CT NGỰC
Ths. Bs Lâm Diễm Phương
Nội dung
 Kỹ thuật
 Giải phẫu CT ngực
 Bệnh lý phổi
 Bệnh lý trung thất
 Bệnh lý màng phổi
 Bệnh lý thành ngực
Kỹ thuật
 BN nằm ngữa, hai tay giơ cao dọc 2
bên đầu
 Khảo sát CT ngực không cản quang
 Khảo sát CT ngực có cản quang: u,
viêm, bệnh lý mạch máu…
 Chất tương phản: dẫn xuất Iode, tiêm
tĩnh mạch
Kỹ thuật
 Khảo sát thực quản hay liên quan thực
quản: dùng cản quang qua đường uống
(barium hay iode pha loãng)
 Kỹ thuật CT phân giải cao: HRCT: High
resolution CT : lát cắt mỏng 1-1,5 mm.
Đánh giá tốt các bệnh lý phế quản- phổi đặc
biệt bệnh lý mô kẻ, dãn phế quản
 Tái tạo hình ảnh
– MPR (tái tạo nhiều mặt cắt)
– MIP (tái tạo cường độ tối đa
theo hướng chiếu)
– VRT (kỹ thuật hiển thị thể tích)
– SSD (tạo bóng bề mặt vật thể)
– Nội soi ảo phế quản
– Dựng hình tim- mạch vành,,,,
Cửa sổ trung thất
Không và có cản quang: phình động mạch chủ ngực
HRCT, độ dày lát cắt 2mm
MPR
MIP
TRỊ SỐ ĐẬM ĐỘ
ĐẶT CỬA SỔ
 Cửa sổ mô mềm hay trung thất
 Cửa sổ phổi
 Cửa sổ xương
Cửa sổ trung thất: độ rộng cửa sổ (W): 350-500 HU, trung tâm
cửa sổ (C): 30-50 HU
Cửa sổ phổi: độ rộng cửa sổ 1000-1500 HU, trung tâm cửa
sổ: -600-700 HU
Cửa sổ xương: độ rộng cửa sổ 1000-1500 HU, trung
tâm cửa sổ: 30 HU
GIẢI PHẪU HÌNH ẢNH CT NGỰC
CÁC LÁT CẮT CỬA SỔ
TRUNG THẤT
1. Khôùp öùc-ñoøn
2. Tónh maïch thaân caùnh tay ñaàu (T)
3. Cung ñoäng maïch chuû
4. Cöõa soå pheá chuû
5. Ñoäng maïch phoåi (T)
6. Thaân vaø ñoäng maïch phoåi (P)
7. Nhó (T)
8. Caùc buoàng tim
9. Khoang sau chaân hoøanh
Ngang möùc khôùp öùc ñoøn
•5 maïch maùu : 3 ñoäng maïch phiaù sau (döôùi ñoøn (s) caûnh (c), thaân caùnh
tay ñaàu (b) vaø 2 tónh maïch phiaù tröôùc thaân caùnh tay ñaàu (P) vaø (T) (bv)
Ngang möùc tónh maïch
thaân caùnh tay ñaàu (T)
•Tónh maïch caùnh tay ñaàu
(T) (ibv) chaïy ngang –
tröôùc, qua (P) hôïp vôùi
nhaùnh (P) taïo tónh maïch
chuû treân.
NGANG MÖÙC CUNG ÑOÄNG MAÏCH CHUÛ (ARCH)
ARCH.CungÑmc s.Tmct e.thöïc quaûn T. khí quaûn
Ngang möùc cöõa soå pheá chuû
•Cöõa soå pheá chuû: giöõa cung ñoäng maïch chuû vaø ñoäng maïch
phoåi (T) . Coù vaøi haïch nhoû vuøng naøy. Tónh maïch Azygos
chaïy sau, ra tröôùc caïnh (P) khí quaûn vaøo tónh maïch chuû treân.
Av
Cửa sổ phế
chủ
Ngang möùc ñoäng maïch phoåi (T)
•Ñoäng maïch phoåi (T) [LPA] taïo bôø (T) trung thaát.
Ngang möùc ñoäng maïch phoåi (P) vaø thaân
ñoäng maïch phoåi
•Ñoäng maïch phoåi (P) [RPA] töø thaân ñoäng maïch phoåi
[MPA], chaïy sang (P) phiaù sau ñoäng maïch chuû leân
[AA]
Ngang möùc nhó (T)
Ngang möùc 4 buoàng tim
•Thaáy caùc buoàng tim. Maøng ngoaøi tim taïo
ñöôøng môø giöõa hai lôùp môõ [M]
M
Ngang möùc khoang sau chaân hoøanh
CAÂY PHEÁ QUAÛN
Ngang möùc cung
ñoäng maïch chuû 3
3
2
1/21
6
a
Möùc Carina
3
3
6
2
6
1/2
b
Möùc ñoäng
maïch phoåi (T)
3
3
6
6
1/2
2
Möùc ñoäng
maïch phoåi (P)
66
5
4
5
4
Möùc nhó (T)
10
5
4
8
9
10
4
7/8
9
F
Möùc caùc pheá
quaûn phaân
thuyø ñaùy
10
5
8
9
10
7/8
7
5
9
Một số bệnh lý phổi
Viêm phổi
 NN: vi khuẩn, virus, nấm…
 Đường vào: hệ thống khí phế quản, đường
máu, trực tiếp (thành ngực, màng phổi..)
