Clinical features of malocclusion
 Angle’s classify –Angle’s classify –
- one normal occlusion- one normal occlusion
- three types of malocclusion- three types of malocclusion
- class I malocclusion- class I malocclusion
- class II malocclusion- class II malocclusion
- class III malocclusion- class III malocclusion
Angle’s Class I Malocclusion
Class I malocclusions
Class I malocclusions include
-those anomalies where the anteroposterior relationship of
lower and upper arches is within normal limits
-there may be transverse and/or vertical malrelationships.
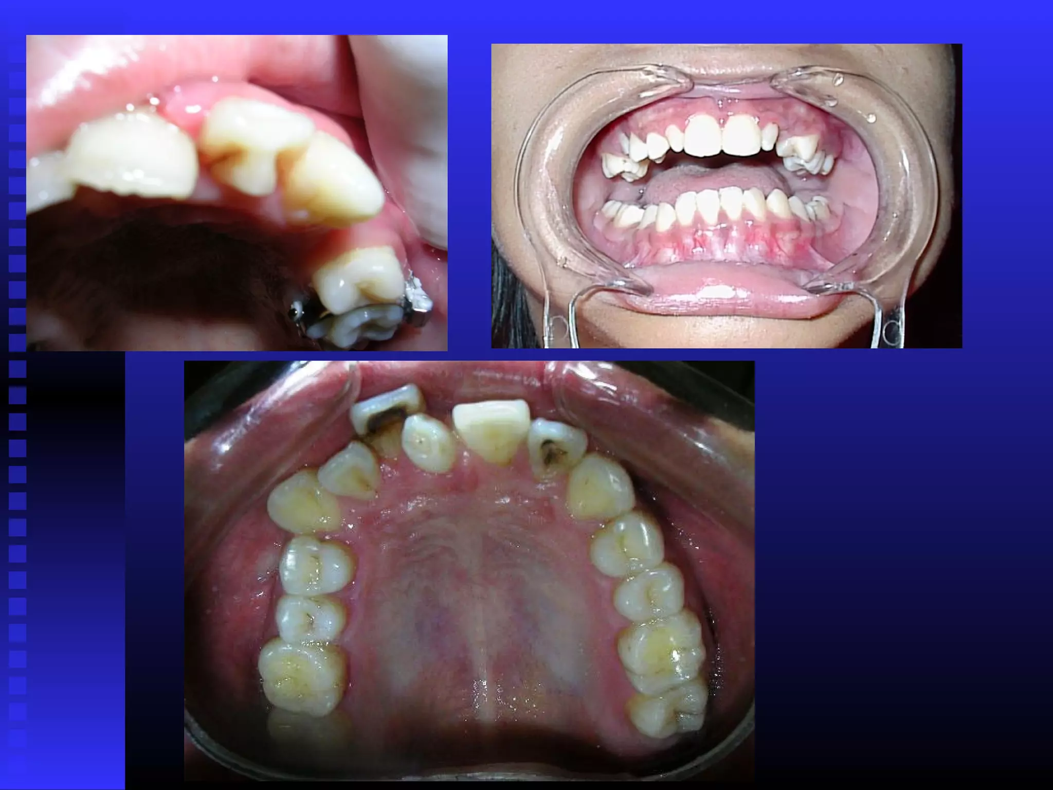
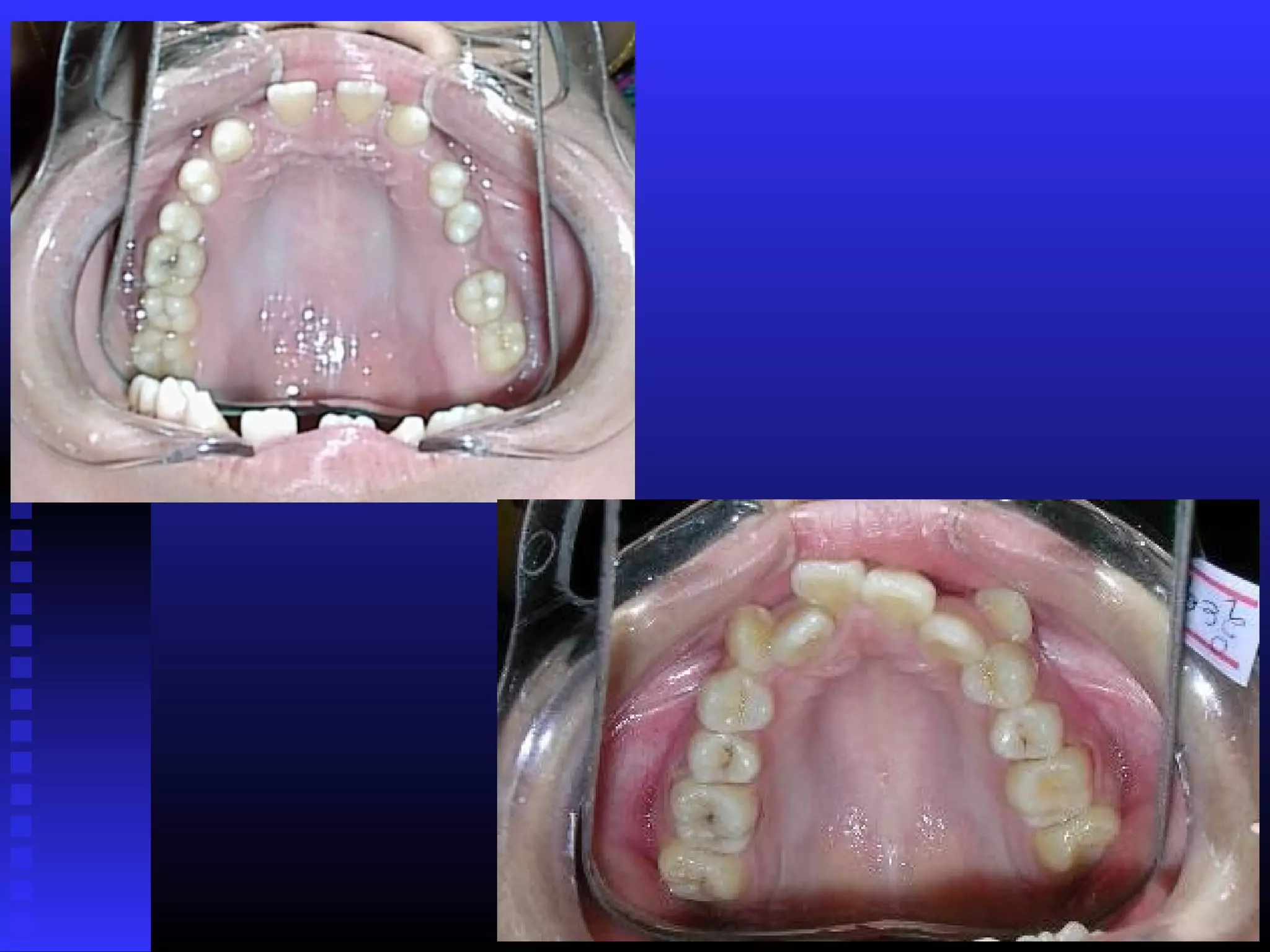
-there may be crowding, spacing and local irregularities
secondary to early loss, developmental anomalies,
which are the most common contributors for class I
malocclusions.
Usually class I -- first permanent molar,
canine relation and
incisor
Straight facial profile
Openbite Crossbite
Clinical features
Occlusal relation
Incisor relation
Class I incisor relation
- Ideal incisor relation (lower incisor edge occlude with the
cingulum plateau of the upper incisor)
- Anterior openbite (the incisors are in class I relation but no
vertical overlapping)
- Bimaxillary proclination (the incisors are in class I relation
but both upper and lower incisors are proclined with
abnormal angulation)
Canine relation
-Usually in class I relation but may be class II or class III if
there is crowding or early loss.
Molar relation
- First permanent molar relation is usually class I.
- May be class II or class III if there is mesial drift of
permanent molars due to early loss of primary molars.
Skeletal relation
Anteroposterior skeletal relation
- Skeletal pattern is usually class I
- May be mild class II and class III.
- Dentoalveolar compensation usually occurs to achieve class I
incisor relation.
- In mild class II skeletal pattern, the lower incisors are usually
proclined.
-In mild class III skeletal pattern, the lower incisors are retroclined
and the upper incisors proclined.
Vertical skeletal relation
• Usually maxillary and mandibular basal bones are normally related
in vertical plane, producing normal incisor overbite.
