CAVITY
     PREPARATION IN
     PRIMARY TEETH
Dr. Masar Mohammed
   INTRODUCTION
   BASIC PRINCIPLES IN THE
    PREPARATION OF CAVITIES IN
    PRIMARY TEETH
   CLASS I CAVITIES
   CLASS II CAVITIES
   CLASS III CAVITIES
   CLASS IV CAVITIES
   CLASS V CAVITIES
   RECENT CONCEPTS IN RESTORATIVE
    DENTISTRY
Operative dentistry:
 Is the art and science of the diagnosis,
 treatment and prognosis of defects of teeth
 that do not require full coverage restorations
 for correction.

The aim of pediatric operative dentistry is to
 maintain the tooth in the dental arch in a
 healthy state, so as to prevent its loss and
 the subsequent problems that will result.
Main reasons to control caries in primary
Dentition
 Prevent pain and discomfort.
 Prevent local infections.
 Prevent general infections
 Prevent negative attitudes and promote
  keeping good oral health
 Maintenance good mastication, aesthetic
  and overall well-being
 Prevent caries in permanent teeth
 Prevent malocclusion.
ANATOMIC CONSIDERATIONS OF
PRIMARY TEETH
1. Shorter crown.
2. Thinner enamel and dentin.
3. Larger pulp and higher
pulp horns.
4. Enamel rods in cervical
area directed occlusally.
5. Greater cervical constriction.
6. Broad, flat proximal contacts.
7. Narrow occlusal table.
8. Lighter in color.
   Prevention is the cornerstone of good
    management of dental caries in children
   History taking is fundamental to the
    execution of restorative care in the primary
    and mixed dentition.
   Communication skills are essential in
    obtaining a child’s co-operation in
    completing treatment.
In the restoration of primary teeth, we
   should consider the following
  factors:

 The child: age, physical condition, and
  cooperation among others.
 Caries degree.
 Degree of radicular reabsorption of the
  tooth.
 Condition of the bone support.
 Dental material
BASIC PRINCIPLES IN THE
 PREPARATION OF CAVITIES IN
 PRIMARY TEETH.
The steps in the preparation of a cavity in a
 primary tooth are not difficult but do
 require precise operator control
Many authorities advocate the use of
small, rounded-end carbide burs in the
high-speed handpiece for establishing the
cavity outline and performing the gross
preparation.
they are designed to cut efficiently and yet
allow conservative cavity preparations
with rounded line angles and point angles.
 The Black’s principles with some
 modification are basic principles in
 the preparation of the cavities in the
 primary teeth. There are three
 operative steps with the use of the
 high-speed handpiece:
   Opening and conformation of the cavity
    with the use of the high-speed handpiece.

   Eliminating the caries of the buccal, lingual,
    mesial and distal walls with the use of the
    high-speed handpiece. Eliminate the caries
    of the pulpal wall with the use of the lower-
    speed handpiece.

   The third step will include dentine
    sterilization and the cement base.
CLASS I CAVITIES

   Incipient carious lesion in child under 2
    years old should be eliminated. Small cavity
    preparation may be made with a No.329 or
    No. 330 pear-shaped bur. We should
    open the decayed area and extend the
    cavosurface margin only to the extent of the
    carious lesion. The preparation can be
    completed in a few seconds.
   The outline form should include all pits,
    fissures and grooves into which a sharp
    explorer can penetrate.
 The pulpal floor should be flat or slightly
  concave throughout to allow for greater
  depth of the filling material, for better
  distribution of stress in the restoration and
  to avoid endangering the high pulpal
  horns.
 The depth of pulpal floor should be
  established just beneath the
  dentinoenamel junction (0.5 mm) to avoid
  pulp exposure.
 All the internal line angles should be
  rounded.
 The side walls should slightly converge
  towards occlusal so that the preparation
  will follow the outer form of the crown.
 Beside the regular class I cavity
  preparations done in primary molars,
  occlusal spot preparations have been
  recommended.
In such preparations only the carious pits or
  groove is prepared and the tooth is
  restored in the usual manner. These
  preparations are applicable in any of the
  primary molars with exception of the lower
  second primary molars in which extension
  for prevention including all deep pits and
  fissures is recommended above all, if the
  child has high caries index
   cavity should be covered with calcium
    hydroxide . A base of polycarboxlate, glass
    ionomer or rapid-setting zinc-oxide-eugenol
    cement may then be placed over the
    calcium hydroxide material to provide
    adequate thermal pulp protection.
    Do not cross the oblique ridge in the upper
    second primary or first permanent molars
    and the transverse ridge of the lower first
    primary molar unless they are undermined
    with caries. These heavy ridges add
    support to the tooth.
CLASS II CAVITIES.