 Phân loại:
– Viêm phổi thùy
– Viêm phế quản phổi
– Viêm phổi mô kẻ
 Viêm phổi thùy
– Do phế cầu
– Thường bắt đầu ở khoảng khí đọan
xa, tạo các vùng đông đặc, tiến trỉên
tòan bộ phổi
– CT: các bóng mờ đồng nhất nhiều
phân thùy hoặc tòan bộ thùy phổi
dấu hiệu ‘khí phế quản đồ’
Đông đặc phổi
 Phế quản phế viêm
– Do tụ cầu
– Bắt đầu trong hoặc quanh phế quản
tiểu thùy, lan theo phế quản, tổn
thương tòan bộ tiểu thùy phổi
– CT: nhiều đám mờ phân bố không
đồng nhất xen kẻ nhau giữa vùng
phổi lành và vùng phổi tổn thương
Phế quản phế viêm, do tụ cầu
 Viêm phổi mô kẻ
– Do virus, nấm, richkettsia
– Tổn thương thành phế quản và tổ
chức mô kẻ
– CT: dày thành phế quản, tổn thương
mô kẻ dạng nốt không đều hoặc
dạng lưới
Viêm phổi do siêu vi
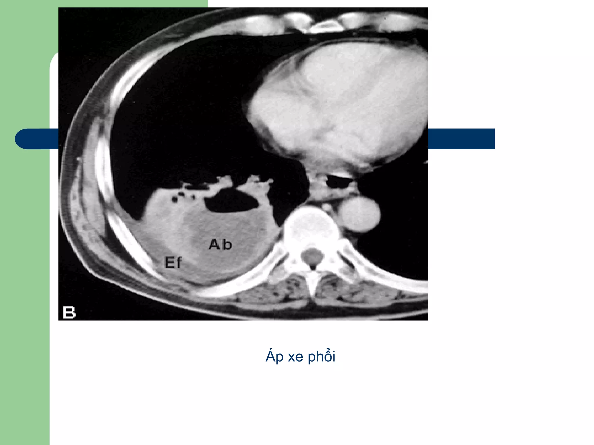
Áp xe phổi
 Do vi khuẩn (tụ cầu, Klebsiella)
 CT: GĐ đầu, vùng giảm đậm độ xung
quanh là vùng đông đặc phổi
Khi ổ áp xe rõ, tăng quang ngoại
biên (thành ổ áp xe), không tăng quang
trung tâm (vùng họai tử), mức khí dịch
nếu thông với phế quản
*CĐPB: u phổi họai tử, tụ mủ màng phổi
Áp xe phổi
Aùp-xe phoåi
Áp xe phổi
 CĐPB:
 U phổi họai tử thường tạo hang lệch
tâm, thành dày hơn, bờ không đều
 PB tụ mủ màng phổi: ổ áp xe tạo góc
nhọn với thành ngực, mạch máu chạy
thẳng vào ổ áp xe, kèm viêm nhu mô
phổi xung quanh
Tụ mủ màng phổi Áp xe phổi
U phoåi
taïo hang
Bệnh phổi mô kẻ
 Bệnh phổi mô kẻ do nhiều NN, gây tổn
thương vách các khoảng khí, diễn tiến
bệnh mãn tính, tạo xơ mức độ nặng
nhẹ khác nhau
1a
2 3a 3b
4
1b 1c
1. Daïng löôùi (reticular): (1a) nhoû (1b)vöøa
(1c) thoâ.
2. Daïng noát-löôùi (reticulonodular)
3. Daïng noát (nodular): (3a) nhoû (3b) lôùn
4. Daïng ñöôøng (linear)
CAÙC DAÏNG TOÅN THÖÔNG MOÂ KEÛ
Caùc daïng toån thöông moâ keû treân HRCT
Dấu hiệu bệnh mô kẻ cấp
 Daøy vaùch lieân tieåu thuøy
 Ñöôøng Kerley
 Daøy thaønh pheá quaûn, boù maïch quanh pheá quaûn
 Môø quanh roán
 Môø, nhoøa caùc maïch maùu
 Dòch maøng phoåi ít
Dấu hiệu bệnh mô kẻ mãn
Maøng phoåi taïng khoâng ñeàu
-Daïng löôùi
-nhoû, neùt: sôùm, nheï
-thoâ: 75% buïi phoåi, sarcoidosis, vieâm phoåi keû maõn tính
-Noát: 90% nhieãm khuaån, beänh moâ haït, di caên, buïi phoåi,
-Ñöôøng: phuø moâ keû (tim), di caên baïch maïch..
