BONE TUMORS
Prepared by Marwan
Nassar
CONTENTS
* Introduction
* Classification
* Clinical presentation
* Benign tumors of bone
* Malignant tumors of bone
* Manegmaent
* Conclusion
INTRODUCTION
refers to a neoplastic abnormal growth of tissue in bone. It
can be either benign or malignant.
Most bone tumors are benign.
Bone tumors may be classified as:
• primary tumors- malignancy is very rare Commonest primary
bone tumor is multiple myeloma =plasmacytoma , second
osteosarcoma.
• <3rd decade.
• secondary tumors - e.g. Thyroid * Breast * Bronchus * Kidney *
Prostate
• >3rd decade.
Commonest bone tumour is secondaries
CLASSIFICATIONS
based on histologic criteria, particularly on the type of
differentiation shown by tumor cells
-metastasis
lymphoma ,MM
-haemopoietic:
-osteogenic
-chondrogenic
-Marrow Ewing
,Giant-cell ,, Vascular , Other connective tissue
tumours
CLINICAL
PRESENTATION
Clinically, bone tumors present in various ways.
The more common benign lesions are:
• frequently asymptomatic and are detected as
incidental findings.
• localized pain or are noticed as a slow-growing
mass.
• Sometimes, the first hint of a tumor's presence is a
sudden pathologic fracture.
SECONDARY TUMORS
*Spine is the third most common site for Mets
* Liver > Lung > Spine “batson venous”
*10% are symptomatic
*most sites :spine, proximal humerus ,proximal femor
*Lytic
vascular MM
by the release of osteoclastogenic agents
*Sclerotic
e.g. prostate/ release of factors that stimulate osteoblast
proliferation, differentiation
*Mixed
May occur in very aggressive destructive with no healing
TREATMENT
*palliative in nature
to prevent further progression and metastasis *and inhibit
pathologic fracture, pain or hypercalcemia.
*individual lesions are surgically excised
*bisphosphonates has shown a decrease in bone resorption
*bone-targeted therapies, such as denosumab.
PRIMARY BENIGN
BONE TUMERS
Osteoid Osteoma
Osteoblastoma
OSTEOCHONDROMA
Chondroblastoma
Fibrous dysplasia
Simple bone cyst
Giant cell
Enchondroma
OSTEOGENIC
*Osteoid osteoma :small painful produce dense
cortical reaction
*osteoblastoma :larger and more aggressive
than osteoid osteoma
*osteosarcoma :malignant most common in lower femur and
upper tibia
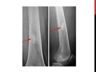
OSTEOID OSTEOMA
Benign bone forming tumor small but very painful
It has a center of growing cells, called a nidus =vascularized tumer(less
than 1 cm) surrounded by a hard shell of reactive thickened bone.
Clinical Features.
• Age: young persons 20-30y
• Sex: males:female - 3:1.
• Site: Frequently in the femur or in the tibia.
• In head and neck→ Cervical spine > mandible and maxilla.
• Chief symptoms → severe pain → unrelenting and sharp, worse at night.
• Classically, the pain is relieved by aspirin.
Treatment:
• is surgically cutting out of the entire
tumor, particularly the central core, for a
good outcome
OSTEOBLASTOMA (GIANT OSTEOID
OSTEOMA)
• Osteoblastoma accounts →1% of primary bone tumors.
• It is typically a slow-growing, benign bone tumor.
Clinical Features
• Age: in young persons, 20-30 years.
• Sex: Males>Females.
• C/P: characterized clinically by pain and swelling. pain →
more generalized and less likely relieved by salicylates.
• Most common site → vertebral column. • Mandible >
Maxilla • Occurs in Periosteal, cortical, or medullary location
OSTEOCHONDROMA
One of the commonest tumor of bone (45% of all benign)
It is developmental lesion which is an outgrowth of the growth plate
and is made up of both bone and cartilage (cartilage-capped bone).
*Can be simple or multiple
• Occurs frequently in the metaphyseal region of the long bones
• Osteochondroma can eventually transform into a chondrosarcoma
in 1–3%
Etiology: theories Developmental, Reparative, and Traumatic
Radiation-induced osteochondroma Stress
CLINICAL FEATURES
• Age- 13-78 years
• Sex: females> males
• Site: coronoid process and the mandibular condyle are the
affected.
• slow growing.
