FIGO consensus guidelines on
placenta accreta spectrum (PAS)
disorders; 2018
By Ahmed Ramy
Supervised by
Prof.Salah Roshdy ,MD
Sohag University,2018
Contents
•Introduction
•Epidemiology
•Prenatal diagnosis and screening
•Conservative management
•Non-conservative surgical management
Introduction
• Placenta accreta is a histopathologic term for a condition in
which the placenta fails to separate partially or totally from
the uterine wall.
• First described in 1937 by obstetrician Frederick C. Irving
and pathologist Arthur T. Hertig at the Boston Lying-In
Hospital.
• Other terminology which are exclusive rather then inclusive
and ignore both clinical and pathological diagnostic
standards; “morbidly adherent placenta” (MAP), “placental
adhesive disorders,” “abnormally adherent placenta,”
“abnormal placental adherence,” and “advanced invasive
placentation”,
Introduction
•The term PAS disorders proposed by Luke et al.
provides standardized terminology, which covers
the depth of villous invasiveness,
lateral extension of accreta placentation, and
the possible combination of different depths of
invasiveness in the same placenta accreta.
Depending on the depth of trophoblast invasion into the
myometrium, 3 subtypes have been differentiated by pathologists
Introduction
• The term PAS disorders is used as the overarching descriptor
of the whole condition including both abnormal adherence
(placenta accreta “superficial, creta, vera” 79%) and
abnormal invasion (placenta increta 14% and placenta
percreta 7%.
• According to lateral extension of myometrial invasion also
divide PAS disorders into the focal, partial, or total
categories, depending on the number of placental cotyledons
involved.
Definition
•Placenta accreta presenting with “the abnormal
adherence of the afterbirth in whole or in parts
to the underlying uterine wall.”
•The histologic criterion used for their diagnosis
of accreta placentation was the complete or
partial absence of the decidua basalis—a sign
that is still used today in many clinical and
histopathological studies.
Epidemiology
• In 1950, 1 in 30,000 deliveries in USA, 1980s and 1990s; 1 in 731
deliveries, 2008 and 2011 in a cohort of over 115,000 deliveries in 25
hospitals.
• There is no evidence of correlation between prenatal US signs, clinical
symptoms, and detailed pathologic findings at delivery. It remains
undiagnosed before delivery in half to two-thirds of cases.
• There are wide variability in the prevalence of the different degree of
accreta placentation, in the accuracy of prenatal diagnosis, and in
differences in outcomes, as well as why prenatal detection rates remain
low in recent population studies
PATHOGENESIS
• It is not known with certainty.
• In the past, it was thought that a primary defect of the
biological function of the trophoblast would lead to excessive
invasion of the myometrium by placental tissue beyond the
physiological decidual–myometrial junction zone.
• Currently, The most common theory is that defective
decidualization (thin, poorly formed, or absent decidua)
related to previous surgery or to anatomical factors
(endocervix, lower uterine segment, endosalpinx, uterine
anomaly) allows the placenta to attach directly to the
myometrium.
PATHOGENESIS
• More invasive placentation is not due to a further
invasion of extravillous trophoblast in the uterine wall,
but likely arises from an extended scar defect that
allows the development of chorionic villi deep within
the uterine wall, including within its peripheral
circulation.
Aetiology
• 1- UTERINE SCAR AND ACCRETA PLA CENTATION
• The prevalence of PAS disorders directly linked to the
increase in CS in most middle-and high-income countries,
• PAS disorders have been reported in primigravid women with
no obvious uterine disorders.
• Rate of PAS disorders increased by 30.8% among women
with a repeat cesarean delivery
2- Other etiologies of accreta placentation
• Procedures causing less surgical damage to the integrity of
the uterine lining, such as uterine curettage, manual delivery
of the placenta, postpartum endometritis and, more recently,
hysteroscopic surgery, endometrial ablation, and uterine
artery embolization have all been associated with PAS
disorders in subsequent pregnancies.
• Also reported in women with no prior uterine surgery, but
with uterine pathology such as bicornuate uterus,
adenomyosis, submucous fibroids, and myotonic dystrophy
3- PLACENTA PREVIA ACCRETA AND CESAREAN SCAR
PREGNANCY
• The single most important risk factor, reported in around half of all
cases of PAS disorders, is placenta previa
• No previous CS: 3 %
• 1 previous CS :11
• - 2 previous CS: 40 %
• 3 previous CS: 61 % - 4 previous CS: (50) 67 %.
• In the absence of placenta previa, the frequency of placenta accreta still
increases with an increasing number of cesarean deliveries, but the
incidence is much lower
• 1 previous CS : 0.3 % - 2 previous CS : 0.6 %
• 3 previous CS: 2.4%
• Interestingly, the sex ratio associated with placenta accreta favors
females,
• Also the risk is 40% higher in twin pregnancies and increases by age
and parity in both singleton and twin pregnancies.
• Results suggest that elective cesarean deliveries may be associated
with a higher risk of PAS disorders than emergent cesarean delivery
and that a prior myomectomy is associated with a very low risk of PAS
disorders in subsequent pregnancies.
• Cases of CS scar pregnancy diagnosed in the first-trimester can be a
precursor for PAS disorders.
Impact of uterine surgical techniques
• It has been suggested that surgical techniques used for
entering and closing the uterus during cesarean
delivery could play a role in the etiology of PAS
disorders e.g: single-layer uterine closure versus a
multiple overlapping layer type of closure, or locked
versus interrupted suturing, or different suture
material.
Impact of uterine surgical techniques
• One a systematic review72 has indicated that single
continuous locked suture of the cesarean incision may
be associated with thinner residual myometrium
thickness as evaluated by postoperative ultrasound.
While a recent systematic review and meta-analysis of
nine randomized controlled trials found similar
incidence of uterine scar defects in women who had a
single-layer compared with double-layer closure.