-Toå ong:
Daøy vaùch lieân tieåu thuøy,
trôn laùng+ daïng kính môø ôû
b/n suy tim sung huyeát
Xô phoåi voâ caên
Sarcoidosis (honeycomb, cystic, fibrosis)
U phổi lành tính
 Hamartoma
 Lipoma
 Fibroma
 Leiomyoma
 Neurofibroma
 Hạch trong phổi
 Đặc điểm nốt phổi lành tính
– Bờ đều
– Đậm độ mỡ
– Đóng vôi
– Sang thương vệ tinh
– Thời gian gấp đôi thể tích <1 tháng 
> 2 năm
Đóng vôi trong hamartoma
Ñoùng voâi trong beänh lyù
u haït laønh tính
(granuloma)
U phổi ác tính
 Ung thư biểu mô phế quản
 U hạch
 Di căn
 Sarcoma
 Carcinoid
Ung thư biểu mô phế quản
– CT: ung thư phổi trung tâm
Nằm ở phế quản trung tâm (phế
quản thùy)
KCC đậm độ mô mềm
Hẹp lòng phế quản
Xẹp phổi
Xâm lấn trung thất, màng phổi,
thành ngực
Ung thư biểu mô phế quản
– CT: ung thư phổi ngoại biên
Nằm ở ngoại biên
Các dấu hiệu gợi ý ác tính
Đặc điểm nốt phổi ác tính
– Bờ không đều, tủa gai (radiating corona)
– Co kéo màng phổi (pleural fingers, flags)
– Hội tụ mạch máu (Rigler’s umbilical sign)
– Hoại tử
– Đóng vôi
– Liên quan trong lòng phế quản
– Thời gian nhân đôi: 1 tháng2 năm
Ung thö phoåi ngoïai bieân/ Bôø khoâng ñeàu,
tuûa gai/ Co keùo maøng phoåi
Maïch maùu ñeán u
(Rigler’s umbilical sign)
Ung thö phoåi : Bôø khoâng ñeàu, tuûa gai/ Co keùo
maøng phoåi/ Lieân quan pheá quaûn
Ñaäm ñoä khoâng ñoàng nhaát do hoïai töû (Ung
thö teá baøo lôùn keùm bieät hoùa)
Ung thö phoåi
Xaâm laán trung thaát, tónh maïch chuû treân, ñoäng maïch phoåi (P)
Di căn
 Ung thư di căn phổi thường theo đường
động mạch, ngoài ra còn theo đường
bạch mạch, xâm lấn trực tiếp hoặc theo
phế quản
 Nguồn gốc: vú (22%), thận (11%), đầu cổ
(10%), đại trực tràng (9%), gan, tử cung,
tụy, buồng trứng, tiền liệt tuyến, dạ dày
Di căn
 CT: nhiều nốt (75%) có kích thước khác
nhau, vô số nốt nhỏ, dày vách liên tiểu
thùy, bó mạch quanh phế quản dạng
nốt, thô, +/- đóng vôi, tạo hang, chảy
máu
Nam/41t-U gan di caên phoåi
Xẹp phổi
 NN: U, viêm, nút nhầy, vật lạ
 CT: Đậm độ mô mềm, tăng quang
mạnh
Kéo các nhánh mạch máu vùng
phổi xẹp lại gần nhau
Kéo rãnh màng phổi, trung thất,
rốn phổi về phía xẹp
Nâng cao vòm hoành, hẹp khoảng
liên sườn bên phổi xep
Tăng thông khí bù trừ
Xeïp caùc thuyø phoåi (T)
Xeïp thuyø treân phoåi (T)
Xeïp thuøy döôùi phoåi (T)
Xeïp caùc thuyø
phoåi (P)
Xeïp thuøy treân phoåi (P)
Xeïp thuøy giöõa phoåi (P)
Khí thũng phổi
 Dãn lớn bất thường các khoảng chứa khí
ở phía xa của tiểu phế quản tận do hủy
thành phế nang và mạng lưới các sợi đàn
hồi
 CT: tạo các vùng giảm đậm độ với thành
bao quanh tổn thương không xác định rõ.
Gồm các dạng:
Khí thũng phổi
– Khí thũng trung tâm tiểu thùy (centrilobular
emphysema): vùng khí thũng quanh ĐM trung tâm
thùy phổi thứ cấp, hay gặp ở phần cao thùy giữa
– Khí thũng tòan bộ tiểu thùy (panlobular emphysema):
vùng khí thũng lan tỏa, đồng nhất, hay gặp ở thùy
dưới
– Khí thũng cạnh vách (paraseptal emphysema): vùng
khí thũng ngoại biên, cạnh vách liên tiểu thùy, cạnh
lá tạng màng phổi, rãnh liên thùy
– Khí thũng cạnh vùng sẹo (paracicatricial
emphysema): khoảng khí lớn, hủy nhu mô phổi tại
vùng sẹo
Khí thũng trung tâm tiểu thùy
Khí thuõng toaøn tieåu thuyø
Khí thuõng caïïnh vaùch lieân tieåu thuyø
Dãn phế quản
 Dãn khu trú, không hồi phục các phế
quản vừa và nhỏ
 NN: nhiễm khuẩn, bẩm sinh, suy giảm
miễn dịch, tắc nghẻn, xơ hóa phổi …
 Theo Reid (1950): 3 lọai:
– Dãn PQ hình ống (tubular)
– Dãn PQ hình nang (saccular, cystic)
– Dãn PQ hình tràng hạt (varicose)
 Vị trí: phân thùy đáy sau (50%), thùy
giữa hoặc thùy lưỡi (10%)
 CT: Dày thành và dãn lòng phế quản:
dấu đường ray (tram line), vòng nhẫn
(signet ring), tràng hạt (string of pearls),
chùm nho (cluster of grapes)
Nang có mức khí dịch
Thay đổi xung quanh: xơ, tổ ong, rối
lọan thông khí
Daõn pheá quaûn daïng hình oáng vôùi daáu hieäu
ñöôøng ray ( ‘tram line’ sign)
Daõn pheá quaûn daïng hình oáng (cylindrical bronchoectasis) vaø
hình nang (cystic bronchoestasis.)
