Evidence Based Management of
Endometrioma
Salah Roshdy Ahmed
Professor of Obstetrics & Gynecology
Sohag University
Definition
• Endometrioma (“chocolate cyst”):
is best defined as blood-containing
pseudo-cyst arising from growth of
ectopic endometrial tissue, which
progressively invaginates the ovarian
cortex.
Definition
• Characteristically adherent to surrounding
structures, such as the peritoneum, fallopian
tubes, and bowel.
• – Definitive diagnosis based on histopathology
(endometrial tissue and hemosiderin laden
macrophages)
• – US/imaging evidence is supportive
4
This is a section through an enlarged 12 cm ovary to
demonstrate a cystic cavity filled with old blood
typical for endometriosis with formation of an
endometriotic, or "chocolate", cyst.
Ovarian Endometriosis
(Endometrioma)
• Formed by invagination of the
ovarian cortex after accumulation
of menstrual debris from bleeding
of endometriotic implants.
6
Pathology
• Peritoneal inflammation and fibrosis
• Adhesions
• Ovarian cysts
• Deep nodules
Typical Clinical Presentation of
Endometrioma
Chronic or acute pelvic pain
• Dysmenorrhea
• Dyspareunia
• Infertility
• Dyschezia / bowel symptoms / rectal bleeding
• Urinary symptoms / haematuria
• Diagnosed in patients with or without h/o diagnosed
endometriosis. N.B. Endometrioma is the most
common manifestation of endometriosis and the
longest lasting.
Associations
• Menorrhagia (adenomyosis)
• IBS
• PID
• Chronic pain syndromes
• Depression
Mechanisms of pain
• Inflammatory cytokines in the peritoneal
cavity
• Focal bleeding from implants
• Irritation and direct infiltration of nerves
• Hormonal modulation: pain threshold
Endometrioma & Infertility
• The pathogenesis of infertility in women with
endometriosis has not been clearly
understood except in cases of distorted pelvic
anatomy.
• Even in women undergoing IVF, pregnancy
rates were found to be lower in patients with
endometriosis compared with those with
tubal factor infertility.
• The effect of endometrioma per se on fertility
has not been adequately investigated as it is
rare to find isolated endometrioma without
surrounding peritoneal disease.
• It may be speculated that the inflammatory
reaction typically associated with the presence of
endometriosis may play a role.
• Alternatively, the expanding ovarian cyst may
cause pressure atrophy of the ovarian tissue or
affect the normal vascularization of the ovary.
• Nakahara et al. (1998) found a higher incidence
of apoptotic bodies in the ovarian membrane
granulosa of patients with endometriosis than
that of a control.
• Currently, there is insufficient data to clarify
whether the endometrioma-related damage
to ovarian reserve precedes or follows surgery.
• It has been shown that ovaries with
endometriotic cysts already exhibited reduced
number of follicles and vascular activity
compared with other types of benign cysts.
Postulation
• Impaired folliculogenesis.
• Toxic effect of cytokines on oocyte or embryo
quality .
• Disordered fertilization and embryo
implantation.
• Distorted adnexal anatomy
• Ovarian cysts.
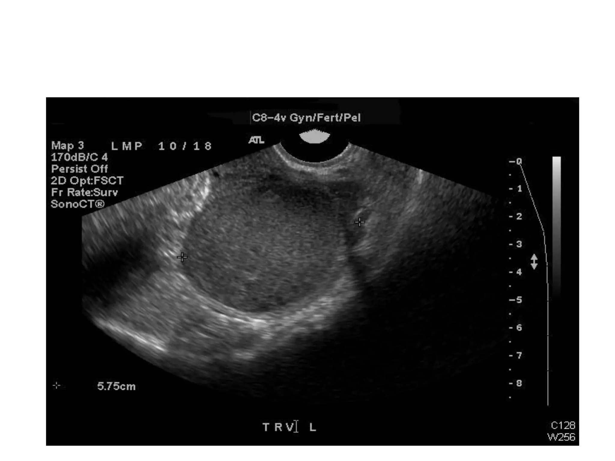
Transvaginal Ultrasound:
• Low level internal echoes
• Thick walled
• Homogeneous “ground glass” appearance
• Unilocular or Multilocular
• Often solid appearing or cystic
• Can show varying degrees echogenicity (even
anechoic) in locules with fluid levels
• Can show punctate echogenic foci (wall or central
calcification) with distal shadowing
• Round Shape
Regular Margins
Ultrasound of Endometrioma
Doppler Ultrasound:
• Gives information about the blood flow and
resistance to flow present in a lesion.
