INTERNATIONAL
COMMISSION ON RADIATION
UNITS AND MEASUREMENTS
– REPORT 83
(2010)
PRESENTER : DR UPASNA SAXENA
MODERATOR : DR SHEH RAWAT
INTERNATIONAL COMMISSION ON
RADIATION UNITS AND MEASUREMENTS,
INC
ICRU Report No: 29 (1978)
“Dose specification for reporting external beam therapy
in photons and electrons
ICRU Report – 50 (1993)
Prescribing, Recording, and Reporting photon beam
therapy
ICRU Report – 62 (1999)
Supplement to ICRU Report No: 50
(ICRU 50 still valid)
ICRU Report 83 (2010)
Prescribing, Recording and Reporting Photon Beam
Intensity-Modulated Radiation Therapy (IMRT)
ICRU-50
ICRU REPORT - 50
PRESCRIBING, RECORDING, AND
REPORTING PHOTON BEAM THERAPY
When delivering a radiotherapy tretament, parameters
such as volume and dose have to be specified for
different purposes: prescription, recording, and reporting.
The aims are –
 To have a consistent treatment policy and improve it in the
light of experience
 To be able to compare the results of treatment with those of
departmental colleagues
 Other radiation oncologists should be able to benefit from the
department’s experience
 The results to be meaningfully compared with those of other
centers, without having access to the complete data
DESCRIBED VOLUMES
 Gross target volume
 Clinical target volume
 Planning target volume
 Organs at risk
 Treated volume
 Irradiated volume
ICRU-50
GROSS TUMOUR VOLUME (GTV)
 The GTV is the gross demonstrable extent of the
malignant growth as determined by palpation or
imaging study.
 PURPOSE :
 For proper staging (TNM)
 To define area requiring adequate dose delivery for
treatment
 To define the extent of CTV and PTV
 To have a record to assess tumour response and
predict treatment outcome based on the variation.
ICRU-50
ICRU-50
CLINICAL TARGET VOLUME (CTV)
 The CTV is the tissue volume that contains GTV
and/or subclinical microscopic malignant disease. It
includes suspected but unproven malignant tissue.
 The density of malignant cells is considered to be
maximum near the GTV, decreasing in density
towards the margin of the CTV with
microextensions along natural avenues of spread
(lymph node, perivascular, pernineural extensions
and distant sites).
 The GTV and CTV are anatomical and clinical
concept that must be defined before a choice of
treatment modality and technique is made.
ICRU-50
ICRU-50
PLANNING TARGET VOLUME (PTV)
 The PTV is a geometrical concept, and it is defined to
select appropriate beam sizes and beam arrangements,
taking into consideration the net effect of all the possible
geometrical varaitions and inaccuracies in order to
ensure that the prescribed dose is actually absorbed in
the CTV.
 AFFECTED BY : size and shape of the GTV & CTV, the
effects of internal motions of organs and the tumour as well as
the treatment technique (beam orientation and patient fixation,
daily setup errors) used.
 The PTV can be considered as a 3-D envelope in which the
tumour and any microscopic extensions reside. The GTV and
PTV can move within this envelope, but not through it.
ICRU-50
ICRU-50
TREATED VOLUME
 It is the volume enclosed by an isodose surface that
is selected and specified by the radiation oncologist
as being appropriate to achieve the purpose of
treatment (palliation or cure).
 Usually taken as the volume enclosed by the 95%
isodose curve.
ICRU-50
IRRADIATED VOLUME
 It is the volume that receives a dose considered
significant in relation to normal tissue tolerance
 Usually taken as the volume enclosed by the 50%
isodose curve.
ICRU-50
ORGANS AT RISK
 Organs at Risk are defined as critical normal
tissues, such as the spinal cord, whose radiation
sensitivity may significantly influence treatment
planning and/or prescribed dose.
ICRU-50
DOSE REPORTING
 PURPOSE : to have uniformity between centres
and have an understandable treatment chart.
 Acceptable dose heterogeneity :+7% to - 5% of the
prescribed dose.
 Doses reported are :
 Minimum dose to PTV
 Maximum dose to PTV
 Mean dose to PTV
 Modal dose
 Median dose
 Dose at ICRU reference point
ICRU-50
 Hotspot- an area outside PTV recieving > 100% of
prescribed dose and more than 15mm in diameter
(for small critical organs even point dose is a hot
spot)
ICRU-50
 LEVELS OF DOSE EVALUATION FOR
REPORTING:
 Level 1 –BASIC TECHNIQUE - minimum standards, 2-
D reporting (using depth dose tables)
 Level 2 – ADVANCED TECHNIQUE -prescribing and
reporting state-of-the-art techniques (using
computational dosimetry and 3D imaging)
 Level 3 – DEVELOPMENTAL TECHNIQUE -optional
research-and-development reporting (using techniques
for which reporting criteria are not yet established)
ICRU-50
ICRU REFERENCE POINT
 It is a point with in the PTV to which the dose is
prescribed or calculated
 The ICRU reference point must be selected based on
the following criteria :
 It should be representative of the PTV
 It should be clinically relevant and can be defined in a clear
and unambigious way
 Be located where the dose can be accurately determined
 Be located in a region where there are no steep dose
gradients
 These recommendations will be fulfilled if the ICRU
reference point is located :
 Always at the centre of PTV
 When possible at the intersection of the treatment beam axes.
