IN THE NAME OF GOD




CARDIOGENIC PULMONARY
        EDEMA


                        1
Cardiogenic pulmonary
       edema
                        2
CPE
CPE due to:
•    increased capillary hydrostatic pressure
  secondary to elevated pulmonary venous
  pressure




                                          3
following major pathophysiologic
            mechanisms:
• Imbalance of Starling forces - Ie, increased
  pulmonary capillary pressure, decreased plasma
  oncotic pressure, increased negative interstitial
  pressure
• Damage to the alveolar-capillary barrier
• Lymphatic obstruction
• Idiopathic (unknown) mechanism

                                                4
Mechanism of CPE

• alveolar-capillary membrane
• Increase of net flux of fluid from the
  vasculature into the interstitial space
• Net flow of fluid across a membrane is
  determined by applying the following
  equation:
            Q = K(Pcap - Pis) - l(Pcap - Pis)
•                                         5
6
Lymphatics
• 10-20 mL/h
• acute rise in pulmonary arterial capillary
  pressure (ie, to >18 mm Hg)
• chronically elevated LA pressure, the rate
  of lymphatic removal can be as high as
  200 mL/h

                                          7
Stages
Stage 1
• elevated LA pressure→ distention and
  opening of small pulmonary vessels
• blood gas exchange does not deteriorate



                                        8
Stage 2
• fluid and colloid shift into the lung
  interstitium from the pulmonary
  capillaries→but an initial increase in
  lymphatic outflow efficiently removes the
  fluid
• may overpower the drainage capacity of
  the lymphatics
                                        9
Stage 2
• mild hypoxemia
• Tachypnea→stimulation of
  juxtapulmonary capillary (J-type)




                                      10
Stage 3
• alveolar flooding
• abnormalities in gas exchange
• vital capacity and other respiratory
  volumes are substantially reduced
• hypoxemia becomes more severe


                                         11
Cardiac disorders manifesting
           as CPE
•   Atrial outflow obstruction
•   LV systolic dysfunction
•   LV diastolic dysfunction
•   Dysrhythmias
•   LV hypertrophy and cardiomyopathies
•   LV volume overload
•   Myocardial infarction
•   LV outflow obstruction                12
Presentation
• History

• Physical Examination




                           13
History

Symptoms
• Sudden (acute)
• Long-term (chronic)



                        14
Sudden (acute)
• Extreme shortness of breath or difficulty
  breathing (dyspnea) that worsens when lying
  down
• A feeling of suffocating or drowning
• Wheezing or gasping for breath
• Anxiety, restlessness or a sense of apprehension
• A cough that produces frothy sputum that may
  be tinged with blood
                                              15
Sudden (acute)
• Excessive sweating
• Pale skin
• Chest pain, if pulmonary edema is caused
  by heart disease
• A rapid, irregular heartbeat (palpitations)


                                          16
Long-term (chronic)

• Having more shortness of breath than normal
  when you're physically active
• Difficulty breathing with exertion, often when
  you're lying flat as opposed to sitting up
• Wheezing
• Awakening at night with a breathless feeling
  that may be relieved by sitting up
• Rapid weight gain
                                              17
Long-term (chronic)
•   Swelling in your legs and ankles
•   Loss of appetite
•   Fatigue
•   Ortner sign?



                                       18
Physical Examination
•   Tachypnea
•   Tachycardia
•   sitting upright→air hunger
•   Confuse
•   agitate
•   anxious
•   diaphoretic                  19
• Hypertension
• Hypotension indicates severe LV systolic
  dysfunction and the possibility of
  cardiogenic shock
• Cool extremities may indicate low
  cardiac output and poor perfusion.

