ANESTHESIA AND
CARDIAC PACEMAKER
MODERATOR –DR MANJULA
OBJECTIVES
1.Bascics of CIEDs functions
2.Indication for their use.
3.Anaesthetics management
pre-operative
Intraoperative
Postoperative
4.Specials situations
5.summary.
INTRODUCTION
 Term Cardiac implantable electronic device( CIED) includes
1 .pacemaker
2. ICD (implantable cardioverter defibrillator)
HISTORY
1958- 1st battery operated pacemaker
1969- Av sequential pacing
1980- 1st AICD
1985- AICD was approved by FDA
1988- Rate modulation
IMPORTANT TERMINALOGY WITH
PACEMAKER
Pulse Generator
Leads
Electrode
Unipolar Pacing
Bipolar Leads
Endocardial Pacing
Epicardial Pacing
Pacing Threshold
R Wave Sensitivity
COMPONENTS
1.Generator:
containing batteries and electrical circuits
2.Electrode:
exposed metal connected to heart.
it may be endo,epi, or myocardial
3.lead:
Insulated wire connecting the 2 other part
ELECTODE S ARE EITHER
UNIPOLAR BI-POLAR
Cathode electrode inside the heart Cathode is distal within the heart
Anode on the case of pulse generator anode is shortly proximal on the same
lead in the heart
Larger pathway exposes the device to
more EMI
Smaller pathway….less EMI
UNIPOLAR PACING
BIPOAR PACING
PACING THRESHOLD
This is the minimum amount of energy required to consistently cause
depolarization and therefore contraction of the heart.
Pacing threshold is measured in terms of both amplitude and duration for
which it is applied to the myocardium
FACTORS AFFECTING PACING
THRESOLDS
INCREASES
THRESHOLD
DECREASING
THRESHOLD
HYPERKALEMIA
HYPOTHYRIODISM
HYPOTHERMIA
SEVERE
HYPOXIA
MI OR INFACTION
ANTIARRYTHMIC DRUG
1-4 WEEKS AFTER INSERTION
STRESS, ANXIETY
SYMATHOMIMETICS DRUG
ANTI-CHOLINERGICS
HYPERTHYRIODISM
HYPER METABLIC STATES
GLUCOCORTICOIDS
R WAVE SENSITIVITY
 It is the measure of minimal voltage of intrinsic R wave, necessary to
activate the sensing circuit of the pulse generator and thus inhibit or
trigger the pacing circuit.
The R wave sensitivity of about 3 mV on an external pulse generator will
maintain ventricle inhibited pacing
TYPE OF PACING
1.TEMPORARY
2.PERMANENT
TEMPORARY PACING
 When permanent pacemaker is not available or pending its insertion.
1. trans venous
2.trans cutaneous
3.trans oesopgeal
4. trans thoracic
PERMANENT:
Implanted with long life batteries of
mercuric zink-3year or
lithium -10years
or MRI compatible device are available
Technique of permanent pacing
 In permanent pacing, leads through the subclavian or cephalic vein.
 Leads positioned in the right atrial appendage for atrial pacing and right
ventricular apex for ventricular pacing.
 The pulse generator lies in the subcutaneous pocket below the clavicle.
 Epicardial lead placement is used when no transvenous or if the chest is
open
 To understand language of Pacemakers Coding system was developed
originally by the international conference on heart disease and
subsequently modified by the
- NASPE/BPEG (North American society of pacing and
electrophysiology/British pacing and electrophysiology group) alliance
FOR PACEMAKER
 First letter-the chamber being paced
 Second letter-the chamber being sensed
 Third letter-response to sensing (I and T indicates inhibited or triggered
responses, respectively).
 Fourth and Fifth positions-programmable and ant tachyarrhythmia
functions, but these two are rarely used.
 An R in fourth position indicates that the pacemaker incorporates a sensor
to modulate the rate independently of intrinsic cardiac activity such as with
activity or respiration
TYPES OF PACEMAKER MODE
1. Asynchronous/Fixed Rate
2. Synchronous/Demand
3. Single/Dual Chamber Sequential (A & V)
4. Programmable/nonprogrammable
ASYNCHRONUS MODE(AOO, VOO
AND DOO)
 It is the simple form of fixed rate pacemaker which discharges at a preset
rate irrespective of the inherent heart rate.
 Can be used in cases with no ventricular activity.
Disavantage-
 it competes with the patient’s intrinsic rhythm and results in induction of
tachyarrythmias.
