Community Interactions
Community Interactions Powerfully affect an ecosystem Include: Competition Predation Symbiosis
 
Competition When organisms of the same or different species attempt to use an ecological resource at the same place and the same time Resource   any necessity to life Plants and animals compete Winner and losers
Competition can be Interspecies or Intraspecies
Rules, rules, rules Fundamental rule in ecology Competitive Exclusion Principle No two species can occupy the same niche in the same habitat and the same time Prevents competition
 
Predation Interaction where an organism captures and feeds on another organism Predator Organism that does the killing and eating Prey Organism that is being killed and eaten (victim)
 
 
 
 
 
Symbiosis Any relationship where two species live closely together  Symbiosis literally means “living together” 3 main types Parasitism Mutualism Commensalism
What type of relationship is this? Who is helping who?
Mutualism is a form of symbiosis  Both species benefit from the relationship A Happy couple Flowers and bees Flowers need bees for pollination, bees need flowers nectar
An example of mutualism:  Ants and aphids  Ants  feed on the honeydew excreted by the  aphids , and in exchange, they protect the  aphids .
Flowers provide insects with nectar or food, and insects help flowers by pollinating them.
 
What type of relation ship is going on here? Who is helping who?
Commensalism   is a form of symbiosis  One member of the relationship benefits while the other is neither harmed nor helped One-sided Food or shelter Example: Barnacles on a whale
Commensalism
What type of interaction is going on here? Maggots on the the caterpillar
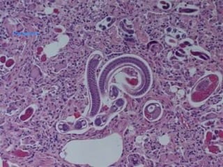
Parasitism One organism lives on or inside another organism and harms it Parasite obtains all or part of its nutrients from the other organism Host Organism that is harmed in relation ship; the one that provides the nutrients to the parasite Parasite Organism that gets its nutrients from the host Do they want to kill their host? No, because they need them…they will weaken or hurt the host in some way
Parasitism
Parasitism
 
 
Recap What are the three types of interactions in a community? Competition Predation Symbiosis What types do we have? Mutualism Commensalism Parasitism
Ecological Succession Do all ecosystems stay the same all the time? What are some things that cause changes to ecosystems? Natural and unnatural Quickly and slowly
Ecosystems are constantly changing in response to human  and natural disturbances.  As an ecosystem changes, older habitants die out and new organisms move in, causing more change
Ecological Succession Series of predictable changes that occur in a community over time Physical environment Natural disturbance Human disturbance
Primary Succession Succession on land that occurs on surfaces where no soil exists  Volcanic eruptions Glaciers melting
 
 
Stages of Primary Succession Start with no soil, just ash and rock First species to populate this area “ pioneer species” For example, pioneer species on volcanic rock are lichens (LY-kunz) Lichens   made up of fungus and algae that can grow on bare rock When lichens die, they for organic material that becomes soil…now plants can grow
Secondary Succession Succession following a disturbance that destroys a community without destroying the soil Natural  hurricane fires Human disturbances Farming Forest clearing
 
 
 
 
 
Succession in Marine Ecosystems Deep and dark Can succession happen? 1987 dead whale off of California Unique community of organisms living in remains Represents stage in succession in an otherwise stable, deep-sea ecosystem Whale-fall community
 
Whale-Fall Succession Begins when large whale dies Sinks to barren ocean floor Scavengers and decomposers flock to carcass , our first community Amphipods Hagfish sharks After a year, most tissues have been eaten Now, second small community of organisms live here Body is decomposing, releasing nutrients into the water Small fishes Crabs Snails worms Only skeleton remains… Third community moves in Heterotrophic bacteria Decompose oil in bones   release of chemical compounds Who uses these chemical compounds? Chemoosynthetic autotrophs In come the crabs, clams, and worms that feed on this bacteria
Teacher, Study Chemical reactions, enzymes, and Chapters 3 and 4

