Endoscopic Ultrasound (EUS)  A Survey of Typical Applications Klaus Gottlieb, MD Clinical Associate Professor; University of Washington Vadim Brjalin  Lääne-Tallinna Keskhaigla   Updated by: Dr.Mohammad Shaikhani, Asistan profesor. Sulaymanyiah University, College of Medicine. Department of Medicine. Sulaymanyiah GIT/Hepaatology center.
EUS
 
EUS Indications
EUS: EUS – a new methode in the diagnosis of oesophageal, gastric, biliopancreatic, anal disorders  and intramural lesions of the gastrointestinal tract ;It helps  staging  of the  GI  cancer;  It also allows to stage the lung cancer and detect lymph nodes in the mediastinum; it allows to perform different interventional diagnostic (FNA, drainage) and therapeutic procedures(celiac axis neurolysis, injection of activated lymphocytes into pancreatic tumor).   Ideally suited to the TNM classification for tumor staging as it can accurately assess the depth of tumor penetration, the presence of locoregional nodal metastases and can detect vascular invasion. EUS-guided FNA biopsy allows for cytopathological diagnosis of malignant primary tumors and is superior to other imaging modalities for confirmation of nodal metastases
EUS Indications (1) 1. Staging of esophageal, gastric and rectal cancer  2. Evaluation of abnormalities of the gastrointestinal wall or adjacent structures (submucosal masses, extrinsic compression)  3. Evaluation of thickened gastric folds  4. Diagnosis (FNA) and staging of pancreatic cancer  5. Evaluation of pancreatic abnormalities (suspected masses, cystic lesions including pseudocysts, suspected chronic pancreatitis)
EUS Indications (2) 6. Staging of ampullary neoplasms  7. Diagnosis and staging of cholangiocarcinoma  8. Evaluation of suspected choledocholithiasis  9. Celiac plexus neurolysis for chronic pain due to intra-abdominal malignancy or chronic pancreatitis  10. Lung cancer diagnosis and staging
Staging of Esophageal Gastric& Rectal Cancer TNM System
 
 
 
 
 
 
 
 
Celiac LN in T3 Esophageal Cancer
T3 Esophageal Cancer   Aorta   <invasion   <Muscularis Propria   LN   Azv
 
 
 
Normal stomach
MALTOMA in stomach:
MALTOMA in stomach: MALT involving Muscularis
Bi-lobed leomyma in stomach: MALT involving Muscularis
Gastric Cancer: T1
Gastric Cancer: T1
Gastric Cancer: T2
Gastric Cancer: T3
 
Rectum: normal
Rectal Cancer:T2N0
Same Rectal Cancer T3N1: Untreated, 4 months later
Rectal ca
A large perirectal mass is seen invading the rectal wall. FNA biopsy (Pentax FG-32UA) of the mass confirmed recurrence of prostatic cancer (inset).
Abnormalties of GI tract wall The 5 layers
Submucosal Gastric Tumor
Biopsy this?
Gastric Varix: Biopsy not recommended
Thickened Gastric Folds Hyperacidic states Hypoproteinemia  Lymphoma  Eosinophilic gastroenteritis Varices Menetrier’s disease Crohn’s
Linitis Plastica
MALT Lymphoma
Diagnosis and Staging of Pancreatic Cancer
Periduodenal Collaterals
The Cause: Pancreatic Cancer
Rapidly Growing Pancreatic Mass
EUS FNA
Evaluation of Pancreatic Abnormalties
Evaluation of Pancreatic Abnormalties
Evaluation of Pancreatic Abnormalties
Evaluation of Pancreatic Abnormalties
Pancreatic Pseudocyst
Chronic Pancreatitis
Fatty Infiltration of the Pancreas
Pancreatic mass?
 
 
 
 
Benign Adrenal Adenoma !
Evaluation of Ampullary Neoplasms
Ampullary Carcinoma
Ampullary Carcinoma  (cont.)
Ampullary Adenoma
Ampullary Adenoma
Diagnosis and Staging of Cholangiocarcinoma
Cholangiocarcinoma
Another Cholangiocarcinoma
Suspected Choledocholithiasis
Choledocholithiasis
Choledocholithiasis  (cont.)
Choledocholithiasis  (cont.)
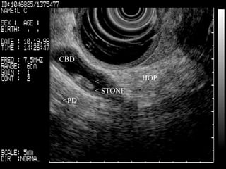
CBD   <  < STONE   <PD   HOP
<CBD stone   Duod
CBD Sludge  PV  HOP   GB Sludge
Gallbladder sludge and stone
 
Injection Therapy
Celiac Plexus Block
Tumor Therapy
Alcohol Injection into a Mediastinal Metastasis compressing the Esophagus
Lung Cancer
ATS Lymph Node Map
Surgery and then Recurrence?
EUS guided FNA of Area 7 LN
 
 
 
 
 
 
 
 
 
 
 
 
 
 
 
 
 
 
 
Keep in touch!

Git Endoscopic Ultrasound.