Diabetic Kidney
Disease
Dr RichardMcCrory
What we will cover
• Prevalence and Impact of Diabetic
Kidney Disease
• Pathogenesisof DiabeticNephropathy
• Other RenalDiseasein Diabetes
• Treatment Issues
– TheIntegratedApproach
Afew questions to
ponder…
(Answers will comelater!)
For the next three cases,whatis
the most likelydiagnosis?
•
•
•
•
•
Diabetic nephropathy
Focaland segmental glomerulosclerosis
Hypertensive nephropathy
Pauci-immune glomerulonephritis
Idiopathic membranous nephropathy
SCESampleQuestion
A53-year-old man presented to his GPwith aright inguinal hernia.He
had a6-year history of hypertension that had been initially treated
with atenolol but he had neither visited adoctor nor taken any
medication for 3 years. There wasno other significant medical
history. Hesmoked 30 cigarettes per day.
Onexamination, his blood pressure was 176/96 mmHg, his heart
sounds were normal and his chest was clear. Fundoscopy revealed
bilateral dot haemorrhages, microaneurysms and hardexudates.
Urinalysis showed protein 4+, blood 2+.
Investigations
Serumcreatinine 176 μmol/L (60–110)
Fasting plasma glucose 16.7 mmol/L (3.0–6.0)
Urinary albumin:creatinine ratio 287mg/mmol (<2.5)
USSof kidneys normal appearances,left kidney 10.4 cm, right kidney 11.2cm
ANon-SCEQuestion!
A26 year old male with Prader-Willi Syndrome is referred tonephrology clinic with
a4 month history of lower leg swelling. Hewasdiagnosed with Type2 Diabetes in
2007. Hesmokes40 cigarettes per day.
Onexamination, his BMI was32 kg/m2, blood pressurewas120/82 mmHg, his
heart sounds were normal and his chest wasclear. Theabdomen wasnormal. He
had oedema to tibial tuberosities. Fundoscopy wasnormal. Urinalysis showed
protein 3+,blood +
Investigations:
SerumCreatinine 33 µmol/L, Albumin 37 g/L, HbA1c10.4%
24 hour urine proteinoutput 3.03g/24hr
USSkidneys normal appearances,left kidney 12.9cm, right kidney13.3cm
Afurther Non-SCEQuestion!
A28 year old lady is referred to outpatient clinic with a6 month history of night
sweats and joint swelling . Shewasdiagnosed with Type1 Diabetes at the ageof11
and had stopped her ACEinhibitor 18 months agoin an attempt to conceive
despite having documented proteinuria with anACRof 50mg/mmol.
Onexamination, there wasbilateral synovial swelling of both hands and knees.She
had ankle oedema to tibial tuberosities. BP125/87mmHg. Fundoscopy
demonstrated evidence of photocoagulation burns. Urinalysis demonstrated 3+
protein and atrace of blood
Investigations:
Creatinine 167 umol/L, Haemoglobin 79g/L
C-ReactiveProtein 230 mg/L, pANCA160, MPO5.1 IU/L
UrinaryACR 220mg/mmol
ThePrevalence and
Impact of Diabetic
Kidney Disease
Worldwide Prevalence of Diabetes
Diabetes Statistics
310 million diagnosed with Diabetesin
2011
USAspent $201 billion of its healthcare
dollars on diabetes or 43%of global
healthcare expenditure due to diabetes
TheSpectrum of CKDin Patients withDiabetes
Diabetes No Diabetes
Other Kidney
Disease
Diabetic
Nephropathy
Hypertension
Renovascular
Disease
Source: Canadian Journal of Diabetes 2013; 37:S129-S136
Acute Kidney Injury +Diabetes
• Cumulative Risk and independent of other majorrisk
factors of progression.
•
•
•
3679 diabetic patients (Jan1999- Dec2008)
Mean age=61.7 years
Mean baseline Creatinine =90 µmol/L
• 1822 hospitalized
– 530 experienced oneAKIepisode, 157/530 ≥2AKIepisodes.
