Diabetic Kidney
Disease
Dr Richard McCrory
What we will cover
• Prevalence and Impact of Diabetic
Kidney Disease
• Pathogenesis of Diabetic Nephropathy
• Other Renal Disease in Diabetes
• Treatment Issues
– The Integrated Approach
A few questions to
ponder…
(Answers will come later!)
For the next three cases, what is
the most likely diagnosis?
• Diabetic nephropathy
• Focal and segmental glomerulosclerosis
• Hypertensive nephropathy
• Pauci-immune glomerulonephritis
• Idiopathic membranous nephropathy
SCE Sample Question
A 53-year-old man presented to his GP with a right inguinal hernia. He
had a 6-year history of hypertension that had been initially treated
with atenolol but he had neither visited a doctor nor taken any
medication for 3 years. There was no other significant medical
history. He smoked 30 cigarettes per day.
On examination, his blood pressure was 176/96 mmHg, his heart
sounds were normal and his chest was clear. Fundoscopy revealed
bilateral dot haemorrhages, microaneurysms and hard exudates.
Urinalysis showed protein 4+, blood 2+.
Investigations
Serum creatinine 176 μmol/L (60–110)
Fasting plasma glucose 16.7 mmol/L (3.0–6.0)
Urinary albumin:creatinine ratio 287 mg/mmol (<2.5)
USS of kidneys normal appearances, left kidney 10.4 cm, right kidney 11.2 cm
A Non-SCE Question!
A 26 year old male with Prader-Willi Syndrome is referred to nephrology clinic with
a 4 month history of lower leg swelling. He was diagnosed with Type 2 Diabetes in
2007. He smokes 40 cigarettes per day.
On examination, his BMI was 32 kg/m2
, blood pressure was 120/82 mmHg, his
heart sounds were normal and his chest was clear. The abdomen was normal. He
had oedema to tibial tuberosities. Fundoscopy was normal. Urinalysis showed
protein 3+, blood +
Investigations:
Serum Creatinine 33 µmol/L, Albumin 37 g/L, HbA1c 10.4%
24 hour urine protein output 3.03g/24hr
USS kidneys normal appearances, left kidney 12.9cm, right kidney 13.3cm
A further Non-SCE Question!
A 28 year old lady is referred to outpatient clinic with a 6 month history of night
sweats and joint swelling . She was diagnosed with Type 1 Diabetes at the age of 11
and had stopped her ACE inhibitor 18 months ago in an attempt to conceive
despite having documented proteinuria with an ACR of 50mg/mmol .
On examination, there was bilateral synovial swelling of both hands and knees. She
had ankle oedema to tibial tuberosities. BP 125/87mmHg. Fundoscopy
demonstrated evidence of photocoagulation burns. Urinalysis demonstrated 3+
protein and a trace of blood
Investigations:
Creatinine 167 umol/L, Haemoglobin 79 g/L
C-Reactive Protein 230 mg/L, pANCA 160, MPO 5.1 IU/L
Urinary ACR 220mg/mmol
The Prevalence and
Impact of Diabetic
Kidney Disease
Worldwide Prevalence of Diabetes
Diabetes Statistics
310 million diagnosed with Diabetes in
2011
USA spent $201 billion of its healthcare
dollars on diabetes or 43% of global
healthcare expenditure due to diabetes
The Spectrum of CKD in Patients with Diabetes
Diabetes No Diabetes
Other Kidney
Disease
Diabetic
Nephropathy
Hypertension
Renovascular
Disease
Source: Canadian Journal of Diabetes 2013; 37:S129-S136
Acute Kidney Injury + Diabetes
• Cumulative Risk and independent of other major risk
factors of progression.
• 3679 diabetic patients (Jan 1999- Dec 2008)
• Mean age = 61.7 years
• Mean baseline Creatinine = 90 µmol/L
• 1822 hospitalized
– 530 experienced one AKI episode, 157/530 ≥2 AKI episodes.
