Class II malocclusions
Class II division 1
Class II division2
Class II malocclusion
• Class II malocclusion includes those anomalies where
the mesiobuccal cusp of maxillary first permanent molar
occludes mesial to the buccal developmental groove of
the lower first permanent molar.
• This may or may not associated with alignment ,
dentitional and spaced problems.
• Class II malocclusion usually occurs on the skeletal II
dental base, but may also occur on skeletal I base
Class II malocclusion is divided into
Class II, division 1 - if the incisors are proclined
Class II, division 2 - if the incisors are retroclined.
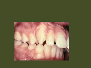
Class II, div 1 malocclusion
Class II, div 2 malocclusion
Class II division 1 malocclusion
 Most common type of malocclusion demanding
orthodontic treatment because of the prominence of the
upper incisors affecting facial aesthetics.
Occlusal features
Incisal relation
 Class II incisor relation with increased overjet.
 The upper incisors are usually proclined or of
average inclination if the underlying cause is
maxillary skeletal protrusion.
 The overbite is usually deep and complete.
 Incomplete overbite may be associated with
abnormal swallowing or soft tissue behavior.
Buccal segment relation.
 First permanent molar relation is usually class II ,
reflecting the underlying skeletal pattern II.
 The molar relation may be class I if the skeletal pattern
is class I or if associated with early loss of primary
molars leading to mesial drift of the lower molars.
 Crowding , spacings , rotations , crossbites , openbites
and other dental anomalies may be associated with
class II division 1 malocclusions.
Skeletal relation
Anteroposterior relation
 The skeletal pattern is generally class II.
 In which case the anteroposterior arch discrepancy
(overjet) reflects the severity of the underlying skeletal
discrepancy.
 The skeletal pattern may be class I, in which case, the
anteroposterior arch discrepancy is caused by finger
sucking habit or alveolar dental protrusion.
Vertical
 There is wide variation of vertical relationship.
 Anterior facial height may be average or reduced.
 In some cases there may be increased lower facial height
with high mandibular plane angle.
 The lower incisors may be proclined to compensate the
severity of the underlying skeletal discrepancy.
Facial growth
 Associated with varying patterns of facial growth.
 Anteriorly directed mandibular growth with signs of
anterior mandibular growth rotation.
 This growth direction is usually favourable as the
continuing facial growth improves the facial profile.
 Vertically directed mandibular growth with signs of
posterior growth rotation.
 This growth direction is usually unfavourable as the
continuing facial growth further exacerbate the
overjet and anterior facial height.
 Lips are grossly incompetent and does not improve
with treatment.
 Such growth direction can be predicted by :
- mandibular plane angle,
- gonial angle and
Soft tissues
 The level and action of lips and adaptation of the tongue
is determined by the severity of the anteroposterior and
vertical skeletal dysplasia.
 In mild skeletal discrepancy, the lips are usually
competent or potentially competent and can obtain an
anterior oral seal without undue effort.
 In severe skeletal discrepancy, the lips are grossly
incompetent and the tongue has to move forward
to reach the lower lip and obtain an anterior oral
seal.
 Thus the eruption of the lower incisors will be
impeded resulting in incomplete overbite.
Path of mandibular closure and mandibular position
 In moderately severe class II division 1 cases , the
mandible is usually positioned forward in an attempt to
achieve anterior oral seal without undue effort and to
improve the facial esthetics.(habitual rest position)
 In this position the mandibular condyle is not in centric
relation position.
 During closure from the habitual rest position to centric
occlusion position the mandible has to move upward and
backward into centric relation position.
 This mandibular deviation during closure from rest
to centric relation position should be detected
clinically to correctly diagnose the severity of both
skeletal and occlusal discrepancy.
 In patients with small or narrow maxilla , the
mandible may be displaced laterally, due to
premature occlusal contact.
Class II division 2 malocclusion
• The clinical features of class II division 2 malocclusion is
characterized by the interaction of both the
anteroposterior and vertical dimensions of the skeletal
bases .
Occlusal features
Incisal relation
 Class II incisal relation – the lower incisor edge occludes
posterior to the cingulum plateau of the upper incisor.
