Update about dengue
management
Presenter
Dr. Shahadad Hossain
Dengue – Systemic and dynamic infections disease.
Complex in its manifestations
But
Treatment – Simple, inexpensive and very effective.
Reducing mortality and mobility requires an
(organized process) includes
Early detection of cases
Classification
Treatment
Referral when necessary
Epidemiology Exhibits Complex Relationship
Amongst
Host (Man and Mosquito)
Agent (virus)
DENV-I
DENV-2
DENV-3
DENV-4
Environment
Temperature in the
range of 25 ± 5°c
Relative humidity around
40% small water
collections.
Vector
Aedes aegypti (Highly domesticated and anthropophilic)
Aedes albopticus (Aggressive feeder)
Eggs Remain in a viable dry condition, for more than a year
Can emerge within 24 hours once it comes in contact with
water
(Major hurdle in prevention and control)
Transmission Cycle and Time
4-7days
(3-14 Days)
8-10 days
Global Burden of Disease
 Before 1970- only 9 countries had dengue
today endemic in more than 100 countries
throughout the globe.
WHO estimate indicates 390 million dengue
infections each year. of which 96 million manifest
clinically.
Prevalence study of Dengue in 2012 estimates
that 3.9 Billion people in 128 countries are at risk
of Infection.
Dengue Case Burden in Bangladesh
First epidemic DHF mid 2000/5551 infections reported from Dhaka, Chittagong and
Khulna cities. 93 deaths CFR 1.7%
According to WHO, worst outbreak occurred in 2002 with 6232 cases and 58 deaths.
Panic situation
• People
• Professional
• Media
• Posters –Blood
Test… labs.
• Blaming!!
First Outbreak in 2000
8
Recent Outbrea
2019
Reported Dengue Cases and Deaths,
Bangladesh: 2000 – 2018
5551
2430
6232
486
3434
1048
2200
466
1153
474 409
1359
676
1749
375
3162
6060
2769
10148
93
44
58
10
13
4
11
0 0 0 0
6
1 2 0
6
14
8
26
-20
0
20
40
60
80
100
0
2000
4000
6000
8000
10000
12000
2000 2001 2002 2003 2004 2005 2006 2007 2008 2009 2010 2011 2012 2013 2014 2015 2016 2017 2018
Cases Deaths
Virology
 Flavivirus family
 Small enveloped
viruses containing
single stranded
positive RNA
 Four distinct viral
serotypes
 (Den-1, Den-2, Den-3,
Den-4)
• 2018 2019
-D3 -D3
-D2
-D1
Epidemiology-Dengue Fever
Ae.
aegypti
Humans
Dengue
Virus
Environment
Vector Life-cycle (10-12days)
Black and oval in shape
Laid singly above water surfaces of containers
Without float
Viability: 6 months to 1 year due to the presence of chorion
Feeding stage
Breeds in clean and non- polluted water
Short and stout siphon with one pair of hair tuft
Rests at an angle to the water surface
Non-feeding stage
Breeding trumpet is long,
slender with narrow opening
Egg
Lar)va(2-3days
Pupa(6-8days
Maxillary pulps shorter than probosis
Wings uniformly grayish black -Body and legs are black with
distinctive white patches throughout
Thorax has marking
Adult-1-2days
Aedes Agypti/Albopictus
Primary vector
Involve in cases
of epidemics
Urbanized
areas
Lives indoors
Secondary
vector
Maintains the
virus in the
environment
Rural areas
Lives outdoors
Indoor
Artificial
Container
Outdoor
Natural
Container
Rests in cool,
dark corners
of the house
Rests
outdoors in
clearings and
vegetation
ONCE ENTRY NEVER EXIT
Severe Dengue: immunopathogenesis
Mo
Mo
CD4
CD8
Ab’s Monocytes T cells
Complement Macrophages
IFN
C3a C5a TNF, IL-1, PAF IL-2, TNF, IL-6
IL-6 IFN
 FcR, MHC I and II
Complement
activation
Capillary leak syndrome  DHF
Vascular endothelial cells
Lysis
Dengue virus
Capillary leakage
viraemia
IgM
IgG
0 1 2 3 4 5 6
days
Inflammatory
host response
A patient with secondary dengue
Pathogenesis of dengue virus infection
according to phase of illness
Lancet 2015;385:453-65
Pathophysiology of DF/DHF
17
Pathophysiology of Plasma Leakage
Plasma Leakage
• Adult dengue at D4-5 (critical phase) is
associated with increased risk of DHF
• Endothelial glycocalyx breakdown is higher in
DHF compared to DF
• Increased serum hyaluronic acid was
associated with vascular leak and
thrombocytopenia in adult dengue
Pathophysiology of Thrombocytopenia
• Reduced production from bone marrow suppression
–Direct viral bone marrow suppression
•Increased destruction
–Platelet consumption during coagulopathy process
–Activation of fibrinolytic system
–Activation of complement system
–Activation of inflammatory cytokines and other
soluble mediators
–Transient autoimmunity with cross-reactive antibodies
Natural course, Phases of Dengue
syndrome
1. Febrile phase 2 – 7 days
with mean duration of 4 days
2. Critical/Leakage phase 24 -
48 hours – The best simple
indicator available is Platelet
≤ 100,000 cells/mm3
3. Convalescence phase 3 -5
days – Aware that
reabsorption of extravasated
plasma occurs about 36
hours after shock and 60
hours after Platelet <
100,000 cells/mm3
Signs of recovery include:
A – Appetite, B – Bradycardia,
C –Convalescence rash or Itching,
D - DiuresisHaistead SB ,Pathophysiology and pathogenesis in
DHF,WHO<.EARO 1993,80-103
Siripen, clinical prac
guideline 2018
Old Classification
Clinical Case Classification by severity
www.WHO.S
EARO
Dengue Syndrome- Clinical features
Cao Xt al(2002);Trop Med Int
Hlth2002;7(2):125-32
DHF and DSS
Two hallmarks of (DHF/DSS)
are
plasma leakage & abnormal
Hemostasis
Deen JL et al.lancet.2006;368:170-3
DSS( compensated and
Decompensated)
National guideline for clinical management of Dengue syndrome-
2018,DGHS,GOB
Warning sign, Risk factors, Level of
care
National guideline on
dengue
management,india,2017
Patients Group A(Mild) : Dengue Patient without
warning sign.
Patient Group B (Moderate): Dengue Patient with
warning sign. And Dengue patient with comorbidity
and coinfection
Patient Group C(Severe): Dengue Patient with
Severity
National guideline for clinical management of Dengue syndrome-
2018,DGHS,GOB
Changing Pattern
Dengue fever and dengue haemorrhagic fever
epidemiological changes
The epidemiology of DF/DHF is complex and
remains poorly understood. It involves host,
viral and vector status that are further
influenced by demographic, economic,
behavioural and varied societal factors.
www.WHO.SEARO
Changing Pattern (factors)
A.Changes in human host
a.Shift in affected-age group
clinical DF in adults was rare.
However, there is an evidence
of increase of dengue
incidence in older age groups,
and this age shift has been
reported Singapore, Indonesia,
Bangladesh and Thailand.
b. Sex differences
c. Rural expansion
B. Changes in the dengue virus
a.Virulence affecting severity of
the disease
• Sequential infections or
secondary infections are
important to determine the
severity of the disease.
• The infection enhancement
contributes to the pattern of
variable-sized outbreaks
observed
• b.Genotype affecting time
interval between sequential
infections
www.WHO.SEARO
Changing Pattern (factors)
B. Changes in the dengue virus
a.Virulence affecting severity of the disease
• Sequential infections or secondary infections are
important to determine the severity of the disease.
• The infection enhancement contributes to the
pattern of variable-sized outbreaks observed.
www.WHO.SEARO
Changing Pattern (2018)
C. Changes In the vector
bionomics
Rural spread
Seasonality and climate
variability
Socio-cultural and
socio-economic
factors
affecting vector
longevity and survival
Largest dengue outbreak of the decade with high fatality may be due to reemergence of DEN-3 serotype in Dhaka, Bangladesh, necessitating
immediate public health attentio.T shirin et al , © 2019 The Author(s). Published by Elsevier Ltd, NMNI, 29,
100511(http://creativecommons.org/licenses/by-nc-nd/4.0/).