ICRU-50
PTV
Not OK
OK
ICRU-50
REFERENCE POINTS
 Internal reference points are anatomical landmarks
e.g., bony structures or gas filled cavities
 External reference points are palpable or visible
points located on or near the surface of the body or
on the surface of the immobilisation devices that fit
closely to the exterior of the body
 As external reference points one may also use skin
markings or alignment tattoos
ICRU-50
RADICAL VERSUS PALLIATIVE TREATMENT
 ICRU defines that if adequate dose cannot be
delivered to the GTV, the whole aim of therapy
should be termed as palliative.
ICRU-50
VOLUMES
ICRU-50
ICRU-62
VOLUMES
ICRU-62
ICRU-62
ICRU-62
 PTV has been separated into two components: an
internal margin and set-up margin.
 Classisfied organs at risk depending on response to
radiation.
 Defined planning organ at risk volume (PRV)
 Report dose to the OAR/PRV
 Introduced conformity index
 Gives recommendations on graphics
ICRU-62
 INTERNAL TARGET VOLUME (ITV)
 Defined by adding an internal margin to the CTV. [internal
uncertainties only]
 INTERNAL MARGIN - A margin that must be added to the
CTV to compensate for expected physiologic movements and
the variations in size, shape and position of the CTV during
therapy in relation to the Internal Reference Point and its
corresponding Coordinate System. Motion is associated with
adjacent respiratory and digestive organs.
 Changes in the patient’s condition, such as weight gain/loss,
can also affect the relative position of the CTV.
K.M.Langen, D.T.L. Johnes. Organ motion and its management. International Journal of Radiation
Oncology Biology, Physics
Vo. 50, No.1, pp. 265-278, 2001
ICRU-62
SETUP MARGIN
 The uncertainties depend on different factors:
 Variations in patient positioning
 mechanical uncertainties of the equipment
 dosimetric uncertainties (light-radiation field agreement)
 transfer set-up errors
 Beam related parameters
 human related uncertainties
 They can be on the CT scanner, simulator or
machine.
 The net effort of combining an Internal Margin and
a set up margin and adding it to the CTV results in
the PTV previously defined in ICRU-50. PTV = ITV
+ SM
ICRU-62
ICRU-62
CLASSIFICATION OF ORGANS AT
RISK
 Classified as :
 Serial – whole organ is a continuous unit and damage at
one point will cause complete damage of the organ
(spinal cord, digestive system). So even point dose is
significant
 Parallel – organ consists of several functional units and
if one part is damaged, the rest of the organ makes up
for the loss (lung, bladder). Dose delivered to a given
volume or average/mean dose is considered
 Serial-parallel – kidney (glomerulus- parallel, tubules-
serial), heart (myocardium- parallel, coronary arteries-
serial).
ICRU-62
PLANNING ORGAN AT RISK VOLUME
 PRV to OAR is analogous to the PTV for the CTV.
 Aim is to account for movements of the OAR due to
movements, changes in size and shape and setup
uncertainities.
 PTV and PRV may overlap, then it is the
responsibility of the radiation oncologist to decide
depending on the importance of the treatment
versus risk of critical organ damage.
ICRU-62
SYSTEMATIC AND RANDOM
ERRORS
 Systematic errors – treatment preparation errors
(influence all fractions) like full rectum
 Random errors – treatment execution errors
(influence only the single fraction) like positioning
ICRU-62
CONFORMTY INDEX
 Conformity index (CI) = TV/PTV
 CI iso
= TV covered by % Isodose/Planning Target
Volume
 CI = > optimized closed to 1.0
ICRU-62
 Now it is the digital era and with the advent and use
of IMRT, new guidelines need to be set for
prescription, reporting and recording of dose.
 The ICRU-83 deals with these new guidelines
ICRU-62
ICRU-83 (2010)
DIFFERENCE BETWEEN
CONVENTIONAL & 3-DCRT
TREATMENT
ICRU-83
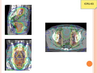
IMRT PLANNING OF SAME CASE
ICRU-83
PARADIGM SHIFT
 In 3D conformal therapy, ICRU-50 recommended
 Uniform dose to PTV (-5% to +7%)
 Report dose @ isocenter
 IMRT represents ≈40% of the radiation treatment
with a paradigm shift
 Non uniform dose (dose painting)
 Large dosimetric variations
 Isocenter dose is meaningless
 Radiobiological consequence of large
heterogeneous dose is uncertain (ie 180cGy/day
versus 250cGy/day)
ICRU-83
3-DCRT VERSUS IMRT
 Simple
 Forward planning
 Give what you wish to target
volume
 Uniform fluence
 Uniform dose
 Low MU
 Analogue dose
 Dose defined to volume but
specified at isocenter
 Complex
 Inverse planning/optimized
planning
 Requires dose-volume
constraints and cost
function
 Non-uniform fluence
 High gradient dose
 High MU
 Digital dose
 Isocenter dose undefined
and meaningless
3-DCRT IMRT
ICRU-83
 In IMRT, the delineation of the target and normal
structures has to be very precise due to the high
conformality achieved by IMRT as compared to 3-
DCRT. This benefit is especially seen in concave
volumes.
 The tolerance for the MLC leaf position is smaller
when using the MLC for IMRT than for 3-DCRT.
