Cerebral Aneurysm
Evaluator: Mr L Anand Presenter: Shruti Shirke
[Asso professor, CON AIIMS BBSR] M.Sc Neuroscience Nursing
Introduction
• A cerebral aneurysm is a saccular outpouching of a cerebral
artery. Intracranial saccular aneurysms or berry aneurysms
account for approximately 80% to 90% of all intracranial
aneurysms and are the most common cause of non-traumatic
subarachnoid hemorrhage.
Introduction cont..
• These small, berry-like projections occur at arterial bifurcations
in the circle of Willis.
• With other shapes such as pedunculated, sessile, and
multilobulated aneurysms occasionally seen.
• Rupture of a cerebral aneurysm usually results in a
subarachnoid hemorrhage (SAH)
Definition
• A cerebral aneurysm
is defines as the
pathological dilation
at branching cerebral
arteries.
Definition by:
• A cerebral aneurysm is a weak or thin spot on a blood vessel in the brain that balloons out and fills with
blood. A cerebral aneurysm can press on a nerve or surrounding tissue in the brain, and also leak or burst,
which lets blood spill into surrounding tissues (called a hemorrhage). Cerebral aneurysms can occur at any
age, although they are more common in adults than in children and are more common in women than in men.
These aneurysms can occur anywhere in the brain. Some small aneurysms may not show signs and are usually
detected during imaging tests for other medical conditions. The signs and symptoms of an unruptured
cerebral aneurysm will partly depend on its size and rate of growth. A larger aneurysm that is steadily growing
may produce symptoms such as numbness, pain above and behind the eye, and paralysis on one side of the
face. Immediately after an aneurysm ruptures, an individual may experience such symptoms as a sudden and
unusually severe headache, nausea, vision impairment, vomiting, and loss of consciousness.
Epidemiology
• 1-6% of population
• SAH in 8-10: 100000 person per year
• 1-2% risk for hemorrhage for un-ruptured aneurysm
• 85% of non-traumatic SAH ruptured intracranial aneurysm
• Age 40-60
• Female 60%
• Mortality 50%
• 25% die before reaching hospital
• 1/3 of survivors dependent for care
• Almost ½ will have cognitive impairment
Classification (size)
Classification (shape)
• Berry aneurysm: most common type; berry or saccular shaped
with a neck or stem.
• Fusiform aneurysm: an outpouching of an arterial wall, without
a stem.
Classification (etiology) cont..
• Mycotic (infectious) aneurysm: rare; caused by septic emboli
from infections, such as bacterial endocarditis; may lead to
aneurysmal formation
• Charcot-Bouchard aneurysm: microscopic aneurysmal
formation associated with hypertension; involves the basal ganglia
and brainstem.(less than 300 micrometer diameter blood vessels)
Classification (etiology) cont..
• Traumatic aneurysm: any aneurysm resulting from a traumatic
head injury (accounts for a small number)
• Dissecting aneurysm: related to atherosclerosis, inflammation,
or trauma; an aneurysm in which the intimal layer is pulled away
from the medial layer and blood is forced between the layers
Hunt-Hess grading
WFNS (world federation of neurosurgical
societies)
Fisher grading scale (amount of blood on CT
scan is a predictor of vasospasm)
Location
• 85% to 95% in the carotid system, with the following three
most common locations:
• A-comm is the single most common: 30%
• ACA are more common in males
• P-comm: 25% (females)
• MCA: 20%
Location cont..
• 5% to 15% in the posterior circulation (vertebrobasilar arteries)
• About 10% on BA: basilar bifurcation, known as basilar tip, most common
followed by basilar artery–superior cerebellar artery (BA-SCA), basilar artery–
vertebral artery (BA-VA) junction, and AICA
• About 5% on vertebral artery (VA) and posterior inferior cerebellar artery
(PICA) junction is the most common
• Fusiform aneurysms are more common in the vertebrobasilar system
• 20% to 30% of patients who suffer an aneurysm will have multiple aneurysms
Etiology / Risk factors
Smoking/Ath
erosclerosis
Hypertension
Alcohol
intake
FHx
Genetics:
Ehler Danlos,
PCKD
Recreational
sympathomi
metic drugs
Multiple
factors
Infection Trauma
Familial intracranial aneurysms
• Familial intracranial aneurysms are generally defined as the
presence of two or more family members among first- and second-
degree relatives with proven aneurysmal SAH or incidental
aneurysms
• Incidence of familial aneurysms among SAH patients is 6% to
20%.
Pathophysiology/aneurysm
formation to rupture
Tissue
degradation
Inflammation
Hemodynamics Genetics
Hormonal
Environmental Drugs
Trauma
Multiple factors
Cont…
Vessel wall
weakening and
enlargement
Rupture
Presentation
• Severe headache (known as a “thunderclap headache”) in the
days to weeks before the index episode of bleeding, known as a
“warning headache.”