• Risk of Stage 4 CKD
– AKI versus no AKI HR 3.56 [95% CI 2.76, 4.61)
Thakar et al. CJASN Sept 2011
Percentage distribution of primary renal
diagnosis by age in RRT Incident cohort (2011)
In 2011, 201 patients in NI started RRT
26% had Diabetes as Prim. Diagnosis
UK Renal Registry 15th Annual Report
Survival at 1 year after 90 days for incident diabetic and
non-diabetic patients by age group for patients starting RRT in 2010
Median life expectancy on RRT by age group,
incident patients starting RRT from 2000–2008 cohort
Median life expectancy on RRT by age group,
incident diabetic patients starting RRT from 2000–2008 cohort
USRDS Atlas 2011
http://diabetes.niddk.nih.gov/dm/pubs/statistics/index.htm
Diabetes is the most
important cause of ESRD
but very few diabetics are
on renal replacement
Diagnosis
Hyperfiltration
Micro-albuminuria
Macro-albuminuria
Renal failure
Perkins BA, Et al. N Engl J Med 2003;348:2285-93.
When does Nephrology get involved?
Type 1 DM
Type 2 DM
Pathogenesis
Forbes and Cooper Physiol Rev 2013;93:137-188
The Glomerular Filtration Barrier
Jefferson et al KI 2008
What’s happening in the Nephron?
Earliest change:
• Glomerular enlargement
• GBM widening
Early lesions:
• Mesangial expansion
• Mesangiolysis
Established lesions
• Nodular sclerosis
• Marked mesangial expansion
• Afferent,efferent arteriolar hyaline
• Microaneurysms
Natural History of Diabetic
Nephropathy
NDT, 1991
Stage 1 Stage 5
Chronic renal
failure
Stage 2 Stage 4
Overt
nephropathy
Stage 3
Incipient
nephropathy
Adapted from Mogensen et al, Diabetologia 1979; 17: 71-76
Natural history of diabetic nephropathy
Pre-nephropathy
Normoalbuminuria
Biopsy Question
• A 65 year old man underwent a renal biopsy
for investigation of impaired GFR and
proteinuria
• The biopsy was reported as showing nodular
glomerulosclerosis
Which of the following is not associated with
nodular glomerulosclerosis?
• Diabetic nephropathy
• Fibrillary glomerulonephritis
• Membranous nephropathy
• Amyloidosis
• Chronic Type 1 MPGN
Differential for Nodular Glomerulosclerosis
on Kidney Biopsy
If Immuno is negative( more common):
– Diabetic Nephropathy
– Chronic Thrombotic Microangiopathy
– Chronic ischemic disease or hypoxia
– Smoking associated nodular sclerosis – Nasr et al. JASN 2006
If Immuno is positive, either monoclonal or polyclonal
Monoclonal IF:- MPGN, or paraprotein related disease such as
LCDD or amyloidosis
Polyclonal IF:- Immunotactoid, Fibrillary GN, Cryoglobulinaemia
SCE Sample Question
A 53-year-old man presented to his GP with a right inguinal hernia.
He had a 6-year history of hypertension that had been initially
treated with atenolol but he had neither visited a doctor nor
taken any medication for 3 years. There was no other significant
medical history. He smoked 30 cigarettes per day.
On examination, his blood pressure was 176/96 mmHg, his heart
sounds were normal and his chest was clear. Fundoscopy
revealed bilateral dot haemorrhages, microaneurysms and hard
exudates. Urinalysis showed protein 4+, blood 2+.
• Investigations
– Serum creatinine 176 μmol/L (60–110)
– Fasting plasma glucose 16.7 mmol/L (3.0–6.0)
– Urinary albumin:creatinine ratio 287 mg/mmol (<2.5)
– Ultrasound scan of kidneys normal appearances, left kidney 10.4
cm, right kidney 11.2 cm
ANSWER - A
A Non-SCE Question!
