Diffusion tensor imaging (DTI) is an MRI technique that estimates
the macroscopic axonal organization of the brain by using
anisotropic diffusion of water molecules to generate contrast in
MR images.
MR Tractography is a 3D reconstruction
technique to assess white matter
tracts using the data collected by
diffusion tensor imaging
Diffusion
• Diffusion means random
movement of the molecules (water
protons) from a region of higher
concentration to a region of lower
concentration until they are
equally distributed
• The process by which molecules
(water protons) diffuse randomly in
the space is called BROWNIAN
MOTION
ISOTROPIC DIFFUSION
• Possibility of water protons moving in
any one particular direction is equal to
the probability that it will move in any
other direction
• Isotropy= uniformity in all direction
• In an unrestricted environment, water
molecules move randomly- Isotropy
• Isotropic diffusion forms the basis for
routine DWI
ANISOTROPIC DIFFUSION
• In anisotropic diffusion , water
molecules have preferred direction of
movement
• Water protons move more easily in
some direction than other
• In a constrained environment, water
molecules move more easily in one
axis- Anisotropy
• Anisotropic diffusion forms the basis
for Diffusion Tensor Imaging
Tensor
• Tensor is a rather abstract mathematic
entity having specific properties that enable
complex physical phenomena to be
quantified
• In the present context, the tensor is simply a
matrix of numbers derived from diffusion
measurements in several different
directions, from which one can estimate the
diffusivity in any arbitrary direction or
determine the direction of maximum
diffusivity
• The direction of maximum diffusivity has
been shown to coincide with the WM fiber
tract orientation
Various maps are used
to indicate orientation
of fibres :
FA ( Fractional Anisotropy)
RA (Regional Anisotropy )
VA (Volume ratio )
Anisotropic Map
Basic colors can tell the observer how the fibers are
oriented in a 3D coordinate system, this is termed an
"anisotropic map".
The brightness of the color is controlled by Fractional
anisotropy.
The software could encode the colors in this way:
• Red indicates directions in the X axis: right to left or
left to right.
• Green indicates directions in the Y axis: posterior to
anterior or from anterior to posterior.
• Blue indicates directions in the Z axis: cranio-caudal
direction or vice versa. A) FA map B) FA-Color map
A) FA map B)FA- color coded orientation map
FA map- without directional information
FA Color coded map- color hues indicate direction
Brightness is proportional to FA
Classification of White matter tracts
• Association fibers: Interconnect cortical areas in each hemisphere
• Commissural fibers: interconnect cortical areas between opposite
hemisphere
• Projection fibers: interconnect cortical areas with deep nuclei,
brainstem, cerebellum and spinal cord
• Association fibers:
• Cingulum
• Superior and inferior
occipito-frontal fasciculus
• Uncinate fasciculus
• Superior longitudinal
fasciculus
• Arcuate fasciculus
• Inferior longitudinal
fasciculus ( occipito-
temporal fasciculus
• Commissure
fibers:
• Corpus callosum
• Anterior
commissure
• Projection fibers:
• Corticospinal
• corticobulbar
• corticopontine
• Geniculocalcarine
tract (optic
radiation)
Typically identified fibers in DTI
Occasionally identified fibers
• Optic tract
• Fornix
• Tapetum
• Fibers from brainstem and cerebellum
Association fibers
• Short association fibres which interconnect the adjacent gyri by
hooking around the sulcus
• Long association fibres travel for long distances and interconnect the
widely separated gyri of different lobes. The long association fibres are
grouped into bundles.
Association fiber: Cingulum
 An association fiber that allows the
communication between components of the
limbic system. Interconnect portion of frontal,
parietal and temporal lobe
 C –shaped structure located above the corpus
callosum and beneath the cingulate gyrus within
the medial surface of the brain
 Begins in the par-olfactory area of the cortex
below the rostrum of corpus callosum, then
courses within the cingulate gyrus, arching around
the corpus callosum, extends forward into the
para-hippocampal gyrus and uncus
Superior occipito-frontal fasciculus
It lies beneath the corpus callosum
It connects occipital and frontal lobes,
extending posteriorly along the dorsal
border of caudate nucleus.