• Thunderclap headaches develop in seconds, achieve maximal
intensity in minutes, and can last hours to days.
• All patients who present with thunderclap headaches should be
evaluated immediately for SAH
Sign and Symptoms
Symptoms associated with cerebral aneurysms and SAH are as follows:
Headache Facial pain
Alteration in
consciousne
ss
Seizures
Manifestatio
n of
meningeal
irritation
Autonomic
disturbances
Focal
neurological
complaints
Visual
symptoms
Respiratory
dysfunction
Cardiovascu
lar
instability
Hormonal
dysfunction
Un-ruptured Aneurysm
• In approximately 40% of cases, there are warning signs, often called prodromal signs.
• Dilated pupil (loss of light reflex; oculomotor nerve [cranial nerve (CN) III] deficit)
• Extraocular movement deficits of the oculomotor (CN III), trochlear (CN IV) or
abducens (CN VI) cranial nerves
• Possible ptosis (oculomotor nerve [CN III] deficit)
• Pain above and behind eye
• Localized headache
• Nuchal rigidity (neck pain on flexion)
• Possible photophobia
Aneurysmal SAH
• Nuchal rigidity
• Decrease level of consciousness
• Subhyloid hemorrhages
• Pupillary abnormalities (typically dilated)
• Opthalmoplegia
• Cranial neuropathy
• Focal deficit
Aneurysm of AComA
• Altitudinal visual field deficit
• Abulia or akinetic mutism
• Amnestic syndrome
• Hypothalamic dysfunction
Diagnosis
• The first diagnostic test should be a non-contrast CT scan
• Although magnetic resonance imaging continues to advance and
detects aneurysms, standard magnetic resonance imaging is
inferior to CT for the detection of acute SAH. CT remains the
imaging method of choice because of its wider availability, lower
cost, and greater convenience for sick patients and because there is
a greater experience with its interpretation.
Diagnosis cont..
• Lumbar puncture should be performed in a patient whose clinical
presentation suggests SAH and whose CT scan is negative. “Traumatic
taps” occur in up to 20% of lumbar punctures and must be
differentiated from true hemorrhages.
• Xanthochromia is the primary criterion of subarachnoid hemorrhage in
patients with negative CT scans.
• Some believe that the presence of erythrocytes, even in the absence of
xanthochromia, is more accurate.
Diagnosis cont..
CT Scan (no contrast)
MRI
DSA digital subtraction angiography
MR Angio
LP
CT angiogram
Transcranial Doppler
CT Scan (no contrast)
Nonenhanced CT image of the brain shows
diffuse acute subarachnoid hemorrhage, which
is most prominent in the basal cisterns and
sylvian fissures. There is a 2.9-cm left
parasellar mass (arrow) with peripheral
calcification, a finding consistent with an
aneurysm. Note the intraventricular
hemorrhage and hydrocephalus (enlargement
of the occipital horns of the lateral ventricles).
DSA digital substraction
angiography
CT angiogram
MR angiogram
MRI
40 year old woman presents to the Eye Clinic
with a new onset of "double vision“
Right Sixth Cranial Nerve Palsy (Abducen
palsy)
Axial
MR - T2 weighted
There is a giant (>25mm) aneurysm in the
right cavernous sinus. There is another,
smaller ICA aneurysm in the left cavernous
sinus. The eyes show dysconjugate gaze, with
the right eye unable to move laterally - an
abducens (6th) nerve palsy.
DWI
Unruptured Aneurysms
• Most patients are completely asymptomatic until the time of bleeding.
• In approximately 40% of cases, there are warning signs, often called
prodromal signs.
• Prodromal signs may suggest the location of the aneurysm or
enlargement of the lesion.
• Small intermittent aneurysmal leakage of blood may result in
generalized headache, neck pain, upper back pain, nausea, and
vomiting.
Unruptured Aneurysms cont..
• Dilated pupil (loss of light reflex; oculomotor nerve [cranial nerve (CN) III]
deficit)
• Extraocular movement deficits of the oculomotor (CN III), trochlear (CN IV)
or abducens (CN VI) cranial nerves
• Possible ptosis (oculomotor nerve [CN III] deficit)
• Pain above and behind eye
• Localized headache
• Nuchal rigidity (neck pain on flexion)
• Possible photophobia
Ruptured Aneurysm
• SAH is a type of intracranial hemorrhage in which bleeding occurs into the
subarachnoid space. It accounts for 6% to 8% of all strokes and continues to be
a significant cause of morbidity and mortality.
• There is a possible reduced occurrence of SAH in some premenopausal
women, especially those without a smoking history.
• Hormone replacement reduced the risk in postmenopausal women who had
never smoked.
• African-American population is twice that of whites.
• Age related differences are detected, with increasing incidence of SAH with
age.
