of reducing agent opalescence in hemolysate (presence of Deoxy HbS ) 3. ELECTROPHORESIS OF Hb: Glutamic acid (- ve charged )  Valine ( neutral )  decreased mobility towards anode 4. Finger printing technique –Ingram 5.Sourthen blot
  • 179.
    Management of sicklecell disease 1.Repeated blood transfusions  iron overload ( Iron chelater Des ferroxamine ) cirrhosis 2.Treatment ( anti sickling agents ) a) Urea b) *Cyanates (0.1 N) increase affinity for oxygen toHbS  Decrease Deoxy HbS c) Aspirin • INTERFERE WITH POLYMRIZATION  inhibit sickling 3. sodium butyrate : induce HbF production  CLINICAL IMPROVEMENT 4.Gene therapy 5.Family counselling *side effects of cyanates  nerve damage
  • 181.
    25% HbA ,50% heterozygous Hb AS SA ,25%Homozygous
  • 182.
  • 183.
    AA SA SC 25%25% 25% DOUBLE 25% HETEROZYGOTE HETEROZYGOTE
  • 186.
    Hemoglobinopathies TYPE OF HEMOGLOBINOPATHIES Mutation Aminoacid substitution Codon Hb S Beta 6 Glu  Val GAGGUG Hb C Beta 6 Glu Lys GAGAAG Hb E Beta 26 Glu Lys GAGAAG Hb D (Punjab ) Beta 121 Glu Gln GAGCAG Hb O (Arab ) Beta 121 Glu Lys GAGAAG Hb SM PROXIMAL or distal Histidine in Alpha or Beta chain His  Tyr CACUAC HbM The first abnormal Hb ( Saskatoon )1948
  • 187.
    Mutations of Hemoglobin Abnormal-Hb Amino acids Code change m-RNA Type of Mutation 1 HbS Glu Val GAG  GUG CTC  CAC partially acceptable – Transvers 2 Hb- M His Tyr CAU UAU Missense -NON PROTEIN – PROPERTIES CHANGED 3 Hb Wyne Met Ser Cys Lys ↓ Met Leu Ala Lys AUG UCU UGA AAA ↓ AUG CUU GAA AAA Frame shift 4 Tyr  Termination of polypeptide UAC UAA Non sense –PREMATURE TERMINATION –β Thalessemia 5 Hb constant spring Termination  Gln UAA  CAA Nonsense –chain elongation 6 Hb-P,Hb Q , Hb –N,Hb -J Glu  Asp Hb Wyne Met Ser Cys Lys ↓ Met Leu Ala Lys AUG UCU UGA AAA ↓ AUG CUU GAA AAA Frame shift
  • 188.
    Hb electrophoresis for Heamoglobinopathies HbC/E / S/ H / beta Thalessemia trait
  • 189.
    Hb S /D/A2/C/E -SAME ELECTROPHORETIC MOBILITY Hb E /HbC – Heterozygous Hb E /HbC – Homozygous
  • 191.
    ELECTROPHORETIC MOBILITY TOWARDSANODE SLOWER THAN Hb A & Hb S
  • 192.
    Hemoglobin D (Punjab ) 1. Most common Hb variant in Punjab 2. Glu  Gln ( 121 th position on beta chain ) 3. No sickling 4. Severe condition
  • 194.
    Hb E SIMILLARMOBILITY AS A₂
  • 196.
    Unstable Hb variants Increasedtendency to denature ( molecular aggregates within cells ) ↓ Increased hemolysis
  • 197.
    Chronic Heinz bodyAnemia ( CHBA ) unstable variants of Hb Hemoglobino pathy α chain unstable variants Hb Torino β chain unstable variants Hb Belefast γ chain unstable variants Hb F Poole
  • 198.
    Unstable Hb variants Hemichrome (denatured Hb ) Membrane bound Heinz bodies –trapped in spleen hepato splenomeghaly –help in identification ( hemolysis )
  • 199.
    Hemoglobin Abnormal chainCodon & AA at position Resultant abnormality Hb constant spring α chain UAA  CAA (iterm  Glu ) Chain is stopped only at next stop signal –extra 31 amino acids Hb Icaria α chain UAA  AAA (iterm  Lys ) Chain is stopped only at next stop signal –extra 31 amino acids Hb Wayne β chain Frame shift mutation 137 AA onwards changed
  • 200.