This year Out break Observation -
2019
a) fever manifesting not like classical dengue fever
b) paucity of rashes & haemorrhages
c) surprising rapidity to progression of shock syndrome
d) frequently manifesting hepatic decompensation (prologed
INR)
e) presenting with pulmonary manifestations (? pulmonary
haemorrhage or ARDS)
f) bowel alteration (diarrohoea)
g) refractory shock
h) multi-organ dysfunction ( Myocarditis, AKI, Encephalitis etc)
i) DIC
j) Metabolic acidosis
Co-morbidities More Common in the
Elderly
• More likely to have co-morbidities compared
to younger adults with dengue fever
• No co-morbidities 29.0% vs74.1% (p<0.001)
• >1 co-morbidity 61.8% vs 22.8% (p<0.001)
• >2 co-morbidity 32.3% vs 8.6% (p<0.001)
• More likely to have high Charlsonco-morbidity
score
• Score > 32.7% vs 0.1% (p<0.001)
Lee et al Am J EmergMed 2013;31:783
Diabetes: Impact on Dengue Severity
• Case Control Studies:
• OR 1.86 (1.04 -3.37) 232 DHF vs412 acute DF (Taiwan
2002)
• OR 2.75 (1.12-6.73) 170 DHF vs1175 controls (Brazil
2002-2005)
• OR 26 (2.5 -273) 10 fatal vs40 non fatal DF (India
2005-2008)
• OR 1.78 (1.06 -2.97) 590 DHF vs1141 acute DF
(Singapore 2007-2008)
• OR 1.26 (0.78 –2.03) 132 DHF vs IgGcontrols (Pakistan
2011)
Htunet al PlosNeglTrop Dis 2015;9:
Hypertension: Impact on Dengue
Severity
• Brazil (2009 –2012) 490 DHF vs 1316 controls
• OR 1.6 (1.1 –2.1) for DHF in patients with hypertension
• OR 1.9 (1.1 –3.2) for DHF in hypertensive patients not on
treatment
• Singapore (2007-2008)
• OR 1.41 (1.02-1.94) risk of DHF in patients with
hypertension
• OR 2.39 (1.21 –4.71) risk of DHF in patients with
hypertension and DM
• Effect modification when combined with other co-
morbidities
Teixeira et al PlosNeglTrop Dis 2015;9:5
Pang et al PLoSNeglTrop Dis 2012;6:1641
Chronic Renal Disease: Impact on
Dengue Severity
Singapore (2004 –2008)
• 8/28 (29%) fatal cases had pre-existing renal disorder
vs2/80 (2.5%) DF controls
• OR 21.176 (2.27 –49.8; p=0.004) for mortality
Taiwan (2002)
• 21 chronic renal failure (CRF) cases vs498 non CRF
controls
• CRF cases had significantly more hypertension, DM,
rheumatologic disease and older age
• OR 3.0 (1.1 –7.6) for DHF/ DSS and OR 33.9 (7-164.1)
for death in CRF
Theinet al PLoSOne 2013;8:81060
Kuoet al ClinJ Am SocNephrol2008;1350
Clinical Features of Dengue in Adults
vs Elderly
Symptoms Less Common
in Elderly
• Fever
• Headache
• Rash
• Myalgia and arthralgia
• Retro-orbital pain
• Mucosal bleed
Symptoms more common
in elderly
• Lethargy
• Hepatomegaly
WHO Criteria less sensitive but more specific in elderly compared
to adults Lee et al Am J Trop Med Hyg2008;79:149
Lee et al Am J EmergMed 2013;31:783
Laboratory in elderly dengue pt
• Laboratory Results Which
Are Reduced in the Elderly
• ↓ Haemoglobin
• Laboratory Results Which
Are Increased in the Elderly
• ↑ Creatinine
• ↑ Urea
• ↑ ProthrombinTime
• ↑ C-Reactive Protein
• ↑ White blood cell (less
leukopenia)
Lee et al Am J EmergMed 2013;31:783
Clinical Outcomes in the Elderly with
Dengue Fever
• ↑ Risk of DHF
• ↑ Risk of Severe
Dengue
• ↑ Plasma Leakage
• ↑ Severe Bleeding
• ↑ Hospitalization
• ↑ Hospital Acquired
Infections
• ↑ Length of Hospital
Stay
• ↑ Mortality
1. Rowe E et al PLoSNeglTrop Dis 2014;8:2777
2. Lee et al Am J EmergMed 2013;31:783
3. Lee et al Am J Trop Med Hyg2008;79:149
Expanded dengue syndrome
• Unusual manifestations with severe organ
involvement such as liver, kidneys, brain or
heart associated with dengue infection have been
increasingly reported in DHF and also in DF who
do not have evidence of plasma leakage.
• These unusual manifestations may be associated
with coinfections, comorbidities or
complications of prolonged shock.
• Exhaustive investigations should be done in these
cases.
Expanded dengue syndrome
Expanded dengue syndrome
Expanded dengue syndrome
Dengue and Heart
• Conduction defect
• Arryhthmia (Bradyarrythmia and Tachyarrythmia)
• Myocarditis
• Pericarditis
• Pericardial effusion
• Refractory pulmonary oedema (Cardiac vs Fluid overload)
• Echo-Global Hypokinesia with poor LV dysfunction
• Increased Trop I and CPKMB
• Increased ProBNP
Expanded dengue syndrome
(Dengue and Brain)
Direct Neurotropic Effect of Dengue Virus
• –Encephalitis
• –Meningitis
• –Myositis and rhabdomyolysis
• –Myelitis
Systemic Complications of Dengue Infection
• –Encephalopathy
• –Intracranial Bleeding
• –Stroke
• –Hypokalaemic paralysis
Post-infective Inflammatory Effects
• –Acute Disseminated Encephalomyelitis (ADEM)
• –Guillain-BarréSyndrome and Mononeuropathies
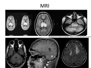
MRI
Borawake et al. Dengue encephalitis. Indian J Crit Care Med.2011;15:190-3
Dengue Virus Neurotropism: What is the
Evidence?
Amaral et al. Intracerebral infection with dengue-3 virus induces meningoencephalitis and behavioural changes that precede lethality in
mice. J Neuroinflamm2011;8:23
E: Normal
hippocampus
F: Neuronal
destruction of
pyramidal
layers of the
hippocampus
G: Cells
staining
positive for
anti-NS3 in
cerebellar
granular layer
H: NS-3
positive cells in
inflammed
cerebrum
Cerebral
involvement
following DEN3
infection:
A: Normal
B:
Meningoenceph
alitis with
immune cell
infiltration of
the meninges
C: Perivascular
cuffing (PC)
D: Vasculitis
Laboratory Diagnosis
• Complete Blood Counts (with repetition)
• Hematocrit (with repitition)
• Platelet Count (with repetition)
• Serum GOT, GPT
• Blood urea, serum creatinine, serum
electrolyte
• Serum Albumin
• Immunological Tests : Dengue serology,
dengue virus isolation or antigen detection
test.
• Chest X-Ray
• USG of Abdomen
• Rest tests depends on ogran involvement
and complication
Tests for virus identification
Clinical research
Changing World ? Changing Trend
Trust and Partnership
Epidemiology and the Spread of the Epidemic
The Genomic Revolution and Global Health
Open Access (of what?), Sharing (what?) Centres of Gravity
Some Atypical Presentation
• Low grade fever
• Vomiting, diarrhoea
• Rapid deterioration of Vitals, Platelet count
during febrile period
• Flactuating platelet count
• Prolonged Leakage period
FLUID MANAGEMENT
IN A NUT SHELL
Fluid Management in Compensated Shock
If The time period between onset of
shock and starting of fluid is the
determining factor for outcome
Dengue with CKD
• Patients with CKD have a low baseline
haematocrit and platelet count.
• A low baseline platelet count is not an
uncommon finding in dialysis patients.
• Urine output should not be used as an indicator
of the intravascular volume status in patients
with CKD.
• Diuretics have a limited effect in CKD, making
patients more susceptible to fluid overload.
• Dialysis may be required. Patient on MHD
preferably dialysis session should be deferred.
Dengue and Pregnancy
• Dengue infection during
pregnancy has been
associated with preeclampsia,
eclampsia, hemorrhage and
maternal deaths, but not to
the occurrence of congenital
malformations.
• Fatality by dengue among
pregnant women was higher
than in the population of
women at reproductive age,
with greater risk of death in
the third trimester of
pregnancy
60
OPD consultation and triage
Fever 1-3 days
Fever 1-3 days
Living in Endemic
zone
Look for Tourniquet test/Petechiae
Positive
>10
dots/sq.inch
Negative
CBC,SGOT,SGPT,NS1
Repeat Tourniquet
test
1. History suggest dengue
Bleeding, Pain ache, Rash(MP)
2. Repeat CBC everyday
Observe and
admit
Near leakage, Observe if High risk
WBC<5000/cumm
Leakage Phase
Platelet count <100000
cells/cumm
Admit and IV fluid
HcT increased 20%
Platelet
<100000/cumm
3. Advice warning
signs
No clinical improvement when no fever
•Severe vomiting, abdominal pain, bleeding
•Drowsy, refuse to eat & drink
•Irritable, restless, crying in infants
•Consciousness change
•Cold, Clammy sweat
Pocketbook of Dengue cases management 2019,
DGHS.GOB
Group – A (May be sent at home)
• Group-A criteria:
Patient who don’t have warning sign
And
Who are able-
-to tolerate adequate amount of ORAL fluids
-to pass urine at least once in every 6 hours
Group-A (Laboratory test)
• Full Blood Count (FBC)
• Hematocrit (HCT)
GROUP –A (Advice)
• Adequate bed rest
• Adequate fluid intake (8-10 glasses for an average-sized adult)
- e.g. milk, fruit juice (caution with diabetes patient), oral
rehydration solution (ORS) or barley/rice water/coconut water
Note: Plain water alone may cause electrolyte imbalance
• Take paracetamol (not more than 3 grams per day for adults)
• Tepid sponging/Warm water shower
• Look for mosquito breeding places in and around the home and
eliminate them
Carefully Watch any of warning sign
Group –A (Advice –cont.)
These patients will be advised to avoid:
• Acetylsalicylic acid (aspirin), mefenemic acid ,
ibuprofen or other
• NSAIDs
• Steroids
• Antibiotics
Group –A (Monitoring)
• Daily review for disease progression:
- Decreasing WBC
-Defervescence
- Warning signs (until out of critical period)
# Advice for immediate return to hospital if
development of any warning signs
# Written advice of management (home care card
for dengue)
Indications for Admission
• Very weak, poor appetite or severe
dehydration
• Presence of warning signs
• Significant bleeding ( especially in female
patient, there may be significant PV
bleeding or excessive menstrual bleeding)
• WBC ≤ 5,000 Cells/mm3 in high risks group
(infants, Elderly, Pregnancy, prolonged
shock, significant bleeding, underlying
diseases, neurological manifestations)
• Platelet count ≤ 100,000 cells/mm3 and
presence of weakness, poor appetite,
persistent vomiting
• Rising Hct 10-20%
• No clinical improvement and
weakness when no fever
• Shock or impending shock
– No fever but rapid pulse ( in
infant without crying)
– Capillary refill > 2 seconds
– Cold, clammy extremities, skin
mottling
– Irritable, restless, confusion,
– Pulse pressure ≤ 20 mmHg
– Fainting, postural hypotension
• Less urine in 4-6 hours
• Extreme family anxiety
Pocketbook of Dengue cases management 2019,
DGHS.GOB
Group-B (Hospital Care)
• Group Criteria:
Patient with any of the following features:
# Co-existing conditions such as pregnancy,
infancy, old aged, DM (uncontrolled)
# Social circumstances such as living alone,
living far from hospital.
OR
# existing warning signs
Group - B (Laboratory Test)
• Full blood count (FBC)
• Haematocrit (Hct)
• Biochemistry
• Radiology
• Others
Group B : Cont.
Indications for IV fluid:
• when the patient cannot have adequate oral fluid
intake or is vomiting.
• HCT continues to rise 10%–20% despite oral
rehydration.
• impending shock/shock.