The most common symptom of an osteochondroma is
a painless mass near the joints
An osteochondroma ordinarily stops growing when a
person reaches full normal growth any further
enlargment is suggestive of malignant change.
Treatment:
• Usually no treatment is required.
• Surgical Excision, if causes pain or put pressure in the
nerve or blood vessels.
Clinical presentation: • facial asymmetry, malocclusion, cross-bite on contra-
lateral side and lateral open-bite on the affected side, deviation on opening,
hypomobility, pain and clicking
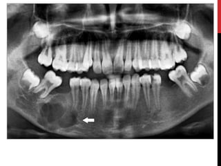
ENCHONDROMA
plate remnants that are not resorbed and either persist or begin to grow
in the medullary canal on the metaphyseal side of the growth plate.
benign Cartilaginous islands growth In medullary cavity.
about 10% of benign osseous tumors,
It is very common and often occure in the small bone of the
hand and feet. Others femur, humerus, ribs.
Appear inside of the bone.
Usually begin and grow in childhood, then stop growing but
remain through adulthood.(10-20 age)
Can be single or multiple
Symptoms:
• Usually painless.
• But can causes enlarged fingers, pathologic
fracture or deformities.
X-ray finding:
• Dark hole in bone, but usually they have
calcification or white spot in the hole.
Treatment:
• No treatment is required for asymptomatic lesions.
• If fracture occurs, it is usually treated with scraping out
and filling of the cavity with bone grafting.
Risk of transformation:
• < 2% will transform to chondrosarcoma.
• pain without pathological fracture.
CHONDROBLASTOMA
It is rare type of benign tumor.
Genatic /signaling problem
It is appear in epiphysis usually in proximal humrus, femur or tibia.
Presenting with aching & tenderness adjacent joint. Fluid buildup
and affect motion
most chondroblastomas are small, well-marginated lesions, a small
subset of chondroblastomas behave in a much more aggressive
fashion. Some nonetheless become very large or have the capability
of metastasizing to the lungs and soft tissues.
TREATMENT
It requires surgery by scraping out and filling of
the cavity with bone grafting .
FIBROUS DYSPLASIA
Replacement of the medullary bone with fibrous tissue
and woven bone .
bone that is weak and prone to expansion. As a result,
most complications result from fracture, deformity,
functional impairment and pain.
Disease occurs along a broad clinical spectrum
ranging from asymptomatic, incidental lesions to
severe disabling disease.
It can affect one bone (monostotic) or many bones
(polystotic) .
Gsα signaling mutation results in impaired differentiation and
proliferation of bone stromal cells .
Fibrous dysplasia leads to bone weakness so
it can cause angulation bent of the bone
(shepherd’s crook deformity)
SIMPLE BONE CYST
Theory :venous obstruction within the bone appears to be a
likely cause of such simple bone cysts.
A unicameral bone cyst is a cavity found
within a bone that is filled with straw-
colored fluid. No wall
Appears during childhood typically in the
metaphysis.
Presentation pathologic fracture
Aneurismal type can arise secondarily within a pre-existing bone tumor, because the
abnormal bone causes changes in hemodynamics
GIANT CELL TUMOR
OF BONE
is a very rare, aggressive benign tumor. It
generally occurs in between the ages of 20
and 40 years.
very rarely seen in children or in adults older
than 65 years of age.
is formed by fusion of several individual giant
cells into a single, larger complex cystic.
Localized pain.
Pain increase with movement, decrease
with rest but it progressively increase
with time
Treatment:
Radiation therapy or curettage surgery
SUMMARY
-Most of benign tumors are a symptomatic & an
incidental diagnosed.
-No treatment required for benign tumor except when it
cause pain or can damage epiphysis.
-Some of benign tumor can transform to malignant, the
most important symptom for transforming is pain
without pathological fracture.
MALIGNANT TUMORS
OSTEOSARCOMA
CHONDROSARCOMA
EWINGS SARCOMA
Multiple Myeloma
OSTEOSARCOMA /
OSTEOGENIC SARCOMA
• Osteosarcoma is the third most common cancer in
adolescence, occurring less frequently than only lymphomas
and brain tumors.
• It is thought to arise from a primitive mesenchymal bone
forming cell and is characterized by production of osteoid
ETIOLOGY
• Radiation History : 2% of osteosarcomas.