A 26 year old male with Prader-Willi Syndrome is referred to
nephrology clinic with a 4 month history of lower leg swelling. He
was diagnosed with Type 2 Diabetes in 2007. He smokes 40
cigarettes per day.
On examination, his BMI was 32 kg/m2
, blood pressure was 120/82
mmHg, his heart sounds were normal and his chest was clear. The
abdomen was normal. He had oedema to tibial tuberosities.
Fundoscopy was normal. Urinalysis showed protein 3+, blood +
Investigations:
Serum Creatinine 33 µmol/L, Albumin 37 g/L, HbA1c 10.4%
24 hour urine protein output 3.03g/24hr
Ultrasound scan of kidneys normal appearances, left kidney 12.9cm,
right kidney 13.3cm
ANSWER - B
A further Non-SCE Question!
A 28 year old lady is referred to outpatient clinic with a 6 month
history of night sweats and joint swelling . She was diagnosed with
Type 1 Diabetes at the age of 11 and had stopped her ACE inhibitor
18 months ago in an attempt to conceive despite having
documented proteinuria with an ACR of 50mg/mmol .
On examination, there was bilateral synovial swelling of both hands
and knees. She had ankle oedema to tibial tuberosities. BP
125/87mmHg. Fundoscopy demonstrated evidence of
photocoagulation burns. Urinalysis demonstrated 3+ protein and a
trace of blood
Investigations:
Creatinine 167 umol/L, Haemoglobin 79 g/L
C-Reactive Protein 230 mg/L, pANCA 160, MPO 5.1 IU/L
Urinary ACR 220mg/mmol ANSWER – A!
Suspicious for non-diabetic
nephropathy
• Onset within 5 years of dx of diabetes
• Acute onset
• Active sediment
• Unusual review of systems
• Serologies
ANA, Hep B, Hep C
• Absence of retinopathy or neuropathy
When does a Diabetic not need a biopsy?
• Is there a consistent history?
• Negative Immunology
• Bland Sediment
• Retinopathy
• Is renovascular disease contributing to
deterioration?
What may you expect to find on the
renal biopsy of a diabetic patient?
Columbia University Medical Center 2011
620 kidney biospies from patients with diabetes.
– 37% of patients had DN alone
– 36% had NDRD alone
– 27% had DN plus NDRD
Longer duration of DM was associated with a
greater likelihood of DN and a lower likelihood
of NDRD
DM duration ≥12 years was the best predictor
(58% sensitivity, 73% specificity) of DN alone.
Retinopathy and Nephropathy
1. Patients with T1DM and nephropathy
almost always have retinopathy
2. Patients with T1DM and retinopathy almost
always have nephropathy
3. In patients with T2DM with DN, retinopathy
will be present in 30 %
4. In T2DM, severe retinopathy is associated
with Kimmelstiel-Wilson nodules
Retinopathy and Nephropathy.
1. Patients with T1DM and nephropathy
almost always have retinopathy - TRUE
2. Patients with T1DM and retinopathy almost
always have nephropathy - FALSE
3. In patients with T2DM with DN, retinopathy
will be present in 30 %– FALSE (60%)
4. In T2DM, severe retinopathy is associated
with Kimmelstiel-Wilson nodules - TRUE
Treatment
Strategies
Treatment Strategies
1. Glycaemic control
2. Blood pressure control
3. RAAS control
4. Proteinuria control
5. Cholesterol control
What about control of diabetes?
Type 1 Diabetes
• DCCT trial
– Basal-bolus/insulin pump
versus BD insulin
– Reduction in incidence and
progression of albuminuria
– Followed up for 22 years –
50% reduction in incidence
of impaired GFR
Type 2 Diabetes
• UKPDS/ACCORD/ADVANCE
• Intensive v standard
glycaemic control
• Probably some benefit in
reduction in DN but less
impressive than for T1DM
NICE Guidance on Diabetes and
CKD
1. Achievement of HbA1c targets of 6.5–
7.5% -
2. Prescription of ACE inhibitors titrated to
full dose.
