6/19/2013 1
CHAÅN ÑOAÙN HÌNH AÛNH
BEÄNH TIM MAÉC PHAÛI KHAÙC
BS.NGUYEÃN QUYÙ KHOAÙNG
BS.NGUYEÃN QUANG TROÏNG
6/19/2013 2
DAØN BAØI
Beänh ñoäng maïch chuû.
Beänh tim do cao huyeát aùp.
Phình ÑMC.
Hoäi chöùng Marfan.
Beänh Takayasu.
Beänh cô tim.
Beänh cô tim giaõn nôû.
Beänh cô tim phì ñaïi.
Beänh cô tim haïn cheá.
6/19/2013 3
DAØN BAØI
Nhoài maùu cô tim vaø caùc bieán chöùng.
Thieáu maùu cô tim.
Nhoài maùu cô tim.
Caùc bieán chöùng cuûa Nhoài maùu cô tim:
Thoâng lieân thaát.
Hoäi chöùng Dressler.
Phình thaát.
Ñöùt nhuù cô.
6/19/2013 4
DAØN BAØI
Beänh maøng tim.
Traøn dòch maøng tim.
Vieâm maøng tim co thaét.
Nang maøng tim.
Môõ ngoaøi maøng tim.
6/19/2013 5
BEÄNH TIM DO CAO HUYEÁT AÙP
Thaát (T) daøy ñoàng taâm Bôø (T) baøu sau
ñoù bôø (T) traûi daøi,moûm tim nhö chuùc
xuoáng döôùi voøm hoaønh (T).
ÑMC leân cong qua (P) vaø bung roäng
(>6cm)(Deùroulement aortique).
Chaån ñoaùn phaân bieät:Heïp van ÑMC
vaø Xô vöõa ñoäng maïch ôû ngöôøi giaø.
6/19/2013 6
BEÄNH TIM DO CAO HUYEÁT AÙP
ÑMC coù theå ñoùng voâi.
Tuaàn hoaøn phoåi bình thöôøng.
Khi coù Suy tim coù Taùi phaân phoái
tuaàn hoaøn phoåi,Phuø phoåi caáp.
6/19/2013 7
BEÄNH TIM DO CAO HUYEÁT AÙP
DEROULEMENT AORTIQUE (a>6cm)
6/19/2013 8
PHÌNH ÑOÄNG MAÏCH CHUÛ
ÑMC ñöôïc chia ra ÑMC ngöïc vaø ÑMC
buïng:
ÑMC ngöïc goàm ÑMC leân,Quai ÑMC
vaø ÑMC xuoáng.
ÑMC buïng goàm ÑMC treân thaän vaø
ÑMC döôùi thaän.
Bình thöôøng khaåu kính ÑMC leân lôùn
nhaát:3,3cm.
6/19/2013 9
PHÌNH ÑOÄNG MAÏCH CHUÛ
Ñöôïc xem laø phình ÑMC khi ñöôøng kính
ÑMC>4cm;hình thoi, troøn,baùn nguyeät.
Ñoaïn leân:Giang mai,Xô vöõa ñoäng maïch,
Hoäi chöùng Marfan.
Ñoaïn ngang:Xô vöõa ñoäng maïch,Chaán
thöông.
Ñoaïn xuoáng:Xô vöõa ñoäng maïch.
6/19/2013 10
PHÌNH ÑOÄNG MAÏCH CHUÛ
-Vaùch ñoäng maïch chuû goàm 3 lôùp:
I intima,M media,A adventitia.
-Khi lôùp Intima bò raùch,maùu seõ
traøn vaøo lôùp Media ñeå taïo thaønh
loøng giaû (false lumen).
-Treân X quang quy öôùc,neáu coù
ñoùng voâi quai ÑMC,thì Daáu hieäu
Calcium (Calcium sign) gôïi yù ñeán
Phình ÑMC boùc taùch (khoaûng
caùch töø lôùp Intima ñoùng voâi ñeán
bôø ngoaøi quai ÑMC >10mm).
6/19/2013 11
PHÌNH ÑOÄNG MAÏCH CHUÛ
6/19/2013 12
PHÌNH ÑOÄNG MAÏCH CHUÛ
AORTIC DISSECTION
DeBakey:type I,II,III.
STANFORD:
-Type A:Type I+Type II.
-Type B:Type III.
6/19/2013 13
PHÌNH ÑOÄNG MAÏCH CHUÛ
MECHANISMS OF AORTIC REGURGITATION IN PROXIMAL AORTIC DISSECTION
6/19/2013 14
PHÌNH ÑOÄNG MAÏCH CHUÛ
AORTIC ANEURYSM
6/19/2013 15
PHÌNH ÑOÄNG MAÏCH CHUÛ
AORTIC ANEURYSM
6/19/2013 16
PHÌNH ÑOÄNG MAÏCH CHUÛ
ASCENDING AORTIC ANEURYSM
6/19/2013 17
PHÌNH ÑOÄNG MAÏCH CHUÛ
-Saccular mass in the right mediastinum
(large arrows).
-Curvilinear calcification (small arrow).
-The trachea is displaced posteriorly
(double black arrows).
-Curvilinear calcification (small arrow).
SACCULAR ANEURYSM OF ASCENDING AORTA
6/19/2013 18
PHÌNH ÑOÄNG MAÏCH CHUÛ
-The ascending aorta (large arrow).
-The trachea is displaced to the right side.
-A streak of calcium (small arrows) in the
intima denotes a thin aortic wall.
FUSIFORM ANEURYSM OF
THE ENTIRE THORACIC
AORTA
6/19/2013 19
PHÌNH ÑOÄNG MAÏCH CHUÛ
-The lucency representing the
intima flap (arrows) extends from
the aortic root around the arch.
-The false lumen is less dense than
the true lumen.
-Aortic regurgitation.
AORTIC DISSECTION
6/19/2013 20
PHÌNH ÑOÄNG MAÏCH CHUÛ
-The intima flap (arrows)
extending from the aortic
root distally into the
abdomen.
-Communication between
the false lumen and the
true lumen (curved
arrow).
AORTIC DISSECTION
6/19/2013 21
PHÌNH ÑOÄNG MAÏCH CHUÛ
AORTIC DISSECTION:T:true lumen,F:false lumen,I:intimal
flap,LV:contrast in the LV Aortic insufficiency.
6/19/2013 22
PHÌNH ÑOÄNG MAÏCH CHUÛ
Lobular mass density (arrows)
on the left side of the heart.
LAO
FUSIFORM ANEURYSM OF DESCENDING AORTA
6/19/2013 23
PHÌNH ÑOÄNG MAÏCH CHUÛ
ANEURYSM OF ABDOMINAL AORTA: EXTENSIVE CALCIFICATION
6/19/2013 24
PHÌNH ÑOÄNG MAÏCH CHUÛ
3 YEARS PRIOR: Normal
appearing aorta.
Enlargement of the aortic
knob (arrow).
AORTIC DISSECTION
6/19/2013 25
PHÌNH ÑOÄNG MAÏCH CHUÛ
Enlarged, elongated,
tortuous, descending aorta.
TWO WEEKS LATER
-Increase in the width of the
descending aorta (large arrows).
-Left pleural effusion (small arrows).
DISSECTING ANEURYSM
6/19/2013 26
PHÌNH ÑOÄNG MAÏCH CHUÛ
ASYMPTOMATIC FIVE DAYS LATER:Left hemothorax,the aortic
outline has been obliterated by the blood
RUPTURE OF AORTIC ANEURYSM
6/19/2013 27
PHÌNH ÑOÄNG MAÏCH CHUÛ
A:left hilar mass (arrow).
B:mass adjacent to the proximal descending aorta (arrow).
SACCULAR ANEURYSM
6/19/2013 28
PHÌNH ÑOÄNG MAÏCH CHUÛ
TRUE CHANNEL:small arrows.
FALSE CHANNEL:double-headed arrows).
DISSECTING ANEURYSM
6/19/2013 29
PHÌNH ÑOÄNG MAÏCH CHUÛ
A tumor or an aneurysm?
Opacification of the aorta
KINGKING OF AORTA
6/19/2013 30
PHÌNH ÑOÄNG MAÏCH CHUÛ
A:Dilated aortic arch.
T:Displaced trachea.
B:Compressed left main
bronchus.
-All four cardiac chambers are
dilated.
AORTIC ANEURYSM /
IDIOPATHIC DILATED
CARDIOMYOPATHY
6/19/2013 31
PHÌNH ÑOÄNG MAÏCH CHUÛ
6/19/2013 32
PHÌNH ÑOÄNG MAÏCH CHUÛ
FALSE ANEURYSM: The intima and media
are penetrated.False aneurysm typically has
a narrow neck.
(TRUE ANEURYSM: contain all three layers).
6/19/2013 33
PHÌNH ÑOÄNG MAÏCH CHUÛ
FALSE ANEURYSM: narrow neck.
6/19/2013 34
PHÌNH ÑOÄNG MAÏCH CHUÛ
-False aneurysm in the region of
the ligamentum arteriosum.
-The patient was involved in an
automobile accident 3 months
previously.
TRAUMATIC AORTIC ANEURYSM
6/19/2013 35
PHÌNH ÑOÄNG MAÏCH CHUÛ
18-year-old involved in
motorcycle accident.
-Widening of the mediastinum.
6/19/2013 36
PHÌNH ÑOÄNG MAÏCH CHUÛ
RUPTURE OF THE AORTA
WITH FALSE ANEURYSM.
6/19/2013 37
PHÌNH ÑOÄNG MAÏCH CHUÛ
AORTIC DISSECTION
6/19/2013 38
PHÌNH ÑOÄNG MAÏCH CHUÛ
AORTIC DISSECTION:T true lumen,F:false lumen,I:intima flap.
6/19/2013 39
PHÌNH ÑOÄNG MAÏCH CHUÛ
AORTIC DISSECTION:AV:aortic valve,T true lumen,F:false lumen,I:intima flap.
6/19/2013 40
PHÌNH ÑOÄNG MAÏCH CHUÛ
6/19/2013 41
PHÌNH ÑOÄNG MAÏCH CHUÛ
6/19/2013 42
PHÌNH ÑOÄNG MAÏCH CHUÛ
6/19/2013 43
PHÌNH ÑOÄNG MAÏCH CHUÛ
6/19/2013 44
PHÌNH ÑOÄNG MAÏCH CHUÛ
MRI-INFRARENAL ABDOMINAL AORTIC ANEURYSM
6/19/2013 45
PHÌNH ÑOÄNG MAÏCH CHUÛ
As.Aorta PA
True lumen False lumen Thrombosis
6/19/2013 46
PHÌNH ÑOÄNG MAÏCH CHUÛ
PENETRATING AORTIC
ATHEROSCLEROTIC ULCER
-Arrow:subintimal hematoma.
-Arrowhead:displaced intimal
calcification.
DẤU HIỆU MẢNG VÔI
(CALCIUM SIGN)
Mảng vữa xơ của ĐMC nằm ở lớp áo trong, nếu vôi hoá ta sẽ
thấy. Khi bị phình ĐMC bóc tách, máu len vào lớp áo giữa,
làm gia tăng khoảng cách giữa lớp intima và adventitia. Nghĩ
đến phình ĐMC bóc tách khi khoảng cách từ mảng vôi hoá
đến bờ ngoài quai ĐMC > 10 mm.
6/19/2013 49
PHÌNH ÑOÄNG MAÏCH CHUÛ
AORTIC DISSECTION
-Arrows:displaced intimal
calcification.
-Small bilateral pleural
effusions.
-Mild bibasilar atelectasis.
6/19/2013 50
PHÌNH ÑOÄNG MAÏCH CHUÛ
6/19/2013 51
PHÌNH ÑOÄNG MAÏCH CHUÛ
6/19/2013 52
PHÌNH ÑOÄNG MAÏCH CHUÛ
AORTIC DISSECTION
-Arrows:intimal flap.
-Small bilateral pleural
effusions.
-V:SVC.
6/19/2013 53
PHÌNH ÑOÄNG MAÏCH CHUÛ
AORTIC DISSECTION
-t:true lumen.
-f:false lumen.
6/19/2013 54
PHÌNH ÑOÄNG MAÏCH CHUÛ
AORTIC DISSECTION
WITH LEFT RENAL
ISCHEMIA
-Arrow:intimal flap.
-K:ischemia of the
posterior aspect of the
left kidney.
6/19/2013 55
PHÌNH ÑOÄNG MAÏCH CHUÛ
RUPTURED AORTIC
DISSECTION
-Arrowheads:intimal flap.
-Arrow:nasogastric tube.
-Hemorrhage infiltrates
the soft tissues around the
descending aorta.
6/19/2013 56
PHÌNH ÑOÄNG MAÏCH CHUÛ
MSCT-AORTIC DISSECTION
6/19/2013 57
PHÌNH ÑOÄNG MAÏCH CHUÛ
MSCT-AORTIC DISSECTION
(3D-surface display)
6/19/2013 58
PHÌNH ÑOÄNG MAÏCH CHUÛ
AORTIC ANEURYSM
6/19/2013 59
PHÌNH ÑOÄNG MAÏCH CHUÛ
Click here for movie
6/19/2013 60
PHÌNH ÑOÄNG MAÏCH CHUÛ
CT MRI
6/19/2013 61
MRA
AORTIC DISSECTION
6/19/2013 62
PHÌNH ÑOÄNG MAÏCH CHUÛ
AORTIC DISSECTION
6/19/2013 63
PHÌNH ÑOÄNG MAÏCH CHUÛ
AORTIC ANEURYSM
Thrombosis in
the aortic aneurysm
6/19/2013 64
PHÌNH ÑOÄNG MAÏCH CHUÛ
The fusiform aneurysm
in the ascending aorta
does not involve the
aortic root.
LUETIC ANEURYSM
6/19/2013 65
PHÌNH ÑOÄNG MAÏCH CHUÛ
CALCIFICATION IN THE ASCENDING
AORTA – SYPHILITIC AORTITIS
6/19/2013 66
PHÌNH ÑOÄNG MAÏCH CHUÛ
LUETIC AORTITIS
-“Egg-shell” calcification
extends from the aortic
annulus through the entire
thoracic aorta.
-Calcification of the
ascending aorta is also seen
in pure atherosclerosis
and,rarely,in Takayasu’s
arteritis.