General principles of Fluid
therapy
Crystalloids
1. 0.9% Nacl (isotonic normal saline solution) (0.9%NS) (Preferable)
2. 0.45% half strength normal saline solution (0.45%NS) (For children)
3. 5% dextrose in lactated Ringer's solution (5%DRL)
4. 5% dextrose in acetated Ringer's solution (5%DRA)
5. Hartman solution
Colloids
1. Dextran 40
2. Starches
3. Hemaceel
4. Plasma
5. Blood & Blood Components
6. Human Albumin (20%)
Disease and Treatment factors that
change HCT level
Haematocrit level Increase Decrease No change
Disease Progression Plasma Leakage 1.Bleeding
2. Reabsorption
Plasma Leakage +
Bleeding
Treatment Related Blood Transfusion IV fluid therapy
Crystalloid
Colloid
Plasma
Disease + Treatment Plasma Leakage + Blood
Transfusion
↑↑
Bleeding+ IV fluid
↓↓
Plasma leakage+ IV fluid
Or
Bleeding + Blood
transfusion
HCT should not be interpreted on its
own
• HCT should always be interpreted in the context of and in phase
with:
1. Haemodynamic evaluation at time of sample
2. Before and after IV fluid?
3. Before and after transfusion of whole blood or packed cell?
4. Phase and duration where
Important Reminder
Haemodynamic stable should be the principal drive of IV fluid therapy
HCT level should only be a guide
Not the other way around
Interpretation of rise or persistently
rise of HCT
+ = >
+ = >
A rise or
persistently
rise HCT
A rise or
persistently
rise HCT
Unstable vital
sign
Active Plasma
Leakage
Need IV fluid
replacement
A rise or
persistently
rise HCT
stable vital
sign
Does not need
intravenous
fluid
Continue monitor
closely
HCT should be
normal within 24
hrs
As plasma leak stops
Interpretation of decrease or
persistently decrease of HCT
+ = > >
† = >
A rise or
persistently
rise HCT
A decrease or
persistently
decrease HCT
Unstable vital
sign
Major
bleeding
Need for
blood
transfusion
A decrease or
persistently
decrease HCT
stable vital
sign
Haemodilution
or replacement
of extravasated
fluid
IV fluid should be
reduced in stepwise
manner or
discontinue to
prevent pulmonary
oedema
When to start and stop IV fluid therapy
• Febrile phase:
Limit IV fluid
Early IV fluid therapy may lead to fatal fluid overload
especially with non isotonic IV fluid
• Critical Phase:
IV fluid are mainly required for 24-48 hrs
Note: Pt who present with shock IV therapy should be
<48 hrs
• Recovery Phase:
IV fluid should be stopped so that extravasated fluid can
be reabsorbed
What kind of IV fluid therapy should
we use?
• Use isotonic solution (normal saline, Ringers
lactate)
• Colloids are preferred if BP has to be
restored urgently (Pt category C)-DSS
Solution Na
Meq/l
K
Meq/L
Cl
Meq/L
Lactate
Mmol/L
Ca
Mmol/L
OsM
Normal
saline
(NS)
154 154 292
5% DNS 154 154 565
Ringers
lactate
130 4 109 28 3 274
Hartman
solution
131 5 111 29 2 278
What IV fluid should not be given?
• Hypotonic solution 0.45% NS even during
febrile phase
• Dextrose solution should be better to avoid
hyperglycaemia but may be used in
hypoglycaemic state with close monitoring of
blood glucose
• Albumin solution(less than 20%)
• Fresh frozen plasma
Why isotonic fluid?
• What % of body weight is water?
• 60-70% of body wt is water (in young child it
is more while it is less in adult and old age)
Intravascular
space
1/4th ECF
ECF ICF
Isotonic fluid
0.9% NaCl- 1litr ECF
250 cc in vascular space
Hypotonic fluid
0.45% NS-333 ml ECF
83 ml in vascular space
What happen in critical phase?
• Fluid shift in 3rd space
• 60-70% of body wt is water (in young child it
is more while it is less in adult and old age)
Contracted
Intravascular
space
1/4th ECF
Expanded ECF ICF
Isotonic fluid
0.9% NaCl- 1litr ECF
<250 cc in vascular
space
Hypotonic fluid
0.45% NS-333 ml ECF
<83 ml in vascular space
Dengue Chart
 Clinical: - consciousness, appetite,
bleeding, abdominal pain, vomiting
 Vital signs:
a. T every 4-6 hours
b. BP, PR, RR every 2-3 hours in
non-shock and every 1 hour in
shock cases
 Hematocrit (Hct) : every 4-6 hours,
more frequent if suspected bleeding
 Urine output : every 8 hours in
uncomplicated case, keep urine
output 0.5-1 ml/kg/hr. Keep urine 0.5
ml/kg/hr in infants, obese patients and
pregnant women
Pocketbook of Dengue cases management 2019,
DGHS.GOB
Srilankan national guideline of Dengue
2016
Fluid Requirement:
The fluid requirement, both oral and intravenous, in critical phase
(48 hours) is calculated as M+5% (maintenance + 5% deficit).
5% deficit is calculated as 50 ml/kg up to 50kg.
Normal maintenance fluid per hour can be calculated on the basis
of the following formula* (equivalent to Holliday- Segar formula):
4 ml/kg/hr for first 10 kg body weight
+ 2 ml/kg/hr for next 10 kg body weight
+ 1 ml/kg/hr for subsequent kg body weight
Calculations for normal maintenance of intravenous
fluid Infusion:
For example, in a child weighing 20 kg,
The deficit of 5% is 50 ml/kg x 20 = 1000 ml. The
maintenance is 1440 ml for one day. Hence, the total of M +
5% is 2440 ml . This volume is to be administered over 48
hours in nonshock patients.
Rate of IV fluid, Ideal body wt for
obese
RATE IV FLUID :
COMPARE ADULT AND CHILDREN
Child
(ml/kg/hr)
Adult
(ml/hr)
M/2 1.5 40
Maintenance
(M)
3 80
M +5%D 5 100-120
M +7%D 7 150
M + 10%D 10 300 - 500
National guideline for clinical management of Dengue syndrome-
2018,DGHS,GOB
WHO guideline,
SEARO,2014
Ideal wt
(kg)
Mainten
ance
(ml)
M+5%
deficit
(ml)
Ideal
body wt
(kg)
Mainten
ance
(ml)
M+5%
deficit
(ml)
5 500 750 35 1800 3550
10 1000 1500 40 1900 3900
15 1250 2000 45 2000 4250
20 1500 2500 50 2100 4600
25 1600 2850 55 2200 4950
30 1700 3200 60 2300 5300
Flow diagram for non-shock case
0
2
4
6
8
0 6 12 18 24 30 36 42 48
Rate
Rate of IV Fluid in
Patients Category B
DHF 1&2
Hours after
leakage
7 ml/kg/hr (100-120 ml/hr)
1.5 ml/kg/hr (40 ml/hr) 3- 5 ml/kg/hr (80-120 ml/hr)
(Rate in adult)
National guideline for clinical management of Dengue syndrome-
2018,DGHS,GOB
Diagram of IV fluid rate in DSS
(compensated shock)
Rate of IV Fluid in
Dengue Shock Syndrome
0
2
4
6
8
10
0 6 12 18 24
Rate
10- 5 ml/kg/hr (300-500 ml/hr)
5 ml/kg/hr (100-120 ml/hr)
3 ml/kg/hr (80-100 ml/hr)
3- 1 ml/kg/hr (40-80 ml/hr)
Hours after shock
National guideline for clinical management of
Dengue syndrome-2018,DGHS,GOB
IV FLUID THERAPY for Compensated Shock
WHO guideline,
SEARO,2014
Flow diagram for profound shock
(decompensated shock)
Assessment in shock case-7 things
WHO guideline,
SEARO,2014
Critical/ early convalescence phase
Shock or signs of fluid overload
FWB 10ml/kg (OR 1 unit in
adults)
Signs of fluid overload:
Puffy eyelids, very distended
abdomen
Dyspnea/ Tachypnea
Positive lung signs: crepitation,
wheezing, rhonchi
•Give Oxygen
•Insert urinary catheter
•Check ABCS and correct
•Check Hct
•NCPAP
Reabsorption phase
(High + wide pulse
pressure)
>36hrs after shock/
>60hrs after onset of
leakage
Discontinue IV
fluid/KVO
Furosemide
1mg/kg/dose IV
(40mg in adults)
•Stop iv fluid and follow up
vital signs +amount of urine
output
•Repeat Furosemide if
signs/ symptoms of fluid
overload persist
Dextran 40 rate 10ml/kg/hr (in
adults 500ml/hr)
Furosemide 1mg/kg/dose iv (in adults
40mg) given midway of Dextran
Check ABCS again, consider mechanical
ventilation
Pleural and/or peritoneal tapping
Plan for dialysis (Peritoneal/Hemodialysis)
Hct ↓>10 points
or below baseline
Hct ↓<10
points
Not improved
With no urine output, still
dyspnea/tachypnea
Flow diagram for the Management of
Fluid Overload
improved
good urine
output,>1ml/kg/hr(>50ml/hr/adult)
Siripen Kalayanarroj et al.
2014.Clinical practice
guideline of DF/DHF
management of economic
community
Pocketbook of Dengue cases
management
2019, DGHS.GOB
Colloid(Dextran/Plasmasol) + furosemide (in the
middle or after 10-15 mins)
• Shock
• During critical period
• Not in reabsorption phase
• Furosemide depletes intravascular volume, (not
deplete ascites or pleural effusion)
• Colloid(Dextran/Plasmasol) holds intravascular
volume or draws back ascites and pleural effusion
Plasma leakage :
Natural course in severe cases
0 24 48 72 hours
Reabsorption
Shock
Start
Equilibrium
Plt < 100,000 cells/cumm
Hct
Stop
Early Late convalescence
Siripen Kalayanarroj et al. 2014.Clinical practice guideline of DF/DHF management
of economic community
Indications for using Colloid [(10%
Dextran-40 in NSS)/Plasmasol/Human
albumin]
• Signs of fluid overload
• Dyspnea, tachypnea, puffy eyelids,
tense/distended abdomen
• Positive lung signs: crepitation, rhonchi,
wheezing
• Persistent high Hct, 25 - 30%
hemoconcentration for > 4-8 hours.
Siripen Kalayanarroj et al. 2014.Clinical practice guideline of DF/DHF management
of economic community
How to give Colloid (Plasmasol/Dextran – 40)
• Always give in a bolus dose.