• Lower resistive indices (RI) are concerning for
malignancy.
• Generally, it is reassuring when
endometriomas show no internal vascularity .
This Doppler shows a lack
of blood flow centrally in
the lesion. This is
reassuring
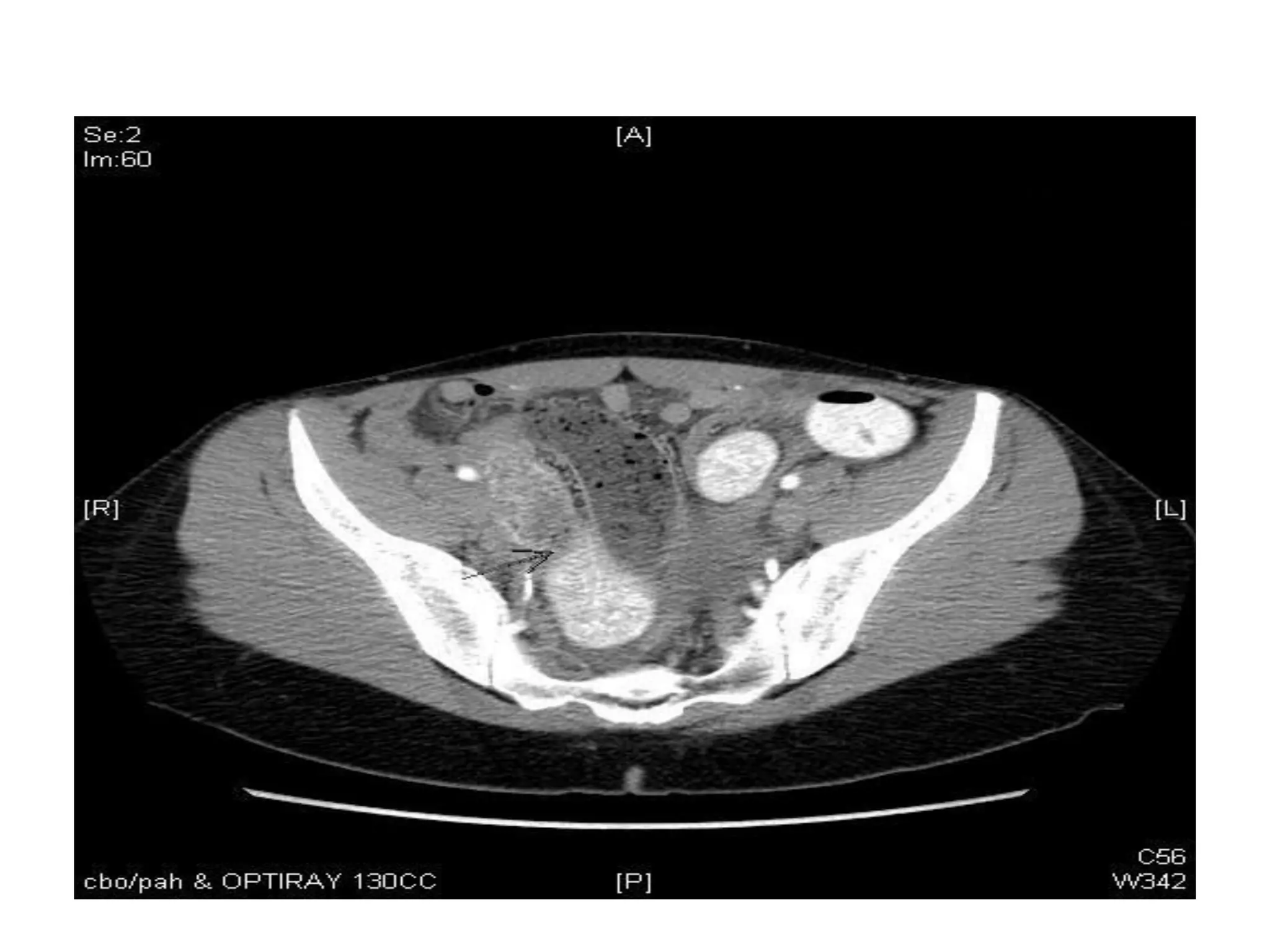
C T
• Not typically used b/c findings are nonspecific
• Endometriomas appear as cystic masses
• Can show high attenuation lesion with
dependent fluid
• Good for complications of endometrioma like
bowel and ureteral obstruction
MRI
• Cystic mass with very high signal intensity on
T1 and very low signal intensity on T2
• T2 images shows shading that can occur in a
graded shadowing pattern
• Shadowing pattern results from blood
degradation products (protein and iron)
• Again, complications seen well
MR of Endometrioma
Laparoscopy
“KISSING OVARIES”
Management
Endometriomas are managed in the same
manner as endometriosis.