Some part of it parallel to superior
longitudinal fasciculus but separated from
it by corona radiata and internal capsule
 It also connects the occipital and frontal
lobe but is far inferior than superior
occipitofrontal fasciculus
 Extend along the inferolateral edge of
the claustrum, below the insula
Inferior occipito-frontal fasciculus
Uncinate fasciculus
 It connects parts of the limbic system such as
temporal pole, anterior para-hippocampus and
amygdala
 Hook shaped bundle which links anterior temporal
lobe with orbital & inferior frontal gyrus of the
frontal lobe
Superior longitudinal fasciculus
Largest association fiber
Lateral to centrum semiovale
Connects part of frontal, parietal,
temporal and occipital lobe
Sweeps along the superior margin of
the insula in a great arc
Inferior longitudinal fasciculus
(Inferior occipito-temporal fasciculus)
It connects temporal and occipital lobe.
This tract traverses the length of the
temporal lobe Joins with the inferior
occipito-frontal fasciculus, inferior aspect
of superior longitudinal fasciculus and
optic radiation to form much of the
sagittal stratum traversing the occipital
lobe.
Commissural fiber : corpus callosum
The corpus callosum is the largest commissure of the
brain connecting the cerebral cortex of the two cerebral
hemispheres
Concave inferior aspect of corpus callosum is attached with
the convex superior aspect of the fornix by the septum
pellucidum
Convex superior aspect is covered by a thin layer of grey
matter, the indusium griseum, embedded in which are the
fibre bundles of bilateral medial and lateral longitudinal
striae.
Superior aspect of corpus callosum is covered on each side
by cingulate gyrus from which it is separated by a callosal
sulcus.
Parts of the corpus callosum
• Rostrum, Genu, Trunk & Splenium
The fibres
connecting
the occipital
lobes sweep
backwards on
either side
above the
calcarine
sulcus
forming a
large fork-like
structure,
the forceps
major
Splenium
The trunk is
the main
(middle) part.
Its fibres
connect most
of the frontal
and anterior
parts of the
parietal lobes
of the two
cerebral
hemispheres.
Trunk
The fibres of
genu sweep
(curve)
forwards on
either side into
the anterior
parts of the
frontal lobes,
forming a fork-
like structure,
the forceps
minor.
Genu
Rostrum forms
the floor of
the anterior
horn of lateral
ventricle and
its fibres
extends
inferiorly to
connect the
orbital
surfaces of the
two frontal
lobes.
Rostrum
**The tapetum is the thin lamina of
white fibres which forms the roof and
lateral wall of the posterior horn; and
lateral wall of the inferior horn of the
lateral ventricle.
**The tapetum is formed by those
fibres of the trunk and splenium of
corpus callosum which are not
intersected by the fibres of corona
radiata.
Commissural fiber: Anterior commissure
 This tract connects two temporal
lobes of both hemispheres & placed in
front of the columns of the fornix
 It crosses through the lamina
terminalis
 Its anterior fibers connect the
olfactory bulb and nuclei, its posterior
fibers connect middle and inferior
temporal gyri
Projection fibers:
corticospinal and corticobulbar tract
• They connect the motor cortex with brainstem and spinal
cord
• Both converge in corona radiata
• In the internal capsule- corticospinal tract continues through
the posterior limb and corticobulbar tract continues through
the genu
• Corticobulbar fibers predominantly terminate at the cranial
motor nuclei
• They can not be distinguished by directional DTI maps, but
corticobulbar tract is situated medial and dorsal to the
corticospinal tract
Corona Radiata
Though not a specific tract per se, the corona
radiata is one of the most easily identified
structures on directional DTI color maps.
Its coronally oriented fibers tend to give it a
color quite distinct from that of surrounding
tracts
Fibers to and from virtually all cortical areas
fan out superolaterally from the internal
capsule to form the corona radiata
Projection fiber: Internal Capsule
• It is situated in the inferomedial part of each cerebral hemisphere of the brain
• The internal capsule is a large and compact fiber bundle that serves as a major conduit
of fibers to and from the cerebral cortex and is readily identified on directional DTI color
maps
• The anterior limb lies between the head of the caudate and the rostral aspect of the
lentiform nucleus
• the posterior limb lies between the thalamus and the posterior aspect of the lentiform
nucleus.
• The anterior limb passes projection fibers to and from the thalamus (thalamocortical
projections) as well as frontopontine tracts, all of which are primarily antero-posteriorly
oriented
• In contradistinction to the posterior limb, which passes the superior-inferiorly oriented
fibers of the corticospinal and corticopontine tracts.
• This gives the anterior and posterior limbs distinctly different colors on directional DTI
maps.