• pre-existing benign bone disorders –bone dysplasia,
fibrous dysplasia, Pagets disease
• Viral origin40
• Genetic predisposition
Rb, p53, SAS (sarcoma amplified sequence)
• Syndromes – Li-Fraumeni syndrome - Rothmund-
Thompson syndrome
CLASSIFICATION OF
OSTEOSARCOMA
Primary osteosarcomas :
* Osteoblastic (50%) *Chondroblastic (25%) * Fibroblastic
(25%)
• Secondary osteosarcomas
*Paget’s disease and after radiation exposure.
CLINICAL FEATURES
• Sex- M>F • Age – 3 rd and 4th decade
• Site - metaphysial growth plates of extremities of long
bones
• femur>tibia>humerus>skull or jaw>pelvis
*C/P:
Painless or painful bony swelling
• Facial deformity, loose teeth, toothache,
• Numbness & limited mouth opening
• Suppuration
TREATMENT
• Long bone involvement→ amputation is a prime requisite.
• Radical resection
• neoadjuvent chemotherapy →facilitate subsequent surgical
removal by shrinking the tumor.
• Adjuvant chemotherapy in combination with surgery,
including resection of pulmonary metastases, has appeared
to offer promise of increased survival from this disease
• Overall 5 years survival – 63%
CHONDROSARCOMA
• Chondrosarcoma is a malignant tumor characterized by the
formation of cartilage.
• Comprise about 10% of all primary tumors
Types:
• Primary: arise directly from the cartilage
• Secondary: develop in a pre-existing benign cartilaginous
tumor.
→ lobular, blue-gray to gray-white,
translucent, glistening surface
CLINICAL FEATURES
• Age: 6th - 7 th decade
• No significant sex predilection
• Site: In head and neck→ maxilla, mandible, base of the
skull, cervical vertebrae, nasal cavity and nasal septum.
• c/p: painless mass or swelling, loosening of teeth.
• Maxillary tumors may cause nasal obstruction, congestion ,
epistaxis, photophobia, or visual loss.
TREATMENT AND
PROGNOSIS
• Prognosis in chondrosarcoma depends primarily on the
ability to adequately excise the tumor
• Radical surgical excision.
• Radiation and chemotherapy are less effective
• 5-year survival rate →43% to 95 %
EWINGS SARCOMA
• Ewing’s sarcoma is a sarcoma of the bone.
• uncommonly involve the head and neck
• Incidence →1-3 cases per million of population per year.
• James Ewing (1866–1943) first described the tumor
Pathogenesis
• Balanced t(11:22) (q24;q12) chromosomal translocation-
85%
Dysregulated signaling of receptor tyrosine kinase. • Altered
pathways of RB and p53
CLINICAL FEATURES
• Age: children and young adults, 5-25 years,
• Male: female= 2:1
• uncommon in blacks.
• Site: long bones of the extremities, In head and neck region, It
involves skull, clavicle, maxilla and mandible. Mandible ˃ maxilla.
• Earliest sign: Pain, usually of an intermittent nature, and Swelling of
the involved bone
• Facial neuralgia and lip paresthesia
• Jaw swelling
• Ulcerated intraoral mass
• Low -grade fever
• Elevated WBC
• Extraskeletal form- Ewing’s Sarcoma of soft tissue. ‘onion skin’
appearance
Onion apperance
TREATMENT AND
PROGNOSIS
• Chemotherapy
• Radiation therapy
• Surgery
• Five-year survival with a combination of surgery and
chemotherapy is 74%.
MULTIPLE MYELOMA
• Most common primary neoplasm of the skeletal system.
• Malignancy of plasma cells.
• Underlying pathology → Expansion of a single line of
plasma cells that replace normal bone marrow and produce
monoclonal immunoglobulins.
• Diffuse disease of the bone marrow.
Etiology
• Radiation exposure
• Occupational exposure • Chemical exposure • Frequent
aberrations of chromosomes 1 and 14 • Mutations of the ras
oncogene and p53 gene mutations • Interleukin-6 (IL-6
CLINICAL
PRESENTATION
• Age: 60-65 years
• Sex: males> females
• More common among black people
• Site: mandible> maxilla
• Number of lytic foci or diffuse demineralization.
• Anemia, azotemia, hypercalcemia, recurrent infection.
• Extramedullary plasmacytoma- tonsils, nasopharynx, or
paranasal sinuses
TREATMENT AND
PROGNOSIS.
• Bisphosphonate therapy → reduction of osteoclastic
activity and bone mineralization maintenance.
