Pacemakers and their
Anaesthetic Implications
Dr. Rahul Chauhan
PG III yr (Anaesthesia)
Moderator-Dr. Subhro Mitra
Date- 27/12/2014
Introduction.
 A pacemaker system is a device capable of
generating artificial pacing impulses and delivering
them to the heart.
 Pacemakers are being used with greater frequency
for both conduction and arrhythmia (specially
bradyarrythmias).
Pacemaker today!
1980 Large Devices: abdominal
site
 First human implants
 Thoracotomy, multiple incisions
 Primary implanter= cardiac surgeon
 General anesthesia
 Long hospital stays
 Complications from major surgery
 Perioperative mortality up to 9%
 Nonprogrammable therapy
 High-energy shock only
 Device longevity ≈ 1.5 years
 Fewer than 1,000 implants/year
Pacemaker today-Small devices
pectoral site.
 First-line therapy for VT/VF patients
 Treatment of atrial arrhythmias
 Cardiac resynchronization therapy for HF
 Transvenous, single incision
 Local anesthesia; conscious sedation
 Short hospital stays and few complications
 Perioperative mortality < 1%
 Programmable therapy options
 Single- or dual-chamber therapy
 Battery longevity up to 9 years
 More than 100,000 implants/year
Indications of permanent pacemaker
implantation (Acc. To ACC/AHA guidelines)
1) Acquired AV block:
A) Third degree AV block
Bradycardia with symptoms
After drug treatment that cause symptomatic bradycardia
Postoperative AV block not expected to resolve
Neuromuscular disease with AV block
Escape rhythm <40 bpm or asystole > 3s
B) Second degree AV block
Permanent or intermittent symptomatic bradycardia
2) After Myocardial infarction:
Persistent second degree or third degree block
Infranodal AV block with LBBB
Symptomatic second or third degree block
3) Bifascicular or Trifascicular block:
Intermittent complete heart block with symptoms
Type II second degree AV block
Alternating bundle branch block
4) Sinus node dysfunction:
Sinus node dysfunction with symptoms as a result of long term
drug therapy
Symptomatic chronotropic incompetence
5) Hypertensive carotid sinus and neurocardiac syndromes:
Recurrent syncope associated with carotid sinus stimulation
Asystole of >3s duration in absence of any medication
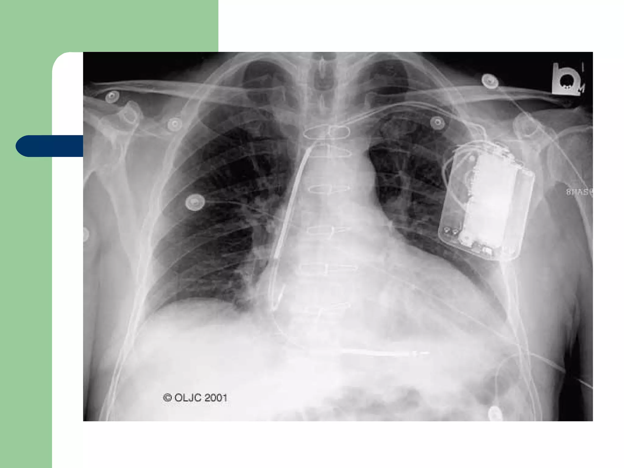
Technique of Permanent Pacing
 In permanent pacing, leads through the subclavian or cephalic
vein.
 Leads positioned in the right atrial appendage for atrial pacing
and right ventricular apex for ventricular pacing.
 The pulse generator lies in the subcutaneous pocket below the
clavicle.
 Epicardial lead placement is used when no transvenous or if
the chest is open.
Generic Codes of Pacemaker
 To understand language of Pacemekers Coding system was
developed originally by the international conference on heart
disease and subsequently modified by the
- NASPE/BPEG (North American society of
pacing and electrophysiology/British pacing and
electrophysiology group) alliance.
 First letter-the chamber being paced
 Second letter-the chamber being sensed
 Third letter-response to sensing (I and T indicates inhibited or
triggered responses, respectively).
 Fourth and Fifth positions-programmable and
antitachyarrhythmia functions, but these two are rarely used.
 An R in fourth position indicates that the pacemaker
incorporates a sensor to modulate the rate independently of
intrinsic cardiac activity such as with activity or respiration.
Generic codes for pacemaker
I II III IV V
Pacing Sensing Response Programmability Tachycardia
O-None O- None O-None O-None O- None
A-Atrium A-Atrium I-Inhibited C-Communicating P-Pacing
V-Ventricle V-Ventricle T-Triggered P-simple S-
Shocks
programmable
 D-Dual D-Dual D-dual M-multi D-Dual
 (A+V) (A+V) (I+T) programmable (P+S)
 S-Simple S-Simple R-Rate
 (A or V) (A or V) modulation
Generic codes for Defibrillators
 NASPE / BPEG Defibrillator (NBD) code
I II III IV
Shock chamber Antitachycardia Tachycardia detection Antibradycardia pacing
pacing chamber chamber
O = None O = None E = Electrogram O = None
A = Atrium A = Atrium H = Hemodynamic A = Atrium
V = Ventricle V = Ventricle V = Ventricle
D = Dual (A+V) D = Dual (A+V) D = Dual (A+V)
Important terms regarding
pacemakers.
