Pulmonary TuberculosisPulmonary Tuberculosis
BYBY
PINAK SAINIPINAK SAINI
LECTURE OF CKRDMN, JHUNUJHNULECTURE OF CKRDMN, JHUNUJHNU
Pulmonary TuberculosisPulmonary Tuberculosis
• It is a chronic granulomatous disease caused byIt is a chronic granulomatous disease caused by
mycobacterium bacillimycobacterium bacilli
AetiologyAetiology
 Mycobacterium tuberculosis [Human Type] CommonestMycobacterium tuberculosis [Human Type] Commonest
 Mycobacterium tuberculosis [Bovine Type]Mycobacterium tuberculosis [Bovine Type]
 Atypical or Opportunistic Mycobacterium – Myco.Atypical or Opportunistic Mycobacterium – Myco.
Kansasii, Myco. Marium etcKansasii, Myco. Marium etc
22
Primary SitesPrimary Sites
 Lungs, Intestine, Tonsils[lymph node], Genito-urinaryLungs, Intestine, Tonsils[lymph node], Genito-urinary
Tract, Bones, Meninges, Peritoneum.Tract, Bones, Meninges, Peritoneum.
   
Organs relative resistant to TBOrgans relative resistant to TB
 Cardiac muscle, skeletal muscle, thyroid gland &Cardiac muscle, skeletal muscle, thyroid gland &
Pancreas.Pancreas.
   
33
Mode of transmissionMode of transmission
 Droplet infectionDroplet infection
Direct inhalation of infected dropletsDirect inhalation of infected droplets
Most cases of TBMost cases of TB
 Ingestion of contaminated milkIngestion of contaminated milk
Responsible for oro pharyngeal & intestinal TBResponsible for oro pharyngeal & intestinal TB
44
PathogenesisPathogenesis
2 types of host response occurs2 types of host response occurs
 Primary TB – 1Primary TB – 1stst
exposure to TBexposure to TB
 Secondary TB - in an already sensitized hostSecondary TB - in an already sensitized host
55
Primary infectionPrimary infection
 Inhalation of contaminated Mycobacterium reach the alveolus afterInhalation of contaminated Mycobacterium reach the alveolus after
escaping the muco-cilliary defense & forms a local lesion calledescaping the muco-cilliary defense & forms a local lesion called
Ghon's focus'Ghon's focus'
 Neutrophils come & try to engulf the bacteria & many of them areNeutrophils come & try to engulf the bacteria & many of them are
killed killed 
 Then Monocytes come (after 24 hrs). They try to engulf theThen Monocytes come (after 24 hrs). They try to engulf the
organisms & many of them are killed in the process. The survivingorganisms & many of them are killed in the process. The surviving
Monocytes carry the organisms via lymphatics to the lymph nodesMonocytes carry the organisms via lymphatics to the lymph nodes
[hilar lymph nodes][hilar lymph nodes]
 Ghon's focus + hilar lymph node enlargement are together calledGhon's focus + hilar lymph node enlargement are together called
Primary Ghon's complexPrimary Ghon's complex
  
66
Primary pulmonary TuberculosisPrimary pulmonary Tuberculosis
Primary TB – infection of an individual lacking previous contactPrimary TB – infection of an individual lacking previous contact
Site –Site –
Single lesion -Single lesion - Ghon focus -Ghon focus - lower part of upper lobes or upper partlower part of upper lobes or upper part
of lower lobesof lower lobes
Primary infection gives rise to 2 imp conditionsPrimary infection gives rise to 2 imp conditions
 ImmunityImmunity
 HypersensitivityHypersensitivity
77
FatesFates
 Healing with scar & calcification (95%) of Ghon’s focusHealing with scar & calcification (95%) of Ghon’s focus
May harbor viable bacilli for years & may reactivteMay harbor viable bacilli for years & may reactivte
 Progressive primary TBProgressive primary TB
PTB progress over a period of months or years causing furtherPTB progress over a period of months or years causing further
pulmonary and even distant organ involvement.pulmonary and even distant organ involvement.