– 10 ml/kg/hr in children at a time
– 500 ml/hr in adults at a time
– Dextran will bring down PCV by 10 points, but not below baseline PCV
• Hct before and immediately after
– If Hct drops > 10 points, indicates significant bleeding
– If Hct drops below baseline, indicates bleeding
• Maximum dose.
– 30 ml/kg/24 hrs or 60 ml/kg/48 hours of leakage in children.
– 1500 ml/24 hrs or 3,000 ml/48 hours of leakage in adult
– Aware of sticky urine
– With this recommended dose, there are no kidney complications or
involvement.
Siripen Kalayanarroj et al. 2014.Clinical practice guideline of DF/DHF
management of economic community
Indication of Blood transfusion
(FWB,PRC)
•Overt bleeding ( more than 10% or 6-8ml/kg)
•Significant drop of HCT < 40 ( < 45 for males) after
fluid resuscitation
•Hypotensive shock + low/normal HCT
•Persistent or worsening metabolic acidosis
•Refractory shock after fluid 40-60 ml/kg
Pocketbook of Dengue cases management, 2019,
DGHS.GOB
Management of the Neurological
Complications of Dengue
Dengue encephalopathy
–Supportive management including precise management
of intravenous fluids
–Correct underlying abnormalities: liver failure, shock,
electrolyte derangement, intracranial bleeding
•Dengue encephalitis
–Managing sequelae of direct brain parenchyma
involvement
•Securing airway
•Ensuring adequate nutrition and hydration
•Seizures: non hepatotoxic anti-epileptic drugs
• Steroids: Inj Dexamethasone/ Methylprednisolone
Recovery signs and Discharge
criteria
• Stable pulse, blood pressure and
breathing rate.
• Normal temperature.
• No evidence of external or internal
bleeding.
• Return of appetite.
• No vomiting, no abdominal pain.
• Good urinary output.
• Stable haematocrit at baseline level.
• Convalescent confluent petechiae
rash or itching, especially on the
extremities.
• Absence of fever for at
least 24 hours without the
use of anti-fever therapy.
• Return of appetite.
• Visible clinical
improvement.
• Satisfactory urine output.
• A minimum of 2–3 days
have elapsed after
recovery from shock.
• No respiratory distress
from pleural effusion and
no ascites.
• Platelet count of more
than
50 000/mm3.
National guideline for clinical management
of Dengue syndrome-2018,DGHS,GOBGlycocalyx
SITUATIONS
Some common situations are as follows:
• Pregnancy and labor
• Elderly patient
• Infant patient
• Mandatory Surgery
• Chronic Liver Disease
• Chronic Kidney Disease
• Cardiac diseases: Heart Failure, Ischemic Heart Disease, HTN
• Diabetes Mellitus
• Patient on steroid therapy
• Female patients on Menstrual period
• Anti-coagulant therapy
• Haemolytic diseases and haemoglobinopathies
99
Management of pregnant patients with Group
B &C, close to delivery
• Risk of bleeding is at its highest during the period of plasma leakage
(critical phase).
• Therefore,
– # Unless to save mothers life, avoid Lower uterine segment Caesarean Section
(LUCS) or induction of labor during the Critical (plasma leakage) phase.
– # Obstetric procedures (such as amniocentesis or external cephalic version)
should be avoided during the illness.
– # If obstetric procedures are to be undertaken,
– Maintain the platelet count above 50,000/mm3 Single donor platelet
transfusion is preferred, if available. If platelet transfusion is necessary
(aphaeretic platelet)
– If patient goes into spontaneous labor during critical phase take steps to prevent
vaginal tears by performing an episiotomy.
– In a case of fetal compromise priority should be given to the mother’s life and
decision making should involve the multidisciplinary team.
• Counseling the family on the probable outcome is essential.
Dengue in the elderly
Issues in management
• About 10% of elderly dengue patients may have no
complaints of fever
• Higher rate of acute renal failure
• The impact of increased co-morbidities.
• Ageing-related decline in cardiopulmonary function is
another important consideration during fluid replacement
and/or resuscitation in dengue illness.
• Complications such as congestive heart failure and acute
pulmonary edema may occur.
• Frequent assessments and adjustments of the fluid regime
are required to avoid or to minimize such complications
Dengue in Chronic Liver Disease
• The disease may be decompensated in Gr:B&C who
was well compensated before Dengue episode.
• As DHF involves in hepatic enzyme elevation so
critical patient care and regular LFT should be done.
• Decompensated CLD should be managed as non-
infected patient.
• Platelet concentrate, FFP & fresh blood maybe
required.
• Patient should be treated in a hospital where facilities
are available.
Dengue in Chronic Kidney
Disease(CKD):
Dengue patients with chronic Kidney disease
(CKD) have a significantly higher risk of severe
dengue and mortality. The outcome correlates with
the renal function .
• The warning signs of severe dengue are similar to
those of uremia in CKD.
• Ascites and/or pleural effusion, and signs of
plasma leakage in dengue, are not uncommon
findings in patients with CKD and fluid retention.
Challenges in fluid management:
• Narrow window of fluid tolerance: Patients with CKD
have limited fluid tolerance. Frequent assessments of
the hemodynamic state and frequent fluid regime
adjustments are mandatory
• Urine output: The urine output should not be used as an
indicator of the intravascular volume status because
patients with CKD can have either low or high urine-
output renal failure. Low urine output in CKD
contributes to the risk of fluid overload whereas high
urine output may aggravate hypovoleamia.
• Limited effect of diuretics: Diuretics have a limited
effect in CKD, making patients more susceptible to
fluid overload. Dialysis may be required.
Acid base balance and electrolyte balance:
• Patients with CKD are at risk of metabolic
acidosis and electrolyte imbalance which will
become worse during dengue shock.
• If these persist after adequate fluid
replacement, dialysis may be considered after
hemodynamic stability is achieved .
Platelet dysfunction:
• Platelet dysfunction, well recognized in CKD
together with severe thrombocytopenia ±
coagulopathy, predispose the dengue patient to
severe bleeding that may be difficult to
control.
Dengue with Ischemic Heart Disease:
• Aspirin/clopidogrel should be avoided for
certain days, until the patient recovers from
DHF.
• Patients with IHD are more prone to cardiac
dysrhythmia, cardiac failure and thrombo-
embolism. Fluid therapy should be more
cautious as they may have less cardiac
reserves.
Dengue with Hypertension
Interpretation of BP:
Patients with chronic hypertension should be
considered to be hypotensive when the mean
arterial pressure (MAP) declines by 40 mmHg
from the baseline, even if it still exceeds 60
mmHg. (For example, if the baseline MAP is
110 mmHg, a MAP reading of 65 mmHg
should be considered as significant
hypotension.)
Management issue:
• ß-blockers, a common antihypertensive medication,
cause bradycardia and may block the tachycardic
response in shock. The heart rate should not be used as
an assessment of perfusion in patients on ß-blockers.
• Antihypertensive agents such as calcium channel
blockers may cause tachycardia. Tachycardia in these
patients may not indicate hypovolemia.
• Knowing the baseline heart rate before the dengue
illness is helpful in the haemodynamic assessment.
The impact on hypotension:
• The continuation of antihypertensive agents
during the acute dengue illness should be
evaluated carefully during the plasma leaking
phase.
• The BP lowering effects of these agents and
diuretic therapy may exacerbate the hypotension
and hypo perfusion of intravascular volume
depletion.
Diabetes Mellitus and Dengue:
• Hyperglycaemia results in osmotic diuresis and
worsens intravascular hypovolaemia.
• Not correcting the hyperglycaemic state exacerbates
the shock state
• Hyperglycaemia also puts patients at risk of bacterial
infection.
• Diabetic ketoacidosis and hyperosmolar
hyperglycaemia:
.
Diabetic Ketoacidosis & Hyperosmolar Hyperglycemia:
• Clinical manifestations of diabetic ketoacidosis
and hyperosmolar hyperglycaemia (nausea,
vomiting and abdominal pain) are similar to
the warning signs of severe dengue.
• It is not uncommon for dengue shock to be
misdiagnosed as diabetic ketoacidosis.
Hypoglycaemia:
• Hypoglycaemia may occur in those patients
taking oral hypoglycemic agents (e.g. long-acting
sulphonylurea)
• Hypoglycemia could be aggravated by severe
hepatitis from dengue.
• Some hypoglycemic agents such as metformin
may aggravate lactic acidosis, particularly in
dengue shock. These agents should be avoided or
discontinued during dengue shock and also in
those with severe hepatitis.
Management:
If the patient has gastrointestinal disturbances, blood
glucose should be controlled with intravenous short-
acting insulin during the dengue illness.
• A validated protocol for insulin dose adjustments to a
target glucose level of < 150 mg/dl (8.3 mmol/L)
should be used.
• Blood glucose should be monitored every 1–2hours
until glucose value and insulin rates are stable and
then every 4 hours thereafter.
Anti-coagulant therapy may have to be stopped
temporarily during the critical period.
Patients on steroid therapy, continued steroid
treatment is recommended but the route may be
changed.
• Haemolytic diseases and haemoglobinopathies:
These patients are at risk of haemolysis and will
require blood transfusion. Caution should
accompany hyperhydration and alkalinization
therapy, which can cause fluid overload and
hypocalcemia.
115
Do’S Do Not
1 Administration of Paracetamol for high fever
and myalgia.
Send patients with non-severe dengue home
with no follow-up and inadequate instructions
2 Clinical assessment of the haemodynamic
status before and after each fluid bolus
Administer of acetylsalicylic acid (aspirin) or
ibuprofen
3 Give intravenous fluids for repeated vomiting
or a high rapidly rising haematocrit
Avoid clinical assessment of patient with
respect to fluid therapy
4 Use the Appropriate isotonic intravenous
fluids for severe dengue in appropriate time
and dose
Administer of intravenous fluids to any patient
with mild dengue (those who can take by
mouth)
5 Avoid intramuscular injections Give intramuscular injections to dengue
patients
6 Tight Glycemic control avoid monitoring blood glucose
7 Give appropriate colloid, PRC or Fresh Whole
blood if indicated
give excessive fluid, blood and blood products
Update on vaccine
• Chimera vaccine (CYC-
TDV)
– Yellow fever & dengue
– Launched 2016
– Partial immunity
Risk of secondary infection
• Serostatus affects the
efficacy and safety
• Seropositive case-75%
efficacy(9-16 yrs)
• Seronegative case- Severe
dengue and
Hospitalization
• Attenuated vaccine
– 6-8 cycles in DKC (Dog
kidney cells)
Carries
Wolbachia
Cytoplasmic incompatibility
Maternally transmitted Resistant to infection
Blocks dengue transmission
Wolbachia Aedes
Carries Wolbachia
Courtesy: The Daily Star
"Imagination is more important than knowledge." - Einstein
The People and Profession
in Bangladesh have been
developing the knowledge,
skill and attitude to tackle
the ‘Dengue Menace’
A national daily reporting
an ingenuity effort to face
dengue
July 2000
120
THANK YOU

dengue fever management

  • 1.