 Pulse Generator
 Leads
 Electrode
 Unipolar Pacing
 Bipolar Leads
 Endocardial Pacing
 Epicardial Pacing
 Pacing Threshold
 R Wave Sensitivity
 Hysteresis
 Runaway Pacemaker
Factors affecting pacing
thresholds
Increase Decrease
1-4 weeks after implantation Increased catecholamines
Myocardial ischaemia/infaction Stress, anxiety
Hypothermia, hypothyroidism Sympathomimetic drugs
Hyperkalaemia, acidosis/alkalosis Anticholinergics
Antiarrythmics (class Ic,3) Glucocorticoides
Antiarrythmics ( class IA/B,2)* Hyperthyroidism
Severe hypoxia/hypoglycaemia Hypermetabolic status
Inhalation-local anaesthetics**
*possibly increase threasholds
**conflicting evidence, probably dose-related
 Hysteresis- It is the difference between intrinsic heart rate at which
pacing begins (about 60 beats/min) and pacing rate (e.g.72 beats/min).
Particularly useful in patients with sick sinus syndrome.
 Runaway Pacemaker- It is the acceleration in paced rates due to
aging of the pacemaker or damage produced by leakage of the tissue
fluids into the pulse generator.
 Treatment with antiarrhythmic drugs or cardioversion may be
ineffective in such cases.
 It is necessary to change the pacemaker to an asynchronous mode,
or reprogram it to lower outputs.
 If the patient is haemodynamically unstable temporary pacing should
be done followed by changing of pulse generator
Types of Pacing Modes
 Asynchronous: (AOO, VOO, and DOO)
 Single Chamber Atrial Pacing (AAI, AAT) sinus
arrest and sinus bradycardia
 Single Chamber Ventricular Pacing (VVI, VVT)
complete heart block with chronic atrial flutter, atrial
fibrillation and long ventricular pauses.
 Dual Chamber AV Sequential Pacing (DDD, DVI,
DDI, and VDD) AV block, carotid sinus syncope, and
sinus node disease.
 Programmable Pacemaker
 Rate responsive pacemaker.
Asynchronous: (AOO, VOO, and
DOO)
 It is the simple form of fixed rate pacemaker which discharges
at a preset rate irrespective of the inherent heart rate.
 Can be used in cases with no ventricular activity.
 Disavantage- it competes with the patient’s intrinsic rhythm
and results in induction of tachyarrythmias.
 Continuous pacing wastes energy and also decreases the half-
life of the battery.
Single Chamber Atrial Pacing (AAI,
AAT)
 Atrium is paced and the impulse passes down the conducting
pathways, thus maintaining atrioventricular synchrony.
 A single pacing lead with electrode is positioned in the right
atrial appendage, which senses the intrinsic P wave and
causes inhibition or triggering of the pacemaker.
 Useful in patients with sinus arrest and sinus bradycardia
provided atrioventricular conduction is adequate.
 Inappropriate for chronic atrial fibrillation and long ventricular
pauses.
Single Chamber Ventricular
Pacing (VVI, VVT)
 VVI is the most widely used form of pacing in which ventricle is
sensed and paced.
 It senses the intrinsic R wave and thus inhibits the pacemaker
function.
 Indication- complete heart block with chronic atrial flutter, atrial
fibrillation and long ventricular pauses.
 Single chamber ventricular pacing is not recommended for
patients with sinus node disease, as these patients are more
likely to develop the pacemaker syndrome.
Dual Chamber AV Sequential Pacing (DDD, DVI,
DDI, and VDD)
 Two leads used-unipolar or bipolar, one for the right atrial
appendage and the other for right ventricular apex.
 The atrium is stimulated first to contract, then after an
adjustable PR interval ventricle is stimulated to contract.
 They preserve the normal atrioventricular contraction
sequence, and are indicated in patients with AV block, carotid
sinus syncope, and sinus node disease.
Dual Chamber AV Sequential
Pacing (DDD)
 Advantages- they are similar to sinus rhythm and are beneficial
in patients, where atrial contraction is important for ventricular
filling (e.g. aortic stenosis).
 Disadvantage- pacemaker-mediated tachycardia (PMT) due to
ventriculoatrial (VA) conduction in which ventricular conduction
is conducted back to the atrium and sensed by the atrial circuit,
which triggers a ventricular depolarization leading to PMT.
 This problem can be overcome by careful programming of the
pacemaker.
Programmable Pacemaker
 Pacemakers, which not only sense the atrial or ventricular
activity but also sense various other stimuli and thus, increase
the pacemaker rate.
 The various factors, which can be programmed are pacing rate,
pulse duration, voltage output, R wave sensitivity, refractory
periods, PR interval, mode of pacing, hysteresis and atrial
tracking rate.
 Various types of sensors have been designed which respond to
the parameters such as vibration, acceleration, minute
ventilation, respiratory rate, central venous pressure, central
venous pH, QT interval, preejection period, right ventricular
stroke volume, mixed venous oxygen saturation, and right atrial
pressure.