Initial approach to medical
Management
Goals of initial medical management include:
• Augmenting cerebral blood flow (CBF) by:
• Increasing cerebral perfusion pressure (CPP)
• Improving blood rheology
• Maintaining euvolemia (the majority of patients become
hypovolemic in the first 24 hours after SAH)
• Maintaining normal ICP
• Neuroprotection
Initial Management Concerns
• Rebleeding—the major concern during the initial workup.
Maximal frequency of rebleeding is in the first day (4% on day 1,
then 1.5% daily for 13 days). Between 15% and 20% rebleed within
14 days, and 50% will rebleed within 6 months; thereafter, the risk
is 3%/year with a mortality of 2%/year.
• Acute hydrocephalus—usually obstructive because of
obstruction of CSF by a blood clot
Initial Management Concerns cont..
• Delayed ischemic neurological deficit most likely related to
vasospasm
• Hyponatremia with hypovolemia (CSW)
• Deep venous thrombosis (DVT) and pulmonary embolism
• Seizure
• Determining source of bleeding
Nursing responsibilities include:
• Vital signs with neurological checks every hour
• O2 saturation monitoring
• Bed rest with head of bed (HOB) elevated by 30 degrees
• Low level of external stimulation; restricted visitation
• Strict intake and output (I&O) record
• Thigh-high antiembolic (TED) and pneumatic compression boots
• Indwelling urinary catheter if patient is lethargic, incontinent, or
unable to void
Fluid Volume Control
• Early aggressive fluid therapy may
prevent cerebral salt wasting.
• Normal saline IV solution with 20 mEq
KCl/L at 2 mL/kg/hr
• 5% albumin, 500 mL over 6 hours,
started immediately at admission
v
Blood Pressure Control
• In the early hours after rupture, blood pressure is commonly
elevated, probably reflecting a physiologic response to increased
ICP. As ICP is decreased, the blood pressure also decreases. If
the blood pressure continues to be elevated owing to increased
ICP from mass effect of cerebral edema or a hematoma,
mannitol may be administered.
• Hypertension is controlled to prevent re-bleeding.
v
Blood Pressure Control cont..
• The drug is beneficial for two reasons: (1) it decreases cerebral
edema and neurological deficits, and (2) it improves CBF.
Decreased cerebral edema lowers the ICP and blood pressure.
• The goal of therapy is to maintain the systolic blood pressure
between 120 and 150 mm Hg. Systolic pressures above this level are
treated with drugs such as labetalol, nitroprusside, or nicardipine.
v
Drug Therapy
• The following drugs are usually ordered for the patient with an
aneurysmal rupture:
• The calcium channel blocker nimodipine (Nimotop) 60 mg q4h orally
through nasogastric tube, initiated within 96 hours of SAH, is given for
21 consecutive days. Nimodipine may also be given 30 mg q2h as it can
decrease blood pressure significantly.
• Anticonvulsants may be given as prophylaxis against seizures. Phenytoin
is the usual agent used; provide a load with 17 mg/kg, maintenance with
5 mgkg in three divided doses.
Drug Therapy cont..
• Stool softeners prevent constipation and straining at stool, which results
in initiation of Valsalva’s maneuver, increased ICP, and increased blood
pressure, which in turn can cause rebleeding of the aneurysm.
• Use of steroids is controversial; however, some believe it is beneficial for
treatment of cerebral edema and the inflammatory effect of the
meningeal irritation.
• A typical regimen is Dexona taper: 4 mg PO/IV/NG q6h 1 day; 3 mg
PO/IV/NG q6h 2 days; 2 mg PO/IV/NG q6h 2 days; 1 mg PO/IV/NG
q6h* 1 day
Drug Therapy cont..
• Pantoprazole 20 mg PO daily or ranitidine 150 mg PO bid to prevent
gastric irritation from steroids and antacids such as Mylanta 30 mL
PO/NG QID PRN
• Analgesics (acetaminophen or codeine/morphine) are administered as
necessary to control headache.
• Sedatives may be prescribed, because an agitated patient is at risk for
elevated blood pressure.
• Heparin 5000 units SQ bid or Fragmin 2500 units SQ daily to help
prevent emboli
Drug Therapy cont..
• Insulin (regular
human) drip
sliding scale may
be ordered.
Drug Therapy cont..
• Replacement of minerals such as potassium, magnesium, calcium,
and phosphorus is necessary based on laboratory testing.
Magnesium 1000 mg PO tid is a frequently seen order. Magnesium
level should be greater than 1.8.
• Mg: decrease neuromuscular irritability, play role in insulin
sensitivity, increase glucose tolerance.
Surgical/interventional treatment
•Clipping
• Clipping techniques. (A) Straight clip for small aneurysms. (B)
Curved clip to reconstruct the vessel. (C) Fenestrated clip encircles
the middle cerebral artery to keep it open while clipping the
aneurysm. (D) Fenestrated clip encircles the internal carotid artery
to occlude the neck of an inferiorly directed aneurysm.