ICRU-83
DIFFERENCE BETWEEN 3-DCRT &
IMRT
ICRU-83
VARIOUS TECHNIQUES OF IMRT
ICRU-83
OPTIMIZED TREATMENT
PLANNING FOR IMRT
ICRU-83
 Key distinctions between
traditional and IMRT
planning :
1. Use of mathematical
objective functions and
incorporation of user
defined dose-volume
constraints
2. Employment of an
iterative computer-
based IMRT algorithm
to seek the optimal
solution.
ICRU-83
 Plan improvisation can be done by changing the
relative importance given to PTV and other
structures
ICRU-83
ICRU-83
ICRU-83
 If there are 5 beam directions and the field area is
discretized into 40x40 beamlets each, then the
search space consists of 5x40x40 = 8000
dimensions. It there are 10 allowed beam
intensities/weight for each beamlet, then the
number of possible intensity patterns is 108000.
 Optimzation can be done by both beamlet based
optimization and aperture based optimization.
 Contrary to the typical systems using absorbed
dose only for optimization, EUD (equivalent uniform
dose) can be used to set constraints
ICRU-83
SPECIAL CONSIDERATIONS ABOUT
ABSORBED DOSE AND DOSE
VOLUME PRESCRIBING AND
REPORTING IN IMRT
ICRU-83
 There are 3 levels of reporting as discussed in the
previous report (ICRU-50)
 Level 3 – includes biological factors which are still
under evaluation and not in routine clinical use
(TCP, NTCP, EUD)
 Dose-volume based calculations (Level 2 reporting)
are routinely used now rather than ICRU reference
point reporting
 Using DVH, we can find the presence (but not the
location) of minima and maxima in the contoured
volumes.
 The location of these minima & maxima can be
seen in sections-wise viewing the isodose
curves/colour wash.
ICRU-83
ICRU-83
ICRU-83
 Using IMRT the PTV dose distribution can be less
homogenous than conventional but are more
conformal and can produce much higher absorbed-
dose gradients.
 Doses to PTV, CTV, PRV and RVR should be
reported in parameters discussed below
 Now convolution/superposition methods are in use
for the iterative process. Soon Monte-Carlo
calculations will come in routine use.
 The parameters used for reporting are : Dmean , D98%
(near-minimum) , D95%, D2% (near-maximum) , DV,
VD.
 Dmean is much like D50%.
 For PTV and CTV, report the Dmean , D98% , D2% .
 The parameters used for reporting are : Dmean , D98%
(near-minimum) , D95%, D2% (near-maximum) , DV,
VD.
 Dmean is much like D50%.
 For PTV and CTV, report the Dmean , D98% , D2% .
 For PRV, parameters used for reporting are :
 Serial organs – Dmax/D0% rather D2%
 Parallel organs – VD (volume receiving atleast the
absorbed dose D), Dmean
 Serial-parallel organs – all three parameters should be
reported
 Since most organs do not have such a specific
distinction into serial or parallel, best way to do reporting
is to report all the three parameters – Dmax, VD , Dmean
ICRU-83
ICRU-83
DOSE HOMOGENEITY AND CONFORMITY
INDEX
 They are independent specifications of the
absorbed dose-distribution.
 Dose homogeneity characterises the uniformity of
the absorbed dose within the target volume.
 A perfectly homogenous dose to the PTV would be
characterized by :
 a spike (a delta function) in the differential DVH
 a vertical drop of the cumulative DVH line for the PTV.
 It is usually a near Gaussian shape, tightly
distributed around the mean.
 Another useful measure for such a distribution is
the standard deviation.
 So mean and SD should be included in all
treatment planning systems for reporting HI.
ICRU-83
 Several definition of HI have been made. But the
following definition for homogeneity is suggested in
this report:
HI= D2% - D98% / D50%
An HI of zero indicates that the absorbe-dose
distribution is almost homogenous. D50% is
suggested as the normalization value. Reporting of
D50% is strongly recommended in Level 2 reporting
ICRU-83
 Dose conformity characterises the degree to which
the high dose region conforms to the target volume,
that is the PTV.
 However, due to the presence and use of DVH, the
use of HI and CI is likely to be limited
 For IMRT, the +7% to -5% specification may be a
constraint as the organ sparing is more significant
than target homogeneity.
ICRU-83
ICRU-83
REPORTING OF CONFIDENCE INTERVALS
 Although difficult, confidence intervals should be
reported whenever possible.
 Confidence intervals are presently considered to be
part of Level 2 or Level 3 reporting whenever
possible.
 TPS must make an effort to involve reporting of
uncertainities both in terms of systematic (Type B)
and random (Type A) errors.
ICRU-83
 85% confidence interval = 1.5 standard deviations
is a useful accuracy constraint for many
applications.
 PTV is such designed that is receives lower dose at
its boundaries than interior, so DVH of PTV might
show heterogeneity of CTV which is not there and
DVH of CTV may show more homogeneity than is
actually the case. Hence both CTV and PTV should
be shown on the same graph as these define the
envelope of possible values of the DVH of the CTV
depending on movements (intrinsic or setup
related)
ICRU-83
VOLUMES OF
INTEREST
ICRU-83
ICRU-83
GROSS TUMOUR VOLUME
 Definiton as before
 Specifications needed :
 TNM Staging, ICD code
 Mention site (GTV-T, GTV-
N, GTV-M)
 Mention imaging modality
(CT/MRI/PET)
 Record any changes
during treatment to plan
adaptive treatment
ICRU-83
CLINICAL TARGET VOLUME
 Definition as before
 Typically a probability of occult disease higher than
5-10% is assumed to require treatment.