 The angulation of upper incisors are retroclined.
 In crowded arch , the lateral incisors are usually proclined ,
mesiolabially rotated and overlap the centrals.
 The overbite is usually deep and complete.
 In some cases traumatic to the labial or palatal gingiva or
with gingiva recession.
 The severe the discrepancy in anteroposterior relation of
incisors, the greater the depth of the overbite
Buccal segment relation
Molar relation
 Full unit class II molar relation is rare.
 Mild class II molar relation is common.
 May be class I cases in cases with bimaxillary
retroclination.
 Transversely, there may be a crossbite which is usually
confined to premolar region.
Skeletal relation
Anteroposterior relation
 The skeletal pattern is usually mild class II but could be
class I.
Vertical relation
 The lower facial height is often reduced.
 Low mandibular plane angle, maxillomandibular plane angle
and the gonial angle is acute and well developed.
 Forward growth rotation of the mandible resulting in well
developed chin and pleasing facial profile.
 In extremely low angle class II division 1 cases, forward
growth rotation of mandible could result in protrusive chin.
Transverse relation
 The maxillary basal bone is usually broad and well
developed relative to mandibular basal bone.
 In severe transverse discrepancy, there may be crossbite
usually in premolar region.
 In mild to moderate discrepancy, the upper molars and
premolars may be lingually inclined to compensate
transverse skeletal discrepancy.
Soft tissues
 The lips are usually competent and relax.
 The lip line is high relative to upper incisor crowns.
 The greater the retroclination of incisors, the higher the
lip line.
 The labiomental fold is usually deep with prominent chin.
Path of mandibular closure and mandibular position
 In cases with deep overbite, protruding lip and prominent
chin , the patient may adopt the habitual mandibular
posture in a slightly forward and opened position.
 This may lead to mandibular backward deviation during
closure from rest to centric position.
 There may be limitations in mandibular lateral movement in
cases with deep overbite and mandibular backward
deviation.

Class II malocclusion

  • 1.
    Class II malocclusions ClassII division 1 Class II division2
  • 2.
    Class II malocclusion •Class II malocclusion includes those anomalies where the mesiobuccal cusp of maxillary first permanent molar occludes mesial to the buccal developmental groove of the lower first permanent molar. • This may or may not associated with alignment , dentitional and spaced problems. • Class II malocclusion usually occurs on the skeletal II dental base, but may also occur on skeletal I base
  • 3.
    Class II malocclusionis divided into Class II, division 1 - if the incisors are proclined Class II, division 2 - if the incisors are retroclined.
  • 4.
    Class II, div1 malocclusion Class II, div 2 malocclusion
  • 5.
    Class II division1 malocclusion  Most common type of malocclusion demanding orthodontic treatment because of the prominence of the upper incisors affecting facial aesthetics.
  • 6.
    Occlusal features Incisal relation Class II incisor relation with increased overjet.  The upper incisors are usually proclined or of average inclination if the underlying cause is maxillary skeletal protrusion.  The overbite is usually deep and complete.  Incomplete overbite may be associated with abnormal swallowing or soft tissue behavior.
  • 11.
    Buccal segment relation. First permanent molar relation is usually class II , reflecting the underlying skeletal pattern II.  The molar relation may be class I if the skeletal pattern is class I or if associated with early loss of primary molars leading to mesial drift of the lower molars.  Crowding , spacings , rotations , crossbites , openbites and other dental anomalies may be associated with class II division 1 malocclusions.
  • 12.
    Skeletal relation Anteroposterior relation The skeletal pattern is generally class II.  In which case the anteroposterior arch discrepancy (overjet) reflects the severity of the underlying skeletal discrepancy.  The skeletal pattern may be class I, in which case, the anteroposterior arch discrepancy is caused by finger sucking habit or alveolar dental protrusion.
  • 13.
    Vertical  There iswide variation of vertical relationship.  Anterior facial height may be average or reduced.  In some cases there may be increased lower facial height with high mandibular plane angle.  The lower incisors may be proclined to compensate the severity of the underlying skeletal discrepancy.