Clipping strategies with fenestrated clips. (A) Here, a side-deflected
fenestrated clip is used to occlude the aneurysm neck while reconstructing the neck
of the A2 vessel. (B) An angled fenestrated clip reconstructs the anterior
communicating artery, saving perforating branches. (C) Two fenestrated clips are
used to clip a wide neck aneurysm.
Endovascular Treatment of Aneurysms
v
• In those patients in whom giant aneurysms can be surgically
clipped with acceptable risks of morbidity and mortality, that
approach remains the treatment of choice because the
embolization option does not appear to offer the same durability of
protection from rupture.
Endovascular Treatment of Aneurysm cont..
Coiling
Parent
vessels
occlusion
Balloon
Remodelling
Technique
Stents and
Treatment
Parent Vessel Occlusion
• Parent vessel occlusion (PVO) is a traditional method
for treating aneurysms that are not amenable to direct
coiling/clipping or particularly complex saccular or
fusiform aneurysms.
• Dissecting aneurysms of the internal carotid or vertebral
arteries and fusiform aneurysms without a well-defined
neck may be eliminated by trapping or proximal occlusion.
Stents and Treatment
• A stent refers to a device used to hold a skin graft in position.
• A stent is a coil or mesh tube that is introduced into the body through a catheter in a
constrained form. The device is deployed by various mechanisms. The device’s
original role was thought to be to:
• 1. Prevent elastic recoil of a vessel after balloon angioplasty by holding a vessel open
to a predetermined diameter
• 2. Prevent dissection after balloon angioplasty by pushing the dissected layers against
one another and against the arterial wall
• 3. Provide a cylindrical vessel lumen wall by forcing asymmetric plaques eccentrically
Balloon Remodelling
Technique
Nursing management of the patient
with an aneurysm
• Pain (headache, neck/back pain) related to (R/T) meningeal
irritation
• Sensory/Perceptual Alterations, Visual, R/T photophobia
secondary to meningeal irritation
• High Risk for Injury R/T seizure activity secondary to cerebral
irritation
• Anxiety (mild, moderate, or severe) R/T illness and/or restrictions
of aneurysm precautions
• High Risk for Secondary Brain Injury R/T rebleeding or cerebral
vasospasms
Pain (headache, neck/back pain) related
to (R/T) meningeal irritation
• Assess the type, location, and specific characteristics of the
headache.
• Assess the patient for pain and other signs and symptoms of
meningeal irritation.
• Reposition the patient gently, avoiding any unnecessary movement
of the neck or head.
• Administer analgesics as ordered.
• Darken the patient’s room.
• Apply a cold, wet cloth or ice pack to the patient’s head for
comfort.
Sensory/Perceptual Alterations
• Note any evidence of discomfort when assessing direct light response of
the pupils.
• Maintain a darkened room by drawing the blinds or shades and
avoiding direct light.
• Maintain seizure precautions.
• Monitor the patient for any signs of seizure activity and document in
the patient’s chart.
• Administer anticonvulsant drugs prophylactically, as ordered.
Anxiety (mild, moderate, or severe) R/T
illness
• Assess the patient for objective and subjective evidence of anxiety.
• If anxiety is present, try to identify the specific causes.
• Attempt to clarify, control, or change the circumstances surrounding the
anxiety.
• Make appropriate referrals, as necessary.
• Reassure the patient.
• Depending on the patient’s level of consciousness, use imagery, relaxation
techniques, and other methods to control anxiety
High Risk for Secondary Brain Injury R/T
re-bleeding or cerebral vasospasms
• Administer sedatives, if ordered.
• Assess neurological signs frequently for evidence of neurological
deterioration.
• Report immediately any significant changes in the patient’s condition.
• Recognize the peak times of occurrence of rebleeding and vasospasm.
• If deterioration occurs, implement nursing protocols and standing
orders so that ischemic response is treated.
•Thankyou
Reference
• Brown, R. (1999). Natural history of intracranial aneurysms. Neurovascular Update: Present
Practices and Future Directions
• Rinkel, G. J., Djibuti, M., Algra, A., & van Gijn, J. (1998). Prevalence and risk of rupture of
intracranial aneurysms: A systematic review. Stroke, 29, 251–256
• Wiebers, D. O., Piepgras, D. G., Meyer, F. B., et al. (2004). Pathogenesis, natural history, and
treatment of unruptured intracranial aneurysms. Mayo Clinic Proceedings, 79, 1572–1583
• Schievink, W. I. (1997). Intracranial aneurysms. New England Journal of Medicine, 336, 28–
40.
• Edlow, J. A., & Caplan, L. R. (2000). Avoiding pitfalls in the diagnosis of subarachnoid
hemorrhage. New England Journal of Medicine, 342, 29–36
Cerebral aneurysm

Cerebral aneurysm

  • 2.