                                       20
21
Auscultation
• fine, crepitant rales
• rhonchi or wheezes may also be present
• Cardiovascular findings→S3,accentuation
  of the pulmonic component of S2, jugular
  venous distention
• Auscultation of murmurs→acute valvular
  disorders
                                       22
Auscultation
• Aortic stenosis→ harsh crescendo-
  decrescendo systolic murmur, which is heard
  best at the upper sternal border and radiating to
  the carotid arteries
• acute aortic regurgitation→short, soft diastolic
  murmur
• Acute mitral regurgitation produces a loud
  systolic murmur heard best at the apex or lower
  sternal border                                23
• Mitral stenosis typically produces a loud
  S1, opening snap, and diastolic rumble at
  the cardiac apex
• skin pallor or mottling→peripheral
  vasoconstriction, low cardiac output


                                         24
Severe CPE→mental status→hypoxia or
  hypercapnia
hypercapnia with respiratory acidosis may be seen
  in patients with severe CPE or underlying
  chronic obstructive pulmonary disease (COPD).




                                             25
Diagnostic Considerations
Cardiogenic pulmonary edema (CPE) should be
  differentiated from pulmonary edema associated
  with injury to the alveolar-capillary membrane,
  caused by diverse etiologies.




                                             26
DDx
•   Acute Respiratory Distress Syndrome
•   Asthma
•   Cardiogenic Shock
•   Chronic Obstructive Pulmonary Disease
•   Emphysema
•   Goodpasture Syndrome
•   Myocardial Infarction               27
DDx
•   Pneumothorax
•   High-altitude pulmonary edema
•   Neurogenic pulmonary edema
•   Pulmonary embolism
•   Respiratory failure


                                    28
DDx
• Pneumocystis (carinii) jiroveci
  Pneumonia
• Pneumonia, Bacterial
• Pneumonia, Viral



                                    29
differentiate CPE from NCPE
• In CPE, a history of an acute cardiac
  event is usually present
• low-flow state
• S3 gallop
• jugular venous distention
• crackles on auscultation

                                          30
differentiate CPE from NCPE
Patients with NCPE have a warm periphery, a
  bounding pulse, and no S3 gallop or jugular
  venous distention
Definite differentiation is based on pulmonary
  capillary wedge pressure (PCWP) measurements.
  The PCWP is generally >18 mm Hg in CPE and <
  18 mm Hg in NCPE, but superimposition of chronic
  pulmonary vascular disease can make this
  distinction difficult to assess.
                                                31
Workup
Lab studies
• Complete blood count
• Serum electrolyte measurements
• Blood urea nitrogen (BUN) and creatinine
• Pulse oximetry
• Arterial blood gas analysis
                                       32
Electrocardiography
•   LA enlargement
•   LV hypertrophy
•   acute tachydysrhythmia
•   bradydysrhythmia
•   acute myocardial ischemia or infarction


                                          33
BNP
EFFECTS
1.Vasodilation
2. Diuresis
3. Natriuresis
4. Suppression of Renin Angiotensin Sys


                                          34
BNP testing
• high negative predictive value; that is, in
  patients with BNP value of under 100 pg/mL,
  heart failure is unlikely

Values of 100-400 pg/mL may be related to
  various pulmonary conditions, such as cor
  pulmonale, COPD, and pulmonary embolism.