Pacemaker Syndrome
 Some individuals, particularly those with intact retrograde VA
conduction, may not tolerate ventricular pacing and may
develop a variety of clinical signs and symptoms resulting from
deleterious haemodynamics induced by ventricular pacing
 These include hypotension, syncope, vertigo, light
headedness,fatigue, exercise intolerance, malaise,
weakness,lethargy, dyspnoea. and even CHF.
 Reason - complex interaction of haemodynamic, neurohumoral
and vascular changes induced by the loss of AV synchrony
Pacemaker Failure
 Due to generator failure, lead failure, or failure to
capture.
 Failure to capture owing to a defect at the level of
myocardium (i.e. the generator continues to fire but
no myocardial depolarization takes place) remains
the most difficult problem to treat
Factors Important from Anaesthesia
Point of View
 Physiological
 Potassium
 Myocardial Infarction
 Antiarrhythmic Drug Therapy
 Acid Base Status
 Hypoxia
 Anaesthetic Drugs
Physiological
 Initial sharp increase in the pacing threshold during first 2
weeks i.e. up to ten times the acute level because of the tissue
reaction around the electrode tip. Then It decreases to two to
three times the acute level because of the scar formation.
 In chronic state, it reaches the initial level in 80% of patients.
 Problem reduced with the introduction of steroid-eluting leads
and other refinements in the lead technology.
Potassium
 It determines the resting membrane potential (RMP) of cell
mebrane.
 In certain situations, If RMP is less negative  less current
density is required to initiate an action potential, making
capture by the pacemaker easier and vice versa.
Myocardial Infarction
 Its scar tissue is unresponsive to electrical
stimulation and may cause loss of
pacemaker capture
Antiarrhythmic Drug Therapy
 Class Ia (quinidine, procainamide), Ib
(lidocaine, diphenylhydrantoine), and Ic
(flecainide, encainide, propafenone) drugs
have been found to increase the pacing
threshold
Acid Base Status
Alkalosis and acidosis both cause increase in
pacing threshold
Hypoxia
Increase in pacing threshold
Anaesthetic Drugs
 These drugs are not likely to change the
pacing threshold.
 It is notable that addition of equipotent
halothane, enflurane, or isoflurane to opiate
based anaesthesia after cardiopulmonary
bypass did not increase pacing threshold.
Preoperative Evaluation
 Evaluation of the patient.- underlying cardiovascular disease
responsible for pacemaker implantation and also other asso.
problems e.g CAD.HTN,DM etc.
 Severity of the cardiac disease, the current functional status,
medication of the patient, preimplantation symptoms( Consult
cardiologist if present), presence of bruits or signs of CCF.
 Routine Investigations esp. 12 lead ECG/CXR/ Sr. Electrolytes.
 Pacemaker Evaluation
Pacemaker evaluation
 Assistance from the cardiologist and the manufacturer’s representative.
 Location of the pulse generator.
 Type of pacemaker (fixed rate or demand rate),time since implanted,
pacemaker rate at the time of implantation, and half-life of the pacemaker
battery.
 Further evaluation of pacemaker function can be done by slowing down the
heart rate by carotid sinus massage or by Valsalva manoeuvre.
 Reprogramming the pacemaker is generally indicated to disable rate
responsiveness.
 The AICD/ Anti tachycardia therapy also needs to be disabled before
anaesthesia as per ACC/ AHA guidelines.
 If the risk of electromagnetic interference (EMI) is high, such as, when the
electricity is in close proximity to the generator, alternative temporary cardiac
pacing device should be available
Effect of the Magnet Application
on Pacemaker Function.
 The magnet is placed over the pulse generator to trigger the
reed switch present in the pulse generator resulting in a non-
sensing asynchronous mode with a fixed pacing rate (magnet
rate). It shuts down the demand function so that the
pacemaker stimulates asynchronous pacing. Thus, it protects
the pacemaker dependent patient during EMI, such as
diathermy or electrocautery.
 Demonstrates remaining battery life and sometimes pacing
thresholds.
 The response varies with the model and the manufacturer so
advisable to consult the manufacturer to know the magnet
response before use.
 Complications- ventricular asynchrony, altered programme
36 Wednesday, June 3, 2015
u
Intraoperative Management
 Based on the patient’s underlying disease and the
type of surgery.
 Continuous ECG monitoring.
 Both electrical and mechanical evidence of the heart
function should be monitored by manual palpation of
the pulse, pulse oximetry, precordial stethoscope
and arterial line.
 Careful during insertion of the guide wire or central
venous catheter.
 Multipurpose PA cathetor with pacing facilities is
preferred.
Anaesthetic technique
 Narcotic and inhalational techniques can be used successfully.
 Anaesthetic agents do not alter current and voltage threhold of
pacemakers.
 Skeletal myopotentials, electroconvulsive therapy,
succinylcholine fasciculation, myoclonic movements, or direct
muscle stimulation can inappropriately inhibit or trigger
stimulation, depending on the programmed pacing modes.
