CONGENITAL DIAPHRAGMATIC HERNIA HOW I DO IT? Dr.P.NARASIMHA REDDY M.D,DA PROFESSOR AND HOD, DEPT OF ANAESTHESIOLOGY, KURNOOL MEDICAL COLLEGE, KURNOOL .
 
CONGENITAL DIAPHRAGMATIC HERNIA A 4 hours male infant weighing 3.5kg was referred from a taluk hospital Patient cyanosed and in respiratory distress How I should proceed?  Preop Perop Postop
CONGENITAL DIAPHRAGMATIC HERNIA   INITIAL WORKUP : IV line, ?intra arterial line. Oxygen by mask. Nasogastric tube- decompress the stomach. Blood for INV.
O/E :  Infant in respiratory distress. Cyanosed PR:160/min RR:60/min BP:50/30mmHg Scaphoid abdomen Barrel chest Breath sounds decreased on left side Apparent Dextrocardia Bowel sounds on the left side of chest. CONGENITAL DIAPHRAGMATIC HERNIA
SCAPHIOD ABDOMEN
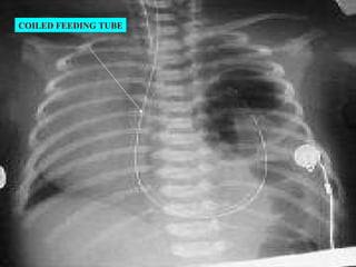
INV:   X ray chest: bowel loops in the chest Mediastinal shift with Ryles tube in situ showing the tip. X ray abdomen : Abdomen-relatively devoid of gas. Prenatal sonography : Bowel loops in the chest. CT& MRI : Defect in the diaphragm compressed fetal lung intestinal loops in the thorax. ABG : pH:7.2 paCO 2 >40mmHg paO 2 >60mmHg CONGENITAL DIAPHRAGMATIC HERNIA
COILED FEEDING TUBE
 
 
 
DIFFERENTIAL DIAGNOSIS   Congenital cystic adenomatoid Malformation Pneumatocoele Congenital lobar emphysema Mediastinal cyst Eventration of diaphragm Aspiration syndromes Pleural effusion
PREDICTION OF OUTCOME Symptoms : < 1hr – grave <6hrs-moderate(68%) >6hrs up to 24hrs-good(59%) >24hrs-very good(22%) 2) PCO 2  of 40mmHg, critical ventilation index of 1000, PaO 2  of 60-100mmHg, Post ductal PaO 2 >100 at least once in 24hrs. 3) 5 minute APGAR, birth wt, ventilation index, PaCO 2  & PaO 2 - Keshen et al, a complex equation. 4) Echo- left ventricular hypoplasia, prognosis-very bad. 5) Other congenital associated problems- poor prognosis.
INITIAL TREATMENT Naso gastric tube-  for continuous aspiration Patient in propped up  position Mask  ventilation  should not be done Intubated , if not done already Ventilated  with low pressures<30cms of H 2 O Respiratory rate  30-80/minute Paralysed   Beware of pneumothorax - ipsi and  contralateral side.
INITIAL TREATMENT 8)  Sedation - must be haemodynamically stable. 9)  Surfactant therapy  as early as possible to avoid barotrauma and valotrauma 10) Umbilical artery and venous  catheters   11)  Pulse oxymetry  to know the shunting of blood 12)  Fluids : optimum doses of crystalloids or colloids (be ware of pulmonary oedema)
INITIAL TREATMENT 13)  Ionotropes : Dopamine/Dobutamine to maintain BP at around 50mmHg. 14)  Metabolic acidosis : Soda bicarb or THAM to maintain pH at 7.25 PCO 2 <60mmHg, SpO 2  at 75-85%. 15)  Temperature:  maintained at optimal levels.