Thuyên tắc phổi
 Khuyết trong lòng mạch do cục máu
đông
 Vùng tăng đậm độ hình chêm, nền dựa
vào màng phổi (nhồi máu phổi)
 Tăng quang ngoại vi
 Rối lọan thông khí
Thuyeân taéc ñoäng maïch phoåi maõn
Thuyeân taéc ñoäng maïch phoåi keøm nhoài maùu phoåi
Một số bệnh lý trung thất
Viêm trung thất
 Nguyên nhân: chấn thương, thủng cơ
quan trung thất, viêm nhiễm lan tràn từ
vùng hầu- cổ, hoặc phổi, màng phổi
 CT:
– Đậm độ cao vùng viêm, tụ mủ, mất
cấu trúc mỡ bình thường của trung
thất
Viêm trung thất
– Tụ khí (thủng, vi khuẩn)
– Tăng quang viền của áp xe
– Kết hợp (tràn dịch, khí, mủ màng
phổi, áp xe dưới hoành, viêm xương
sống)
Vieâm trung thaát (Mediastinitis): maát môõ trung thaát, coù ñaäm ñoä
khí [a], taêng quang vieàn.
a
U trung thất
 U trung thất trước: thymoma, teratoma,
thyroid, lymphoma…
 U trung thất sau: u có nguồn gốc thần kinh,
di căn…
 U trung thất giữa: lymphoma, di căn, u
thực quản….
U trung thất
 CT đánh giá u về vị trí, kích thước, đè đẩy
xâm lấn các cấu trúc khác: mạch máu, khí
phế quản, thành ngực, bản chất mô học
(#68%) (lipoma, cyst…)
 Các tổn thương kèm theo
 Khả năng phẫu thuật u
 Chẩn đoán phân biệt các bệnh lý khác
Thymoma 2 cm, laønh tính, khoâng
xaâm laán, b/n bò nhöôïc cô
Teratoma laønh tính
Phình động mạch chủ ngực
 Nguyên nhân: Xơ vữa động mạch, chấn
thương, bẩm sinh, viêm nhiễm, tăng áp
động mạch…
 Hình ảnh CT: lớn khẩu kính động mạch (>4-
5 cm), huyết khối trong lòng, đóng vôi thành
mạch
Phình động mạch chủ ngực, có
huyết khối
Bóc tách động mạch chủ
 Hình ảnh CT:
– Đóng vôi nội mạc
– Máu đông cấp
– Lá nội mạc (intimal flag)
– Lòng thật- giả (tăng quang, ép, thrombus)
– Biến chứng
Boùc taùch ñoäng maïch chuû type A
Bệnh lý màng phổi
Tràn dịch màng phổi
 Nguyên nhân: suy tim, viêm nhiễm, u…
 Hình ảnh CT:
– Dịch ở phía sau khi bệnh nhân nằm ngữa
– Đậm độ dịch, đậm độ cao trong chảy
máu, dịch có protein cao
– Màng phổi có thể dày, bắt quang sau tiêm
(Dày đều trong viêm. Dày nốt thô, không
đều trong u)
Traøn dòch maøng phoåi töï do
Traøn muû maøng phoåi khu truù
Tràn khí màng phổi
 Hình ảnh CT:
– Vùng tràn khí đậm độ thấp (khí), không
có nhu mô phổi
– Phổi xẹp bị đẩy vào trong
Traøn khí maøng phoåi (P)
U màng phổi
 Hình ảnh CT:
– Dày màng phổi > 1 cm, dạng nốt không
đều, liên quan màng phổi trung thất,
thường ở một bên (dấu hiệu ác tính),
tăng quang mạnh không đồng nhất
– Vào các rãnh màng phổi
– Đóng vôi, dịch màng phổi
– Xâm lấn thành ngực, trung thất, hạch lớn,
Mesothelioma aùc tính
Bệnh lý thành ngực
Viêm nhiễm
 Viêm xương tủy xương, viêm phần mềm
hay từ phổi- màng phổi (lao, nấm…)
 Hình ảnh CT:
– Thay đổi cấu trúc, hình dáng
– Có thể xóa lớp mỡ ngoài màng phổi
– Tăng quang mạnh ở thành tổn thương
Viêm xương tủy xương
U thành ngực
 Hình ảnh CT:
– Hủy, biến dạng xương
– Tổn thương phần mềm
– Có thể xóa lớp mỡ ngoài màng phổi
– Bắt thuốc cản quang thay đổi
Beänh Kahler
U mỡ (lipoma)
Xin cám ơn sự theo dõi của các
anh chị và các bạn

ct ngực

  • 1.
