Embed presentation
Downloaded 215 times









































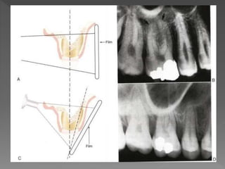
The document outlines general rules for dental X-ray exposure, including explaining the procedure to the patient, positioning the patient correctly, adjusting exposure factors, ensuring the film is parallel to the tooth, and taking precautions like using lead shields. Key steps are positioning the patient, setting exposure factors to get the right angle and focus, placing the film properly, and processing it safely after capturing the image.








