• Riskof Stage4 CKD
– AKIversusno AKIHR3.56 [95%CI2.76,4.61)
Thakar et al. CJASNSept2011
Percentage distribution of primary renal
diagnosis by agein RRTIncident cohort(2011)
In 2011, 201 patients in NI started RRT
26% had Diabetes as Prim. Diagnosis
UK Renal Registry 15th Annual Report
Survival at 1 year after 90 days for incident diabetic and
non-diabetic patients by age group for patients starting RRT in 2010
Median life expectancy on RRT by age group,
incident patients starting RRT from 2000–2008 cohort
Median life expectancy on RRT by age group,
incident diabetic patients starting RRT from 2000–2008 cohort
USRDS Atlas 2011
http://diabetes.niddk.nih.gov/dm/pubs/statistics/index.htm
Diabetes is the most
important cause of ESRD
but very few diabetics are
on renal replacement
Diagnosis
Hyperfiltration
Micro-albuminuria
Macro-albuminuria
Renalfailure
Perkins BA, Et al. N Engl J Med 2003;348:2285-93.
When does Nephrology get involved?
Type 1 DM
Type 2 DM
Pathogenesis
Forbes and Cooper Physiol Rev 2013;93:137-188
TheGlomerular Filtration Barrier
Jefferson et al KI2008
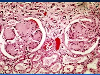
What’s happening in theNephron?
Earliestchange:
•
•
Glomerularenlargement
GBMwidening
Earlylesions:
•
•
Mesangialexpansion
Mesangiolysis
Establishedlesions
•
•
•
•
Nodular sclerosis
Marked mesangialexpansion
Afferent,efferent arteriolar hyaline
Microaneurysms
Natural History of Diabetic
Nephropathy
NDT, 1991
Stage5
Chronicrenal
failure
Stage4
Overt
nephropathy
Stage3
Incipient
nephropathy
Adapted from Mogensen et al, Diabetologia 1979; 17:71-76
Natural history of diabeticnephropathy
Stage 1 Stage2
Pre-nephropathy
Normoalbuminuria
BiopsyQuestion
• A65 year old man underwent arenalbiopsy
for investigation of impaired GFRand
proteinuria
• Thebiopsy wasreported asshowing nodular
glomerulosclerosis
Which of the following is notassociated with
nodular glomerulosclerosis?
• Diabetic nephropathy
• Fibrillary glomerulonephritis
• Membranous nephropathy
• Amyloidosis
• ChronicType1 MPGN
Differential for NodularGlomerulosclerosis
on Kidney Biopsy
If Immunoisnegative( more common):
– Diabetic Nephropathy
– ChronicThrombotic Microangiopathy
– Chronicischemic diseaseor hypoxia
– Smokingassociated nodular sclerosis– Nasr et al. JASN2006
If Immunoispositive, either monoclonalor polyclonal
Monoclonal IF:- MPGN,or paraprotein related diseasesuchas
LCDDor amyloidosis
Polyclonal IF:- Immunotactoid, Fibrillary GN,Cryoglobulinaemia
SCESampleQuestion
A53-year-old man presented to his GPwith aright inguinalhernia.
Hehad a6-year history of hypertension that had been initially
treated with atenolol but he had neither visited adoctor nor
taken any medication for 3 years.There wasno othersignificant
medical history. Hesmoked30 cigarettes per day.
Onexamination, his blood pressurewas176/96 mmHg, his heart
sounds were normal and his chest wasclear. Fundoscopy
revealed bilateral dot haemorrhages, microaneurysms andhard
exudates. Urinalysis showed protein 4+,blood2+.
• Investigations
– Serumcreatinine 176 μmol/L(60–110)
– Fasting plasma glucose 16.7 mmol/L (3.0–6.0)
– Urinary albumin:creatinine ratio 287 mg/mmol(<2.5)
– Ultrasound scanof kidneys normal appearances, left kidney10.4
cm, right kidney 11.2cm
ANSWER - A
ANon-SCEQuestion!
A26 year old male with Prader-Willi Syndrome is referred to
nephrology clinic with a4 month history of lower leg swelling. He
wasdiagnosed with Type2 Diabetes in 2007. Hesmokes40
cigarettes per day.
Onexamination, his BMI was32 kg/m2, blood pressure was120/82
mmHg, his heart sounds were normal and his chest wasclear. The
abdomen wasnormal. Hehad oedema to tibial tuberosities.
Fundoscopy wasnormal. Urinalysis showed protein 3+, blood +
Investigations:
SerumCreatinine 33 µmol/L, Albumin 37 g/L, HbA1c10.4%
24 hour urine protein output 3.03g/24hr
Ultrasound scanof kidneys normal appearances,left kidney12.9cm,
right kidney13.3cm
ANSWER - B
Afurther Non-SCEQuestion!