• Initial management is OCPs with NSAIDS
for pain as needed.
• More refractory disease merits other
hormonal treatments such as GnRH,
Progestins,Aromatase Inhibitors, or
Danazol.
Surgical Treatment
• Ultrasound-guided aspiration
• Surgical treatment
Treatment by laparoscopy:
a) Conservative treatment:
• Laparoscopic aspiration
• Cystectomy:
• Drainage and destruction (laser or bipolar
coagulation) of the inner lining
• Three-stage management
Surgical Treatment
b) Radical treatment:
• Ovariectomy
• Adnexectomy
• Treatment by laparotomy
Management of endometrioma prior
to IVF
• There is insufficient evidence to support
routine surgical treatment of endometrioma
in asymptomatic subfertile women.
• ESHRE guidelines, recommend expectant
management if endometrioma is smaller than
4 cm and in cases of recurrent endometrioma.
Management of endometrioma prior
to IVF
• The European Society of Human Reproduction
and Embryology (ESHRE)
recommend laparoscopic ovarian cystectomy if
the endometrioma is 4 cm in diameter in order
1. to confirm the diagnosis histologically,
2. to reduce the risk of infection,
3. to improve access to follicles and possibly
4. to improve ovarian response.
• A potential deleterious effect of surgery is the
accidental removal or damage of normal ovarian
tissue.
• Stripping the endometriotic cyst wall is technically
more difficult than non-endometriotic ovarian cysts,
resulting in the inevitable removal of normal ovarian
tissue.
• Drainage and coagulation of the cyst wall carries a risk
of damage to the ovarian cortex.
• Both surgical techniques have been associated with
reduced ovarian reserve and premature ovarian failure
• Women who opt for surgical treatment of
endometrioma prior to IVF should be offered
ovarian reserve tests before surgery and those
with reduced ovarian reserve should be
discouraged from undergoing surgical
treatment.
• Women undergoing ovarian surgery should
be warned about the possible risk of surgery
on ovarian function.
Management of endometrioma in
women with pelvic pain
• The relationship between chronic pelvic
pain symptoms and endometrioma is not
very clear.
• In studies using multivariate analysis,
neither the presence of endometriomas
nor any of their characteristics appears to
correlate with painful symptômes .
Management of endometrioma in
women with pelvic pain
• In the majority of cases, it is not possible
to relate the woman’s symptoms to
endometrioma per se but to the
periovarian adhesions or deeply
infiltrating endometriosis, which should
be treated simultaneously.
Medical ttt
• Medical treatment is generally effective
in relieving the endometriosis related
pain.
• Hormonal (COC), danazol, gestrinone,
medroxyprogesterone acetate and GnRH
agonist – have been found to be equally
effective but the side-effect profiles vary .
Medical ttt
• The painful symptoms usually recur after
discontinuation of medical treatment .
• Several studies showed reduction in the
size of small endometriomas after
ovarian suppression with danazol or
GnRH agonist but large endometriomas
are not going to be completely resolved.
Surgical ttt
• Surgical treatment of endometrioma is widely accepted
as the first line management of symptomatic
endometriomas, particularly for women who have
completed their family.
• Surgical treatment include
1. drainage with or without sclerotherapy,
2. drainage with diathermy or laser vaporization of the
cyst wall,
3. drainage and stripping of the cyst wall (ovarian
cystectomy) and
4. radical treatment in the form of hysterectomy with or
without oophorectomy
Surgical ttt
• There is a significant risk of visceral injury
as endometriomas are usually associated
with severe peritoneal endometriosis
and multifocal disease .