OTHER MODALITIES OF TREATMENT AIMS :   To reduce PVR To prevent RT to lt shunt This can be accomplished by 1) Hyperventilation 2) Pharmacological therapy 1)Hyperventiation : HFO reduces PA pressures and resistance resulting in better oxygenation 2)Pharmacological:  Tolazoline,PGE 1  and other drugs and ECMO. Tolazoline :  α -adrenergic blocking agent, not specific to lungs. Complications like hypotension, tachycardia, thrombocytopenia seizures and arrhythmias. PGE 1 :  it improves oxygenation by reducing PVR.
Specialized treatment Hyperventilation and alkalinization : GOAL: pH>7.5 Complications: CNS and Ear problems and ODC shifted to left. Surfactant therapy : It improves oxygenation and reduces pulmonary vascular resistance. It is very effective if given prophylactically.  High frequency jet ventilation :  Very good control over PCO 2  patient improves within 1hour. If there is no improvement ECMO. Very good for patients who develop pneumothorax. Inhaled Nitric oxide : It is very good in PP HTN of new born Karama noukian- NO before ECMO-  little response 1week after ECMO- sustained improvement Pts treated with surfactant, very good results. Liquid ventilation:  Perflurocarbons are used to distend the lung provide gas exchange. Animal experiments show good results.
ECMO ECMO :  VV/VA. Indications: 1) Failure of medical treatment to reverse hypoxia. 2) Acute clinical deterioration 3) P[(A-a)O 2 ]>600mmHg for 8hrs 4) O 2  Index  [(FIO 2 X MAP)/PaO] of 51 for 5hrs. 5) Failure to respond to maximal therapy. 6) Cardiac arrest. VA ECMO-  Flow 100ML/KG/MIN Goals: PaO2:60-100mmHg PaCO 2 ;30-45mmHg. VV ECMO-  Does not support cardiovascular function and PaO 2  less.
ECMO Inclusion criteria : 1)80% predicted mortality with conventional therapy 2)34 week completed gestation. 3)Body wt 2kg. Exclusion criteria : 1) Evidence of IVH  2) Patient on mechanical ventilation for >10days. 3) hypoxia secondary to CHD. 4)Other anomalies influencing survival.
ECMO Complications: 1) Canulation, ligation of right common carotid,  right Internal Jugular vein 2) Heparinization  3) Blood products exposure 4) Sickness to face ECMO 5) ECMO circuit malfunction 6) Bleeding (CNS) 7) Hypertension
IDEAL TIME FOR SURGERY Early intervention is not necessary as previously thought. Trouble is with hypoplasia, low surfactant and Pul. Vas. Resistance but not due to herniation of viscera. Ideal time – controversial, some say 24hrs,but operated 7-10days after good stabilization and Echo findings showing decreased PVR is Ideal .
Types of surgeries Repair of CDH Lung transplant Lobe transplant
PREMEDICATION   No premedication required generally. MONITORS RESP : Precordial and esophageal steth. Capnometer Inspiratory pressure gauge ABG. CVS :  ECG NIBP CVP Arterial line TEMP :  Oesophageal and rectal temperature.
INDUCTION & MAINTENANCE Awake intubation after preoxygenation. Patient is vigorous muscle relaxant is used No IPPV before intubation.  Inhalational anaesthetics depending on the patient. Muscle relaxant and IPPV. Nitrous oxide  should not be used. Ventilation with low pressures, high respiratory rate.
TEMPERATURE MAINTENANCE Switch off the Air conditioners.  Maintain OT temp at 27 o C. Radiant warmers and heating blankets.  Warm and humidified inspired gases. Warm IV, irrigating fluids and blood.
PEROPERATIVE PROBLEMS Inability to close the abdomen - Silastic poutch (be ware of increased intra-abdominal pressure). Sudden deterioration at the end of surgery (pneumothorax). Hypothermia Blood loss Sometimes thoracic incisions may be necessary
FLUID MAINTAINANCE Aims: to correct preop deficits, provide maintenance fluids, intra operative evaporative, third space and blood losses. Kidneys are immature and neonates are obligate sodium loosers, decreased glycogen store Maintainence fluids: 5% dextrose with1/2NS 4ML/KG/HR for preoperative looses, 8-10ml/kg/hr RL for peroperative looses. Blood loss if >10% must be replaced with blood.