6/19/2013 67
PHÌNH ÑOÄNG MAÏCH CHUÛ
Ascending aortic aneurysm with stenotic bicuspid aortic valve (arrows)
is domed in this systolic frame REITER’S SYNDROME
6/19/2013 68
PHÌNH ÑOÄNG MAÏCH CHUÛ
Erosion of the vertebral bodies due
to pulsations of an aneurysm.
Aortography reveals the saccular
aneurysm (arrows).
Note:bulging of the intervertebral
cartilage (which resists erosion).
55 yo male patient with abdominal pain and
back pain
Ultrasound examinaton: Presence of “Ying Yan sign”: Aortic
aneurysm
6/19/2013 72
HOÄI CHÖÙNG MARFAN
Beänh lyù cuûa moâ lieân keát do thieáu huït
fibrillin coù yeáu toá gia ñình (chromosome
15q15-21).
Aûnh höôûng leân heä tim-maïch,heä xöông
vaø maét.Vôùi heä tim-maïch,toån thöông xaûy
ra >50% ngöôøi lôùn bò Hoäi chöùng Marfan.
6/19/2013 73
HOÄI CHÖÙNG MARFAN
Söï thoaùi hoùa cuûa lôùp Media daãn tôùi giaõn
voøng van ÑMC vaø ÑMC leân.Tieáp ñeán laø
hôû van ÑMC Suy thaát (T).
Boùc taùch ÑMC laø bieán chöùng thöôøng
gaëp vaø thöôøng laø nguyeân nhaân gaây töû
vong.
Hôû van 2 laù thöôøng gaëp ôû treû em do coät
cô dö thöøa Sa van 2 laù.
6/19/2013 74
HOÄI CHÖÙNG MARFAN
ECTOPIA LENTIS THUMB SIGN
6/19/2013 75
HOÄI CHÖÙNG MARFAN
LONG EXTREMITIES AND DIGITS,TALL STATURE AND PECTUS CARINATUM
6/19/2013 76
HOÄI CHÖÙNG MARFAN
-The aneurysm involves both the sinuses of Valsalva and the proximal
half of the ascending aorta.
-Aortic regurgitation.
ANNULOAORTIC ECTASIA
6/19/2013 77
HOÄI CHÖÙNG MARFAN
-The aneurysm involves both the
sinuses of Valsalva and the
proximal half of the ascending
aorta.
-Aortic regurgitation.
ANNULOAORTIC ECTASIA
6/19/2013 78
HOÄI CHÖÙNG MARFAN
ASCENDING AORTIC ANEURYSM
6/19/2013 79
HOÄI CHÖÙNG MARFAN
ASCENDING AORTIC ANEURYSM
6/19/2013 80
HOÄI CHÖÙNG MARFAN
A:aortic aneurysm of
ascending aorta.
Arrows:smaller aneurysm of
descending aorta.
MARFAN’S SYNDROME
6/19/2013 81
HOÄI CHÖÙNG MARFAN
SPIN-ECHO MRI:
Dilated ascending aorta (5cm).
A 26-year-old woman with
MARFAN’S SYNDROME
6/19/2013 82
BEÄNH TAKAYASU
Vieâm ñoäng maïch Takayasu laø moät beänh
vieâm maïn tính maø nguyeân nhaân chöa
roõ,laøm toån thöông ÑMC vaø caùc nhaùnh
ñoäng maïch lôùn.
Beänh ñöôïc moâ taû laàn ñaàu tieân bôûi moät
nhaø Nhaõn khoa ngöôøi Nhaät:Takayasu
vaøo naêm 1908.
6/19/2013 83
BEÄNH TAKAYASU
Thöôøng gaëp ôû ngöôøi treû <40 tuoåi,
Nöõ/Nam=8/1.
Beänh laøm taêng saûn lôùp Intima,thoaùi hoùa
lôùp Media vaø xô hoùa lôùp Adventitia
Haäu quaû laø laøm heïp loøng ñoaïn ñoäng
maïch bò toån thöông 85% soá cas,laøm
giaõn loøng ñoäng maïch 2% soá cas vaø vöøa
heïp vöøa giaõn chieám 13% soá cas.
6/19/2013 84
BEÄNH TAKAYASU
6/19/2013 85
BEÄNH TAKAYASU
THORACIC AORTOGRAM:No direct filling of any of the major arteries arising from
the aorta except the coronary arteries.
Delayed film (right):collateral channels faintly fill the carotid and vertebral systems.
6/19/2013 86
BEÄNH TAKAYASU
-Clinical features of coarctation.
-”rat-tail” angiographic appearance of
the descending aorta.
6/19/2013 87
BEÄNH TAKAYASU
Stenosis in a long segment of
the aorta (thoracoabdominal)
extending across the aortic
hiatus of the diaphragm.
6/19/2013 88
BEÄNH TAKAYASU
6/19/2013 89
BEÄNH TAKAYASU
-Ascending aortic aneurysm.
-Stenosis of the proximal left common
carotid artery (arrowheads) and left
subclavian artery (open arrowheads).
6/19/2013 90
BEÄNH TAKAYASU
Extensive thin-line
calcification associated with
a diffusely dilated aorta in a
30-year-old woman.
TAKAYASU’S ARTERITIS
6/19/2013 91
BEÄNH CÔ TIM
ÑAÏI CÖÔNG
Nguyeân nhaân:
Theå tieân phaùt:Chöa roõ.
Theå thöù phaùt:Ngoä ñoäc,Nhieãm truøng,
Bieán döôõng.
6/19/2013 92
BEÄNH CÔ TIM
ÑAÏI CÖÔNG
Phaân loaïi:
Beänh cô tim giaõn nôû (Dilated
cardiomyopathy).
Beänh cô tim phì ñaïi (Hypertrophic
obstructive cardiomyopathy).
Beänh cô tim haïn cheá (Restrictive
cardiomyopathy).
6/19/2013 93
BEÄNH CÔ TIM
BEÄNH CÔ TIM GIAÕN NÔÛ
Coøn goïi laø Beänh cô tim sung huyeát.
Nguyeân nhaân:Phaàn lôùn khoâng tìm ra
nguyeân nhaân.
Di truyeàn:6,5%.
Dinh döôõng:Thieáu Vitamin B1.
Nghieän röôïu,Thuoác (Adriamycine).
Nhieãm truøng (Vi khuaån,virus).
Beänh collagen maïch maùu.
Sau sanh…
6/19/2013 94
BEÄNH CÔ TIM
BEÄNH CÔ TIM GIAÕN NÔÛ
Laâm saøng:Thöôøng thaàm laëng vaø töø töø.
Khôûi ñaàu thöôøng laø Suy tim.
Coù töøng ñôït Nhoài maùu phoåi.
Coù khi loaïn nhòp.
Coù theå ñoät töû.
6/19/2013 95
BEÄNH CÔ TIM
BEÄNH CÔ TIM GIAÕN NÔÛ
X quang:
Giaõn nôû caùc buoàng tim+Co boùp
keùm Tim to hình baàu,deã laàm vôùi
Traøn dòch maøng tim,Beänh Ebstein.
Hôû van 2 laù,Hôû van 3 laù.
Taùi phaân phoái tuaàn hoaøn phoåi.
6/19/2013 96
BEÄNH CÔ TIM
BEÄNH CÔ TIM GIAÕN NÔÛ
Sieâu aâm:
Giaõn roäng caùc buoàng tim.
EF giaûm roõ.
Thöôøng coù spontaneous contrast
(“smoke”) trong buoàng Thaát (T),coù theå
thaáy Huyeát khoái trong Thaát (T).
Hôû van 2 laù,3 laù.
6/19/2013 97
BEÄNH CÔ TIM
BEÄNH CÔ TIM GIAÕN NÔÛ
6/19/2013 98
BEÄNH CÔ TIM
BEÄNH CÔ TIM GIAÕN NÔÛ
6/19/2013 99
BEÄNH CÔ TIM
BEÄNH CÔ TIM GIAÕN NÔÛ
-Enlarged all chambers.
-Redistribution.
-Slight pulmonary edema.
-Small right pleural effusion.
AFTER FULL TREATMENT
-Normal heart size.
-Normal pulmonary vasculature.
6/19/2013 100
BEÄNH CÔ TIM
BEÄNH CÔ TIM PHÌ ÑAÏI
Ñaëc ñieåm laø phì ñaïi khoâng ñoái xöùng
Thaát (T) (Vaùch lieân thaát daøy hôn thaønh
sau thaát (T)) vaø buoàng tim khoâng giaõn.
Nguyeân nhaân:
Di truyeàn:50%.
Taêng Catecholamin.
Roái loaïn chuyeån hoùa Calci.
6/19/2013 101
BEÄNH CÔ TIM
BEÄNH CÔ TIM PHÌ ÑAÏI
Cô cheá:
Thaønh thaát daøy do phì ñaïi caùc teá baøo
cô tim Caûn trôû söï höùng ñaày maùu.
Do söï daøy khoâng caân ñoái cuûa vaùch
lieân thaát Ngheõn buoàng toáng Thaát(T).
Do coät cô bò dòch chuyeån ra
tröôùc Chuyeån ñoäng ra tröôùc cuûa van
2 laù trong thì taâm thu Hôû van 2 laù.
6/19/2013 102
BEÄNH CÔ TIM
BEÄNH CÔ TIM PHÌ ÑAÏI
Laâm saøng:
Khoù thôû do RLCN taâm tröông Thaát (T).
Côn ñau thaét ngöïc:Thieáu maùu cô tim
do taêng khoái löôïng cô tim.
Ngaát khi gaéng söùc:do loaïn nhòp,coù theå
ñoät töû.
6/19/2013 103
BEÄNH CÔ TIM
BEÄNH CÔ TIM PHÌ ÑAÏI
X quang:
Tim to ít hoaëc vöøa.
Neáu coù Hôû van 2 laù thì Nhó (T) to.
Angiography:Loøng tim nhoû,hôû van 2 laù.
Chaån ñoaùn phaân bieät:
Heïp van ÑMC (Beänh cô tim phì ñaïi
khoâng coù phình ÑMC leân).
Hieän nay chaån ñoaùn nhôø Sieâu aâm,MRI.
6/19/2013 104
BEÄNH CÔ TIM
BEÄNH CÔ TIM PHÌ ÑAÏI
Sieâu aâm:
ASH (+):Asymmetric septal hypertrophy.
(Duøng TM mode ño ôû thì taâm tröông:
IVS/LVPW≥1,3).
SAM (+):Systolic anterior motion of MV.
Ngheõn buoàng toáng Thaát (T)(△P thay ñoåi
moãi ngaøy).
Hôû 2 laù vôùi ñoä naëng thay ñoåi moãi ngaøy.
6/19/2013 105
BEÄNH CÔ TIM
BEÄNH CÔ TIM PHÌ ÑAÏI
6/19/2013 106
BEÄNH CÔ TIM
BEÄNH CÔ TIM PHÌ ÑAÏI
6/19/2013 107
BEÄNH CÔ TIM
BEÄNH CÔ TIM PHÌ ÑAÏI
6/19/2013 108
BEÄNH CÔ TIM
BEÄNH CÔ TIM PHÌ ÑAÏI
Extreme left ventricular hypertrophy
6/19/2013 109
BEÄNH CÔ TIM
BEÄNH CÔ TIM PHÌ ÑAÏI
End-diastolic RAO left
ventriculogram Normal
size and shape of the
left ventricle.
End-systolic RAO left ventriculogram
Small left ventricular cavity with mild mitral
regurgitation.Increased distance between the
ventricular cavity and the coronary arteries
Myocardium becomes thickened in systole
HCM (Hypertrophic cardiomyopathy).
6/19/2013 110
BEÄNH CÔ TIM
BEÄNH CÔ TIM PHÌ ÑAÏI
6/19/2013 111
BEÄNH CÔ TIM
BEÄNH CÔ TIM PHÌ ÑAÏI
6/19/2013 112
BEÄNH CÔ TIM
BEÄNH CÔ TIM PHÌ ÑAÏI
Asymmetric septal thickening (23mm) and a small left ventricular cavity.
6/19/2013 113
BEÄNH CÔ TIM
BEÄNH CÔ TIM PHÌ ÑAÏI
End-diastolic magnetic
resonance angiogram
Asymmetric hypertrophy
with septal thickening (S).
End-systolic magnetic
resonance angiogram
Myocardial thickening that
affects the entire myocardium.
6/19/2013 114
BEÄNH CÔ TIM
BEÄNH CÔ TIM PHÌ ÑAÏI
Oblique cine MRA (outfow 2-
chamber view) Prolapse
(arrow) of the posterior mitral
leaflet in early systole.
Oblique cine MRA (outfow 2-
chamber view) Prolapse of the
posterior mitral leaflet with a small
signal intensity loss due to
regurgitation (arrow) HCM.
6/19/2013 115
MRA
NORMAL HEART
6/19/2013 116
MRA
NORMAL HEART
6/19/2013 117
BEÄNH CÔ TIM
BEÄNH CÔ TIM PHÌ ÑAÏI
HYPERTROPHIC CARDIOMYOPATHY
Myocardial hypertrophy
6/19/2013 118
BEÄNH CÔ TIM
BEÄNH CÔ TIM PHÌ ÑAÏI
HYPERTROPHIC CARDIOMYOPATHY
Myocardial hypertrophy
6/19/2013 119
BEÄNH CÔ TIM
BEÄNH CÔ TIM HAÏN CHEÁ
Coøn goïi laø Beänh cô tim thaâm nhieãm,ñaëc
tröng bôûi baát thöôøng chöùc naêng taâm
tröông(Taêng ñoä cöùng vaùch tim Haïn
cheá ñoå ñaày thaát),trong khi chöùc naêng
taâm thu bình thöôøng hoaëc chæ giaûm nheï.
Bieåu hieän laâm saøng gioáng nhö Vieâm
maøng tim co thaét maïn tính.
6/19/2013 120
BEÄNH CÔ TIM
BEÄNH CÔ TIM HAÏN CHEÁ
Nguyeân nhaân:
Amyloidosis.
Sarcoidosis.
Hemochromatosis.
Loeffler’s eosinophilic endocarditis.
Infiltration leuceùmique.
Fibrose endomyocardique.
6/19/2013 121
BEÄNH CÔ TIM
BEÄNH CÔ TIM HAÏN CHEÁ
6/19/2013 122
BEÄNH CÔ TIM
BEÄNH CÔ TIM HAÏN CHEÁ
Trong ñoù hay gaëp nhaát laø Amyloidosis.
