ORTHODONTICSORTHODONTICS
CLASSIFICATION
OF
NORMAL OCCLUSION AND MALOCCLUSION.
Angle’s described –
• Normal occlusion
• Three types of malocclusion :-
•Angle’s class I malocclusion
• Angle’s class II malocclusion - division 1 and division 2
• Angle’s class III malocclusion
ANGLE’S CLASSIFICATION OF NORMAL OCCLUSION
Mesiobuccal cusp of upper first permanent molar
occludes into the buccal developmental groove of the
lower first permanent molar.
The teeth were arranged on a smoothly curving line
of occlusion.
First permanent molar relation
BSI – Class I
Canine - Class I
Molar - Class I
The line of occlusion
- is a smooth ( catenary) curve passing through the central
fossa of each upper molar and across the cingulum of the
upper canine and incisor teeth.
-The same line runs along the buccal cusps and incisal edges
of the lower teeth , thus specifying the occlusal as well as
interarch relationshiop once the molar position is
established.
Line of occlusion
ANGLE’S CLASSIFICATION OF MALOCCLUSION.
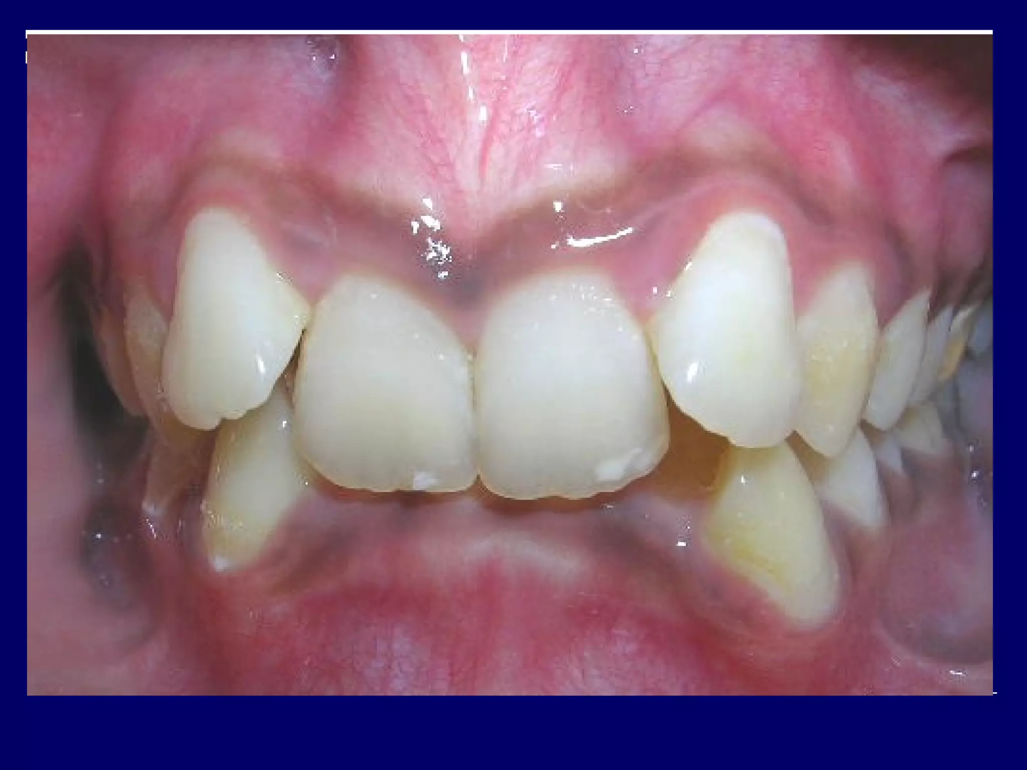
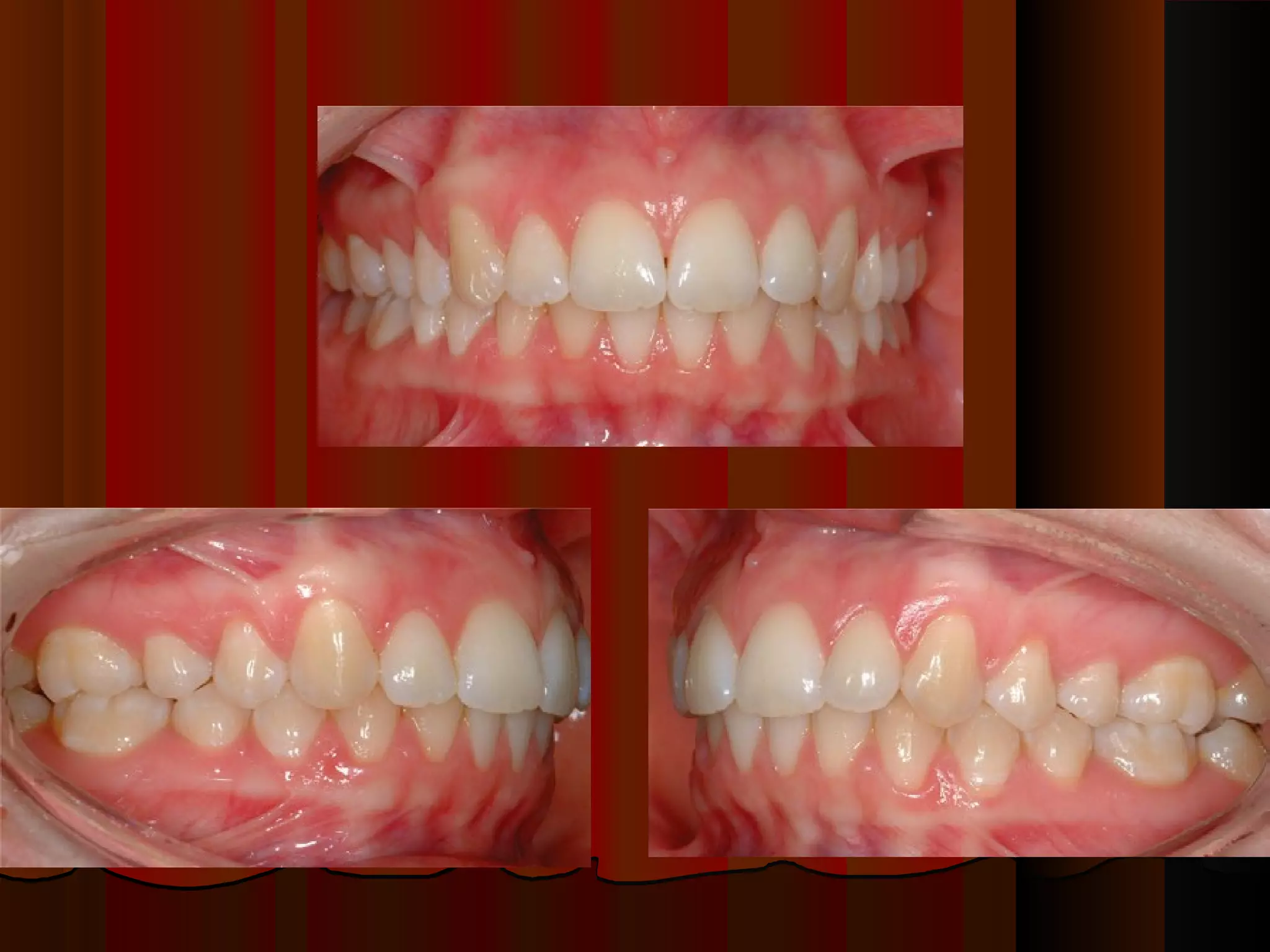
CLASS I MALOCCLUSION.
Mesiobuccal cusp of upper first permanent molar
occludes into the buccal developmental groove of the
lower first permanent molar.
Line of occlusion is incorrect.
There may be crowding, spacings, rotated teeth,
supernumerary tooth etc.
Missing teeth with spacing
Missing teeth with spacing
Peg shaped laterals
Supernumerary teeth
Fused teeth
CLASS II MALOCCLUSION
Mesiobuccal cusp of upper first permanent molar
occludes mesial to the buccal develipmental groove of the
lower first permanent molar.
Line of occlusion not specified.
There may be normal or abnormal line of occlusion.
Class II malocclusion is subdivided into two types.
Class II division 1 malocclusion
Molar relation is class II
The upper insisors are proclined.
Class II division 2 malocclusion.
Molar relation is class II
The upper insisors are retroclined.
The laterals are overlapped the centrals
and the overbite is usually deep.
CLASS III MALOCCLUSION.
The upper first permanent molar occludes distal to the
buccal developmental groove of the lower first permanent
molar.
Line of occlusion not specified.
Shortcoming of Angle’s classification
(Drawback of Angle’s classification )
1 - First permanent molar is more prone to caries as it is the first tooth to
erupt into the mouth.