• Multivariate logistic regression analysis showed that
continuous suture was associated with a higher risk of
PAS disorders than interrupted sutures.
• Retrospective study found that the use of
monofilament suture for hysterotomy closure in prior
cesarean delivery reduces the risks of having placenta
previa and thus PAS disorders in future pregnancies.
Clinical presentation of PAS disorder
• Ideally, PAS disorder is first suspected because of
findings on obstetrical ultrasound examination while
the patient is asymptomatic.
• The first clinical manifestation is usually profuse, life
threatening hemorrhage at the time of attempted
manual placental separation. Part, or all, of the
placenta remains strongly attached to the uterine
cavity, and no plane of separation can be developed.
Sequelae and complications
•Poorly controlled hemorrhage is a common
indication for peripartum hysterectomy.
•Transfusion of over 10 units, infection , perinatal
death, ureteral ligation or fistula formation , and
spontaneous uterine rupture in subsequent
pregnancy.
•DIC , adult RDS, renal failure, unplanned
surgery, and death.
Prenatal diagnosis Of PAS
• US imaging : The most useful modalities for
evaluating placental position and implantation
are TAS and TVS. sensitivity was 90.7 % ,
specificity 96.9 %.
•Different technique including grey-scale and
color Doppler imaging and/or (3D) power
Doppler sonography.
First trimester
• A first trimester sonographic finding suggestive of placenta
accreta is a gestational sac located in the lower uterine
segment (rather than the fundus), next to or lower than the
hysterotomy scar.
• Women with placenta previa or low anterior placenta and
prior uterine surgery should have thorough sonographic
evaluation between 20 and 24 weeks of gestation.
2nd and 3rd trimesters US findings suggestive of placenta
accreta
• Loss of placental homogeneity, which is replaced by multiple
intraplacental sonolucent spaces (venous lakes or placental lacunae)
adjacent to the involved myometrium. This is the most consistent
ultrasound finding.
• Loss or thinning of the normal hypoechoic area behind the placenta
(termed the ‘clear space’).
• Retroplacental myometrial thickness of <1 mm.
• Loss or disruption of the normally continuous white line representing
the bladder wall uterine serosa interface (termed the ‘bladder line’),
bulging of the placenta into the posterior wall of the bladder.
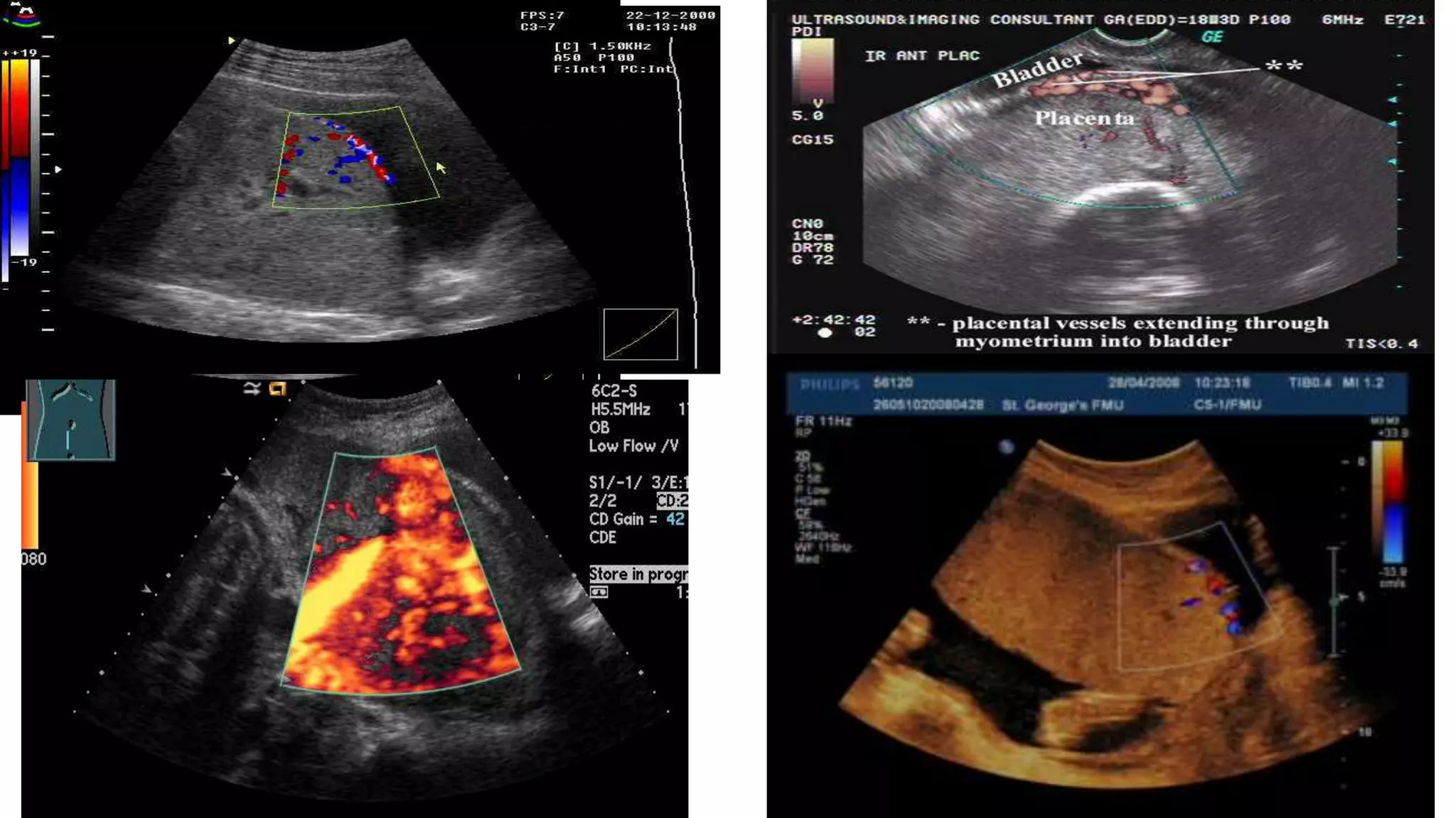
Color Doppler
• Used in conjunction with the other ultrasound findings.
