Autoimmune Gastritis
Prepared by Tarup Gokia
Group.37
6thsem
Gastroenterology
•CASE STUDY ON AUTOIMMUNE CHRONIC GASTRISTIS
•MethodsThe group of 25 patients included 14 men and11 women.
The age of 24 of them ranged between46 and 79 years (mean age:
men 68, women 65years). One patient was only 31 years old. In
16patients achlorhydria and/or megaloblasticanemia and atrophic
gastritis were diagnosedclinically. Nine patients suffered merely
fromnonspecific gastrointestinal symptoms. Anti-parietal cell
antibodies, anti-intrinsic factorantibodies, and serum gastrin level
were notexamined in any patient. The endoscopicexamination with
a biopsy was repeated once ortwice in 4 men and 4 women in an
interval of 1month – 5 years. No patient had any otherautoimmune
disease. Proton pump inhibitors(PPI) were not applied in any
patients. Onendoscopy, one or two samples of the gastric
bodymucosa were obtained from each patient. In 18patients, 1–2
samples of the antral mucosa wereobtained as well (without an
information ofprecise localization
• .The specimens for microscopic examinationwere fixed in 10%
neutral formol, embedded inparaffin using standard
procedures and stainedwith hematoxylin-eosin, Periodic acid
Schiff/--Alcian blue at pH 2.5, and with silverimpregnation
technique according to Warthin-Starry.For
immunohistochemistry, the followingprimary antibodies were
employed: chromogra-nin-A (DAK-A3 pepsin 1:400 DAKO
Glostrup),gastrin (Gastrin pepsin polyclonal, 1:500
DAKOGlostrup), MUC2 (Cep58, MW 1:400,
Novocastra,Newcastle), MUC5AC (CLH2, MW 1:400,Novocastra,
Newcastle), MUC6 (CLH5, MW1:400, Novocastra, Newcastle).
Sections 4 µ thickwere cut from the specimen and placed on
slidecoated with 3-aminopropyltriethoxy-silane(Sigma). The
sections were then deparaffinizedand predigested by pepsin.
The primary anti-bodies were visualized using the
supersensitivestreptavidin-biotin peroxidase complex (BioGe-
nex, San Ramon, CA, USA). The color was
• developed with diaminobenzidine,
supplementedwith hydrogen peroxide.The severity
of inflammatory changes wasscored according to the
Sydney classification (7).Using immunohistochemical
reaction withchromogranin -A, the presence of ECL
cells wasevaluated as normal count – simple
hyperplasia– linear and nodular hyperplasia (18).
Thenumber of G cells was assessed as normal
orhyperplasia (9).
•Results
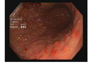
•In 25 patients, the corpus mucosa wasdiagnosed as
chronic gastritis with focal completeIM and with pyloric
metaplasia of majority of theglands (Fig. 1). Of these, in
24 patients thechronic gastritis was merely mild and
inactive,while in the 31-year-old man it was mild
active.Scarce residual oxyntic glands were found only in7
patients. Focal lymphocytic destruction ofoxyntic glands
was identified in 4 cases (Fig. 2).Pancreatic metaplasia of
acinar type was foundin 2 specimens and cystic dilatation
of one orseveral foveolas and/or glands was seen in
sevenpatients (28%) (Table 1). The corpus mucosa ofthe
31-year-old man with juvenile AG showedpractically the
same features as the adult AGform, and, in addition, it
displayed a minimalfocal pseudohypertrophy of parietal
cells
• Histologic findings in corporal mucosa Male Female
total
• Chronic inflammation 14 11 25
• Intestinal/pyloric metaplasia 14 11 25
• Parietal cell pseudohypertrophy 1 0 1
• Pancreatic metaplasia 2 0 2ECL hyperplasia 11 9 20
• Carcinoid 0 1 1
• Adenoma 0 1 1
• Histologic findings in antral mucosa Normal 5 3 8
• Chronic inflammation 7 3 10
• G cell hyperplasia 11 4 15
•linear, nodular, and exceptionally alsoadenomatoid
hyperplasia of ECL cells wasdetected using
immunohistochemical visualiza-tion of chromogranin-A
in 20 cases (80%) (Fig. 3).In the remaining cases, it could
not be reliablydifferentiated between simple ECL
cellshyperplasia and normal count of ECL cells. ECLcells
were found in residual corpus glands and inpyloric
metaplasia. In nodular hyperplasia, theseelements were
scattered in small groups in thedeep parts of the lamina
propria, sometimesadjacent to the muscularis mucosae.