 Continuous pacing wastes energy and also decreases the half-life of the
battery
Single Chamber Atrial Pacing (AAI,
AAT)
 Atrium is paced and the impulse passes down the conducting pathways,
thus maintaining atrioventricular synchrony.
 A single pacing lead with electrode is positioned in the right atrial
appendage, which senses the intrinsic P wave and causes inhibition or
triggering of the pacemaker.
 Useful in patients with sinus arrest and sinus bradycardia provided
atrioventricular conduction is adequate.
 Inappropriate for chronic atrial fibrillation and long ventricular pauses.
Single Chamber Ventricular Pacing
(VVI, VVT)
 VVI is the most widely used form of pacing in which ventricle is sensed and
paced.
 It senses the intrinsic R wave and thus inhibits the pacemaker function.
Indication- complete heart block with chronic atrial flutter, atrial fibrillation
and long ventricular pauses.
 Single chamber ventricular pacing is not recommended for patients with
sinus node disease, as these patients are more likely to develop the
pacemaker syndrome
Dual Chamber AV Sequential Pacing (DDD,
DVI, DDI, and VDD)
 Two leads used-unipolar or bipolar, one for the right atrial
appendage and the other for right ventricular apex.
 The atrium is stimulated first to contract, then after an
adjustable PR interval ventricle is stimulated to contract.
 They preserve the normal atrioventricular contraction
sequence, and are indicated in patients with AV block, carotid
sinus syncope, and sinus node disease
Dual Chamber AV Sequential Pacing (DDD)
 Advantages- they are similar to sinus rhythm and are beneficial in
patients, where atrial contraction is important for ventricular filling (e.g.
aortic stenosis).
 Disadvantage-
 pacemaker-mediated tachycardia (PMT) due to ventriculoatrial (VA)
conduction in which ventricular conduction is conducted back to the
atrium and sensed by the atrial circuit, which triggers a ventricular
depolarization leading to PMT.
 This problem can be overcome by careful programming of the pacemaker.
Programmable Pacemaker
 Pacemakers, which not only sense the atrial or ventricular activity but also
sense various other stimuli and thus, increase the pacemaker rate.
 The various factors, which can be programmed are pacing rate, pulse
duration, voltage output, R wave sensitivity, refractory periods, PR interval,
mode of pacing, hysteresis and atrial tracking rate.
 Various types of sensors have been designed which respond to the
parameters such as vibration, acceleration, minute ventilation, respiratory
rate, central venous pressure, central venous pH, QT interval, preejection
period, right ventricular stroke volume, mixed venous oxygen saturation,
and right atrial pressure.
PROBLEM ASSOCIATED WITH CIED
1.Related to placement
2. Battery failure
3. Arrhythmias induction
4. Diaphragmatic or skeletal muscle stimulation
5. Myopotenial interference
6. Pacemaker syndrome
7.Micro –shock hazards
8. Related to electrode placement or traction
9.False discharge of AICD by benign morphology or rate of the heart
10.EMI interference
Pacemaker Syndrome
 Some individuals, particularly those with intact retrograde VA conduction,
may not tolerate ventricular pacing and may develop a variety of clinical
signs and symptoms resulting from deleterious haemodynamic induced by
ventricular pacing
 These include hypotension, syncope, vertigo lightheadedness,fatigue,
exercise intolerance, malaise, weakness, lethargy, dyspnoea. and even CHF.
INDICATION FOR PACEMAKER
1. Sinoatrial (SA) node—sick sinus syndrome, tachy-brady arrhythmia,
symptomatic sinus bradycardia, hypersensitive carotid sinus syndrome, or
vasovagal syncope
2. Second-degree AV block regardless of type or site of block, with
associated symptomatic bradycardia.
3. Third-degree AV block at any anatomic level associated with bradycardia,
arrhythmia, asystole (>3.0 s) and after catheter ablation.
4. Chronic bifascicular block.
5. Right bundle branch block (RBBB) and left anterior hemi block with
hemodynamic symptoms
6. RBBB and left posterior hemi block with hemodynamic symptom
 Long Q-T syndrome: documented pause-bradycardia–induced torsade de
pointes and in low risk patients with LQT3
 Syncope without an electrocardiogram (ECG) diagnosis
 Cardiomyopathy—patients with medically refractory hypertrophic
obstructive cardiomyopathy or decompensated heart failure in patients
with dilated cardiomyopathy despite optimal medical therapy (e.g.,
biventricular pacing)
 RBBB and left posterior hemi block with hemodynamic symptom
IMPLANTABLE CARDIOVERTER
DEFIBRILLATOR (ICD)
 An ICD responds to dysrhythmia by delivering an internal electrical shock
within 15 seconds.