• Abnormal vasculature on color Doppler ultrasound has the best
combination of sensitivity and specificity for prediction of invasive
placentation.
• Specific findings suggestive of placenta accreta include :
• Diffuse or focal intraparenchymal lacunar flow
• ● Vascular lakes with turbulent flow “chaotic”
• ● Hypervascularity of serosa-bladder interface
• ● Prominent sub-placental venous complex.
Three dimensional (3D) ultrasound
•Diagnostic criteria for PAS syndrome include:
•Irregular intraplacental vascularization with
tortuous confluent vessels crossing placental
width.
• Hypervascularity of uterine serosa–bladder wall
interface.
Magnetic resonance imaging (MRI)
• MRI had high diagnostic accuracy for detection of placenta
accreta: sensitivity 94.4 % , specificity 84%
• MRI findings in placenta accreta include:
• Uterine bulging into the bladder.
• Heterogeneous signal intensity within the placenta.
• Presence of intraplacental bands on the T2W imaging
• Abnormal placental vascularity.
• Focal interruption of the myometrium.
MRI
• It could be more useful than ultrasound in 2 clinical
situations:
• Evaluation of possible posterior placenta accreta because the
bladder can’t be used to help clarify the placental myometrial
interface.
• Assessment of the depth of myometrial and parametrial
involvement and if the placenta is anterior or there is bladder
involvement.
• Gadolinium, which would improve diagnostic performance,
is generally avoided in pregnancy.
PRENATAL SCREENING FOR PAS DISORDERS
• 1- Clinical screening:
• Identification of Several risk factors
• There are no prospective data on the ultrasound screening of PAS
disorders at the routine mid-trimester ultrasound examination by non
expert operators
• All women found to have an anterior low-lying (placental edge <2 cm
from the internal cervical os after 16 weeks of gestation) or placenta
previa with CS delivery should be referred to a center with expertise in
the prenatal diagnosis of PAS disorders.
• Hematuria — Placenta percreta with bladder invasion can cause
hematuria during pregnancy.
• Recently, suggested that cesarean scar pregnancy represents a
precursor of one of the different grades of PAS disorders.
• Following three criteria on TVS:
• 1. Gestational sac located anteriorly at the level of the internal os
within a visible myometrial defect (thin or absent myometrium) at the
site of the previous lower segment cesarean delivery scar.
• 2. Evidence of functional trophoblastic/placental circulation on color
Doppler.
• 3. To distinguish from a spontaneous abortion in progress look for a
negative “sliding organs sign,” defined as the inability to displace the
gestational sac from its position at the level of the internal os using
gentle pressure applied by the TVS probe.
Biomarkers of PAS disorders
• At 11–12 weeks of pregnancy, (β-hCG) are lower and pregnancy-
associated plasma protein A (PAPP-A) is higher in the maternal serum
of women with PAS disorders.
• 14–22 weeks, women presenting with a placenta previa are at higher
risk of PAS disorders if serum β-hCG and alpha-fetoprotein (AFP) are
above 2.5 multiples of the median (MoM).
• No difference has been found in the amount of cell-free fetal DNA
(cffDNA) in the maternal serum of women presenting with PAS
disorders compared with normal controls.
Management of PAS disorder
• Prenatal care:
• All patients should be counseled about the suspected diagnosis and
potential sequelae: hemorrhage, blood transfusion, cesarean
hysterectomy, maternal intensive care admission.
• Delivery in tertiary care facility hospital and management by
multidisciplinary team:
Senior obstetrician, urologist, anesthesiologist, neonatologist , blood
bank and nurses personnel.
• Specific components of preoperative planning:
Management of PAS disorder
• Maximizing hemoglobin preoperatively
• At least 2 large intravenous catheters should be placed
• The use of recombinant VII, Novoseven for control of obstetric
hemorrhage appears to be of value.
• A 3 way Foley catheter and ureteral stents should be available.
Ureteral injury 29%
• An intensive care unit bed should be available for postoperative care
if needed.
Timing of delivery
• Studies reporting actual timing of delivery are
conflicting and the optimal timing of delivery for
women with suspected PAS disorders remains
uncertain.
• With recommendations ranging from 34 to 36 weeks
to 36–38 weeks of gestational age for planned
delivery.
Conservative management
• It defines all procedures that aim to avoid peripartum
hysterectomy and its related morbidity and consequences.
• Four different primary methods of conservative management :
• (1) Extirpative technique (manual removal of the
placenta).
• (2) leaving the placenta in situ or the expectant approach.
• (3) one-step conservative surgery (removal of the accreta
area).
• (4)Triple-P procedure (suturing around the accreta area
after resection).
1-THE EXTIRPATIVE TECHNIQUE
• This procedure consists of forcibly removing the
placenta manually in an attempt to empty the uterus
and avoid leaving retained placental tissues in the
uterine cavity.
• Often results in massive obstetric hemorrhage.
• Most experts in the management of PAS disorders
consider that attempts at manual removal of the
placenta should be avoided in cases of planned
cesarean hysterectomy.
2-LEAVING THE PLACENTA IN SITU” APPROACH
• This approach consists of leaving the placenta in situ and waiting for
its complete spontaneous resorption.
• a progressive decrease in blood circulation within the uterus,
parametrium, and the placenta is expected with secondary necrosis of
the villous tissue and theoretically the placenta should progressively
detach itself from the uterus and adjacent organs.