Do laéng ñoïng moät protein baát thöôøng
ôû nhieàu moâ,cô quan.
Thaâm nhieãm laøm daøy taát caû caùc thaønh
phaàn cuûa tim:cô,vaùch,van Hôû taát caû
caùc van tim.
TDMT töø ít ñeán vöøa.
20% beänh nhaân cheát vì Suy tim.
6/19/2013 123
BEÄNH CÔ TIM
BEÄNH CÔ TIM HAÏN CHEÁ
-Amyloid infiltration in the
ventricular septum,left
ventricular free wall and
apex (arrows).
-Enlarged atria.
6/19/2013 124
BEÄNH CÔ TIM
BEÄNH CÔ TIM HAÏN CHEÁ
Laâm saøng: Beänh lyù hieám.
Meät khi gaéng söùc.
Phuø chi.
Suy tim.
X quang:
Tim to ít.
Taêng aùp TM phoåi.
ÑM phoåi (P) & (T) to ít.
6/19/2013 125
BEÄNH CÔ TIM
BEÄNH CÔ TIM HAÏN CHEÁ
Sieâu aâm:
Daøy ñoái xöùng Thaát (T).
Thaønh sau Thaát (T) vaø vaùch lieân thaát
coù hoài aâm laám taám (ground-glass).
Hôû van 2 laù,3 laù naëng hôn Hôû van
ÑMC,ÑMP.
TDMT (+) (++).
6/19/2013 126
BEÄNH CÔ TIM
BEÄNH CÔ TIM HAÏN CHEÁ
Chaån ñoaùn phaân bieät:
Heïp TM phoåi.
Myxome nhó (T).
Vieâm maøng ngoaøi tim co thaét.
Chaån ñoaùn xaùc ñònh:Giaûi phaãu beänh.
6/19/2013 127
BEÄNH CÔ TIM
BEÄNH CÔ TIM HAÏN CHEÁ
6/19/2013 128
BEÄNH CÔ TIM
BEÄNH CÔ TIM HAÏN CHEÁ
-Thickening of the LV due to
infiltration.
-Thickening of the valves
and biatrial enlargement.
6/19/2013 129
BEÄNH CÔ TIM
BEÄNH CÔ TIM HAÏN CHEÁ
SPIN-ECHO MRI:
-Variable high density signal within
the myocardium.
-Dilated right atrium (closed curved
arrow).
-Enlarged IVC (open curved arrow).
-IVS has an abnormal contour
(straight arrow) High right
ventricular pressures.
RESTRICTIVE CARDIOMYOPATHY
(AMYLOID CARDIOMYOPATHY).
6/19/2013 130
LEFT VENTRICULAR ABNORMALITIES
IN THE CARDIOMYOPATHIES
DILATED RESTRICTIVE HYPERTROPHIC
1.LV cavity size
2.Free wall
thickness
3.Mitral
regurgitation
4.Wall motion
5.Mural thrombi
6.Systolic
function
7.Diastolic
function
8.Ejection
fraction
9.Cardiac output
-Increased
-Slightly increased,
normal,or decreased
-Mild to moderate
-Global hypokinesis
-Frequently
-Decreased
-Normal
-Decreased
-Decreased
-Normal to increased
-Slightly to
moderately increased
-Variable
-Normal to decreased
-Occasionally
-Normal
-Decreased
-Normal to decreased
-Normal to decreased
-Normal to decreased
-Septal to free wall ratio
> 1.3
-Obstruction(-):none to mild
Obstruction(+):mild to severe
-Hyperkinetic
-None
-Normal to increased
-Normal to decreased
-Normal to increased
-Decreased,normal,or
increased
6/19/2013 131
NHOÀI MAÙU CÔ TIM & BIEÁN CHÖÙNG
THIEÁU MAÙU CÔ TIM
Goïi laø Thieáu maùu cuïc boä cô tim hay Suy
ñoäng maïch vaønh maïn khi cô tim khoâng
ñöôïc töôùi maùu ñaày ñuû do beänh lyù cuûa
ñoäng maïch vaønh.
Coù nhieàu nguyeân nhaân,nhöng >90% laø
do Xô vöõa ñoäng maïch.
6/19/2013 132
NHOÀI MAÙU CÔ TIM & BIEÁN CHÖÙNG
THIEÁU MAÙU CÔ TIM
Chaån ñoaùn döïa vào:Lâm sàng, ECG, các
men tim, Sieâu aâm,Chuïp ÑM vaønh,
MSCT,MRI,nhấp nháy đồ.
X quang qui öôùc:
Boùng tim bình thöôøng.
Ñoùng voâi ôû ÑM vaønh.
6/19/2013 133
NHOÀI MAÙU CÔ TIM & BIEÁN CHÖÙNG
THIEÁU MAÙU CÔ TIM
6/19/2013 134
NHOÀI MAÙU CÔ TIM & BIEÁN CHÖÙNG
THIEÁU MAÙU CÔ TIM
RIGHT CORONARY ARTERY
A.Plaque of atheroma (arrow).
B.Encircled lumen of the artery
(arrow-two years later).
6/19/2013 135
NHOÀI MAÙU CÔ TIM & BIEÁN CHÖÙNG
THIEÁU MAÙU CÔ TIM
Calcification of the proximal branches of both anterior
descending and circumflex coronary arteries.
6/19/2013 136
NHOÀI MAÙU CÔ TIM & BIEÁN CHÖÙNG
THIEÁU MAÙU CÔ TIM
Calcification in the left anterior
descending (LAD) and the left
circumflex arteries.
6/19/2013 137
NHOÀI MAÙU CÔ TIM & BIEÁN CHÖÙNG
THIEÁU MAÙU CÔ TIM
Calcification in the left
main coronary artery
6/19/2013 138
NHOÀI MAÙU CÔ TIM & BIEÁN CHÖÙNG
THIEÁU MAÙU CÔ TIM
COLORS ALL STRUCTURES WITH AN
ATTENUATION OF GREATER THAN
130HU PINK No calcium is present
in the LAD or diagonal branch.
Calcification in the LAD artery.
6/19/2013 139
NHOÀI MAÙU CÔ TIM & BIEÁN CHÖÙNG
THIEÁU MAÙU CÔ TIM
Calcification in the LM, LAD
arteries.
Calcification in the circumflex
artery
6/19/2013 140
6/19/2013 141
NHOÀI MAÙU CÔ TIM & BIEÁN CHÖÙNG
THIEÁU MAÙU CÔ TIM
6/19/2013 142
NHOÀI MAÙU CÔ TIM & BIEÁN CHÖÙNG
THIEÁU MAÙU CÔ TIM
6/19/2013 143
Động mạch vành phải
Động mạch vành
xuống trước trái
Hẹp 80% LAD
6/19/2013 147
NHOÀI MAÙU CÔ TIM & BIEÁN CHÖÙNG
THIEÁU MAÙU CÔ TIM
Normal perfusion
Myocardial ischemia:LAD and right
coronary artery territories.
6/19/2013 148
NHOÀI MAÙU CÔ TIM & BIEÁN CHÖÙNG
NHOÀI MAÙU CÔ TIM
Beänh coù taàn suaát töû vong cao #30%.
90% ôû beänh nhaân Xô vöõa ñoäng maïch.
Maûng xô vöõa bò nöùt,loeùt taïo laäp cuïc
maùu ñoâng laøm taéc ngheõn caáp tính ÑMV.
6/19/2013 149
NHOÀI MAÙU CÔ TIM & BIEÁN CHÖÙNG
NHOÀI MAÙU CÔ TIM
Hoäi chöùng Suy ÑMV caáp (laâm saøng):
Taéc ngheõn ÑMV taïm thôøi<30 phuùt:
Côn ñau thaét ngöïc khoâng oån ñònh.
Taéc ngheõn ÑMV<60 phuùt:
Nhoài maùu cô tim khoâng soùng Q.
Taéc ngheõn ÑMV>60 phuùt:
Nhoài maùu cô tim coù soùng Q.
6/19/2013 150
NHOÀI MAÙU CÔ TIM & BIEÁN CHÖÙNG
NHOÀI MAÙU CÔ TIM
X quang qui öôùc:
Boùng tim hôi to hoaëc to.
OAP khi vuøng nhoài maùu >25% khoái
thaát (T).
6/19/2013 151
NHOÀI MAÙU CÔ TIM & BIEÁN CHÖÙNG
NHOÀI MAÙU CÔ TIM
-Enlarged heart size.
-Pulmonary edema due to left
heart failure.
ACUTE MYOCARDIAL INFARCTION
6/19/2013 152
NHOÀI MAÙU CÔ TIM & BIEÁN CHÖÙNG
BIEÁN CHÖÙNG
Thoâng lieân thaát:0,5-1% caùc tröôøng hôïp.
Xuaát hieän vaøi tuaàn vaøi thaùng sau NMCT.
2/3 naèm ôû phaàn tröôùc gaàn moûm.1/3 naèm
ôû phaàn sau.
Hoäi chöùng Dressler:<20%.
Xuaát hieän vaøi tuaàn vaøi thaùng sau NMCT.
Tim to do Traøn dòch maøng tim.
Traøn dòch maøng phoåi,Vieâm ñaùy phoåi.
6/19/2013 153
NHOÀI MAÙU CÔ TIM & BIEÁN CHÖÙNG
BIEÁN CHÖÙNG
6 weeks after myocardial infarction:
-Pericardial effusion.
-Bilateral pleural effusions.
-Consolidation of the left lung base. DRESSLER’S SYNDROME
6/19/2013 154
NHOÀI MAÙU CÔ TIM & BIEÁN CHÖÙNG
BIEÁN CHÖÙNG
4 weeks after myocardial
infarction:
-Pericardial effusion.
-Left pleural effusion.
-Consolidation of the left
lung base.
6 weeks later.
-Decreased heart size.
-Decreased
pleuropneumonic process.
3 months later.
-Normal heart size.
-Normal lung fields.
DRESSLER’S SYNDROME
6/19/2013 155
NHOÀI MAÙU CÔ TIM & BIEÁN CHÖÙNG
BIEÁN CHÖÙNG
Phình thaát:12-15% caùc tröôøng hôïp.
True aneurysm: NMCT Phình thaát.
Thöôøng ôû vuøng moûm phía tröôùc.
False aneurysm: Leõ ra vôõ tim nhöng
nhôø maøng ngoaøi tim bao boïc Phình
to ra.Thöôøng ôû vuøng sau beân hoaëc
maët döôùi.
X quang:Bôø tim phình ra,coù theå ñoùng
voâi.
6/19/2013 156
NHOÀI MAÙU CÔ TIM & BIEÁN CHÖÙNG
BIEÁN CHÖÙNG
6/19/2013 157
NHOÀI MAÙU CÔ TIM & BIEÁN CHÖÙNG
BIEÁN CHÖÙNG
6/19/2013 158
NHOÀI MAÙU CÔ TIM & BIEÁN CHÖÙNG
BIEÁN CHÖÙNG
VENTRICULAR ANEURYSM
6/19/2013 159
NHOÀI MAÙU CÔ TIM & BIEÁN CHÖÙNG
BIEÁN CHÖÙNG
CALCIFICATION IN THE LEFT VENTRICULAR ANEURYSM
6/19/2013 160
NHOÀI MAÙU CÔ TIM & BIEÁN CHÖÙNG
BIEÁN CHÖÙNG
CALCIFIED RIGHT VENTRICULAR ANEURYSM
6/19/2013 161
NHOÀI MAÙU CÔ TIM & BIEÁN CHÖÙNG
BIEÁN CHÖÙNG
VENTRICULAR ANEURYSM
6/19/2013 162
NHOÀI MAÙU CÔ TIM & BIEÁN CHÖÙNG
BIEÁN CHÖÙNG
6/19/2013 163
NHOÀI MAÙU CÔ TIM & BIEÁN CHÖÙNG
BIEÁN CHÖÙNG
Thinning of the myocardial wall (arrow).
OLD SEPTAL INFARCTION
6/19/2013 164
NHOÀI MAÙU CÔ TIM & BIEÁN CHÖÙNG
BIEÁN CHÖÙNG
FALSE ANEURYSM
6/19/2013 165
NHOÀI MAÙU CÔ TIM & BIEÁN CHÖÙNG
BIEÁN CHÖÙNG
FALSE ANEURYSM
6/19/2013 166
NHOÀI MAÙU CÔ TIM & BIEÁN CHÖÙNG
BIEÁN CHÖÙNG
Chaån ñoaùn phaân bieät:
Nang maøng tim:Thöôøng ôû goùc taâm
hoaønh (P).
U tuyeán öùc:ÔÛ treân vaø tröôùc.
False aneurysm: Thöôøng vôõ,hieám
khi coøn soáng soùt (Trong vaùch khoâng
coù maïch maùu).
6/19/2013 167
NHOÀI MAÙU CÔ TIM & BIEÁN CHÖÙNG
BIEÁN CHÖÙNG
Ñöùt nhuù cô:1% sau NMCT.
X quang boùng tim gaàn nhö bình
thöôøng,ñoâi khi tim to do giaõn Thaát
(T),Nhó (T) tuøy möùc ñoä.
Chuïp buoàng tim,SA tim:Sa van 2
laù,van 2 laù phaát phôùi.
6/19/2013 168
BEÄNH MAØNG TIM
TRAØN DÒCH MAØNG TIM
Nguyeân nhaân:Coù raát nhieàu nguyeân nhaân.
X quang TDMT:Muoán coù thay ñoåi treân X
quang,löôïng dòch phaûi>200ml.
Bình thöôøng giöõa laù thaønh vaø laù taïng coù
# 20ml dòch giuùp maøng tim tröôït leân
nhau.
6/19/2013 169
BEÄNH MAØNG TIM
TRAØN DÒCH MAØNG TIM
Neáu TDMT<100ml Löôïng ít.
Neáu TDMT100-500ml Löôïng vöøa.
Neáu TDMT>500ml Löôïng nhieàu.
6/19/2013 170
BEÄNH MAØNG TIM
TRAØN DÒCH MAØNG TIM
Chæ soá T/N>0,5.Khi Traøn dòch quaù nhieàu
cho hình aûnh baàu röôïu.
Ñaëc ñieåm cuûa boùng tim to laø thay ñoåi
nhanh theo thôøi gian.
Tuaàn hoaøn phoåi giaûm haún ñi (tröôøng phoåi
saùng).