 Miliary tuberculosisMiliary tuberculosis
No Clinical disease [+ve tuberculin test]No Clinical disease [+ve tuberculin test]
Usual outcome in most casesUsual outcome in most cases
  
88
Post Primary [Secondary TB]Post Primary [Secondary TB]
 1. Reactivation [Ghon's complex] common[Endogenous]1. Reactivation [Ghon's complex] common[Endogenous]
2. Reinfection [Exogenous]2. Reinfection [Exogenous]
 Neutrophils come very quickly along with antibody rich fluidNeutrophils come very quickly along with antibody rich fluid
 Monocytes also make their appearance very quicklyMonocytes also make their appearance very quickly
 Many neutrophils die trying to engulf forming pus & caseous materialMany neutrophils die trying to engulf forming pus & caseous material
  Lung tissue is damaged producing cavitiesLung tissue is damaged producing cavities
99
Post Primary [Secondary TB]cont ….Post Primary [Secondary TB]cont ….
 Monocytes are modified to form epitheloid cellsMonocytes are modified to form epitheloid cells
  
 Joins together to form Langhans's giant cellJoins together to form Langhans's giant cell
 Lymphocytes surround the periphery & fibroblasts start laying downLymphocytes surround the periphery & fibroblasts start laying down
collagen fibres around the lesioncollagen fibres around the lesion
  
 The structure formed is called tubercle or GranulomaThe structure formed is called tubercle or Granuloma
1010
GranulomaGranuloma
Is a focal area of granulomatous inflammation consisting ofIs a focal area of granulomatous inflammation consisting of
 Focal mass of macrophages & epitheloid cells & usually giant cellsFocal mass of macrophages & epitheloid cells & usually giant cells
 Surrounded by a collar of lymphocytes, occasionally plasma cellsSurrounded by a collar of lymphocytes, occasionally plasma cells
 Older granuloma consists of rim of fibroblastOlder granuloma consists of rim of fibroblast
 Central caseous necrosis (Tubercle)Central caseous necrosis (Tubercle)
Present in granuloma of tuberculosis (Casseating)Present in granuloma of tuberculosis (Casseating)
Is rare in other granulomatous disease (non casseatinIs rare in other granulomatous disease (non casseatin
Dr. S ChakradharDr. S Chakradhar 1111
Lesions in PTBLesions in PTB
1. Acute inflammatory reaction with Edema fluid, Neutrophils,1. Acute inflammatory reaction with Edema fluid, Neutrophils,
MonocytesMonocytes
Fate –Fate –
 ResolutionResolution
 Necrosis of tissueNecrosis of tissue
 Change to productive typeChange to productive type
2. Productive type2. Productive type
Characterised by caseaous necrosis & cavitation & TubercleCharacterised by caseaous necrosis & cavitation & Tubercle
1212
Secondary TuberculosisSecondary Tuberculosis
It is due to reactivation or reinfection of old, possibly subclinicalIt is due to reactivation or reinfection of old, possibly subclinical
infection.infection.
Site -Site -
 Apex of one or both lung,Apex of one or both lung,
 Histologically, there is chronic granulomatous inflammation withHistologically, there is chronic granulomatous inflammation with
caseous necrosis is present.caseous necrosis is present.
 The lesion may progress to a large confluent area of consolidation,The lesion may progress to a large confluent area of consolidation,
ultimately resulting into large fibrocalcific scar.ultimately resulting into large fibrocalcific scar.
1313
Points Primary Tb Secondary TB
1. Age Children Adult
2. Source Exogenous Endogenous
3. Site Just above or just below
the interlobar
Apical usually in rt. Lung
4. Lesion
a. Local parenchymal
lesion
Ghon focus. Non specific
exudative lesion at 1st
week. In 2 weeks
tubercle is formed
productive - Caseous
necrosis & cavitation
b. Hilar lymph node Involved. Not involved
5. Fate 95% cases heal by
calcified scar or
progressive spread
Fibrocalcified scar or
progressive spread
1414
Morphology/PathologyMorphology/Pathology
 Morphologically, it is a cheesy mass with with chronicMorphologically, it is a cheesy mass with with chronic
granulomatous inflammation with caseous necrosis (granulomatous inflammation with caseous necrosis (you haveyou have
already studied in third Semester).already studied in third Semester).
1515
Miliary TuberculosisMiliary Tuberculosis
 This is a severe form of tuberculosis. occurs due to widespreadThis is a severe form of tuberculosis. occurs due to widespread
dissemination tuberculosis through lymphohematogenous route.dissemination tuberculosis through lymphohematogenous route.