Projection fiber: Optic Radiation
 It connects Lateral Geniculate body to primary visual
cortex
 Inferior fibers of optic radiation sweep around the
posterior horns of lateral ventricle and terminates in
the calcarine cortex
 The more superior fibers are more straighter
 The optic radiation mingles with the inferior
occipitofrontal fasciculus, inferior longitudinal
fasciculus, and inferior aspect of the superior
longitudinal fasciculus to form much of the sagittal
stratum in the occipital lobe.
Brain stem fibers
mlf
Altered DTI pattern by tumor and our goals
Goals-
o Maximize the extent of tumor resection
o Minimizing post-operative neurological deficit
o Intraoperative mapping of tumor
o Relationship of tumor with functional structures
Altered patterns
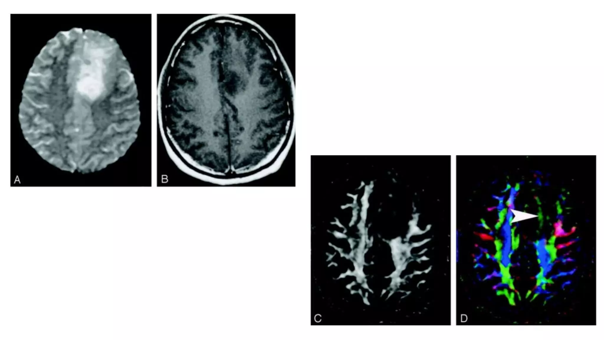
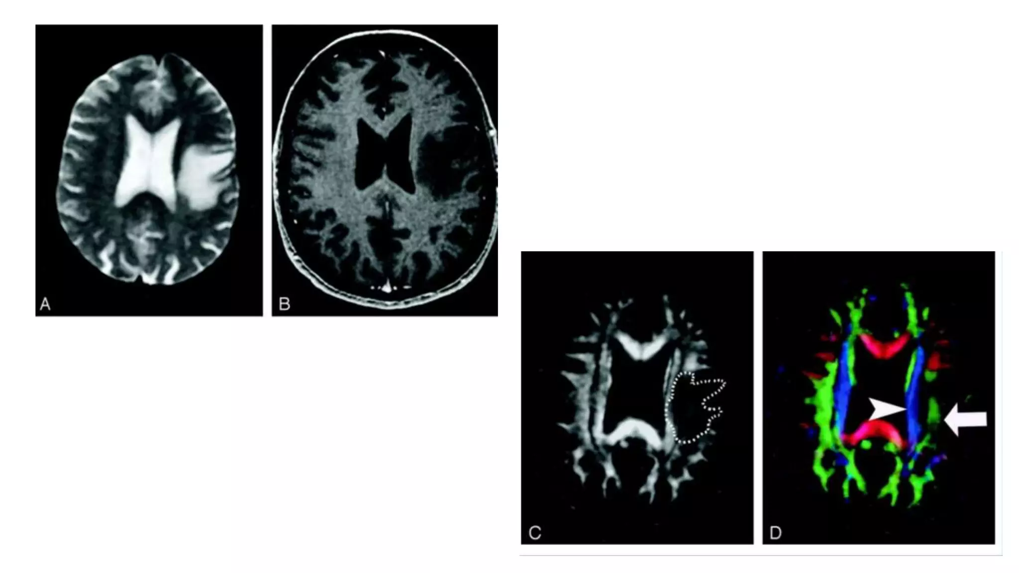
 Intact but deviated: have normal anisotropy. Deviated by the tumor.
Identified in their new location in DTI color map
 Edematous : might loose some anisotropy but retain enough directional
organization to remain identified on DTI maps
 Infiltrated: loose anisotropy. Seen in small infiltrative glioma where mass
effect appeared to be insufficient to account for abnormal hues on DTI
map
 Destroyed: consists of isotropic diffusion . So tract can not be identified
on DTI color map
Take home messages
• In DTI, anisotropy of the water protons are used to estimate the
axonal organization of brain
• The tensor model is used to identify the orientation of the fibres
• Direction of the diffusion is represented as coloured Fractional
Anisotropy map
Diffusion tensor imaging .pptx
Diffusion tensor imaging .pptx

Diffusion tensor imaging .pptx

  • 2.
    Diffusion tensor imaging(DTI) is an MRI technique that estimates the macroscopic axonal organization of the brain by using anisotropic diffusion of water molecules to generate contrast in MR images.