Xoùa goùc taâm hoaønh (P) khoâng ñaëc hieäu.
6/19/2013 171
BEÄNH MAØNG TIM
TRAØN DÒCH MAØNG TIM
Phim nghieâng Epicardial fat pat sign:
Khoang maøng tim ñöôïc giôùi haïn phía
tröôùc bôûi lôùp môõ trung thaát (mediastinal
fat) vaø phía sau bôûi lôùp môõ epicardial
(epicardial fat),khi khoang naøy daøy treân
2mm Hoaëc laø daøy maøng tim,hoaëc laø
TDMT.
6/19/2013 172
BEÄNH MAØNG TIM
TRAØN DÒCH MAØNG TIM
6/19/2013 173
BEÄNH MAØNG TIM
TRAØN DÒCH MAØNG TIM
6/19/2013 174
BEÄNH MAØNG TIM
TRAØN DÒCH MAØNG TIM
NORMAL PERICARDIUM
-The pericardial cavity is seen
as a high-attenuation stripe
(arrows) flanked by
mediastinal and epicardial fat.
-CS:coronary sinus.
6/19/2013 175
BEÄNH MAØNG TIM
TRAØN DÒCH MAØNG TIM
NORMAL PERICARDIUM
-The pericardial cavity is seen
as thin band of low signal
(arrows) flanked by
mediastinal and epicardial fat.
6/19/2013 176
BEÄNH MAØNG TIM
TRAØN DÒCH MAØNG TIM
Fluoroscopy (coù gía trò):Tim khoâng ñaäp
hoaëc giaûm ñaäp.
Phim naèm ngöûa:Dòch doàn leân treân Tim
to troøn hôn vaø cuoáng tim ngaén.
Choïc doø dòch vaø bôm hôi vaøo ta thaáy
ñöôïc möïc thuûy-khí ôû khoang maøng tim.
6/19/2013 177
BEÄNH MAØNG TIM
TRAØN DÒCH MAØNG TIM
Beänh nhaân naèm tö theá Left lateral
decubitus: Chích CO2 vaøo tónh maïch Ño
khoaûng caùch (a) töø boùng khí ñeán bôø (P)
tim,bình thöôøng a≤ 4mm.Khi a>4mm
Traøn dòch maøng tim hoaëc daøy maøng
tim..
Ngaøy nay:Sieâu aâm chaån ñoaùn TDMT toát
hôn nhieàu (hôn X quang vaø caû CT).
6/19/2013 178
BEÄNH MAØNG TIM
TRAØN DÒCH MAØNG TIM
Cheïn tim (cardiac tamponade):Xaûy ra
khoâng tuøy thuoäc vaøo löôïng dòch,maø tuøy
thuoäc vaøo thôøi gian taïo dòch nhanh hay
chaäm.
Laâm saøng:Khi hít vaøo,HA taâm thu giaûm
10mmHg.
6/19/2013 179
BEÄNH MAØNG TIM
TRAØN DÒCH MAØNG TIM
X quang:
Boùng tim to nhanh theo thôøi gian.
TMCT giaõn,quai TM azygos phoàng.
Fluoroscopy:Tim ñaäp giaûm.
6/19/2013 180
BEÄNH MAØNG TIM
TRAØN DÒCH MAØNG TIM
PERICARDIAL EFFUSION (“water-bottle” configuration)
-Enlarged heart size with clear heart border.
-Normal pulmonary vasculature.
DẤU HIỆU BẦU NƯỚC
(WATER-BOTTLE SIGN)
Tràn dịch màng tim nhiều, khiến bóng tim bè ra như bầu nước.
6/19/2013 182
BEÄNH MAØNG TIM
TRAØN DÒCH MAØNG TIM
PERICARDIAL EFFUSION
-Enlarged heart size.
-Clear heart border.
-Normal pulmonary vascularity.
CARDIAC FAILURE
-Enlarged heart size.
-No clear heart border (interstitiel
edema), Kerley’s line, pleural effusion.
-Redistribution.
6/19/2013 184
BEÄNH MAØNG TIM
TRAØN DÒCH MAØNG TIM
-Symmetric enlargement of the
cardiac silhouette (arrowheads).
-Decreased pulmonary
vasculature.
-Obliteration of the right
cardiophrenic angle (large
arrow).
PERICARDIAL EFFUSION
6/19/2013 185
BEÄNH MAØNG TIM
TRAØN DÒCH MAØNG TIM
Following pericardial tap and air
injection air-fluid level (large
arrow),true cardiac border
(small arrows),note the normal
thickness of the pericardium.
Sau khi chọc hút dịch màng tim
187
TRAØN DÒCH MAØNG TIM
PERICARDIAL EFFUSION
6/19/2013 188
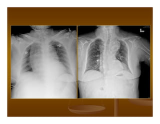
BEÄNH MAØNG TIM
TRAØN DÒCH MAØNG TIM
6/19/2013 189
BEÄNH MAØNG TIM
TRAØN DÒCH MAØNG TIM
Water-bottle configuration.
Note the distance between
the right heart border and
the Swan-ganz catheter as
it passes through right
atrium (arrows).
Increased density of the
fluid-filled pericardiac sac
(P) is bordered anteriorly
and posteriorly by the
lucencies of the
epicardial and the
medisatinal fat.
Notice the separation
between the right
heart border of
pericardium (arrows)
and the lateral extent
of the cavity of the
RA.
6/19/2013 190
BEÄNH MAØNG TIM
TRAØN DÒCH MAØNG TIM
6/19/2013 191
BEÄNH MAØNG TIM
TRAØN DÒCH MAØNG TIM
INTRAVENOUS CARBON DIOXIDE INJECTION (left lateral decubitus position)
Carbon dioxide in the RA and SVC (black arrows).
The pericardiac space is widened (between white arrows).(Normal ≤ 4mm).
Either pericardial effusion or a thickened pericardium.
6/19/2013 192
BEÄNH MAØNG TIM
TRAØN DÒCH MAØNG TIM
INTRAVENOUS CARBON DIOXIDE
INJECTION (left lateral decubitus position)
Carbon dioxide in the RA and SVC (b,d).
The pericardiac space is widened (a,c).
(Normal ≤ 4mm).
Either pericardial effusion or a thickened
pericardium.
6/19/2013 193
BEÄNH MAØNG TIM
TRAØN DÒCH MAØNG TIM
DIAGNOSTIC PNEUMOPERICARDIUM
After removal of 25ml of
pericardial fluid and replacement
with 25ml carbon dioxide (g).
Thickened parietal pericardium
TUBERCULOUS PERICARDITIS
6/19/2013 194
BEÄNH MAØNG TIM
TRAØN DÒCH MAØNG TIM
PERICARDIAL EFFUSION
6/19/2013 195
BEÄNH MAØNG TIM
TRAØN DÒCH MAØNG TIM
A band of fluid attenuation
(arrows) surrounding the heart.
SPIN-ECHO MRI:Pericardial effusion is
seen as a homogeneous signal void
(arrows) surrounding the heart,
subjacent to the pericardial fat.
6/19/2013 196
BEÄNH MAØNG TIM
TRAØN DÒCH MAØNG TIM
PERICARDIAL EFFUSION
6/19/2013 197
BEÄNH MAØNG TIM
TRAØN DÒCH MAØNG TIM
SPIN-ECHO MRI:The increased signal tissue surrounding in the space
between the visceral pericardium and the external cardiac contour
(long arrows) is the inflamed parietal pericardium
TUBERCULOUS PERICARDITIS.
6/19/2013 198
BEÄNH MAØNG TIM
TRAØN DÒCH MAØNG TIM
STAB INJURY TO THE
EPIGASTRIUM
-Fibrosis of the right
upper lobe was an
incidental finding.
A FEW DAYS LATER
-Cardiac enlargement.
-Decreased pulmonary
vasculature.
CARDIAC TAMPONADE
Following evacuation of the
pericardial blood.
Normal heart size.
(free air under the right
diaphragm due to
abdominal surgery).
6/19/2013 199
BEÄNH MAØNG TIM
TRAØN DÒCH MAØNG TIM
SUPERIOR VENA CAVAGRAM
-Dilated SVC.
-Reflux into the azygos vein and IVC.
CARDIAC TAMPONADE
6/19/2013 200
BEÄNH MAØNG TIM
TRAØN DÒCH MAØNG TIM
CARDIAC TAMPONADE WITH RIGHT VENTRICULAR COLLAPSE (ARROWHEADS)
6/19/2013 201
BEÄNH MAØNG TIM
VIEÂM MAØNG TIM CO THAÉT
Tuoåi 30-50,Nam/Nöõ=3/1.
Nguyeân nhaân:Sau Vieâm maøng ngoaøi tim
caáp,sau chaán thöông,sau phaãu thuaät
maøng ngoaøi tim,lao,Coxackie,
Histoplasmose, H.influenza type A,B
Autoimmune:RAA,Lupus…
6/19/2013 202
BEÄNH MAØNG TIM
VIEÂM MAØNG TIM CO THAÉT
X quang:
Tim khoâng to hoaëc to ít.
Nhó (T) to trong 20% tröôøng hôïp.Khi
Vieâm co thaét maùu trôû veà tim khoù khaên.
Ñoùng voâi (50%) ôû nhó (P),hieám khi ôû nhó
(T) vì maët sau khoâng coù pericarde,Thaát
(T) ít hôn thaát (P) do thaát (T) ñaäp maïnh
(Ngöôïc vôùi ñoùng voâi trong cô tim).
6/19/2013 203
BEÄNH MAØNG TIM
VIEÂM MAØNG TIM CO THAÉT
X quang:
TMCT giaõn do maùu khoù veà tim.
TDMP coù theå keøm theo (60%).
Chaån ñoaùn phaân bieät:Beänh cô tim haïn
cheá.
Maøng tim khoâng daøy,khoâng ñoùng voâi.
Cô tim daøy vaø söï co boùp giaûm trong 2
thì (taâm thu vaø taâm tröông).
6/19/2013 204
BEÄNH MAØNG TIM
VIEÂM MAØNG TIM CO THAÉT
CT vaø MRI raát coù ích trong chaån ñoaùn
Vieâm maøng ngoaøi tim co thaét.
50% beänh nhaân coù voâi hoùa maøng ngoaøi
tim,deã daøng nhaän thaáy treân CT.
Daøy maøng tim deã thaáy treân MRI.
6/19/2013 205
BEÄNH MAØNG TIM
VIEÂM MAØNG TIM CO THAÉT
-Normal heart size.
-Dilated SVC (arrows).
-Dilated azygos vein (arrowheads).
-Dilated HV.
-Dilated IVC.
CONSTRICTIVE PERICARDITIS
6/19/2013 206
BEÄNH MAØNG TIM
VIEÂM MAØNG TIM CO THAÉT
SPIN-ECHO MRI: Intermediate signal intensity band between the
epicardial fat and the pericardial fat (curved arrow and black arrows)
is thickened pericardium CONSTRICTIVE PERICARDITIS
6/19/2013 207
BEÄNH MAØNG TIM
VIEÂM MAØNG TIM CO THAÉT
The pericardium is irregularly thickened (arrows)
CONSTRICTIVE PERICARDITIS.
6/19/2013 208
BEÄNH MAØNG TIM
VIEÂM MAØNG TIM CO THAÉT
PERICARDIAL CALCIFICATION (RIGHT VENTRICLE)
6/19/2013 209
BEÄNH MAØNG TIM
VIEÂM MAØNG TIM CO THAÉT
6/19/2013 210
BEÄNH MAØNG TIM
VIEÂM MAØNG TIM CO THAÉT
Pericardial calcification (closed arrow).
Dilated IVC (open arrow). CONSTRICTIVE PERICARDITIS.
6/19/2013 211
BEÄNH MAØNG TIM
VIEÂM MAØNG TIM CO THAÉT
CONSTRICTIVE PERICARDITIS
Thickening of
the pericardium
6/19/2013 212
BEÄNH MAØNG TIM
NANG MAØNG TIM
3/4 naèm beân (P),1/4 naèm beân (T).
Hieám khi coù caû 2 beân,luùc ñoù seõ khoù
phaân bieät vôùi TDMT.
Hình nghieâng:Nang naèm phía tröôùc
döôùi.
Sieâu aâm:Hình aûnh echo troáng (Spring-
water cyst).
Chaån ñoaùn phaân bieät:Môõ ngoaøi maøng
tim (CT ño tyû troïng)
6/19/2013 213
BEÄNH MAØNG TIM
NANG MAØNG TIM
PERICARDIAL CYST
6/19/2013 214
BEÄNH MAØNG TIM
NANG MAØNG TIM
CALCIFIED PERICARDIAL CYST
6/19/2013 215
BEÄNH MAØNG TIM
NANG MAØNG TIM
6/19/2013 216
BEÄNH MAØNG TIM
NANG MAØNG TIM
PERICARDIAL CYST
6/19/2013 217
BEÄNH MAØNG TIM
NANG MAØNG TIM
PERICARDIAL CYST / ASBESTOSIS
6/19/2013 218
BEÄNH MAØNG TIM
NANG MAØNG TIM
PERICARDIAL CYST
6/19/2013 219
BEÄNH MAØNG TIM
MÔÕ NGOAØI MAØNG TIM
Thöôøng coù nhöng khoâng nhieàu.
Moät soá tröôøng hôïp lôùp môõ naøy to nhö
moät lipoma Boùng tim to ra.
Sieâu aâm:Echo keùm (khoù chaån ñoaùn
phaân bieät vôùi Xuaát huyeát).
CT:chaån ñoaùn chính xaùc nhôø ño tyû
troïng.
6/19/2013 220
BEÄNH MAØNG TIM
MÔÕ NGOAØI MAØNG TIM
6/19/2013 221
BEÄNH MAØNG TIM
MÔÕ NGOAØI MAØNG TIM
222
ĐỐ VUI ĐỂ HỌC
Chest X Ray of 54 y. old
male patient for heath
check up.
224
No dyspnea,no dysphagia
Normal ECG and cardiac US.
CT scan shows
low attenuation
structure around
the heart
Mediastinal
lipomatosis
226 June 19, 2013
CẢM ƠN QUÝ VỊ ĐÃ QUAN TÂM THEO DÕI

4.other acquired heart disease

  • 1.