3. Control of hypertension to below
130/80 mmHg
4. Timely referral to a nephrologist.
UK Prospective Diabetes Study
Intensive glucose control
HbA1c7.0 % (T) vs 7.9 % (C) reduced risk of:
– any diabetes-related endpoints 12%
– microvascular endpoints 25%
– myocardial infarction 16%
Blood pressure control policy 144/82 (T) vs
154/87 (C) mmHg reduces risk of:
– any diabetes-related endpoint 24%
– microvascular endpoint 37%
– stroke 44%
The benefit from tight glycaemic
control is less than the benefit
from less-than-good blood
pressure control
RENAAL / IDNT – The DIAMETRIC
Database (2011)
• For every 5mmHg reduction in SBP
– ~2% risk reduction in CV risk
• For every Logarithmic reduction in albuminuria
– ~12% reduction in CV risk
• 35% of subjects had either a reduction in BP and no
change in albuminuria or vice versa
• Discordance existed between effects of ARB’s on BP
and albuminuria
The Steno-2 Study – An Integrated
Approach (Gaede, 2003)
80 patients randomly assigned to conventional
Tx or intensified multifactorial intervention
Targets
– Hyperglycaemia
– Hypertension
– Dyslipidaemia
– Uprot
– Secondary prevention CV disease (Smoking
cessation, Exercise, Dietary changes
Aspirin and ACE inhibitor)
Steno-2 Results
• Intensified Treatment- Lower risk of
–CV disease 0.47 (0.27-0.73)
–Nephropathy 0.39 (0.17-0.87)
–Retinopathy 0.42 (0.21-0.86)
–Autonomic neuropathy 0.37 (0.81-0.79)
AND Cost-effective
AND NNT = 5…
Joint Diabetes Renal Clinic – Realities
Joss et al. 2002
n = 107 over 29 months (50% Cre >200)
– Absolute ΔSBP 13mmHg
– Absolute ΔDBP 12mmHg
– ΔCholesterol 1.4 (1.8, 1.0)
– ACR 268 → 131
Joint Diabetic Renal Clinic – Realities
Jayapaul et al. 2006
130 patients
• Slope of creatinine clearance vs. time
– 1.09±1.34 ml/min/month in 1st
year to
0.39±0.73 ml/min/month in 3rd
year
(p < 0.004)
• HbA1c unchanged
• Significant improvement in SBP + DBP
(41% achieved <140/<80mmHg)
Joint Diabetic Renal Clinic – Realities
Slade et al. 2011 (New Zealand)
44 DN patients @ high risk of progression
No change in weight / HbA1c / Proteinuria
– At time of referral - 7.97 ml/min/yr
– Following clinic intervention - 3.17 ml/min/yr
Summary
• Diabetes (especially Type 2) placing heavy
CVD and Renal Burden on health services
• In Diabetic Nephropathy
– Margins gained with Blood Pressure + Proteinuria
control over glycaemic control
– Recognise the intensity of resource investment +
dedicated time needed to achieve this
• Joint Diabetes Renal Clinics
– Needs enthusiastic members of endocrine and
renal team!
– Providing evidence to directorates that they make
a difference is tricky
Diabetes + Kidney disease

Diabetes + Kidney disease

  • 1.
  • 2.
    What we willcover • Prevalence and Impact of Diabetic Kidney Disease • Pathogenesis of Diabetic Nephropathy • Other Renal Disease in Diabetes • Treatment Issues – The Integrated Approach
  • 3.
    A few questionsto ponder… (Answers will come later!)
  • 4.
    For the nextthree cases, what is the most likely diagnosis? • Diabetic nephropathy • Focal and segmental glomerulosclerosis • Hypertensive nephropathy • Pauci-immune glomerulonephritis • Idiopathic membranous nephropathy
  • 5.