A28 year old lady is referred to outpatient clinic with a6 month
history of night sweats and joint swelling . Shewasdiagnosed with
Type1 Diabetes at the ageof 11 and had stopped her ACEinhibitor
18 months agoin an attempt to conceive despite having
documented proteinuria with anACRof 50mg/mmol .
Onexamination, there wasbilateral synovial swelling of bothhands
and knees. Shehad ankle oedema to tibial tuberosities. BP
125/87mmHg. Fundoscopy demonstrated evidence of
photocoagulation burns. Urinalysis demonstrated 3+protein and a
trace of blood
Investigations:
Creatinine 167 umol/L, Haemoglobin 79g/L
C-ReactiveProtein 230 mg/L, pANCA160, MPO5.1 IU/L
UrinaryACR220mg/mmol ANSWER – A!
Suspicious for non-diabetic
nephropathy
• Onset within 5 years of dx ofdiabetes
• Acute onset
• Active sediment
• Unusual review of systems
• Serologies
ANA,HepB,Hep C
• Absenceof retinopathy orneuropathy
When does aDiabetic not need abiopsy?
• Isthere aconsistent history?
• Negative Immunology
• Bland Sediment
• Retinopathy
• Isrenovascular diseasecontributing to
deterioration?
What may you expect to findon the
renal biopsy of adiabeticpatient?
Columbia University Medical Center2011
620 kidney biospies from patients withdiabetes.
– 37%of patients had DNalone
– 36%had NDRDalone
– 27%had DNplus NDRD
Longer duration of DM was associated with a
greater likelihood of DNand alower likelihood
of NDRD
DM duration ≥12 years wasthe bestpredictor
(58%sensitivity, 73%specificity) of DNalone.
Retinopathy and Nephropathy
1. Patients with T1DM andnephropathy
almost always haveretinopathy
2. Patients with T1DM and retinopathyalmost
always have nephropathy
3. In patients with T2DM withDN,retinopathy
will be present in 30%
4. In T2DM, severe retinopathy isassociated
with Kimmelstiel-Wilsonnodules
Retinopathy and Nephropathy.
1. Patients with T1DM and nephropathy
almost always have retinopathy - TRUE
2. Patients with T1DM and retinopathyalmost
always have nephropathy - FALSE
3. In patients with T2DM withDN,retinopathy
will be present in 30 %–FALSE(60%)
4. In T2DM, severe retinopathy isassociated
with Kimmelstiel-Wilson nodules -TRUE
Treatment
Strategies
Treatment Strategies
1. Glycaemic control
2. Blood pressurecontrol
3. RAAScontrol
4. Proteinuria control
5. Cholesterol control
What about control ofdiabetes?
Type1 Diabetes
• DCCTtrial
– Basal-bolus/insulin pump
versus BDinsulin
– Reduction in incidenceand
progression of albuminuria
– Followed up for 22 years –
50% reduction in incidence
of impairedGFR
•
•
•
Type2 Diabetes
UKPDS/ACCORD/ADVANCE
Intensive vstandard
glycaemic control
Probably some benefit in
reduction in DNbut less
impressive than for T1DM
NICEGuidance on Diabetes and
CKD
1. Achievement of HbA1ctargets of6.5–
7.5%-
2. Prescription of ACEinhibitors titratedto
full dose.