 There might be no CTV in case of a benign tumour,
only a GTV.
ICRU-83
INTERNAL TARGET VOLUME
 Definition as before
 Better delineation is possible by using 4-D imaging
ICRU-83
PLANNING TARGET VOLUME
 Definition same as before
 Compromising the PTV if it overlapped the OAR is
no longer recommended as in the previous ICRU
reports
 In such a situations, the PTV is subdivided into as
subvolumes.
ICRU-83
In the case of absorbed-dose
compromise in the
overlapping region between
the PTV and the PRV,
reporting theabsorbed dose
in the sub-PTV, PTVSV-1,
(left DVH) can incorrectly
represent the absorbed
dose to the underlying CTV
ICRU-83
ICRU-83
ORGANS AT RISK
 Definition same
 Classified in the same way as in ICRU into serial,
parallel, serial-parallel
ICRU-83
PLANNING ORGAN AT RISK VOLUME
 Definition same
 In case of overlap with PTV, the PTV and PRV can
be subdivided into sub-volumes and given
individual absorbed dose constraints.
ICRU-83
TREATED VOLUME
 Definition same
ICRU-83
REMAINING VOLUME AT RISK
 Ideally when delineating the OAR, especially for
IMRT, all normal tissues that could potentially be
irradiated should be outlined.
 RVR is operationally defined by the difference
between the volume enclosed by the external
contour of the patient and that of the CTVs and
OARs on the slice.
 Rationale :
 To detect any unsuspected regions of high absorbed
dose outside the PTV and PRV
 Useful in estimating the risk of late effects such as
carcinogenesis.
ICRU-83
PLANNING AIMS,
PRESCRIPTION AND
TECHNICAL DATA
ICRU-83
PLANNING AIMS
 Planning aims are dosimetric goals used to develop
treatment plans.
 The use of multiple dose-volume constraints (Dmean
, D98% , D95%, D2% , DV, VD) for each defined volume
leads to more precision in the planning aims and is
therefore recommended.
 Biological metrics (e.g., TCP, NTCP, EUD) might
be used as additional constraints for a desireable
absorbed-dose distribution. Though this approach
is still investigational.
ICRU-83
SPECIAL SITUATION ILLUSTRATING
THE USE OF PLANNING AIMS
 Some difficult situations for planning aims:
 Planned absorbed dose in the buildup region and in a PTV
extending outside the body contour
 Overlapping volumes and conflicting absorbed-dose
objectives
 Unexpected high absorbed dose to part of the RVR
ICRU-83
DOSE PLANNING IN BUILDUP REGION AND IN A PTV
EXTENDING OUT OF BODY CONTOUR
 PTV may extend into buildup region or even into air
(in-air PTV) if sufficient fluence in the surrounding
air is needed to prevent the CTV from extending
outside the beam edge by movement/setup error.
 In tangential breast irradiation, the region of the
beam that has been deliberately planned to bypass
the skin surface is called as “flash region”
 Problems are that : sufficient dose might not be
obtained in the “flash region” and build up area or
there may be inhomogeneity in the PTV dose.
ICRU-83
ICRU-83
OVERLAPPING VOLUMES AND CONFLICTING
PLANNING AIMS
 As discussed previously :
 Define sub volumes with separate dose constraints
for each
 Or relax the absorbed-dose objectives for planning
 Assigning importance to the constraints during
iteration.
ICRU-83
Subdivision of the planning volume and setting
different constraints for each subvolume
ICRU-83
UNEXPECTED HIGH DOSE TO THE RVR
 Such a situation can be avoided by prescribing
constraints for the RVR considering it as analogous
to PRV.
ICRU-83
TECHNICAL DATA
 Examples of technical data detailing :
 Number, direction of beams, no of beam segments
and their intensity distribution.
 Aperture shapes or multileaf collimator settings
 Positioning and immobilization parameters for the
patient on the couch.
 It is recommended that the electronic recording of
data is standardized e.g., the DICOM-RT protocol
ICRU-83
SUMMARY
SUMMARY ICRU-83 RECOMMENDATION
 Use of PET imaging should be explored for CTV & PTV
definition along with CT and MRI
 Definition of sub volume with overlaps between PTV and
PRV
 RVR (Remaining volume at risk) should be defined.
 Optimization should be fully explored
 Maximum dose is defined as D2%
 Median dose, D50% is closed to prescription dose and
very close to reference dose
 Minimum dose is defined as D98%
 DVH is a measure of delivered dose, and be used in
clinical practices rather than reference point reporting.
ICRU-83
CONTD…
 It also evaluates biological models (TCP, NTCP, EUD)
with the hope that in future it can be a part of level 2
reporting
 Uncertainty & confidence interval should be included
 Quality assurance for IMRT optimization and
uniqueness of the IMRT solution should be thoroughly
investigated
 Commissioning of accelerator should include thorough
investigation of MLC leaf, gap and transmission
 Treatment planning system should incorporate advance
algorithm for inhomogeneity correction & MUST be used
for dose calculation
ICRU-83
 It is recommended to record and retain the dose
absorbed-dose distribution related parameters for
atleast for the life of the patient plus a minimum of 5
years and in clinical trials as long as scientifically
needed.