  • 2.
    Dengue – Systemicand dynamic infections disease. Complex in its manifestations But Treatment – Simple, inexpensive and very effective. Reducing mortality and mobility requires an (organized process) includes Early detection of cases Classification Treatment Referral when necessary
  • 3.
    Epidemiology Exhibits ComplexRelationship Amongst Host (Man and Mosquito) Agent (virus) DENV-I DENV-2 DENV-3 DENV-4 Environment Temperature in the range of 25 ± 5°c Relative humidity around 40% small water collections.
  • 4.
    Vector Aedes aegypti (Highlydomesticated and anthropophilic) Aedes albopticus (Aggressive feeder) Eggs Remain in a viable dry condition, for more than a year Can emerge within 24 hours once it comes in contact with water (Major hurdle in prevention and control)
  • 5.
    Transmission Cycle andTime 4-7days (3-14 Days) 8-10 days
  • 6.
    Global Burden ofDisease  Before 1970- only 9 countries had dengue today endemic in more than 100 countries throughout the globe. WHO estimate indicates 390 million dengue infections each year. of which 96 million manifest clinically. Prevalence study of Dengue in 2012 estimates that 3.9 Billion people in 128 countries are at risk of Infection.
  • 7.
    Dengue Case Burdenin Bangladesh First epidemic DHF mid 2000/5551 infections reported from Dhaka, Chittagong and Khulna cities. 93 deaths CFR 1.7% According to WHO, worst outbreak occurred in 2002 with 6232 cases and 58 deaths.
  • 8.
    Panic situation • People •Professional • Media • Posters –Blood Test… labs. • Blaming!! First Outbreak in 2000 8 Recent Outbrea 2019
  • 9.
    Reported Dengue Casesand Deaths, Bangladesh: 2000 – 2018 5551 2430 6232 486 3434 1048 2200 466 1153 474 409 1359 676 1749 375 3162 6060 2769 10148 93 44 58 10 13 4 11 0 0 0 0 6 1 2 0 6 14 8 26 -20 0 20 40 60 80 100 0 2000 4000 6000 8000 10000 12000 2000 2001 2002 2003 2004 2005 2006 2007 2008 2009 2010 2011 2012 2013 2014 2015 2016 2017 2018 Cases Deaths
  • 10.
    Virology  Flavivirus family Small enveloped viruses containing single stranded positive RNA  Four distinct viral serotypes  (Den-1, Den-2, Den-3, Den-4) • 2018 2019 -D3 -D3 -D2 -D1
  • 11.
  • 12.
    Vector Life-cycle (10-12days) Blackand oval in shape Laid singly above water surfaces of containers Without float Viability: 6 months to 1 year due to the presence of chorion Feeding stage Breeds in clean and non- polluted water Short and stout siphon with one pair of hair tuft Rests at an angle to the water surface Non-feeding stage Breeding trumpet is long, slender with narrow opening Egg Lar)va(2-3days Pupa(6-8days Maxillary pulps shorter than probosis Wings uniformly grayish black -Body and legs are black with distinctive white patches throughout Thorax has marking Adult-1-2days
  • 13.
    Aedes Agypti/Albopictus Primary vector Involvein cases of epidemics Urbanized areas Lives indoors Secondary vector Maintains the virus in the environment Rural areas Lives outdoors Indoor Artificial Container Outdoor Natural Container Rests in cool, dark corners of the house Rests outdoors in clearings and vegetation ONCE ENTRY NEVER EXIT
  • 14.
    Severe Dengue: immunopathogenesis Mo Mo CD4 CD8 Ab’sMonocytes T cells Complement Macrophages IFN C3a C5a TNF, IL-1, PAF IL-2, TNF, IL-6 IL-6 IFN  FcR, MHC I and II Complement activation Capillary leak syndrome  DHF Vascular endothelial cells Lysis Dengue virus Capillary leakage viraemia IgM IgG 0 1 2 3 4 5 6 days Inflammatory host response A patient with secondary dengue
  • 15.
    Pathogenesis of denguevirus infection according to phase of illness Lancet 2015;385:453-65
  • 16.
  • 17.
  • 18.
    Plasma Leakage • Adultdengue at D4-5 (critical phase) is associated with increased risk of DHF • Endothelial glycocalyx breakdown is higher in DHF compared to DF • Increased serum hyaluronic acid was associated with vascular leak and thrombocytopenia in adult dengue
  • 19.
    Pathophysiology of Thrombocytopenia •Reduced production from bone marrow suppression –Direct viral bone marrow suppression •Increased destruction –Platelet consumption during coagulopathy process –Activation of fibrinolytic system –Activation of complement system –Activation of inflammatory cytokines and other soluble mediators –Transient autoimmunity with cross-reactive antibodies
  • 20.
    Natural course, Phasesof Dengue syndrome 1. Febrile phase 2 – 7 days with mean duration of 4 days 2. Critical/Leakage phase 24 - 48 hours – The best simple indicator available is Platelet ≤ 100,000 cells/mm3 3. Convalescence phase 3 -5 days – Aware that reabsorption of extravasated plasma occurs about 36 hours after shock and 60 hours after Platelet < 100,000 cells/mm3 Signs of recovery include: A – Appetite, B – Bradycardia, C –Convalescence rash or Itching, D - DiuresisHaistead SB ,Pathophysiology and pathogenesis in DHF,WHO<.EARO 1993,80-103 Siripen, clinical prac guideline 2018
  • 21.
  • 22.
    Clinical Case Classificationby severity www.WHO.S EARO
  • 23.
    Dengue Syndrome- Clinicalfeatures Cao Xt al(2002);Trop Med Int Hlth2002;7(2):125-32
  • 24.
    DHF and DSS Twohallmarks of (DHF/DSS) are plasma leakage & abnormal Hemostasis Deen JL et al.lancet.2006;368:170-3
  • 25.
    DSS( compensated and Decompensated) Nationalguideline for clinical management of Dengue syndrome- 2018,DGHS,GOB
  • 26.
    Warning sign, Riskfactors, Level of care National guideline on dengue management,india,2017
  • 27.
    Patients Group A(Mild): Dengue Patient without warning sign. Patient Group B (Moderate): Dengue Patient with warning sign. And Dengue patient with comorbidity and coinfection Patient Group C(Severe): Dengue Patient with Severity National guideline for clinical management of Dengue syndrome- 2018,DGHS,GOB
  • 28.
    Changing Pattern Dengue feverand dengue haemorrhagic fever epidemiological changes The epidemiology of DF/DHF is complex and remains poorly understood. It involves host, viral and vector status that are further influenced by demographic, economic, behavioural and varied societal factors. www.WHO.SEARO
  • 29.
    Changing Pattern (factors) A.Changesin human host a.Shift in affected-age group clinical DF in adults was rare. However, there is an evidence of increase of dengue incidence in older age groups, and this age shift has been reported Singapore, Indonesia, Bangladesh and Thailand. b. Sex differences c. Rural expansion B. Changes in the dengue virus a.Virulence affecting severity of the disease • Sequential infections or secondary infections are important to determine the severity of the disease. • The infection enhancement contributes to the pattern of variable-sized outbreaks observed • b.Genotype affecting time interval between sequential infections www.WHO.SEARO
  • 30.
    Changing Pattern (factors) B.Changes in the dengue virus a.Virulence affecting severity of the disease • Sequential infections or secondary infections are important to determine the severity of the disease. • The infection enhancement contributes to the pattern of variable-sized outbreaks observed. www.WHO.SEARO
  • 31.
    Changing Pattern (2018) C.Changes In the vector bionomics Rural spread Seasonality and climate variability Socio-cultural and socio-economic factors affecting vector longevity and survival Largest dengue outbreak of the decade with high fatality may be due to reemergence of DEN-3 serotype in Dhaka, Bangladesh, necessitating immediate public health attentio.T shirin et al , © 2019 The Author(s). Published by Elsevier Ltd, NMNI, 29, 100511(http://creativecommons.org/licenses/by-nc-nd/4.0/).
  • 32.
    This year Outbreak Observation - 2019 a) fever manifesting not like classical dengue fever b) paucity of rashes & haemorrhages c) surprising rapidity to progression of shock syndrome d) frequently manifesting hepatic decompensation (prologed INR) e) presenting with pulmonary manifestations (? pulmonary haemorrhage or ARDS) f) bowel alteration (diarrohoea) g) refractory shock h) multi-organ dysfunction ( Myocarditis, AKI, Encephalitis etc) i) DIC j) Metabolic acidosis
  • 33.
    Co-morbidities More Commonin the Elderly • More likely to have co-morbidities compared to younger adults with dengue fever • No co-morbidities 29.0% vs74.1% (p<0.001) • >1 co-morbidity 61.8% vs 22.8% (p<0.001) • >2 co-morbidity 32.3% vs 8.6% (p<0.001) • More likely to have high Charlsonco-morbidity score • Score > 32.7% vs 0.1% (p<0.001) Lee et al Am J EmergMed 2013;31:783
  • 34.
    Diabetes: Impact onDengue Severity • Case Control Studies: • OR 1.86 (1.04 -3.37) 232 DHF vs412 acute DF (Taiwan 2002) • OR 2.75 (1.12-6.73) 170 DHF vs1175 controls (Brazil 2002-2005) • OR 26 (2.5 -273) 10 fatal vs40 non fatal DF (India 2005-2008) • OR 1.78 (1.06 -2.97) 590 DHF vs1141 acute DF (Singapore 2007-2008) • OR 1.26 (0.78 –2.03) 132 DHF vs IgGcontrols (Pakistan 2011) Htunet al PlosNeglTrop Dis 2015;9:
  • 35.