 The ICD system consists of a pulse generator and leads for dysrhythmia
detection and current delivery.
 In addition to internal defibrillation, an ICD can produce anti-tachycardia
and anti-bradycardia pacing and synchronized cardioversion
INDICATION FOR ICD
 Cardiac arrest resulting from VT/VF not resulting from a transient or reversible cause
 Spontaneous sustained VT with structural heart disease
 Syncope of undetermined origin with clinically relevant, haemodynamically significant
sustained VT or VF induced at electrophysiology study (EPS
 Ischemic cardiomyopathy (EF ≤30%) without a recent myocardial infarction (within the last 4
weeks) or revascularization in the past 3 months.
 Ischemic or non-ischemic dilated cardiomyopathy (EF ≤35%) with (NYHA) class II or III heart
failure symptoms stable for the past 9 months.
 Brugada syndrome
WHERE WE ENCOUNTER WITH THE
AICD
A. FOR THIER INSERTION OF AICD IN CATH LAB
Anaesthetic management depends upon patients situation and condition
of the patients
B Pacemaker in situ patient
posted for elective or emergency procedure
ICU
ECT OR radiation therapy
PREOPERATIVE ASSESSMENT
HISTORY
1.Cause and date of insertion and maintenance
2. ID card and recommendations
3. Specialists evaluation report
4.Battery and proper function
5. Anticoagulation
6.Pain over pulse generator
7.Comorbiditis and medications.
 What is the type of the device and program mode
 Is the device functioning properly
 How dependent is the patient on the device (as an anti-bradycardia
function)
 What is the probability of electromagnetic interference in theatre and how
do we minimise the risk?
 If an ICD is present, deciding the manner in which the ant tachycardia
therapies shall be suspended (e.g. by a programming device or by
temporarily applying a magnet to the device).
 Determining that the device is functioning as intended
INVESTIGATIONS
12 LEAD ECG:
pacing rate to compare with ID CARD
Absence of electrical spike
spike not followed by QRS OR P wave
paced chambers
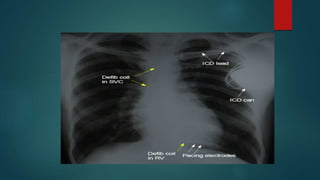
CHEST X-RAY
Lead position
Paced position
Type of CIED
 Determining that a CIED is present and defining the functionality of the
device (e.g. pacemaker or ICD).
 Determining whether significant EMI will be present during the planned
procedure that might affect the programmed behaviour of the CIED.
 Determining whether the patient is dependent on ant bradycardia pacing
and whether or not reprogramming of the pacemaker mode is required.
1.Identify manufacturer ,type and mode of CIED
2. Have it interrogated by a specialist with a documented written report
3.determine patients underlying rhythm/ rate for backup pacing
support.
4. If present turn off all rate and anti tachycardia response
5.Consider increasing pacemaker rate to optimize oxygen delivery in major
cases
6. Correct any electrolyte abnormality prior to elective surgery
7.emergency drugs should be readily available
8. Confirm magnet response if it is planned
IMPORTANT INFORMATION GIVEN TO
CIED TEAM
 Intended surgical procedure
 Location of pulse generator
 Patient position during the procedure
 Type of electro cautery to be used
 Other sources of EMI likely to be present
 Whether cardio version or defibrillation will be necessary
INTRAOPERATIVE
 Ensuring the availability of a backup source of pacing, defibrillation, or
both.
 Maintaining vigilance and monitoring in accordance with ASA standards
so as to rapidly detect any haemodynamic compromise as a result of
interference with CIED function.
 Management of EMI.
 Rapid implementation of the backup source of pacing, defibrillation, or
both as required
MONITORING
1 Frequent palpation of patients pulse is very important
2 ECG
3 Continuously monitor peripheral pulsation with pulse oximeter or arterial
waveform
4. CVC OR PAC ; better avoided if CIED recently inserted <2weeks as they
cause lead dislodgment, safe after 6 week as fibrosis around leads makes it
more stable
5.ETCO2 NIBP TEMPRATURE pulse oximeter
CONDUCT OF ANESTHESIA
 REGIONAL ANESTHESIA
Consider safe
anticoagulant are used, coagulation profile should be checked and
guidelines should follow
GENERAL ANESTHESIA
Etomidate can cause myopotential interference.