   These preparations include an occlusal, an
    isthmus and proximal portion. The outline
    form of the occlusal step
    should be dovetail-shaped
    including all carious pits,
    fissures, and developmental
    grooves.
   The side walls of the occlusal step should
    converge from the pulpal wall to the
    occlusal surface.
   The pulpal floor should be established just
    beneath the dentinoenamel junction.
   Angles between the side walls and the
    pulpal floor should be gently rounded.
   The width of the isthmus should be
    approximately one-third of the intercuspal
    dimension of the tooth.
   The axio-pulpal line angle should be
    beveled to reduce the concentration of
    stresses and provide grater bulk of material
    in the isthmus area, which is liable to
    fracture
   The greater constriction of primary teeth
    increases the danger of damaging the
    interproximal soft tissues during cavity
    preparation.

   Extreme care must be taken when
    breaking through the marginal ridge to
    prevent damage to the adjacent proximal
    surface, especially when the bur is
    revolving at high speed.
   The proximal box line angles and walls
    should converge towards the occlusal.
    When viewed from the occlusal aspect
    the resulting axial wall should follow the
    outline of the original proximal surface.
   An axiobuccal and axiolingual retentive
    groove may be included in the preparation.
   The bur is used in a pendulum-swinging
    fashion to undermine the marginal ridge
    and at the same time to establish the
    gingival depth.
    The gingival seat should be of sufficient
    depth to break contact with the adjacent
    tooth.
    A liner or intermediate base should be
    placed before the insertion of the silver
    amalgam.
   The amalgam restoration in the Class II
    cavity needs the use of a matrix retainer.
    The matrix should be rigid enough to allow
    adequate packing pressure, ensuring a
    well-condensed restoration free from an
    excess of residual mercury.
   If the primary molars have an extensive
    carious lesions, especially first primary
    molars, should be used a stainless steel
    crowns, above all, in the first primary molar
    of a 3 years old child
Indications for use Stainless Steel
  Crown
 Restoration of primary molars requiring
  large multisurface restoration.




   Restorations in disabled persons or
    others in whom oral hygienic is extremely
    poor and failure of other materials is
    likely.
   Restorations of teeth in children with
    rampant caries.
   Restoration of teeth after pulp therapy
   Restoration of teeth with developmental
    defects
   Restoration of fructured primary molar
   As abutment for space maintainer
   In children with bruxism
   Restoration of hypoplastic young
    permanent molars
Steps of preparation and placement of
  Stainless Steel Crown.

   Evaluate the preoperative occlusion.
   Administer appropriate anesthesia.
   Establish access.
   Reduction of the occlusal surface.
   Proximal reduction.
   Round all line angles
   Selection of the crown
 Contour the crown.
 Place the crown and check the occlusion.
   Smooth and polish the crown margin.
   Rinse and dry the crown.




   Dry the tooth and seat the crown
    completely.
   Remove cement excess and rinse oral
    cavity.