    Hypertension: Impact onDengue Severity • Brazil (2009 –2012) 490 DHF vs 1316 controls • OR 1.6 (1.1 –2.1) for DHF in patients with hypertension • OR 1.9 (1.1 –3.2) for DHF in hypertensive patients not on treatment • Singapore (2007-2008) • OR 1.41 (1.02-1.94) risk of DHF in patients with hypertension • OR 2.39 (1.21 –4.71) risk of DHF in patients with hypertension and DM • Effect modification when combined with other co- morbidities Teixeira et al PlosNeglTrop Dis 2015;9:5 Pang et al PLoSNeglTrop Dis 2012;6:1641
  • 36.
    Chronic Renal Disease:Impact on Dengue Severity Singapore (2004 –2008) • 8/28 (29%) fatal cases had pre-existing renal disorder vs2/80 (2.5%) DF controls • OR 21.176 (2.27 –49.8; p=0.004) for mortality Taiwan (2002) • 21 chronic renal failure (CRF) cases vs498 non CRF controls • CRF cases had significantly more hypertension, DM, rheumatologic disease and older age • OR 3.0 (1.1 –7.6) for DHF/ DSS and OR 33.9 (7-164.1) for death in CRF Theinet al PLoSOne 2013;8:81060 Kuoet al ClinJ Am SocNephrol2008;1350
  • 37.
    Clinical Features ofDengue in Adults vs Elderly Symptoms Less Common in Elderly • Fever • Headache • Rash • Myalgia and arthralgia • Retro-orbital pain • Mucosal bleed Symptoms more common in elderly • Lethargy • Hepatomegaly WHO Criteria less sensitive but more specific in elderly compared to adults Lee et al Am J Trop Med Hyg2008;79:149 Lee et al Am J EmergMed 2013;31:783
  • 38.
    Laboratory in elderlydengue pt • Laboratory Results Which Are Reduced in the Elderly • ↓ Haemoglobin • Laboratory Results Which Are Increased in the Elderly • ↑ Creatinine • ↑ Urea • ↑ ProthrombinTime • ↑ C-Reactive Protein • ↑ White blood cell (less leukopenia) Lee et al Am J EmergMed 2013;31:783
  • 39.
    Clinical Outcomes inthe Elderly with Dengue Fever • ↑ Risk of DHF • ↑ Risk of Severe Dengue • ↑ Plasma Leakage • ↑ Severe Bleeding • ↑ Hospitalization • ↑ Hospital Acquired Infections • ↑ Length of Hospital Stay • ↑ Mortality 1. Rowe E et al PLoSNeglTrop Dis 2014;8:2777 2. Lee et al Am J EmergMed 2013;31:783 3. Lee et al Am J Trop Med Hyg2008;79:149
  • 40.
    Expanded dengue syndrome •Unusual manifestations with severe organ involvement such as liver, kidneys, brain or heart associated with dengue infection have been increasingly reported in DHF and also in DF who do not have evidence of plasma leakage. • These unusual manifestations may be associated with coinfections, comorbidities or complications of prolonged shock. • Exhaustive investigations should be done in these cases.
  • 41.
  • 42.
  • 43.
    Expanded dengue syndrome Dengueand Heart • Conduction defect • Arryhthmia (Bradyarrythmia and Tachyarrythmia) • Myocarditis • Pericarditis • Pericardial effusion • Refractory pulmonary oedema (Cardiac vs Fluid overload) • Echo-Global Hypokinesia with poor LV dysfunction • Increased Trop I and CPKMB • Increased ProBNP
  • 44.
    Expanded dengue syndrome (Dengueand Brain) Direct Neurotropic Effect of Dengue Virus • –Encephalitis • –Meningitis • –Myositis and rhabdomyolysis • –Myelitis Systemic Complications of Dengue Infection • –Encephalopathy • –Intracranial Bleeding • –Stroke • –Hypokalaemic paralysis Post-infective Inflammatory Effects • –Acute Disseminated Encephalomyelitis (ADEM) • –Guillain-BarréSyndrome and Mononeuropathies
  • 45.
    MRI Borawake et al.Dengue encephalitis. Indian J Crit Care Med.2011;15:190-3
  • 46.
    Dengue Virus Neurotropism:What is the Evidence? Amaral et al. Intracerebral infection with dengue-3 virus induces meningoencephalitis and behavioural changes that precede lethality in mice. J Neuroinflamm2011;8:23 E: Normal hippocampus F: Neuronal destruction of pyramidal layers of the hippocampus G: Cells staining positive for anti-NS3 in cerebellar granular layer H: NS-3 positive cells in inflammed cerebrum Cerebral involvement following DEN3 infection: A: Normal B: Meningoenceph alitis with immune cell infiltration of the meninges C: Perivascular cuffing (PC) D: Vasculitis
  • 47.
    Laboratory Diagnosis • CompleteBlood Counts (with repetition) • Hematocrit (with repitition) • Platelet Count (with repetition) • Serum GOT, GPT • Blood urea, serum creatinine, serum electrolyte • Serum Albumin • Immunological Tests : Dengue serology, dengue virus isolation or antigen detection test. • Chest X-Ray • USG of Abdomen • Rest tests depends on ogran involvement and complication
  • 48.
    Tests for virusidentification
  • 49.
  • 50.
    Changing World ?Changing Trend Trust and Partnership Epidemiology and the Spread of the Epidemic The Genomic Revolution and Global Health Open Access (of what?), Sharing (what?) Centres of Gravity
  • 52.
    Some Atypical Presentation •Low grade fever • Vomiting, diarrhoea • Rapid deterioration of Vitals, Platelet count during febrile period • Flactuating platelet count • Prolonged Leakage period
  • 54.
  • 55.
    Fluid Management inCompensated Shock If The time period between onset of shock and starting of fluid is the determining factor for outcome
  • 57.
    Dengue with CKD •Patients with CKD have a low baseline haematocrit and platelet count. • A low baseline platelet count is not an uncommon finding in dialysis patients. • Urine output should not be used as an indicator of the intravascular volume status in patients with CKD. • Diuretics have a limited effect in CKD, making patients more susceptible to fluid overload. • Dialysis may be required. Patient on MHD preferably dialysis session should be deferred.
  • 58.
    Dengue and Pregnancy •Dengue infection during pregnancy has been associated with preeclampsia, eclampsia, hemorrhage and maternal deaths, but not to the occurrence of congenital malformations. • Fatality by dengue among pregnant women was higher than in the population of women at reproductive age, with greater risk of death in the third trimester of pregnancy
  • 59.
  • 60.
    OPD consultation andtriage Fever 1-3 days Fever 1-3 days Living in Endemic zone Look for Tourniquet test/Petechiae Positive >10 dots/sq.inch Negative CBC,SGOT,SGPT,NS1 Repeat Tourniquet test 1. History suggest dengue Bleeding, Pain ache, Rash(MP) 2. Repeat CBC everyday Observe and admit Near leakage, Observe if High risk WBC<5000/cumm Leakage Phase Platelet count <100000 cells/cumm Admit and IV fluid HcT increased 20% Platelet <100000/cumm 3. Advice warning signs No clinical improvement when no fever •Severe vomiting, abdominal pain, bleeding •Drowsy, refuse to eat & drink •Irritable, restless, crying in infants •Consciousness change •Cold, Clammy sweat Pocketbook of Dengue cases management 2019, DGHS.GOB
  • 61.
    Group – A(May be sent at home) • Group-A criteria: Patient who don’t have warning sign And Who are able- -to tolerate adequate amount of ORAL fluids -to pass urine at least once in every 6 hours
  • 62.
    Group-A (Laboratory test) •Full Blood Count (FBC) • Hematocrit (HCT)
  • 63.
    GROUP –A (Advice) •Adequate bed rest • Adequate fluid intake (8-10 glasses for an average-sized adult) - e.g. milk, fruit juice (caution with diabetes patient), oral rehydration solution (ORS) or barley/rice water/coconut water Note: Plain water alone may cause electrolyte imbalance • Take paracetamol (not more than 3 grams per day for adults) • Tepid sponging/Warm water shower • Look for mosquito breeding places in and around the home and eliminate them Carefully Watch any of warning sign
  • 64.
    Group –A (Advice–cont.) These patients will be advised to avoid: • Acetylsalicylic acid (aspirin), mefenemic acid , ibuprofen or other • NSAIDs • Steroids • Antibiotics
  • 65.
    Group –A (Monitoring) •Daily review for disease progression: - Decreasing WBC -Defervescence - Warning signs (until out of critical period) # Advice for immediate return to hospital if development of any warning signs # Written advice of management (home care card for dengue)
  • 66.
    Indications for Admission •Very weak, poor appetite or severe dehydration • Presence of warning signs • Significant bleeding ( especially in female patient, there may be significant PV bleeding or excessive menstrual bleeding) • WBC ≤ 5,000 Cells/mm3 in high risks group (infants, Elderly, Pregnancy, prolonged shock, significant bleeding, underlying diseases, neurological manifestations) • Platelet count ≤ 100,000 cells/mm3 and presence of weakness, poor appetite, persistent vomiting • Rising Hct 10-20% • No clinical improvement and weakness when no fever • Shock or impending shock – No fever but rapid pulse ( in infant without crying) – Capillary refill > 2 seconds – Cold, clammy extremities, skin mottling – Irritable, restless, confusion, – Pulse pressure ≤ 20 mmHg – Fainting, postural hypotension • Less urine in 4-6 hours • Extreme family anxiety Pocketbook of Dengue cases management 2019, DGHS.GOB
  • 67.
    Group-B (Hospital Care) •Group Criteria: Patient with any of the following features: # Co-existing conditions such as pregnancy, infancy, old aged, DM (uncontrolled) # Social circumstances such as living alone, living far from hospital. OR # existing warning signs
  • 68.
    Group - B(Laboratory Test) • Full blood count (FBC) • Haematocrit (Hct) • Biochemistry • Radiology • Others
  • 69.
    Group B :Cont. Indications for IV fluid: • when the patient cannot have adequate oral fluid intake or is vomiting. • HCT continues to rise 10%–20% despite oral rehydration. • impending shock/shock.
  • 70.
    General principles ofFluid therapy Crystalloids 1. 0.9% Nacl (isotonic normal saline solution) (0.9%NS) (Preferable) 2. 0.45% half strength normal saline solution (0.45%NS) (For children) 3. 5% dextrose in lactated Ringer's solution (5%DRL) 4. 5% dextrose in acetated Ringer's solution (5%DRA) 5. Hartman solution Colloids 1. Dextran 40 2. Starches 3. Hemaceel 4. Plasma 5. Blood & Blood Components 6. Human Albumin (20%)
  • 71.