    6/19/2013 1 CHAÅN ÑOAÙNHÌNH AÛNH BEÄNH TIM MAÉC PHAÛI KHAÙC BS.NGUYEÃN QUYÙ KHOAÙNG BS.NGUYEÃN QUANG TROÏNG
  • 2.
    6/19/2013 2 DAØN BAØI Beänhñoäng maïch chuû. Beänh tim do cao huyeát aùp. Phình ÑMC. Hoäi chöùng Marfan. Beänh Takayasu. Beänh cô tim. Beänh cô tim giaõn nôû. Beänh cô tim phì ñaïi. Beänh cô tim haïn cheá.
  • 3.
    6/19/2013 3 DAØN BAØI Nhoàimaùu cô tim vaø caùc bieán chöùng. Thieáu maùu cô tim. Nhoài maùu cô tim. Caùc bieán chöùng cuûa Nhoài maùu cô tim: Thoâng lieân thaát. Hoäi chöùng Dressler. Phình thaát. Ñöùt nhuù cô.
  • 4.
    6/19/2013 4 DAØN BAØI Beänhmaøng tim. Traøn dòch maøng tim. Vieâm maøng tim co thaét. Nang maøng tim. Môõ ngoaøi maøng tim.
  • 5.
    6/19/2013 5 BEÄNH TIMDO CAO HUYEÁT AÙP Thaát (T) daøy ñoàng taâm Bôø (T) baøu sau ñoù bôø (T) traûi daøi,moûm tim nhö chuùc xuoáng döôùi voøm hoaønh (T). ÑMC leân cong qua (P) vaø bung roäng (>6cm)(Deùroulement aortique). Chaån ñoaùn phaân bieät:Heïp van ÑMC vaø Xô vöõa ñoäng maïch ôû ngöôøi giaø.
  • 6.
    6/19/2013 6 BEÄNH TIMDO CAO HUYEÁT AÙP ÑMC coù theå ñoùng voâi. Tuaàn hoaøn phoåi bình thöôøng. Khi coù Suy tim coù Taùi phaân phoái tuaàn hoaøn phoåi,Phuø phoåi caáp.
  • 7.
    6/19/2013 7 BEÄNH TIMDO CAO HUYEÁT AÙP DEROULEMENT AORTIQUE (a>6cm)
  • 8.
    6/19/2013 8 PHÌNH ÑOÄNGMAÏCH CHUÛ ÑMC ñöôïc chia ra ÑMC ngöïc vaø ÑMC buïng: ÑMC ngöïc goàm ÑMC leân,Quai ÑMC vaø ÑMC xuoáng. ÑMC buïng goàm ÑMC treân thaän vaø ÑMC döôùi thaän. Bình thöôøng khaåu kính ÑMC leân lôùn nhaát:3,3cm.
  • 9.
    6/19/2013 9 PHÌNH ÑOÄNGMAÏCH CHUÛ Ñöôïc xem laø phình ÑMC khi ñöôøng kính ÑMC>4cm;hình thoi, troøn,baùn nguyeät. Ñoaïn leân:Giang mai,Xô vöõa ñoäng maïch, Hoäi chöùng Marfan. Ñoaïn ngang:Xô vöõa ñoäng maïch,Chaán thöông. Ñoaïn xuoáng:Xô vöõa ñoäng maïch.
  • 10.
    6/19/2013 10 PHÌNH ÑOÄNGMAÏCH CHUÛ -Vaùch ñoäng maïch chuû goàm 3 lôùp: I intima,M media,A adventitia. -Khi lôùp Intima bò raùch,maùu seõ traøn vaøo lôùp Media ñeå taïo thaønh loøng giaû (false lumen). -Treân X quang quy öôùc,neáu coù ñoùng voâi quai ÑMC,thì Daáu hieäu Calcium (Calcium sign) gôïi yù ñeán Phình ÑMC boùc taùch (khoaûng caùch töø lôùp Intima ñoùng voâi ñeán bôø ngoaøi quai ÑMC >10mm).
  • 11.
  • 12.
    6/19/2013 12 PHÌNH ÑOÄNGMAÏCH CHUÛ AORTIC DISSECTION DeBakey:type I,II,III. STANFORD: -Type A:Type I+Type II. -Type B:Type III.
  • 13.
    6/19/2013 13 PHÌNH ÑOÄNGMAÏCH CHUÛ MECHANISMS OF AORTIC REGURGITATION IN PROXIMAL AORTIC DISSECTION
  • 14.
    6/19/2013 14 PHÌNH ÑOÄNGMAÏCH CHUÛ AORTIC ANEURYSM
  • 15.
    6/19/2013 15 PHÌNH ÑOÄNGMAÏCH CHUÛ AORTIC ANEURYSM
  • 16.
    6/19/2013 16 PHÌNH ÑOÄNGMAÏCH CHUÛ ASCENDING AORTIC ANEURYSM
  • 17.
    6/19/2013 17 PHÌNH ÑOÄNGMAÏCH CHUÛ -Saccular mass in the right mediastinum (large arrows). -Curvilinear calcification (small arrow). -The trachea is displaced posteriorly (double black arrows). -Curvilinear calcification (small arrow). SACCULAR ANEURYSM OF ASCENDING AORTA
  • 18.
    6/19/2013 18 PHÌNH ÑOÄNGMAÏCH CHUÛ -The ascending aorta (large arrow). -The trachea is displaced to the right side. -A streak of calcium (small arrows) in the intima denotes a thin aortic wall. FUSIFORM ANEURYSM OF THE ENTIRE THORACIC AORTA
  • 19.
    6/19/2013 19 PHÌNH ÑOÄNGMAÏCH CHUÛ -The lucency representing the intima flap (arrows) extends from the aortic root around the arch. -The false lumen is less dense than the true lumen. -Aortic regurgitation. AORTIC DISSECTION
  • 20.
    6/19/2013 20 PHÌNH ÑOÄNGMAÏCH CHUÛ -The intima flap (arrows) extending from the aortic root distally into the abdomen. -Communication between the false lumen and the true lumen (curved arrow). AORTIC DISSECTION
  • 21.
    6/19/2013 21 PHÌNH ÑOÄNGMAÏCH CHUÛ AORTIC DISSECTION:T:true lumen,F:false lumen,I:intimal flap,LV:contrast in the LV Aortic insufficiency.
  • 22.
    6/19/2013 22 PHÌNH ÑOÄNGMAÏCH CHUÛ Lobular mass density (arrows) on the left side of the heart. LAO FUSIFORM ANEURYSM OF DESCENDING AORTA
  • 23.
    6/19/2013 23 PHÌNH ÑOÄNGMAÏCH CHUÛ ANEURYSM OF ABDOMINAL AORTA: EXTENSIVE CALCIFICATION
  • 24.
    6/19/2013 24 PHÌNH ÑOÄNGMAÏCH CHUÛ 3 YEARS PRIOR: Normal appearing aorta. Enlargement of the aortic knob (arrow). AORTIC DISSECTION
  • 25.
    6/19/2013 25 PHÌNH ÑOÄNGMAÏCH CHUÛ Enlarged, elongated, tortuous, descending aorta. TWO WEEKS LATER -Increase in the width of the descending aorta (large arrows). -Left pleural effusion (small arrows). DISSECTING ANEURYSM
  • 26.
    6/19/2013 26 PHÌNH ÑOÄNGMAÏCH CHUÛ ASYMPTOMATIC FIVE DAYS LATER:Left hemothorax,the aortic outline has been obliterated by the blood RUPTURE OF AORTIC ANEURYSM
  • 27.
    6/19/2013 27 PHÌNH ÑOÄNGMAÏCH CHUÛ A:left hilar mass (arrow). B:mass adjacent to the proximal descending aorta (arrow). SACCULAR ANEURYSM
  • 28.
    6/19/2013 28 PHÌNH ÑOÄNGMAÏCH CHUÛ TRUE CHANNEL:small arrows. FALSE CHANNEL:double-headed arrows). DISSECTING ANEURYSM
  • 29.
    6/19/2013 29 PHÌNH ÑOÄNGMAÏCH CHUÛ A tumor or an aneurysm? Opacification of the aorta KINGKING OF AORTA
  • 30.
    6/19/2013 30 PHÌNH ÑOÄNGMAÏCH CHUÛ A:Dilated aortic arch. T:Displaced trachea. B:Compressed left main bronchus. -All four cardiac chambers are dilated. AORTIC ANEURYSM / IDIOPATHIC DILATED CARDIOMYOPATHY
  • 31.
  • 32.
    6/19/2013 32 PHÌNH ÑOÄNGMAÏCH CHUÛ FALSE ANEURYSM: The intima and media are penetrated.False aneurysm typically has a narrow neck. (TRUE ANEURYSM: contain all three layers).
  • 33.
    6/19/2013 33 PHÌNH ÑOÄNGMAÏCH CHUÛ FALSE ANEURYSM: narrow neck.
  • 34.
    6/19/2013 34 PHÌNH ÑOÄNGMAÏCH CHUÛ -False aneurysm in the region of the ligamentum arteriosum. -The patient was involved in an automobile accident 3 months previously. TRAUMATIC AORTIC ANEURYSM
  • 35.
    6/19/2013 35 PHÌNH ÑOÄNGMAÏCH CHUÛ 18-year-old involved in motorcycle accident. -Widening of the mediastinum.
  • 36.
    6/19/2013 36 PHÌNH ÑOÄNGMAÏCH CHUÛ RUPTURE OF THE AORTA WITH FALSE ANEURYSM.
  • 37.
    6/19/2013 37 PHÌNH ÑOÄNGMAÏCH CHUÛ AORTIC DISSECTION
  • 38.
    6/19/2013 38 PHÌNH ÑOÄNGMAÏCH CHUÛ AORTIC DISSECTION:T true lumen,F:false lumen,I:intima flap.
  • 39.
    6/19/2013 39 PHÌNH ÑOÄNGMAÏCH CHUÛ AORTIC DISSECTION:AV:aortic valve,T true lumen,F:false lumen,I:intima flap.
  • 40.
  • 41.
  • 42.
  • 43.
  • 44.
    6/19/2013 44 PHÌNH ÑOÄNGMAÏCH CHUÛ MRI-INFRARENAL ABDOMINAL AORTIC ANEURYSM
  • 45.
    6/19/2013 45 PHÌNH ÑOÄNGMAÏCH CHUÛ As.Aorta PA True lumen False lumen Thrombosis
  • 46.
    6/19/2013 46 PHÌNH ÑOÄNGMAÏCH CHUÛ PENETRATING AORTIC ATHEROSCLEROTIC ULCER -Arrow:subintimal hematoma. -Arrowhead:displaced intimal calcification.
  • 47.
    DẤU HIỆU MẢNGVÔI (CALCIUM SIGN) Mảng vữa xơ của ĐMC nằm ở lớp áo trong, nếu vôi hoá ta sẽ thấy. Khi bị phình ĐMC bóc tách, máu len vào lớp áo giữa, làm gia tăng khoảng cách giữa lớp intima và adventitia. Nghĩ đến phình ĐMC bóc tách khi khoảng cách từ mảng vôi hoá đến bờ ngoài quai ĐMC > 10 mm.
  • 49.
    6/19/2013 49 PHÌNH ÑOÄNGMAÏCH CHUÛ AORTIC DISSECTION -Arrows:displaced intimal calcification. -Small bilateral pleural effusions. -Mild bibasilar atelectasis.
  • 50.
  • 51.
  • 52.
    6/19/2013 52 PHÌNH ÑOÄNGMAÏCH CHUÛ AORTIC DISSECTION -Arrows:intimal flap. -Small bilateral pleural effusions. -V:SVC.
  • 53.
    6/19/2013 53 PHÌNH ÑOÄNGMAÏCH CHUÛ AORTIC DISSECTION -t:true lumen. -f:false lumen.
  • 54.
    6/19/2013 54 PHÌNH ÑOÄNGMAÏCH CHUÛ AORTIC DISSECTION WITH LEFT RENAL ISCHEMIA -Arrow:intimal flap. -K:ischemia of the posterior aspect of the left kidney.
  • 55.
    6/19/2013 55 PHÌNH ÑOÄNGMAÏCH CHUÛ RUPTURED AORTIC DISSECTION -Arrowheads:intimal flap. -Arrow:nasogastric tube. -Hemorrhage infiltrates the soft tissues around the descending aorta.
  • 56.
    6/19/2013 56 PHÌNH ÑOÄNGMAÏCH CHUÛ MSCT-AORTIC DISSECTION
  • 57.
    6/19/2013 57 PHÌNH ÑOÄNGMAÏCH CHUÛ MSCT-AORTIC DISSECTION (3D-surface display)
  • 58.
    6/19/2013 58 PHÌNH ÑOÄNGMAÏCH CHUÛ AORTIC ANEURYSM
  • 59.
    6/19/2013 59 PHÌNH ÑOÄNGMAÏCH CHUÛ Click here for movie
  • 60.
    6/19/2013 60 PHÌNH ÑOÄNGMAÏCH CHUÛ CT MRI
  • 61.
  • 62.
    6/19/2013 62 PHÌNH ÑOÄNGMAÏCH CHUÛ AORTIC DISSECTION
  • 63.
    6/19/2013 63 PHÌNH ÑOÄNGMAÏCH CHUÛ AORTIC ANEURYSM Thrombosis in the aortic aneurysm
  • 64.
    6/19/2013 64 PHÌNH ÑOÄNGMAÏCH CHUÛ The fusiform aneurysm in the ascending aorta does not involve the aortic root. LUETIC ANEURYSM
  • 65.
    6/19/2013 65 PHÌNH ÑOÄNGMAÏCH CHUÛ CALCIFICATION IN THE ASCENDING AORTA – SYPHILITIC AORTITIS
  • 66.
    6/19/2013 66 PHÌNH ÑOÄNGMAÏCH CHUÛ LUETIC AORTITIS -“Egg-shell” calcification extends from the aortic annulus through the entire thoracic aorta. -Calcification of the ascending aorta is also seen in pure atherosclerosis and,rarely,in Takayasu’s arteritis.
  • 67.
    6/19/2013 67 PHÌNH ÑOÄNGMAÏCH CHUÛ Ascending aortic aneurysm with stenotic bicuspid aortic valve (arrows) is domed in this systolic frame REITER’S SYNDROME
  • 68.
    6/19/2013 68 PHÌNH ÑOÄNGMAÏCH CHUÛ Erosion of the vertebral bodies due to pulsations of an aneurysm. Aortography reveals the saccular aneurysm (arrows). Note:bulging of the intervertebral cartilage (which resists erosion).