• In cases with increased vertical dimension, there may be varying
degrees of anterior open bite depending on the severity of vertical
dysplasia and potential for tooth eruption.
Facial growth
• Usually there is normal facial growth.
• The anteroposterior and vertical skeletal relation does not change
with further facial growth and the occlusion is usually stable.
• Mild degree of unfavoural facial growth is usually compensated by
dentoalveolar adaptations compensating tooth eruption.
Soft tissues
• Class I malocclusions usually has a favourable or balanced soft
tissue features with normal function.
• However, in cases with-
- bimaxillary dentoalveolar protrusion, the lips may be full and everted
-increased vertical height, the lips may be incompetent resulting in an
adaptive tongue thrust.
Dentoalveolar
• Most class I malocclusions are presenting with crowding due to
tooth size arch size discrepancy.
• Crowding may be superimposed with local factors such as early
loss ,
supernumerary.
• Occasionally, spacings and median diastema may be present.
Mandibular position and path of mandibular closure
• The path of closure is usually normal no centric occlusion and
centric relation discrepancy.
• However, if there is severe crowding or crossbite, the mandible may
be displaced due to premature contact, resulting in centric
occlusion and centric relation discrepancy.

Class I Malocclusions

  • 1.
    Clinical features ofmalocclusion  Angle’s classify –Angle’s classify – - one normal occlusion- one normal occlusion - three types of malocclusion- three types of malocclusion - class I malocclusion- class I malocclusion - class II malocclusion- class II malocclusion - class III malocclusion- class III malocclusion
  • 2.
    Angle’s Class IMalocclusion
  • 3.
    Class I malocclusions ClassI malocclusions include -those anomalies where the anteroposterior relationship of lower and upper arches is within normal limits -there may be transverse and/or vertical malrelationships. -there may be crowding, spacing and local irregularities secondary to early loss, developmental anomalies, which are the most common contributors for class I malocclusions.
  • 4.
    Usually class I-- first permanent molar, canine relation and incisor
  • 5.
  • 6.
  • 10.
    Clinical features Occlusal relation Incisorrelation Class I incisor relation - Ideal incisor relation (lower incisor edge occlude with the cingulum plateau of the upper incisor) - Anterior openbite (the incisors are in class I relation but no vertical overlapping) - Bimaxillary proclination (the incisors are in class I relation but both upper and lower incisors are proclined with abnormal angulation) Canine relation -Usually in class I relation but may be class II or class III if there is crowding or early loss. Molar relation - First permanent molar relation is usually class I. - May be class II or class III if there is mesial drift of permanent molars due to early loss of primary molars.
  • 11.
    Skeletal relation Anteroposterior skeletalrelation - Skeletal pattern is usually class I - May be mild class II and class III. - Dentoalveolar compensation usually occurs to achieve class I incisor relation. - In mild class II skeletal pattern, the lower incisors are usually proclined. -In mild class III skeletal pattern, the lower incisors are retroclined and the upper incisors proclined.
  • 12.
    Vertical skeletal relation •Usually maxillary and mandibular basal bones are normally related in vertical plane, producing normal incisor overbite. • In cases with increased vertical dimension, there may be varying degrees of anterior open bite depending on the severity of vertical dysplasia and potential for tooth eruption. Facial growth • Usually there is normal facial growth. • The anteroposterior and vertical skeletal relation does not change with further facial growth and the occlusion is usually stable. • Mild degree of unfavoural facial growth is usually compensated by dentoalveolar adaptations compensating tooth eruption.
  • 13.
    Soft tissues • ClassI malocclusions usually has a favourable or balanced soft tissue features with normal function. • However, in cases with- - bimaxillary dentoalveolar protrusion, the lips may be full and everted -increased vertical height, the lips may be incompetent resulting in an adaptive tongue thrust. Dentoalveolar • Most class I malocclusions are presenting with crowding due to tooth size arch size discrepancy. • Crowding may be superimposed with local factors such as early loss , supernumerary. • Occasionally, spacings and median diastema may be present.
  • 14.
    Mandibular position andpath of mandibular closure • The path of closure is usually normal no centric occlusion and centric relation discrepancy. • However, if there is severe crowding or crossbite, the mandible may be displaced due to premature contact, resulting in centric occlusion and centric relation discrepancy.