    CT NGỰC Ths. BsLâm Diễm Phương
  • 2.
    Nội dung  Kỹthuật  Giải phẫu CT ngực  Bệnh lý phổi  Bệnh lý trung thất  Bệnh lý màng phổi  Bệnh lý thành ngực
  • 3.
    Kỹ thuật  BNnằm ngữa, hai tay giơ cao dọc 2 bên đầu  Khảo sát CT ngực không cản quang  Khảo sát CT ngực có cản quang: u, viêm, bệnh lý mạch máu…  Chất tương phản: dẫn xuất Iode, tiêm tĩnh mạch
  • 4.
    Kỹ thuật  Khảosát thực quản hay liên quan thực quản: dùng cản quang qua đường uống (barium hay iode pha loãng)  Kỹ thuật CT phân giải cao: HRCT: High resolution CT : lát cắt mỏng 1-1,5 mm. Đánh giá tốt các bệnh lý phế quản- phổi đặc biệt bệnh lý mô kẻ, dãn phế quản
  • 5.
     Tái tạohình ảnh – MPR (tái tạo nhiều mặt cắt) – MIP (tái tạo cường độ tối đa theo hướng chiếu) – VRT (kỹ thuật hiển thị thể tích) – SSD (tạo bóng bề mặt vật thể) – Nội soi ảo phế quản – Dựng hình tim- mạch vành,,,,
  • 6.
    Cửa sổ trungthất Không và có cản quang: phình động mạch chủ ngực
  • 7.
    HRCT, độ dàylát cắt 2mm
  • 8.
  • 9.
  • 10.
  • 11.
    ĐẶT CỬA SỔ Cửa sổ mô mềm hay trung thất  Cửa sổ phổi  Cửa sổ xương
  • 12.
    Cửa sổ trungthất: độ rộng cửa sổ (W): 350-500 HU, trung tâm cửa sổ (C): 30-50 HU
  • 13.
    Cửa sổ phổi:độ rộng cửa sổ 1000-1500 HU, trung tâm cửa sổ: -600-700 HU
  • 14.
    Cửa sổ xương:độ rộng cửa sổ 1000-1500 HU, trung tâm cửa sổ: 30 HU
  • 15.
    GIẢI PHẪU HÌNHẢNH CT NGỰC
  • 16.
    CÁC LÁT CẮTCỬA SỔ TRUNG THẤT 1. Khôùp öùc-ñoøn 2. Tónh maïch thaân caùnh tay ñaàu (T) 3. Cung ñoäng maïch chuû 4. Cöõa soå pheá chuû 5. Ñoäng maïch phoåi (T) 6. Thaân vaø ñoäng maïch phoåi (P) 7. Nhó (T) 8. Caùc buoàng tim 9. Khoang sau chaân hoøanh
  • 17.
    Ngang möùc khôùpöùc ñoøn •5 maïch maùu : 3 ñoäng maïch phiaù sau (döôùi ñoøn (s) caûnh (c), thaân caùnh tay ñaàu (b) vaø 2 tónh maïch phiaù tröôùc thaân caùnh tay ñaàu (P) vaø (T) (bv)
  • 18.
    Ngang möùc tónhmaïch thaân caùnh tay ñaàu (T) •Tónh maïch caùnh tay ñaàu (T) (ibv) chaïy ngang – tröôùc, qua (P) hôïp vôùi nhaùnh (P) taïo tónh maïch chuû treân.
  • 19.
    NGANG MÖÙC CUNGÑOÄNG MAÏCH CHUÛ (ARCH) ARCH.CungÑmc s.Tmct e.thöïc quaûn T. khí quaûn
  • 20.
    Ngang möùc cöõasoå pheá chuû •Cöõa soå pheá chuû: giöõa cung ñoäng maïch chuû vaø ñoäng maïch phoåi (T) . Coù vaøi haïch nhoû vuøng naøy. Tónh maïch Azygos chaïy sau, ra tröôùc caïnh (P) khí quaûn vaøo tónh maïch chuû treân. Av
  • 21.
  • 22.
    Ngang möùc ñoängmaïch phoåi (T) •Ñoäng maïch phoåi (T) [LPA] taïo bôø (T) trung thaát.
  • 23.
    Ngang möùc ñoängmaïch phoåi (P) vaø thaân ñoäng maïch phoåi •Ñoäng maïch phoåi (P) [RPA] töø thaân ñoäng maïch phoåi [MPA], chaïy sang (P) phiaù sau ñoäng maïch chuû leân [AA]
  • 24.