  • 69.
    55 yo malepatient with abdominal pain and back pain
  • 70.
    Ultrasound examinaton: Presenceof “Ying Yan sign”: Aortic aneurysm
  • 72.
    6/19/2013 72 HOÄI CHÖÙNGMARFAN Beänh lyù cuûa moâ lieân keát do thieáu huït fibrillin coù yeáu toá gia ñình (chromosome 15q15-21). Aûnh höôûng leân heä tim-maïch,heä xöông vaø maét.Vôùi heä tim-maïch,toån thöông xaûy ra >50% ngöôøi lôùn bò Hoäi chöùng Marfan.
  • 73.
    6/19/2013 73 HOÄI CHÖÙNGMARFAN Söï thoaùi hoùa cuûa lôùp Media daãn tôùi giaõn voøng van ÑMC vaø ÑMC leân.Tieáp ñeán laø hôû van ÑMC Suy thaát (T). Boùc taùch ÑMC laø bieán chöùng thöôøng gaëp vaø thöôøng laø nguyeân nhaân gaây töû vong. Hôû van 2 laù thöôøng gaëp ôû treû em do coät cô dö thöøa Sa van 2 laù.
  • 74.
    6/19/2013 74 HOÄI CHÖÙNGMARFAN ECTOPIA LENTIS THUMB SIGN
  • 75.
    6/19/2013 75 HOÄI CHÖÙNGMARFAN LONG EXTREMITIES AND DIGITS,TALL STATURE AND PECTUS CARINATUM
  • 76.
    6/19/2013 76 HOÄI CHÖÙNGMARFAN -The aneurysm involves both the sinuses of Valsalva and the proximal half of the ascending aorta. -Aortic regurgitation. ANNULOAORTIC ECTASIA
  • 77.
    6/19/2013 77 HOÄI CHÖÙNGMARFAN -The aneurysm involves both the sinuses of Valsalva and the proximal half of the ascending aorta. -Aortic regurgitation. ANNULOAORTIC ECTASIA
  • 78.
    6/19/2013 78 HOÄI CHÖÙNGMARFAN ASCENDING AORTIC ANEURYSM
  • 79.
    6/19/2013 79 HOÄI CHÖÙNGMARFAN ASCENDING AORTIC ANEURYSM
  • 80.
    6/19/2013 80 HOÄI CHÖÙNGMARFAN A:aortic aneurysm of ascending aorta. Arrows:smaller aneurysm of descending aorta. MARFAN’S SYNDROME
  • 81.
    6/19/2013 81 HOÄI CHÖÙNGMARFAN SPIN-ECHO MRI: Dilated ascending aorta (5cm). A 26-year-old woman with MARFAN’S SYNDROME
  • 82.
    6/19/2013 82 BEÄNH TAKAYASU Vieâmñoäng maïch Takayasu laø moät beänh vieâm maïn tính maø nguyeân nhaân chöa roõ,laøm toån thöông ÑMC vaø caùc nhaùnh ñoäng maïch lôùn. Beänh ñöôïc moâ taû laàn ñaàu tieân bôûi moät nhaø Nhaõn khoa ngöôøi Nhaät:Takayasu vaøo naêm 1908.
  • 83.
    6/19/2013 83 BEÄNH TAKAYASU Thöôønggaëp ôû ngöôøi treû <40 tuoåi, Nöõ/Nam=8/1. Beänh laøm taêng saûn lôùp Intima,thoaùi hoùa lôùp Media vaø xô hoùa lôùp Adventitia Haäu quaû laø laøm heïp loøng ñoaïn ñoäng maïch bò toån thöông 85% soá cas,laøm giaõn loøng ñoäng maïch 2% soá cas vaø vöøa heïp vöøa giaõn chieám 13% soá cas.
  • 84.
  • 85.
    6/19/2013 85 BEÄNH TAKAYASU THORACICAORTOGRAM:No direct filling of any of the major arteries arising from the aorta except the coronary arteries. Delayed film (right):collateral channels faintly fill the carotid and vertebral systems.
  • 86.
    6/19/2013 86 BEÄNH TAKAYASU -Clinicalfeatures of coarctation. -”rat-tail” angiographic appearance of the descending aorta.
  • 87.
    6/19/2013 87 BEÄNH TAKAYASU Stenosisin a long segment of the aorta (thoracoabdominal) extending across the aortic hiatus of the diaphragm.
  • 88.
  • 89.
    6/19/2013 89 BEÄNH TAKAYASU -Ascendingaortic aneurysm. -Stenosis of the proximal left common carotid artery (arrowheads) and left subclavian artery (open arrowheads).
  • 90.
    6/19/2013 90 BEÄNH TAKAYASU Extensivethin-line calcification associated with a diffusely dilated aorta in a 30-year-old woman. TAKAYASU’S ARTERITIS
  • 91.
    6/19/2013 91 BEÄNH CÔTIM ÑAÏI CÖÔNG Nguyeân nhaân: Theå tieân phaùt:Chöa roõ. Theå thöù phaùt:Ngoä ñoäc,Nhieãm truøng, Bieán döôõng.
  • 92.
    6/19/2013 92 BEÄNH CÔTIM ÑAÏI CÖÔNG Phaân loaïi: Beänh cô tim giaõn nôû (Dilated cardiomyopathy). Beänh cô tim phì ñaïi (Hypertrophic obstructive cardiomyopathy). Beänh cô tim haïn cheá (Restrictive cardiomyopathy).
  • 93.
    6/19/2013 93 BEÄNH CÔTIM BEÄNH CÔ TIM GIAÕN NÔÛ Coøn goïi laø Beänh cô tim sung huyeát. Nguyeân nhaân:Phaàn lôùn khoâng tìm ra nguyeân nhaân. Di truyeàn:6,5%. Dinh döôõng:Thieáu Vitamin B1. Nghieän röôïu,Thuoác (Adriamycine). Nhieãm truøng (Vi khuaån,virus). Beänh collagen maïch maùu. Sau sanh…
  • 94.
    6/19/2013 94 BEÄNH CÔTIM BEÄNH CÔ TIM GIAÕN NÔÛ Laâm saøng:Thöôøng thaàm laëng vaø töø töø. Khôûi ñaàu thöôøng laø Suy tim. Coù töøng ñôït Nhoài maùu phoåi. Coù khi loaïn nhòp. Coù theå ñoät töû.
  • 95.
    6/19/2013 95 BEÄNH CÔTIM BEÄNH CÔ TIM GIAÕN NÔÛ X quang: Giaõn nôû caùc buoàng tim+Co boùp keùm Tim to hình baàu,deã laàm vôùi Traøn dòch maøng tim,Beänh Ebstein. Hôû van 2 laù,Hôû van 3 laù. Taùi phaân phoái tuaàn hoaøn phoåi.
  • 96.
    6/19/2013 96 BEÄNH CÔTIM BEÄNH CÔ TIM GIAÕN NÔÛ Sieâu aâm: Giaõn roäng caùc buoàng tim. EF giaûm roõ. Thöôøng coù spontaneous contrast (“smoke”) trong buoàng Thaát (T),coù theå thaáy Huyeát khoái trong Thaát (T). Hôû van 2 laù,3 laù.
  • 97.
    6/19/2013 97 BEÄNH CÔTIM BEÄNH CÔ TIM GIAÕN NÔÛ
  • 98.
    6/19/2013 98 BEÄNH CÔTIM BEÄNH CÔ TIM GIAÕN NÔÛ
  • 99.
    6/19/2013 99 BEÄNH CÔTIM BEÄNH CÔ TIM GIAÕN NÔÛ -Enlarged all chambers. -Redistribution. -Slight pulmonary edema. -Small right pleural effusion. AFTER FULL TREATMENT -Normal heart size. -Normal pulmonary vasculature.
  • 100.
    6/19/2013 100 BEÄNH CÔTIM BEÄNH CÔ TIM PHÌ ÑAÏI Ñaëc ñieåm laø phì ñaïi khoâng ñoái xöùng Thaát (T) (Vaùch lieân thaát daøy hôn thaønh sau thaát (T)) vaø buoàng tim khoâng giaõn. Nguyeân nhaân: Di truyeàn:50%. Taêng Catecholamin. Roái loaïn chuyeån hoùa Calci.
  • 101.
    6/19/2013 101 BEÄNH CÔTIM BEÄNH CÔ TIM PHÌ ÑAÏI Cô cheá: Thaønh thaát daøy do phì ñaïi caùc teá baøo cô tim Caûn trôû söï höùng ñaày maùu. Do söï daøy khoâng caân ñoái cuûa vaùch lieân thaát Ngheõn buoàng toáng Thaát(T). Do coät cô bò dòch chuyeån ra tröôùc Chuyeån ñoäng ra tröôùc cuûa van 2 laù trong thì taâm thu Hôû van 2 laù.
  • 102.
    6/19/2013 102 BEÄNH CÔTIM BEÄNH CÔ TIM PHÌ ÑAÏI Laâm saøng: Khoù thôû do RLCN taâm tröông Thaát (T). Côn ñau thaét ngöïc:Thieáu maùu cô tim do taêng khoái löôïng cô tim. Ngaát khi gaéng söùc:do loaïn nhòp,coù theå ñoät töû.
  • 103.
    6/19/2013 103 BEÄNH CÔTIM BEÄNH CÔ TIM PHÌ ÑAÏI X quang: Tim to ít hoaëc vöøa. Neáu coù Hôû van 2 laù thì Nhó (T) to. Angiography:Loøng tim nhoû,hôû van 2 laù. Chaån ñoaùn phaân bieät: Heïp van ÑMC (Beänh cô tim phì ñaïi khoâng coù phình ÑMC leân). Hieän nay chaån ñoaùn nhôø Sieâu aâm,MRI.
  • 104.
    6/19/2013 104 BEÄNH CÔTIM BEÄNH CÔ TIM PHÌ ÑAÏI Sieâu aâm: ASH (+):Asymmetric septal hypertrophy. (Duøng TM mode ño ôû thì taâm tröông: IVS/LVPW≥1,3). SAM (+):Systolic anterior motion of MV. Ngheõn buoàng toáng Thaát (T)(△P thay ñoåi moãi ngaøy). Hôû 2 laù vôùi ñoä naëng thay ñoåi moãi ngaøy.
  • 105.
    6/19/2013 105 BEÄNH CÔTIM BEÄNH CÔ TIM PHÌ ÑAÏI
  • 106.
    6/19/2013 106 BEÄNH CÔTIM BEÄNH CÔ TIM PHÌ ÑAÏI
  • 107.
    6/19/2013 107 BEÄNH CÔTIM BEÄNH CÔ TIM PHÌ ÑAÏI
  • 108.
    6/19/2013 108 BEÄNH CÔTIM BEÄNH CÔ TIM PHÌ ÑAÏI Extreme left ventricular hypertrophy
  • 109.
    6/19/2013 109 BEÄNH CÔTIM BEÄNH CÔ TIM PHÌ ÑAÏI End-diastolic RAO left ventriculogram Normal size and shape of the left ventricle. End-systolic RAO left ventriculogram Small left ventricular cavity with mild mitral regurgitation.Increased distance between the ventricular cavity and the coronary arteries Myocardium becomes thickened in systole HCM (Hypertrophic cardiomyopathy).
  • 110.
    6/19/2013 110 BEÄNH CÔTIM BEÄNH CÔ TIM PHÌ ÑAÏI
  • 111.
    6/19/2013 111 BEÄNH CÔTIM BEÄNH CÔ TIM PHÌ ÑAÏI
  • 112.
    6/19/2013 112 BEÄNH CÔTIM BEÄNH CÔ TIM PHÌ ÑAÏI Asymmetric septal thickening (23mm) and a small left ventricular cavity.
  • 113.
    6/19/2013 113 BEÄNH CÔTIM BEÄNH CÔ TIM PHÌ ÑAÏI End-diastolic magnetic resonance angiogram Asymmetric hypertrophy with septal thickening (S). End-systolic magnetic resonance angiogram Myocardial thickening that affects the entire myocardium.
  • 114.
    6/19/2013 114 BEÄNH CÔTIM BEÄNH CÔ TIM PHÌ ÑAÏI Oblique cine MRA (outfow 2- chamber view) Prolapse (arrow) of the posterior mitral leaflet in early systole. Oblique cine MRA (outfow 2- chamber view) Prolapse of the posterior mitral leaflet with a small signal intensity loss due to regurgitation (arrow) HCM.
  • 115.
  • 116.
  • 117.
    6/19/2013 117 BEÄNH CÔTIM BEÄNH CÔ TIM PHÌ ÑAÏI HYPERTROPHIC CARDIOMYOPATHY Myocardial hypertrophy
  • 118.
    6/19/2013 118 BEÄNH CÔTIM BEÄNH CÔ TIM PHÌ ÑAÏI HYPERTROPHIC CARDIOMYOPATHY Myocardial hypertrophy
  • 119.
    6/19/2013 119 BEÄNH CÔTIM BEÄNH CÔ TIM HAÏN CHEÁ Coøn goïi laø Beänh cô tim thaâm nhieãm,ñaëc tröng bôûi baát thöôøng chöùc naêng taâm tröông(Taêng ñoä cöùng vaùch tim Haïn cheá ñoå ñaày thaát),trong khi chöùc naêng taâm thu bình thöôøng hoaëc chæ giaûm nheï. Bieåu hieän laâm saøng gioáng nhö Vieâm maøng tim co thaét maïn tính.
  • 120.
    6/19/2013 120 BEÄNH CÔTIM BEÄNH CÔ TIM HAÏN CHEÁ Nguyeân nhaân: Amyloidosis. Sarcoidosis. Hemochromatosis. Loeffler’s eosinophilic endocarditis. Infiltration leuceùmique. Fibrose endomyocardique.
  • 121.
    6/19/2013 121 BEÄNH CÔTIM BEÄNH CÔ TIM HAÏN CHEÁ
  • 122.
    6/19/2013 122 BEÄNH CÔTIM BEÄNH CÔ TIM HAÏN CHEÁ Trong ñoù hay gaëp nhaát laø Amyloidosis. Do laéng ñoïng moät protein baát thöôøng ôû nhieàu moâ,cô quan. Thaâm nhieãm laøm daøy taát caû caùc thaønh phaàn cuûa tim:cô,vaùch,van Hôû taát caû caùc van tim. TDMT töø ít ñeán vöøa. 20% beänh nhaân cheát vì Suy tim.