  • 3.
    MR Tractography isa 3D reconstruction technique to assess white matter tracts using the data collected by diffusion tensor imaging
  • 5.
    Diffusion • Diffusion meansrandom movement of the molecules (water protons) from a region of higher concentration to a region of lower concentration until they are equally distributed • The process by which molecules (water protons) diffuse randomly in the space is called BROWNIAN MOTION
  • 8.
    ISOTROPIC DIFFUSION • Possibilityof water protons moving in any one particular direction is equal to the probability that it will move in any other direction • Isotropy= uniformity in all direction • In an unrestricted environment, water molecules move randomly- Isotropy • Isotropic diffusion forms the basis for routine DWI
  • 9.
    ANISOTROPIC DIFFUSION • Inanisotropic diffusion , water molecules have preferred direction of movement • Water protons move more easily in some direction than other • In a constrained environment, water molecules move more easily in one axis- Anisotropy • Anisotropic diffusion forms the basis for Diffusion Tensor Imaging
  • 14.
    Tensor • Tensor isa rather abstract mathematic entity having specific properties that enable complex physical phenomena to be quantified • In the present context, the tensor is simply a matrix of numbers derived from diffusion measurements in several different directions, from which one can estimate the diffusivity in any arbitrary direction or determine the direction of maximum diffusivity • The direction of maximum diffusivity has been shown to coincide with the WM fiber tract orientation
  • 16.
    Various maps areused to indicate orientation of fibres : FA ( Fractional Anisotropy) RA (Regional Anisotropy ) VA (Volume ratio )
  • 18.
    Anisotropic Map Basic colorscan tell the observer how the fibers are oriented in a 3D coordinate system, this is termed an "anisotropic map". The brightness of the color is controlled by Fractional anisotropy. The software could encode the colors in this way: • Red indicates directions in the X axis: right to left or left to right. • Green indicates directions in the Y axis: posterior to anterior or from anterior to posterior. • Blue indicates directions in the Z axis: cranio-caudal direction or vice versa. A) FA map B) FA-Color map
  • 19.
    A) FA mapB)FA- color coded orientation map FA map- without directional information FA Color coded map- color hues indicate direction Brightness is proportional to FA
  • 20.
    Classification of Whitematter tracts • Association fibers: Interconnect cortical areas in each hemisphere • Commissural fibers: interconnect cortical areas between opposite hemisphere • Projection fibers: interconnect cortical areas with deep nuclei, brainstem, cerebellum and spinal cord
  • 21.
    • Association fibers: •Cingulum • Superior and inferior occipito-frontal fasciculus • Uncinate fasciculus • Superior longitudinal fasciculus • Arcuate fasciculus • Inferior longitudinal fasciculus ( occipito- temporal fasciculus • Commissure fibers: • Corpus callosum • Anterior commissure • Projection fibers: • Corticospinal • corticobulbar • corticopontine • Geniculocalcarine tract (optic radiation) Typically identified fibers in DTI
  • 22.
    Occasionally identified fibers •Optic tract • Fornix • Tapetum • Fibers from brainstem and cerebellum
  • 23.
    Association fibers • Shortassociation fibres which interconnect the adjacent gyri by hooking around the sulcus • Long association fibres travel for long distances and interconnect the widely separated gyri of different lobes. The long association fibres are grouped into bundles.
  • 24.
    Association fiber: Cingulum An association fiber that allows the communication between components of the limbic system. Interconnect portion of frontal, parietal and temporal lobe  C –shaped structure located above the corpus callosum and beneath the cingulate gyrus within the medial surface of the brain  Begins in the par-olfactory area of the cortex below the rostrum of corpus callosum, then courses within the cingulate gyrus, arching around the corpus callosum, extends forward into the para-hippocampal gyrus and uncus
  • 26.
    Superior occipito-frontal fasciculus Itlies beneath the corpus callosum It connects occipital and frontal lobes, extending posteriorly along the dorsal border of caudate nucleus. Some part of it parallel to superior longitudinal fasciculus but separated from it by corona radiata and internal capsule  It also connects the occipital and frontal lobe but is far inferior than superior occipitofrontal fasciculus  Extend along the inferolateral edge of the claustrum, below the insula Inferior occipito-frontal fasciculus
  • 28.