  • 25.
    Ngang möùc 4buoàng tim •Thaáy caùc buoàng tim. Maøng ngoaøi tim taïo ñöôøng môø giöõa hai lôùp môõ [M] M
  • 26.
    Ngang möùc khoangsau chaân hoøanh
  • 27.
  • 28.
    Ngang möùc cung ñoängmaïch chuû 3 3 2 1/21 6 a
  • 29.
  • 30.
  • 31.
  • 32.
  • 33.
    Möùc caùc pheá quaûnphaân thuyø ñaùy 10 5 8 9 10 7/8 7 5 9
  • 34.
  • 35.
    Viêm phổi  NN:vi khuẩn, virus, nấm…  Đường vào: hệ thống khí phế quản, đường máu, trực tiếp (thành ngực, màng phổi..)  Phân loại: – Viêm phổi thùy – Viêm phế quản phổi – Viêm phổi mô kẻ
  • 36.
     Viêm phổithùy – Do phế cầu – Thường bắt đầu ở khoảng khí đọan xa, tạo các vùng đông đặc, tiến trỉên tòan bộ phổi – CT: các bóng mờ đồng nhất nhiều phân thùy hoặc tòan bộ thùy phổi dấu hiệu ‘khí phế quản đồ’
  • 37.
  • 38.
     Phế quảnphế viêm – Do tụ cầu – Bắt đầu trong hoặc quanh phế quản tiểu thùy, lan theo phế quản, tổn thương tòan bộ tiểu thùy phổi – CT: nhiều đám mờ phân bố không đồng nhất xen kẻ nhau giữa vùng phổi lành và vùng phổi tổn thương
  • 39.
    Phế quản phếviêm, do tụ cầu
  • 40.
     Viêm phổimô kẻ – Do virus, nấm, richkettsia – Tổn thương thành phế quản và tổ chức mô kẻ – CT: dày thành phế quản, tổn thương mô kẻ dạng nốt không đều hoặc dạng lưới
  • 41.
  • 42.
    Áp xe phổi Do vi khuẩn (tụ cầu, Klebsiella)  CT: GĐ đầu, vùng giảm đậm độ xung quanh là vùng đông đặc phổi Khi ổ áp xe rõ, tăng quang ngoại biên (thành ổ áp xe), không tăng quang trung tâm (vùng họai tử), mức khí dịch nếu thông với phế quản *CĐPB: u phổi họai tử, tụ mủ màng phổi
  • 43.
  • 44.
  • 45.
     CĐPB:  Uphổi họai tử thường tạo hang lệch tâm, thành dày hơn, bờ không đều  PB tụ mủ màng phổi: ổ áp xe tạo góc nhọn với thành ngực, mạch máu chạy thẳng vào ổ áp xe, kèm viêm nhu mô phổi xung quanh
  • 46.
    Tụ mủ màngphổi Áp xe phổi
  • 48.
  • 49.
    Bệnh phổi môkẻ  Bệnh phổi mô kẻ do nhiều NN, gây tổn thương vách các khoảng khí, diễn tiến bệnh mãn tính, tạo xơ mức độ nặng nhẹ khác nhau
  • 50.
    1a 2 3a 3b 4 1b1c 1. Daïng löôùi (reticular): (1a) nhoû (1b)vöøa (1c) thoâ. 2. Daïng noát-löôùi (reticulonodular) 3. Daïng noát (nodular): (3a) nhoû (3b) lôùn 4. Daïng ñöôøng (linear) CAÙC DAÏNG TOÅN THÖÔNG MOÂ KEÛ
  • 51.
    Caùc daïng toånthöông moâ keû treân HRCT
  • 52.
    Dấu hiệu bệnhmô kẻ cấp  Daøy vaùch lieân tieåu thuøy  Ñöôøng Kerley  Daøy thaønh pheá quaûn, boù maïch quanh pheá quaûn  Môø quanh roán  Môø, nhoøa caùc maïch maùu  Dòch maøng phoåi ít
  • 53.
    Dấu hiệu bệnhmô kẻ mãn Maøng phoåi taïng khoâng ñeàu -Daïng löôùi -nhoû, neùt: sôùm, nheï -thoâ: 75% buïi phoåi, sarcoidosis, vieâm phoåi keû maõn tính -Noát: 90% nhieãm khuaån, beänh moâ haït, di caên, buïi phoåi, -Ñöôøng: phuø moâ keû (tim), di caên baïch maïch.. -Toå ong:
  • 54.
    Daøy vaùch lieântieåu thuøy, trôn laùng+ daïng kính môø ôû b/n suy tim sung huyeát
  • 55.
  • 56.
  • 57.
    U phổi lànhtính  Hamartoma  Lipoma  Fibroma  Leiomyoma  Neurofibroma  Hạch trong phổi
  • 58.
     Đặc điểmnốt phổi lành tính – Bờ đều – Đậm độ mỡ – Đóng vôi – Sang thương vệ tinh – Thời gian gấp đôi thể tích <1 tháng  > 2 năm
  • 59.