EXTUBATE OR CONTINUE VENTILATION If patient is vigorous and hernia is small patient, can be extubated after good assessment. If not elective ventilation is continued postoperatively. Hypoxemia may be improved by use of PEEP or CPAP. ICD must be placed on the diseased side and if necessary on the opposite side. No suction should be attached to this.
 
POST-OP MANAGEMENT “ Honeymoon period ” –  Rapid recovery followed by sudden deterioration.  Mortality depends on:  1) Pulmonary hypoplasia 2) Associated congenital defects  3) Inadequate preop preparation 4) Ineffective postop management
Long term follow up Severely affected neonates will have chronic lung problems treated with supplemental oxygen, diuretics and steroids. Long term steroid controversial- evaluate CNS and ear function. Incidence of GERD medical and surgical (Nissen or Thal) treatment .
REFERENCES Areechon W, Reid L: Hypoplasia of the lung associated with congenital diaphragmatic hernia. Br Med J 1963; i: 230-233  Clark RH, Hardin WD Jr, Hirschl RB: Current surgical management of congenital diaphragmatic hernia: a report from the Congenital Diaphragmatic Hernia Study Group. J Pediatr Surg 1998 Jul; 33(7): 1004-9  Lally KP: Extracorporeal membrane oxygenation in patients with congenital diaphragmatic hernia. Semin Pediatr Surg 1996 Nov; 5(4): 249-55  NINOS: Inhaled nitric oxide and hypoxic respiratory failure in infants with congenital diaphragmatic hernia. The Neonatal Inhaled Nitric Oxide Study Group (NINOS). Pediatrics 1997 Jun; 99(6): 838-45
HAPPY MOTHER  AND CHILD
Hey Guys Thanks for listening

Congenital diaphragmatic hernia2

  • 1.
  • 2.
  • 3.
    CONGENITAL DIAPHRAGMATIC HERNIAHOW I DO IT? Dr.P.NARASIMHA REDDY M.D,DA PROFESSOR AND HOD, DEPT OF ANAESTHESIOLOGY, KURNOOL MEDICAL COLLEGE, KURNOOL .
  • 4.
  • 5.
    CONGENITAL DIAPHRAGMATIC HERNIAA 4 hours male infant weighing 3.5kg was referred from a taluk hospital Patient cyanosed and in respiratory distress How I should proceed? Preop Perop Postop
  • 6.
    CONGENITAL DIAPHRAGMATIC HERNIA INITIAL WORKUP : IV line, ?intra arterial line. Oxygen by mask. Nasogastric tube- decompress the stomach. Blood for INV.
  • 7.
    O/E : Infant in respiratory distress. Cyanosed PR:160/min RR:60/min BP:50/30mmHg Scaphoid abdomen Barrel chest Breath sounds decreased on left side Apparent Dextrocardia Bowel sounds on the left side of chest. CONGENITAL DIAPHRAGMATIC HERNIA
  • 8.
  • 9.
    INV: X ray chest: bowel loops in the chest Mediastinal shift with Ryles tube in situ showing the tip. X ray abdomen : Abdomen-relatively devoid of gas. Prenatal sonography : Bowel loops in the chest. CT& MRI : Defect in the diaphragm compressed fetal lung intestinal loops in the thorax. ABG : pH:7.2 paCO 2 >40mmHg paO 2 >60mmHg CONGENITAL DIAPHRAGMATIC HERNIA
  • 10.
  • 11.
  • 12.
  • 13.
  • 14.
    DIFFERENTIAL DIAGNOSIS Congenital cystic adenomatoid Malformation Pneumatocoele Congenital lobar emphysema Mediastinal cyst Eventration of diaphragm Aspiration syndromes Pleural effusion
  • 15.