                                            35
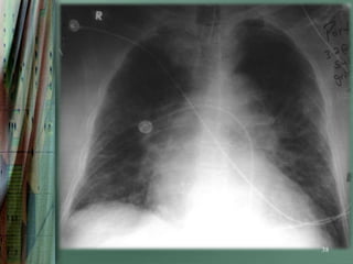
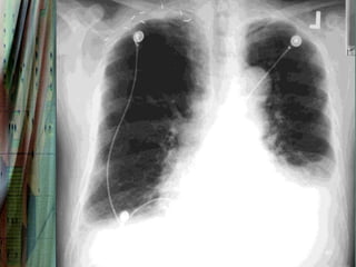
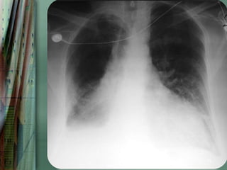
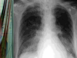
Radiography
Chest radiography is helpful in distinguishing CPE from other
   pulmonary causes of severe dyspnea.
Features that suggest CPE rather than NCPE and other lung
   pathologies include the following:
•   Enlarged heart
•   Inverted blood flow
•   Kerley lines
•   Basilar edema (vs diffuse edema)
•   Absence of air bronchograms
•   Presence of pleural effusion (particularly bilateral and
                                                           36
    symmetrical pleural effusions)
37
38
39
40
41
Echocardiography
important diagnostic tool in determining the etiology of
   pulmonary edema
helpful in identifying a mechanical etiology for pulmonary
   edema, such as the following:
•   Acute papillary muscle rupture
•   Acute ventricular septal defect
•   Cardiac tamponade
•   Contained LV rupture
•   Valvular vegetation with resulting acute severe
                                                 42
    mitral, aortic regurgitation
Pulmonary Arterial Catheter
PCWP can be measured with a pulmonary arterial catheter
  (Swan-Ganz catheter)
This method helps in differentiating CPE from NCPE
A PCWP exceeding 18 mm Hg in a patient not known to
  have chronically elevated LA pressure indicates CPE.




                                                   43
Treatment
Following initial management, medical treatment of CPE
   focuses on 3 main goals
(1) reduction of pulmonary venous return (preload
    reduction)
(2) reduction of systemic vascular resistance (afterload
    reduction)
(3) inotropic support



                                                      44
Treatment
Patients with severe LV dysfunction or acute valvular
  disorders may present with hypotension. These patients
  may not tolerate medications to reduce their preload and
  afterload. Therefore, inotropic support is necessary in
  this subset of patients to maintain adequate blood
  pressure.




                                                      45
Ventilatory Support
• Noninvasive pressure-support ventilation

• Mechanical ventilation




                                        46
Preload Reduction
•   Nitroglycerin
•   Diuretics
•   Morphine sulfate
•   Nesiritide



                             47
Afterload Reduction
•   ACE inhibitors
•   Angiotensin II receptor blockers
•   Nitroprusside
•   Phosphodiesterase inhibitors



                                       48
Inotropic support
•   Dobutamine
•   Dopamine
•   Norepinephrine
•   Phosphodiesterase inhibitors
•   Calcium sensitizers


                                   49
SUMMARY
ABC
REDISTRIBUTE FLUID OUT OF LUNGS!
1ST Line: Nitrates
2 ND Line: ACE Inhibitors
3RD Line: Diuretics
NIPPV – use early !
Milrinone – preferred inotrope
                                   50
51