ICRU-83
IMRT- THE SUNRISE OF RT
THANKYOU
FOR EVERY BODY
THAT IS
AFFLICTED BY THE
CURSE OF CANCER,
A THOUSAND
MINDS ARE
UNNERVED BY THE
FEAR OF CANCER. I
FOLD MY HANDS
IN PRAYER FOR ALL
OF THEM…

Icru – 83 dr. upasna

  • 1.
    INTERNATIONAL COMMISSION ON RADIATION UNITSAND MEASUREMENTS – REPORT 83 (2010) PRESENTER : DR UPASNA SAXENA MODERATOR : DR SHEH RAWAT
  • 2.
    INTERNATIONAL COMMISSION ON RADIATIONUNITS AND MEASUREMENTS, INC ICRU Report No: 29 (1978) “Dose specification for reporting external beam therapy in photons and electrons ICRU Report – 50 (1993) Prescribing, Recording, and Reporting photon beam therapy ICRU Report – 62 (1999) Supplement to ICRU Report No: 50 (ICRU 50 still valid) ICRU Report 83 (2010) Prescribing, Recording and Reporting Photon Beam Intensity-Modulated Radiation Therapy (IMRT)
  • 3.
  • 4.
    ICRU REPORT -50 PRESCRIBING, RECORDING, AND REPORTING PHOTON BEAM THERAPY When delivering a radiotherapy tretament, parameters such as volume and dose have to be specified for different purposes: prescription, recording, and reporting. The aims are –  To have a consistent treatment policy and improve it in the light of experience  To be able to compare the results of treatment with those of departmental colleagues  Other radiation oncologists should be able to benefit from the department’s experience  The results to be meaningfully compared with those of other centers, without having access to the complete data
  • 5.
    DESCRIBED VOLUMES  Grosstarget volume  Clinical target volume  Planning target volume  Organs at risk  Treated volume  Irradiated volume ICRU-50
  • 6.
    GROSS TUMOUR VOLUME(GTV)  The GTV is the gross demonstrable extent of the malignant growth as determined by palpation or imaging study.  PURPOSE :  For proper staging (TNM)  To define area requiring adequate dose delivery for treatment  To define the extent of CTV and PTV  To have a record to assess tumour response and predict treatment outcome based on the variation. ICRU-50
  • 7.
  • 8.
    CLINICAL TARGET VOLUME(CTV)  The CTV is the tissue volume that contains GTV and/or subclinical microscopic malignant disease. It includes suspected but unproven malignant tissue.  The density of malignant cells is considered to be maximum near the GTV, decreasing in density towards the margin of the CTV with microextensions along natural avenues of spread (lymph node, perivascular, pernineural extensions and distant sites).  The GTV and CTV are anatomical and clinical concept that must be defined before a choice of treatment modality and technique is made. ICRU-50
  • 9.
  • 10.
    PLANNING TARGET VOLUME(PTV)  The PTV is a geometrical concept, and it is defined to select appropriate beam sizes and beam arrangements, taking into consideration the net effect of all the possible geometrical varaitions and inaccuracies in order to ensure that the prescribed dose is actually absorbed in the CTV.  AFFECTED BY : size and shape of the GTV & CTV, the effects of internal motions of organs and the tumour as well as the treatment technique (beam orientation and patient fixation, daily setup errors) used.  The PTV can be considered as a 3-D envelope in which the tumour and any microscopic extensions reside. The GTV and PTV can move within this envelope, but not through it. ICRU-50
  • 11.
  • 12.
    TREATED VOLUME  Itis the volume enclosed by an isodose surface that is selected and specified by the radiation oncologist as being appropriate to achieve the purpose of treatment (palliation or cure).  Usually taken as the volume enclosed by the 95% isodose curve. ICRU-50
  • 13.
    IRRADIATED VOLUME  Itis the volume that receives a dose considered significant in relation to normal tissue tolerance  Usually taken as the volume enclosed by the 50% isodose curve. ICRU-50
  • 14.
    ORGANS AT RISK Organs at Risk are defined as critical normal tissues, such as the spinal cord, whose radiation sensitivity may significantly influence treatment planning and/or prescribed dose. ICRU-50
  • 15.
    DOSE REPORTING  PURPOSE: to have uniformity between centres and have an understandable treatment chart.  Acceptable dose heterogeneity :+7% to - 5% of the prescribed dose.  Doses reported are :  Minimum dose to PTV  Maximum dose to PTV  Mean dose to PTV  Modal dose  Median dose  Dose at ICRU reference point ICRU-50
  • 16.
     Hotspot- anarea outside PTV recieving > 100% of prescribed dose and more than 15mm in diameter (for small critical organs even point dose is a hot spot) ICRU-50
  • 17.
     LEVELS OFDOSE EVALUATION FOR REPORTING:  Level 1 –BASIC TECHNIQUE - minimum standards, 2- D reporting (using depth dose tables)  Level 2 – ADVANCED TECHNIQUE -prescribing and reporting state-of-the-art techniques (using computational dosimetry and 3D imaging)  Level 3 – DEVELOPMENTAL TECHNIQUE -optional research-and-development reporting (using techniques for which reporting criteria are not yet established) ICRU-50
  • 18.
