APPARATO RESPIRATORIO
a cura di
Brunella Grassi, Chiara Lasagna
Funzioni principali dell’apparato respiratorio :
- Provvede all’ottimale assunzione di ossigeno attraverso la
respirazione
- Permette la ventilazione polmonare, cioè l’alternarsi di
inspirazione ed espirazione
- Permette di parlare, ridere e piangere
- Permette l’ossigenazione del sangue e l’eliminazione del
diossido di carbonio
L’apparato respiratorio comprende :
- La porzione di conduzione, che consentono il transito
dell’aria (naso, faringe, laringe, trachea, bronchi e
bronchioli)
- La porzione respiratoria, che comprende i tessuti
polmonari dove avviene lo scambio di gas (alveoli)
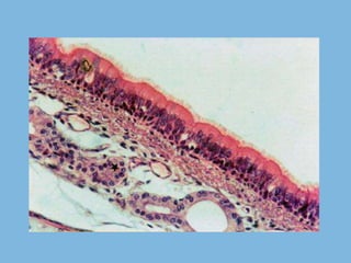
MUCOSA RESPIRATORIA
Costituisce parte della tonaca mucosa
delle vie aeree.
Intrappola ed elimina pulviscolo, pollini e
batteri inalati con l’inspirazione grazie
all’azione delle ciglia che spingono il
muco verso la faringe dove vengono
deglutite e digerite piuttosto che
contaminare i polmoni .
LA FARINGE
 Le cavità nasali comunicano tramite delle aperture
posteriori, le coane, con la faringe
 Si trova, anteriormente alla colonna vertebrale e
posteriormente alle cavità nasali ed alla cavità orale con le
quale comunica
 Dà passaggio sia all’aria che agli alimenti e viene
convenzionalmente suddivisa in 3 porzioni:
- Superiore o nasale = rinofaringe
- Media od orale= orofaringe
- Inferiore o laringea= laringofaringe
EPIGLOTTIDE
 Cartilagine a forma di foglia, in grado di
discriminare il passaggio dell’aria o del
cibo nelle vie aeree inferiori o
nell’esofago e nell’apparato digerente.
 A riposo, l’epiglottide è in posizione
verticale ma con la deglutizione, i
muscoli della lingua premono su di
essa, abbassandola e di fatto facendo
sì che chiuda le vie respiratorie e diriga
il cibo ed i liquidi nell’esofago
LARINGE
La laringe è un condotto impari e
mediano che inizia facendo seguito
alla faringe, dietro la lingua, e
continua nella trachea. Oltre che al
passaggio dell'aria inspirata ed
espirata, essa contiene le corde
vocali
LA TRACHEA
 A livello della IV vertebra toracica si biforca in due bronchi
principali destro e sinistro che entrano nell’ilo del rispettivo
polmone.
 E’ sostenuta da 15-20 anelli di cartilagine ialina a forma di C
incompleti posteriormente che hanno la funzione di rinforzare la
trachea evitandone il collasso durante l’inspirazione.
 Gli anelli cartilaginei che circondano la trachea sono incompleti
posteriormente per permettere all’esofago di dilatarsi nel
passaggio del cibo una volta deglutito
BRONCHI
• La parte inferiore della
trachea si divide in due
rami, detti bronchi, che si
dirigono ciascuno verso il
proprio polmone
I POLMONI
Sono organi pieni, pari e simmetrici posti nella cavità toracica
all’interno del mediastino e separati tra loro dal cuore.
Alla nascita i polmoni sono di colore rosato che diventa grigio
ardesia scuro con l'avanzare dell'età a causa della deposizione
all’interno tessuto areolare di granuli di una sostanza carboniosa; la
deposizione aumenta in quantità con l'avanzare dell'età ed è più
abbondante nei maschi che nelle femmine.
DIAFRAMMA
è un muscolo impari,
largo, appiattito, che
separa la cavità toracica
da quella addominale
RESPIRAZIONE
Apparato respiratorio presentazione
Apparato respiratorio presentazione

Apparato respiratorio presentazione

  • 1.
    APPARATO RESPIRATORIO a curadi Brunella Grassi, Chiara Lasagna
  • 2.
    Funzioni principali dell’apparatorespiratorio : - Provvede all’ottimale assunzione di ossigeno attraverso la respirazione - Permette la ventilazione polmonare, cioè l’alternarsi di inspirazione ed espirazione - Permette di parlare, ridere e piangere - Permette l’ossigenazione del sangue e l’eliminazione del diossido di carbonio
  • 4.
    L’apparato respiratorio comprende: - La porzione di conduzione, che consentono il transito dell’aria (naso, faringe, laringe, trachea, bronchi e bronchioli) - La porzione respiratoria, che comprende i tessuti polmonari dove avviene lo scambio di gas (alveoli)
  • 6.
    MUCOSA RESPIRATORIA Costituisce partedella tonaca mucosa delle vie aeree. Intrappola ed elimina pulviscolo, pollini e batteri inalati con l’inspirazione grazie all’azione delle ciglia che spingono il muco verso la faringe dove vengono deglutite e digerite piuttosto che contaminare i polmoni .
  • 8.
    LA FARINGE  Lecavità nasali comunicano tramite delle aperture posteriori, le coane, con la faringe  Si trova, anteriormente alla colonna vertebrale e posteriormente alle cavità nasali ed alla cavità orale con le quale comunica  Dà passaggio sia all’aria che agli alimenti e viene convenzionalmente suddivisa in 3 porzioni: - Superiore o nasale = rinofaringe - Media od orale= orofaringe - Inferiore o laringea= laringofaringe
  • 12.
    EPIGLOTTIDE  Cartilagine aforma di foglia, in grado di discriminare il passaggio dell’aria o del cibo nelle vie aeree inferiori o nell’esofago e nell’apparato digerente.  A riposo, l’epiglottide è in posizione verticale ma con la deglutizione, i muscoli della lingua premono su di essa, abbassandola e di fatto facendo sì che chiuda le vie respiratorie e diriga il cibo ed i liquidi nell’esofago
  • 13.
    LARINGE La laringe èun condotto impari e mediano che inizia facendo seguito alla faringe, dietro la lingua, e continua nella trachea. Oltre che al passaggio dell'aria inspirata ed espirata, essa contiene le corde vocali
  • 14.
    LA TRACHEA  Alivello della IV vertebra toracica si biforca in due bronchi principali destro e sinistro che entrano nell’ilo del rispettivo polmone.  E’ sostenuta da 15-20 anelli di cartilagine ialina a forma di C incompleti posteriormente che hanno la funzione di rinforzare la trachea evitandone il collasso durante l’inspirazione.  Gli anelli cartilaginei che circondano la trachea sono incompleti posteriormente per permettere all’esofago di dilatarsi nel passaggio del cibo una volta deglutito
  • 16.
    BRONCHI • La parteinferiore della trachea si divide in due rami, detti bronchi, che si dirigono ciascuno verso il proprio polmone
  • 18.
    I POLMONI Sono organipieni, pari e simmetrici posti nella cavità toracica all’interno del mediastino e separati tra loro dal cuore. Alla nascita i polmoni sono di colore rosato che diventa grigio ardesia scuro con l'avanzare dell'età a causa della deposizione all’interno tessuto areolare di granuli di una sostanza carboniosa; la deposizione aumenta in quantità con l'avanzare dell'età ed è più abbondante nei maschi che nelle femmine.
  • 24.
    DIAFRAMMA è un muscoloimpari, largo, appiattito, che separa la cavità toracica da quella addominale
  • 26.