    SCE Sample Question A53-year-old man presented to his GP with a right inguinal hernia. He had a 6-year history of hypertension that had been initially treated with atenolol but he had neither visited a doctor nor taken any medication for 3 years. There was no other significant medical history. He smoked 30 cigarettes per day. On examination, his blood pressure was 176/96 mmHg, his heart sounds were normal and his chest was clear. Fundoscopy revealed bilateral dot haemorrhages, microaneurysms and hard exudates. Urinalysis showed protein 4+, blood 2+. Investigations Serum creatinine 176 μmol/L (60–110) Fasting plasma glucose 16.7 mmol/L (3.0–6.0) Urinary albumin:creatinine ratio 287 mg/mmol (<2.5) USS of kidneys normal appearances, left kidney 10.4 cm, right kidney 11.2 cm
  • 6.
    A Non-SCE Question! A26 year old male with Prader-Willi Syndrome is referred to nephrology clinic with a 4 month history of lower leg swelling. He was diagnosed with Type 2 Diabetes in 2007. He smokes 40 cigarettes per day. On examination, his BMI was 32 kg/m2 , blood pressure was 120/82 mmHg, his heart sounds were normal and his chest was clear. The abdomen was normal. He had oedema to tibial tuberosities. Fundoscopy was normal. Urinalysis showed protein 3+, blood + Investigations: Serum Creatinine 33 µmol/L, Albumin 37 g/L, HbA1c 10.4% 24 hour urine protein output 3.03g/24hr USS kidneys normal appearances, left kidney 12.9cm, right kidney 13.3cm
  • 7.
    A further Non-SCEQuestion! A 28 year old lady is referred to outpatient clinic with a 6 month history of night sweats and joint swelling . She was diagnosed with Type 1 Diabetes at the age of 11 and had stopped her ACE inhibitor 18 months ago in an attempt to conceive despite having documented proteinuria with an ACR of 50mg/mmol . On examination, there was bilateral synovial swelling of both hands and knees. She had ankle oedema to tibial tuberosities. BP 125/87mmHg. Fundoscopy demonstrated evidence of photocoagulation burns. Urinalysis demonstrated 3+ protein and a trace of blood Investigations: Creatinine 167 umol/L, Haemoglobin 79 g/L C-Reactive Protein 230 mg/L, pANCA 160, MPO 5.1 IU/L Urinary ACR 220mg/mmol
  • 8.
    The Prevalence and Impactof Diabetic Kidney Disease
  • 9.
  • 10.
    Diabetes Statistics 310 milliondiagnosed with Diabetes in 2011 USA spent $201 billion of its healthcare dollars on diabetes or 43% of global healthcare expenditure due to diabetes
  • 11.
    The Spectrum ofCKD in Patients with Diabetes Diabetes No Diabetes Other Kidney Disease Diabetic Nephropathy Hypertension Renovascular Disease Source: Canadian Journal of Diabetes 2013; 37:S129-S136
  • 12.
    Acute Kidney Injury+ Diabetes • Cumulative Risk and independent of other major risk factors of progression. • 3679 diabetic patients (Jan 1999- Dec 2008) • Mean age = 61.7 years • Mean baseline Creatinine = 90 µmol/L • 1822 hospitalized – 530 experienced one AKI episode, 157/530 ≥2 AKI episodes. • Risk of Stage 4 CKD – AKI versus no AKI HR 3.56 [95% CI 2.76, 4.61) Thakar et al. CJASN Sept 2011
  • 13.
    Percentage distribution ofprimary renal diagnosis by age in RRT Incident cohort (2011) In 2011, 201 patients in NI started RRT 26% had Diabetes as Prim. Diagnosis
  • 14.
    UK Renal Registry15th Annual Report Survival at 1 year after 90 days for incident diabetic and non-diabetic patients by age group for patients starting RRT in 2010
  • 15.
    Median life expectancyon RRT by age group, incident patients starting RRT from 2000–2008 cohort
  • 16.
    Median life expectancyon RRT by age group, incident diabetic patients starting RRT from 2000–2008 cohort
  • 17.