Further, in13 cases (52%) ECL cells were present
inmetaplastic intestinal epithelium in smallnumbers. Rare
individual G cells were dispersedin IM of 11 patients
(44%) (Fig. 4), but were neverseen outside IM
•.Goblet cells in the intestinal metaplasticepithelium were visualized
using MUC2 immu-nostain. In all cases, foveolar zone
hyperplasiarepresenting at least a half of the corpus
mucosathickness was highlighted using MUC5ACantibody. In some
cases, the foveolar epitheliumreached as far as to the lowest third
of thecorporal mucosa. MUC6 decorated not onlyadvanced pyloric
metaplasia, but also lessdifferentiated mucous glands.The antral
mucosa was obtained in 18patients (72%). Eight biopsies were
normal, andten biopsies showed a mild chronic
inactiveinflammation. G cells positive for gastrin weredetected in 15
cases on immunohistochemistry. Inone case, the G cell count was
normal, and inadditional 2 cases their presence could not
beassessed, as a superficial part of the mucosa wasavailable
only.The results of a repeated examination of thegastric body
mucosa conformed to the originaldiagnosis of AG in eight cases.
Additionally,a carcinoid was diagnosed in a woman with chro-nic
atrophic inflammation and nodular ECL cellhyperplasia. Another
patient developed a low-grade tubular adenoma of the gastric
bodymucosa.
• findings, including serum level of anti-parietalcell
antibody, may not be helpful in such cases(18). Because
of these reasons, definitive dia-gnosis of AG on purely
histological grounds was not warranted in the past (6).
However, some recent studies indicate that early AG can
be diagnosed or at least strongly suggested on baseof
histologic and immunohistochemical exami-nation (8,
18).Recently, the following histological features ofAG have
been described in cases without totalloss of the oxyntic
mucosa (8, 18): (1) a mono-nuclear infiltrate within the
lamina propria thatis often heavier in the glandular
portion, (2) fociof lymphocytic infiltration and destruction
ofoxyntic glands, (3) IM and/or pyloric glandmetaplasia,
and (4) pseudohypertrophy of theremaining parietal cells.
None of these featuresalone are diagnostic in isolation. It
is the patternof findings that suggests AG.
Autoimmune gastritis (AG), or typeA atrophic gastritis, is a chronic inflammatoryprocess that
typically involves the corpus mucosain a diffuse manner (4, 8, 18). A high proportion of
patients have circulating autoantibodiesagainst the microsomes of parietal cells andintrinsic
factor autoantibodies, which aredetected in 55–60% cases. Thus a proportion ofpatients with
AG will develop pernicious anemiadue to vitamin B 12 deficiency (4). There is alsoa common
association with other organ-specificautoimmune diseases, and patients frequentlyhave
shared autoantibodies against the varioustissues (14). AG is a dynamic disease in
whichinvolvement of the mucosa increases in severitywith age. In fully established AG, the
bodymucosa is inflamed and shows extensive atrophywith replacement of the oxyntic glands
byintestinal and pyloric metaplastic epithelium,and enterochromaffin-like (ECL) cell hyper-
plasia. The antral mucosa tends to be spared,although there may be associated mild
chronicgastritis. There is an absolute increase in thenumber of antral gastrin+ cells (G cells)
inresponse to the hypochlorhydria, and this isaccompanied by raised serum levels of
gastrin.The hypergastrinemia has a trophic effect on theECL cells in the glands of the body
mucosa,leading to ECL cell hyperplasia (4, 9, 13, 18).Patients with AG may present with
achlorhydria,hypergastrinemia, anti-parietal cell and/or anti-intrinsic factor antibodies, and
pernicious ane-mia. In some cases, however, the manifestation ofAG is nonspecific with
gastrointestinal symp-toms such as dyspepsia, nausea, vomiting,gastrointestinal reflux
disease (13, 18) orunexplained microcytic anemia (18). A histologicdiagnosis under these
clinical manifestations ofAG is difficult. Therefore, in our study of 25 casesof AG, we
employed the recommended histolo-gical criteria and immunostains for chromogra-nin (to
evaluate for ECL cells presence andhyperplasia) and gastrin (to exclude antral andantral-
oxyntic transitional gastric mucosa) (4, 8,13, 18), to establish the diagnosis of AG
inendoscopic specimens of gastric body mucosa
• The lack of intrinsic factor leads to vitamin B12 deficiency
that can result in a megaloblastic anemia (pernicious
anemia) or neurologic symptoms (subacute combined
degeneration).