• Nevertheless, large endometriomas may
be more susceptible to infection or
rupture and should ideally be treated
surgically.
Surgical ttt
• Surgical treatment of endometrioma can be
performed via laparotomy or laparoscopy,
with no significant differences in the risk of
recurrence of the cyst or pelvic pain
symptoms and fertility outcome .
• It is recognized that laparotomy might be
indicated in selected cases of severe
endometriosis associated with dense
extensive adhesions particularly in women
who have had previous surgery.
Surgical ttt
• Laparoscopic or transvaginal ultrasound
guided drainage of endometrioma is
associated with a high and rapid
recurrence rate and is rarely effective in
alleviating the patient’s symptoms.
• It can be associated with a higher risk of
pelvic infection and pelvic adhesions.
Summary
• Medical treatment should be offered to
symptomatic women with small
endometrioma who wish to avoid
surgery.
• Conservative surgical treatment is
generally preferred for premenopausal
women who wish to preserve their
ovarian function.
Summary
• Excision of endometrioma offers
advantage over drainage and ablation
with respect to the recurrence of
endometrioma and pelvic pain.
• Radical treatment is best reserved for
older women who have completed their
family.
Conclusions
• Endometriomas are commonly seen in
women of reproductive age who may
wish to preserve their ovarian function
and/or fertility.
• There is insufficient evidence to suggest
that surgical treatment of endometrioma
is better than medical treatment with
respect to the long-term relief of
symptoms and quality of life.
Conclusions
• Treatment of symptomatic women
should be individualized according to
• the woman’s age and her desire for
fertility,
• previous surgery,
• long-term effects of medical therapy and
• the patient’s preference.
Conclusions
• Drainage and sclerotherapy of
endometrioma, possibly followed by
postoperative ovarian suppression
for 3 months, may be valid for
women with a history of previous
multiple surgery or those with frozen
pelvis who wish to preserve their
ovaries.
Conclusions
• Laparoscopic excision of ovarian
endometrioma prior to IVF does not
offer any additional benefit over
expectant management in terms of
ovarian response to gonadotrophin
stimulation or pregnancy outcome.
Conclusions
• Surgical treatment can be
justified for women with
concomitant pelvic pain not
responding to medical treatment,
when the cyst is larger than 4 cm
or when malignancy cannot be
reliably excluded.
Evidence Based Management of Endometrioma

Evidence Based Management of Endometrioma

  • 1.
    Evidence Based Managementof Endometrioma Salah Roshdy Ahmed Professor of Obstetrics & Gynecology Sohag University
  • 2.
    Definition • Endometrioma (“chocolatecyst”): is best defined as blood-containing pseudo-cyst arising from growth of ectopic endometrial tissue, which progressively invaginates the ovarian cortex.
  • 3.
    Definition • Characteristically adherentto surrounding structures, such as the peritoneum, fallopian tubes, and bowel. • – Definitive diagnosis based on histopathology (endometrial tissue and hemosiderin laden macrophages) • – US/imaging evidence is supportive
  • 4.
    4 This is asection through an enlarged 12 cm ovary to demonstrate a cystic cavity filled with old blood typical for endometriosis with formation of an endometriotic, or "chocolate", cyst.
  • 5.
    Ovarian Endometriosis (Endometrioma) • Formedby invagination of the ovarian cortex after accumulation of menstrual debris from bleeding of endometriotic implants.
  • 6.
  • 7.
    Pathology • Peritoneal inflammationand fibrosis • Adhesions • Ovarian cysts • Deep nodules
  • 9.
    Typical Clinical Presentationof Endometrioma Chronic or acute pelvic pain • Dysmenorrhea • Dyspareunia • Infertility • Dyschezia / bowel symptoms / rectal bleeding • Urinary symptoms / haematuria • Diagnosed in patients with or without h/o diagnosed endometriosis. N.B. Endometrioma is the most common manifestation of endometriosis and the longest lasting.
  • 10.
    Associations • Menorrhagia (adenomyosis) •IBS • PID • Chronic pain syndromes • Depression
  • 11.
    Mechanisms of pain •Inflammatory cytokines in the peritoneal cavity • Focal bleeding from implants • Irritation and direct infiltration of nerves • Hormonal modulation: pain threshold
  • 12.