The loss of interproximal tooth material due to class II caries can lead
to mesial shift of the first molar giving a false molar relationship.
2 - If the first permanent molar has been extracted in other of the arches,
molar relationship cannot be used for classification.
3 - Reduction of mesio-distal dimension of the deciduous teeth with
interproximal caries may lead to shortening of the arch length.
This leads to drifting of the first permanent molars giving a false
relationship.
4 - Premature loss of deciduous teeth will lead to loss of space and
mesial drift of the first permanent molars which gives a false
relationship.
5 - Morphology variation of first permanent molars can lead to tooth size
discrepancy between upper and lower first molars giving misleading
information.
6 - Whatever the relationship , molar relationship is a poor assessment of
sagittal skeletal relationship .
Critical reliance on the molar relationship as representation of the
underlying skeletal pattern is the major shortcoming of Angle’s
classification.
7 - This classification system takes into account only antero-posterior
relationship of the arches , but the dental arches are related to each
other in all three planes of space.
In Angle’s classification both transverse and vertical dimensions are
not taken into account.
BRITISH STANDARD INCISOR CLASSIFICATION.
• First described by Ballard and Wayman (1964) and adopted
in UK as British Standard Institute’s classification of
malocclusion.(1983)
• Based upon the relation between the lower incisor edges and
the cingulum plateau of the upper central incisors.
Definitions.
Class I
• The lower incisor edges occlude with or lie
immediately below the cingulum plateau of
the upper central incisors.
Class II .
The lower incisor edges lie posterior to the
cingulum plateau of the upper central incisors.
Division 1- the overjet is increased and the
upper central incisors are usually proclined.
Division.2 - the upper central incisors are
retroclined, the overjet is usually minimal
but may be increased.
B- division 1
C- division 2
Class III .
The lower incisor edges lie anterior to the cingulum
plateau of the upper central incisors.
The overjet is reduced or reversed.
CLASSIFICATION OF OCCLUSION USING CANINE
RELATIONSHIP
Class I canine relationship – The upper permanent canine
occludes in the embrasure between the lower permanent canine
and the first premolar.
Class II canine relationship --
Class II – the maxillary permanent canine occludes in front of
the embrasure between mandibular canine and first premolar;
Class III canine relationship –
Class III – the maxillary permanent canine occludes behind the
embrasure between mandibular canine and first premolar.
Skeletal pattern / skeletal classification
 The anteroposterior relation of the maxilla and the
mandible is usually defined by the ‘skeletal pattern’ as
determined from the profile examination.
• For assessment of skeletal pattern requires placing the
patient in the physiologic natural head position , the head
position the individual adopts in the absence of other cues.
• This can be done with the patient either sitting upright or
standing, but not reclining in a dental chair , and looking at
the horizon or a distant object.
• With the head in this position , note the relationship between
two lines, one dropped from the bridge of the nose to the
base of the upper lip, and a second one extending from that
point downward to the chin .
•These line segments should form a nearly straight line.
( Skeletal Class I jaw relationship )
• An angle between them indicates either profile convexity
(upper jaw prominent relative to chin) .This convex profile
indicatesa skeletal Class II jaw relationship .
• Profile concavity (upper jaw behind chin) . This concave
profile indicates a skeletal Class III jaw relationship.
Class II Class I Class III

CLASSIFICATION OF NORMAL OCCLUSION AND MALOCCLUSION.

  • 1.
  • 2.
  • 3.
    Angle’s described – •Normal occlusion • Three types of malocclusion :- •Angle’s class I malocclusion • Angle’s class II malocclusion - division 1 and division 2 • Angle’s class III malocclusion
  • 4.
    ANGLE’S CLASSIFICATION OFNORMAL OCCLUSION Mesiobuccal cusp of upper first permanent molar occludes into the buccal developmental groove of the lower first permanent molar. The teeth were arranged on a smoothly curving line of occlusion.
  • 5.
  • 6.
    BSI – ClassI Canine - Class I Molar - Class I
  • 7.
    The line ofocclusion - is a smooth ( catenary) curve passing through the central fossa of each upper molar and across the cingulum of the upper canine and incisor teeth. -The same line runs along the buccal cusps and incisal edges of the lower teeth , thus specifying the occlusal as well as interarch relationshiop once the molar position is established.
  • 8.
  • 9.
    ANGLE’S CLASSIFICATION OFMALOCCLUSION. CLASS I MALOCCLUSION. Mesiobuccal cusp of upper first permanent molar occludes into the buccal developmental groove of the lower first permanent molar. Line of occlusion is incorrect. There may be crowding, spacings, rotated teeth, supernumerary tooth etc.