 Due to rupture of tuberculous {G}focusDue to rupture of tuberculous {G}focus
 This dissemination can be either confined to lung or may spread toThis dissemination can be either confined to lung or may spread to
other organs too.other organs too.
 There are multiple small millet type wide spread lesions.There are multiple small millet type wide spread lesions.
 Microscopically these lesions show features of granulomatousMicroscopically these lesions show features of granulomatous
inflammation with caseous necrosis.inflammation with caseous necrosis.
1616
1717
1818
1919
Miliary systemic spread (Common Sites)Miliary systemic spread (Common Sites)
i. Meningesi. Meninges
ii. Cervical lymph nodesii. Cervical lymph nodes
iii. Liver/spleen, kidneys, adrenals, ileumiii. Liver/spleen, kidneys, adrenals, ileum
iv. Lumbar vertebrae bone marrow (Pott disease)iv. Lumbar vertebrae bone marrow (Pott disease)
v. Fallopian tubes and epididymisv. Fallopian tubes and epididymis
2020
Tuberculous BronchopneumoniaTuberculous Bronchopneumonia
 It is a severe, fast developing tuberculous infection.It is a severe, fast developing tuberculous infection.
 The infection spreads quickly to the entire lobe or lung.The infection spreads quickly to the entire lobe or lung.
 The morphological type we see here isThe morphological type we see here is
bronchopneumonia.bronchopneumonia.
 This is uncommon type of TB infection.This is uncommon type of TB infection.
2121
Clinical features –Clinical features –
Classic symptoms are often absent, particularly in patients who areClassic symptoms are often absent, particularly in patients who are
immunocompromised or elderly. Up to 20% of patients with active TB mayimmunocompromised or elderly. Up to 20% of patients with active TB may
be asymptomatic. Classic features associated with active TB are as follows:be asymptomatic. Classic features associated with active TB are as follows:
 Productive coughProductive cough
 HemoptysisHemoptysis
 FeverFever
 Night sweatsNight sweats
 AnorexiaAnorexia
 Weight lossWeight loss
Symptoms of extrapulmonary tuberculosisSymptoms of extrapulmonary tuberculosis
may be nonspecific.may be nonspecific.
2222
Clinical features –Clinical features –
Physical:Physical:
 Fever, Cachexia{WEEKNESS}, Hypoxia, Tachycardia,Fever, Cachexia{WEEKNESS}, Hypoxia, Tachycardia,
Lymphadenopathy, Abnormal lung soundsLymphadenopathy, Abnormal lung sounds
 The absence of any significant physical findings does notThe absence of any significant physical findings does not
exclude active disease.exclude active disease.
2323
 ComplicationComplication
 Pleurisy{inflammation of the pleura} with or withoutPleurisy{inflammation of the pleura} with or without
EffusionEffusion
 Pneumothorax{the presence of air or gas in the cavityPneumothorax{the presence of air or gas in the cavity
b/w the lungs and chest wall,causing collapse of theb/w the lungs and chest wall,causing collapse of the
lungs}lungs}
 EmpyemaEmpyema
 Miliary TBMiliary TB
 Lung AbscessLung Abscess
 Tubercular Laryngitis, TracheitisTubercular Laryngitis, Tracheitis
2424
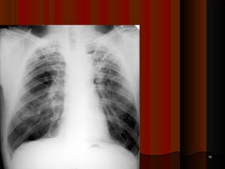
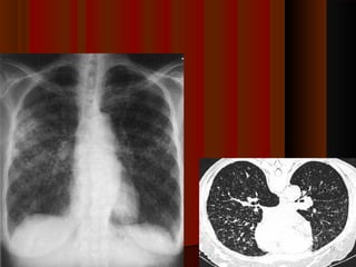
Commonly done test for diagnosis of PTBCommonly done test for diagnosis of PTB
- Sputum examination (3 samples)Sputum examination (3 samples)
- Chest X-RayChest X-Ray
- Mantoux test – screening test (tuberculin test)Mantoux test – screening test (tuberculin test)
- Study of pleural fluid in case of pleural effusion.Study of pleural fluid in case of pleural effusion.