CARDIOGENIC PULMONARY EDEMA

  • 1.
    IN THE NAMEOF GOD CARDIOGENIC PULMONARY EDEMA 1
  • 2.
  • 3.
    CPE CPE due to: • increased capillary hydrostatic pressure secondary to elevated pulmonary venous pressure 3
  • 4.
    following major pathophysiologic mechanisms: • Imbalance of Starling forces - Ie, increased pulmonary capillary pressure, decreased plasma oncotic pressure, increased negative interstitial pressure • Damage to the alveolar-capillary barrier • Lymphatic obstruction • Idiopathic (unknown) mechanism 4
  • 5.
    Mechanism of CPE •alveolar-capillary membrane • Increase of net flux of fluid from the vasculature into the interstitial space • Net flow of fluid across a membrane is determined by applying the following equation: Q = K(Pcap - Pis) - l(Pcap - Pis) • 5
  • 6.
  • 7.
    Lymphatics • 10-20 mL/h •acute rise in pulmonary arterial capillary pressure (ie, to >18 mm Hg) • chronically elevated LA pressure, the rate of lymphatic removal can be as high as 200 mL/h 7
  • 8.
    Stages Stage 1 • elevatedLA pressure→ distention and opening of small pulmonary vessels • blood gas exchange does not deteriorate 8
  • 9.
    Stage 2 • fluidand colloid shift into the lung interstitium from the pulmonary capillaries→but an initial increase in lymphatic outflow efficiently removes the fluid • may overpower the drainage capacity of the lymphatics 9
  • 10.
    Stage 2 • mildhypoxemia • Tachypnea→stimulation of juxtapulmonary capillary (J-type) 10
  • 11.
    Stage 3 • alveolarflooding • abnormalities in gas exchange • vital capacity and other respiratory volumes are substantially reduced • hypoxemia becomes more severe 11
  • 12.
    Cardiac disorders manifesting as CPE • Atrial outflow obstruction • LV systolic dysfunction • LV diastolic dysfunction • Dysrhythmias • LV hypertrophy and cardiomyopathies • LV volume overload • Myocardial infarction • LV outflow obstruction 12
  • 13.
  • 14.
  • 15.
    Sudden (acute) • Extremeshortness of breath or difficulty breathing (dyspnea) that worsens when lying down • A feeling of suffocating or drowning • Wheezing or gasping for breath • Anxiety, restlessness or a sense of apprehension • A cough that produces frothy sputum that may be tinged with blood 15
  • 16.
    Sudden (acute) • Excessivesweating • Pale skin • Chest pain, if pulmonary edema is caused by heart disease • A rapid, irregular heartbeat (palpitations) 16
  • 17.
    Long-term (chronic) • Havingmore shortness of breath than normal when you're physically active • Difficulty breathing with exertion, often when you're lying flat as opposed to sitting up • Wheezing • Awakening at night with a breathless feeling that may be relieved by sitting up • Rapid weight gain 17
  • 18.
    Long-term (chronic) • Swelling in your legs and ankles • Loss of appetite • Fatigue • Ortner sign? 18
  • 19.
    Physical Examination • Tachypnea • Tachycardia • sitting upright→air hunger • Confuse • agitate • anxious • diaphoretic 19
  • 20.
    • Hypertension • Hypotensionindicates severe LV systolic dysfunction and the possibility of cardiogenic shock • Cool extremities may indicate low cardiac output and poor perfusion. 20
  • 21.
  • 22.
    Auscultation • fine, crepitantrales • rhonchi or wheezes may also be present • Cardiovascular findings→S3,accentuation of the pulmonic component of S2, jugular venous distention • Auscultation of murmurs→acute valvular disorders 22
  • 23.
    Auscultation • Aortic stenosis→harsh crescendo- decrescendo systolic murmur, which is heard best at the upper sternal border and radiating to the carotid arteries • acute aortic regurgitation→short, soft diastolic murmur • Acute mitral regurgitation produces a loud systolic murmur heard best at the apex or lower sternal border 23
  • 24.
    • Mitral stenosistypically produces a loud S1, opening snap, and diastolic rumble at the cardiac apex • skin pallor or mottling→peripheral vasoconstriction, low cardiac output 24
  • 25.
    Severe CPE→mental status→hypoxiaor hypercapnia hypercapnia with respiratory acidosis may be seen in patients with severe CPE or underlying chronic obstructive pulmonary disease (COPD). 25
  • 26.