3. Control of hypertension tobelow
130/80 mmHg
4. Timely referral to anephrologist.
UKProspective DiabetesStudy
– any diabetes-related endpoints
12%
– microvascular endpoints
25%
– myocardial infarction
16%
Blood pressure control policy 144/82 (T)vs
–
–
–
any diabetes-related endpoint
microvascular endpoint
stroke
24%
37%
44%
Intensive glucosecontrol
HbA1c7.0 %(T) vs7.9 %(C)reduced risk of:
The benefit from tight glycaemic
control is less than the benefit
from less-than-good blood
pressure control
154/87 (C)mmHg reduces risk of:
RENAAL/ IDNT– TheDIAMETRIC
Database (2011)
•
•
For every 5mmHg reduction in SBP
– ~2%risk reduction in CVrisk
For every Logarithmic reduction inalbuminuria
– ~12%reduction in CVrisk
• 35%of subjects had either areduction in BPand no
change in albuminuria or viceversa
• Discordance existed between effects of ARB’sonBP
and albuminuria
TheSteno-2 Study – An Integrated
Approach (Gaede, 2003)
80 patients randomly assignedto conventional
Txor intensified multifactorial intervention
Targets
– Hyperglycaemia
– Hypertension
– Dyslipidaemia
– Uprot
– Secondary prevention CVdisease (Smoking
cessation, Exercise,Dietary changes
Aspirin andACEinhibitor)
Steno-2 Results
• Intensified Treatment- Lower riskof
–CVdisease
–Nephropathy
–Retinopathy
0.47 (0.27-0.73)
0.39 (0.17-0.87)
0.42 (0.21-0.86)
–Autonomic neuropathy 0.37 (0.81-0.79)
ANDCost-effective
ANDNNT= 5…
Joint Diabetes RenalClinic –Realities
Josset al. 2002
n =107 over 29 months (50%Cre>200)
– AbsoluteΔSBP13mmHg
– Absolute ΔDBP12mmHg
– ΔCholesterol 1.4 (1.8, 1.0)
– ACR268 → 131
Joint Diabetic RenalClinic –Realities
Jayapaulet al.2006
130 patients
• Slope of creatinine clearance vs.time
– 1.09±1.34 ml/min/month in 1styearto
0.39±0.73 ml/min/month in 3rdyear
(p <0.004)
• HbA1c unchanged
• Significant improvement in SBP+DBP
(41%achieved <140/<80mmHg)
Joint Diabetic RenalClinic –Realities
Sladeet al. 2011 (NewZealand)
44 DNpatients @high risk of progression
No changein weight / HbA1c/ Proteinuria
– At time ofreferral - 7.97 ml/min/yr
– Following clinic intervention - 3.17ml/min/yr
S
ummary
•
•
•
Diabetes (especially Type2) placing heavy
CVDand RenalBurden on healthservices
In Diabetic Nephropathy
– Margins gained with Blood Pressure +Proteinuria
control over glycaemiccontrol
– Recognise the intensity of resource investment
+ dedicated time needed to achievethis
Joint Diabetes RenalClinics
– Needs enthusiastic members of endocrineand
renal team!
– Providing evidence to directorates thatthey make
adifference is tricky
diabeteskidneydisease-130922054028-phpapp02.pptx

diabeteskidneydisease-130922054028-phpapp02.pptx

  • 1.
  • 2.
    What we willcover • Prevalence and Impact of Diabetic Kidney Disease • Pathogenesisof DiabeticNephropathy • Other RenalDiseasein Diabetes • Treatment Issues – TheIntegratedApproach
  • 3.
  • 4.
    For the nextthree cases,whatis the most likelydiagnosis? • • • • • Diabetic nephropathy Focaland segmental glomerulosclerosis Hypertensive nephropathy Pauci-immune glomerulonephritis Idiopathic membranous nephropathy
  • 5.
    SCESampleQuestion A53-year-old man presentedto his GPwith aright inguinal hernia.He had a6-year history of hypertension that had been initially treated with atenolol but he had neither visited adoctor nor taken any medication for 3 years. There wasno other significant medical history. Hesmoked 30 cigarettes per day. Onexamination, his blood pressure was 176/96 mmHg, his heart sounds were normal and his chest was clear. Fundoscopy revealed bilateral dot haemorrhages, microaneurysms and hardexudates. Urinalysis showed protein 4+, blood 2+. Investigations Serumcreatinine 176 μmol/L (60–110) Fasting plasma glucose 16.7 mmol/L (3.0–6.0) Urinary albumin:creatinine ratio 287mg/mmol (<2.5) USSof kidneys normal appearances,left kidney 10.4 cm, right kidney 11.2cm
  • 6.
    ANon-SCEQuestion! A26 year oldmale with Prader-Willi Syndrome is referred tonephrology clinic with a4 month history of lower leg swelling. Hewasdiagnosed with Type2 Diabetes in 2007. Hesmokes40 cigarettes per day. Onexamination, his BMI was32 kg/m2, blood pressurewas120/82 mmHg, his heart sounds were normal and his chest wasclear. Theabdomen wasnormal. He had oedema to tibial tuberosities. Fundoscopy wasnormal. Urinalysis showed protein 3+,blood + Investigations: SerumCreatinine 33 µmol/L, Albumin 37 g/L, HbA1c10.4% 24 hour urine proteinoutput 3.03g/24hr USSkidneys normal appearances,left kidney 12.9cm, right kidney13.3cm
  • 7.