    ICRU REFERENCE POINT It is a point with in the PTV to which the dose is prescribed or calculated  The ICRU reference point must be selected based on the following criteria :  It should be representative of the PTV  It should be clinically relevant and can be defined in a clear and unambigious way  Be located where the dose can be accurately determined  Be located in a region where there are no steep dose gradients  These recommendations will be fulfilled if the ICRU reference point is located :  Always at the centre of PTV  When possible at the intersection of the treatment beam axes. ICRU-50
  • 19.
  • 20.
    REFERENCE POINTS  Internalreference points are anatomical landmarks e.g., bony structures or gas filled cavities  External reference points are palpable or visible points located on or near the surface of the body or on the surface of the immobilisation devices that fit closely to the exterior of the body  As external reference points one may also use skin markings or alignment tattoos ICRU-50
  • 21.
    RADICAL VERSUS PALLIATIVETREATMENT  ICRU defines that if adequate dose cannot be delivered to the GTV, the whole aim of therapy should be termed as palliative. ICRU-50
  • 22.
  • 23.
  • 24.
  • 25.
  • 26.
    ICRU-62  PTV hasbeen separated into two components: an internal margin and set-up margin.  Classisfied organs at risk depending on response to radiation.  Defined planning organ at risk volume (PRV)  Report dose to the OAR/PRV  Introduced conformity index  Gives recommendations on graphics ICRU-62
  • 27.
     INTERNAL TARGETVOLUME (ITV)  Defined by adding an internal margin to the CTV. [internal uncertainties only]  INTERNAL MARGIN - A margin that must be added to the CTV to compensate for expected physiologic movements and the variations in size, shape and position of the CTV during therapy in relation to the Internal Reference Point and its corresponding Coordinate System. Motion is associated with adjacent respiratory and digestive organs.  Changes in the patient’s condition, such as weight gain/loss, can also affect the relative position of the CTV. K.M.Langen, D.T.L. Johnes. Organ motion and its management. International Journal of Radiation Oncology Biology, Physics Vo. 50, No.1, pp. 265-278, 2001 ICRU-62
  • 28.
    SETUP MARGIN  Theuncertainties depend on different factors:  Variations in patient positioning  mechanical uncertainties of the equipment  dosimetric uncertainties (light-radiation field agreement)  transfer set-up errors  Beam related parameters  human related uncertainties  They can be on the CT scanner, simulator or machine.  The net effort of combining an Internal Margin and a set up margin and adding it to the CTV results in the PTV previously defined in ICRU-50. PTV = ITV + SM ICRU-62
  • 29.
  • 30.
    CLASSIFICATION OF ORGANSAT RISK  Classified as :  Serial – whole organ is a continuous unit and damage at one point will cause complete damage of the organ (spinal cord, digestive system). So even point dose is significant  Parallel – organ consists of several functional units and if one part is damaged, the rest of the organ makes up for the loss (lung, bladder). Dose delivered to a given volume or average/mean dose is considered  Serial-parallel – kidney (glomerulus- parallel, tubules- serial), heart (myocardium- parallel, coronary arteries- serial). ICRU-62
  • 31.
    PLANNING ORGAN ATRISK VOLUME  PRV to OAR is analogous to the PTV for the CTV.  Aim is to account for movements of the OAR due to movements, changes in size and shape and setup uncertainities.  PTV and PRV may overlap, then it is the responsibility of the radiation oncologist to decide depending on the importance of the treatment versus risk of critical organ damage. ICRU-62
  • 32.
    SYSTEMATIC AND RANDOM ERRORS Systematic errors – treatment preparation errors (influence all fractions) like full rectum  Random errors – treatment execution errors (influence only the single fraction) like positioning ICRU-62
  • 33.
    CONFORMTY INDEX  Conformityindex (CI) = TV/PTV  CI iso = TV covered by % Isodose/Planning Target Volume  CI = > optimized closed to 1.0 ICRU-62
  • 34.
     Now itis the digital era and with the advent and use of IMRT, new guidelines need to be set for prescription, reporting and recording of dose.  The ICRU-83 deals with these new guidelines ICRU-62
  • 35.
  • 36.
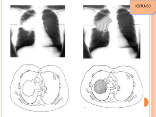
    DIFFERENCE BETWEEN CONVENTIONAL &3-DCRT TREATMENT ICRU-83
  • 37.
    IMRT PLANNING OFSAME CASE ICRU-83
  • 38.
    PARADIGM SHIFT  In3D conformal therapy, ICRU-50 recommended  Uniform dose to PTV (-5% to +7%)  Report dose @ isocenter  IMRT represents ≈40% of the radiation treatment with a paradigm shift  Non uniform dose (dose painting)  Large dosimetric variations  Isocenter dose is meaningless  Radiobiological consequence of large heterogeneous dose is uncertain (ie 180cGy/day versus 250cGy/day) ICRU-83
  • 39.
    3-DCRT VERSUS IMRT Simple  Forward planning  Give what you wish to target volume  Uniform fluence  Uniform dose  Low MU  Analogue dose  Dose defined to volume but specified at isocenter  Complex  Inverse planning/optimized planning  Requires dose-volume constraints and cost function  Non-uniform fluence  High gradient dose  High MU  Digital dose  Isocenter dose undefined and meaningless 3-DCRT IMRT ICRU-83
  • 40.
     In IMRT,the delineation of the target and normal structures has to be very precise due to the high conformality achieved by IMRT as compared to 3- DCRT. This benefit is especially seen in concave volumes.  The tolerance for the MLC leaf position is smaller when using the MLC for IMRT than for 3-DCRT. ICRU-83
  • 41.