    Disease and Treatmentfactors that change HCT level Haematocrit level Increase Decrease No change Disease Progression Plasma Leakage 1.Bleeding 2. Reabsorption Plasma Leakage + Bleeding Treatment Related Blood Transfusion IV fluid therapy Crystalloid Colloid Plasma Disease + Treatment Plasma Leakage + Blood Transfusion ↑↑ Bleeding+ IV fluid ↓↓ Plasma leakage+ IV fluid Or Bleeding + Blood transfusion
  • 72.
    HCT should notbe interpreted on its own • HCT should always be interpreted in the context of and in phase with: 1. Haemodynamic evaluation at time of sample 2. Before and after IV fluid? 3. Before and after transfusion of whole blood or packed cell? 4. Phase and duration where Important Reminder Haemodynamic stable should be the principal drive of IV fluid therapy HCT level should only be a guide Not the other way around
  • 73.
    Interpretation of riseor persistently rise of HCT + = > + = > A rise or persistently rise HCT A rise or persistently rise HCT Unstable vital sign Active Plasma Leakage Need IV fluid replacement A rise or persistently rise HCT stable vital sign Does not need intravenous fluid Continue monitor closely HCT should be normal within 24 hrs As plasma leak stops
  • 74.
    Interpretation of decreaseor persistently decrease of HCT + = > > † = > A rise or persistently rise HCT A decrease or persistently decrease HCT Unstable vital sign Major bleeding Need for blood transfusion A decrease or persistently decrease HCT stable vital sign Haemodilution or replacement of extravasated fluid IV fluid should be reduced in stepwise manner or discontinue to prevent pulmonary oedema
  • 75.
    When to startand stop IV fluid therapy • Febrile phase: Limit IV fluid Early IV fluid therapy may lead to fatal fluid overload especially with non isotonic IV fluid • Critical Phase: IV fluid are mainly required for 24-48 hrs Note: Pt who present with shock IV therapy should be <48 hrs • Recovery Phase: IV fluid should be stopped so that extravasated fluid can be reabsorbed
  • 76.
    What kind ofIV fluid therapy should we use? • Use isotonic solution (normal saline, Ringers lactate) • Colloids are preferred if BP has to be restored urgently (Pt category C)-DSS Solution Na Meq/l K Meq/L Cl Meq/L Lactate Mmol/L Ca Mmol/L OsM Normal saline (NS) 154 154 292 5% DNS 154 154 565 Ringers lactate 130 4 109 28 3 274 Hartman solution 131 5 111 29 2 278
  • 77.
    What IV fluidshould not be given? • Hypotonic solution 0.45% NS even during febrile phase • Dextrose solution should be better to avoid hyperglycaemia but may be used in hypoglycaemic state with close monitoring of blood glucose • Albumin solution(less than 20%) • Fresh frozen plasma
  • 78.
    Why isotonic fluid? •What % of body weight is water? • 60-70% of body wt is water (in young child it is more while it is less in adult and old age) Intravascular space 1/4th ECF ECF ICF Isotonic fluid 0.9% NaCl- 1litr ECF 250 cc in vascular space Hypotonic fluid 0.45% NS-333 ml ECF 83 ml in vascular space
  • 79.
    What happen incritical phase? • Fluid shift in 3rd space • 60-70% of body wt is water (in young child it is more while it is less in adult and old age) Contracted Intravascular space 1/4th ECF Expanded ECF ICF Isotonic fluid 0.9% NaCl- 1litr ECF <250 cc in vascular space Hypotonic fluid 0.45% NS-333 ml ECF <83 ml in vascular space
  • 80.
    Dengue Chart  Clinical:- consciousness, appetite, bleeding, abdominal pain, vomiting  Vital signs: a. T every 4-6 hours b. BP, PR, RR every 2-3 hours in non-shock and every 1 hour in shock cases  Hematocrit (Hct) : every 4-6 hours, more frequent if suspected bleeding  Urine output : every 8 hours in uncomplicated case, keep urine output 0.5-1 ml/kg/hr. Keep urine 0.5 ml/kg/hr in infants, obese patients and pregnant women Pocketbook of Dengue cases management 2019, DGHS.GOB Srilankan national guideline of Dengue 2016
  • 81.
    Fluid Requirement: The fluidrequirement, both oral and intravenous, in critical phase (48 hours) is calculated as M+5% (maintenance + 5% deficit). 5% deficit is calculated as 50 ml/kg up to 50kg. Normal maintenance fluid per hour can be calculated on the basis of the following formula* (equivalent to Holliday- Segar formula): 4 ml/kg/hr for first 10 kg body weight + 2 ml/kg/hr for next 10 kg body weight + 1 ml/kg/hr for subsequent kg body weight Calculations for normal maintenance of intravenous fluid Infusion: For example, in a child weighing 20 kg, The deficit of 5% is 50 ml/kg x 20 = 1000 ml. The maintenance is 1440 ml for one day. Hence, the total of M + 5% is 2440 ml . This volume is to be administered over 48 hours in nonshock patients.
  • 82.
    Rate of IVfluid, Ideal body wt for obese RATE IV FLUID : COMPARE ADULT AND CHILDREN Child (ml/kg/hr) Adult (ml/hr) M/2 1.5 40 Maintenance (M) 3 80 M +5%D 5 100-120 M +7%D 7 150 M + 10%D 10 300 - 500 National guideline for clinical management of Dengue syndrome- 2018,DGHS,GOB
  • 83.
    WHO guideline, SEARO,2014 Ideal wt (kg) Mainten ance (ml) M+5% deficit (ml) Ideal bodywt (kg) Mainten ance (ml) M+5% deficit (ml) 5 500 750 35 1800 3550 10 1000 1500 40 1900 3900 15 1250 2000 45 2000 4250 20 1500 2500 50 2100 4600 25 1600 2850 55 2200 4950 30 1700 3200 60 2300 5300
  • 84.
    Flow diagram fornon-shock case 0 2 4 6 8 0 6 12 18 24 30 36 42 48 Rate Rate of IV Fluid in Patients Category B DHF 1&2 Hours after leakage 7 ml/kg/hr (100-120 ml/hr) 1.5 ml/kg/hr (40 ml/hr) 3- 5 ml/kg/hr (80-120 ml/hr) (Rate in adult) National guideline for clinical management of Dengue syndrome- 2018,DGHS,GOB
  • 85.
    Diagram of IVfluid rate in DSS (compensated shock) Rate of IV Fluid in Dengue Shock Syndrome 0 2 4 6 8 10 0 6 12 18 24 Rate 10- 5 ml/kg/hr (300-500 ml/hr) 5 ml/kg/hr (100-120 ml/hr) 3 ml/kg/hr (80-100 ml/hr) 3- 1 ml/kg/hr (40-80 ml/hr) Hours after shock National guideline for clinical management of Dengue syndrome-2018,DGHS,GOB
  • 86.
    IV FLUID THERAPYfor Compensated Shock WHO guideline, SEARO,2014
  • 87.
    Flow diagram forprofound shock (decompensated shock)
  • 88.
    Assessment in shockcase-7 things WHO guideline, SEARO,2014
  • 89.
    Critical/ early convalescencephase Shock or signs of fluid overload FWB 10ml/kg (OR 1 unit in adults) Signs of fluid overload: Puffy eyelids, very distended abdomen Dyspnea/ Tachypnea Positive lung signs: crepitation, wheezing, rhonchi •Give Oxygen •Insert urinary catheter •Check ABCS and correct •Check Hct •NCPAP Reabsorption phase (High + wide pulse pressure) >36hrs after shock/ >60hrs after onset of leakage Discontinue IV fluid/KVO Furosemide 1mg/kg/dose IV (40mg in adults) •Stop iv fluid and follow up vital signs +amount of urine output •Repeat Furosemide if signs/ symptoms of fluid overload persist Dextran 40 rate 10ml/kg/hr (in adults 500ml/hr) Furosemide 1mg/kg/dose iv (in adults 40mg) given midway of Dextran Check ABCS again, consider mechanical ventilation Pleural and/or peritoneal tapping Plan for dialysis (Peritoneal/Hemodialysis) Hct ↓>10 points or below baseline Hct ↓<10 points Not improved With no urine output, still dyspnea/tachypnea Flow diagram for the Management of Fluid Overload improved good urine output,>1ml/kg/hr(>50ml/hr/adult) Siripen Kalayanarroj et al. 2014.Clinical practice guideline of DF/DHF management of economic community Pocketbook of Dengue cases management 2019, DGHS.GOB
  • 90.
    Colloid(Dextran/Plasmasol) + furosemide(in the middle or after 10-15 mins) • Shock • During critical period • Not in reabsorption phase • Furosemide depletes intravascular volume, (not deplete ascites or pleural effusion) • Colloid(Dextran/Plasmasol) holds intravascular volume or draws back ascites and pleural effusion Plasma leakage : Natural course in severe cases 0 24 48 72 hours Reabsorption Shock Start Equilibrium Plt < 100,000 cells/cumm Hct Stop Early Late convalescence Siripen Kalayanarroj et al. 2014.Clinical practice guideline of DF/DHF management of economic community
  • 91.
    Indications for usingColloid [(10% Dextran-40 in NSS)/Plasmasol/Human albumin] • Signs of fluid overload • Dyspnea, tachypnea, puffy eyelids, tense/distended abdomen • Positive lung signs: crepitation, rhonchi, wheezing • Persistent high Hct, 25 - 30% hemoconcentration for > 4-8 hours. Siripen Kalayanarroj et al. 2014.Clinical practice guideline of DF/DHF management of economic community
  • 92.
    How to giveColloid (Plasmasol/Dextran – 40) • Always give in a bolus dose. – 10 ml/kg/hr in children at a time – 500 ml/hr in adults at a time – Dextran will bring down PCV by 10 points, but not below baseline PCV • Hct before and immediately after – If Hct drops > 10 points, indicates significant bleeding – If Hct drops below baseline, indicates bleeding • Maximum dose. – 30 ml/kg/24 hrs or 60 ml/kg/48 hours of leakage in children. – 1500 ml/24 hrs or 3,000 ml/48 hours of leakage in adult – Aware of sticky urine – With this recommended dose, there are no kidney complications or involvement. Siripen Kalayanarroj et al. 2014.Clinical practice guideline of DF/DHF management of economic community
  • 93.