2525
Give the pathogenesis of PTBGive the pathogenesis of PTB
Morphology of granulomaMorphology of granuloma
What are the lesions in TBWhat are the lesions in TB
Write short notes on Tuberculin test/ mantoux testWrite short notes on Tuberculin test/ mantoux test
2626

3.pulmonary tuberculosis(tb)

  • 1.
    Pulmonary TuberculosisPulmonary Tuberculosis BYBY PINAKSAINIPINAK SAINI LECTURE OF CKRDMN, JHUNUJHNULECTURE OF CKRDMN, JHUNUJHNU
  • 2.
    Pulmonary TuberculosisPulmonary Tuberculosis •It is a chronic granulomatous disease caused byIt is a chronic granulomatous disease caused by mycobacterium bacillimycobacterium bacilli AetiologyAetiology  Mycobacterium tuberculosis [Human Type] CommonestMycobacterium tuberculosis [Human Type] Commonest  Mycobacterium tuberculosis [Bovine Type]Mycobacterium tuberculosis [Bovine Type]  Atypical or Opportunistic Mycobacterium – Myco.Atypical or Opportunistic Mycobacterium – Myco. Kansasii, Myco. Marium etcKansasii, Myco. Marium etc 22
  • 3.
    Primary SitesPrimary Sites Lungs, Intestine, Tonsils[lymph node], Genito-urinaryLungs, Intestine, Tonsils[lymph node], Genito-urinary Tract, Bones, Meninges, Peritoneum.Tract, Bones, Meninges, Peritoneum.     Organs relative resistant to TBOrgans relative resistant to TB  Cardiac muscle, skeletal muscle, thyroid gland &Cardiac muscle, skeletal muscle, thyroid gland & Pancreas.Pancreas.     33
  • 4.
    Mode of transmissionModeof transmission  Droplet infectionDroplet infection Direct inhalation of infected dropletsDirect inhalation of infected droplets Most cases of TBMost cases of TB  Ingestion of contaminated milkIngestion of contaminated milk Responsible for oro pharyngeal & intestinal TBResponsible for oro pharyngeal & intestinal TB 44
  • 5.
    PathogenesisPathogenesis 2 types ofhost response occurs2 types of host response occurs  Primary TB – 1Primary TB – 1stst exposure to TBexposure to TB  Secondary TB - in an already sensitized hostSecondary TB - in an already sensitized host 55
  • 6.
    Primary infectionPrimary infection Inhalation of contaminated Mycobacterium reach the alveolus afterInhalation of contaminated Mycobacterium reach the alveolus after escaping the muco-cilliary defense & forms a local lesion calledescaping the muco-cilliary defense & forms a local lesion called Ghon's focus'Ghon's focus'  Neutrophils come & try to engulf the bacteria & many of them areNeutrophils come & try to engulf the bacteria & many of them are killed killed   Then Monocytes come (after 24 hrs). They try to engulf theThen Monocytes come (after 24 hrs). They try to engulf the organisms & many of them are killed in the process. The survivingorganisms & many of them are killed in the process. The surviving Monocytes carry the organisms via lymphatics to the lymph nodesMonocytes carry the organisms via lymphatics to the lymph nodes [hilar lymph nodes][hilar lymph nodes]  Ghon's focus + hilar lymph node enlargement are together calledGhon's focus + hilar lymph node enlargement are together called Primary Ghon's complexPrimary Ghon's complex    66
  • 7.
    Primary pulmonary TuberculosisPrimarypulmonary Tuberculosis Primary TB – infection of an individual lacking previous contactPrimary TB – infection of an individual lacking previous contact Site –Site – Single lesion -Single lesion - Ghon focus -Ghon focus - lower part of upper lobes or upper partlower part of upper lobes or upper part of lower lobesof lower lobes Primary infection gives rise to 2 imp conditionsPrimary infection gives rise to 2 imp conditions  ImmunityImmunity  HypersensitivityHypersensitivity 77
  • 8.
    FatesFates  Healing withscar & calcification (95%) of Ghon’s focusHealing with scar & calcification (95%) of Ghon’s focus May harbor viable bacilli for years & may reactivteMay harbor viable bacilli for years & may reactivte  Progressive primary TBProgressive primary TB PTB progress over a period of months or years causing furtherPTB progress over a period of months or years causing further pulmonary and even distant organ involvement.pulmonary and even distant organ involvement.  Miliary tuberculosisMiliary tuberculosis No Clinical disease [+ve tuberculin test]No Clinical disease [+ve tuberculin test] Usual outcome in most casesUsual outcome in most cases    88
  • 9.