  • 42.
  • 43.
  • 44.
     Key distinctionsbetween traditional and IMRT planning : 1. Use of mathematical objective functions and incorporation of user defined dose-volume constraints 2. Employment of an iterative computer- based IMRT algorithm to seek the optimal solution. ICRU-83
  • 45.
     Plan improvisationcan be done by changing the relative importance given to PTV and other structures ICRU-83
  • 46.
  • 47.
  • 48.
     If thereare 5 beam directions and the field area is discretized into 40x40 beamlets each, then the search space consists of 5x40x40 = 8000 dimensions. It there are 10 allowed beam intensities/weight for each beamlet, then the number of possible intensity patterns is 108000.  Optimzation can be done by both beamlet based optimization and aperture based optimization.  Contrary to the typical systems using absorbed dose only for optimization, EUD (equivalent uniform dose) can be used to set constraints ICRU-83
  • 49.
    SPECIAL CONSIDERATIONS ABOUT ABSORBEDDOSE AND DOSE VOLUME PRESCRIBING AND REPORTING IN IMRT ICRU-83
  • 50.
     There are3 levels of reporting as discussed in the previous report (ICRU-50)  Level 3 – includes biological factors which are still under evaluation and not in routine clinical use (TCP, NTCP, EUD)  Dose-volume based calculations (Level 2 reporting) are routinely used now rather than ICRU reference point reporting  Using DVH, we can find the presence (but not the location) of minima and maxima in the contoured volumes.  The location of these minima & maxima can be seen in sections-wise viewing the isodose curves/colour wash. ICRU-83
  • 51.
  • 52.
  • 53.
     Using IMRTthe PTV dose distribution can be less homogenous than conventional but are more conformal and can produce much higher absorbed- dose gradients.  Doses to PTV, CTV, PRV and RVR should be reported in parameters discussed below  Now convolution/superposition methods are in use for the iterative process. Soon Monte-Carlo calculations will come in routine use.
  • 54.
     The parametersused for reporting are : Dmean , D98% (near-minimum) , D95%, D2% (near-maximum) , DV, VD.  Dmean is much like D50%.  For PTV and CTV, report the Dmean , D98% , D2% .
  • 55.
     The parametersused for reporting are : Dmean , D98% (near-minimum) , D95%, D2% (near-maximum) , DV, VD.  Dmean is much like D50%.  For PTV and CTV, report the Dmean , D98% , D2% .  For PRV, parameters used for reporting are :  Serial organs – Dmax/D0% rather D2%  Parallel organs – VD (volume receiving atleast the absorbed dose D), Dmean  Serial-parallel organs – all three parameters should be reported  Since most organs do not have such a specific distinction into serial or parallel, best way to do reporting is to report all the three parameters – Dmax, VD , Dmean ICRU-83
  • 56.
  • 57.
    DOSE HOMOGENEITY ANDCONFORMITY INDEX  They are independent specifications of the absorbed dose-distribution.  Dose homogeneity characterises the uniformity of the absorbed dose within the target volume.  A perfectly homogenous dose to the PTV would be characterized by :  a spike (a delta function) in the differential DVH  a vertical drop of the cumulative DVH line for the PTV.  It is usually a near Gaussian shape, tightly distributed around the mean.  Another useful measure for such a distribution is the standard deviation.  So mean and SD should be included in all treatment planning systems for reporting HI. ICRU-83
  • 58.
     Several definitionof HI have been made. But the following definition for homogeneity is suggested in this report: HI= D2% - D98% / D50% An HI of zero indicates that the absorbe-dose distribution is almost homogenous. D50% is suggested as the normalization value. Reporting of D50% is strongly recommended in Level 2 reporting ICRU-83
  • 59.
     Dose conformitycharacterises the degree to which the high dose region conforms to the target volume, that is the PTV.  However, due to the presence and use of DVH, the use of HI and CI is likely to be limited  For IMRT, the +7% to -5% specification may be a constraint as the organ sparing is more significant than target homogeneity. ICRU-83
  • 60.
  • 61.
    REPORTING OF CONFIDENCEINTERVALS  Although difficult, confidence intervals should be reported whenever possible.  Confidence intervals are presently considered to be part of Level 2 or Level 3 reporting whenever possible.  TPS must make an effort to involve reporting of uncertainities both in terms of systematic (Type B) and random (Type A) errors. ICRU-83
  • 62.
     85% confidenceinterval = 1.5 standard deviations is a useful accuracy constraint for many applications.  PTV is such designed that is receives lower dose at its boundaries than interior, so DVH of PTV might show heterogeneity of CTV which is not there and DVH of CTV may show more homogeneity than is actually the case. Hence both CTV and PTV should be shown on the same graph as these define the envelope of possible values of the DVH of the CTV depending on movements (intrinsic or setup related) ICRU-83
  • 63.
  • 64.
  • 65.
    GROSS TUMOUR VOLUME Definiton as before  Specifications needed :  TNM Staging, ICD code  Mention site (GTV-T, GTV- N, GTV-M)  Mention imaging modality (CT/MRI/PET)  Record any changes during treatment to plan adaptive treatment ICRU-83
  • 66.
    CLINICAL TARGET VOLUME Definition as before  Typically a probability of occult disease higher than 5-10% is assumed to require treatment.  There might be no CTV in case of a benign tumour, only a GTV. ICRU-83
  • 67.