    Endometrioma & Infertility •The pathogenesis of infertility in women with endometriosis has not been clearly understood except in cases of distorted pelvic anatomy. • Even in women undergoing IVF, pregnancy rates were found to be lower in patients with endometriosis compared with those with tubal factor infertility.
  • 13.
    • The effectof endometrioma per se on fertility has not been adequately investigated as it is rare to find isolated endometrioma without surrounding peritoneal disease.
  • 14.
    • It maybe speculated that the inflammatory reaction typically associated with the presence of endometriosis may play a role. • Alternatively, the expanding ovarian cyst may cause pressure atrophy of the ovarian tissue or affect the normal vascularization of the ovary. • Nakahara et al. (1998) found a higher incidence of apoptotic bodies in the ovarian membrane granulosa of patients with endometriosis than that of a control.
  • 15.
    • Currently, thereis insufficient data to clarify whether the endometrioma-related damage to ovarian reserve precedes or follows surgery. • It has been shown that ovaries with endometriotic cysts already exhibited reduced number of follicles and vascular activity compared with other types of benign cysts.
  • 16.
    Postulation • Impaired folliculogenesis. •Toxic effect of cytokines on oocyte or embryo quality . • Disordered fertilization and embryo implantation. • Distorted adnexal anatomy • Ovarian cysts.
  • 17.
    Transvaginal Ultrasound: • Lowlevel internal echoes • Thick walled • Homogeneous “ground glass” appearance • Unilocular or Multilocular • Often solid appearing or cystic • Can show varying degrees echogenicity (even anechoic) in locules with fluid levels • Can show punctate echogenic foci (wall or central calcification) with distal shadowing • Round Shape Regular Margins
  • 19.
  • 20.
    Doppler Ultrasound: • Givesinformation about the blood flow and resistance to flow present in a lesion. • Lower resistive indices (RI) are concerning for malignancy. • Generally, it is reassuring when endometriomas show no internal vascularity .
  • 21.
    This Doppler showsa lack of blood flow centrally in the lesion. This is reassuring
  • 22.
    C T • Nottypically used b/c findings are nonspecific • Endometriomas appear as cystic masses • Can show high attenuation lesion with dependent fluid • Good for complications of endometrioma like bowel and ureteral obstruction
  • 24.
    MRI • Cystic masswith very high signal intensity on T1 and very low signal intensity on T2 • T2 images shows shading that can occur in a graded shadowing pattern • Shadowing pattern results from blood degradation products (protein and iron) • Again, complications seen well
  • 25.
  • 26.
  • 27.
  • 28.
    Management Endometriomas are managedin the same manner as endometriosis. • Initial management is OCPs with NSAIDS for pain as needed. • More refractory disease merits other hormonal treatments such as GnRH, Progestins,Aromatase Inhibitors, or Danazol.
  • 29.
    Surgical Treatment • Ultrasound-guidedaspiration • Surgical treatment Treatment by laparoscopy: a) Conservative treatment: • Laparoscopic aspiration • Cystectomy: • Drainage and destruction (laser or bipolar coagulation) of the inner lining • Three-stage management
  • 30.
    Surgical Treatment b) Radicaltreatment: • Ovariectomy • Adnexectomy • Treatment by laparotomy
  • 31.
    Management of endometriomaprior to IVF • There is insufficient evidence to support routine surgical treatment of endometrioma in asymptomatic subfertile women. • ESHRE guidelines, recommend expectant management if endometrioma is smaller than 4 cm and in cases of recurrent endometrioma.
  • 32.
    Management of endometriomaprior to IVF • The European Society of Human Reproduction and Embryology (ESHRE) recommend laparoscopic ovarian cystectomy if the endometrioma is 4 cm in diameter in order 1. to confirm the diagnosis histologically, 2. to reduce the risk of infection, 3. to improve access to follicles and possibly 4. to improve ovarian response.
  • 33.
    • A potentialdeleterious effect of surgery is the accidental removal or damage of normal ovarian tissue. • Stripping the endometriotic cyst wall is technically more difficult than non-endometriotic ovarian cysts, resulting in the inevitable removal of normal ovarian tissue. • Drainage and coagulation of the cyst wall carries a risk of damage to the ovarian cortex. • Both surgical techniques have been associated with reduced ovarian reserve and premature ovarian failure
  • 34.