    Post Primary [SecondaryTB]Post Primary [Secondary TB]  1. Reactivation [Ghon's complex] common[Endogenous]1. Reactivation [Ghon's complex] common[Endogenous] 2. Reinfection [Exogenous]2. Reinfection [Exogenous]  Neutrophils come very quickly along with antibody rich fluidNeutrophils come very quickly along with antibody rich fluid  Monocytes also make their appearance very quicklyMonocytes also make their appearance very quickly  Many neutrophils die trying to engulf forming pus & caseous materialMany neutrophils die trying to engulf forming pus & caseous material   Lung tissue is damaged producing cavitiesLung tissue is damaged producing cavities 99
  • 10.
    Post Primary [SecondaryTB]cont ….Post Primary [Secondary TB]cont ….  Monocytes are modified to form epitheloid cellsMonocytes are modified to form epitheloid cells     Joins together to form Langhans's giant cellJoins together to form Langhans's giant cell  Lymphocytes surround the periphery & fibroblasts start laying downLymphocytes surround the periphery & fibroblasts start laying down collagen fibres around the lesioncollagen fibres around the lesion     The structure formed is called tubercle or GranulomaThe structure formed is called tubercle or Granuloma 1010
  • 11.
    GranulomaGranuloma Is a focalarea of granulomatous inflammation consisting ofIs a focal area of granulomatous inflammation consisting of  Focal mass of macrophages & epitheloid cells & usually giant cellsFocal mass of macrophages & epitheloid cells & usually giant cells  Surrounded by a collar of lymphocytes, occasionally plasma cellsSurrounded by a collar of lymphocytes, occasionally plasma cells  Older granuloma consists of rim of fibroblastOlder granuloma consists of rim of fibroblast  Central caseous necrosis (Tubercle)Central caseous necrosis (Tubercle) Present in granuloma of tuberculosis (Casseating)Present in granuloma of tuberculosis (Casseating) Is rare in other granulomatous disease (non casseatinIs rare in other granulomatous disease (non casseatin Dr. S ChakradharDr. S Chakradhar 1111
  • 12.
    Lesions in PTBLesionsin PTB 1. Acute inflammatory reaction with Edema fluid, Neutrophils,1. Acute inflammatory reaction with Edema fluid, Neutrophils, MonocytesMonocytes Fate –Fate –  ResolutionResolution  Necrosis of tissueNecrosis of tissue  Change to productive typeChange to productive type 2. Productive type2. Productive type Characterised by caseaous necrosis & cavitation & TubercleCharacterised by caseaous necrosis & cavitation & Tubercle 1212
  • 13.
    Secondary TuberculosisSecondary Tuberculosis Itis due to reactivation or reinfection of old, possibly subclinicalIt is due to reactivation or reinfection of old, possibly subclinical infection.infection. Site -Site -  Apex of one or both lung,Apex of one or both lung,  Histologically, there is chronic granulomatous inflammation withHistologically, there is chronic granulomatous inflammation with caseous necrosis is present.caseous necrosis is present.  The lesion may progress to a large confluent area of consolidation,The lesion may progress to a large confluent area of consolidation, ultimately resulting into large fibrocalcific scar.ultimately resulting into large fibrocalcific scar. 1313
  • 14.
    Points Primary TbSecondary TB 1. Age Children Adult 2. Source Exogenous Endogenous 3. Site Just above or just below the interlobar Apical usually in rt. Lung 4. Lesion a. Local parenchymal lesion Ghon focus. Non specific exudative lesion at 1st week. In 2 weeks tubercle is formed productive - Caseous necrosis & cavitation b. Hilar lymph node Involved. Not involved 5. Fate 95% cases heal by calcified scar or progressive spread Fibrocalcified scar or progressive spread 1414
  • 15.
    Morphology/PathologyMorphology/Pathology  Morphologically, itis a cheesy mass with with chronicMorphologically, it is a cheesy mass with with chronic granulomatous inflammation with caseous necrosis (granulomatous inflammation with caseous necrosis (you haveyou have already studied in third Semester).already studied in third Semester). 1515
  • 16.