• Hypochlorhydria leads to G-cell hyperplasia and elevated
serum gastrin levels (often > 1000 pg/mL). Elevated gastrin
levels lead to enterochromaffin-like cell hyperplasia, which
occasionally undergoes transformation to a carcinoid tumor.
• In some patients, AMAG may be associated with chronic
Helicobacter pylori infection, although the relationship is
not clear. Gastrectomy and chronic acid suppression with
proton pump inhibitors cause similar deficiencies of intrinsic
factor secretion.
• The areas of atrophic gastritis in the body and fundus may
manifest as metaplasia. Patients with AMAG have a 3-fold
increased relative risk of developing gastric adenocarcinoma.
• Autoimmune atrophic gastritis is a chronic inflammatory
disease in which the immune system mistakenly
destroys a special type of cell (parietal cells) in the
stomach. Parietal cells make stomach acid (gastric acid)
and a substance our body needs to help absorb vitamin
B12 (called intrinsic factor). The progressive loss of
parietal cells may lead to iron deficiency and finally
vitamin B12 deficiency. The clinical signs and symptoms
of iron deficiency anemia include tiredness, pale
complexion, and heart problems such as exercise
intolerance and palpitations. B12 deficiency may lead to
pernicious anemia as well as gastrointestinal and
neurological problems. Autoimmune atrophic gastritis
may also be associated with an increased risk of certain
types of stomach cancers.[1][2][3]
• The cause of autoimmune gastritis is unknown, but
affected people are likely to have other
autoimmune disorders including autoimmune
thyroiditis, diabetes type I, Addison’s disease, and
vitiligo. Diagnosis is made through a combination
of clinical findings (certain blood tests and
presence of other autoimmune conditions) and
biopsy of stomach lining. Treatment is based on the
signs and symptoms present in each person, but
may include iron infusions, vitamin B12 injections
and endoscopic surveillance.
• Symptoms
• In some cases, autoimmune atrophic gastritis does not
cause any obvious signs and symptoms. However, some
people may experience nausea, vomiting, a feeling of
fullness in the upper abdomen after eating, or abdominal
pain. It is often associated with impaired absorption of
vitamin B12 and possibly other vitamin deficiencies (such as
folate and iron). People with vitamin B12 deficiency are at
risk for pernicious anemia, a condition in which the body
does not have enough healthy red blood cells.[4][5]
• Autoimmune atrophic gastritis is considered a
"precancerous" condition and it may be responsible for the
development of gastric adenocarcinoma or carcinoids.[6]
• Cause
• Autoimmune atrophic gastritis is considered an
autoimmune disorder. In people who are affected by
this condition, the immune system mistakenly attacks
the healthy cells of the stomach lining. Overtime, this
can wear away the stomach's protective barrier and
interfere with the absorption of several key vitamins
(i.e. vitamin B12, iron, folate). This leads to the signs
and symptoms of autoimmune atrophic gastritis.[4][7]
• Inheritance
• In some cases, more than one family member can be affected
by autoimmune atrophic gastritis. Although the underlying
genetic cause has not been identified, studies suggest that the
condition may be inherited in an autosomal dominant manner
in these families.[4]
• In autosomal dominant conditions, an affected person only
needs a change (mutation) in one copy of the responsible gene
in each cell. In some cases, an affected person inherits the
mutation from an affected parent. Other cases may result from
new (de novo) mutations in the gene. These cases occur in
people with no history of the disorder in their family. A person
with the condition has a 50% chance with each pregnancy of
passing along the altered gene to his or her child.