    • Women whoopt for surgical treatment of endometrioma prior to IVF should be offered ovarian reserve tests before surgery and those with reduced ovarian reserve should be discouraged from undergoing surgical treatment. • Women undergoing ovarian surgery should be warned about the possible risk of surgery on ovarian function.
  • 35.
    Management of endometriomain women with pelvic pain • The relationship between chronic pelvic pain symptoms and endometrioma is not very clear. • In studies using multivariate analysis, neither the presence of endometriomas nor any of their characteristics appears to correlate with painful symptômes .
  • 36.
    Management of endometriomain women with pelvic pain • In the majority of cases, it is not possible to relate the woman’s symptoms to endometrioma per se but to the periovarian adhesions or deeply infiltrating endometriosis, which should be treated simultaneously.
  • 37.
    Medical ttt • Medicaltreatment is generally effective in relieving the endometriosis related pain. • Hormonal (COC), danazol, gestrinone, medroxyprogesterone acetate and GnRH agonist – have been found to be equally effective but the side-effect profiles vary .
  • 38.
    Medical ttt • Thepainful symptoms usually recur after discontinuation of medical treatment . • Several studies showed reduction in the size of small endometriomas after ovarian suppression with danazol or GnRH agonist but large endometriomas are not going to be completely resolved.
  • 39.
    Surgical ttt • Surgicaltreatment of endometrioma is widely accepted as the first line management of symptomatic endometriomas, particularly for women who have completed their family. • Surgical treatment include 1. drainage with or without sclerotherapy, 2. drainage with diathermy or laser vaporization of the cyst wall, 3. drainage and stripping of the cyst wall (ovarian cystectomy) and 4. radical treatment in the form of hysterectomy with or without oophorectomy
  • 40.
    Surgical ttt • Thereis a significant risk of visceral injury as endometriomas are usually associated with severe peritoneal endometriosis and multifocal disease . • Nevertheless, large endometriomas may be more susceptible to infection or rupture and should ideally be treated surgically.
  • 41.
    Surgical ttt • Surgicaltreatment of endometrioma can be performed via laparotomy or laparoscopy, with no significant differences in the risk of recurrence of the cyst or pelvic pain symptoms and fertility outcome . • It is recognized that laparotomy might be indicated in selected cases of severe endometriosis associated with dense extensive adhesions particularly in women who have had previous surgery.
  • 42.
    Surgical ttt • Laparoscopicor transvaginal ultrasound guided drainage of endometrioma is associated with a high and rapid recurrence rate and is rarely effective in alleviating the patient’s symptoms. • It can be associated with a higher risk of pelvic infection and pelvic adhesions.
  • 43.
    Summary • Medical treatmentshould be offered to symptomatic women with small endometrioma who wish to avoid surgery. • Conservative surgical treatment is generally preferred for premenopausal women who wish to preserve their ovarian function.
  • 44.
    Summary • Excision ofendometrioma offers advantage over drainage and ablation with respect to the recurrence of endometrioma and pelvic pain. • Radical treatment is best reserved for older women who have completed their family.
  • 45.
    Conclusions • Endometriomas arecommonly seen in women of reproductive age who may wish to preserve their ovarian function and/or fertility. • There is insufficient evidence to suggest that surgical treatment of endometrioma is better than medical treatment with respect to the long-term relief of symptoms and quality of life.
  • 46.
    Conclusions • Treatment ofsymptomatic women should be individualized according to • the woman’s age and her desire for fertility, • previous surgery, • long-term effects of medical therapy and • the patient’s preference.
  • 47.
    Conclusions • Drainage andsclerotherapy of endometrioma, possibly followed by postoperative ovarian suppression for 3 months, may be valid for women with a history of previous multiple surgery or those with frozen pelvis who wish to preserve their ovaries.
  • 48.
    Conclusions • Laparoscopic excisionof ovarian endometrioma prior to IVF does not offer any additional benefit over expectant management in terms of ovarian response to gonadotrophin stimulation or pregnancy outcome.
  • 49.
    Conclusions • Surgical treatmentcan be justified for women with concomitant pelvic pain not responding to medical treatment, when the cyst is larger than 4 cm or when malignancy cannot be reliably excluded.