    Miliary TuberculosisMiliary Tuberculosis This is a severe form of tuberculosis. occurs due to widespreadThis is a severe form of tuberculosis. occurs due to widespread dissemination tuberculosis through lymphohematogenous route.dissemination tuberculosis through lymphohematogenous route.  Due to rupture of tuberculous {G}focusDue to rupture of tuberculous {G}focus  This dissemination can be either confined to lung or may spread toThis dissemination can be either confined to lung or may spread to other organs too.other organs too.  There are multiple small millet type wide spread lesions.There are multiple small millet type wide spread lesions.  Microscopically these lesions show features of granulomatousMicroscopically these lesions show features of granulomatous inflammation with caseous necrosis.inflammation with caseous necrosis. 1616
  • 17.
  • 18.
  • 19.
  • 20.
    Miliary systemic spread(Common Sites)Miliary systemic spread (Common Sites) i. Meningesi. Meninges ii. Cervical lymph nodesii. Cervical lymph nodes iii. Liver/spleen, kidneys, adrenals, ileumiii. Liver/spleen, kidneys, adrenals, ileum iv. Lumbar vertebrae bone marrow (Pott disease)iv. Lumbar vertebrae bone marrow (Pott disease) v. Fallopian tubes and epididymisv. Fallopian tubes and epididymis 2020
  • 21.
    Tuberculous BronchopneumoniaTuberculous Bronchopneumonia It is a severe, fast developing tuberculous infection.It is a severe, fast developing tuberculous infection.  The infection spreads quickly to the entire lobe or lung.The infection spreads quickly to the entire lobe or lung.  The morphological type we see here isThe morphological type we see here is bronchopneumonia.bronchopneumonia.  This is uncommon type of TB infection.This is uncommon type of TB infection. 2121
  • 22.
    Clinical features –Clinicalfeatures – Classic symptoms are often absent, particularly in patients who areClassic symptoms are often absent, particularly in patients who are immunocompromised or elderly. Up to 20% of patients with active TB mayimmunocompromised or elderly. Up to 20% of patients with active TB may be asymptomatic. Classic features associated with active TB are as follows:be asymptomatic. Classic features associated with active TB are as follows:  Productive coughProductive cough  HemoptysisHemoptysis  FeverFever  Night sweatsNight sweats  AnorexiaAnorexia  Weight lossWeight loss Symptoms of extrapulmonary tuberculosisSymptoms of extrapulmonary tuberculosis may be nonspecific.may be nonspecific. 2222
  • 23.
    Clinical features –Clinicalfeatures – Physical:Physical:  Fever, Cachexia{WEEKNESS}, Hypoxia, Tachycardia,Fever, Cachexia{WEEKNESS}, Hypoxia, Tachycardia, Lymphadenopathy, Abnormal lung soundsLymphadenopathy, Abnormal lung sounds  The absence of any significant physical findings does notThe absence of any significant physical findings does not exclude active disease.exclude active disease. 2323
  • 24.
     ComplicationComplication  Pleurisy{inflammationof the pleura} with or withoutPleurisy{inflammation of the pleura} with or without EffusionEffusion  Pneumothorax{the presence of air or gas in the cavityPneumothorax{the presence of air or gas in the cavity b/w the lungs and chest wall,causing collapse of theb/w the lungs and chest wall,causing collapse of the lungs}lungs}  EmpyemaEmpyema  Miliary TBMiliary TB  Lung AbscessLung Abscess  Tubercular Laryngitis, TracheitisTubercular Laryngitis, Tracheitis 2424
  • 25.
    Commonly done testfor diagnosis of PTBCommonly done test for diagnosis of PTB - Sputum examination (3 samples)Sputum examination (3 samples) - Chest X-RayChest X-Ray - Mantoux test – screening test (tuberculin test)Mantoux test – screening test (tuberculin test) - Study of pleural fluid in case of pleural effusion.Study of pleural fluid in case of pleural effusion. 2525
  • 26.
    Give the pathogenesisof PTBGive the pathogenesis of PTB Morphology of granulomaMorphology of granuloma What are the lesions in TBWhat are the lesions in TB Write short notes on Tuberculin test/ mantoux testWrite short notes on Tuberculin test/ mantoux test 2626