• Chemotherapy • Extramedullary plasmacytoma → radiation
therapy
• Infection, anemia and kidney failure are the most common
immediate causes of death
Signs and
symptoms
biobsy
Staging Treatment
Thank you

Bone tumors

  • 1.
  • 2.
    CONTENTS * Introduction * Classification *Clinical presentation * Benign tumors of bone * Malignant tumors of bone * Manegmaent * Conclusion
  • 3.
    INTRODUCTION refers to aneoplastic abnormal growth of tissue in bone. It can be either benign or malignant. Most bone tumors are benign. Bone tumors may be classified as: • primary tumors- malignancy is very rare Commonest primary bone tumor is multiple myeloma =plasmacytoma , second osteosarcoma. • <3rd decade. • secondary tumors - e.g. Thyroid * Breast * Bronchus * Kidney * Prostate • >3rd decade. Commonest bone tumour is secondaries
  • 4.
    CLASSIFICATIONS based on histologiccriteria, particularly on the type of differentiation shown by tumor cells -metastasis lymphoma ,MM -haemopoietic: -osteogenic -chondrogenic -Marrow Ewing ,Giant-cell ,, Vascular , Other connective tissue tumours
  • 6.
    CLINICAL PRESENTATION Clinically, bone tumorspresent in various ways. The more common benign lesions are: • frequently asymptomatic and are detected as incidental findings. • localized pain or are noticed as a slow-growing mass. • Sometimes, the first hint of a tumor's presence is a sudden pathologic fracture.
  • 7.
    SECONDARY TUMORS *Spine isthe third most common site for Mets * Liver > Lung > Spine “batson venous” *10% are symptomatic *most sites :spine, proximal humerus ,proximal femor *Lytic vascular MM by the release of osteoclastogenic agents *Sclerotic e.g. prostate/ release of factors that stimulate osteoblast proliferation, differentiation *Mixed May occur in very aggressive destructive with no healing
  • 9.
    TREATMENT *palliative in nature toprevent further progression and metastasis *and inhibit pathologic fracture, pain or hypercalcemia. *individual lesions are surgically excised *bisphosphonates has shown a decrease in bone resorption *bone-targeted therapies, such as denosumab.
  • 10.
    PRIMARY BENIGN BONE TUMERS OsteoidOsteoma Osteoblastoma OSTEOCHONDROMA Chondroblastoma Fibrous dysplasia Simple bone cyst Giant cell Enchondroma
  • 11.
    OSTEOGENIC *Osteoid osteoma :smallpainful produce dense cortical reaction *osteoblastoma :larger and more aggressive than osteoid osteoma *osteosarcoma :malignant most common in lower femur and upper tibia
  • 12.
    OSTEOID OSTEOMA Benign boneforming tumor small but very painful It has a center of growing cells, called a nidus =vascularized tumer(less than 1 cm) surrounded by a hard shell of reactive thickened bone. Clinical Features. • Age: young persons 20-30y • Sex: males:female - 3:1. • Site: Frequently in the femur or in the tibia. • In head and neck→ Cervical spine > mandible and maxilla. • Chief symptoms → severe pain → unrelenting and sharp, worse at night. • Classically, the pain is relieved by aspirin.
  • 14.
    Treatment: • is surgicallycutting out of the entire tumor, particularly the central core, for a good outcome
  • 15.
    OSTEOBLASTOMA (GIANT OSTEOID OSTEOMA) •Osteoblastoma accounts →1% of primary bone tumors. • It is typically a slow-growing, benign bone tumor. Clinical Features • Age: in young persons, 20-30 years. • Sex: Males>Females. • C/P: characterized clinically by pain and swelling. pain → more generalized and less likely relieved by salicylates. • Most common site → vertebral column. • Mandible > Maxilla • Occurs in Periosteal, cortical, or medullary location
  • 17.
    OSTEOCHONDROMA One of thecommonest tumor of bone (45% of all benign) It is developmental lesion which is an outgrowth of the growth plate and is made up of both bone and cartilage (cartilage-capped bone). *Can be simple or multiple • Occurs frequently in the metaphyseal region of the long bones • Osteochondroma can eventually transform into a chondrosarcoma in 1–3%
  • 18.
    Etiology: theories Developmental,Reparative, and Traumatic Radiation-induced osteochondroma Stress
  • 19.
    CLINICAL FEATURES • Age-13-78 years • Sex: females> males • Site: coronoid process and the mandibular condyle are the affected. • slow growing.