    USRDS Atlas 2011 http://diabetes.niddk.nih.gov/dm/pubs/statistics/index.htm Diabetesis the most important cause of ESRD but very few diabetics are on renal replacement
  • 18.
    Diagnosis Hyperfiltration Micro-albuminuria Macro-albuminuria Renal failure Perkins BA,Et al. N Engl J Med 2003;348:2285-93. When does Nephrology get involved? Type 1 DM Type 2 DM
  • 19.
  • 20.
    Forbes and CooperPhysiol Rev 2013;93:137-188
  • 21.
  • 22.
  • 23.
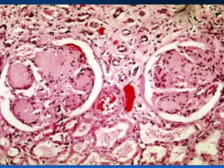
    What’s happening inthe Nephron? Earliest change: • Glomerular enlargement • GBM widening Early lesions: • Mesangial expansion • Mesangiolysis Established lesions • Nodular sclerosis • Marked mesangial expansion • Afferent,efferent arteriolar hyaline • Microaneurysms
  • 24.
    Natural History ofDiabetic Nephropathy NDT, 1991
  • 25.
    Stage 1 Stage5 Chronic renal failure Stage 2 Stage 4 Overt nephropathy Stage 3 Incipient nephropathy Adapted from Mogensen et al, Diabetologia 1979; 17: 71-76 Natural history of diabetic nephropathy Pre-nephropathy Normoalbuminuria
  • 27.
    Biopsy Question • A65 year old man underwent a renal biopsy for investigation of impaired GFR and proteinuria • The biopsy was reported as showing nodular glomerulosclerosis
  • 28.
    Which of thefollowing is not associated with nodular glomerulosclerosis? • Diabetic nephropathy • Fibrillary glomerulonephritis • Membranous nephropathy • Amyloidosis • Chronic Type 1 MPGN
  • 29.
    Differential for NodularGlomerulosclerosis on Kidney Biopsy If Immuno is negative( more common): – Diabetic Nephropathy – Chronic Thrombotic Microangiopathy – Chronic ischemic disease or hypoxia – Smoking associated nodular sclerosis – Nasr et al. JASN 2006 If Immuno is positive, either monoclonal or polyclonal Monoclonal IF:- MPGN, or paraprotein related disease such as LCDD or amyloidosis Polyclonal IF:- Immunotactoid, Fibrillary GN, Cryoglobulinaemia
  • 30.
    SCE Sample Question A53-year-old man presented to his GP with a right inguinal hernia. He had a 6-year history of hypertension that had been initially treated with atenolol but he had neither visited a doctor nor taken any medication for 3 years. There was no other significant medical history. He smoked 30 cigarettes per day. On examination, his blood pressure was 176/96 mmHg, his heart sounds were normal and his chest was clear. Fundoscopy revealed bilateral dot haemorrhages, microaneurysms and hard exudates. Urinalysis showed protein 4+, blood 2+. • Investigations – Serum creatinine 176 μmol/L (60–110) – Fasting plasma glucose 16.7 mmol/L (3.0–6.0) – Urinary albumin:creatinine ratio 287 mg/mmol (<2.5) – Ultrasound scan of kidneys normal appearances, left kidney 10.4 cm, right kidney 11.2 cm ANSWER - A
  • 31.
    A Non-SCE Question! A26 year old male with Prader-Willi Syndrome is referred to nephrology clinic with a 4 month history of lower leg swelling. He was diagnosed with Type 2 Diabetes in 2007. He smokes 40 cigarettes per day. On examination, his BMI was 32 kg/m2 , blood pressure was 120/82 mmHg, his heart sounds were normal and his chest was clear. The abdomen was normal. He had oedema to tibial tuberosities. Fundoscopy was normal. Urinalysis showed protein 3+, blood + Investigations: Serum Creatinine 33 µmol/L, Albumin 37 g/L, HbA1c 10.4% 24 hour urine protein output 3.03g/24hr Ultrasound scan of kidneys normal appearances, left kidney 12.9cm, right kidney 13.3cm ANSWER - B
  • 32.