    Cerebral Aneurysm Evaluator: MrL Anand Presenter: Shruti Shirke [Asso professor, CON AIIMS BBSR] M.Sc Neuroscience Nursing
  • 4.
    Introduction • A cerebralaneurysm is a saccular outpouching of a cerebral artery. Intracranial saccular aneurysms or berry aneurysms account for approximately 80% to 90% of all intracranial aneurysms and are the most common cause of non-traumatic subarachnoid hemorrhage.
  • 5.
    Introduction cont.. • Thesesmall, berry-like projections occur at arterial bifurcations in the circle of Willis. • With other shapes such as pedunculated, sessile, and multilobulated aneurysms occasionally seen. • Rupture of a cerebral aneurysm usually results in a subarachnoid hemorrhage (SAH)
  • 6.
    Definition • A cerebralaneurysm is defines as the pathological dilation at branching cerebral arteries.
  • 7.
    Definition by: • Acerebral aneurysm is a weak or thin spot on a blood vessel in the brain that balloons out and fills with blood. A cerebral aneurysm can press on a nerve or surrounding tissue in the brain, and also leak or burst, which lets blood spill into surrounding tissues (called a hemorrhage). Cerebral aneurysms can occur at any age, although they are more common in adults than in children and are more common in women than in men. These aneurysms can occur anywhere in the brain. Some small aneurysms may not show signs and are usually detected during imaging tests for other medical conditions. The signs and symptoms of an unruptured cerebral aneurysm will partly depend on its size and rate of growth. A larger aneurysm that is steadily growing may produce symptoms such as numbness, pain above and behind the eye, and paralysis on one side of the face. Immediately after an aneurysm ruptures, an individual may experience such symptoms as a sudden and unusually severe headache, nausea, vision impairment, vomiting, and loss of consciousness.
  • 8.
    Epidemiology • 1-6% ofpopulation • SAH in 8-10: 100000 person per year • 1-2% risk for hemorrhage for un-ruptured aneurysm • 85% of non-traumatic SAH ruptured intracranial aneurysm • Age 40-60 • Female 60% • Mortality 50% • 25% die before reaching hospital • 1/3 of survivors dependent for care • Almost ½ will have cognitive impairment
  • 12.
  • 13.
    Classification (shape) • Berryaneurysm: most common type; berry or saccular shaped with a neck or stem. • Fusiform aneurysm: an outpouching of an arterial wall, without a stem.
  • 16.
    Classification (etiology) cont.. •Mycotic (infectious) aneurysm: rare; caused by septic emboli from infections, such as bacterial endocarditis; may lead to aneurysmal formation • Charcot-Bouchard aneurysm: microscopic aneurysmal formation associated with hypertension; involves the basal ganglia and brainstem.(less than 300 micrometer diameter blood vessels)
  • 17.
    Classification (etiology) cont.. •Traumatic aneurysm: any aneurysm resulting from a traumatic head injury (accounts for a small number) • Dissecting aneurysm: related to atherosclerosis, inflammation, or trauma; an aneurysm in which the intimal layer is pulled away from the medial layer and blood is forced between the layers
  • 18.
  • 19.
    WFNS (world federationof neurosurgical societies)
  • 20.
    Fisher grading scale(amount of blood on CT scan is a predictor of vasospasm)
  • 23.
    Location • 85% to95% in the carotid system, with the following three most common locations: • A-comm is the single most common: 30% • ACA are more common in males • P-comm: 25% (females) • MCA: 20%
  • 24.
    Location cont.. • 5%to 15% in the posterior circulation (vertebrobasilar arteries) • About 10% on BA: basilar bifurcation, known as basilar tip, most common followed by basilar artery–superior cerebellar artery (BA-SCA), basilar artery– vertebral artery (BA-VA) junction, and AICA • About 5% on vertebral artery (VA) and posterior inferior cerebellar artery (PICA) junction is the most common • Fusiform aneurysms are more common in the vertebrobasilar system • 20% to 30% of patients who suffer an aneurysm will have multiple aneurysms
  • 27.
    Etiology / Riskfactors Smoking/Ath erosclerosis Hypertension Alcohol intake FHx Genetics: Ehler Danlos, PCKD Recreational sympathomi metic drugs Multiple factors Infection Trauma
  • 28.
    Familial intracranial aneurysms •Familial intracranial aneurysms are generally defined as the presence of two or more family members among first- and second- degree relatives with proven aneurysmal SAH or incidental aneurysms • Incidence of familial aneurysms among SAH patients is 6% to 20%.
  • 29.
    Pathophysiology/aneurysm formation to rupture Tissue degradation Inflammation HemodynamicsGenetics Hormonal Environmental Drugs Trauma Multiple factors
  • 30.
  • 31.