  • 20.
    The most commonsymptom of an osteochondroma is a painless mass near the joints An osteochondroma ordinarily stops growing when a person reaches full normal growth any further enlargment is suggestive of malignant change. Treatment: • Usually no treatment is required. • Surgical Excision, if causes pain or put pressure in the nerve or blood vessels.
  • 21.
    Clinical presentation: •facial asymmetry, malocclusion, cross-bite on contra- lateral side and lateral open-bite on the affected side, deviation on opening, hypomobility, pain and clicking
  • 23.
    ENCHONDROMA plate remnants thatare not resorbed and either persist or begin to grow in the medullary canal on the metaphyseal side of the growth plate. benign Cartilaginous islands growth In medullary cavity. about 10% of benign osseous tumors, It is very common and often occure in the small bone of the hand and feet. Others femur, humerus, ribs. Appear inside of the bone. Usually begin and grow in childhood, then stop growing but remain through adulthood.(10-20 age)
  • 24.
    Can be singleor multiple Symptoms: • Usually painless. • But can causes enlarged fingers, pathologic fracture or deformities. X-ray finding: • Dark hole in bone, but usually they have calcification or white spot in the hole.
  • 27.
    Treatment: • No treatmentis required for asymptomatic lesions. • If fracture occurs, it is usually treated with scraping out and filling of the cavity with bone grafting. Risk of transformation: • < 2% will transform to chondrosarcoma. • pain without pathological fracture.
  • 28.
    CHONDROBLASTOMA It is raretype of benign tumor. Genatic /signaling problem It is appear in epiphysis usually in proximal humrus, femur or tibia. Presenting with aching & tenderness adjacent joint. Fluid buildup and affect motion most chondroblastomas are small, well-marginated lesions, a small subset of chondroblastomas behave in a much more aggressive fashion. Some nonetheless become very large or have the capability of metastasizing to the lungs and soft tissues.
  • 30.
    TREATMENT It requires surgeryby scraping out and filling of the cavity with bone grafting .
  • 31.
    FIBROUS DYSPLASIA Replacement ofthe medullary bone with fibrous tissue and woven bone . bone that is weak and prone to expansion. As a result, most complications result from fracture, deformity, functional impairment and pain. Disease occurs along a broad clinical spectrum ranging from asymptomatic, incidental lesions to severe disabling disease. It can affect one bone (monostotic) or many bones (polystotic) .
  • 32.
    Gsα signaling mutationresults in impaired differentiation and proliferation of bone stromal cells . Fibrous dysplasia leads to bone weakness so it can cause angulation bent of the bone (shepherd’s crook deformity)
  • 33.
    SIMPLE BONE CYST Theory:venous obstruction within the bone appears to be a likely cause of such simple bone cysts. A unicameral bone cyst is a cavity found within a bone that is filled with straw- colored fluid. No wall Appears during childhood typically in the metaphysis. Presentation pathologic fracture
  • 34.
    Aneurismal type canarise secondarily within a pre-existing bone tumor, because the abnormal bone causes changes in hemodynamics
  • 35.
    GIANT CELL TUMOR OFBONE is a very rare, aggressive benign tumor. It generally occurs in between the ages of 20 and 40 years. very rarely seen in children or in adults older than 65 years of age. is formed by fusion of several individual giant cells into a single, larger complex cystic.
  • 36.
    Localized pain. Pain increasewith movement, decrease with rest but it progressively increase with time Treatment: Radiation therapy or curettage surgery
  • 38.
    SUMMARY -Most of benigntumors are a symptomatic & an incidental diagnosed. -No treatment required for benign tumor except when it cause pain or can damage epiphysis. -Some of benign tumor can transform to malignant, the most important symptom for transforming is pain without pathological fracture.
  • 39.
  • 40.
    OSTEOSARCOMA / OSTEOGENIC SARCOMA •Osteosarcoma is the third most common cancer in adolescence, occurring less frequently than only lymphomas and brain tumors. • It is thought to arise from a primitive mesenchymal bone forming cell and is characterized by production of osteoid
  • 41.
    ETIOLOGY • Radiation History: 2% of osteosarcomas. • pre-existing benign bone disorders –bone dysplasia, fibrous dysplasia, Pagets disease • Viral origin40 • Genetic predisposition Rb, p53, SAS (sarcoma amplified sequence) • Syndromes – Li-Fraumeni syndrome - Rothmund- Thompson syndrome
  • 42.
