CLASS III MALOCCLUSION
DdYEEDr Hla Hla Yee
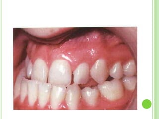
INCISOR RELATIONSHIP
 Class III incisor relationship (The lower incisor edges lie anterior to
the cingulum plateau of the upper central incisors)
 In mild cases , the incisors meet in an edge to edge relationship , when
there may be an anterior mandibular displacement to obtain a
posterior occlusion .This exaggerates the class III incisor relationship.
( or )
 In very mild cases , there is compensatory proclination of upper incisors
and compensatory retroclination of lower incisors resulting in class I
incisor relationship.
 In more severe cases , there is an appreciable reverse overjet with
normal path of closure.
BSI ---Class III
Anterior and posterior crossbite
Premature contact Anterior
displacement
Premature contact Anterior displacement
CANINE RELATIONSHIP
 The upper canine occludes a whole tooth width further
posterior than normal and occludes in the embrasure
between lower first premolar and second premolar.
Buccal segment relationship
 Angle’s class III molar relationship.
 May be class I in mild to moderate class III cases , if
molar position has not been changed due to mesial drift.
BSI -- CLASS III
CANINE -- CLASS III
MOLAR – CLASS III
TRANSVERSE OCCLUSION
 The upper arch is often narrow and short. Therefore , the upper
arch is frequently crowded.
 The lower arch is broad , therefore , the lower arch may be
spaced.
 In case with slight narrowing of the upper arch leading to equal
width between upper and lower arches , there may be
unilateral displacement leading to unilateral cross bite.
 There may be bilateral crossbite in severe discrepancy cases.
NARROW UPPER ARCH LARGER
LOWER ARCH
OVERBITE
 No overbite in edge to edge occlusion.
 May be increase in moderately severe cases, in which
the intermaxillary height is reduced and the lower
incisors lie anterior to the upper.
 The skeletal openbite may be seen in increased anterior
intermaxillary height cases.
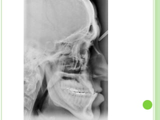
SKELETAL RELATIONSHIPS
Antero-posterior relationship
 The skeletal pattern is usually classIII
 The skeletal discrepancy may be exaggerated due to
forward displacement of mandible.
Vertical relationship
 Normal or increase or decreased.
SKELETAL---CLASS III
TRANSVERSE RELATIONSHIP
 As the mandible is occluding with the narrow part of the maxilla
due to antero- posterior discrepancy , there is obvious
transverse discrepancy in the occlusion.
 There may be true transverse deficiency of the maxilla .
 When the maxillary basal bone is slightly narrower than the
mandible , the buccal teeth may meet tip to tip resulting in
lateral mandibular displacement to obtain maximum
intercuspation.
 If the discrepancy is severe , the transverse discrepancy will be
visible in the occlusion as bilateral buccal crossbite.
BILATERAL POSTERIOR CROSSBITE
LATERAL DISPLACEMENT OF MAMDIBLE (TO RIGHT SIDE )
LOWER ARCH – CENTRE LINE SHIFT TO RIGHT SIDE
LATERAL DISPLACEMENT LEADING TO UNILATERAL CROSSBITE
ON RIGHT SIDE
FACIAL GROWTH
 Is usually unfavourable.
 The prognathism of the mandible relative to the maxilla will
increase with further growth.
 In mild case , the occlusion may be maintained with
dentoalveolar adaptation and compensation.
 In cases with posterior mandibular rotation , further growth may
increase the tendency to develop anterior openbite as the
vertical growth of the mandible may exceed the growth potential
of the alveolar bone.
PROGNATHIC MANDIBLE
SOFT TISSUE
 Do not play any role in the development of the malocclusion.
 Tend to encourage dentoalveolar compensations to reduce the
severity of malocclusion.
 Lips maintain in competent in cases with anteroposterior and
vertical discrepancy.
 There will be an adaptive tongue thrust with tongue to upper
lips contact to obtain anterior oral seal , in cases with gross lip
incompetence due to skeletal discrepancy.
 The lower lip may be full and pendulous. Therefore
, the lower incisors may be proclined and
exaggerating the reverse overjet.
 If the volume of the oral cavity is reduced , the
tongue may have to be postured forward to avoid
encroachment on the airway and therefore dental
relapse may occur.
MANDIBULAR PATH OF CLOSURE
 If the anteroposterior discrepancy is mild , there will
be an anterior crossbite with anterior mandibular
displacement.