• Diagnosis
• A diagnosis of autoimmune atrophic gastritis is
generally not suspected until characteristic signs and
symptoms are present. Additional testing can then be
ordered to confirm the diagnosis. This generally
includes:[1][8]
• A biopsy of the affected tissue obtained through
endoscopy
• Blood work that demonstrates autoantibodies against
certain cells of the stomach
• Treatment
• The treatment of autoimmune atrophic gastritis is generally
focused on preventing or treating vitamin B12 and iron
deficiencies. If pernicious anemia is already present at the
time of diagnosis, vitamin B12 shots (injections) may be
recommended. Since dietary and oral iron supplements do
not usually improve iron levels, alternative iron therapy
approaches may include receiving periodic intravenous (IV)
iron (iron infusion) to increase iron stores or a daily dose of
oral ferrous glycine sulfate to meet daily iron requirements.
People with autoimmune atrophic gastritis should have their
levels of B12 and iron monitored for the rest of their life.
• In some cases, periodic endoscopy may also be
recommended due to the increased risk of certain types of
cancer.
• Prognosis
• The long-term outlook (prognosis) for people with
autoimmune atrophic gastritis varies. The condition is
associated with an increased risk of pernicious
anemia, gastric polyps and gastric adenocarcinoma.
Significant risk factors for the development of gastric
cancer in autoimmune atrophic gastritis include
pernicious anemia, severity of atrophy, intestinal
metaplasia, length of disease duration, and age older
than 50 years. Fortunately, early diagnosis and proper
treatment can reduce the mortality of the
condition.[1]
Case study on autoimmune gastristis...gokia
Case study on autoimmune gastristis...gokia
Case study on autoimmune gastristis...gokia
Case study on autoimmune gastristis...gokia

Case study on autoimmune gastristis...gokia

  • 1.
    Autoimmune Gastritis Prepared byTarup Gokia Group.37 6thsem Gastroenterology
  • 2.
    •CASE STUDY ONAUTOIMMUNE CHRONIC GASTRISTIS •MethodsThe group of 25 patients included 14 men and11 women. The age of 24 of them ranged between46 and 79 years (mean age: men 68, women 65years). One patient was only 31 years old. In 16patients achlorhydria and/or megaloblasticanemia and atrophic gastritis were diagnosedclinically. Nine patients suffered merely fromnonspecific gastrointestinal symptoms. Anti-parietal cell antibodies, anti-intrinsic factorantibodies, and serum gastrin level were notexamined in any patient. The endoscopicexamination with a biopsy was repeated once ortwice in 4 men and 4 women in an interval of 1month – 5 years. No patient had any otherautoimmune disease. Proton pump inhibitors(PPI) were not applied in any patients. Onendoscopy, one or two samples of the gastric bodymucosa were obtained from each patient. In 18patients, 1–2 samples of the antral mucosa wereobtained as well (without an information ofprecise localization
  • 3.
    • .The specimensfor microscopic examinationwere fixed in 10% neutral formol, embedded inparaffin using standard procedures and stainedwith hematoxylin-eosin, Periodic acid Schiff/--Alcian blue at pH 2.5, and with silverimpregnation technique according to Warthin-Starry.For immunohistochemistry, the followingprimary antibodies were employed: chromogra-nin-A (DAK-A3 pepsin 1:400 DAKO Glostrup),gastrin (Gastrin pepsin polyclonal, 1:500 DAKOGlostrup), MUC2 (Cep58, MW 1:400, Novocastra,Newcastle), MUC5AC (CLH2, MW 1:400,Novocastra, Newcastle), MUC6 (CLH5, MW1:400, Novocastra, Newcastle). Sections 4 µ thickwere cut from the specimen and placed on slidecoated with 3-aminopropyltriethoxy-silane(Sigma). The sections were then deparaffinizedand predigested by pepsin. The primary anti-bodies were visualized using the supersensitivestreptavidin-biotin peroxidase complex (BioGe- nex, San Ramon, CA, USA). The color was
  • 4.