    ----------------------------------------------------------- ← UAA ↓ -------------------------------------------------------------------------- ↑ CAA Chainelongation ------------------------------------------------------------------- ↑ CAA ↑ --------------------------------- ← UAA Premature termination
  • 201.
    137 137 UAA FRAME SHIFTMUTATION -WAYNE
  • 202.
    Body CHBA (ChronicHeinz Body anemia) 1. Autosomal dominant inheritance 2. Moderate –severe hemolytic anemia 3. Hemolytic jaundice(spleeno meghaly ) 4. Diagnosis  supravital staining  microscopic examinationcresy violet ( Bronze bodies  indentation trapped in spleen hemolysis 5. Electrophoresis presence of abnormal band 6. No specific treatment
  • 203.
    Hb variants withincreased Oxygen affinity • α chain variants (Hb Chesapeake ) • β chain variants (Hb Olympia )
  • 204.
    Hb binds tooxygen But difficulty in unloading Tissue hypoxia Increased hypoxia Increased erythropoiesis Erythrocytosis Individuals are asymptomatic CHBA (Chronic Heinz Body anemia)
  • 205.
    CHBA (Chronic HeinzBody anemia) 1.Decreased cooperative effect 2.Oxygen dissociation curve (ODC ) shifted towards left 3. Diminished Bohr’s effect 4.Decreased interaction with 2,3 BPG 5.Autosomal dominant inheritance
  • 206.
    Hb variants withdecreased Oxygen affinity Hb Kanas Cyanosis Hb Hope 1. No hemolytic anemia 2. No Meth hemoglobinomia 3. unstable
  • 207.
    Hemoglobin M (Hb M ) • Autosomal dominant inheritance cyanosis Oxygen binding is decreased Met-Hb Hemin Hb gets oxidized Proximal or distal Histidine of α or β chain replaced
  • 208.
    Hemoglobin M (Hb M ) 1. Alpha 58 His Tyr ( Hb M Boston) 2. Beta 92His  Tyr ( Hb M Hyde park ) 3. Most common Hb variant 4. Single base substitution or point mutation 5. Terminator colon mutation ( Constant spring /Constant Icaria ) 6. Frame shift mutation Wyne 137 amino acid changed altered amino acids after 138 amino acids abnormal
  • 209.
    Terminator codon mutation 1.Elongated polypeptide 2. Premature chain termination 3. Frame shift mutation  Hb Wayne  137 th amino acid onwards  abnormal synthesis up to 147 amino acids ( due to deletion of one base pair )
  • 213.
    Fetal hemoglobin (Hb F ) • Hb 2 α chains & 2 delta chains ( delta chain 146 amino acids , 39amino acids differ from beta chain ) Physical chemical properties of Hb F 1. Increased solubility of Deoxy HbF 2. slower electrophoretic mobility 3. Increased resistance of Hb F to alkali denaturation 4. Decreased interaction with 2,3 BPG 5. Hereditary persistence of HbF ( HPF ) increased HbF without Thalassemia, no DELTA  BETA gene switching 6. Kleihour staining for Hb F detection
  • 214.
    Fetal hemoglobin (HbF ) • HbF has γ globin  less positive amino acids • HbF weak binding to 2,3 BPG • HbF has higher affinity for O₂ compared to adult Hb • Binding affinity for O₂ of HbF > HbA ( transfer of O₂ from maternal blood to fetus by HbFO ₂) • Delivery of O₂ to fetus
  • 216.
    Embryonic Hb -3-8 weeks Grover I -zeta ₂ Epsilon ₂ (ζ₂ ε₂ ) Grover II -ALPHA ₂ zeta ₂ ( α₂ ε₂ )
  • 222.
    Fetal hemoglobin (Hb F ) • Hb F – (2 α 2 γ ) • α globin not synthesized • Synthesis γ & β chain continues  Tetramers (γ ₄ )—Hb Bart • β ₄ Tetramers (β ₄ )—Hb H • HbH lack Heme –Heme interaction
  • 223.
    Hb H &Hb Bart Hb lack Heme –Heme interaction Oxygen dissociation curve -Hyperbolic No delivery of sufficient oxygen to tissue Fetal death
  • 225.