    Uncinate fasciculus  Itconnects parts of the limbic system such as temporal pole, anterior para-hippocampus and amygdala  Hook shaped bundle which links anterior temporal lobe with orbital & inferior frontal gyrus of the frontal lobe
  • 30.
    Superior longitudinal fasciculus Largestassociation fiber Lateral to centrum semiovale Connects part of frontal, parietal, temporal and occipital lobe Sweeps along the superior margin of the insula in a great arc
  • 34.
    Inferior longitudinal fasciculus (Inferioroccipito-temporal fasciculus) It connects temporal and occipital lobe. This tract traverses the length of the temporal lobe Joins with the inferior occipito-frontal fasciculus, inferior aspect of superior longitudinal fasciculus and optic radiation to form much of the sagittal stratum traversing the occipital lobe.
  • 36.
    Commissural fiber :corpus callosum The corpus callosum is the largest commissure of the brain connecting the cerebral cortex of the two cerebral hemispheres Concave inferior aspect of corpus callosum is attached with the convex superior aspect of the fornix by the septum pellucidum Convex superior aspect is covered by a thin layer of grey matter, the indusium griseum, embedded in which are the fibre bundles of bilateral medial and lateral longitudinal striae. Superior aspect of corpus callosum is covered on each side by cingulate gyrus from which it is separated by a callosal sulcus.
  • 37.
    Parts of thecorpus callosum • Rostrum, Genu, Trunk & Splenium The fibres connecting the occipital lobes sweep backwards on either side above the calcarine sulcus forming a large fork-like structure, the forceps major Splenium The trunk is the main (middle) part. Its fibres connect most of the frontal and anterior parts of the parietal lobes of the two cerebral hemispheres. Trunk The fibres of genu sweep (curve) forwards on either side into the anterior parts of the frontal lobes, forming a fork- like structure, the forceps minor. Genu Rostrum forms the floor of the anterior horn of lateral ventricle and its fibres extends inferiorly to connect the orbital surfaces of the two frontal lobes. Rostrum
  • 41.
    **The tapetum isthe thin lamina of white fibres which forms the roof and lateral wall of the posterior horn; and lateral wall of the inferior horn of the lateral ventricle. **The tapetum is formed by those fibres of the trunk and splenium of corpus callosum which are not intersected by the fibres of corona radiata.
  • 42.
    Commissural fiber: Anteriorcommissure  This tract connects two temporal lobes of both hemispheres & placed in front of the columns of the fornix  It crosses through the lamina terminalis  Its anterior fibers connect the olfactory bulb and nuclei, its posterior fibers connect middle and inferior temporal gyri
  • 45.
    Projection fibers: corticospinal andcorticobulbar tract • They connect the motor cortex with brainstem and spinal cord • Both converge in corona radiata • In the internal capsule- corticospinal tract continues through the posterior limb and corticobulbar tract continues through the genu • Corticobulbar fibers predominantly terminate at the cranial motor nuclei • They can not be distinguished by directional DTI maps, but corticobulbar tract is situated medial and dorsal to the corticospinal tract
  • 47.
    Corona Radiata Though nota specific tract per se, the corona radiata is one of the most easily identified structures on directional DTI color maps. Its coronally oriented fibers tend to give it a color quite distinct from that of surrounding tracts Fibers to and from virtually all cortical areas fan out superolaterally from the internal capsule to form the corona radiata
  • 49.
    Projection fiber: InternalCapsule • It is situated in the inferomedial part of each cerebral hemisphere of the brain • The internal capsule is a large and compact fiber bundle that serves as a major conduit of fibers to and from the cerebral cortex and is readily identified on directional DTI color maps • The anterior limb lies between the head of the caudate and the rostral aspect of the lentiform nucleus • the posterior limb lies between the thalamus and the posterior aspect of the lentiform nucleus. • The anterior limb passes projection fibers to and from the thalamus (thalamocortical projections) as well as frontopontine tracts, all of which are primarily antero-posteriorly oriented • In contradistinction to the posterior limb, which passes the superior-inferiorly oriented fibers of the corticospinal and corticopontine tracts. • This gives the anterior and posterior limbs distinctly different colors on directional DTI maps.
  • 51.
    Projection fiber: OpticRadiation  It connects Lateral Geniculate body to primary visual cortex  Inferior fibers of optic radiation sweep around the posterior horns of lateral ventricle and terminates in the calcarine cortex  The more superior fibers are more straighter  The optic radiation mingles with the inferior occipitofrontal fasciculus, inferior longitudinal fasciculus, and inferior aspect of the superior longitudinal fasciculus to form much of the sagittal stratum in the occipital lobe.