    Presentation • Severe headache(known as a “thunderclap headache”) in the days to weeks before the index episode of bleeding, known as a “warning headache.” • Thunderclap headaches develop in seconds, achieve maximal intensity in minutes, and can last hours to days. • All patients who present with thunderclap headaches should be evaluated immediately for SAH
  • 34.
    Sign and Symptoms Symptomsassociated with cerebral aneurysms and SAH are as follows: Headache Facial pain Alteration in consciousne ss Seizures Manifestatio n of meningeal irritation Autonomic disturbances Focal neurological complaints Visual symptoms Respiratory dysfunction Cardiovascu lar instability Hormonal dysfunction
  • 35.
    Un-ruptured Aneurysm • Inapproximately 40% of cases, there are warning signs, often called prodromal signs. • Dilated pupil (loss of light reflex; oculomotor nerve [cranial nerve (CN) III] deficit) • Extraocular movement deficits of the oculomotor (CN III), trochlear (CN IV) or abducens (CN VI) cranial nerves • Possible ptosis (oculomotor nerve [CN III] deficit) • Pain above and behind eye • Localized headache • Nuchal rigidity (neck pain on flexion) • Possible photophobia
  • 36.
    Aneurysmal SAH • Nuchalrigidity • Decrease level of consciousness • Subhyloid hemorrhages • Pupillary abnormalities (typically dilated) • Opthalmoplegia • Cranial neuropathy • Focal deficit
  • 37.
    Aneurysm of AComA •Altitudinal visual field deficit • Abulia or akinetic mutism • Amnestic syndrome • Hypothalamic dysfunction
  • 38.
    Diagnosis • The firstdiagnostic test should be a non-contrast CT scan • Although magnetic resonance imaging continues to advance and detects aneurysms, standard magnetic resonance imaging is inferior to CT for the detection of acute SAH. CT remains the imaging method of choice because of its wider availability, lower cost, and greater convenience for sick patients and because there is a greater experience with its interpretation.
  • 39.
    Diagnosis cont.. • Lumbarpuncture should be performed in a patient whose clinical presentation suggests SAH and whose CT scan is negative. “Traumatic taps” occur in up to 20% of lumbar punctures and must be differentiated from true hemorrhages. • Xanthochromia is the primary criterion of subarachnoid hemorrhage in patients with negative CT scans. • Some believe that the presence of erythrocytes, even in the absence of xanthochromia, is more accurate.
  • 40.
    Diagnosis cont.. CT Scan(no contrast) MRI DSA digital subtraction angiography MR Angio LP CT angiogram Transcranial Doppler
  • 41.
    CT Scan (nocontrast) Nonenhanced CT image of the brain shows diffuse acute subarachnoid hemorrhage, which is most prominent in the basal cisterns and sylvian fissures. There is a 2.9-cm left parasellar mass (arrow) with peripheral calcification, a finding consistent with an aneurysm. Note the intraventricular hemorrhage and hydrocephalus (enlargement of the occipital horns of the lateral ventricles).
  • 42.
  • 43.
  • 44.
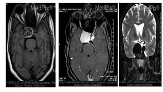
  • 45.
    MRI 40 year oldwoman presents to the Eye Clinic with a new onset of "double vision“ Right Sixth Cranial Nerve Palsy (Abducen palsy) Axial MR - T2 weighted There is a giant (>25mm) aneurysm in the right cavernous sinus. There is another, smaller ICA aneurysm in the left cavernous sinus. The eyes show dysconjugate gaze, with the right eye unable to move laterally - an abducens (6th) nerve palsy.
  • 47.
  • 48.
    Unruptured Aneurysms • Mostpatients are completely asymptomatic until the time of bleeding. • In approximately 40% of cases, there are warning signs, often called prodromal signs. • Prodromal signs may suggest the location of the aneurysm or enlargement of the lesion. • Small intermittent aneurysmal leakage of blood may result in generalized headache, neck pain, upper back pain, nausea, and vomiting.
  • 49.
    Unruptured Aneurysms cont.. •Dilated pupil (loss of light reflex; oculomotor nerve [cranial nerve (CN) III] deficit) • Extraocular movement deficits of the oculomotor (CN III), trochlear (CN IV) or abducens (CN VI) cranial nerves • Possible ptosis (oculomotor nerve [CN III] deficit) • Pain above and behind eye • Localized headache • Nuchal rigidity (neck pain on flexion) • Possible photophobia
  • 50.
    Ruptured Aneurysm • SAHis a type of intracranial hemorrhage in which bleeding occurs into the subarachnoid space. It accounts for 6% to 8% of all strokes and continues to be a significant cause of morbidity and mortality. • There is a possible reduced occurrence of SAH in some premenopausal women, especially those without a smoking history. • Hormone replacement reduced the risk in postmenopausal women who had never smoked. • African-American population is twice that of whites. • Age related differences are detected, with increasing incidence of SAH with age.
  • 51.