    Afurther Non-SCEQuestion! A28 yearold lady is referred to outpatient clinic with a6 month history of night sweats and joint swelling . Shewasdiagnosed with Type1 Diabetes at the ageof11 and had stopped her ACEinhibitor 18 months agoin an attempt to conceive despite having documented proteinuria with anACRof 50mg/mmol. Onexamination, there wasbilateral synovial swelling of both hands and knees.She had ankle oedema to tibial tuberosities. BP125/87mmHg. Fundoscopy demonstrated evidence of photocoagulation burns. Urinalysis demonstrated 3+ protein and atrace of blood Investigations: Creatinine 167 umol/L, Haemoglobin 79g/L C-ReactiveProtein 230 mg/L, pANCA160, MPO5.1 IU/L UrinaryACR 220mg/mmol
  • 8.
    ThePrevalence and Impact ofDiabetic Kidney Disease
  • 9.
  • 10.
    Diabetes Statistics 310 milliondiagnosed with Diabetesin 2011 USAspent $201 billion of its healthcare dollars on diabetes or 43%of global healthcare expenditure due to diabetes
  • 11.
    TheSpectrum of CKDinPatients withDiabetes Diabetes No Diabetes Other Kidney Disease Diabetic Nephropathy Hypertension Renovascular Disease Source: Canadian Journal of Diabetes 2013; 37:S129-S136
  • 12.
    Acute Kidney Injury+Diabetes • Cumulative Risk and independent of other majorrisk factors of progression. • • • 3679 diabetic patients (Jan1999- Dec2008) Mean age=61.7 years Mean baseline Creatinine =90 µmol/L • 1822 hospitalized – 530 experienced oneAKIepisode, 157/530 ≥2AKIepisodes. • Riskof Stage4 CKD – AKIversusno AKIHR3.56 [95%CI2.76,4.61) Thakar et al. CJASNSept2011
  • 13.
    Percentage distribution ofprimary renal diagnosis by agein RRTIncident cohort(2011) In 2011, 201 patients in NI started RRT 26% had Diabetes as Prim. Diagnosis
  • 14.
    UK Renal Registry15th Annual Report Survival at 1 year after 90 days for incident diabetic and non-diabetic patients by age group for patients starting RRT in 2010
  • 15.
    Median life expectancyon RRT by age group, incident patients starting RRT from 2000–2008 cohort
  • 16.
    Median life expectancyon RRT by age group, incident diabetic patients starting RRT from 2000–2008 cohort
  • 17.
    USRDS Atlas 2011 http://diabetes.niddk.nih.gov/dm/pubs/statistics/index.htm Diabetesis the most important cause of ESRD but very few diabetics are on renal replacement
  • 18.
    Diagnosis Hyperfiltration Micro-albuminuria Macro-albuminuria Renalfailure Perkins BA, Etal. N Engl J Med 2003;348:2285-93. When does Nephrology get involved? Type 1 DM Type 2 DM
  • 19.
  • 20.
    Forbes and CooperPhysiol Rev 2013;93:137-188
  • 21.
  • 22.
  • 23.
    What’s happening intheNephron? Earliestchange: • • Glomerularenlargement GBMwidening Earlylesions: • • Mesangialexpansion Mesangiolysis Establishedlesions • • • • Nodular sclerosis Marked mesangialexpansion Afferent,efferent arteriolar hyaline Microaneurysms
  • 24.
    Natural History ofDiabetic Nephropathy NDT, 1991
  • 25.
    Stage5 Chronicrenal failure Stage4 Overt nephropathy Stage3 Incipient nephropathy Adapted from Mogensenet al, Diabetologia 1979; 17:71-76 Natural history of diabeticnephropathy Stage 1 Stage2 Pre-nephropathy Normoalbuminuria
  • 27.
    BiopsyQuestion • A65 yearold man underwent arenalbiopsy for investigation of impaired GFRand proteinuria • Thebiopsy wasreported asshowing nodular glomerulosclerosis
  • 28.
    Which of thefollowing is notassociated with nodular glomerulosclerosis? • Diabetic nephropathy • Fibrillary glomerulonephritis • Membranous nephropathy • Amyloidosis • ChronicType1 MPGN
  • 29.