Succinylcholine is better avoided as it may cause myopotentiaL interference
Drugs & Equipment A complete array of drugs and equipment must be
immediately available for cardiopulmonary resuscitation.
MAINTENANCE
Avoid drugs and situation that can increasing pacing threshold
AVOID that drug that supress AV OR SA nodes- like dexmeditomedine
N20 Avoided in a patient with newly implanted pacemaker as it causes an
expansion of gas in the pocket, which leads to loss of anodal contact and
pacing system malfunction.
MAGNETIC REPONSE
 Application of magnet is not an advisable practice in all CIED
 each CIED Has specific response to magnet;
1 Asynchronous mode
2 Turn of transiently
3 Turn of permanently
4.reprogramming
FACTOR ASSOCIATED WITH EMI
GENERATION
1.Electrocoutry
2. Nerve stimulator
3.Evoked potential monitor
4.Fasciculation
5.Shivering
6.Large tidal volumes
7.Radiofrequency ablation
8.ESWL
9.ECT
ADVERSE EVENTS INTERACTION WITH
EMI AND PACEMAKER
 Damage to the device, the leads, or site of lead implantation
 Failure to deliver pacing, defibrillation, or both
 Changes in pacing behaviour
 Inappropriate delivery of a defibrillatory shock (if an ICD is present)
 Inadvertent electrical reset to backup pacing modes
Electro cautery / diathermy
 Electro cautery remains one of the most common causes of EMI; it uses
radio frequency current to cut or coagulate tissues and is usually applied in
a unipolar configuration between the handheld instrument (cathode) and
the anode plate attached to the patient's skin
 The radio frequency is usually between 300 AND 500khz
Measures to decrease the possibility of
adverse effects due to electro cautery
 Bipolar cautery
 unipolar cautery (grounding plate should be placed close to the operative
site and as far away as possible from the site of pacemaker)
 Electro cautery should not be used within 15cm of pacemaker. Programme
to asynchronous mode.
 Provision of alternative temporary pacing.
 Drugs (isoproterenol and atropine).
 Careful with Defibrillation if required ( away paddles, lowest energy
required
Specific Perioperative Consideration
Transurethral Resection of Prostate (TURP) and Uterine Hysteroscopy
Coagulation current used during TURP procedure has no effect, but the
cutting current at high frequencies (up to 2500 kc/sec) can suppress the
output of a bipolar demand ventricular pacemaker.
During application of cutting current there was a loss of pulsatile arterial
flow, which returned with interruption of ESU.
Thus when ESU use is anticipated reprogramming of pacemaker
preoperatively to the asynchronous (fixed rate) mode should be performed
Electroconvulsive Therapy-
ECT appears safe for patients with pacemakers and little current flow heart
within because of the high impedance of body tissue,
but the seizure may generate myopotentials which may inhibit the
pacemaker.
Thus ECG monitoring is essential and pacemakers should be changed to
nonsensing asynchronous mode (fixed mode)
Postoperative care
 Full compete re check of pacemaker with technician.
 Re-programming back to the original setting.
 Anti-tachycardia therapies of implantable defibrillators should obviously
be reprogrammed to their original settings
Is a
CIED
present?
No Yes
Pacemaker ICD
EMI during
procedure ?
No Yes
Deactivate
ICD /
magnet
Patient
pacemaker
dependent?
No Yes
CIED to EMI source
15 cm?<
No reprogramming
required
No Yes
Asynchronous
mode
Consult CIED
team if
reprogramming
required
summary
 Fully aware of the functional capabilities of pacemakers and ICD’s
 Magnet application over pacemaker devices converts it into an asynchronous mode
most of the time.
 Magnet application over ICD inhibits its anti-arrhythmia function but does not convert it
into an asynchronous mode. If the pacemaker function should be retained then the
device has to be reprogrammed.
 The greatest threat during surgery is EMI from electro cautery.
 MRI is contraindicated in patients with CIED
 Primary principles to avoid EMI during surgery should be known and
followed in the operating room. Harmonic scalpel or bipolar electro
cautery should be used when possible.
 ECG and peripheral pulse should be continuously monitored intraoperative
and postoperatively
 Facilities for emergency defibrillation should be available in the operating
room. Before delivering an external defibrillator shock, removal of magnet
and observation for inherrant ant tachyarrhythmia function of ICD should
be observed. ACLS guidelines should be followed.