    PREDICTION OF OUTCOMESymptoms : < 1hr – grave <6hrs-moderate(68%) >6hrs up to 24hrs-good(59%) >24hrs-very good(22%) 2) PCO 2 of 40mmHg, critical ventilation index of 1000, PaO 2 of 60-100mmHg, Post ductal PaO 2 >100 at least once in 24hrs. 3) 5 minute APGAR, birth wt, ventilation index, PaCO 2 & PaO 2 - Keshen et al, a complex equation. 4) Echo- left ventricular hypoplasia, prognosis-very bad. 5) Other congenital associated problems- poor prognosis.
  • 16.
    INITIAL TREATMENT Nasogastric tube- for continuous aspiration Patient in propped up position Mask ventilation should not be done Intubated , if not done already Ventilated with low pressures<30cms of H 2 O Respiratory rate 30-80/minute Paralysed Beware of pneumothorax - ipsi and contralateral side.
  • 17.
    INITIAL TREATMENT 8) Sedation - must be haemodynamically stable. 9) Surfactant therapy as early as possible to avoid barotrauma and valotrauma 10) Umbilical artery and venous catheters 11) Pulse oxymetry to know the shunting of blood 12) Fluids : optimum doses of crystalloids or colloids (be ware of pulmonary oedema)
  • 18.
    INITIAL TREATMENT 13) Ionotropes : Dopamine/Dobutamine to maintain BP at around 50mmHg. 14) Metabolic acidosis : Soda bicarb or THAM to maintain pH at 7.25 PCO 2 <60mmHg, SpO 2 at 75-85%. 15) Temperature: maintained at optimal levels.
  • 19.
    OTHER MODALITIES OFTREATMENT AIMS : To reduce PVR To prevent RT to lt shunt This can be accomplished by 1) Hyperventilation 2) Pharmacological therapy 1)Hyperventiation : HFO reduces PA pressures and resistance resulting in better oxygenation 2)Pharmacological: Tolazoline,PGE 1 and other drugs and ECMO. Tolazoline : α -adrenergic blocking agent, not specific to lungs. Complications like hypotension, tachycardia, thrombocytopenia seizures and arrhythmias. PGE 1 : it improves oxygenation by reducing PVR.
  • 20.
    Specialized treatment Hyperventilationand alkalinization : GOAL: pH>7.5 Complications: CNS and Ear problems and ODC shifted to left. Surfactant therapy : It improves oxygenation and reduces pulmonary vascular resistance. It is very effective if given prophylactically. High frequency jet ventilation : Very good control over PCO 2 patient improves within 1hour. If there is no improvement ECMO. Very good for patients who develop pneumothorax. Inhaled Nitric oxide : It is very good in PP HTN of new born Karama noukian- NO before ECMO- little response 1week after ECMO- sustained improvement Pts treated with surfactant, very good results. Liquid ventilation: Perflurocarbons are used to distend the lung provide gas exchange. Animal experiments show good results.
  • 21.
    ECMO ECMO : VV/VA. Indications: 1) Failure of medical treatment to reverse hypoxia. 2) Acute clinical deterioration 3) P[(A-a)O 2 ]>600mmHg for 8hrs 4) O 2 Index [(FIO 2 X MAP)/PaO] of 51 for 5hrs. 5) Failure to respond to maximal therapy. 6) Cardiac arrest. VA ECMO- Flow 100ML/KG/MIN Goals: PaO2:60-100mmHg PaCO 2 ;30-45mmHg. VV ECMO- Does not support cardiovascular function and PaO 2 less.
  • 22.
    ECMO Inclusion criteria: 1)80% predicted mortality with conventional therapy 2)34 week completed gestation. 3)Body wt 2kg. Exclusion criteria : 1) Evidence of IVH 2) Patient on mechanical ventilation for >10days. 3) hypoxia secondary to CHD. 4)Other anomalies influencing survival.
  • 23.