  • 123.
    6/19/2013 123 BEÄNH CÔTIM BEÄNH CÔ TIM HAÏN CHEÁ -Amyloid infiltration in the ventricular septum,left ventricular free wall and apex (arrows). -Enlarged atria.
  • 124.
    6/19/2013 124 BEÄNH CÔTIM BEÄNH CÔ TIM HAÏN CHEÁ Laâm saøng: Beänh lyù hieám. Meät khi gaéng söùc. Phuø chi. Suy tim. X quang: Tim to ít. Taêng aùp TM phoåi. ÑM phoåi (P) & (T) to ít.
  • 125.
    6/19/2013 125 BEÄNH CÔTIM BEÄNH CÔ TIM HAÏN CHEÁ Sieâu aâm: Daøy ñoái xöùng Thaát (T). Thaønh sau Thaát (T) vaø vaùch lieân thaát coù hoài aâm laám taám (ground-glass). Hôû van 2 laù,3 laù naëng hôn Hôû van ÑMC,ÑMP. TDMT (+) (++).
  • 126.
    6/19/2013 126 BEÄNH CÔTIM BEÄNH CÔ TIM HAÏN CHEÁ Chaån ñoaùn phaân bieät: Heïp TM phoåi. Myxome nhó (T). Vieâm maøng ngoaøi tim co thaét. Chaån ñoaùn xaùc ñònh:Giaûi phaãu beänh.
  • 127.
    6/19/2013 127 BEÄNH CÔTIM BEÄNH CÔ TIM HAÏN CHEÁ
  • 128.
    6/19/2013 128 BEÄNH CÔTIM BEÄNH CÔ TIM HAÏN CHEÁ -Thickening of the LV due to infiltration. -Thickening of the valves and biatrial enlargement.
  • 129.
    6/19/2013 129 BEÄNH CÔTIM BEÄNH CÔ TIM HAÏN CHEÁ SPIN-ECHO MRI: -Variable high density signal within the myocardium. -Dilated right atrium (closed curved arrow). -Enlarged IVC (open curved arrow). -IVS has an abnormal contour (straight arrow) High right ventricular pressures. RESTRICTIVE CARDIOMYOPATHY (AMYLOID CARDIOMYOPATHY).
  • 130.
    6/19/2013 130 LEFT VENTRICULARABNORMALITIES IN THE CARDIOMYOPATHIES DILATED RESTRICTIVE HYPERTROPHIC 1.LV cavity size 2.Free wall thickness 3.Mitral regurgitation 4.Wall motion 5.Mural thrombi 6.Systolic function 7.Diastolic function 8.Ejection fraction 9.Cardiac output -Increased -Slightly increased, normal,or decreased -Mild to moderate -Global hypokinesis -Frequently -Decreased -Normal -Decreased -Decreased -Normal to increased -Slightly to moderately increased -Variable -Normal to decreased -Occasionally -Normal -Decreased -Normal to decreased -Normal to decreased -Normal to decreased -Septal to free wall ratio > 1.3 -Obstruction(-):none to mild Obstruction(+):mild to severe -Hyperkinetic -None -Normal to increased -Normal to decreased -Normal to increased -Decreased,normal,or increased
  • 131.
    6/19/2013 131 NHOÀI MAÙUCÔ TIM & BIEÁN CHÖÙNG THIEÁU MAÙU CÔ TIM Goïi laø Thieáu maùu cuïc boä cô tim hay Suy ñoäng maïch vaønh maïn khi cô tim khoâng ñöôïc töôùi maùu ñaày ñuû do beänh lyù cuûa ñoäng maïch vaønh. Coù nhieàu nguyeân nhaân,nhöng >90% laø do Xô vöõa ñoäng maïch.
  • 132.
    6/19/2013 132 NHOÀI MAÙUCÔ TIM & BIEÁN CHÖÙNG THIEÁU MAÙU CÔ TIM Chaån ñoaùn döïa vào:Lâm sàng, ECG, các men tim, Sieâu aâm,Chuïp ÑM vaønh, MSCT,MRI,nhấp nháy đồ. X quang qui öôùc: Boùng tim bình thöôøng. Ñoùng voâi ôû ÑM vaønh.
  • 133.
    6/19/2013 133 NHOÀI MAÙUCÔ TIM & BIEÁN CHÖÙNG THIEÁU MAÙU CÔ TIM
  • 134.
    6/19/2013 134 NHOÀI MAÙUCÔ TIM & BIEÁN CHÖÙNG THIEÁU MAÙU CÔ TIM RIGHT CORONARY ARTERY A.Plaque of atheroma (arrow). B.Encircled lumen of the artery (arrow-two years later).
  • 135.
    6/19/2013 135 NHOÀI MAÙUCÔ TIM & BIEÁN CHÖÙNG THIEÁU MAÙU CÔ TIM Calcification of the proximal branches of both anterior descending and circumflex coronary arteries.
  • 136.
    6/19/2013 136 NHOÀI MAÙUCÔ TIM & BIEÁN CHÖÙNG THIEÁU MAÙU CÔ TIM Calcification in the left anterior descending (LAD) and the left circumflex arteries.
  • 137.
    6/19/2013 137 NHOÀI MAÙUCÔ TIM & BIEÁN CHÖÙNG THIEÁU MAÙU CÔ TIM Calcification in the left main coronary artery
  • 138.
    6/19/2013 138 NHOÀI MAÙUCÔ TIM & BIEÁN CHÖÙNG THIEÁU MAÙU CÔ TIM COLORS ALL STRUCTURES WITH AN ATTENUATION OF GREATER THAN 130HU PINK No calcium is present in the LAD or diagonal branch. Calcification in the LAD artery.
  • 139.
    6/19/2013 139 NHOÀI MAÙUCÔ TIM & BIEÁN CHÖÙNG THIEÁU MAÙU CÔ TIM Calcification in the LM, LAD arteries. Calcification in the circumflex artery
  • 140.
  • 141.
    6/19/2013 141 NHOÀI MAÙUCÔ TIM & BIEÁN CHÖÙNG THIEÁU MAÙU CÔ TIM
  • 142.
    6/19/2013 142 NHOÀI MAÙUCÔ TIM & BIEÁN CHÖÙNG THIEÁU MAÙU CÔ TIM
  • 143.
  • 144.
  • 145.
  • 146.
  • 147.
    6/19/2013 147 NHOÀI MAÙUCÔ TIM & BIEÁN CHÖÙNG THIEÁU MAÙU CÔ TIM Normal perfusion Myocardial ischemia:LAD and right coronary artery territories.
  • 148.
    6/19/2013 148 NHOÀI MAÙUCÔ TIM & BIEÁN CHÖÙNG NHOÀI MAÙU CÔ TIM Beänh coù taàn suaát töû vong cao #30%. 90% ôû beänh nhaân Xô vöõa ñoäng maïch. Maûng xô vöõa bò nöùt,loeùt taïo laäp cuïc maùu ñoâng laøm taéc ngheõn caáp tính ÑMV.
  • 149.
    6/19/2013 149 NHOÀI MAÙUCÔ TIM & BIEÁN CHÖÙNG NHOÀI MAÙU CÔ TIM Hoäi chöùng Suy ÑMV caáp (laâm saøng): Taéc ngheõn ÑMV taïm thôøi<30 phuùt: Côn ñau thaét ngöïc khoâng oån ñònh. Taéc ngheõn ÑMV<60 phuùt: Nhoài maùu cô tim khoâng soùng Q. Taéc ngheõn ÑMV>60 phuùt: Nhoài maùu cô tim coù soùng Q.
  • 150.
    6/19/2013 150 NHOÀI MAÙUCÔ TIM & BIEÁN CHÖÙNG NHOÀI MAÙU CÔ TIM X quang qui öôùc: Boùng tim hôi to hoaëc to. OAP khi vuøng nhoài maùu >25% khoái thaát (T).
  • 151.
    6/19/2013 151 NHOÀI MAÙUCÔ TIM & BIEÁN CHÖÙNG NHOÀI MAÙU CÔ TIM -Enlarged heart size. -Pulmonary edema due to left heart failure. ACUTE MYOCARDIAL INFARCTION
  • 152.
    6/19/2013 152 NHOÀI MAÙUCÔ TIM & BIEÁN CHÖÙNG BIEÁN CHÖÙNG Thoâng lieân thaát:0,5-1% caùc tröôøng hôïp. Xuaát hieän vaøi tuaàn vaøi thaùng sau NMCT. 2/3 naèm ôû phaàn tröôùc gaàn moûm.1/3 naèm ôû phaàn sau. Hoäi chöùng Dressler:<20%. Xuaát hieän vaøi tuaàn vaøi thaùng sau NMCT. Tim to do Traøn dòch maøng tim. Traøn dòch maøng phoåi,Vieâm ñaùy phoåi.
  • 153.
    6/19/2013 153 NHOÀI MAÙUCÔ TIM & BIEÁN CHÖÙNG BIEÁN CHÖÙNG 6 weeks after myocardial infarction: -Pericardial effusion. -Bilateral pleural effusions. -Consolidation of the left lung base. DRESSLER’S SYNDROME
  • 154.
    6/19/2013 154 NHOÀI MAÙUCÔ TIM & BIEÁN CHÖÙNG BIEÁN CHÖÙNG 4 weeks after myocardial infarction: -Pericardial effusion. -Left pleural effusion. -Consolidation of the left lung base. 6 weeks later. -Decreased heart size. -Decreased pleuropneumonic process. 3 months later. -Normal heart size. -Normal lung fields. DRESSLER’S SYNDROME
  • 155.
    6/19/2013 155 NHOÀI MAÙUCÔ TIM & BIEÁN CHÖÙNG BIEÁN CHÖÙNG Phình thaát:12-15% caùc tröôøng hôïp. True aneurysm: NMCT Phình thaát. Thöôøng ôû vuøng moûm phía tröôùc. False aneurysm: Leõ ra vôõ tim nhöng nhôø maøng ngoaøi tim bao boïc Phình to ra.Thöôøng ôû vuøng sau beân hoaëc maët döôùi. X quang:Bôø tim phình ra,coù theå ñoùng voâi.
  • 156.
    6/19/2013 156 NHOÀI MAÙUCÔ TIM & BIEÁN CHÖÙNG BIEÁN CHÖÙNG
  • 157.
    6/19/2013 157 NHOÀI MAÙUCÔ TIM & BIEÁN CHÖÙNG BIEÁN CHÖÙNG
  • 158.
    6/19/2013 158 NHOÀI MAÙUCÔ TIM & BIEÁN CHÖÙNG BIEÁN CHÖÙNG VENTRICULAR ANEURYSM
  • 159.
    6/19/2013 159 NHOÀI MAÙUCÔ TIM & BIEÁN CHÖÙNG BIEÁN CHÖÙNG CALCIFICATION IN THE LEFT VENTRICULAR ANEURYSM
  • 160.
    6/19/2013 160 NHOÀI MAÙUCÔ TIM & BIEÁN CHÖÙNG BIEÁN CHÖÙNG CALCIFIED RIGHT VENTRICULAR ANEURYSM
  • 161.
    6/19/2013 161 NHOÀI MAÙUCÔ TIM & BIEÁN CHÖÙNG BIEÁN CHÖÙNG VENTRICULAR ANEURYSM
  • 162.
    6/19/2013 162 NHOÀI MAÙUCÔ TIM & BIEÁN CHÖÙNG BIEÁN CHÖÙNG
  • 163.
    6/19/2013 163 NHOÀI MAÙUCÔ TIM & BIEÁN CHÖÙNG BIEÁN CHÖÙNG Thinning of the myocardial wall (arrow). OLD SEPTAL INFARCTION
  • 164.
    6/19/2013 164 NHOÀI MAÙUCÔ TIM & BIEÁN CHÖÙNG BIEÁN CHÖÙNG FALSE ANEURYSM
  • 165.
    6/19/2013 165 NHOÀI MAÙUCÔ TIM & BIEÁN CHÖÙNG BIEÁN CHÖÙNG FALSE ANEURYSM
  • 166.
    6/19/2013 166 NHOÀI MAÙUCÔ TIM & BIEÁN CHÖÙNG BIEÁN CHÖÙNG Chaån ñoaùn phaân bieät: Nang maøng tim:Thöôøng ôû goùc taâm hoaønh (P). U tuyeán öùc:ÔÛ treân vaø tröôùc. False aneurysm: Thöôøng vôõ,hieám khi coøn soáng soùt (Trong vaùch khoâng coù maïch maùu).
  • 167.
    6/19/2013 167 NHOÀI MAÙUCÔ TIM & BIEÁN CHÖÙNG BIEÁN CHÖÙNG Ñöùt nhuù cô:1% sau NMCT. X quang boùng tim gaàn nhö bình thöôøng,ñoâi khi tim to do giaõn Thaát (T),Nhó (T) tuøy möùc ñoä. Chuïp buoàng tim,SA tim:Sa van 2 laù,van 2 laù phaát phôùi.
  • 168.
    6/19/2013 168 BEÄNH MAØNGTIM TRAØN DÒCH MAØNG TIM Nguyeân nhaân:Coù raát nhieàu nguyeân nhaân. X quang TDMT:Muoán coù thay ñoåi treân X quang,löôïng dòch phaûi>200ml. Bình thöôøng giöõa laù thaønh vaø laù taïng coù # 20ml dòch giuùp maøng tim tröôït leân nhau.
  • 169.
    6/19/2013 169 BEÄNH MAØNGTIM TRAØN DÒCH MAØNG TIM Neáu TDMT<100ml Löôïng ít. Neáu TDMT100-500ml Löôïng vöøa. Neáu TDMT>500ml Löôïng nhieàu.
  • 170.
    6/19/2013 170 BEÄNH MAØNGTIM TRAØN DÒCH MAØNG TIM Chæ soá T/N>0,5.Khi Traøn dòch quaù nhieàu cho hình aûnh baàu röôïu. Ñaëc ñieåm cuûa boùng tim to laø thay ñoåi nhanh theo thôøi gian. Tuaàn hoaøn phoåi giaûm haún ñi (tröôøng phoåi saùng). Xoùa goùc taâm hoaønh (P) khoâng ñaëc hieäu.
  • 171.