THANK YOU

Anesthesia and cardiac pacemaker

  • 1.
  • 2.
    OBJECTIVES 1.Bascics of CIEDsfunctions 2.Indication for their use. 3.Anaesthetics management pre-operative Intraoperative Postoperative 4.Specials situations 5.summary.
  • 3.
    INTRODUCTION  Term Cardiacimplantable electronic device( CIED) includes 1 .pacemaker 2. ICD (implantable cardioverter defibrillator)
  • 4.
    HISTORY 1958- 1st batteryoperated pacemaker 1969- Av sequential pacing 1980- 1st AICD 1985- AICD was approved by FDA 1988- Rate modulation
  • 5.
    IMPORTANT TERMINALOGY WITH PACEMAKER PulseGenerator Leads Electrode Unipolar Pacing Bipolar Leads Endocardial Pacing Epicardial Pacing Pacing Threshold R Wave Sensitivity
  • 6.
    COMPONENTS 1.Generator: containing batteries andelectrical circuits 2.Electrode: exposed metal connected to heart. it may be endo,epi, or myocardial 3.lead: Insulated wire connecting the 2 other part
  • 8.
    ELECTODE S AREEITHER UNIPOLAR BI-POLAR Cathode electrode inside the heart Cathode is distal within the heart Anode on the case of pulse generator anode is shortly proximal on the same lead in the heart Larger pathway exposes the device to more EMI Smaller pathway….less EMI
  • 9.
  • 10.
  • 11.
    PACING THRESHOLD This isthe minimum amount of energy required to consistently cause depolarization and therefore contraction of the heart. Pacing threshold is measured in terms of both amplitude and duration for which it is applied to the myocardium
  • 12.
    FACTORS AFFECTING PACING THRESOLDS INCREASES THRESHOLD DECREASING THRESHOLD HYPERKALEMIA HYPOTHYRIODISM HYPOTHERMIA SEVERE HYPOXIA MIOR INFACTION ANTIARRYTHMIC DRUG 1-4 WEEKS AFTER INSERTION STRESS, ANXIETY SYMATHOMIMETICS DRUG ANTI-CHOLINERGICS HYPERTHYRIODISM HYPER METABLIC STATES GLUCOCORTICOIDS
  • 13.
    R WAVE SENSITIVITY It is the measure of minimal voltage of intrinsic R wave, necessary to activate the sensing circuit of the pulse generator and thus inhibit or trigger the pacing circuit. The R wave sensitivity of about 3 mV on an external pulse generator will maintain ventricle inhibited pacing
  • 14.
  • 15.
    TEMPORARY PACING  Whenpermanent pacemaker is not available or pending its insertion. 1. trans venous 2.trans cutaneous 3.trans oesopgeal 4. trans thoracic
  • 17.
    PERMANENT: Implanted with longlife batteries of mercuric zink-3year or lithium -10years or MRI compatible device are available
  • 18.
    Technique of permanentpacing  In permanent pacing, leads through the subclavian or cephalic vein.  Leads positioned in the right atrial appendage for atrial pacing and right ventricular apex for ventricular pacing.  The pulse generator lies in the subcutaneous pocket below the clavicle.  Epicardial lead placement is used when no transvenous or if the chest is open
  • 19.
     To understandlanguage of Pacemakers Coding system was developed originally by the international conference on heart disease and subsequently modified by the - NASPE/BPEG (North American society of pacing and electrophysiology/British pacing and electrophysiology group) alliance
  • 20.
  • 21.
     First letter-thechamber being paced  Second letter-the chamber being sensed  Third letter-response to sensing (I and T indicates inhibited or triggered responses, respectively).  Fourth and Fifth positions-programmable and ant tachyarrhythmia functions, but these two are rarely used.  An R in fourth position indicates that the pacemaker incorporates a sensor to modulate the rate independently of intrinsic cardiac activity such as with activity or respiration
  • 22.
    TYPES OF PACEMAKERMODE 1. Asynchronous/Fixed Rate 2. Synchronous/Demand 3. Single/Dual Chamber Sequential (A & V) 4. Programmable/nonprogrammable
  • 23.
    ASYNCHRONUS MODE(AOO, VOO ANDDOO)  It is the simple form of fixed rate pacemaker which discharges at a preset rate irrespective of the inherent heart rate.  Can be used in cases with no ventricular activity. Disavantage-  it competes with the patient’s intrinsic rhythm and results in induction of tachyarrythmias.  Continuous pacing wastes energy and also decreases the half-life of the battery
  • 24.