• transverse skin incision, transverse uterine incision at a distance from
the placental bed, may carefully remove the placenta by a controlled
cord traction and the use of uterotonics, Postoperative antibiotic
therapy is usually administered prophylactically to minimize the risk
of infection.
2-LEAVING THE PLACENTA IN SITU” APPROACH
• The overall success rate was 78% and severe maternal
morbidity including sepsis, septic shock, peritonitis, uterine
necrosis, postpartum uterine rupture, fistula, injury to
adjacent organs, acute pulmonary edema, acute renal failure,
deep vein thrombophlebitis or pulmonary embolism, or
maternal death was reported in (6%) cases.
• Overall, these data suggest that leaving the placenta in situ
may be an option for women who desire to preserve their
fertility and agree to close follow-up in centers with adequate
expertise.
Additional procedures
• (i.e. embolization or vessel ligation, temporal
internal iliac balloon occlusion, methotrexate,
hysteroscopic resection of retained tissues) have
been used in a conservative approach with the
placenta left in situ to decrease morbidity or to
accelerate placental resorption.
Methotrexate adjuvant treatment
• The low rate of trophoblastic cell turnover compared
with that in early pregnancy indicates a much lower
efficacy of methotrexate in late compared with early
pregnancy.
• In addition, methotrexate exposes the patient to the
risk of neutropenia or medullar aplasia and this has
been reported even after a single dose and other
possible complications, such as secondary infection of
a placenta left in situ.
Preventive surgical or radiological uterine devascularization
• It includes stepwise uterine surgical devascularization, bilateral
uterine or hypogastric artery surgical ligation, iliac artery
embolization, or balloon occlusion.
• Embolization before performing surgery may reduce the risk of
intraoperative blood loss and prevent the occurrence of secondary
hemorrhage and could also accelerate placental resorption.
• The value of prophylactic placement of balloon catheters in the
iliac arteries in cases of PAS disorders is even more controversial,
mainly owing to the higher risks of complications than with
embolization
Systematic hysteroscopic resection of retained
accreta tissue
• Hysteroscopy was performed under ultrasound guidance
owing to pain and/or bleeding with retained tissues.
• Results suggest that hysteroscopic resection could shorten the
recovery time without major adverse effects in symptomatic
women.
• High-intensity focused ultrasound (HIFU) is an ultrasound
heat technique recently been used in the treatment of PAS
disorders after vaginal delivery.
Monitoring of leaving the placenta in situ approach
• The residual villous tissue in the uterine wall may require up
to 6 months to be completely absorbed.
• A coagulopathy or septicemia may develop, requiring an
emergent secondary hysterectomy.
• Measuring serum β-hCG on a weekly basis to check it falls
continuously is reassuring.
• Weekly follow-up visits during the first 2 months and then in
the absence of complications, monthly visits until complete
resorption of the placenta.
3- One-step conservative surgery
•It consists of resecting the invasive accreta
area (partial myometrial resection) followed
by immediate uterine reconstruction and
bladder reinforcement.
4-The Triple-P procedure
• The aim of this procedure is to avoid incising through the vascular
placental venous sinuses, and to excise the myometrium with PAS
disorder tissue and to reconstitute the uterine defect.
• (1) perioperative placental ultrasound localization of the superior edge
of the placenta;
• (2) pelvic devascularization by placement of intra-arterial balloon
catheters (anterior division of the internal iliac arteries).
• (3) no attempt to remove the entire placenta with large myometrial
excision and uterine repair.
Tamponade techniques
•Case series have also reported the successful use
of compression sutures, using the cervix as a
natural tamponade by inverting it into the uterine
cavity and suturing the anterior and/or the
posterior cervical lips into the anterior and/or
posterior walls of the lower uterine segment.
Non-conservative surgical management
• Hysterectomy remains the definitive surgical treatment for
PAS disorders, especially for its invasive forms, and a
primary elective cesarean hysterectomy is the safest and most
practical option for most low-and middle-income countries
• 1- PREPARATION F OR THE OPERATIVE MANA GEMENT
OF INVASIVE PLA CENTATION.
• 2- Multidisciplinary team care.
• 3- Maximizing hemoglobin preoperatively.
• 4- Minimizing unintended urologic injury.
• 5- Type of incisions for access;
• 6- Blood conservation techniques
• Tranexemic acid: before cesarean delivery significantly reduced
death due to massive obstetric hemorrhage without increasing rates of
adverse events, including thromboembolism.
• Balloon occlusion catheters: inserted by specialist into the aorta,
common iliac, internal iliac, or uterine arteries under fluoroscopic
guidance and are inflated when hemorrhage is encountered.
Controversial.
• Internal Iliac artery ligation: similar to those for balloon occlusion
devices.
• Cell salvage: Autologous cell salvage re-transfusion are viewed as
relatively expensive and labor intensive
TECHNIQUES FOR HYSTERECTOMY
• Total hysterectomy is the recommended surgical method for
emergent peripartum hysterectomy.
• Other novel surgical techniques:
• 1-Posterior retrograde hysterectomy via pouch of Douglas
• 2-Modified radical hysterectomy technique and use of bipolar
cautery device
• 3-Linear cutting staple device for hysterotomy
• 4-Use of vessel-sealing devices for Peripartum Hysterectomy
1-Posterior retrograde hysterectomy via
pouch of Douglas
• After closure of hysterotomy, uterus is exteriorized, round
ligaments are divided, retroperitoneal space dissected
parallel to ureters and pelvic side wall vessels, utero-ovarian
ligaments are divided bilaterally:
• 1. Posterior vaginal fornix exposed with sponge stick into
vagina and opened transversely below cervicovaginal
junction.
• 2. Vagina circumscribed with clamps, divided and ligated.