 Etomidate and ketamine should be avoided as these cause
myoclonic movements.
 Pacemaker function should be verified, before and after
initiating mechanical ventilation as PPV/N2O entrapment can
dislodge pacemaker.
 If rate responsive mode it should be deactivated before
surgery.
Electromagnetic Interference
 Direct sources of EMI: Strong Ionising radiation,Nuclear
magnetic resonance imaging, surgical electrocautery or dental
pulp vitality tester.
 Indirect sources of EMI include radar, orthopedic saw,
telemetric devices, mechanical ventilators, lithotriptors, cellular
telephones, and whole body vibrations.
 No effects of CT scan, X rays.
 Electrocautery is most important source of EMI. Involves
radiofrequency of 300-500 KHz.
Measures to decrease the possibility of
adverse effects due to electrocautery
 Bipolar cautery
 unipolar cautery (grounding plate should be placed
close to the operative site and as far away as
possible from the site of pacemaker)
 Electrocautery should not be used within 15cm of
pacemaker.
 Programme to asynchronous mode.
 Provision of alternative temporary pacing.
 Drugs (isoproterenol and atropine).
 Careful with Defibrillation if required ( away paddles,
lowest energy required)
 Careful monitoring of pulse, pulse oximetry
and arterial pressure is necessary during
electrocautery, as ECG monitoring can also
be affected by interference.
 The device should always be rechecked after
operation.
Specific Perioperative Considerations
1) Transuretheral Resection of Prostate (TURP) and Uterine
Hysteroscopy
-cutting current at high frequencies (up to 2500 kc/sec) can
suppress the output of a bipolar demand ventricular pacemaker
2) Electroconvulsive Therapy
-Little current is safe due to high tissue impedence but seizure
may generate myopotentials which may inhibit the pacemaker
3) Radiation- radiotherapy for deep seated tumors, therapeutic
radiation can damage the complementary metal oxide
semiconductors (CMOS) that are the parts of most modern
pacemakers.
Generally, doses in excess of 5000 rads are required to
cause pacemaker malfunction but as little as 1000 rads may
induce pacemaker failure or cause runaway pacemaker.
4) Nerve Stimulator Testing or Transcutaneous Electronic Nerve
Stimulator Unit (TENS)
-TENS unit consists of several electrodes placed on the
skin and connected to a pulse generator that applies 20 μsec
rectangular pulses of 1 to 200 V and 0 to 60 mA at a frequency of
20 to 110 Hz. This repeated frequency is similar to the normal
range of heart rates, so it can create a far field potential that may
inhibit a cardiac pacemaker.
5) Lithotripsy-
High-energy vibrations can cause closure of reed switch causing asynchronous
pacing.
Activity’ rate responsive pacemaker can be affected by damage caused to the
piezoelectric crystals by ESWL
One should have cardiologist’s opinion, perioperative ECG monitoring, device
programmer and a standby cardiologist to deal with any device malfunction.
Rate responsive pacemaker should have their activity mode deactivated.
Focal point of the lithotriptor should be kept at least six inches (15 cm) away from
the pacemaker.
Patient with abdominally placed pacemaker generators should not be treated with
ESWL.
Low shock waves (<16 kilovolts should be used initially followed by a gradual
increase in the level of energy
6) Magnetic Resonance Imaging (MRI) –
MRI is an important diagnostic tool. But its use in patients with
pacemaker is contraindicated due to lethal consequences and
mortality.
Three types of powerful forces exist in the MRI suite.
A) Static Magnetic Field:
-Ferromagnetic material of pacemakers gets attracted to the static
magnetic field in the MRI and may exert a torque effect leading to
discomfort at the pacemaker pocket.
-Reed switch activation by high static field of 0.5-1.5 T can result
in switching of pacemaker to a nonsensing asynchronous pacing.
B) Radiofrequency Field (RF): The radiofrequency signals can
cause interference with pacemaker output circuits resulting in
rapid pacing at multiple of frequency between 60-300 bpm causing
rapid pacing rate.
- It may cause pacemaker reprogramming and destruction of
electronic components and also causes thermal injury.
C) Gradient Magnetic field-
-used for spatial localization.
-Can interact with reed - switch in pacemaker.
-Causes inappropriate sensing and triggering because of the
induced voltages. It may also induce negligible heating effect
Postoperative care
 Full telemetric check .
 Re-programming back to the original setting.
 Anti-tachycardia therapies of implantable
defibrillators should obviously be re-
programmed to their original settings.
Summary
Pacemaker and AICD implanted patients
undergoing elective surgery:
1. Contact pacemaker or AICD clinic or
manufacturer and also consult cardiologist.