    Single Chamber AtrialPacing (AAI, AAT)  Atrium is paced and the impulse passes down the conducting pathways, thus maintaining atrioventricular synchrony.  A single pacing lead with electrode is positioned in the right atrial appendage, which senses the intrinsic P wave and causes inhibition or triggering of the pacemaker.  Useful in patients with sinus arrest and sinus bradycardia provided atrioventricular conduction is adequate.  Inappropriate for chronic atrial fibrillation and long ventricular pauses.
  • 25.
    Single Chamber VentricularPacing (VVI, VVT)  VVI is the most widely used form of pacing in which ventricle is sensed and paced.  It senses the intrinsic R wave and thus inhibits the pacemaker function. Indication- complete heart block with chronic atrial flutter, atrial fibrillation and long ventricular pauses.  Single chamber ventricular pacing is not recommended for patients with sinus node disease, as these patients are more likely to develop the pacemaker syndrome
  • 26.
    Dual Chamber AVSequential Pacing (DDD, DVI, DDI, and VDD)  Two leads used-unipolar or bipolar, one for the right atrial appendage and the other for right ventricular apex.  The atrium is stimulated first to contract, then after an adjustable PR interval ventricle is stimulated to contract.  They preserve the normal atrioventricular contraction sequence, and are indicated in patients with AV block, carotid sinus syncope, and sinus node disease
  • 27.
    Dual Chamber AVSequential Pacing (DDD)  Advantages- they are similar to sinus rhythm and are beneficial in patients, where atrial contraction is important for ventricular filling (e.g. aortic stenosis).  Disadvantage-  pacemaker-mediated tachycardia (PMT) due to ventriculoatrial (VA) conduction in which ventricular conduction is conducted back to the atrium and sensed by the atrial circuit, which triggers a ventricular depolarization leading to PMT.  This problem can be overcome by careful programming of the pacemaker.
  • 28.
    Programmable Pacemaker  Pacemakers,which not only sense the atrial or ventricular activity but also sense various other stimuli and thus, increase the pacemaker rate.  The various factors, which can be programmed are pacing rate, pulse duration, voltage output, R wave sensitivity, refractory periods, PR interval, mode of pacing, hysteresis and atrial tracking rate.  Various types of sensors have been designed which respond to the parameters such as vibration, acceleration, minute ventilation, respiratory rate, central venous pressure, central venous pH, QT interval, preejection period, right ventricular stroke volume, mixed venous oxygen saturation, and right atrial pressure.
  • 29.
    PROBLEM ASSOCIATED WITHCIED 1.Related to placement 2. Battery failure 3. Arrhythmias induction 4. Diaphragmatic or skeletal muscle stimulation 5. Myopotenial interference 6. Pacemaker syndrome
  • 30.
    7.Micro –shock hazards 8.Related to electrode placement or traction 9.False discharge of AICD by benign morphology or rate of the heart 10.EMI interference
  • 31.
    Pacemaker Syndrome  Someindividuals, particularly those with intact retrograde VA conduction, may not tolerate ventricular pacing and may develop a variety of clinical signs and symptoms resulting from deleterious haemodynamic induced by ventricular pacing  These include hypotension, syncope, vertigo lightheadedness,fatigue, exercise intolerance, malaise, weakness, lethargy, dyspnoea. and even CHF.
  • 32.
    INDICATION FOR PACEMAKER 1.Sinoatrial (SA) node—sick sinus syndrome, tachy-brady arrhythmia, symptomatic sinus bradycardia, hypersensitive carotid sinus syndrome, or vasovagal syncope 2. Second-degree AV block regardless of type or site of block, with associated symptomatic bradycardia. 3. Third-degree AV block at any anatomic level associated with bradycardia, arrhythmia, asystole (>3.0 s) and after catheter ablation. 4. Chronic bifascicular block. 5. Right bundle branch block (RBBB) and left anterior hemi block with hemodynamic symptoms 6. RBBB and left posterior hemi block with hemodynamic symptom
  • 33.
     Long Q-Tsyndrome: documented pause-bradycardia–induced torsade de pointes and in low risk patients with LQT3  Syncope without an electrocardiogram (ECG) diagnosis  Cardiomyopathy—patients with medically refractory hypertrophic obstructive cardiomyopathy or decompensated heart failure in patients with dilated cardiomyopathy despite optimal medical therapy (e.g., biventricular pacing)  RBBB and left posterior hemi block with hemodynamic symptom
  • 34.