1-Posterior retrograde hysterectomy via
pouch of Douglas
• 3. Ureters identified, dissected, and preserved though
anterior bladder pillar.
• 4. Cervix grasped, pulled up behind uterus
• 5. Cardinal ligaments, uterosacrals, and bladder pillars are
sequentially divided.
• 6. Vesicouterine space is developed until bladder detached
from anterior aspect of uterus orcystotomy and resection of
posterior bladder wall if placental invasion.
2-Modified radical hysterectomy technique and use of bipolar
cautery device
• Wide margins to avoid clamping fragile/unsupported vessels and
or/thinned myometrium
• 1. Retroperitoneum accessed lateral to round ligaments, ureters,
internal iliac vessels identified.
• Ureterolysis performed if required.
• 2. Uterus separated from support structures with wide margin on broad
ligament.
• 3. Stepwise devascularization of lower uterine segment.
• 4. If required identification and ligation of superior vesical arteries.
• 5. Intentional cystotomy and excision of bladder if invasion.
3-Linear cutting staple device for hysterotomy
• Midline abdominal incision, uterus exteriorized, and site of
hysterotomy identified high on upper uterine segment of
fundus.
• 1. Uterine wall grasped to create fold of uterus
• 2. Placement of 4 full-thickness sutures in box patter to
create unperfused area of upper uterine segment.
• 3. Create initial entry in “box” with diathermy.
• 4. Membranes dissected away from uterine wall digitally to
create space for stapler;
• 5. Linear cutting staple device inserted and deployed 1 to 3
times as required to create hysterotomy.
4-Use of vessel-sealing devices for Peripartum
Hysterectomy
•Vessel sealing device used to facilitate
surgery
Planned delayed hysterectomy
• Delayed hysterectomies are performed between 3 and 12
weeks postpartum.
• It involves post delivery uterine artery embolization or
internal iliac artery ligation and thus possible adverse effects
and secondary complications.
• While traditionally these second surgeries involve a
laparotomy, minimally invasive surgical approaches
including robotics have been reported.
Placenta accreta .Prof.S. Roshdy

Placenta accreta .Prof.S. Roshdy

  • 2.
    FIGO consensus guidelineson placenta accreta spectrum (PAS) disorders; 2018 By Ahmed Ramy Supervised by Prof.Salah Roshdy ,MD Sohag University,2018
  • 3.
    Contents •Introduction •Epidemiology •Prenatal diagnosis andscreening •Conservative management •Non-conservative surgical management
  • 4.
    Introduction • Placenta accretais a histopathologic term for a condition in which the placenta fails to separate partially or totally from the uterine wall. • First described in 1937 by obstetrician Frederick C. Irving and pathologist Arthur T. Hertig at the Boston Lying-In Hospital. • Other terminology which are exclusive rather then inclusive and ignore both clinical and pathological diagnostic standards; “morbidly adherent placenta” (MAP), “placental adhesive disorders,” “abnormally adherent placenta,” “abnormal placental adherence,” and “advanced invasive placentation”,
  • 5.
    Introduction •The term PASdisorders proposed by Luke et al. provides standardized terminology, which covers the depth of villous invasiveness, lateral extension of accreta placentation, and the possible combination of different depths of invasiveness in the same placenta accreta.
  • 6.
    Depending on thedepth of trophoblast invasion into the myometrium, 3 subtypes have been differentiated by pathologists
  • 7.
    Introduction • The termPAS disorders is used as the overarching descriptor of the whole condition including both abnormal adherence (placenta accreta “superficial, creta, vera” 79%) and abnormal invasion (placenta increta 14% and placenta percreta 7%. • According to lateral extension of myometrial invasion also divide PAS disorders into the focal, partial, or total categories, depending on the number of placental cotyledons involved.
  • 8.
    Definition •Placenta accreta presentingwith “the abnormal adherence of the afterbirth in whole or in parts to the underlying uterine wall.” •The histologic criterion used for their diagnosis of accreta placentation was the complete or partial absence of the decidua basalis—a sign that is still used today in many clinical and histopathological studies.
  • 9.
    Epidemiology • In 1950,1 in 30,000 deliveries in USA, 1980s and 1990s; 1 in 731 deliveries, 2008 and 2011 in a cohort of over 115,000 deliveries in 25 hospitals. • There is no evidence of correlation between prenatal US signs, clinical symptoms, and detailed pathologic findings at delivery. It remains undiagnosed before delivery in half to two-thirds of cases. • There are wide variability in the prevalence of the different degree of accreta placentation, in the accuracy of prenatal diagnosis, and in differences in outcomes, as well as why prenatal detection rates remain low in recent population studies
  • 11.
    PATHOGENESIS • It isnot known with certainty. • In the past, it was thought that a primary defect of the biological function of the trophoblast would lead to excessive invasion of the myometrium by placental tissue beyond the physiological decidual–myometrial junction zone. • Currently, The most common theory is that defective decidualization (thin, poorly formed, or absent decidua) related to previous surgery or to anatomical factors (endocervix, lower uterine segment, endosalpinx, uterine anomaly) allows the placenta to attach directly to the myometrium.
  • 12.
    PATHOGENESIS • More invasiveplacentation is not due to a further invasion of extravillous trophoblast in the uterine wall, but likely arises from an extended scar defect that allows the development of chorionic villi deep within the uterine wall, including within its peripheral circulation.
  • 14.
    Aetiology • 1- UTERINESCAR AND ACCRETA PLA CENTATION • The prevalence of PAS disorders directly linked to the increase in CS in most middle-and high-income countries, • PAS disorders have been reported in primigravid women with no obvious uterine disorders. • Rate of PAS disorders increased by 30.8% among women with a repeat cesarean delivery
  • 15.