    Thalassemia • Thalassa sea • Hereditary • hemolytic disorder • Impairment /imbalance in synthesis of globin chains of globin • Mediterranean sea /Central Africa /India /Far east • Deficit of gene functions, amino acid sequence normal
  • 228.
    Molecular basis ofThalassemia • Normal hemoglobin = α₂β₂ • α Thalassemia (cause : decrease synthesis of α globin chain/s ) • β Thalassemia (cause : decrease synthesis of β globin chain/s ) 1. Gene deletion & substitution 2. Under production or instability of mRNA 3. Defect in the initiation of chain synthesis 4. Premature chain termination
  • 232.
    Thalassemia α Thalassemia 1. αdeletion are rare 2. Hb A decreased 3. Hb F increased 4. Hb A₂ increased δ₂β₂ (delta beta Thalassemia ) 1. Hb Lepore 2. Hereditary Persistence of HbF
  • 237.
    Beta Thalassemia Decreased synthesisor lack of the beta chain Production of alpha chain continues α₄ (tetramer ) Premature death of RBC
  • 238.
    Beta Thalassemia MINOR HETEROZYGOUS/TRAIT DEFECT INSYNTHESIS OF ONE OUT OF TWO BETA GENES ON CHROMOSOME 11 Asymptomatic Some amount of beta globin from affected gene MAJOR HOMOZYGOUS DEFECT IN SYNTHESIS OF BOTH BETA GENES ON CHROMOSOME 11 Healthy at birth anemia ,hypertension ,hepatospleenomeghaly Beta globin is not synthesized during fetal development
  • 249.
    TYPE Number ofmissing genes Number of missing genes 1.Normal Nil Nil 2. Silent carrier 1 No symptoms 3. α Thalassemia Trait 2 Minor anemia 4. Hemoglobin H 3 Mild /moderate anemia /normal life 5. Hydrops Fetalis 4 Fetal death occurs at birth Alpha Thalassemia
  • 257.
    Treatment of Thalassemia 1.Repeated blood transfusion 2.Spleenectomy  decrease lessen anemia 3. Bone marrow transplantation ( as bone marrow skull expands  skull bone “ Hair on end appearance ” 4. Chemotherapy : Azacytidine 5 .Gene therapy /stem cell therapy on the way of success ?
  • 258.
    Azacytidine Activates dormant genefor γ globin-temporarily Base is incorporated into repressed γ globin- No methylation Non methylated gene can be expressed Expression of HbF Treatment of Thalassemia-chemotherapy CHEMOTHERAPY HAS LIMITED SUCCESS
  • 259.
  • 261.
    •Transfusions: • Regular bloodtransfusions to ensure non-anemic states and prevent some of the disease complications (Target Hb 90-100 g/L) • Leukodepletion techniques are used to ensure less alloimmunization and non-hemolytic transfusion reactions. • Testing for viruses is done to reduce transfusion transmitted infections •Iron chelation: • Deferoxamine/deferiprone work by binding serum iron and clearing it via the urine. • Deferiprone has been shown to improve cardiac functioning (left ventricular ejection fraction; LVEF) in patients with thalassemia major. •Endocrine therapy: • Administration of the deficient hormones (sex hormones and thyroid hormones) • Use of fertility agents to induce spermatogenesis and achievement of pregnancy • osteoclast inhibitors (bisphosphonates) to prevent osteopenia and osteoporosis. •Splenectomy and cholecystectomy: • Splenectomies often assist with reducing transfusion requirements • Cholecystectomies are often required to the presence of bilirubin stones in the gallbladder. TREATMENT OF THALESSEMIA PATIENTS
  • 269.
    Hemoglobin Lepore • Hemoglobinwith 2 α + 2 δ chimeric chains • δ (delta )chain β ( beta ) chain • Homologous crossing over of chromosome  chimeric
  • 270.
  • 272.
    Hereditary persistent fetalHb ( HbF ) 1. Increase in HbF 2. no clinical symptoms 3. Failure to switch over γ gene to β gene
  • 282.
    Inheritance of Hbvariants • α chain inheritance • α genes 4 (less likely to produce impairment ) • β genes  2 (β gene variant more common &severe than α chain inheritance • α chain variant constitute only 25%