Chronic inflammation
SLOs
• Define
• Characteristics
• Types
• Cells involved
• Granulomatous reaction
Definition
• Inflammation of prolonged duration
(weeks to years) in which continuing
inflammation, tissue injury, and healing,
often by fibrosis, proceed simultaneously
Charaterictics
• Infiltration with mononuclear cells
• Tissue destruction
• Repair
Settings: Antigens cannot be
eliminated
• Persistent infections : Tuberculosis
(Delayed-type hypersensitivity)
• Immune-mediated inflammatory diseases :
autoimmune diseases & allergic diseases
• Prolonged exposure to potentially toxic
agents: Silica
• Alzheimer disease, atherosclerosis,
metabolic syndrome
Macrophages
Macrophages
• dominant cells
• circulating blood monocytes
• Mononuclear phagocyte system
• migrate within 24 to 48 hours
Role of macrophage
• ingest and eliminate microbes and dead
tissues
• initiate the process of tissue repair
• secrete mediators of inflammation
• display antigens to T lymphocytes and
respond to signals from T cells
Lymphocytes
Lymphocytes
• T Lymphocytes – CD4 , CD 8
• B Lymphocytes
• Plasma cells
Types of CD4 Lymphocytes
• TH1 cells : IFN-γ – activates macrophages
• TH2 cells : IL-4, IL-5, and IL-13 - recruit
and activate eosinophils and macrophages
• TH17 cells : IL-17 – recruit neutrophils and
monocytes
• TH1 and TH17 cells : bacteria, viruses and
autoimmune diseases
• TH2 cells: helminthic parasites and
allergic inflammation
Eosinophils
• parasitic infections
• Immune reactions mediated by IgE
• major basic protein
– toxic to parasites
– epithelial cell necrosis
Mast cells
• Connective tissue
• IgE armed
• allergic reactions including anaphylactic
shock
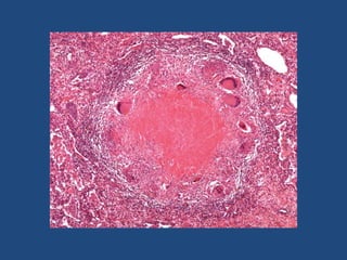
Granulomatous
• characterized by aggregates of activated
macrophages with scattered lymphocytes
• “walls off” the offending agent
Settings
• persistent T-cell responses
– Tuberculosis
• Immune mediated inflammatory diseases
– Crohn’s disease
• unknown etiology
– Sarcoidosis
• inert foreign bodies
– Suture
Summary
• Response to persistent stimulus
• Microbes that resist elimination, antigens and
• toxic substances
• Persistent inflammation, tissue injury, repair
• Activated macrophages, lymphocytes, and
plasma cells, often with prominent fibrosis
• Mediated by cytokines with a tendency to
amplify and prolong inflammatory response

Chronic inflammation

  • 1.
  • 2.
    SLOs • Define • Characteristics •Types • Cells involved • Granulomatous reaction
  • 3.
    Definition • Inflammation ofprolonged duration (weeks to years) in which continuing inflammation, tissue injury, and healing, often by fibrosis, proceed simultaneously
  • 4.
    Charaterictics • Infiltration withmononuclear cells • Tissue destruction • Repair
  • 5.
    Settings: Antigens cannotbe eliminated • Persistent infections : Tuberculosis (Delayed-type hypersensitivity) • Immune-mediated inflammatory diseases : autoimmune diseases & allergic diseases • Prolonged exposure to potentially toxic agents: Silica • Alzheimer disease, atherosclerosis, metabolic syndrome
  • 6.
  • 7.
    Macrophages • dominant cells •circulating blood monocytes • Mononuclear phagocyte system • migrate within 24 to 48 hours
  • 9.
    Role of macrophage •ingest and eliminate microbes and dead tissues • initiate the process of tissue repair • secrete mediators of inflammation • display antigens to T lymphocytes and respond to signals from T cells
  • 10.
  • 11.
    Lymphocytes • T Lymphocytes– CD4 , CD 8 • B Lymphocytes • Plasma cells
  • 12.
    Types of CD4Lymphocytes • TH1 cells : IFN-γ – activates macrophages • TH2 cells : IL-4, IL-5, and IL-13 - recruit and activate eosinophils and macrophages • TH17 cells : IL-17 – recruit neutrophils and monocytes
  • 13.
    • TH1 andTH17 cells : bacteria, viruses and autoimmune diseases • TH2 cells: helminthic parasites and allergic inflammation
  • 15.
    Eosinophils • parasitic infections •Immune reactions mediated by IgE • major basic protein – toxic to parasites – epithelial cell necrosis
  • 16.
    Mast cells • Connectivetissue • IgE armed • allergic reactions including anaphylactic shock
  • 17.
    Granulomatous • characterized byaggregates of activated macrophages with scattered lymphocytes • “walls off” the offending agent
  • 20.
    Settings • persistent T-cellresponses – Tuberculosis • Immune mediated inflammatory diseases – Crohn’s disease • unknown etiology – Sarcoidosis • inert foreign bodies – Suture
  • 21.
    Summary • Response topersistent stimulus • Microbes that resist elimination, antigens and • toxic substances • Persistent inflammation, tissue injury, repair • Activated macrophages, lymphocytes, and plasma cells, often with prominent fibrosis • Mediated by cytokines with a tendency to amplify and prolong inflammatory response