  • 60.
    Ñoùng voâi trongbeänh lyù u haït laønh tính (granuloma)
  • 61.
    U phổi áctính  Ung thư biểu mô phế quản  U hạch  Di căn  Sarcoma  Carcinoid
  • 62.
    Ung thư biểumô phế quản – CT: ung thư phổi trung tâm Nằm ở phế quản trung tâm (phế quản thùy) KCC đậm độ mô mềm Hẹp lòng phế quản Xẹp phổi Xâm lấn trung thất, màng phổi, thành ngực
  • 63.
    Ung thư biểumô phế quản – CT: ung thư phổi ngoại biên Nằm ở ngoại biên Các dấu hiệu gợi ý ác tính
  • 64.
    Đặc điểm nốtphổi ác tính – Bờ không đều, tủa gai (radiating corona) – Co kéo màng phổi (pleural fingers, flags) – Hội tụ mạch máu (Rigler’s umbilical sign) – Hoại tử – Đóng vôi – Liên quan trong lòng phế quản – Thời gian nhân đôi: 1 tháng2 năm
  • 65.
    Ung thö phoåingoïai bieân/ Bôø khoâng ñeàu, tuûa gai/ Co keùo maøng phoåi
  • 66.
    Maïch maùu ñeánu (Rigler’s umbilical sign)
  • 67.
    Ung thö phoåi: Bôø khoâng ñeàu, tuûa gai/ Co keùo maøng phoåi/ Lieân quan pheá quaûn
  • 68.
    Ñaäm ñoä khoângñoàng nhaát do hoïai töû (Ung thö teá baøo lôùn keùm bieät hoùa)
  • 69.
    Ung thö phoåi Xaâmlaán trung thaát, tónh maïch chuû treân, ñoäng maïch phoåi (P)
  • 70.
    Di căn  Ungthư di căn phổi thường theo đường động mạch, ngoài ra còn theo đường bạch mạch, xâm lấn trực tiếp hoặc theo phế quản  Nguồn gốc: vú (22%), thận (11%), đầu cổ (10%), đại trực tràng (9%), gan, tử cung, tụy, buồng trứng, tiền liệt tuyến, dạ dày
  • 71.
    Di căn  CT:nhiều nốt (75%) có kích thước khác nhau, vô số nốt nhỏ, dày vách liên tiểu thùy, bó mạch quanh phế quản dạng nốt, thô, +/- đóng vôi, tạo hang, chảy máu
  • 72.
    Nam/41t-U gan dicaên phoåi
  • 73.
    Xẹp phổi  NN:U, viêm, nút nhầy, vật lạ  CT: Đậm độ mô mềm, tăng quang mạnh Kéo các nhánh mạch máu vùng phổi xẹp lại gần nhau Kéo rãnh màng phổi, trung thất, rốn phổi về phía xẹp Nâng cao vòm hoành, hẹp khoảng liên sườn bên phổi xep Tăng thông khí bù trừ
  • 74.
  • 75.
  • 76.
  • 77.
  • 78.
  • 79.
  • 80.
    Khí thũng phổi Dãn lớn bất thường các khoảng chứa khí ở phía xa của tiểu phế quản tận do hủy thành phế nang và mạng lưới các sợi đàn hồi  CT: tạo các vùng giảm đậm độ với thành bao quanh tổn thương không xác định rõ. Gồm các dạng:
  • 81.
    Khí thũng phổi –Khí thũng trung tâm tiểu thùy (centrilobular emphysema): vùng khí thũng quanh ĐM trung tâm thùy phổi thứ cấp, hay gặp ở phần cao thùy giữa – Khí thũng tòan bộ tiểu thùy (panlobular emphysema): vùng khí thũng lan tỏa, đồng nhất, hay gặp ở thùy dưới – Khí thũng cạnh vách (paraseptal emphysema): vùng khí thũng ngoại biên, cạnh vách liên tiểu thùy, cạnh lá tạng màng phổi, rãnh liên thùy – Khí thũng cạnh vùng sẹo (paracicatricial emphysema): khoảng khí lớn, hủy nhu mô phổi tại vùng sẹo
  • 82.
    Khí thũng trungtâm tiểu thùy
  • 83.
    Khí thuõng toaøntieåu thuyø
  • 84.
    Khí thuõng caïïnhvaùch lieân tieåu thuyø
  • 85.
    Dãn phế quản Dãn khu trú, không hồi phục các phế quản vừa và nhỏ  NN: nhiễm khuẩn, bẩm sinh, suy giảm miễn dịch, tắc nghẻn, xơ hóa phổi …  Theo Reid (1950): 3 lọai: – Dãn PQ hình ống (tubular) – Dãn PQ hình nang (saccular, cystic) – Dãn PQ hình tràng hạt (varicose)
  • 86.
     Vị trí:phân thùy đáy sau (50%), thùy giữa hoặc thùy lưỡi (10%)  CT: Dày thành và dãn lòng phế quản: dấu đường ray (tram line), vòng nhẫn (signet ring), tràng hạt (string of pearls), chùm nho (cluster of grapes) Nang có mức khí dịch Thay đổi xung quanh: xơ, tổ ong, rối lọan thông khí
  • 87.