    2- Other etiologiesof accreta placentation • Procedures causing less surgical damage to the integrity of the uterine lining, such as uterine curettage, manual delivery of the placenta, postpartum endometritis and, more recently, hysteroscopic surgery, endometrial ablation, and uterine artery embolization have all been associated with PAS disorders in subsequent pregnancies. • Also reported in women with no prior uterine surgery, but with uterine pathology such as bicornuate uterus, adenomyosis, submucous fibroids, and myotonic dystrophy
  • 16.
    3- PLACENTA PREVIAACCRETA AND CESAREAN SCAR PREGNANCY • The single most important risk factor, reported in around half of all cases of PAS disorders, is placenta previa • No previous CS: 3 % • 1 previous CS :11 • - 2 previous CS: 40 % • 3 previous CS: 61 % - 4 previous CS: (50) 67 %. • In the absence of placenta previa, the frequency of placenta accreta still increases with an increasing number of cesarean deliveries, but the incidence is much lower • 1 previous CS : 0.3 % - 2 previous CS : 0.6 % • 3 previous CS: 2.4%
  • 18.
    • Interestingly, thesex ratio associated with placenta accreta favors females, • Also the risk is 40% higher in twin pregnancies and increases by age and parity in both singleton and twin pregnancies. • Results suggest that elective cesarean deliveries may be associated with a higher risk of PAS disorders than emergent cesarean delivery and that a prior myomectomy is associated with a very low risk of PAS disorders in subsequent pregnancies. • Cases of CS scar pregnancy diagnosed in the first-trimester can be a precursor for PAS disorders.
  • 19.
    Impact of uterinesurgical techniques • It has been suggested that surgical techniques used for entering and closing the uterus during cesarean delivery could play a role in the etiology of PAS disorders e.g: single-layer uterine closure versus a multiple overlapping layer type of closure, or locked versus interrupted suturing, or different suture material.
  • 20.
    Impact of uterinesurgical techniques • One a systematic review72 has indicated that single continuous locked suture of the cesarean incision may be associated with thinner residual myometrium thickness as evaluated by postoperative ultrasound. While a recent systematic review and meta-analysis of nine randomized controlled trials found similar incidence of uterine scar defects in women who had a single-layer compared with double-layer closure.
  • 21.
    • Multivariate logisticregression analysis showed that continuous suture was associated with a higher risk of PAS disorders than interrupted sutures. • Retrospective study found that the use of monofilament suture for hysterotomy closure in prior cesarean delivery reduces the risks of having placenta previa and thus PAS disorders in future pregnancies.
  • 22.
    Clinical presentation ofPAS disorder • Ideally, PAS disorder is first suspected because of findings on obstetrical ultrasound examination while the patient is asymptomatic. • The first clinical manifestation is usually profuse, life threatening hemorrhage at the time of attempted manual placental separation. Part, or all, of the placenta remains strongly attached to the uterine cavity, and no plane of separation can be developed.
  • 24.
    Sequelae and complications •Poorlycontrolled hemorrhage is a common indication for peripartum hysterectomy. •Transfusion of over 10 units, infection , perinatal death, ureteral ligation or fistula formation , and spontaneous uterine rupture in subsequent pregnancy. •DIC , adult RDS, renal failure, unplanned surgery, and death.
  • 26.
    Prenatal diagnosis OfPAS • US imaging : The most useful modalities for evaluating placental position and implantation are TAS and TVS. sensitivity was 90.7 % , specificity 96.9 %. •Different technique including grey-scale and color Doppler imaging and/or (3D) power Doppler sonography.
  • 27.
    First trimester • Afirst trimester sonographic finding suggestive of placenta accreta is a gestational sac located in the lower uterine segment (rather than the fundus), next to or lower than the hysterotomy scar. • Women with placenta previa or low anterior placenta and prior uterine surgery should have thorough sonographic evaluation between 20 and 24 weeks of gestation.
  • 28.
    2nd and 3rdtrimesters US findings suggestive of placenta accreta • Loss of placental homogeneity, which is replaced by multiple intraplacental sonolucent spaces (venous lakes or placental lacunae) adjacent to the involved myometrium. This is the most consistent ultrasound finding. • Loss or thinning of the normal hypoechoic area behind the placenta (termed the ‘clear space’). • Retroplacental myometrial thickness of <1 mm. • Loss or disruption of the normally continuous white line representing the bladder wall uterine serosa interface (termed the ‘bladder line’), bulging of the placenta into the posterior wall of the bladder.
  • 31.
    Color Doppler • Usedin conjunction with the other ultrasound findings. • Abnormal vasculature on color Doppler ultrasound has the best combination of sensitivity and specificity for prediction of invasive placentation. • Specific findings suggestive of placenta accreta include : • Diffuse or focal intraparenchymal lacunar flow • ● Vascular lakes with turbulent flow “chaotic” • ● Hypervascularity of serosa-bladder interface • ● Prominent sub-placental venous complex.
  • 33.
    Three dimensional (3D)ultrasound •Diagnostic criteria for PAS syndrome include: •Irregular intraplacental vascularization with tortuous confluent vessels crossing placental width. • Hypervascularity of uterine serosa–bladder wall interface.
  • 34.
    Magnetic resonance imaging(MRI) • MRI had high diagnostic accuracy for detection of placenta accreta: sensitivity 94.4 % , specificity 84% • MRI findings in placenta accreta include: • Uterine bulging into the bladder. • Heterogeneous signal intensity within the placenta. • Presence of intraplacental bands on the T2W imaging • Abnormal placental vascularity. • Focal interruption of the myometrium.
  • 36.
    MRI • It couldbe more useful than ultrasound in 2 clinical situations: • Evaluation of possible posterior placenta accreta because the bladder can’t be used to help clarify the placental myometrial interface. • Assessment of the depth of myometrial and parametrial involvement and if the placenta is anterior or there is bladder involvement. • Gadolinium, which would improve diagnostic performance, is generally avoided in pregnancy.