  • 12.
    Missing teeth withspacing Missing teeth with spacing
  • 13.
  • 14.
  • 16.
    CLASS II MALOCCLUSION Mesiobuccalcusp of upper first permanent molar occludes mesial to the buccal develipmental groove of the lower first permanent molar. Line of occlusion not specified. There may be normal or abnormal line of occlusion. Class II malocclusion is subdivided into two types.
  • 19.
    Class II division1 malocclusion Molar relation is class II The upper insisors are proclined.
  • 21.
    Class II division2 malocclusion. Molar relation is class II The upper insisors are retroclined. The laterals are overlapped the centrals and the overbite is usually deep.
  • 23.
    CLASS III MALOCCLUSION. Theupper first permanent molar occludes distal to the buccal developmental groove of the lower first permanent molar. Line of occlusion not specified.
  • 27.
    Shortcoming of Angle’sclassification (Drawback of Angle’s classification ) 1 - First permanent molar is more prone to caries as it is the first tooth to erupt into the mouth. The loss of interproximal tooth material due to class II caries can lead to mesial shift of the first molar giving a false molar relationship. 2 - If the first permanent molar has been extracted in other of the arches, molar relationship cannot be used for classification.
  • 28.
    3 - Reductionof mesio-distal dimension of the deciduous teeth with interproximal caries may lead to shortening of the arch length. This leads to drifting of the first permanent molars giving a false relationship. 4 - Premature loss of deciduous teeth will lead to loss of space and mesial drift of the first permanent molars which gives a false relationship. 5 - Morphology variation of first permanent molars can lead to tooth size discrepancy between upper and lower first molars giving misleading information.
  • 29.
    6 - Whateverthe relationship , molar relationship is a poor assessment of sagittal skeletal relationship . Critical reliance on the molar relationship as representation of the underlying skeletal pattern is the major shortcoming of Angle’s classification. 7 - This classification system takes into account only antero-posterior relationship of the arches , but the dental arches are related to each other in all three planes of space. In Angle’s classification both transverse and vertical dimensions are not taken into account.
  • 31.
    BRITISH STANDARD INCISORCLASSIFICATION. • First described by Ballard and Wayman (1964) and adopted in UK as British Standard Institute’s classification of malocclusion.(1983) • Based upon the relation between the lower incisor edges and the cingulum plateau of the upper central incisors.
  • 32.
    Definitions. Class I • Thelower incisor edges occlude with or lie immediately below the cingulum plateau of the upper central incisors.
  • 33.
    Class II . Thelower incisor edges lie posterior to the cingulum plateau of the upper central incisors. Division 1- the overjet is increased and the upper central incisors are usually proclined. Division.2 - the upper central incisors are retroclined, the overjet is usually minimal but may be increased. B- division 1 C- division 2
  • 34.
    Class III . Thelower incisor edges lie anterior to the cingulum plateau of the upper central incisors. The overjet is reduced or reversed.
  • 36.
    CLASSIFICATION OF OCCLUSIONUSING CANINE RELATIONSHIP Class I canine relationship – The upper permanent canine occludes in the embrasure between the lower permanent canine and the first premolar.
  • 37.
    Class II caninerelationship -- Class II – the maxillary permanent canine occludes in front of the embrasure between mandibular canine and first premolar;
  • 38.
    Class III caninerelationship – Class III – the maxillary permanent canine occludes behind the embrasure between mandibular canine and first premolar.
  • 40.
    Skeletal pattern /skeletal classification  The anteroposterior relation of the maxilla and the mandible is usually defined by the ‘skeletal pattern’ as determined from the profile examination. • For assessment of skeletal pattern requires placing the patient in the physiologic natural head position , the head position the individual adopts in the absence of other cues. • This can be done with the patient either sitting upright or standing, but not reclining in a dental chair , and looking at the horizon or a distant object.
  • 41.
    • With thehead in this position , note the relationship between two lines, one dropped from the bridge of the nose to the base of the upper lip, and a second one extending from that point downward to the chin . •These line segments should form a nearly straight line. ( Skeletal Class I jaw relationship ) • An angle between them indicates either profile convexity (upper jaw prominent relative to chin) .This convex profile indicatesa skeletal Class II jaw relationship . • Profile concavity (upper jaw behind chin) . This concave profile indicates a skeletal Class III jaw relationship.
  • 42.
    Class II ClassI Class III