    Differential for NodularGlomerulosclerosis onKidney Biopsy If Immunoisnegative( more common): – Diabetic Nephropathy – ChronicThrombotic Microangiopathy – Chronicischemic diseaseor hypoxia – Smokingassociated nodular sclerosis– Nasr et al. JASN2006 If Immunoispositive, either monoclonalor polyclonal Monoclonal IF:- MPGN,or paraprotein related diseasesuchas LCDDor amyloidosis Polyclonal IF:- Immunotactoid, Fibrillary GN,Cryoglobulinaemia
  • 30.
    SCESampleQuestion A53-year-old man presentedto his GPwith aright inguinalhernia. Hehad a6-year history of hypertension that had been initially treated with atenolol but he had neither visited adoctor nor taken any medication for 3 years.There wasno othersignificant medical history. Hesmoked30 cigarettes per day. Onexamination, his blood pressurewas176/96 mmHg, his heart sounds were normal and his chest wasclear. Fundoscopy revealed bilateral dot haemorrhages, microaneurysms andhard exudates. Urinalysis showed protein 4+,blood2+. • Investigations – Serumcreatinine 176 μmol/L(60–110) – Fasting plasma glucose 16.7 mmol/L (3.0–6.0) – Urinary albumin:creatinine ratio 287 mg/mmol(<2.5) – Ultrasound scanof kidneys normal appearances, left kidney10.4 cm, right kidney 11.2cm ANSWER - A
  • 31.
    ANon-SCEQuestion! A26 year oldmale with Prader-Willi Syndrome is referred to nephrology clinic with a4 month history of lower leg swelling. He wasdiagnosed with Type2 Diabetes in 2007. Hesmokes40 cigarettes per day. Onexamination, his BMI was32 kg/m2, blood pressure was120/82 mmHg, his heart sounds were normal and his chest wasclear. The abdomen wasnormal. Hehad oedema to tibial tuberosities. Fundoscopy wasnormal. Urinalysis showed protein 3+, blood + Investigations: SerumCreatinine 33 µmol/L, Albumin 37 g/L, HbA1c10.4% 24 hour urine protein output 3.03g/24hr Ultrasound scanof kidneys normal appearances,left kidney12.9cm, right kidney13.3cm ANSWER - B
  • 32.
    Afurther Non-SCEQuestion! A28 yearold lady is referred to outpatient clinic with a6 month history of night sweats and joint swelling . Shewasdiagnosed with Type1 Diabetes at the ageof 11 and had stopped her ACEinhibitor 18 months agoin an attempt to conceive despite having documented proteinuria with anACRof 50mg/mmol . Onexamination, there wasbilateral synovial swelling of bothhands and knees. Shehad ankle oedema to tibial tuberosities. BP 125/87mmHg. Fundoscopy demonstrated evidence of photocoagulation burns. Urinalysis demonstrated 3+protein and a trace of blood Investigations: Creatinine 167 umol/L, Haemoglobin 79g/L C-ReactiveProtein 230 mg/L, pANCA160, MPO5.1 IU/L UrinaryACR220mg/mmol ANSWER – A!
  • 33.
    Suspicious for non-diabetic nephropathy •Onset within 5 years of dx ofdiabetes • Acute onset • Active sediment • Unusual review of systems • Serologies ANA,HepB,Hep C • Absenceof retinopathy orneuropathy
  • 34.
    When does aDiabeticnot need abiopsy? • Isthere aconsistent history? • Negative Immunology • Bland Sediment • Retinopathy • Isrenovascular diseasecontributing to deterioration?
  • 35.
    What may youexpect to findon the renal biopsy of adiabeticpatient? Columbia University Medical Center2011 620 kidney biospies from patients withdiabetes. – 37%of patients had DNalone – 36%had NDRDalone – 27%had DNplus NDRD Longer duration of DM was associated with a greater likelihood of DNand alower likelihood of NDRD DM duration ≥12 years wasthe bestpredictor (58%sensitivity, 73%specificity) of DNalone.
  • 36.
    Retinopathy and Nephropathy 1.Patients with T1DM andnephropathy almost always haveretinopathy 2. Patients with T1DM and retinopathyalmost always have nephropathy 3. In patients with T2DM withDN,retinopathy will be present in 30% 4. In T2DM, severe retinopathy isassociated with Kimmelstiel-Wilsonnodules
  • 37.