  • 53.
  • 54.
    Altered DTI patternby tumor and our goals Goals- o Maximize the extent of tumor resection o Minimizing post-operative neurological deficit o Intraoperative mapping of tumor o Relationship of tumor with functional structures
  • 55.
    Altered patterns  Intactbut deviated: have normal anisotropy. Deviated by the tumor. Identified in their new location in DTI color map  Edematous : might loose some anisotropy but retain enough directional organization to remain identified on DTI maps  Infiltrated: loose anisotropy. Seen in small infiltrative glioma where mass effect appeared to be insufficient to account for abnormal hues on DTI map  Destroyed: consists of isotropic diffusion . So tract can not be identified on DTI color map
  • 62.
    Take home messages •In DTI, anisotropy of the water protons are used to estimate the axonal organization of brain • The tensor model is used to identify the orientation of the fibres • Direction of the diffusion is represented as coloured Fractional Anisotropy map

Editor's Notes

  • #5 When multiple voxel levels are used to estimate the similarities between maximal diffusion direction & 3 dimentionally reconstruction of WM fibres using that data is called tractography.
  • #7 Described by FICK’s first law, here FLOW/FLUX=diffusion flux, the amount of substance that will flow per unit area. Dc/Dx =concentration gradient. D= Diffusion co-efficient or Diffusivity which depends on temperature, viscosity & size of the particles. Diffusion occurs down to the concentration gradient & it will continue occurring until equilibrium is reached.
  • #9 Uniform movement of the water protons in all directions is called isotropic diffusion.
  • #13 In WM of brain, diffusion anisotropy is primarily caused by cellular membranes. As axonal packaging and myelin sheaths present as barriers to the motion of water molecules, Diffusion is anisotropic (directionally dependent) in WM fiber tracts
  • #14 Zooming into the cell body, we represent the hydrogen protons of water molecules as small blue spheres. As the round shape of the cell body, the hydrogen protons of water molecules are free to move in any direction without any restriction.This type of symmetric movement is called isotropic diffusion. In contrast, because of the cylindrical geometry of the axons, movement of the water molecules are asymmetric here, they prefer to move along the axis of the axon, which is represented by this large vector.There are some limited movement of the hydrogen proton to the periphery of the axon which we can represented by these smaller vectors.this asymmetric movement is called anisotropic diffusion & as you can see they can be represented by 3 orthogonal vectors which are similar to eigen value & eigen vectors of a TENSOR.
  • #15 Top left, Fiber tracts have an arbitrary orientation with respect to scanner geometry (x, y, z axes) and impose directional dependence of diffusion.Top right, The three-dimensional diffusivity is modeled as an ellipsoid whose orientation is characterized by three eigenvectors (ϵ1, ϵ2, ϵ3) and whose shape is characterized three eigenvalues (λ1, λ2, λ3). The eigenvectors represent the major, medium, and minor priniciple axes of the ellipsoid, and the eigenvalues represent the diffusivities in these three directions, respectively.Bottom, This ellipsoid model is fitted to a set of matrix with at least six different diffusion measurements by solving a procedure known as matrix diagonalization. The major eigenvector (that eigenvector associated with the largest of the three eigenvalues) reflects the direction of maximum diffusivity, which, in turn, reflects the orientation of fiber tracts.
  • #16 If we take our tensor eigen vectors & rotate them on the main axis of the large vector, we can see the path maps out a ellipsoid. The long axis of the ellipsoid graphically depicts the main direction & relative rate of anisotropic diffusion. Short axis depicts the minor diffusion. In contrast , within the cell body, rate of diffusion is similar in all direction so isotropic diffusion is represented by a symmetric sphere. Tensor ellipsoid is one of the graphic representation of the diffusion data the same data can be represented as color encoded map or 3Dimesionally represented as Tractography.
  • #17 the FA is the Degree of diffusion anisotropy at every voxel estimated by tensor model MEAN DIFFUSIVITY is the average diffusion at every voxel and
  • #18 Selected DTI scan of human brain to illustrate differences in tensor anisotropy and orientation.This is a part of brain showing tiny areas of vectors showing the direction of maximum diffusion of water protons. that means they are representing the apparent diffusivity in those particular voxels.