2. Reprogram the device function in selective
group of patients
Summary
Pacemaker and AICD implanted patients
undergoing elective surgery:
1. Monitoring and anesthesia technique with
due considerations to patients CVS status
2. Avoid electrocautery use. If necessary
consider use of bipolar or harmonic scalpel
3. Be ready for alternate mode of pacemaker
and defibrillator if necessity arises
Summary
Pacemaker and AICD implanted patients
undergoing emergency surgery:
1. Try get information regarding pacemaker or
AICD at earliest possible or if time permits
2. Initiate invasive arterial pressure monitoring
in addition to standard monitoring
52 Wednesday, June 3, 2015
Summary
Pacemaker and AICD implanted patients
undergoing emergency surgery:
1. If pacemaker failure is associated with
haemodynamic instability consider magnet
application
2. Consider magnet application with AICD only when
EMI source cannot stopped and it is associated
with haemodyanamically destabilising
inappropriate shocks
3. Interrogate device following either elective or
emergency surgery at the earliest possible and
consider appropriate resetting if required
THANK YOU…

Pacemaker and anaesthetic implications

  • 1.
    Pacemakers and their AnaestheticImplications Dr. Rahul Chauhan PG III yr (Anaesthesia) Moderator-Dr. Subhro Mitra Date- 27/12/2014
  • 2.
    Introduction.  A pacemakersystem is a device capable of generating artificial pacing impulses and delivering them to the heart.  Pacemakers are being used with greater frequency for both conduction and arrhythmia (specially bradyarrythmias).
  • 3.
  • 4.
    1980 Large Devices:abdominal site  First human implants  Thoracotomy, multiple incisions  Primary implanter= cardiac surgeon  General anesthesia  Long hospital stays  Complications from major surgery  Perioperative mortality up to 9%  Nonprogrammable therapy  High-energy shock only  Device longevity ≈ 1.5 years  Fewer than 1,000 implants/year
  • 5.
    Pacemaker today-Small devices pectoralsite.  First-line therapy for VT/VF patients  Treatment of atrial arrhythmias  Cardiac resynchronization therapy for HF  Transvenous, single incision  Local anesthesia; conscious sedation  Short hospital stays and few complications  Perioperative mortality < 1%  Programmable therapy options  Single- or dual-chamber therapy  Battery longevity up to 9 years  More than 100,000 implants/year
  • 7.
    Indications of permanentpacemaker implantation (Acc. To ACC/AHA guidelines) 1) Acquired AV block: A) Third degree AV block Bradycardia with symptoms After drug treatment that cause symptomatic bradycardia Postoperative AV block not expected to resolve Neuromuscular disease with AV block Escape rhythm <40 bpm or asystole > 3s B) Second degree AV block Permanent or intermittent symptomatic bradycardia 2) After Myocardial infarction: Persistent second degree or third degree block Infranodal AV block with LBBB Symptomatic second or third degree block
  • 8.
    3) Bifascicular orTrifascicular block: Intermittent complete heart block with symptoms Type II second degree AV block Alternating bundle branch block 4) Sinus node dysfunction: Sinus node dysfunction with symptoms as a result of long term drug therapy Symptomatic chronotropic incompetence 5) Hypertensive carotid sinus and neurocardiac syndromes: Recurrent syncope associated with carotid sinus stimulation Asystole of >3s duration in absence of any medication
  • 9.
    Technique of PermanentPacing  In permanent pacing, leads through the subclavian or cephalic vein.  Leads positioned in the right atrial appendage for atrial pacing and right ventricular apex for ventricular pacing.  The pulse generator lies in the subcutaneous pocket below the clavicle.  Epicardial lead placement is used when no transvenous or if the chest is open.
  • 10.
    Generic Codes ofPacemaker  To understand language of Pacemekers Coding system was developed originally by the international conference on heart disease and subsequently modified by the - NASPE/BPEG (North American society of pacing and electrophysiology/British pacing and electrophysiology group) alliance.
  • 11.
     First letter-thechamber being paced  Second letter-the chamber being sensed  Third letter-response to sensing (I and T indicates inhibited or triggered responses, respectively).  Fourth and Fifth positions-programmable and antitachyarrhythmia functions, but these two are rarely used.  An R in fourth position indicates that the pacemaker incorporates a sensor to modulate the rate independently of intrinsic cardiac activity such as with activity or respiration.
  • 12.
    Generic codes forpacemaker I II III IV V Pacing Sensing Response Programmability Tachycardia O-None O- None O-None O-None O- None A-Atrium A-Atrium I-Inhibited C-Communicating P-Pacing V-Ventricle V-Ventricle T-Triggered P-simple S- Shocks programmable  D-Dual D-Dual D-dual M-multi D-Dual  (A+V) (A+V) (I+T) programmable (P+S)  S-Simple S-Simple R-Rate  (A or V) (A or V) modulation
  • 13.
    Generic codes forDefibrillators  NASPE / BPEG Defibrillator (NBD) code I II III IV Shock chamber Antitachycardia Tachycardia detection Antibradycardia pacing pacing chamber chamber O = None O = None E = Electrogram O = None A = Atrium A = Atrium H = Hemodynamic A = Atrium V = Ventricle V = Ventricle V = Ventricle D = Dual (A+V) D = Dual (A+V) D = Dual (A+V)
  • 14.
    Important terms regarding pacemakers. Pulse Generator  Leads  Electrode  Unipolar Pacing  Bipolar Leads  Endocardial Pacing  Epicardial Pacing  Pacing Threshold  R Wave Sensitivity  Hysteresis  Runaway Pacemaker
  • 15.