    Indication of Bloodtransfusion (FWB,PRC) •Overt bleeding ( more than 10% or 6-8ml/kg) •Significant drop of HCT < 40 ( < 45 for males) after fluid resuscitation •Hypotensive shock + low/normal HCT •Persistent or worsening metabolic acidosis •Refractory shock after fluid 40-60 ml/kg Pocketbook of Dengue cases management, 2019, DGHS.GOB
  • 96.
    Management of theNeurological Complications of Dengue Dengue encephalopathy –Supportive management including precise management of intravenous fluids –Correct underlying abnormalities: liver failure, shock, electrolyte derangement, intracranial bleeding •Dengue encephalitis –Managing sequelae of direct brain parenchyma involvement •Securing airway •Ensuring adequate nutrition and hydration •Seizures: non hepatotoxic anti-epileptic drugs • Steroids: Inj Dexamethasone/ Methylprednisolone
  • 97.
    Recovery signs andDischarge criteria • Stable pulse, blood pressure and breathing rate. • Normal temperature. • No evidence of external or internal bleeding. • Return of appetite. • No vomiting, no abdominal pain. • Good urinary output. • Stable haematocrit at baseline level. • Convalescent confluent petechiae rash or itching, especially on the extremities. • Absence of fever for at least 24 hours without the use of anti-fever therapy. • Return of appetite. • Visible clinical improvement. • Satisfactory urine output. • A minimum of 2–3 days have elapsed after recovery from shock. • No respiratory distress from pleural effusion and no ascites. • Platelet count of more than 50 000/mm3. National guideline for clinical management of Dengue syndrome-2018,DGHS,GOBGlycocalyx
  • 98.
    SITUATIONS Some common situationsare as follows: • Pregnancy and labor • Elderly patient • Infant patient • Mandatory Surgery • Chronic Liver Disease • Chronic Kidney Disease • Cardiac diseases: Heart Failure, Ischemic Heart Disease, HTN • Diabetes Mellitus • Patient on steroid therapy • Female patients on Menstrual period • Anti-coagulant therapy • Haemolytic diseases and haemoglobinopathies 99
  • 99.
    Management of pregnantpatients with Group B &C, close to delivery • Risk of bleeding is at its highest during the period of plasma leakage (critical phase). • Therefore, – # Unless to save mothers life, avoid Lower uterine segment Caesarean Section (LUCS) or induction of labor during the Critical (plasma leakage) phase. – # Obstetric procedures (such as amniocentesis or external cephalic version) should be avoided during the illness. – # If obstetric procedures are to be undertaken, – Maintain the platelet count above 50,000/mm3 Single donor platelet transfusion is preferred, if available. If platelet transfusion is necessary (aphaeretic platelet) – If patient goes into spontaneous labor during critical phase take steps to prevent vaginal tears by performing an episiotomy. – In a case of fetal compromise priority should be given to the mother’s life and decision making should involve the multidisciplinary team. • Counseling the family on the probable outcome is essential.
  • 100.
    Dengue in theelderly Issues in management • About 10% of elderly dengue patients may have no complaints of fever • Higher rate of acute renal failure • The impact of increased co-morbidities. • Ageing-related decline in cardiopulmonary function is another important consideration during fluid replacement and/or resuscitation in dengue illness. • Complications such as congestive heart failure and acute pulmonary edema may occur. • Frequent assessments and adjustments of the fluid regime are required to avoid or to minimize such complications
  • 101.
    Dengue in ChronicLiver Disease • The disease may be decompensated in Gr:B&C who was well compensated before Dengue episode. • As DHF involves in hepatic enzyme elevation so critical patient care and regular LFT should be done. • Decompensated CLD should be managed as non- infected patient. • Platelet concentrate, FFP & fresh blood maybe required. • Patient should be treated in a hospital where facilities are available.
  • 102.
    Dengue in ChronicKidney Disease(CKD): Dengue patients with chronic Kidney disease (CKD) have a significantly higher risk of severe dengue and mortality. The outcome correlates with the renal function . • The warning signs of severe dengue are similar to those of uremia in CKD. • Ascites and/or pleural effusion, and signs of plasma leakage in dengue, are not uncommon findings in patients with CKD and fluid retention.
  • 103.
    Challenges in fluidmanagement: • Narrow window of fluid tolerance: Patients with CKD have limited fluid tolerance. Frequent assessments of the hemodynamic state and frequent fluid regime adjustments are mandatory • Urine output: The urine output should not be used as an indicator of the intravascular volume status because patients with CKD can have either low or high urine- output renal failure. Low urine output in CKD contributes to the risk of fluid overload whereas high urine output may aggravate hypovoleamia. • Limited effect of diuretics: Diuretics have a limited effect in CKD, making patients more susceptible to fluid overload. Dialysis may be required.
  • 104.
    Acid base balanceand electrolyte balance: • Patients with CKD are at risk of metabolic acidosis and electrolyte imbalance which will become worse during dengue shock. • If these persist after adequate fluid replacement, dialysis may be considered after hemodynamic stability is achieved .
  • 105.
    Platelet dysfunction: • Plateletdysfunction, well recognized in CKD together with severe thrombocytopenia ± coagulopathy, predispose the dengue patient to severe bleeding that may be difficult to control.
  • 106.
    Dengue with IschemicHeart Disease: • Aspirin/clopidogrel should be avoided for certain days, until the patient recovers from DHF. • Patients with IHD are more prone to cardiac dysrhythmia, cardiac failure and thrombo- embolism. Fluid therapy should be more cautious as they may have less cardiac reserves.
  • 107.
    Dengue with Hypertension Interpretationof BP: Patients with chronic hypertension should be considered to be hypotensive when the mean arterial pressure (MAP) declines by 40 mmHg from the baseline, even if it still exceeds 60 mmHg. (For example, if the baseline MAP is 110 mmHg, a MAP reading of 65 mmHg should be considered as significant hypotension.)
  • 108.
    Management issue: • ß-blockers,a common antihypertensive medication, cause bradycardia and may block the tachycardic response in shock. The heart rate should not be used as an assessment of perfusion in patients on ß-blockers. • Antihypertensive agents such as calcium channel blockers may cause tachycardia. Tachycardia in these patients may not indicate hypovolemia. • Knowing the baseline heart rate before the dengue illness is helpful in the haemodynamic assessment.
  • 109.
    The impact onhypotension: • The continuation of antihypertensive agents during the acute dengue illness should be evaluated carefully during the plasma leaking phase. • The BP lowering effects of these agents and diuretic therapy may exacerbate the hypotension and hypo perfusion of intravascular volume depletion.
  • 110.
    Diabetes Mellitus andDengue: • Hyperglycaemia results in osmotic diuresis and worsens intravascular hypovolaemia. • Not correcting the hyperglycaemic state exacerbates the shock state • Hyperglycaemia also puts patients at risk of bacterial infection. • Diabetic ketoacidosis and hyperosmolar hyperglycaemia: .
  • 111.
    Diabetic Ketoacidosis &Hyperosmolar Hyperglycemia: • Clinical manifestations of diabetic ketoacidosis and hyperosmolar hyperglycaemia (nausea, vomiting and abdominal pain) are similar to the warning signs of severe dengue. • It is not uncommon for dengue shock to be misdiagnosed as diabetic ketoacidosis.
  • 112.
    Hypoglycaemia: • Hypoglycaemia mayoccur in those patients taking oral hypoglycemic agents (e.g. long-acting sulphonylurea) • Hypoglycemia could be aggravated by severe hepatitis from dengue. • Some hypoglycemic agents such as metformin may aggravate lactic acidosis, particularly in dengue shock. These agents should be avoided or discontinued during dengue shock and also in those with severe hepatitis.
  • 113.
    Management: If the patienthas gastrointestinal disturbances, blood glucose should be controlled with intravenous short- acting insulin during the dengue illness. • A validated protocol for insulin dose adjustments to a target glucose level of < 150 mg/dl (8.3 mmol/L) should be used. • Blood glucose should be monitored every 1–2hours until glucose value and insulin rates are stable and then every 4 hours thereafter.
  • 114.
    Anti-coagulant therapy mayhave to be stopped temporarily during the critical period. Patients on steroid therapy, continued steroid treatment is recommended but the route may be changed. • Haemolytic diseases and haemoglobinopathies: These patients are at risk of haemolysis and will require blood transfusion. Caution should accompany hyperhydration and alkalinization therapy, which can cause fluid overload and hypocalcemia. 115
  • 115.
    Do’S Do Not 1Administration of Paracetamol for high fever and myalgia. Send patients with non-severe dengue home with no follow-up and inadequate instructions 2 Clinical assessment of the haemodynamic status before and after each fluid bolus Administer of acetylsalicylic acid (aspirin) or ibuprofen 3 Give intravenous fluids for repeated vomiting or a high rapidly rising haematocrit Avoid clinical assessment of patient with respect to fluid therapy 4 Use the Appropriate isotonic intravenous fluids for severe dengue in appropriate time and dose Administer of intravenous fluids to any patient with mild dengue (those who can take by mouth) 5 Avoid intramuscular injections Give intramuscular injections to dengue patients 6 Tight Glycemic control avoid monitoring blood glucose 7 Give appropriate colloid, PRC or Fresh Whole blood if indicated give excessive fluid, blood and blood products
  • 117.
    Update on vaccine •Chimera vaccine (CYC- TDV) – Yellow fever & dengue – Launched 2016 – Partial immunity Risk of secondary infection • Serostatus affects the efficacy and safety • Seropositive case-75% efficacy(9-16 yrs) • Seronegative case- Severe dengue and Hospitalization • Attenuated vaccine – 6-8 cycles in DKC (Dog kidney cells)
  • 118.
    Carries Wolbachia Cytoplasmic incompatibility Maternally transmittedResistant to infection Blocks dengue transmission Wolbachia Aedes Carries Wolbachia
  • 119.
    Courtesy: The DailyStar "Imagination is more important than knowledge." - Einstein The People and Profession in Bangladesh have been developing the knowledge, skill and attitude to tackle the ‘Dengue Menace’ A national daily reporting an ingenuity effort to face dengue July 2000 120
  • 120.