  • #19 Red= commissural fibre, green = association fibres, blue= projection fibre.
  • #26 Cingulum, sagittal view. A, Illustration shows the cingulum arching over the corpus callosum.B, Gross dissection, median view. C, Directional map. Because DTI reflects tract orientation voxel by voxel, the color changes from green to blue as the cingulum (arrows) arches around the genu and splenium (arrowheads). D-showing tractogram of cingulum Cingulum, axial directional map. The paired cingula (arrowheads) are easily identified in green at the section obtained just cephalad to the corpus callosum.
  • #28 Superior and inferior occipitofrontal fasciculi sagittal view.A, Illustration shows the superior occipitofrontal fasciculus hooking around the lateral sulcus to connect arching over the caudate nucleus to connect frontal and occipital lobes, and the inferior frontal and anterior temporal lobes. B, Gross dissection, lateral view. Like the superior occipitofrontal fasciculus, the inferior occipitofrontal fasciculus connects the frontal and occipital lobes, but it lies more caudal, running inferolateral to the claustrum.C and D, Tractograms of the superior (C) and inferior (D) occipitofrontal fasciculi. Axial directional map showing IOFF That lies in a roughly axial plane and is easily identified in green; it connects frontal and occipital lobes at the level of the midbrain.
  • #30 Illustration shows the uncinate fasciculus hooks around the lateral sulcus to connect inferior frontal and anterior temporal lobes. B, Tractogram.
  • #32 Superior longitudinal fasciculus, sagittal view. This massive fiber bundle sweeps along the superior margin of the claustrum in a great arc. The term arcuate fasciculus is often used in reference to the superior longitudinal fasciculus or, specifically, its more arcuate portion.A, Gross dissection, lateral view.B, Directional map, parasagittal section. Note the color change from green to blue as the superior longitudinal fasciculus fibers turn from an anteroposterior orientation (white arrows) to a more superior-inferior orientation (arrowhead). C, Tractogram.
  • #36 A, Directional map, parasagittal section, shows the inferior longitudinal fasciculus (arrow). B, Tractogram.
  • #37 In this talk I’ll do a brief discussion about corpus callosum as it is most easily identified fibre on DTI.
  • #39 The tractogram pictured shows the nerve tracts from six segments of the corpus callosum, providing linking of the cortical regions between the cerebral hemispheres. Those of the genu are shown in coral, of the premotor – green, of the sensory-motor – purple, of the parietal – pink, of the temporal – yellow, and of the splenium – blue.[11]
  • #40 llustration (A), gross dissection (B), directional map (C), and tractogram (D). The largest WM fiber bundle, the corpus callosum connects corresponding areas of cortex between the hemispheres. Close to the midline, its fibers are primarily left-right oriented, resulting in its red appearance on this DTI map. However, callosal fibers fan out more laterally and intermingle with projection and association tracts, resulting in more complex color patterns. Sagittal directional map of the corpus callosum (arrowheads) (A) and tractogram (B).
  • #45  Posterior commissure. 4. Hippocampal commissure (commissure of fornix). 5. Habenular commissure.
  • #46 Corticospinal fibers converge into the corona radiata and continue through the posterior limb of the internal capsule to the cerebral peduncle on their way to the lateral funiculus. Corticobulbar fibers converge into the corona radiata and continue through the genu of the internal capsule to the cerebral peduncle where they lie medial and dorsal to the corticospinal fibers. 
  • #48 Corticospinal fibers originating along the motor cortex converge through the corona radiata and posterior limb of the internal capsule on their way to the lateral funiculus of the spinal cord. B, Coronal directional map. Corticospinal fibers (arrows) are easily identified in blue on this DTI map owing to their predominantly superior-inferior orientation. The fibers take on a more violet hue as they turn medially to enter the cerebral peduncles, then become blue again as they descend through the brain stem. Corticospinal fibers run with corticobulbar and corticopontine fibers; these cannot be distinguished on directional maps but can be parsed by using tractographic techniques.C, Tractogram.
  • #50 Illustration (A) and gross dissection, medial view (B) of the corona radiata.C, Directional map, three adjacent parasagittal sections, with corona radiata identifiable in blue (arrows). Corona radiata fibers interdigitate with laterally directed callosal fibers, resulting in assorted colors in the vicinity of their crossing. D, Tractogram in which different portions of the corona radiata have been parsed by initiating the tractographic algorithm from different starting locations.