    ECMO Complications: 1)Canulation, ligation of right common carotid, right Internal Jugular vein 2) Heparinization 3) Blood products exposure 4) Sickness to face ECMO 5) ECMO circuit malfunction 6) Bleeding (CNS) 7) Hypertension
  • 24.
    IDEAL TIME FORSURGERY Early intervention is not necessary as previously thought. Trouble is with hypoplasia, low surfactant and Pul. Vas. Resistance but not due to herniation of viscera. Ideal time – controversial, some say 24hrs,but operated 7-10days after good stabilization and Echo findings showing decreased PVR is Ideal .
  • 25.
    Types of surgeriesRepair of CDH Lung transplant Lobe transplant
  • 26.
    PREMEDICATION No premedication required generally. MONITORS RESP : Precordial and esophageal steth. Capnometer Inspiratory pressure gauge ABG. CVS : ECG NIBP CVP Arterial line TEMP : Oesophageal and rectal temperature.
  • 27.
    INDUCTION & MAINTENANCEAwake intubation after preoxygenation. Patient is vigorous muscle relaxant is used No IPPV before intubation. Inhalational anaesthetics depending on the patient. Muscle relaxant and IPPV. Nitrous oxide should not be used. Ventilation with low pressures, high respiratory rate.
  • 28.
    TEMPERATURE MAINTENANCE Switchoff the Air conditioners. Maintain OT temp at 27 o C. Radiant warmers and heating blankets. Warm and humidified inspired gases. Warm IV, irrigating fluids and blood.
  • 29.
    PEROPERATIVE PROBLEMS Inabilityto close the abdomen - Silastic poutch (be ware of increased intra-abdominal pressure). Sudden deterioration at the end of surgery (pneumothorax). Hypothermia Blood loss Sometimes thoracic incisions may be necessary
  • 30.
    FLUID MAINTAINANCE Aims:to correct preop deficits, provide maintenance fluids, intra operative evaporative, third space and blood losses. Kidneys are immature and neonates are obligate sodium loosers, decreased glycogen store Maintainence fluids: 5% dextrose with1/2NS 4ML/KG/HR for preoperative looses, 8-10ml/kg/hr RL for peroperative looses. Blood loss if >10% must be replaced with blood.
  • 31.
    EXTUBATE OR CONTINUEVENTILATION If patient is vigorous and hernia is small patient, can be extubated after good assessment. If not elective ventilation is continued postoperatively. Hypoxemia may be improved by use of PEEP or CPAP. ICD must be placed on the diseased side and if necessary on the opposite side. No suction should be attached to this.
  • 32.
  • 33.
    POST-OP MANAGEMENT “Honeymoon period ” – Rapid recovery followed by sudden deterioration. Mortality depends on: 1) Pulmonary hypoplasia 2) Associated congenital defects 3) Inadequate preop preparation 4) Ineffective postop management
  • 34.
    Long term followup Severely affected neonates will have chronic lung problems treated with supplemental oxygen, diuretics and steroids. Long term steroid controversial- evaluate CNS and ear function. Incidence of GERD medical and surgical (Nissen or Thal) treatment .
  • 35.
    REFERENCES Areechon W,Reid L: Hypoplasia of the lung associated with congenital diaphragmatic hernia. Br Med J 1963; i: 230-233 Clark RH, Hardin WD Jr, Hirschl RB: Current surgical management of congenital diaphragmatic hernia: a report from the Congenital Diaphragmatic Hernia Study Group. J Pediatr Surg 1998 Jul; 33(7): 1004-9 Lally KP: Extracorporeal membrane oxygenation in patients with congenital diaphragmatic hernia. Semin Pediatr Surg 1996 Nov; 5(4): 249-55 NINOS: Inhaled nitric oxide and hypoxic respiratory failure in infants with congenital diaphragmatic hernia. The Neonatal Inhaled Nitric Oxide Study Group (NINOS). Pediatrics 1997 Jun; 99(6): 838-45
  • 36.
    HAPPY MOTHER AND CHILD
  • 37.
    Hey Guys Thanksfor listening