    • developed withdiaminobenzidine, supplementedwith hydrogen peroxide.The severity of inflammatory changes wasscored according to the Sydney classification (7).Using immunohistochemical reaction withchromogranin -A, the presence of ECL cells wasevaluated as normal count – simple hyperplasia– linear and nodular hyperplasia (18). Thenumber of G cells was assessed as normal orhyperplasia (9).
  • 5.
    •Results •In 25 patients,the corpus mucosa wasdiagnosed as chronic gastritis with focal completeIM and with pyloric metaplasia of majority of theglands (Fig. 1). Of these, in 24 patients thechronic gastritis was merely mild and inactive,while in the 31-year-old man it was mild active.Scarce residual oxyntic glands were found only in7 patients. Focal lymphocytic destruction ofoxyntic glands was identified in 4 cases (Fig. 2).Pancreatic metaplasia of acinar type was foundin 2 specimens and cystic dilatation of one orseveral foveolas and/or glands was seen in sevenpatients (28%) (Table 1). The corpus mucosa ofthe 31-year-old man with juvenile AG showedpractically the same features as the adult AGform, and, in addition, it displayed a minimalfocal pseudohypertrophy of parietal cells
  • 6.
    • Histologic findingsin corporal mucosa Male Female total • Chronic inflammation 14 11 25 • Intestinal/pyloric metaplasia 14 11 25 • Parietal cell pseudohypertrophy 1 0 1 • Pancreatic metaplasia 2 0 2ECL hyperplasia 11 9 20 • Carcinoid 0 1 1 • Adenoma 0 1 1 • Histologic findings in antral mucosa Normal 5 3 8 • Chronic inflammation 7 3 10 • G cell hyperplasia 11 4 15
  • 7.
    •linear, nodular, andexceptionally alsoadenomatoid hyperplasia of ECL cells wasdetected using immunohistochemical visualiza-tion of chromogranin-A in 20 cases (80%) (Fig. 3).In the remaining cases, it could not be reliablydifferentiated between simple ECL cellshyperplasia and normal count of ECL cells. ECLcells were found in residual corpus glands and inpyloric metaplasia. In nodular hyperplasia, theseelements were scattered in small groups in thedeep parts of the lamina propria, sometimesadjacent to the muscularis mucosae. Further, in13 cases (52%) ECL cells were present inmetaplastic intestinal epithelium in smallnumbers. Rare individual G cells were dispersedin IM of 11 patients (44%) (Fig. 4), but were neverseen outside IM
  • 8.
    •.Goblet cells inthe intestinal metaplasticepithelium were visualized using MUC2 immu-nostain. In all cases, foveolar zone hyperplasiarepresenting at least a half of the corpus mucosathickness was highlighted using MUC5ACantibody. In some cases, the foveolar epitheliumreached as far as to the lowest third of thecorporal mucosa. MUC6 decorated not onlyadvanced pyloric metaplasia, but also lessdifferentiated mucous glands.The antral mucosa was obtained in 18patients (72%). Eight biopsies were normal, andten biopsies showed a mild chronic inactiveinflammation. G cells positive for gastrin weredetected in 15 cases on immunohistochemistry. Inone case, the G cell count was normal, and inadditional 2 cases their presence could not beassessed, as a superficial part of the mucosa wasavailable only.The results of a repeated examination of thegastric body mucosa conformed to the originaldiagnosis of AG in eight cases. Additionally,a carcinoid was diagnosed in a woman with chro-nic atrophic inflammation and nodular ECL cellhyperplasia. Another patient developed a low-grade tubular adenoma of the gastric bodymucosa.
  • 9.