    IMPLANTABLE CARDIOVERTER DEFIBRILLATOR (ICD) An ICD responds to dysrhythmia by delivering an internal electrical shock within 15 seconds.  The ICD system consists of a pulse generator and leads for dysrhythmia detection and current delivery.  In addition to internal defibrillation, an ICD can produce anti-tachycardia and anti-bradycardia pacing and synchronized cardioversion
  • 36.
    INDICATION FOR ICD Cardiac arrest resulting from VT/VF not resulting from a transient or reversible cause  Spontaneous sustained VT with structural heart disease  Syncope of undetermined origin with clinically relevant, haemodynamically significant sustained VT or VF induced at electrophysiology study (EPS  Ischemic cardiomyopathy (EF ≤30%) without a recent myocardial infarction (within the last 4 weeks) or revascularization in the past 3 months.  Ischemic or non-ischemic dilated cardiomyopathy (EF ≤35%) with (NYHA) class II or III heart failure symptoms stable for the past 9 months.  Brugada syndrome
  • 37.
    WHERE WE ENCOUNTERWITH THE AICD A. FOR THIER INSERTION OF AICD IN CATH LAB Anaesthetic management depends upon patients situation and condition of the patients B Pacemaker in situ patient posted for elective or emergency procedure ICU ECT OR radiation therapy
  • 38.
    PREOPERATIVE ASSESSMENT HISTORY 1.Cause anddate of insertion and maintenance 2. ID card and recommendations 3. Specialists evaluation report 4.Battery and proper function 5. Anticoagulation 6.Pain over pulse generator 7.Comorbiditis and medications.
  • 39.
     What isthe type of the device and program mode  Is the device functioning properly  How dependent is the patient on the device (as an anti-bradycardia function)  What is the probability of electromagnetic interference in theatre and how do we minimise the risk?
  • 40.
     If anICD is present, deciding the manner in which the ant tachycardia therapies shall be suspended (e.g. by a programming device or by temporarily applying a magnet to the device).  Determining that the device is functioning as intended
  • 41.
    INVESTIGATIONS 12 LEAD ECG: pacingrate to compare with ID CARD Absence of electrical spike spike not followed by QRS OR P wave paced chambers CHEST X-RAY Lead position Paced position Type of CIED
  • 47.
     Determining thata CIED is present and defining the functionality of the device (e.g. pacemaker or ICD).  Determining whether significant EMI will be present during the planned procedure that might affect the programmed behaviour of the CIED.  Determining whether the patient is dependent on ant bradycardia pacing and whether or not reprogramming of the pacemaker mode is required.
  • 48.
    1.Identify manufacturer ,typeand mode of CIED 2. Have it interrogated by a specialist with a documented written report 3.determine patients underlying rhythm/ rate for backup pacing support. 4. If present turn off all rate and anti tachycardia response
  • 49.
    5.Consider increasing pacemakerrate to optimize oxygen delivery in major cases 6. Correct any electrolyte abnormality prior to elective surgery 7.emergency drugs should be readily available 8. Confirm magnet response if it is planned
  • 50.
    IMPORTANT INFORMATION GIVENTO CIED TEAM  Intended surgical procedure  Location of pulse generator  Patient position during the procedure  Type of electro cautery to be used  Other sources of EMI likely to be present  Whether cardio version or defibrillation will be necessary
  • 51.
    INTRAOPERATIVE  Ensuring theavailability of a backup source of pacing, defibrillation, or both.  Maintaining vigilance and monitoring in accordance with ASA standards so as to rapidly detect any haemodynamic compromise as a result of interference with CIED function.  Management of EMI.  Rapid implementation of the backup source of pacing, defibrillation, or both as required
  • 52.
    MONITORING 1 Frequent palpationof patients pulse is very important 2 ECG 3 Continuously monitor peripheral pulsation with pulse oximeter or arterial waveform 4. CVC OR PAC ; better avoided if CIED recently inserted <2weeks as they cause lead dislodgment, safe after 6 week as fibrosis around leads makes it more stable 5.ETCO2 NIBP TEMPRATURE pulse oximeter
  • 53.
    CONDUCT OF ANESTHESIA REGIONAL ANESTHESIA Consider safe anticoagulant are used, coagulation profile should be checked and guidelines should follow
  • 54.