    Initial approach tomedical Management
  • 52.
    Goals of initialmedical management include: • Augmenting cerebral blood flow (CBF) by: • Increasing cerebral perfusion pressure (CPP) • Improving blood rheology • Maintaining euvolemia (the majority of patients become hypovolemic in the first 24 hours after SAH) • Maintaining normal ICP • Neuroprotection
  • 53.
    Initial Management Concerns •Rebleeding—the major concern during the initial workup. Maximal frequency of rebleeding is in the first day (4% on day 1, then 1.5% daily for 13 days). Between 15% and 20% rebleed within 14 days, and 50% will rebleed within 6 months; thereafter, the risk is 3%/year with a mortality of 2%/year. • Acute hydrocephalus—usually obstructive because of obstruction of CSF by a blood clot
  • 54.
    Initial Management Concernscont.. • Delayed ischemic neurological deficit most likely related to vasospasm • Hyponatremia with hypovolemia (CSW) • Deep venous thrombosis (DVT) and pulmonary embolism • Seizure • Determining source of bleeding
  • 55.
    Nursing responsibilities include: •Vital signs with neurological checks every hour • O2 saturation monitoring • Bed rest with head of bed (HOB) elevated by 30 degrees • Low level of external stimulation; restricted visitation • Strict intake and output (I&O) record • Thigh-high antiembolic (TED) and pneumatic compression boots • Indwelling urinary catheter if patient is lethargic, incontinent, or unable to void
  • 56.
    Fluid Volume Control •Early aggressive fluid therapy may prevent cerebral salt wasting. • Normal saline IV solution with 20 mEq KCl/L at 2 mL/kg/hr • 5% albumin, 500 mL over 6 hours, started immediately at admission v
  • 57.
    Blood Pressure Control •In the early hours after rupture, blood pressure is commonly elevated, probably reflecting a physiologic response to increased ICP. As ICP is decreased, the blood pressure also decreases. If the blood pressure continues to be elevated owing to increased ICP from mass effect of cerebral edema or a hematoma, mannitol may be administered. • Hypertension is controlled to prevent re-bleeding. v
  • 58.
    Blood Pressure Controlcont.. • The drug is beneficial for two reasons: (1) it decreases cerebral edema and neurological deficits, and (2) it improves CBF. Decreased cerebral edema lowers the ICP and blood pressure. • The goal of therapy is to maintain the systolic blood pressure between 120 and 150 mm Hg. Systolic pressures above this level are treated with drugs such as labetalol, nitroprusside, or nicardipine. v
  • 59.
    Drug Therapy • Thefollowing drugs are usually ordered for the patient with an aneurysmal rupture: • The calcium channel blocker nimodipine (Nimotop) 60 mg q4h orally through nasogastric tube, initiated within 96 hours of SAH, is given for 21 consecutive days. Nimodipine may also be given 30 mg q2h as it can decrease blood pressure significantly. • Anticonvulsants may be given as prophylaxis against seizures. Phenytoin is the usual agent used; provide a load with 17 mg/kg, maintenance with 5 mgkg in three divided doses.
  • 60.
    Drug Therapy cont.. •Stool softeners prevent constipation and straining at stool, which results in initiation of Valsalva’s maneuver, increased ICP, and increased blood pressure, which in turn can cause rebleeding of the aneurysm. • Use of steroids is controversial; however, some believe it is beneficial for treatment of cerebral edema and the inflammatory effect of the meningeal irritation. • A typical regimen is Dexona taper: 4 mg PO/IV/NG q6h 1 day; 3 mg PO/IV/NG q6h 2 days; 2 mg PO/IV/NG q6h 2 days; 1 mg PO/IV/NG q6h* 1 day
  • 61.
    Drug Therapy cont.. •Pantoprazole 20 mg PO daily or ranitidine 150 mg PO bid to prevent gastric irritation from steroids and antacids such as Mylanta 30 mL PO/NG QID PRN • Analgesics (acetaminophen or codeine/morphine) are administered as necessary to control headache. • Sedatives may be prescribed, because an agitated patient is at risk for elevated blood pressure. • Heparin 5000 units SQ bid or Fragmin 2500 units SQ daily to help prevent emboli
  • 62.
    Drug Therapy cont.. •Insulin (regular human) drip sliding scale may be ordered.
  • 63.
    Drug Therapy cont.. •Replacement of minerals such as potassium, magnesium, calcium, and phosphorus is necessary based on laboratory testing. Magnesium 1000 mg PO tid is a frequently seen order. Magnesium level should be greater than 1.8. • Mg: decrease neuromuscular irritability, play role in insulin sensitivity, increase glucose tolerance.
  • 64.
    Surgical/interventional treatment •Clipping • Clippingtechniques. (A) Straight clip for small aneurysms. (B) Curved clip to reconstruct the vessel. (C) Fenestrated clip encircles the middle cerebral artery to keep it open while clipping the aneurysm. (D) Fenestrated clip encircles the internal carotid artery to occlude the neck of an inferiorly directed aneurysm.