    • findings, includingserum level of anti-parietalcell antibody, may not be helpful in such cases(18). Because of these reasons, definitive dia-gnosis of AG on purely histological grounds was not warranted in the past (6). However, some recent studies indicate that early AG can be diagnosed or at least strongly suggested on baseof histologic and immunohistochemical exami-nation (8, 18).Recently, the following histological features ofAG have been described in cases without totalloss of the oxyntic mucosa (8, 18): (1) a mono-nuclear infiltrate within the lamina propria thatis often heavier in the glandular portion, (2) fociof lymphocytic infiltration and destruction ofoxyntic glands, (3) IM and/or pyloric glandmetaplasia, and (4) pseudohypertrophy of theremaining parietal cells. None of these featuresalone are diagnostic in isolation. It is the patternof findings that suggests AG.
  • 10.
    Autoimmune gastritis (AG),or typeA atrophic gastritis, is a chronic inflammatoryprocess that typically involves the corpus mucosain a diffuse manner (4, 8, 18). A high proportion of patients have circulating autoantibodiesagainst the microsomes of parietal cells andintrinsic factor autoantibodies, which aredetected in 55–60% cases. Thus a proportion ofpatients with AG will develop pernicious anemiadue to vitamin B 12 deficiency (4). There is alsoa common association with other organ-specificautoimmune diseases, and patients frequentlyhave shared autoantibodies against the varioustissues (14). AG is a dynamic disease in whichinvolvement of the mucosa increases in severitywith age. In fully established AG, the bodymucosa is inflamed and shows extensive atrophywith replacement of the oxyntic glands byintestinal and pyloric metaplastic epithelium,and enterochromaffin-like (ECL) cell hyper- plasia. The antral mucosa tends to be spared,although there may be associated mild chronicgastritis. There is an absolute increase in thenumber of antral gastrin+ cells (G cells) inresponse to the hypochlorhydria, and this isaccompanied by raised serum levels of gastrin.The hypergastrinemia has a trophic effect on theECL cells in the glands of the body mucosa,leading to ECL cell hyperplasia (4, 9, 13, 18).Patients with AG may present with achlorhydria,hypergastrinemia, anti-parietal cell and/or anti-intrinsic factor antibodies, and pernicious ane-mia. In some cases, however, the manifestation ofAG is nonspecific with gastrointestinal symp-toms such as dyspepsia, nausea, vomiting,gastrointestinal reflux disease (13, 18) orunexplained microcytic anemia (18). A histologicdiagnosis under these clinical manifestations ofAG is difficult. Therefore, in our study of 25 casesof AG, we employed the recommended histolo-gical criteria and immunostains for chromogra-nin (to evaluate for ECL cells presence andhyperplasia) and gastrin (to exclude antral andantral- oxyntic transitional gastric mucosa) (4, 8,13, 18), to establish the diagnosis of AG inendoscopic specimens of gastric body mucosa
  • 12.
    • The lackof intrinsic factor leads to vitamin B12 deficiency that can result in a megaloblastic anemia (pernicious anemia) or neurologic symptoms (subacute combined degeneration). • Hypochlorhydria leads to G-cell hyperplasia and elevated serum gastrin levels (often > 1000 pg/mL). Elevated gastrin levels lead to enterochromaffin-like cell hyperplasia, which occasionally undergoes transformation to a carcinoid tumor. • In some patients, AMAG may be associated with chronic Helicobacter pylori infection, although the relationship is not clear. Gastrectomy and chronic acid suppression with proton pump inhibitors cause similar deficiencies of intrinsic factor secretion. • The areas of atrophic gastritis in the body and fundus may manifest as metaplasia. Patients with AMAG have a 3-fold increased relative risk of developing gastric adenocarcinoma.
  • 14.