    Daõn pheá quaûndaïng hình oáng vôùi daáu hieäu ñöôøng ray ( ‘tram line’ sign)
  • 88.
    Daõn pheá quaûndaïng hình oáng (cylindrical bronchoectasis) vaø hình nang (cystic bronchoestasis.)
  • 89.
    Thuyên tắc phổi Khuyết trong lòng mạch do cục máu đông  Vùng tăng đậm độ hình chêm, nền dựa vào màng phổi (nhồi máu phổi)  Tăng quang ngoại vi  Rối lọan thông khí
  • 90.
    Thuyeân taéc ñoängmaïch phoåi maõn
  • 91.
    Thuyeân taéc ñoängmaïch phoåi keøm nhoài maùu phoåi
  • 92.
    Một số bệnhlý trung thất
  • 93.
    Viêm trung thất Nguyên nhân: chấn thương, thủng cơ quan trung thất, viêm nhiễm lan tràn từ vùng hầu- cổ, hoặc phổi, màng phổi  CT: – Đậm độ cao vùng viêm, tụ mủ, mất cấu trúc mỡ bình thường của trung thất
  • 94.
    Viêm trung thất –Tụ khí (thủng, vi khuẩn) – Tăng quang viền của áp xe – Kết hợp (tràn dịch, khí, mủ màng phổi, áp xe dưới hoành, viêm xương sống)
  • 95.
    Vieâm trung thaát(Mediastinitis): maát môõ trung thaát, coù ñaäm ñoä khí [a], taêng quang vieàn. a
  • 96.
    U trung thất U trung thất trước: thymoma, teratoma, thyroid, lymphoma…  U trung thất sau: u có nguồn gốc thần kinh, di căn…  U trung thất giữa: lymphoma, di căn, u thực quản….
  • 97.
    U trung thất CT đánh giá u về vị trí, kích thước, đè đẩy xâm lấn các cấu trúc khác: mạch máu, khí phế quản, thành ngực, bản chất mô học (#68%) (lipoma, cyst…)  Các tổn thương kèm theo  Khả năng phẫu thuật u  Chẩn đoán phân biệt các bệnh lý khác
  • 98.
    Thymoma 2 cm,laønh tính, khoâng xaâm laán, b/n bò nhöôïc cô
  • 99.
  • 100.
    Phình động mạchchủ ngực  Nguyên nhân: Xơ vữa động mạch, chấn thương, bẩm sinh, viêm nhiễm, tăng áp động mạch…  Hình ảnh CT: lớn khẩu kính động mạch (>4- 5 cm), huyết khối trong lòng, đóng vôi thành mạch
  • 101.
    Phình động mạchchủ ngực, có huyết khối
  • 102.
    Bóc tách độngmạch chủ  Hình ảnh CT: – Đóng vôi nội mạc – Máu đông cấp – Lá nội mạc (intimal flag) – Lòng thật- giả (tăng quang, ép, thrombus) – Biến chứng
  • 103.
    Boùc taùch ñoängmaïch chuû type A
  • 104.
  • 105.
    Tràn dịch màngphổi  Nguyên nhân: suy tim, viêm nhiễm, u…  Hình ảnh CT: – Dịch ở phía sau khi bệnh nhân nằm ngữa – Đậm độ dịch, đậm độ cao trong chảy máu, dịch có protein cao – Màng phổi có thể dày, bắt quang sau tiêm (Dày đều trong viêm. Dày nốt thô, không đều trong u)
  • 106.
    Traøn dòch maøngphoåi töï do
  • 107.
    Traøn muû maøngphoåi khu truù
  • 108.
    Tràn khí màngphổi  Hình ảnh CT: – Vùng tràn khí đậm độ thấp (khí), không có nhu mô phổi – Phổi xẹp bị đẩy vào trong
  • 109.
  • 110.
    U màng phổi Hình ảnh CT: – Dày màng phổi > 1 cm, dạng nốt không đều, liên quan màng phổi trung thất, thường ở một bên (dấu hiệu ác tính), tăng quang mạnh không đồng nhất – Vào các rãnh màng phổi – Đóng vôi, dịch màng phổi – Xâm lấn thành ngực, trung thất, hạch lớn,
  • 111.
  • 112.
  • 113.
    Viêm nhiễm  Viêmxương tủy xương, viêm phần mềm hay từ phổi- màng phổi (lao, nấm…)  Hình ảnh CT: – Thay đổi cấu trúc, hình dáng – Có thể xóa lớp mỡ ngoài màng phổi – Tăng quang mạnh ở thành tổn thương
  • 114.
  • 115.
    U thành ngực Hình ảnh CT: – Hủy, biến dạng xương – Tổn thương phần mềm – Có thể xóa lớp mỡ ngoài màng phổi – Bắt thuốc cản quang thay đổi
  • 116.
  • 117.
  • 118.
    Xin cám ơnsự theo dõi của các anh chị và các bạn