  • #52 A and B, Illustration (A) and directional map (B). Because the anterior limb (small arrow) primarily consists of anteroposteriorly directed frontopontine and thalamocortical projections, it appears green on this DTI map. The posterior limb (large solid arrow), which contains the superior-inferiorly directed tracts of the corticospinal, corticobulbar, and corticopontine tracts, is blue. Note also the blue fibers of the external capsule (arrowhead) and the green fibers of the optic radiations (open arrow) in the retrolenticular portion of the internal capsule.
  • #54 directional map (C), and tractogram (D). As this tract connects the lateral geniculate nucleus to occipital (primary visual) cortex, the fibers sweep around the posterior horn of the lateral ventricle and terminate in the calcarine cortex (more cephalad fibers of the optic radiation take a more direct path to the visual cortex). The optic radiation (arrows) mingles with the inferior occipitofrontal fasciculus, inferior longitudinal fasciculus, and the inferior aspect of superior longitudinal fasciculus to form much of the sagittal stratum in the occipital lobe.
  • #55 The complex anatomy of the brain stem includes a large number of tracts and nuclei, as well as multiple commissures and decussations, many of which can NOT be resolved on directional DTI color maps. Space prohibits a comprehensive review, but several commonly seen brain stem structures are illustrated
  • #58 Potential patterns of WM fiber tract alteration by cerebral neoplasms.
  • #59  DTI Pattern 1: normal anisotropy, abnormal location or orientation. A–E, T2-weighted MR image (A), contrast-enhanced T1-weighted image (B), directional maps in axial (C) and coronal (D) planes, and coronal tractogram of bilateral corticospinal tracts (E). WM tracts are deviated anteriorly, inferiorly, and posterolaterally but retain their normal anisotropy. Therefore, they remain readily identified on DTI . The AC (red, arrowhead), IOFF (green, open arrow), and CST (blue, solid arrows) are deviated. Note the blue hue of the CST change to red as it deviates toward the axial plane by the tumor.These patterns are most important because these can potentially be preserved during resection
  • #60 DTI pattern 2: abnormal (low) anisotropy, normal location and orientation. T2-weighted MR image (A), contrast-enhanced T1-weighted MR image (B), FA map (C), and directional map (D). The homogeneous region of hyperintensity on the T2-weighted image represents vasogenic edema. Despite diminished anisotropy in this region (darker region outlined on FA map) and diminished color brightness on directional map, the involved fiber tracts retain their normal color hues on the directional map. This preservation of normal color hues despite a substantial decrease in anisotropy is consistent with vasogenic edema, which enlarges the extracellular space. It is not yet known to what extent this pattern is specific for edema, however.
  • #61 DTI pattern 3: abnormal (low) anisotropy, abnormal orientation. This infiltrating astrocytoma is characterized by both diminished anisotropy and abnormal color (arrowhead) on the directional map, suggesting disruption of WM fiber tract organization more severe and complex than that seen with pattern 2 . Note that the color change cannot easily be attributed to bulk mass effect as in purely deviated tracts.
  • #62 DTI pattern 4: near-zero anisotropy, tract unidentifiable. This high-grade astrocytoma has destroyed the body of the corpus callosum, rendering the diffusion essentially isotropic and preventing identification on the directional map (arrow). This pattern can be useful in preoperative planning that no special care need be taken during resection to preserve a tract.
  • #63 Illustration shows the anatomic relationships of several WM fiber tracts in the coronal plane. The corpus callosum is “sandwiched” between the cingulum superomedially and the superior occipitofrontal fasciculus inferolaterally. The superior longitudinal fasciculus sweeps along the superior margin of the claustrum in a great arc. The inferior occipitofrontal fasciculus lies along the inferolateral edge of the claustrum.B, Directional map- The paired cingula are easily identified in green (yellow arrows) just cephalad to the red corpus callosum (thick white arrow). White arrowheads indicate superior occipitofrontal fasciculus; thin white arrows, inferior occipitofrontal fasciculus; yellow arrowheads, superior longitudinal fasciculus. Like the corpus callosum, the commissural fibers of the anterior commissure are in the characteristic red (open arrows) on this DTI map. Further lateral, the fibers diverge and mingle with other tracts; they are no longer identifiable with DTI.
  • #65 This is the video for better understanding of the mathematical analysis of DTI, but I m not playing it here due to time constraints. Those who are interested you can go through it.
  • #66 Thank you all for patience hearing.