    • Autoimmune atrophicgastritis is a chronic inflammatory disease in which the immune system mistakenly destroys a special type of cell (parietal cells) in the stomach. Parietal cells make stomach acid (gastric acid) and a substance our body needs to help absorb vitamin B12 (called intrinsic factor). The progressive loss of parietal cells may lead to iron deficiency and finally vitamin B12 deficiency. The clinical signs and symptoms of iron deficiency anemia include tiredness, pale complexion, and heart problems such as exercise intolerance and palpitations. B12 deficiency may lead to pernicious anemia as well as gastrointestinal and neurological problems. Autoimmune atrophic gastritis may also be associated with an increased risk of certain types of stomach cancers.[1][2][3]
  • 15.
    • The causeof autoimmune gastritis is unknown, but affected people are likely to have other autoimmune disorders including autoimmune thyroiditis, diabetes type I, Addison’s disease, and vitiligo. Diagnosis is made through a combination of clinical findings (certain blood tests and presence of other autoimmune conditions) and biopsy of stomach lining. Treatment is based on the signs and symptoms present in each person, but may include iron infusions, vitamin B12 injections and endoscopic surveillance.
  • 16.
    • Symptoms • Insome cases, autoimmune atrophic gastritis does not cause any obvious signs and symptoms. However, some people may experience nausea, vomiting, a feeling of fullness in the upper abdomen after eating, or abdominal pain. It is often associated with impaired absorption of vitamin B12 and possibly other vitamin deficiencies (such as folate and iron). People with vitamin B12 deficiency are at risk for pernicious anemia, a condition in which the body does not have enough healthy red blood cells.[4][5] • Autoimmune atrophic gastritis is considered a "precancerous" condition and it may be responsible for the development of gastric adenocarcinoma or carcinoids.[6]
  • 17.
    • Cause • Autoimmuneatrophic gastritis is considered an autoimmune disorder. In people who are affected by this condition, the immune system mistakenly attacks the healthy cells of the stomach lining. Overtime, this can wear away the stomach's protective barrier and interfere with the absorption of several key vitamins (i.e. vitamin B12, iron, folate). This leads to the signs and symptoms of autoimmune atrophic gastritis.[4][7]
  • 18.
    • Inheritance • Insome cases, more than one family member can be affected by autoimmune atrophic gastritis. Although the underlying genetic cause has not been identified, studies suggest that the condition may be inherited in an autosomal dominant manner in these families.[4] • In autosomal dominant conditions, an affected person only needs a change (mutation) in one copy of the responsible gene in each cell. In some cases, an affected person inherits the mutation from an affected parent. Other cases may result from new (de novo) mutations in the gene. These cases occur in people with no history of the disorder in their family. A person with the condition has a 50% chance with each pregnancy of passing along the altered gene to his or her child.
  • 19.
    • Diagnosis • Adiagnosis of autoimmune atrophic gastritis is generally not suspected until characteristic signs and symptoms are present. Additional testing can then be ordered to confirm the diagnosis. This generally includes:[1][8] • A biopsy of the affected tissue obtained through endoscopy • Blood work that demonstrates autoantibodies against certain cells of the stomach
  • 20.
    • Treatment • Thetreatment of autoimmune atrophic gastritis is generally focused on preventing or treating vitamin B12 and iron deficiencies. If pernicious anemia is already present at the time of diagnosis, vitamin B12 shots (injections) may be recommended. Since dietary and oral iron supplements do not usually improve iron levels, alternative iron therapy approaches may include receiving periodic intravenous (IV) iron (iron infusion) to increase iron stores or a daily dose of oral ferrous glycine sulfate to meet daily iron requirements. People with autoimmune atrophic gastritis should have their levels of B12 and iron monitored for the rest of their life. • In some cases, periodic endoscopy may also be recommended due to the increased risk of certain types of cancer.
  • 21.
    • Prognosis • Thelong-term outlook (prognosis) for people with autoimmune atrophic gastritis varies. The condition is associated with an increased risk of pernicious anemia, gastric polyps and gastric adenocarcinoma. Significant risk factors for the development of gastric cancer in autoimmune atrophic gastritis include pernicious anemia, severity of atrophy, intestinal metaplasia, length of disease duration, and age older than 50 years. Fortunately, early diagnosis and proper treatment can reduce the mortality of the condition.[1]