    CLASSIFICATION OF OSTEOSARCOMA Primary osteosarcomas: * Osteoblastic (50%) *Chondroblastic (25%) * Fibroblastic (25%) • Secondary osteosarcomas *Paget’s disease and after radiation exposure.
  • 43.
    CLINICAL FEATURES • Sex-M>F • Age – 3 rd and 4th decade • Site - metaphysial growth plates of extremities of long bones • femur>tibia>humerus>skull or jaw>pelvis *C/P: Painless or painful bony swelling • Facial deformity, loose teeth, toothache, • Numbness & limited mouth opening • Suppuration
  • 44.
    TREATMENT • Long boneinvolvement→ amputation is a prime requisite. • Radical resection • neoadjuvent chemotherapy →facilitate subsequent surgical removal by shrinking the tumor. • Adjuvant chemotherapy in combination with surgery, including resection of pulmonary metastases, has appeared to offer promise of increased survival from this disease • Overall 5 years survival – 63%
  • 45.
    CHONDROSARCOMA • Chondrosarcoma isa malignant tumor characterized by the formation of cartilage. • Comprise about 10% of all primary tumors Types: • Primary: arise directly from the cartilage • Secondary: develop in a pre-existing benign cartilaginous tumor. → lobular, blue-gray to gray-white, translucent, glistening surface
  • 46.
    CLINICAL FEATURES • Age:6th - 7 th decade • No significant sex predilection • Site: In head and neck→ maxilla, mandible, base of the skull, cervical vertebrae, nasal cavity and nasal septum. • c/p: painless mass or swelling, loosening of teeth. • Maxillary tumors may cause nasal obstruction, congestion , epistaxis, photophobia, or visual loss.
  • 47.
    TREATMENT AND PROGNOSIS • Prognosisin chondrosarcoma depends primarily on the ability to adequately excise the tumor • Radical surgical excision. • Radiation and chemotherapy are less effective • 5-year survival rate →43% to 95 %
  • 48.
    EWINGS SARCOMA • Ewing’ssarcoma is a sarcoma of the bone. • uncommonly involve the head and neck • Incidence →1-3 cases per million of population per year. • James Ewing (1866–1943) first described the tumor Pathogenesis • Balanced t(11:22) (q24;q12) chromosomal translocation- 85% Dysregulated signaling of receptor tyrosine kinase. • Altered pathways of RB and p53
  • 49.
    CLINICAL FEATURES • Age:children and young adults, 5-25 years, • Male: female= 2:1 • uncommon in blacks. • Site: long bones of the extremities, In head and neck region, It involves skull, clavicle, maxilla and mandible. Mandible ˃ maxilla. • Earliest sign: Pain, usually of an intermittent nature, and Swelling of the involved bone • Facial neuralgia and lip paresthesia • Jaw swelling • Ulcerated intraoral mass • Low -grade fever • Elevated WBC • Extraskeletal form- Ewing’s Sarcoma of soft tissue. ‘onion skin’ appearance
  • 50.
  • 51.
    TREATMENT AND PROGNOSIS • Chemotherapy •Radiation therapy • Surgery • Five-year survival with a combination of surgery and chemotherapy is 74%.
  • 52.
    MULTIPLE MYELOMA • Mostcommon primary neoplasm of the skeletal system. • Malignancy of plasma cells. • Underlying pathology → Expansion of a single line of plasma cells that replace normal bone marrow and produce monoclonal immunoglobulins. • Diffuse disease of the bone marrow. Etiology • Radiation exposure • Occupational exposure • Chemical exposure • Frequent aberrations of chromosomes 1 and 14 • Mutations of the ras oncogene and p53 gene mutations • Interleukin-6 (IL-6
  • 53.
    CLINICAL PRESENTATION • Age: 60-65years • Sex: males> females • More common among black people • Site: mandible> maxilla • Number of lytic foci or diffuse demineralization. • Anemia, azotemia, hypercalcemia, recurrent infection. • Extramedullary plasmacytoma- tonsils, nasopharynx, or paranasal sinuses
  • 54.
    TREATMENT AND PROGNOSIS. • Bisphosphonatetherapy → reduction of osteoclastic activity and bone mineralization maintenance. • Chemotherapy • Extramedullary plasmacytoma → radiation therapy • Infection, anemia and kidney failure are the most common immediate causes of death
  • 56.
  • 58.