BREAST ULTRASOUND TECHNIQUES
Presented by: Syed Yousaf Farooq
INTRODUCTION
• Breast ultrasound uses high-frequency sound waves to map the
internal structures of the breast
• With new high-frequency transducers, it is also possible to
detect malignancy associated with mammographically
detected clustered microcalcifications.
• These lesions may be evident as irregular masses,
abnormal dilated ducts or clustered foci of increased
echogenicity with increased Doppler vascularity.
INTRODUCTION
• Ultrasound has high sensitivity (95.7%) and high NPV
(99.9%) in detecting breast lesions.
• Sonography is gaining popularity as a screening tool
especially in ladies below 40 years so can be regarded as
primary imaging modality of choice.
• Its role in conjunction with mammography is well
established fact now.
AJR:199, November 2012
Kolb et al, Buchberger et al, and
Kaplan.
BREAST SONOGRAPHY
EQUIPMENT
SELECTION:
Technique
High-quality images of the normal and
abnormal breast can be obtained with
modern ultrasound equipment.
Transducer
• At the minimum, a 7.5 MHz
linear array probe should be
used.
• 12-14 MHz probe
Initial examination
– Machine to patient’s right
– Image with right hand
– Operate machine with left hand.
Apply gentle uniform pressure
with the ultrasound
transducer
Increase transducer pressure for:
– greater penetration
– scanning the subareolar region.
Scanning is done in three directions.
1. Radial
2. Transverse
3. Longitudinal
Breast USG examination is not complete until
we
check axillary tail and other breast
• Localization is by
the clock face.
12
3
66
39
Recent studies show if strict criteria for lesion analysis are
followed, specificity of ultrasound in determining benign or
malignant reaches 70%.
Ultrasound of the Breast
• All macroscopic breast structures can be easily imaged with
adequate sonographic equipment.
The breast can be divided into five regions
• skin, nipple, subareolar tissues
• subcutaneous region
• parenchyma (between the subcutaneous and retro
mammary regions)
• retromammary region.
• Axillary tail
SONOGRAPHIC BREAST
ANATOMY
ULTRASOUND INTERPRETATION
• The subcutaneous fat layer is demonstrated
superficially as hypoechoic tissue compared to the
glandular tissue from which it is separated by a well-
defined scalloped margin.
• Normal ducts are often visible, particularly in the
subareolar
region, as anechoic tubular structures.
• Deep to the glandular tissue, a retromammary fat
layer is usually visible and, behind this, the
structures of the chest wall.
SONOGRAPHIC BREAST ANATOMY
• Skin
• Subcutaneous fat
• Cooper’s Ligaments
• Breast parenchyma
• Retromammary fat
• Pectoralis muscle
• Ribs
• Pleura
• Nipple
NIPPLE
Consists of both
dense connective
tissue and
connective tissue of
the duct which can
cause posterior
acoustic shadowing
Ultrasound showing dilated ducts (lactating)
The duct appears as branching hypoechoic structure
within echogenic glandular tissue.
Intramammary vessel running
branching under the skin.
LYMPH NODE
•Solid nodule
•Ovoid
•Echogenic fatty hilum
INDICATIONS
• The original role of breast sonography is in
the differentiation of cystic and solid
lesions.
• Ultrasound complements both
clinical examination and
mammography.
• It is also successfully used as a 'second-
look' procedure where an abnormality
has been identified using MRI.
continue
SIMPLE CYSTS ON ULTRASOUND
Ultrasound:
– Sonographic criteria set forth by Stavros:
• Anechoic.
• Well circumscribed with a thin echogenic
capsule.
• Increased through-transmission.
• Thin edge shadows.
SIMPLE BREAST
CYST
The first diagnostic imaging
study Is
mammography
But ultrasound is important
To differentiate solid from
cyst
COMPLEX
CYSTS
• Thick walls
• Some discrete solid component
– Septa greater than 0.5 mm thick
– Mural nodules.
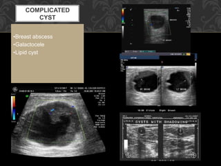
COMPLICATED
CYST
•Breast abscess
•Galactocele
•Lipid cyst
SIMPLE
CYST
Complicated cyst Complex cyst
• Simple cyst
• Galactocele
• Hematoma
• Oil cyst.
• Galactocele
• Hematoma
• Oil cyst.
• Abscess.
• Galactocele
• Hematoma
• Fat necrosis.
• Abscess.
• Necrotic
tumor.
• Papillary
tumor.
• Atypical
ductal
hyperplasia.
SOLID LESIONS
• Benign
• Malignant
• Indeterminate
BENIGN Malignant
Shape Oval/ellipsoid Variable
Alignment Wider than deep; aligned parallelto
tissue planes
Deeper than wide
Margins Smooth/thin
echogenic pseudocapsule with
2-3 gentle lobulations
Irregular or spiculated; echogenic 'halo'
Echotexture Variable to intense
hyperechogenicity
Homogeneity of
internal echoes
Uniform
Low-level
Marked hypoechogenicity
Non-uniform
Lateral
shadowing
Present Absent
Posterior effect Minimum attenuation/posterior
enhancement
Other signs --------------
Attenuation with obscured posterior
margin
Calcification
Microlobulation
Intraductal extension
Infiltration across tissue planes and increased
echogenicity of surrounding fat
BENIGN
CHARACTERISTIC
S
• Round or oval shape
• Smooth
defined
borders
• Uniformly
low/medium level
internal echoes
• Minimal attenuation
if any
• Multiple lobulations
SOLID MASS - MALIGNANT
• Irregular shape
• Irregular/ill-
defined borders
• Almost anechoic
• Angular margin
• Taller than wide
SOLID MASS - MALIGNANT
• Irregular shape
• Irregular/ill-
defined borders
• Almost anechoic
• Angular margin
• Taller than wide
SOLID MASS - MALIGNANT
• Ductal extension
Spiculations
THANK
YOU

Breast ultrasound techniques

  • 1.