  • 14.
    Facial growth  Associatedwith varying patterns of facial growth.  Anteriorly directed mandibular growth with signs of anterior mandibular growth rotation.  This growth direction is usually favourable as the continuing facial growth improves the facial profile.
  • 15.
     Vertically directedmandibular growth with signs of posterior growth rotation.  This growth direction is usually unfavourable as the continuing facial growth further exacerbate the overjet and anterior facial height.  Lips are grossly incompetent and does not improve with treatment.  Such growth direction can be predicted by : - mandibular plane angle, - gonial angle and
  • 16.
    Soft tissues  Thelevel and action of lips and adaptation of the tongue is determined by the severity of the anteroposterior and vertical skeletal dysplasia.  In mild skeletal discrepancy, the lips are usually competent or potentially competent and can obtain an anterior oral seal without undue effort.
  • 17.
     In severeskeletal discrepancy, the lips are grossly incompetent and the tongue has to move forward to reach the lower lip and obtain an anterior oral seal.  Thus the eruption of the lower incisors will be impeded resulting in incomplete overbite.
  • 19.
    Path of mandibularclosure and mandibular position  In moderately severe class II division 1 cases , the mandible is usually positioned forward in an attempt to achieve anterior oral seal without undue effort and to improve the facial esthetics.(habitual rest position)  In this position the mandibular condyle is not in centric relation position.  During closure from the habitual rest position to centric occlusion position the mandible has to move upward and backward into centric relation position.
  • 20.
     This mandibulardeviation during closure from rest to centric relation position should be detected clinically to correctly diagnose the severity of both skeletal and occlusal discrepancy.  In patients with small or narrow maxilla , the mandible may be displaced laterally, due to premature occlusal contact.
  • 21.
    Class II division2 malocclusion • The clinical features of class II division 2 malocclusion is characterized by the interaction of both the anteroposterior and vertical dimensions of the skeletal bases .
  • 22.
    Occlusal features Incisal relation Class II incisal relation – the lower incisor edge occludes posterior to the cingulum plateau of the upper incisor.  The angulation of upper incisors are retroclined.
  • 23.
     In crowdedarch , the lateral incisors are usually proclined , mesiolabially rotated and overlap the centrals.  The overbite is usually deep and complete.  In some cases traumatic to the labial or palatal gingiva or with gingiva recession.  The severe the discrepancy in anteroposterior relation of incisors, the greater the depth of the overbite
  • 24.
    Buccal segment relation Molarrelation  Full unit class II molar relation is rare.  Mild class II molar relation is common.  May be class I cases in cases with bimaxillary retroclination.  Transversely, there may be a crossbite which is usually confined to premolar region.
  • 25.
    Skeletal relation Anteroposterior relation The skeletal pattern is usually mild class II but could be class I.
  • 26.
    Vertical relation  Thelower facial height is often reduced.  Low mandibular plane angle, maxillomandibular plane angle and the gonial angle is acute and well developed.  Forward growth rotation of the mandible resulting in well developed chin and pleasing facial profile.  In extremely low angle class II division 1 cases, forward growth rotation of mandible could result in protrusive chin.
  • 27.
    Transverse relation  Themaxillary basal bone is usually broad and well developed relative to mandibular basal bone.  In severe transverse discrepancy, there may be crossbite usually in premolar region.  In mild to moderate discrepancy, the upper molars and premolars may be lingually inclined to compensate transverse skeletal discrepancy.
  • 28.
    Soft tissues  Thelips are usually competent and relax.  The lip line is high relative to upper incisor crowns.  The greater the retroclination of incisors, the higher the lip line.  The labiomental fold is usually deep with prominent chin.
  • 29.
    Path of mandibularclosure and mandibular position  In cases with deep overbite, protruding lip and prominent chin , the patient may adopt the habitual mandibular posture in a slightly forward and opened position.  This may lead to mandibular backward deviation during closure from rest to centric position.  There may be limitations in mandibular lateral movement in cases with deep overbite and mandibular backward deviation.