    GENERAL ANESTHESIA Etomidate cancause myopotential interference. Succinylcholine is better avoided as it may cause myopotentiaL interference Drugs & Equipment A complete array of drugs and equipment must be immediately available for cardiopulmonary resuscitation.
  • 55.
    MAINTENANCE Avoid drugs andsituation that can increasing pacing threshold AVOID that drug that supress AV OR SA nodes- like dexmeditomedine N20 Avoided in a patient with newly implanted pacemaker as it causes an expansion of gas in the pocket, which leads to loss of anodal contact and pacing system malfunction.
  • 56.
    MAGNETIC REPONSE  Applicationof magnet is not an advisable practice in all CIED  each CIED Has specific response to magnet; 1 Asynchronous mode 2 Turn of transiently 3 Turn of permanently 4.reprogramming
  • 57.
    FACTOR ASSOCIATED WITHEMI GENERATION 1.Electrocoutry 2. Nerve stimulator 3.Evoked potential monitor 4.Fasciculation 5.Shivering 6.Large tidal volumes 7.Radiofrequency ablation 8.ESWL 9.ECT
  • 58.
    ADVERSE EVENTS INTERACTIONWITH EMI AND PACEMAKER  Damage to the device, the leads, or site of lead implantation  Failure to deliver pacing, defibrillation, or both  Changes in pacing behaviour  Inappropriate delivery of a defibrillatory shock (if an ICD is present)  Inadvertent electrical reset to backup pacing modes
  • 59.
    Electro cautery /diathermy  Electro cautery remains one of the most common causes of EMI; it uses radio frequency current to cut or coagulate tissues and is usually applied in a unipolar configuration between the handheld instrument (cathode) and the anode plate attached to the patient's skin  The radio frequency is usually between 300 AND 500khz
  • 60.
    Measures to decreasethe possibility of adverse effects due to electro cautery  Bipolar cautery  unipolar cautery (grounding plate should be placed close to the operative site and as far away as possible from the site of pacemaker)  Electro cautery should not be used within 15cm of pacemaker. Programme to asynchronous mode.  Provision of alternative temporary pacing.  Drugs (isoproterenol and atropine).  Careful with Defibrillation if required ( away paddles, lowest energy required
  • 61.
    Specific Perioperative Consideration TransurethralResection of Prostate (TURP) and Uterine Hysteroscopy Coagulation current used during TURP procedure has no effect, but the cutting current at high frequencies (up to 2500 kc/sec) can suppress the output of a bipolar demand ventricular pacemaker. During application of cutting current there was a loss of pulsatile arterial flow, which returned with interruption of ESU. Thus when ESU use is anticipated reprogramming of pacemaker preoperatively to the asynchronous (fixed rate) mode should be performed
  • 62.
    Electroconvulsive Therapy- ECT appearssafe for patients with pacemakers and little current flow heart within because of the high impedance of body tissue, but the seizure may generate myopotentials which may inhibit the pacemaker. Thus ECG monitoring is essential and pacemakers should be changed to nonsensing asynchronous mode (fixed mode)
  • 63.
    Postoperative care  Fullcompete re check of pacemaker with technician.  Re-programming back to the original setting.  Anti-tachycardia therapies of implantable defibrillators should obviously be reprogrammed to their original settings
  • 64.
    Is a CIED present? No Yes PacemakerICD EMI during procedure ? No Yes Deactivate ICD / magnet Patient pacemaker dependent? No Yes CIED to EMI source 15 cm?< No reprogramming required No Yes Asynchronous mode Consult CIED team if reprogramming required
  • 65.
    summary  Fully awareof the functional capabilities of pacemakers and ICD’s  Magnet application over pacemaker devices converts it into an asynchronous mode most of the time.  Magnet application over ICD inhibits its anti-arrhythmia function but does not convert it into an asynchronous mode. If the pacemaker function should be retained then the device has to be reprogrammed.
  • 66.
     The greatestthreat during surgery is EMI from electro cautery.  MRI is contraindicated in patients with CIED  Primary principles to avoid EMI during surgery should be known and followed in the operating room. Harmonic scalpel or bipolar electro cautery should be used when possible.
  • 67.
     ECG andperipheral pulse should be continuously monitored intraoperative and postoperatively  Facilities for emergency defibrillation should be available in the operating room. Before delivering an external defibrillator shock, removal of magnet and observation for inherrant ant tachyarrhythmia function of ICD should be observed. ACLS guidelines should be followed.
  • 68.