    A further Non-SCEQuestion! A 28 year old lady is referred to outpatient clinic with a 6 month history of night sweats and joint swelling . She was diagnosed with Type 1 Diabetes at the age of 11 and had stopped her ACE inhibitor 18 months ago in an attempt to conceive despite having documented proteinuria with an ACR of 50mg/mmol . On examination, there was bilateral synovial swelling of both hands and knees. She had ankle oedema to tibial tuberosities. BP 125/87mmHg. Fundoscopy demonstrated evidence of photocoagulation burns. Urinalysis demonstrated 3+ protein and a trace of blood Investigations: Creatinine 167 umol/L, Haemoglobin 79 g/L C-Reactive Protein 230 mg/L, pANCA 160, MPO 5.1 IU/L Urinary ACR 220mg/mmol ANSWER – A!
  • 33.
    Suspicious for non-diabetic nephropathy •Onset within 5 years of dx of diabetes • Acute onset • Active sediment • Unusual review of systems • Serologies ANA, Hep B, Hep C • Absence of retinopathy or neuropathy
  • 34.
    When does aDiabetic not need a biopsy? • Is there a consistent history? • Negative Immunology • Bland Sediment • Retinopathy • Is renovascular disease contributing to deterioration?
  • 35.
    What may youexpect to find on the renal biopsy of a diabetic patient? Columbia University Medical Center 2011 620 kidney biospies from patients with diabetes. – 37% of patients had DN alone – 36% had NDRD alone – 27% had DN plus NDRD Longer duration of DM was associated with a greater likelihood of DN and a lower likelihood of NDRD DM duration ≥12 years was the best predictor (58% sensitivity, 73% specificity) of DN alone.
  • 36.
    Retinopathy and Nephropathy 1.Patients with T1DM and nephropathy almost always have retinopathy 2. Patients with T1DM and retinopathy almost always have nephropathy 3. In patients with T2DM with DN, retinopathy will be present in 30 % 4. In T2DM, severe retinopathy is associated with Kimmelstiel-Wilson nodules
  • 37.
    Retinopathy and Nephropathy. 1.Patients with T1DM and nephropathy almost always have retinopathy - TRUE 2. Patients with T1DM and retinopathy almost always have nephropathy - FALSE 3. In patients with T2DM with DN, retinopathy will be present in 30 %– FALSE (60%) 4. In T2DM, severe retinopathy is associated with Kimmelstiel-Wilson nodules - TRUE
  • 38.
  • 39.
    Treatment Strategies 1. Glycaemiccontrol 2. Blood pressure control 3. RAAS control 4. Proteinuria control 5. Cholesterol control
  • 40.
    What about controlof diabetes? Type 1 Diabetes • DCCT trial – Basal-bolus/insulin pump versus BD insulin – Reduction in incidence and progression of albuminuria – Followed up for 22 years – 50% reduction in incidence of impaired GFR Type 2 Diabetes • UKPDS/ACCORD/ADVANCE • Intensive v standard glycaemic control • Probably some benefit in reduction in DN but less impressive than for T1DM
  • 41.
    NICE Guidance onDiabetes and CKD 1. Achievement of HbA1c targets of 6.5– 7.5% - 2. Prescription of ACE inhibitors titrated to full dose. 3. Control of hypertension to below 130/80 mmHg 4. Timely referral to a nephrologist.
  • 42.
    UK Prospective DiabetesStudy Intensive glucose control HbA1c7.0 % (T) vs 7.9 % (C) reduced risk of: – any diabetes-related endpoints 12% – microvascular endpoints 25% – myocardial infarction 16% Blood pressure control policy 144/82 (T) vs 154/87 (C) mmHg reduces risk of: – any diabetes-related endpoint 24% – microvascular endpoint 37% – stroke 44% The benefit from tight glycaemic control is less than the benefit from less-than-good blood pressure control
  • 43.