  • 67.
    Clipping strategies withfenestrated clips. (A) Here, a side-deflected fenestrated clip is used to occlude the aneurysm neck while reconstructing the neck of the A2 vessel. (B) An angled fenestrated clip reconstructs the anterior communicating artery, saving perforating branches. (C) Two fenestrated clips are used to clip a wide neck aneurysm.
  • 68.
    Endovascular Treatment ofAneurysms v • In those patients in whom giant aneurysms can be surgically clipped with acceptable risks of morbidity and mortality, that approach remains the treatment of choice because the embolization option does not appear to offer the same durability of protection from rupture.
  • 69.
    Endovascular Treatment ofAneurysm cont.. Coiling Parent vessels occlusion Balloon Remodelling Technique Stents and Treatment
  • 70.
    Parent Vessel Occlusion •Parent vessel occlusion (PVO) is a traditional method for treating aneurysms that are not amenable to direct coiling/clipping or particularly complex saccular or fusiform aneurysms. • Dissecting aneurysms of the internal carotid or vertebral arteries and fusiform aneurysms without a well-defined neck may be eliminated by trapping or proximal occlusion.
  • 72.
    Stents and Treatment •A stent refers to a device used to hold a skin graft in position. • A stent is a coil or mesh tube that is introduced into the body through a catheter in a constrained form. The device is deployed by various mechanisms. The device’s original role was thought to be to: • 1. Prevent elastic recoil of a vessel after balloon angioplasty by holding a vessel open to a predetermined diameter • 2. Prevent dissection after balloon angioplasty by pushing the dissected layers against one another and against the arterial wall • 3. Provide a cylindrical vessel lumen wall by forcing asymmetric plaques eccentrically
  • 73.
  • 76.
    Nursing management ofthe patient with an aneurysm • Pain (headache, neck/back pain) related to (R/T) meningeal irritation • Sensory/Perceptual Alterations, Visual, R/T photophobia secondary to meningeal irritation • High Risk for Injury R/T seizure activity secondary to cerebral irritation • Anxiety (mild, moderate, or severe) R/T illness and/or restrictions of aneurysm precautions • High Risk for Secondary Brain Injury R/T rebleeding or cerebral vasospasms
  • 77.
    Pain (headache, neck/backpain) related to (R/T) meningeal irritation • Assess the type, location, and specific characteristics of the headache. • Assess the patient for pain and other signs and symptoms of meningeal irritation. • Reposition the patient gently, avoiding any unnecessary movement of the neck or head. • Administer analgesics as ordered. • Darken the patient’s room. • Apply a cold, wet cloth or ice pack to the patient’s head for comfort.
  • 78.
    Sensory/Perceptual Alterations • Noteany evidence of discomfort when assessing direct light response of the pupils. • Maintain a darkened room by drawing the blinds or shades and avoiding direct light. • Maintain seizure precautions. • Monitor the patient for any signs of seizure activity and document in the patient’s chart. • Administer anticonvulsant drugs prophylactically, as ordered.
  • 79.
    Anxiety (mild, moderate,or severe) R/T illness • Assess the patient for objective and subjective evidence of anxiety. • If anxiety is present, try to identify the specific causes. • Attempt to clarify, control, or change the circumstances surrounding the anxiety. • Make appropriate referrals, as necessary. • Reassure the patient. • Depending on the patient’s level of consciousness, use imagery, relaxation techniques, and other methods to control anxiety
  • 80.
    High Risk forSecondary Brain Injury R/T re-bleeding or cerebral vasospasms • Administer sedatives, if ordered. • Assess neurological signs frequently for evidence of neurological deterioration. • Report immediately any significant changes in the patient’s condition. • Recognize the peak times of occurrence of rebleeding and vasospasm. • If deterioration occurs, implement nursing protocols and standing orders so that ischemic response is treated.
  • 81.
  • 83.
    Reference • Brown, R.(1999). Natural history of intracranial aneurysms. Neurovascular Update: Present Practices and Future Directions • Rinkel, G. J., Djibuti, M., Algra, A., & van Gijn, J. (1998). Prevalence and risk of rupture of intracranial aneurysms: A systematic review. Stroke, 29, 251–256 • Wiebers, D. O., Piepgras, D. G., Meyer, F. B., et al. (2004). Pathogenesis, natural history, and treatment of unruptured intracranial aneurysms. Mayo Clinic Proceedings, 79, 1572–1583 • Schievink, W. I. (1997). Intracranial aneurysms. New England Journal of Medicine, 336, 28– 40. • Edlow, J. A., & Caplan, L. R. (2000). Avoiding pitfalls in the diagnosis of subarachnoid hemorrhage. New England Journal of Medicine, 342, 29–36