   Check occlusion
CLASS III CAVITIES
   Carious lesions on the proximal surfaces of
    anterior primary teeth sometimes occur in
    children whose teeth are in contact and in
    those children who have evidence of arch
    inadequacy or crowding.
   If caries is not extensive, disking by sand
    paper disc is performed to remove the
    decay, and then fluoride is applied topically
   If the carious lesion not involves the incisal
    angle, a small conventional Class III cavity
    may be prepared and the tooth may be
    restored with glass ionomer or composite
    resin.
The same basic principles for permanent
 anterior teeth should be considered in a
 primary teeth, modified, of course, by the
 size of the pulp and the relative thinness
 of the enamel. If it is necessary we modify
 the Class III cavities with the use of
 dovetail on the lingual or occasionally on
 the labial surface of the tooth.
Because of the narrow labiolingual width of
 the primary incisor teeth, the Class III
 preparation is very difficult to perform and
 often needs a labial or lingual dovetail to
 gain access and aid in retention of the
 restoration.
The distal surface of the primary canine
 is a frequent site of caries attack
CLASS IV CAVITIES
   In these cavities caries involves the incisal
    proximal angle of the anterior teeth. The
    principles in the cavity preparation are the
    same of the cavity preparation in
    permanent teeth
   In regular class IV cavity preparations,
    composite resin material can be used for
    restoration.
CLASS V CAVITIES
   The Class V cavities are realized more
    frequently in buccal surface of the primary
    canines.




   The principles in the cavity preparation are
    the same of the cavity preparation in
    permanent teeth, although the depth is not
    carried more than 1.5 mm.
   Walls of preparation converge toward
    buccal surface of tooth for retention of
    restoration.

   When a necessary, retentive groove can be
    placed along the gingivoaxial and
    occlusoaxial line angles. Use a No. 1/2
    round bur at slow speed.

    Glass ionomer cement could be used
    effectively for restoring these cavities.
Pit and fissure sealant



 is a thin, plastic coating painted on the
 chewing surfaces of teeth -- usually the
 back teeth (the premolars and molars) --
 to prevent tooth decay. The sealant
 quickly bonds into the depressions and
 grooves of the teeth forming a protective
 shield over the enamel of each tooth.
Indicaations of sealant placement:
1. Deep retintive pits and fissures.
2. Stained pits and fissures with minmum
   decalcification.
3. No radiographic evidence of proximal
   caries.
4. Factores associated with increased caries
   incidence.
5. Caries free.
6. Possibility of adequate isolation.



     How Are Sealants Applied?
Cavity preparation
Cavity preparation
Cavity preparation