  • 38.
    PRENATAL SCREENING FORPAS DISORDERS • 1- Clinical screening: • Identification of Several risk factors • There are no prospective data on the ultrasound screening of PAS disorders at the routine mid-trimester ultrasound examination by non expert operators • All women found to have an anterior low-lying (placental edge <2 cm from the internal cervical os after 16 weeks of gestation) or placenta previa with CS delivery should be referred to a center with expertise in the prenatal diagnosis of PAS disorders. • Hematuria — Placenta percreta with bladder invasion can cause hematuria during pregnancy.
  • 39.
    • Recently, suggestedthat cesarean scar pregnancy represents a precursor of one of the different grades of PAS disorders. • Following three criteria on TVS: • 1. Gestational sac located anteriorly at the level of the internal os within a visible myometrial defect (thin or absent myometrium) at the site of the previous lower segment cesarean delivery scar. • 2. Evidence of functional trophoblastic/placental circulation on color Doppler. • 3. To distinguish from a spontaneous abortion in progress look for a negative “sliding organs sign,” defined as the inability to displace the gestational sac from its position at the level of the internal os using gentle pressure applied by the TVS probe.
  • 40.
    Biomarkers of PASdisorders • At 11–12 weeks of pregnancy, (β-hCG) are lower and pregnancy- associated plasma protein A (PAPP-A) is higher in the maternal serum of women with PAS disorders. • 14–22 weeks, women presenting with a placenta previa are at higher risk of PAS disorders if serum β-hCG and alpha-fetoprotein (AFP) are above 2.5 multiples of the median (MoM). • No difference has been found in the amount of cell-free fetal DNA (cffDNA) in the maternal serum of women presenting with PAS disorders compared with normal controls.
  • 42.
    Management of PASdisorder • Prenatal care: • All patients should be counseled about the suspected diagnosis and potential sequelae: hemorrhage, blood transfusion, cesarean hysterectomy, maternal intensive care admission. • Delivery in tertiary care facility hospital and management by multidisciplinary team: Senior obstetrician, urologist, anesthesiologist, neonatologist , blood bank and nurses personnel. • Specific components of preoperative planning:
  • 43.
    Management of PASdisorder • Maximizing hemoglobin preoperatively • At least 2 large intravenous catheters should be placed • The use of recombinant VII, Novoseven for control of obstetric hemorrhage appears to be of value. • A 3 way Foley catheter and ureteral stents should be available. Ureteral injury 29% • An intensive care unit bed should be available for postoperative care if needed.
  • 44.
    Timing of delivery •Studies reporting actual timing of delivery are conflicting and the optimal timing of delivery for women with suspected PAS disorders remains uncertain. • With recommendations ranging from 34 to 36 weeks to 36–38 weeks of gestational age for planned delivery.
  • 45.
    Conservative management • Itdefines all procedures that aim to avoid peripartum hysterectomy and its related morbidity and consequences. • Four different primary methods of conservative management : • (1) Extirpative technique (manual removal of the placenta). • (2) leaving the placenta in situ or the expectant approach. • (3) one-step conservative surgery (removal of the accreta area). • (4)Triple-P procedure (suturing around the accreta area after resection).
  • 46.
    1-THE EXTIRPATIVE TECHNIQUE •This procedure consists of forcibly removing the placenta manually in an attempt to empty the uterus and avoid leaving retained placental tissues in the uterine cavity. • Often results in massive obstetric hemorrhage. • Most experts in the management of PAS disorders consider that attempts at manual removal of the placenta should be avoided in cases of planned cesarean hysterectomy.
  • 47.
    2-LEAVING THE PLACENTAIN SITU” APPROACH • This approach consists of leaving the placenta in situ and waiting for its complete spontaneous resorption. • a progressive decrease in blood circulation within the uterus, parametrium, and the placenta is expected with secondary necrosis of the villous tissue and theoretically the placenta should progressively detach itself from the uterus and adjacent organs. • transverse skin incision, transverse uterine incision at a distance from the placental bed, may carefully remove the placenta by a controlled cord traction and the use of uterotonics, Postoperative antibiotic therapy is usually administered prophylactically to minimize the risk of infection.
  • 48.
    2-LEAVING THE PLACENTAIN SITU” APPROACH • The overall success rate was 78% and severe maternal morbidity including sepsis, septic shock, peritonitis, uterine necrosis, postpartum uterine rupture, fistula, injury to adjacent organs, acute pulmonary edema, acute renal failure, deep vein thrombophlebitis or pulmonary embolism, or maternal death was reported in (6%) cases. • Overall, these data suggest that leaving the placenta in situ may be an option for women who desire to preserve their fertility and agree to close follow-up in centers with adequate expertise.
  • 49.
    Additional procedures • (i.e.embolization or vessel ligation, temporal internal iliac balloon occlusion, methotrexate, hysteroscopic resection of retained tissues) have been used in a conservative approach with the placenta left in situ to decrease morbidity or to accelerate placental resorption.
  • 50.
    Methotrexate adjuvant treatment •The low rate of trophoblastic cell turnover compared with that in early pregnancy indicates a much lower efficacy of methotrexate in late compared with early pregnancy. • In addition, methotrexate exposes the patient to the risk of neutropenia or medullar aplasia and this has been reported even after a single dose and other possible complications, such as secondary infection of a placenta left in situ.
  • 51.
    Preventive surgical orradiological uterine devascularization • It includes stepwise uterine surgical devascularization, bilateral uterine or hypogastric artery surgical ligation, iliac artery embolization, or balloon occlusion. • Embolization before performing surgery may reduce the risk of intraoperative blood loss and prevent the occurrence of secondary hemorrhage and could also accelerate placental resorption. • The value of prophylactic placement of balloon catheters in the iliac arteries in cases of PAS disorders is even more controversial, mainly owing to the higher risks of complications than with embolization
  • 52.