Community Interactions And Sucession

  • 1.
  • 2.
    Community Interactions Powerfullyaffect an ecosystem Include: Competition Predation Symbiosis
  • 3.
  • 4.
    Competition When organismsof the same or different species attempt to use an ecological resource at the same place and the same time Resource  any necessity to life Plants and animals compete Winner and losers
  • 5.
    Competition can beInterspecies or Intraspecies
  • 6.
    Rules, rules, rulesFundamental rule in ecology Competitive Exclusion Principle No two species can occupy the same niche in the same habitat and the same time Prevents competition
  • 7.
  • 8.
    Predation Interaction wherean organism captures and feeds on another organism Predator Organism that does the killing and eating Prey Organism that is being killed and eaten (victim)
  • 9.
  • 10.
  • 11.
  • 12.
  • 13.
  • 14.
    Symbiosis Any relationshipwhere two species live closely together Symbiosis literally means “living together” 3 main types Parasitism Mutualism Commensalism
  • 15.
    What type ofrelationship is this? Who is helping who?
  • 16.
    Mutualism is aform of symbiosis Both species benefit from the relationship A Happy couple Flowers and bees Flowers need bees for pollination, bees need flowers nectar
  • 17.
    An example ofmutualism: Ants and aphids Ants feed on the honeydew excreted by the aphids , and in exchange, they protect the aphids .
  • 18.
    Flowers provide insectswith nectar or food, and insects help flowers by pollinating them.
  • 19.
  • 20.
    What type ofrelation ship is going on here? Who is helping who?
  • 21.
    Commensalism is a form of symbiosis One member of the relationship benefits while the other is neither harmed nor helped One-sided Food or shelter Example: Barnacles on a whale
  • 22.
  • 23.
    What type ofinteraction is going on here? Maggots on the the caterpillar
  • 24.
    Parasitism One organismlives on or inside another organism and harms it Parasite obtains all or part of its nutrients from the other organism Host Organism that is harmed in relation ship; the one that provides the nutrients to the parasite Parasite Organism that gets its nutrients from the host Do they want to kill their host? No, because they need them…they will weaken or hurt the host in some way
  • 25.
  • 26.
  • 27.
  • 28.
  • 29.
    Recap What arethe three types of interactions in a community? Competition Predation Symbiosis What types do we have? Mutualism Commensalism Parasitism
  • 30.
    Ecological Succession Doall ecosystems stay the same all the time? What are some things that cause changes to ecosystems? Natural and unnatural Quickly and slowly
  • 31.
    Ecosystems are constantlychanging in response to human and natural disturbances. As an ecosystem changes, older habitants die out and new organisms move in, causing more change
  • 32.
    Ecological Succession Seriesof predictable changes that occur in a community over time Physical environment Natural disturbance Human disturbance
  • 33.
    Primary Succession Successionon land that occurs on surfaces where no soil exists Volcanic eruptions Glaciers melting
  • 34.
  • 35.
  • 36.
    Stages of PrimarySuccession Start with no soil, just ash and rock First species to populate this area “ pioneer species” For example, pioneer species on volcanic rock are lichens (LY-kunz) Lichens  made up of fungus and algae that can grow on bare rock When lichens die, they for organic material that becomes soil…now plants can grow
  • 37.
    Secondary Succession Successionfollowing a disturbance that destroys a community without destroying the soil Natural hurricane fires Human disturbances Farming Forest clearing
  • 38.
  • 39.
  • 40.
  • 41.
  • 42.
  • 43.
    Succession in MarineEcosystems Deep and dark Can succession happen? 1987 dead whale off of California Unique community of organisms living in remains Represents stage in succession in an otherwise stable, deep-sea ecosystem Whale-fall community
  • 44.
  • 45.
    Whale-Fall Succession Beginswhen large whale dies Sinks to barren ocean floor Scavengers and decomposers flock to carcass , our first community Amphipods Hagfish sharks After a year, most tissues have been eaten Now, second small community of organisms live here Body is decomposing, releasing nutrients into the water Small fishes Crabs Snails worms Only skeleton remains… Third community moves in Heterotrophic bacteria Decompose oil in bones  release of chemical compounds Who uses these chemical compounds? Chemoosynthetic autotrophs In come the crabs, clams, and worms that feed on this bacteria
  • 46.
    Teacher, Study Chemicalreactions, enzymes, and Chapters 3 and 4