    Factors affecting pacing thresholds IncreaseDecrease 1-4 weeks after implantation Increased catecholamines Myocardial ischaemia/infaction Stress, anxiety Hypothermia, hypothyroidism Sympathomimetic drugs Hyperkalaemia, acidosis/alkalosis Anticholinergics Antiarrythmics (class Ic,3) Glucocorticoides Antiarrythmics ( class IA/B,2)* Hyperthyroidism Severe hypoxia/hypoglycaemia Hypermetabolic status Inhalation-local anaesthetics** *possibly increase threasholds **conflicting evidence, probably dose-related
  • 16.
     Hysteresis- Itis the difference between intrinsic heart rate at which pacing begins (about 60 beats/min) and pacing rate (e.g.72 beats/min). Particularly useful in patients with sick sinus syndrome.  Runaway Pacemaker- It is the acceleration in paced rates due to aging of the pacemaker or damage produced by leakage of the tissue fluids into the pulse generator.  Treatment with antiarrhythmic drugs or cardioversion may be ineffective in such cases.  It is necessary to change the pacemaker to an asynchronous mode, or reprogram it to lower outputs.  If the patient is haemodynamically unstable temporary pacing should be done followed by changing of pulse generator
  • 17.
    Types of PacingModes  Asynchronous: (AOO, VOO, and DOO)  Single Chamber Atrial Pacing (AAI, AAT) sinus arrest and sinus bradycardia  Single Chamber Ventricular Pacing (VVI, VVT) complete heart block with chronic atrial flutter, atrial fibrillation and long ventricular pauses.  Dual Chamber AV Sequential Pacing (DDD, DVI, DDI, and VDD) AV block, carotid sinus syncope, and sinus node disease.  Programmable Pacemaker  Rate responsive pacemaker.
  • 18.
    Asynchronous: (AOO, VOO,and DOO)  It is the simple form of fixed rate pacemaker which discharges at a preset rate irrespective of the inherent heart rate.  Can be used in cases with no ventricular activity.  Disavantage- it competes with the patient’s intrinsic rhythm and results in induction of tachyarrythmias.  Continuous pacing wastes energy and also decreases the half- life of the battery.
  • 19.
    Single Chamber AtrialPacing (AAI, AAT)  Atrium is paced and the impulse passes down the conducting pathways, thus maintaining atrioventricular synchrony.  A single pacing lead with electrode is positioned in the right atrial appendage, which senses the intrinsic P wave and causes inhibition or triggering of the pacemaker.  Useful in patients with sinus arrest and sinus bradycardia provided atrioventricular conduction is adequate.  Inappropriate for chronic atrial fibrillation and long ventricular pauses.
  • 20.
    Single Chamber Ventricular Pacing(VVI, VVT)  VVI is the most widely used form of pacing in which ventricle is sensed and paced.  It senses the intrinsic R wave and thus inhibits the pacemaker function.  Indication- complete heart block with chronic atrial flutter, atrial fibrillation and long ventricular pauses.  Single chamber ventricular pacing is not recommended for patients with sinus node disease, as these patients are more likely to develop the pacemaker syndrome.
  • 21.
    Dual Chamber AVSequential Pacing (DDD, DVI, DDI, and VDD)  Two leads used-unipolar or bipolar, one for the right atrial appendage and the other for right ventricular apex.  The atrium is stimulated first to contract, then after an adjustable PR interval ventricle is stimulated to contract.  They preserve the normal atrioventricular contraction sequence, and are indicated in patients with AV block, carotid sinus syncope, and sinus node disease.
  • 22.
    Dual Chamber AVSequential Pacing (DDD)  Advantages- they are similar to sinus rhythm and are beneficial in patients, where atrial contraction is important for ventricular filling (e.g. aortic stenosis).  Disadvantage- pacemaker-mediated tachycardia (PMT) due to ventriculoatrial (VA) conduction in which ventricular conduction is conducted back to the atrium and sensed by the atrial circuit, which triggers a ventricular depolarization leading to PMT.  This problem can be overcome by careful programming of the pacemaker.
  • 23.
    Programmable Pacemaker  Pacemakers,which not only sense the atrial or ventricular activity but also sense various other stimuli and thus, increase the pacemaker rate.  The various factors, which can be programmed are pacing rate, pulse duration, voltage output, R wave sensitivity, refractory periods, PR interval, mode of pacing, hysteresis and atrial tracking rate.  Various types of sensors have been designed which respond to the parameters such as vibration, acceleration, minute ventilation, respiratory rate, central venous pressure, central venous pH, QT interval, preejection period, right ventricular stroke volume, mixed venous oxygen saturation, and right atrial pressure.
  • 24.
    Pacemaker Syndrome  Someindividuals, particularly those with intact retrograde VA conduction, may not tolerate ventricular pacing and may develop a variety of clinical signs and symptoms resulting from deleterious haemodynamics induced by ventricular pacing  These include hypotension, syncope, vertigo, light headedness,fatigue, exercise intolerance, malaise, weakness,lethargy, dyspnoea. and even CHF.  Reason - complex interaction of haemodynamic, neurohumoral and vascular changes induced by the loss of AV synchrony
  • 25.