    Retinopathy and Nephropathy. 1.Patients with T1DM and nephropathy almost always have retinopathy - TRUE 2. Patients with T1DM and retinopathyalmost always have nephropathy - FALSE 3. In patients with T2DM withDN,retinopathy will be present in 30 %–FALSE(60%) 4. In T2DM, severe retinopathy isassociated with Kimmelstiel-Wilson nodules -TRUE
  • 38.
  • 39.
    Treatment Strategies 1. Glycaemiccontrol 2. Blood pressurecontrol 3. RAAScontrol 4. Proteinuria control 5. Cholesterol control
  • 40.
    What about controlofdiabetes? Type1 Diabetes • DCCTtrial – Basal-bolus/insulin pump versus BDinsulin – Reduction in incidenceand progression of albuminuria – Followed up for 22 years – 50% reduction in incidence of impairedGFR • • • Type2 Diabetes UKPDS/ACCORD/ADVANCE Intensive vstandard glycaemic control Probably some benefit in reduction in DNbut less impressive than for T1DM
  • 41.
    NICEGuidance on Diabetesand CKD 1. Achievement of HbA1ctargets of6.5– 7.5%- 2. Prescription of ACEinhibitors titratedto full dose. 3. Control of hypertension tobelow 130/80 mmHg 4. Timely referral to anephrologist.
  • 42.
    UKProspective DiabetesStudy – anydiabetes-related endpoints 12% – microvascular endpoints 25% – myocardial infarction 16% Blood pressure control policy 144/82 (T)vs – – – any diabetes-related endpoint microvascular endpoint stroke 24% 37% 44% Intensive glucosecontrol HbA1c7.0 %(T) vs7.9 %(C)reduced risk of: The benefit from tight glycaemic control is less than the benefit from less-than-good blood pressure control 154/87 (C)mmHg reduces risk of:
  • 43.
    RENAAL/ IDNT– TheDIAMETRIC Database(2011) • • For every 5mmHg reduction in SBP – ~2%risk reduction in CVrisk For every Logarithmic reduction inalbuminuria – ~12%reduction in CVrisk • 35%of subjects had either areduction in BPand no change in albuminuria or viceversa • Discordance existed between effects of ARB’sonBP and albuminuria
  • 44.
    TheSteno-2 Study –An Integrated Approach (Gaede, 2003) 80 patients randomly assignedto conventional Txor intensified multifactorial intervention Targets – Hyperglycaemia – Hypertension – Dyslipidaemia – Uprot – Secondary prevention CVdisease (Smoking cessation, Exercise,Dietary changes Aspirin andACEinhibitor)
  • 45.
    Steno-2 Results • IntensifiedTreatment- Lower riskof –CVdisease –Nephropathy –Retinopathy 0.47 (0.27-0.73) 0.39 (0.17-0.87) 0.42 (0.21-0.86) –Autonomic neuropathy 0.37 (0.81-0.79) ANDCost-effective ANDNNT= 5…
  • 46.
    Joint Diabetes RenalClinic–Realities Josset al. 2002 n =107 over 29 months (50%Cre>200) – AbsoluteΔSBP13mmHg – Absolute ΔDBP12mmHg – ΔCholesterol 1.4 (1.8, 1.0) – ACR268 → 131
  • 47.
    Joint Diabetic RenalClinic–Realities Jayapaulet al.2006 130 patients • Slope of creatinine clearance vs.time – 1.09±1.34 ml/min/month in 1styearto 0.39±0.73 ml/min/month in 3rdyear (p <0.004) • HbA1c unchanged • Significant improvement in SBP+DBP (41%achieved <140/<80mmHg)
  • 48.
    Joint Diabetic RenalClinic–Realities Sladeet al. 2011 (NewZealand) 44 DNpatients @high risk of progression No changein weight / HbA1c/ Proteinuria – At time ofreferral - 7.97 ml/min/yr – Following clinic intervention - 3.17ml/min/yr
  • 49.
    S ummary • • • Diabetes (especially Type2)placing heavy CVDand RenalBurden on healthservices In Diabetic Nephropathy – Margins gained with Blood Pressure +Proteinuria control over glycaemiccontrol – Recognise the intensity of resource investment + dedicated time needed to achievethis Joint Diabetes RenalClinics – Needs enthusiastic members of endocrineand renal team! – Providing evidence to directorates thatthey make adifference is tricky