    Systematic hysteroscopic resectionof retained accreta tissue • Hysteroscopy was performed under ultrasound guidance owing to pain and/or bleeding with retained tissues. • Results suggest that hysteroscopic resection could shorten the recovery time without major adverse effects in symptomatic women. • High-intensity focused ultrasound (HIFU) is an ultrasound heat technique recently been used in the treatment of PAS disorders after vaginal delivery.
  • 53.
    Monitoring of leavingthe placenta in situ approach • The residual villous tissue in the uterine wall may require up to 6 months to be completely absorbed. • A coagulopathy or septicemia may develop, requiring an emergent secondary hysterectomy. • Measuring serum β-hCG on a weekly basis to check it falls continuously is reassuring. • Weekly follow-up visits during the first 2 months and then in the absence of complications, monthly visits until complete resorption of the placenta.
  • 54.
    3- One-step conservativesurgery •It consists of resecting the invasive accreta area (partial myometrial resection) followed by immediate uterine reconstruction and bladder reinforcement.
  • 57.
    4-The Triple-P procedure •The aim of this procedure is to avoid incising through the vascular placental venous sinuses, and to excise the myometrium with PAS disorder tissue and to reconstitute the uterine defect. • (1) perioperative placental ultrasound localization of the superior edge of the placenta; • (2) pelvic devascularization by placement of intra-arterial balloon catheters (anterior division of the internal iliac arteries). • (3) no attempt to remove the entire placenta with large myometrial excision and uterine repair.
  • 58.
    Tamponade techniques •Case serieshave also reported the successful use of compression sutures, using the cervix as a natural tamponade by inverting it into the uterine cavity and suturing the anterior and/or the posterior cervical lips into the anterior and/or posterior walls of the lower uterine segment.
  • 60.
    Non-conservative surgical management •Hysterectomy remains the definitive surgical treatment for PAS disorders, especially for its invasive forms, and a primary elective cesarean hysterectomy is the safest and most practical option for most low-and middle-income countries • 1- PREPARATION F OR THE OPERATIVE MANA GEMENT OF INVASIVE PLA CENTATION. • 2- Multidisciplinary team care. • 3- Maximizing hemoglobin preoperatively. • 4- Minimizing unintended urologic injury. • 5- Type of incisions for access;
  • 61.
    • 6- Bloodconservation techniques • Tranexemic acid: before cesarean delivery significantly reduced death due to massive obstetric hemorrhage without increasing rates of adverse events, including thromboembolism. • Balloon occlusion catheters: inserted by specialist into the aorta, common iliac, internal iliac, or uterine arteries under fluoroscopic guidance and are inflated when hemorrhage is encountered. Controversial. • Internal Iliac artery ligation: similar to those for balloon occlusion devices. • Cell salvage: Autologous cell salvage re-transfusion are viewed as relatively expensive and labor intensive
  • 64.
    TECHNIQUES FOR HYSTERECTOMY •Total hysterectomy is the recommended surgical method for emergent peripartum hysterectomy. • Other novel surgical techniques: • 1-Posterior retrograde hysterectomy via pouch of Douglas • 2-Modified radical hysterectomy technique and use of bipolar cautery device • 3-Linear cutting staple device for hysterotomy • 4-Use of vessel-sealing devices for Peripartum Hysterectomy
  • 65.
    1-Posterior retrograde hysterectomyvia pouch of Douglas • After closure of hysterotomy, uterus is exteriorized, round ligaments are divided, retroperitoneal space dissected parallel to ureters and pelvic side wall vessels, utero-ovarian ligaments are divided bilaterally: • 1. Posterior vaginal fornix exposed with sponge stick into vagina and opened transversely below cervicovaginal junction. • 2. Vagina circumscribed with clamps, divided and ligated.
  • 66.
    1-Posterior retrograde hysterectomyvia pouch of Douglas • 3. Ureters identified, dissected, and preserved though anterior bladder pillar. • 4. Cervix grasped, pulled up behind uterus • 5. Cardinal ligaments, uterosacrals, and bladder pillars are sequentially divided. • 6. Vesicouterine space is developed until bladder detached from anterior aspect of uterus orcystotomy and resection of posterior bladder wall if placental invasion.
  • 67.
    2-Modified radical hysterectomytechnique and use of bipolar cautery device • Wide margins to avoid clamping fragile/unsupported vessels and or/thinned myometrium • 1. Retroperitoneum accessed lateral to round ligaments, ureters, internal iliac vessels identified. • Ureterolysis performed if required. • 2. Uterus separated from support structures with wide margin on broad ligament. • 3. Stepwise devascularization of lower uterine segment. • 4. If required identification and ligation of superior vesical arteries. • 5. Intentional cystotomy and excision of bladder if invasion.
  • 68.
    3-Linear cutting stapledevice for hysterotomy • Midline abdominal incision, uterus exteriorized, and site of hysterotomy identified high on upper uterine segment of fundus. • 1. Uterine wall grasped to create fold of uterus • 2. Placement of 4 full-thickness sutures in box patter to create unperfused area of upper uterine segment. • 3. Create initial entry in “box” with diathermy. • 4. Membranes dissected away from uterine wall digitally to create space for stapler; • 5. Linear cutting staple device inserted and deployed 1 to 3 times as required to create hysterotomy.
  • 69.
    4-Use of vessel-sealingdevices for Peripartum Hysterectomy •Vessel sealing device used to facilitate surgery
  • 70.
    Planned delayed hysterectomy •Delayed hysterectomies are performed between 3 and 12 weeks postpartum. • It involves post delivery uterine artery embolization or internal iliac artery ligation and thus possible adverse effects and secondary complications. • While traditionally these second surgeries involve a laparotomy, minimally invasive surgical approaches including robotics have been reported.