    Pacemaker Failure  Dueto generator failure, lead failure, or failure to capture.  Failure to capture owing to a defect at the level of myocardium (i.e. the generator continues to fire but no myocardial depolarization takes place) remains the most difficult problem to treat
  • 26.
    Factors Important fromAnaesthesia Point of View  Physiological  Potassium  Myocardial Infarction  Antiarrhythmic Drug Therapy  Acid Base Status  Hypoxia  Anaesthetic Drugs
  • 27.
    Physiological  Initial sharpincrease in the pacing threshold during first 2 weeks i.e. up to ten times the acute level because of the tissue reaction around the electrode tip. Then It decreases to two to three times the acute level because of the scar formation.  In chronic state, it reaches the initial level in 80% of patients.  Problem reduced with the introduction of steroid-eluting leads and other refinements in the lead technology.
  • 28.
    Potassium  It determinesthe resting membrane potential (RMP) of cell mebrane.  In certain situations, If RMP is less negative  less current density is required to initiate an action potential, making capture by the pacemaker easier and vice versa.
  • 29.
    Myocardial Infarction  Itsscar tissue is unresponsive to electrical stimulation and may cause loss of pacemaker capture
  • 30.
    Antiarrhythmic Drug Therapy Class Ia (quinidine, procainamide), Ib (lidocaine, diphenylhydrantoine), and Ic (flecainide, encainide, propafenone) drugs have been found to increase the pacing threshold
  • 31.
    Acid Base Status Alkalosisand acidosis both cause increase in pacing threshold Hypoxia Increase in pacing threshold
  • 32.
    Anaesthetic Drugs  Thesedrugs are not likely to change the pacing threshold.  It is notable that addition of equipotent halothane, enflurane, or isoflurane to opiate based anaesthesia after cardiopulmonary bypass did not increase pacing threshold.
  • 33.
    Preoperative Evaluation  Evaluationof the patient.- underlying cardiovascular disease responsible for pacemaker implantation and also other asso. problems e.g CAD.HTN,DM etc.  Severity of the cardiac disease, the current functional status, medication of the patient, preimplantation symptoms( Consult cardiologist if present), presence of bruits or signs of CCF.  Routine Investigations esp. 12 lead ECG/CXR/ Sr. Electrolytes.  Pacemaker Evaluation
  • 34.
    Pacemaker evaluation  Assistancefrom the cardiologist and the manufacturer’s representative.  Location of the pulse generator.  Type of pacemaker (fixed rate or demand rate),time since implanted, pacemaker rate at the time of implantation, and half-life of the pacemaker battery.  Further evaluation of pacemaker function can be done by slowing down the heart rate by carotid sinus massage or by Valsalva manoeuvre.  Reprogramming the pacemaker is generally indicated to disable rate responsiveness.  The AICD/ Anti tachycardia therapy also needs to be disabled before anaesthesia as per ACC/ AHA guidelines.  If the risk of electromagnetic interference (EMI) is high, such as, when the electricity is in close proximity to the generator, alternative temporary cardiac pacing device should be available
  • 35.
    Effect of theMagnet Application on Pacemaker Function.  The magnet is placed over the pulse generator to trigger the reed switch present in the pulse generator resulting in a non- sensing asynchronous mode with a fixed pacing rate (magnet rate). It shuts down the demand function so that the pacemaker stimulates asynchronous pacing. Thus, it protects the pacemaker dependent patient during EMI, such as diathermy or electrocautery.  Demonstrates remaining battery life and sometimes pacing thresholds.  The response varies with the model and the manufacturer so advisable to consult the manufacturer to know the magnet response before use.  Complications- ventricular asynchrony, altered programme
  • 36.
  • 37.
  • 38.
    Intraoperative Management  Basedon the patient’s underlying disease and the type of surgery.  Continuous ECG monitoring.  Both electrical and mechanical evidence of the heart function should be monitored by manual palpation of the pulse, pulse oximetry, precordial stethoscope and arterial line.  Careful during insertion of the guide wire or central venous catheter.  Multipurpose PA cathetor with pacing facilities is preferred.
  • 39.
    Anaesthetic technique  Narcoticand inhalational techniques can be used successfully.  Anaesthetic agents do not alter current and voltage threhold of pacemakers.  Skeletal myopotentials, electroconvulsive therapy, succinylcholine fasciculation, myoclonic movements, or direct muscle stimulation can inappropriately inhibit or trigger stimulation, depending on the programmed pacing modes.  Etomidate and ketamine should be avoided as these cause myoclonic movements.  Pacemaker function should be verified, before and after initiating mechanical ventilation as PPV/N2O entrapment can dislodge pacemaker.  If rate responsive mode it should be deactivated before surgery.
  • 40.
    Electromagnetic Interference  Directsources of EMI: Strong Ionising radiation,Nuclear magnetic resonance imaging, surgical electrocautery or dental pulp vitality tester.  Indirect sources of EMI include radar, orthopedic saw, telemetric devices, mechanical ventilators, lithotriptors, cellular telephones, and whole body vibrations.  No effects of CT scan, X rays.  Electrocautery is most important source of EMI. Involves radiofrequency of 300-500 KHz.