    RENAAL / IDNT– The DIAMETRIC Database (2011) • For every 5mmHg reduction in SBP – ~2% risk reduction in CV risk • For every Logarithmic reduction in albuminuria – ~12% reduction in CV risk • 35% of subjects had either a reduction in BP and no change in albuminuria or vice versa • Discordance existed between effects of ARB’s on BP and albuminuria
  • 44.
    The Steno-2 Study– An Integrated Approach (Gaede, 2003) 80 patients randomly assigned to conventional Tx or intensified multifactorial intervention Targets – Hyperglycaemia – Hypertension – Dyslipidaemia – Uprot – Secondary prevention CV disease (Smoking cessation, Exercise, Dietary changes Aspirin and ACE inhibitor)
  • 45.
    Steno-2 Results • IntensifiedTreatment- Lower risk of –CV disease 0.47 (0.27-0.73) –Nephropathy 0.39 (0.17-0.87) –Retinopathy 0.42 (0.21-0.86) –Autonomic neuropathy 0.37 (0.81-0.79) AND Cost-effective AND NNT = 5…
  • 46.
    Joint Diabetes RenalClinic – Realities Joss et al. 2002 n = 107 over 29 months (50% Cre >200) – Absolute ΔSBP 13mmHg – Absolute ΔDBP 12mmHg – ΔCholesterol 1.4 (1.8, 1.0) – ACR 268 → 131
  • 47.
    Joint Diabetic RenalClinic – Realities Jayapaul et al. 2006 130 patients • Slope of creatinine clearance vs. time – 1.09±1.34 ml/min/month in 1st year to 0.39±0.73 ml/min/month in 3rd year (p < 0.004) • HbA1c unchanged • Significant improvement in SBP + DBP (41% achieved <140/<80mmHg)
  • 48.
    Joint Diabetic RenalClinic – Realities Slade et al. 2011 (New Zealand) 44 DN patients @ high risk of progression No change in weight / HbA1c / Proteinuria – At time of referral - 7.97 ml/min/yr – Following clinic intervention - 3.17 ml/min/yr
  • 49.
    Summary • Diabetes (especiallyType 2) placing heavy CVD and Renal Burden on health services • In Diabetic Nephropathy – Margins gained with Blood Pressure + Proteinuria control over glycaemic control – Recognise the intensity of resource investment + dedicated time needed to achieve this • Joint Diabetes Renal Clinics – Needs enthusiastic members of endocrine and renal team! – Providing evidence to directorates that they make a difference is tricky

Editor's Notes

  • #21 Overview of intracellular pathways known to be altered in response to diabetes. ROS, reactive oxygen species; AGE, advanced glycation end products; RAAS, renin-angiotensin-aldosterone system; ER, endoplasmic reticulum; FFA, free fatty acids.
  • #23 Also role of genetic susceptibility – probably multiple genes interacting. Some association with DD ACE genotype Not all patients with DM will get DN – max 20-30% in early studies (probably less now given improvements in DM and BP control) Also mention RAA axis and overactivity resulting in efferent arteriolar constriction, increased glomerular pressure and injury. However paradox that systemic renin often suppressed- seems to be intra-renal upregulation only. Other mechanisms – various cytokines, AGE, protein kinase C Familial clustering of DN (both T1 and T2)
  • #36 NDRD diagnoses alone FSGS (22%) Hypertensive nephrosclerosis (18%) Acute tubular necrosis (17%) IgA nephropathy (11%) Membranous GN (8%) Pauci-immune GN (7%) DN + NDRD Diagnoses ATN (43%) Hypertensive nephrosclerosis (19%) FSGS (13%) IgA nephropathy (7%)
  • #37 3 ie protein&gt;300mg
  • #38 3 ie protein&gt;300mg
  • #41 DCCT/EDIC follow up for 22 years average Overall very low number of events Show Kaplan-Meier Difference of 46 v 24 conventional v intensive Issues: low number of events (lower than expected), Ace inhibitors discouraged in DCCT, not applicable to those with long-standing DM or type 2,