    Diagnostic Considerations Cardiogenic pulmonaryedema (CPE) should be differentiated from pulmonary edema associated with injury to the alveolar-capillary membrane, caused by diverse etiologies. 26
  • 27.
    DDx • Acute Respiratory Distress Syndrome • Asthma • Cardiogenic Shock • Chronic Obstructive Pulmonary Disease • Emphysema • Goodpasture Syndrome • Myocardial Infarction 27
  • 28.
    DDx • Pneumothorax • High-altitude pulmonary edema • Neurogenic pulmonary edema • Pulmonary embolism • Respiratory failure 28
  • 29.
    DDx • Pneumocystis (carinii)jiroveci Pneumonia • Pneumonia, Bacterial • Pneumonia, Viral 29
  • 30.
    differentiate CPE fromNCPE • In CPE, a history of an acute cardiac event is usually present • low-flow state • S3 gallop • jugular venous distention • crackles on auscultation 30
  • 31.
    differentiate CPE fromNCPE Patients with NCPE have a warm periphery, a bounding pulse, and no S3 gallop or jugular venous distention Definite differentiation is based on pulmonary capillary wedge pressure (PCWP) measurements. The PCWP is generally >18 mm Hg in CPE and < 18 mm Hg in NCPE, but superimposition of chronic pulmonary vascular disease can make this distinction difficult to assess. 31
  • 32.
    Workup Lab studies • Completeblood count • Serum electrolyte measurements • Blood urea nitrogen (BUN) and creatinine • Pulse oximetry • Arterial blood gas analysis 32
  • 33.
    Electrocardiography • LA enlargement • LV hypertrophy • acute tachydysrhythmia • bradydysrhythmia • acute myocardial ischemia or infarction 33
  • 34.
    BNP EFFECTS 1.Vasodilation 2. Diuresis 3. Natriuresis 4.Suppression of Renin Angiotensin Sys 34
  • 35.
    BNP testing • highnegative predictive value; that is, in patients with BNP value of under 100 pg/mL, heart failure is unlikely Values of 100-400 pg/mL may be related to various pulmonary conditions, such as cor pulmonale, COPD, and pulmonary embolism. 35
  • 36.
    Radiography Chest radiography ishelpful in distinguishing CPE from other pulmonary causes of severe dyspnea. Features that suggest CPE rather than NCPE and other lung pathologies include the following: • Enlarged heart • Inverted blood flow • Kerley lines • Basilar edema (vs diffuse edema) • Absence of air bronchograms • Presence of pleural effusion (particularly bilateral and 36 symmetrical pleural effusions)
  • 37.
  • 38.
  • 39.
  • 40.
  • 41.
  • 42.
    Echocardiography important diagnostic toolin determining the etiology of pulmonary edema helpful in identifying a mechanical etiology for pulmonary edema, such as the following: • Acute papillary muscle rupture • Acute ventricular septal defect • Cardiac tamponade • Contained LV rupture • Valvular vegetation with resulting acute severe 42 mitral, aortic regurgitation
  • 43.
    Pulmonary Arterial Catheter PCWPcan be measured with a pulmonary arterial catheter (Swan-Ganz catheter) This method helps in differentiating CPE from NCPE A PCWP exceeding 18 mm Hg in a patient not known to have chronically elevated LA pressure indicates CPE. 43
  • 44.
    Treatment Following initial management,medical treatment of CPE focuses on 3 main goals (1) reduction of pulmonary venous return (preload reduction) (2) reduction of systemic vascular resistance (afterload reduction) (3) inotropic support 44
  • 45.
    Treatment Patients with severeLV dysfunction or acute valvular disorders may present with hypotension. These patients may not tolerate medications to reduce their preload and afterload. Therefore, inotropic support is necessary in this subset of patients to maintain adequate blood pressure. 45
  • 46.
    Ventilatory Support • Noninvasivepressure-support ventilation • Mechanical ventilation 46
  • 47.
    Preload Reduction • Nitroglycerin • Diuretics • Morphine sulfate • Nesiritide 47
  • 48.
    Afterload Reduction • ACE inhibitors • Angiotensin II receptor blockers • Nitroprusside • Phosphodiesterase inhibitors 48
  • 49.
    Inotropic support • Dobutamine • Dopamine • Norepinephrine • Phosphodiesterase inhibitors • Calcium sensitizers 49
  • 50.
    SUMMARY ABC REDISTRIBUTE FLUID OUTOF LUNGS! 1ST Line: Nitrates 2 ND Line: ACE Inhibitors 3RD Line: Diuretics NIPPV – use early ! Milrinone – preferred inotrope 50
  • 51.