  • 41.
    Measures to decreasethe possibility of adverse effects due to electrocautery  Bipolar cautery  unipolar cautery (grounding plate should be placed close to the operative site and as far away as possible from the site of pacemaker)  Electrocautery should not be used within 15cm of pacemaker.  Programme to asynchronous mode.  Provision of alternative temporary pacing.  Drugs (isoproterenol and atropine).  Careful with Defibrillation if required ( away paddles, lowest energy required)
  • 42.
     Careful monitoringof pulse, pulse oximetry and arterial pressure is necessary during electrocautery, as ECG monitoring can also be affected by interference.  The device should always be rechecked after operation.
  • 43.
    Specific Perioperative Considerations 1)Transuretheral Resection of Prostate (TURP) and Uterine Hysteroscopy -cutting current at high frequencies (up to 2500 kc/sec) can suppress the output of a bipolar demand ventricular pacemaker 2) Electroconvulsive Therapy -Little current is safe due to high tissue impedence but seizure may generate myopotentials which may inhibit the pacemaker
  • 44.
    3) Radiation- radiotherapyfor deep seated tumors, therapeutic radiation can damage the complementary metal oxide semiconductors (CMOS) that are the parts of most modern pacemakers. Generally, doses in excess of 5000 rads are required to cause pacemaker malfunction but as little as 1000 rads may induce pacemaker failure or cause runaway pacemaker. 4) Nerve Stimulator Testing or Transcutaneous Electronic Nerve Stimulator Unit (TENS) -TENS unit consists of several electrodes placed on the skin and connected to a pulse generator that applies 20 μsec rectangular pulses of 1 to 200 V and 0 to 60 mA at a frequency of 20 to 110 Hz. This repeated frequency is similar to the normal range of heart rates, so it can create a far field potential that may inhibit a cardiac pacemaker.
  • 45.
    5) Lithotripsy- High-energy vibrationscan cause closure of reed switch causing asynchronous pacing. Activity’ rate responsive pacemaker can be affected by damage caused to the piezoelectric crystals by ESWL One should have cardiologist’s opinion, perioperative ECG monitoring, device programmer and a standby cardiologist to deal with any device malfunction. Rate responsive pacemaker should have their activity mode deactivated. Focal point of the lithotriptor should be kept at least six inches (15 cm) away from the pacemaker. Patient with abdominally placed pacemaker generators should not be treated with ESWL. Low shock waves (<16 kilovolts should be used initially followed by a gradual increase in the level of energy
  • 46.
    6) Magnetic ResonanceImaging (MRI) – MRI is an important diagnostic tool. But its use in patients with pacemaker is contraindicated due to lethal consequences and mortality. Three types of powerful forces exist in the MRI suite. A) Static Magnetic Field: -Ferromagnetic material of pacemakers gets attracted to the static magnetic field in the MRI and may exert a torque effect leading to discomfort at the pacemaker pocket. -Reed switch activation by high static field of 0.5-1.5 T can result in switching of pacemaker to a nonsensing asynchronous pacing.
  • 47.
    B) Radiofrequency Field(RF): The radiofrequency signals can cause interference with pacemaker output circuits resulting in rapid pacing at multiple of frequency between 60-300 bpm causing rapid pacing rate. - It may cause pacemaker reprogramming and destruction of electronic components and also causes thermal injury. C) Gradient Magnetic field- -used for spatial localization. -Can interact with reed - switch in pacemaker. -Causes inappropriate sensing and triggering because of the induced voltages. It may also induce negligible heating effect
  • 48.
    Postoperative care  Fulltelemetric check .  Re-programming back to the original setting.  Anti-tachycardia therapies of implantable defibrillators should obviously be re- programmed to their original settings.
  • 49.
    Summary Pacemaker and AICDimplanted patients undergoing elective surgery: 1. Contact pacemaker or AICD clinic or manufacturer and also consult cardiologist. 2. Reprogram the device function in selective group of patients
  • 50.
    Summary Pacemaker and AICDimplanted patients undergoing elective surgery: 1. Monitoring and anesthesia technique with due considerations to patients CVS status 2. Avoid electrocautery use. If necessary consider use of bipolar or harmonic scalpel 3. Be ready for alternate mode of pacemaker and defibrillator if necessity arises
  • 51.
    Summary Pacemaker and AICDimplanted patients undergoing emergency surgery: 1. Try get information regarding pacemaker or AICD at earliest possible or if time permits 2. Initiate invasive arterial pressure monitoring in addition to standard monitoring
  • 52.
    52 Wednesday, June3, 2015 Summary Pacemaker and AICD implanted patients undergoing emergency surgery: 1. If pacemaker failure is associated with haemodynamic instability consider magnet application 2. Consider magnet application with AICD only when EMI source cannot stopped and it is associated with haemodyanamically destabilising inappropriate shocks 3. Interrogate device following either elective or emergency surgery at the earliest possible and consider appropriate resetting if required
  • 53.