  • 2.
    INTRODUCTION • Breast ultrasounduses high-frequency sound waves to map the internal structures of the breast • With new high-frequency transducers, it is also possible to detect malignancy associated with mammographically detected clustered microcalcifications. • These lesions may be evident as irregular masses, abnormal dilated ducts or clustered foci of increased echogenicity with increased Doppler vascularity.
  • 3.
    INTRODUCTION • Ultrasound hashigh sensitivity (95.7%) and high NPV (99.9%) in detecting breast lesions. • Sonography is gaining popularity as a screening tool especially in ladies below 40 years so can be regarded as primary imaging modality of choice. • Its role in conjunction with mammography is well established fact now. AJR:199, November 2012 Kolb et al, Buchberger et al, and Kaplan.
  • 4.
  • 5.
    EQUIPMENT SELECTION: Technique High-quality images ofthe normal and abnormal breast can be obtained with modern ultrasound equipment. Transducer • At the minimum, a 7.5 MHz linear array probe should be used. • 12-14 MHz probe
  • 6.
    Initial examination – Machineto patient’s right – Image with right hand – Operate machine with left hand.
  • 7.
    Apply gentle uniformpressure with the ultrasound transducer Increase transducer pressure for: – greater penetration – scanning the subareolar region. Scanning is done in three directions. 1. Radial 2. Transverse 3. Longitudinal Breast USG examination is not complete until we check axillary tail and other breast
  • 8.
    • Localization isby the clock face. 12 3 66 39
  • 9.
    Recent studies showif strict criteria for lesion analysis are followed, specificity of ultrasound in determining benign or malignant reaches 70%. Ultrasound of the Breast
  • 10.
    • All macroscopicbreast structures can be easily imaged with adequate sonographic equipment. The breast can be divided into five regions • skin, nipple, subareolar tissues • subcutaneous region • parenchyma (between the subcutaneous and retro mammary regions) • retromammary region. • Axillary tail SONOGRAPHIC BREAST ANATOMY
  • 11.
    ULTRASOUND INTERPRETATION • Thesubcutaneous fat layer is demonstrated superficially as hypoechoic tissue compared to the glandular tissue from which it is separated by a well- defined scalloped margin. • Normal ducts are often visible, particularly in the subareolar region, as anechoic tubular structures. • Deep to the glandular tissue, a retromammary fat layer is usually visible and, behind this, the structures of the chest wall.
  • 13.
    SONOGRAPHIC BREAST ANATOMY •Skin • Subcutaneous fat • Cooper’s Ligaments • Breast parenchyma • Retromammary fat • Pectoralis muscle • Ribs • Pleura • Nipple
  • 14.
    NIPPLE Consists of both denseconnective tissue and connective tissue of the duct which can cause posterior acoustic shadowing
  • 15.
    Ultrasound showing dilatedducts (lactating) The duct appears as branching hypoechoic structure within echogenic glandular tissue.
  • 16.
  • 17.
  • 18.
    INDICATIONS • The originalrole of breast sonography is in the differentiation of cystic and solid lesions. • Ultrasound complements both clinical examination and mammography. • It is also successfully used as a 'second- look' procedure where an abnormality has been identified using MRI. continue
  • 19.
    SIMPLE CYSTS ONULTRASOUND Ultrasound: – Sonographic criteria set forth by Stavros: • Anechoic. • Well circumscribed with a thin echogenic capsule. • Increased through-transmission. • Thin edge shadows.
  • 20.
    SIMPLE BREAST CYST The firstdiagnostic imaging study Is mammography But ultrasound is important To differentiate solid from cyst
  • 21.
    COMPLEX CYSTS • Thick walls •Some discrete solid component – Septa greater than 0.5 mm thick – Mural nodules.
  • 22.
  • 23.
    SIMPLE CYST Complicated cyst Complexcyst • Simple cyst • Galactocele • Hematoma • Oil cyst. • Galactocele • Hematoma • Oil cyst. • Abscess. • Galactocele • Hematoma • Fat necrosis. • Abscess. • Necrotic tumor. • Papillary tumor. • Atypical ductal hyperplasia.
  • 24.
    SOLID LESIONS • Benign •Malignant • Indeterminate
  • 25.
    BENIGN Malignant Shape Oval/ellipsoidVariable Alignment Wider than deep; aligned parallelto tissue planes Deeper than wide Margins Smooth/thin echogenic pseudocapsule with 2-3 gentle lobulations Irregular or spiculated; echogenic 'halo' Echotexture Variable to intense hyperechogenicity Homogeneity of internal echoes Uniform Low-level Marked hypoechogenicity Non-uniform Lateral shadowing Present Absent Posterior effect Minimum attenuation/posterior enhancement Other signs -------------- Attenuation with obscured posterior margin Calcification Microlobulation Intraductal extension Infiltration across tissue planes and increased echogenicity of surrounding fat
  • 26.
    BENIGN CHARACTERISTIC S • Round oroval shape • Smooth defined borders • Uniformly low/medium level internal echoes • Minimal attenuation if any • Multiple lobulations
  • 27.
    SOLID MASS -MALIGNANT • Irregular shape • Irregular/ill- defined borders • Almost anechoic • Angular margin • Taller than wide
  • 28.
    SOLID MASS -MALIGNANT • Irregular shape • Irregular/ill- defined borders • Almost anechoic • Angular margin • Taller than wide
  • 29.
    SOLID MASS -MALIGNANT • Ductal extension Spiculations
  • 30.