    6/19/2013 171 BEÄNH MAØNGTIM TRAØN DÒCH MAØNG TIM Phim nghieâng Epicardial fat pat sign: Khoang maøng tim ñöôïc giôùi haïn phía tröôùc bôûi lôùp môõ trung thaát (mediastinal fat) vaø phía sau bôûi lôùp môõ epicardial (epicardial fat),khi khoang naøy daøy treân 2mm Hoaëc laø daøy maøng tim,hoaëc laø TDMT.
  • 172.
    6/19/2013 172 BEÄNH MAØNGTIM TRAØN DÒCH MAØNG TIM
  • 173.
    6/19/2013 173 BEÄNH MAØNGTIM TRAØN DÒCH MAØNG TIM
  • 174.
    6/19/2013 174 BEÄNH MAØNGTIM TRAØN DÒCH MAØNG TIM NORMAL PERICARDIUM -The pericardial cavity is seen as a high-attenuation stripe (arrows) flanked by mediastinal and epicardial fat. -CS:coronary sinus.
  • 175.
    6/19/2013 175 BEÄNH MAØNGTIM TRAØN DÒCH MAØNG TIM NORMAL PERICARDIUM -The pericardial cavity is seen as thin band of low signal (arrows) flanked by mediastinal and epicardial fat.
  • 176.
    6/19/2013 176 BEÄNH MAØNGTIM TRAØN DÒCH MAØNG TIM Fluoroscopy (coù gía trò):Tim khoâng ñaäp hoaëc giaûm ñaäp. Phim naèm ngöûa:Dòch doàn leân treân Tim to troøn hôn vaø cuoáng tim ngaén. Choïc doø dòch vaø bôm hôi vaøo ta thaáy ñöôïc möïc thuûy-khí ôû khoang maøng tim.
  • 177.
    6/19/2013 177 BEÄNH MAØNGTIM TRAØN DÒCH MAØNG TIM Beänh nhaân naèm tö theá Left lateral decubitus: Chích CO2 vaøo tónh maïch Ño khoaûng caùch (a) töø boùng khí ñeán bôø (P) tim,bình thöôøng a≤ 4mm.Khi a>4mm Traøn dòch maøng tim hoaëc daøy maøng tim.. Ngaøy nay:Sieâu aâm chaån ñoaùn TDMT toát hôn nhieàu (hôn X quang vaø caû CT).
  • 178.
    6/19/2013 178 BEÄNH MAØNGTIM TRAØN DÒCH MAØNG TIM Cheïn tim (cardiac tamponade):Xaûy ra khoâng tuøy thuoäc vaøo löôïng dòch,maø tuøy thuoäc vaøo thôøi gian taïo dòch nhanh hay chaäm. Laâm saøng:Khi hít vaøo,HA taâm thu giaûm 10mmHg.
  • 179.
    6/19/2013 179 BEÄNH MAØNGTIM TRAØN DÒCH MAØNG TIM X quang: Boùng tim to nhanh theo thôøi gian. TMCT giaõn,quai TM azygos phoàng. Fluoroscopy:Tim ñaäp giaûm.
  • 180.
    6/19/2013 180 BEÄNH MAØNGTIM TRAØN DÒCH MAØNG TIM PERICARDIAL EFFUSION (“water-bottle” configuration) -Enlarged heart size with clear heart border. -Normal pulmonary vasculature.
  • 181.
    DẤU HIỆU BẦUNƯỚC (WATER-BOTTLE SIGN) Tràn dịch màng tim nhiều, khiến bóng tim bè ra như bầu nước.
  • 182.
    6/19/2013 182 BEÄNH MAØNGTIM TRAØN DÒCH MAØNG TIM PERICARDIAL EFFUSION -Enlarged heart size. -Clear heart border. -Normal pulmonary vascularity. CARDIAC FAILURE -Enlarged heart size. -No clear heart border (interstitiel edema), Kerley’s line, pleural effusion. -Redistribution.
  • 184.
    6/19/2013 184 BEÄNH MAØNGTIM TRAØN DÒCH MAØNG TIM -Symmetric enlargement of the cardiac silhouette (arrowheads). -Decreased pulmonary vasculature. -Obliteration of the right cardiophrenic angle (large arrow). PERICARDIAL EFFUSION
  • 185.
    6/19/2013 185 BEÄNH MAØNGTIM TRAØN DÒCH MAØNG TIM Following pericardial tap and air injection air-fluid level (large arrow),true cardiac border (small arrows),note the normal thickness of the pericardium.
  • 186.
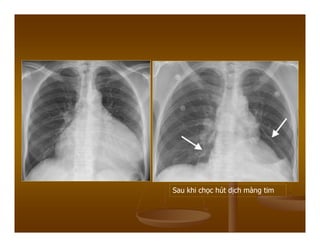
    Sau khi chọchút dịch màng tim
  • 187.
    187 TRAØN DÒCH MAØNGTIM PERICARDIAL EFFUSION
  • 188.
    6/19/2013 188 BEÄNH MAØNGTIM TRAØN DÒCH MAØNG TIM
  • 189.
    6/19/2013 189 BEÄNH MAØNGTIM TRAØN DÒCH MAØNG TIM Water-bottle configuration. Note the distance between the right heart border and the Swan-ganz catheter as it passes through right atrium (arrows). Increased density of the fluid-filled pericardiac sac (P) is bordered anteriorly and posteriorly by the lucencies of the epicardial and the medisatinal fat. Notice the separation between the right heart border of pericardium (arrows) and the lateral extent of the cavity of the RA.
  • 190.
    6/19/2013 190 BEÄNH MAØNGTIM TRAØN DÒCH MAØNG TIM
  • 191.
    6/19/2013 191 BEÄNH MAØNGTIM TRAØN DÒCH MAØNG TIM INTRAVENOUS CARBON DIOXIDE INJECTION (left lateral decubitus position) Carbon dioxide in the RA and SVC (black arrows). The pericardiac space is widened (between white arrows).(Normal ≤ 4mm). Either pericardial effusion or a thickened pericardium.
  • 192.
    6/19/2013 192 BEÄNH MAØNGTIM TRAØN DÒCH MAØNG TIM INTRAVENOUS CARBON DIOXIDE INJECTION (left lateral decubitus position) Carbon dioxide in the RA and SVC (b,d). The pericardiac space is widened (a,c). (Normal ≤ 4mm). Either pericardial effusion or a thickened pericardium.
  • 193.
    6/19/2013 193 BEÄNH MAØNGTIM TRAØN DÒCH MAØNG TIM DIAGNOSTIC PNEUMOPERICARDIUM After removal of 25ml of pericardial fluid and replacement with 25ml carbon dioxide (g). Thickened parietal pericardium TUBERCULOUS PERICARDITIS
  • 194.
    6/19/2013 194 BEÄNH MAØNGTIM TRAØN DÒCH MAØNG TIM PERICARDIAL EFFUSION
  • 195.
    6/19/2013 195 BEÄNH MAØNGTIM TRAØN DÒCH MAØNG TIM A band of fluid attenuation (arrows) surrounding the heart. SPIN-ECHO MRI:Pericardial effusion is seen as a homogeneous signal void (arrows) surrounding the heart, subjacent to the pericardial fat.
  • 196.
    6/19/2013 196 BEÄNH MAØNGTIM TRAØN DÒCH MAØNG TIM PERICARDIAL EFFUSION
  • 197.
    6/19/2013 197 BEÄNH MAØNGTIM TRAØN DÒCH MAØNG TIM SPIN-ECHO MRI:The increased signal tissue surrounding in the space between the visceral pericardium and the external cardiac contour (long arrows) is the inflamed parietal pericardium TUBERCULOUS PERICARDITIS.
  • 198.
    6/19/2013 198 BEÄNH MAØNGTIM TRAØN DÒCH MAØNG TIM STAB INJURY TO THE EPIGASTRIUM -Fibrosis of the right upper lobe was an incidental finding. A FEW DAYS LATER -Cardiac enlargement. -Decreased pulmonary vasculature. CARDIAC TAMPONADE Following evacuation of the pericardial blood. Normal heart size. (free air under the right diaphragm due to abdominal surgery).
  • 199.
    6/19/2013 199 BEÄNH MAØNGTIM TRAØN DÒCH MAØNG TIM SUPERIOR VENA CAVAGRAM -Dilated SVC. -Reflux into the azygos vein and IVC. CARDIAC TAMPONADE
  • 200.
    6/19/2013 200 BEÄNH MAØNGTIM TRAØN DÒCH MAØNG TIM CARDIAC TAMPONADE WITH RIGHT VENTRICULAR COLLAPSE (ARROWHEADS)
  • 201.
    6/19/2013 201 BEÄNH MAØNGTIM VIEÂM MAØNG TIM CO THAÉT Tuoåi 30-50,Nam/Nöõ=3/1. Nguyeân nhaân:Sau Vieâm maøng ngoaøi tim caáp,sau chaán thöông,sau phaãu thuaät maøng ngoaøi tim,lao,Coxackie, Histoplasmose, H.influenza type A,B Autoimmune:RAA,Lupus…
  • 202.
    6/19/2013 202 BEÄNH MAØNGTIM VIEÂM MAØNG TIM CO THAÉT X quang: Tim khoâng to hoaëc to ít. Nhó (T) to trong 20% tröôøng hôïp.Khi Vieâm co thaét maùu trôû veà tim khoù khaên. Ñoùng voâi (50%) ôû nhó (P),hieám khi ôû nhó (T) vì maët sau khoâng coù pericarde,Thaát (T) ít hôn thaát (P) do thaát (T) ñaäp maïnh (Ngöôïc vôùi ñoùng voâi trong cô tim).
  • 203.
    6/19/2013 203 BEÄNH MAØNGTIM VIEÂM MAØNG TIM CO THAÉT X quang: TMCT giaõn do maùu khoù veà tim. TDMP coù theå keøm theo (60%). Chaån ñoaùn phaân bieät:Beänh cô tim haïn cheá. Maøng tim khoâng daøy,khoâng ñoùng voâi. Cô tim daøy vaø söï co boùp giaûm trong 2 thì (taâm thu vaø taâm tröông).
  • 204.
    6/19/2013 204 BEÄNH MAØNGTIM VIEÂM MAØNG TIM CO THAÉT CT vaø MRI raát coù ích trong chaån ñoaùn Vieâm maøng ngoaøi tim co thaét. 50% beänh nhaân coù voâi hoùa maøng ngoaøi tim,deã daøng nhaän thaáy treân CT. Daøy maøng tim deã thaáy treân MRI.
  • 205.
    6/19/2013 205 BEÄNH MAØNGTIM VIEÂM MAØNG TIM CO THAÉT -Normal heart size. -Dilated SVC (arrows). -Dilated azygos vein (arrowheads). -Dilated HV. -Dilated IVC. CONSTRICTIVE PERICARDITIS
  • 206.
    6/19/2013 206 BEÄNH MAØNGTIM VIEÂM MAØNG TIM CO THAÉT SPIN-ECHO MRI: Intermediate signal intensity band between the epicardial fat and the pericardial fat (curved arrow and black arrows) is thickened pericardium CONSTRICTIVE PERICARDITIS
  • 207.
    6/19/2013 207 BEÄNH MAØNGTIM VIEÂM MAØNG TIM CO THAÉT The pericardium is irregularly thickened (arrows) CONSTRICTIVE PERICARDITIS.
  • 208.
    6/19/2013 208 BEÄNH MAØNGTIM VIEÂM MAØNG TIM CO THAÉT PERICARDIAL CALCIFICATION (RIGHT VENTRICLE)
  • 209.
    6/19/2013 209 BEÄNH MAØNGTIM VIEÂM MAØNG TIM CO THAÉT
  • 210.
    6/19/2013 210 BEÄNH MAØNGTIM VIEÂM MAØNG TIM CO THAÉT Pericardial calcification (closed arrow). Dilated IVC (open arrow). CONSTRICTIVE PERICARDITIS.
  • 211.
    6/19/2013 211 BEÄNH MAØNGTIM VIEÂM MAØNG TIM CO THAÉT CONSTRICTIVE PERICARDITIS Thickening of the pericardium
  • 212.
    6/19/2013 212 BEÄNH MAØNGTIM NANG MAØNG TIM 3/4 naèm beân (P),1/4 naèm beân (T). Hieám khi coù caû 2 beân,luùc ñoù seõ khoù phaân bieät vôùi TDMT. Hình nghieâng:Nang naèm phía tröôùc döôùi. Sieâu aâm:Hình aûnh echo troáng (Spring- water cyst). Chaån ñoaùn phaân bieät:Môõ ngoaøi maøng tim (CT ño tyû troïng)
  • 213.
    6/19/2013 213 BEÄNH MAØNGTIM NANG MAØNG TIM PERICARDIAL CYST
  • 214.
    6/19/2013 214 BEÄNH MAØNGTIM NANG MAØNG TIM CALCIFIED PERICARDIAL CYST
  • 215.
    6/19/2013 215 BEÄNH MAØNGTIM NANG MAØNG TIM
  • 216.
    6/19/2013 216 BEÄNH MAØNGTIM NANG MAØNG TIM PERICARDIAL CYST
  • 217.
    6/19/2013 217 BEÄNH MAØNGTIM NANG MAØNG TIM PERICARDIAL CYST / ASBESTOSIS
  • 218.
    6/19/2013 218 BEÄNH MAØNGTIM NANG MAØNG TIM PERICARDIAL CYST
  • 219.
    6/19/2013 219 BEÄNH MAØNGTIM MÔÕ NGOAØI MAØNG TIM Thöôøng coù nhöng khoâng nhieàu. Moät soá tröôøng hôïp lôùp môõ naøy to nhö moät lipoma Boùng tim to ra. Sieâu aâm:Echo keùm (khoù chaån ñoaùn phaân bieät vôùi Xuaát huyeát). CT:chaån ñoaùn chính xaùc nhôø ño tyû troïng.
  • 220.
    6/19/2013 220 BEÄNH MAØNGTIM MÔÕ NGOAØI MAØNG TIM
  • 221.
    6/19/2013 221 BEÄNH MAØNGTIM MÔÕ NGOAØI MAØNG TIM
  • 222.
  • 223.
    Chest X Rayof 54 y. old male patient for heath check up.
  • 224.
  • 225.
    CT scan shows lowattenuation structure around the heart Mediastinal lipomatosis
  • 226.
    226 June 19,2013 CẢM ƠN QUÝ VỊ ĐÃ QUAN TÂM THEO DÕI