Cavity preparation

  • 1.
    CAVITY PREPARATION IN PRIMARY TEETH Dr. Masar Mohammed
  • 2.
    INTRODUCTION  BASIC PRINCIPLES IN THE PREPARATION OF CAVITIES IN PRIMARY TEETH  CLASS I CAVITIES  CLASS II CAVITIES  CLASS III CAVITIES  CLASS IV CAVITIES  CLASS V CAVITIES  RECENT CONCEPTS IN RESTORATIVE DENTISTRY
  • 3.
    Operative dentistry: Isthe art and science of the diagnosis, treatment and prognosis of defects of teeth that do not require full coverage restorations for correction. The aim of pediatric operative dentistry is to maintain the tooth in the dental arch in a healthy state, so as to prevent its loss and the subsequent problems that will result.
  • 4.
    Main reasons tocontrol caries in primary Dentition  Prevent pain and discomfort.  Prevent local infections.  Prevent general infections  Prevent negative attitudes and promote keeping good oral health  Maintenance good mastication, aesthetic and overall well-being  Prevent caries in permanent teeth  Prevent malocclusion.
  • 5.
    ANATOMIC CONSIDERATIONS OF PRIMARYTEETH 1. Shorter crown. 2. Thinner enamel and dentin. 3. Larger pulp and higher pulp horns. 4. Enamel rods in cervical area directed occlusally. 5. Greater cervical constriction. 6. Broad, flat proximal contacts. 7. Narrow occlusal table. 8. Lighter in color.
  • 6.
    Prevention is the cornerstone of good management of dental caries in children  History taking is fundamental to the execution of restorative care in the primary and mixed dentition.  Communication skills are essential in obtaining a child’s co-operation in completing treatment.
  • 7.
    In the restorationof primary teeth, we should consider the following factors:  The child: age, physical condition, and cooperation among others.  Caries degree.  Degree of radicular reabsorption of the tooth.  Condition of the bone support.  Dental material
  • 8.
    BASIC PRINCIPLES INTHE PREPARATION OF CAVITIES IN PRIMARY TEETH. The steps in the preparation of a cavity in a primary tooth are not difficult but do require precise operator control
  • 9.
    Many authorities advocatethe use of small, rounded-end carbide burs in the high-speed handpiece for establishing the cavity outline and performing the gross preparation. they are designed to cut efficiently and yet allow conservative cavity preparations with rounded line angles and point angles.
  • 10.
     The Black’sprinciples with some modification are basic principles in the preparation of the cavities in the primary teeth. There are three operative steps with the use of the high-speed handpiece:
  • 11.
    Opening and conformation of the cavity with the use of the high-speed handpiece.  Eliminating the caries of the buccal, lingual, mesial and distal walls with the use of the high-speed handpiece. Eliminate the caries of the pulpal wall with the use of the lower- speed handpiece.  The third step will include dentine sterilization and the cement base.
  • 12.
    CLASS I CAVITIES  Incipient carious lesion in child under 2 years old should be eliminated. Small cavity preparation may be made with a No.329 or No. 330 pear-shaped bur. We should open the decayed area and extend the cavosurface margin only to the extent of the carious lesion. The preparation can be completed in a few seconds.
  • 13.
    The outline form should include all pits, fissures and grooves into which a sharp explorer can penetrate.
  • 14.
     The pulpalfloor should be flat or slightly concave throughout to allow for greater depth of the filling material, for better distribution of stress in the restoration and to avoid endangering the high pulpal horns.  The depth of pulpal floor should be established just beneath the dentinoenamel junction (0.5 mm) to avoid pulp exposure.
  • 15.
     All theinternal line angles should be rounded.  The side walls should slightly converge towards occlusal so that the preparation will follow the outer form of the crown.  Beside the regular class I cavity preparations done in primary molars, occlusal spot preparations have been recommended.
  • 16.
    In such preparationsonly the carious pits or groove is prepared and the tooth is restored in the usual manner. These preparations are applicable in any of the primary molars with exception of the lower second primary molars in which extension for prevention including all deep pits and fissures is recommended above all, if the child has high caries index
  • 17.
    cavity should be covered with calcium hydroxide . A base of polycarboxlate, glass ionomer or rapid-setting zinc-oxide-eugenol cement may then be placed over the calcium hydroxide material to provide adequate thermal pulp protection.
  • 18.
    Do not cross the oblique ridge in the upper second primary or first permanent molars and the transverse ridge of the lower first primary molar unless they are undermined with caries. These heavy ridges add support to the tooth.
  • 19.
    CLASS II CAVITIES.  These preparations include an occlusal, an isthmus and proximal portion. The outline form of the occlusal step should be dovetail-shaped including all carious pits, fissures, and developmental grooves.
  • 20.
    The side walls of the occlusal step should converge from the pulpal wall to the occlusal surface.  The pulpal floor should be established just beneath the dentinoenamel junction.
  • 21.
    Angles between the side walls and the pulpal floor should be gently rounded.  The width of the isthmus should be approximately one-third of the intercuspal dimension of the tooth.
  • 22.