 In cases with transverse discrepancy , there will be
lateral mandibular displacement with unilateral
crossbite.
 If the path of closure is not corrected , it may ever
lead to mandibular dysfunction.

Class III Malocclusion

  • 1.
  • 2.
    INCISOR RELATIONSHIP  ClassIII incisor relationship (The lower incisor edges lie anterior to the cingulum plateau of the upper central incisors)  In mild cases , the incisors meet in an edge to edge relationship , when there may be an anterior mandibular displacement to obtain a posterior occlusion .This exaggerates the class III incisor relationship. ( or )  In very mild cases , there is compensatory proclination of upper incisors and compensatory retroclination of lower incisors resulting in class I incisor relationship.  In more severe cases , there is an appreciable reverse overjet with normal path of closure.
  • 3.
    BSI ---Class III Anteriorand posterior crossbite
  • 4.
  • 5.
  • 7.
    CANINE RELATIONSHIP  Theupper canine occludes a whole tooth width further posterior than normal and occludes in the embrasure between lower first premolar and second premolar. Buccal segment relationship  Angle’s class III molar relationship.  May be class I in mild to moderate class III cases , if molar position has not been changed due to mesial drift.
  • 8.
    BSI -- CLASSIII CANINE -- CLASS III MOLAR – CLASS III
  • 10.
    TRANSVERSE OCCLUSION  Theupper arch is often narrow and short. Therefore , the upper arch is frequently crowded.  The lower arch is broad , therefore , the lower arch may be spaced.  In case with slight narrowing of the upper arch leading to equal width between upper and lower arches , there may be unilateral displacement leading to unilateral cross bite.  There may be bilateral crossbite in severe discrepancy cases.
  • 11.
    NARROW UPPER ARCHLARGER LOWER ARCH
  • 12.
    OVERBITE  No overbitein edge to edge occlusion.  May be increase in moderately severe cases, in which the intermaxillary height is reduced and the lower incisors lie anterior to the upper.  The skeletal openbite may be seen in increased anterior intermaxillary height cases.
  • 13.
    SKELETAL RELATIONSHIPS Antero-posterior relationship The skeletal pattern is usually classIII  The skeletal discrepancy may be exaggerated due to forward displacement of mandible. Vertical relationship  Normal or increase or decreased.
  • 14.
  • 15.
    TRANSVERSE RELATIONSHIP  Asthe mandible is occluding with the narrow part of the maxilla due to antero- posterior discrepancy , there is obvious transverse discrepancy in the occlusion.  There may be true transverse deficiency of the maxilla .  When the maxillary basal bone is slightly narrower than the mandible , the buccal teeth may meet tip to tip resulting in lateral mandibular displacement to obtain maximum intercuspation.  If the discrepancy is severe , the transverse discrepancy will be visible in the occlusion as bilateral buccal crossbite.
  • 16.
  • 17.
    LATERAL DISPLACEMENT OFMAMDIBLE (TO RIGHT SIDE ) LOWER ARCH – CENTRE LINE SHIFT TO RIGHT SIDE LATERAL DISPLACEMENT LEADING TO UNILATERAL CROSSBITE ON RIGHT SIDE
  • 18.
    FACIAL GROWTH  Isusually unfavourable.  The prognathism of the mandible relative to the maxilla will increase with further growth.  In mild case , the occlusion may be maintained with dentoalveolar adaptation and compensation.  In cases with posterior mandibular rotation , further growth may increase the tendency to develop anterior openbite as the vertical growth of the mandible may exceed the growth potential of the alveolar bone.
  • 19.
  • 23.
    SOFT TISSUE  Donot play any role in the development of the malocclusion.  Tend to encourage dentoalveolar compensations to reduce the severity of malocclusion.  Lips maintain in competent in cases with anteroposterior and vertical discrepancy.  There will be an adaptive tongue thrust with tongue to upper lips contact to obtain anterior oral seal , in cases with gross lip incompetence due to skeletal discrepancy.
  • 24.
     The lowerlip may be full and pendulous. Therefore , the lower incisors may be proclined and exaggerating the reverse overjet.  If the volume of the oral cavity is reduced , the tongue may have to be postured forward to avoid encroachment on the airway and therefore dental relapse may occur.
  • 25.
    MANDIBULAR PATH OFCLOSURE  If the anteroposterior discrepancy is mild , there will be an anterior crossbite with anterior mandibular displacement.  In cases with transverse discrepancy , there will be lateral mandibular displacement with unilateral crossbite.  If the path of closure is not corrected , it may ever lead to mandibular dysfunction.