    INTERNAL TARGET VOLUME Definition as before  Better delineation is possible by using 4-D imaging ICRU-83
  • 68.
    PLANNING TARGET VOLUME Definition same as before  Compromising the PTV if it overlapped the OAR is no longer recommended as in the previous ICRU reports  In such a situations, the PTV is subdivided into as subvolumes. ICRU-83
  • 69.
    In the caseof absorbed-dose compromise in the overlapping region between the PTV and the PRV, reporting theabsorbed dose in the sub-PTV, PTVSV-1, (left DVH) can incorrectly represent the absorbed dose to the underlying CTV ICRU-83
  • 70.
  • 71.
    ORGANS AT RISK Definition same  Classified in the same way as in ICRU into serial, parallel, serial-parallel ICRU-83
  • 72.
    PLANNING ORGAN ATRISK VOLUME  Definition same  In case of overlap with PTV, the PTV and PRV can be subdivided into sub-volumes and given individual absorbed dose constraints. ICRU-83
  • 73.
  • 74.
    REMAINING VOLUME ATRISK  Ideally when delineating the OAR, especially for IMRT, all normal tissues that could potentially be irradiated should be outlined.  RVR is operationally defined by the difference between the volume enclosed by the external contour of the patient and that of the CTVs and OARs on the slice.  Rationale :  To detect any unsuspected regions of high absorbed dose outside the PTV and PRV  Useful in estimating the risk of late effects such as carcinogenesis. ICRU-83
  • 75.
  • 76.
    PLANNING AIMS  Planningaims are dosimetric goals used to develop treatment plans.  The use of multiple dose-volume constraints (Dmean , D98% , D95%, D2% , DV, VD) for each defined volume leads to more precision in the planning aims and is therefore recommended.  Biological metrics (e.g., TCP, NTCP, EUD) might be used as additional constraints for a desireable absorbed-dose distribution. Though this approach is still investigational. ICRU-83
  • 77.
    SPECIAL SITUATION ILLUSTRATING THEUSE OF PLANNING AIMS  Some difficult situations for planning aims:  Planned absorbed dose in the buildup region and in a PTV extending outside the body contour  Overlapping volumes and conflicting absorbed-dose objectives  Unexpected high absorbed dose to part of the RVR ICRU-83
  • 78.
    DOSE PLANNING INBUILDUP REGION AND IN A PTV EXTENDING OUT OF BODY CONTOUR  PTV may extend into buildup region or even into air (in-air PTV) if sufficient fluence in the surrounding air is needed to prevent the CTV from extending outside the beam edge by movement/setup error.  In tangential breast irradiation, the region of the beam that has been deliberately planned to bypass the skin surface is called as “flash region”  Problems are that : sufficient dose might not be obtained in the “flash region” and build up area or there may be inhomogeneity in the PTV dose. ICRU-83
  • 79.
  • 80.
    OVERLAPPING VOLUMES ANDCONFLICTING PLANNING AIMS  As discussed previously :  Define sub volumes with separate dose constraints for each  Or relax the absorbed-dose objectives for planning  Assigning importance to the constraints during iteration. ICRU-83
  • 81.
    Subdivision of theplanning volume and setting different constraints for each subvolume ICRU-83
  • 82.
    UNEXPECTED HIGH DOSETO THE RVR  Such a situation can be avoided by prescribing constraints for the RVR considering it as analogous to PRV. ICRU-83
  • 83.
    TECHNICAL DATA  Examplesof technical data detailing :  Number, direction of beams, no of beam segments and their intensity distribution.  Aperture shapes or multileaf collimator settings  Positioning and immobilization parameters for the patient on the couch.  It is recommended that the electronic recording of data is standardized e.g., the DICOM-RT protocol ICRU-83
  • 84.
  • 85.
    SUMMARY ICRU-83 RECOMMENDATION Use of PET imaging should be explored for CTV & PTV definition along with CT and MRI  Definition of sub volume with overlaps between PTV and PRV  RVR (Remaining volume at risk) should be defined.  Optimization should be fully explored  Maximum dose is defined as D2%  Median dose, D50% is closed to prescription dose and very close to reference dose  Minimum dose is defined as D98%  DVH is a measure of delivered dose, and be used in clinical practices rather than reference point reporting. ICRU-83
  • 86.
    CONTD…  It alsoevaluates biological models (TCP, NTCP, EUD) with the hope that in future it can be a part of level 2 reporting  Uncertainty & confidence interval should be included  Quality assurance for IMRT optimization and uniqueness of the IMRT solution should be thoroughly investigated  Commissioning of accelerator should include thorough investigation of MLC leaf, gap and transmission  Treatment planning system should incorporate advance algorithm for inhomogeneity correction & MUST be used for dose calculation ICRU-83
  • 87.
     It isrecommended to record and retain the dose absorbed-dose distribution related parameters for atleast for the life of the patient plus a minimum of 5 years and in clinical trials as long as scientifically needed. ICRU-83
  • 88.
    IMRT- THE SUNRISEOF RT THANKYOU
  • 89.
    FOR EVERY BODY THATIS AFFLICTED BY THE CURSE OF CANCER, A THOUSAND MINDS ARE UNNERVED BY THE FEAR OF CANCER. I FOLD MY HANDS IN PRAYER FOR ALL OF THEM…