    The axio-pulpal line angle should be beveled to reduce the concentration of stresses and provide grater bulk of material in the isthmus area, which is liable to fracture
  • 23.
    The greater constriction of primary teeth increases the danger of damaging the interproximal soft tissues during cavity preparation.  Extreme care must be taken when breaking through the marginal ridge to prevent damage to the adjacent proximal surface, especially when the bur is revolving at high speed.
  • 24.
    The proximal box line angles and walls should converge towards the occlusal. When viewed from the occlusal aspect the resulting axial wall should follow the outline of the original proximal surface.
  • 25.
    An axiobuccal and axiolingual retentive groove may be included in the preparation.
  • 26.
    The bur is used in a pendulum-swinging fashion to undermine the marginal ridge and at the same time to establish the gingival depth.  The gingival seat should be of sufficient depth to break contact with the adjacent tooth.  A liner or intermediate base should be placed before the insertion of the silver amalgam.
  • 27.
    The amalgam restoration in the Class II cavity needs the use of a matrix retainer. The matrix should be rigid enough to allow adequate packing pressure, ensuring a well-condensed restoration free from an excess of residual mercury.
  • 28.
    If the primary molars have an extensive carious lesions, especially first primary molars, should be used a stainless steel crowns, above all, in the first primary molar of a 3 years old child
  • 29.
    Indications for useStainless Steel Crown  Restoration of primary molars requiring large multisurface restoration.  Restorations in disabled persons or others in whom oral hygienic is extremely poor and failure of other materials is likely.
  • 30.
    Restorations of teeth in children with rampant caries.
  • 31.
    Restoration of teeth after pulp therapy
  • 32.
    Restoration of teeth with developmental defects
  • 33.
    Restoration of fructured primary molar
  • 34.
    As abutment for space maintainer
  • 35.
    In children with bruxism
  • 36.
    Restoration of hypoplastic young permanent molars
  • 37.
    Steps of preparationand placement of Stainless Steel Crown.  Evaluate the preoperative occlusion.  Administer appropriate anesthesia.  Establish access.  Reduction of the occlusal surface.
  • 39.
    Proximal reduction.
  • 40.
    Round all line angles
  • 41.
    Selection of the crown
  • 42.
     Contour thecrown.  Place the crown and check the occlusion.
  • 43.
    Smooth and polish the crown margin.
  • 44.
    Rinse and dry the crown.  Dry the tooth and seat the crown completely.
  • 45.
    Remove cement excess and rinse oral cavity.  Check occlusion
  • 46.
    CLASS III CAVITIES  Carious lesions on the proximal surfaces of anterior primary teeth sometimes occur in children whose teeth are in contact and in those children who have evidence of arch inadequacy or crowding.  If caries is not extensive, disking by sand paper disc is performed to remove the decay, and then fluoride is applied topically
  • 47.
    If the carious lesion not involves the incisal angle, a small conventional Class III cavity may be prepared and the tooth may be restored with glass ionomer or composite resin.
  • 48.
    The same basicprinciples for permanent anterior teeth should be considered in a primary teeth, modified, of course, by the size of the pulp and the relative thinness of the enamel. If it is necessary we modify the Class III cavities with the use of dovetail on the lingual or occasionally on the labial surface of the tooth.
  • 49.
    Because of thenarrow labiolingual width of the primary incisor teeth, the Class III preparation is very difficult to perform and often needs a labial or lingual dovetail to gain access and aid in retention of the restoration.
  • 50.
    The distal surfaceof the primary canine is a frequent site of caries attack
  • 51.
    CLASS IV CAVITIES  In these cavities caries involves the incisal proximal angle of the anterior teeth. The principles in the cavity preparation are the same of the cavity preparation in permanent teeth
  • 52.
    In regular class IV cavity preparations, composite resin material can be used for restoration.
  • 53.
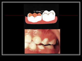
    CLASS V CAVITIES  The Class V cavities are realized more frequently in buccal surface of the primary canines.  The principles in the cavity preparation are the same of the cavity preparation in permanent teeth, although the depth is not carried more than 1.5 mm.
  • 54.
    Walls of preparation converge toward buccal surface of tooth for retention of restoration.  When a necessary, retentive groove can be placed along the gingivoaxial and occlusoaxial line angles. Use a No. 1/2 round bur at slow speed.  Glass ionomer cement could be used effectively for restoring these cavities.
  • 55.
    Pit and fissuresealant is a thin, plastic coating painted on the chewing surfaces of teeth -- usually the back teeth (the premolars and molars) -- to prevent tooth decay. The sealant quickly bonds into the depressions and grooves of the teeth forming a protective shield over the enamel of each tooth.
  • 56.
    Indicaations of sealantplacement: 1. Deep retintive pits and fissures. 2. Stained pits and fissures with minmum decalcification. 3. No radiographic evidence of proximal caries. 4. Factores associated with increased caries incidence.
  • 57.
    5. Caries free. 6.Possibility of adequate isolation. How Are Sealants Applied?