過敏免疫風濕病的概念 
& 類風濕性關節炎 
蕭凱鴻 
臺北市立聯合醫院 和平院區 
過敏免疫風濕科
免 疫 (immunity) 
宿主對外來微生物所產生的特異性抵抗作用‧ 
免疫的種類 
以免疫力來源分: 
天然免疫 (nature), 遺傳而得,與生俱來 
後天性免疫 (acquired), 隨著環境漸漸獲得免疫 
- 被動免疫 (passive):接受別人的抗體 
- 主動免疫 (active):接受疫苗或感染後獲得的抗體 
以免疫反應分: 
非專一性免疫 (innate, nonspecific immunity) 
專一性免疫(adaptive, specific immunity) 
- 體液性免疫 (humoral):主要為B細胞 
- 細胞性免疫 (cellular):主要為T細胞
以免疫反應分: 
非專一性免疫 (innate, nonspecific immunity) 
專一性免疫(adaptive, specific immunity) 
- 體液性免疫 (humoral) 
- 細胞性免疫 (cellular) 
體液性免疫 (humoral immunity): 
主要為B細胞 
抗體 
中和毒素 
阻斷微生物 
凝集微生物 
增加吞噬 
活化補體 
補體 
調理、增加吞噬 
趨化作用 
細胞溶解作用 
過敏毒素作用 
細胞性免疫 (cellular):主要為T細胞 
T 細胞 
自然殺手細胞 
吞噬細胞 
作用: 
細胞直接毒殺 
細胞激素 (cytokines) 
或是淋巴激素 (lymphokines)
正常的後天專一性免疫反應
自體免疫 
• 定義 :免疫系統打破對自身抗原的容忍性(self-tolerance), 
對自己的組織細胞產生免疫反應。 
• 依據免疫系統攻擊的目標,可將自體免疫疾病分 
為二大類: 
• 器官專一性自體免疫疾病(Organ-specific autoimmune disease) 
• 系統性自體免疫疾病(Systemic autoimmune disease)
何謂過敏免疫風濕病? 
• 免疫出了問題 
• 多器官病變 
• 進行性 
• 主動破壞性 
• 軟組織病變(包括骨骼肌肉肌腱皮膚) 
• 病程長 
• 時隱時現 
• 常誤診為不相關病變
病例省思 
• 27歲女性第三次中風 
• 11歲時血小板過低合併紫斑症 
• 21 歲間斷性停經,平常亦有月經過少 
• 24 歲診斷有甲狀腺功能過高
病人出了什麼問題? 
• 血小板過低合併紫斑症(血液系統) 
• 間斷性停經,平常亦有月經過少(生殖系統) 
• 甲狀腺功能過高(內分泌系統) 
• 腦中風 (神經系統) 
全身性紅斑狼瘡合併抗磷脂症候群
全身性紅斑狼瘡; 修格蘭氏症 (乾燥症); 硬皮病; 
發炎性肌病變; 血管炎; 白斑症; 圓形禿; 混合結締組織病; 
類澱粉沈積症; 類肉瘤病; 第一型糖尿病; 甲狀腺炎; 甲狀腺腫 
Addison‘s disease; 惡性貧血症; 重症肌無力; 多發性硬化症 
自體免疫肝炎;天皰瘡; 類天皰瘡; 不孕症/反覆流產/子癲症(?) 
氣喘 
異位性皮膚炎 
過敏性鼻炎 
過敏性結膜炎 
急/慢性蕁麻疹 
濕疹, 富貴手, 汗疱疹 
食物過敏 
過敏性血管炎 
過敏性休克 
類風濕關節炎 
僵直脊椎炎 
乾癬/乾癬關節炎 
幼年性關節炎 
發炎性腸道病變 
其他免疫或反應性關節炎 
痛風 
骨質酥鬆症 
退化性關節炎 
自體免疫
症敏過 
症濕風 
免疫病 
先天免疫不全後天免疫不全
類風濕關節炎:手部變形
晚期類風濕性關節炎
晚期類風濕性關節炎
退化性關節炎
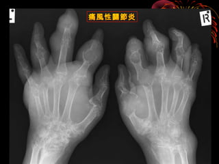
痛風性關節炎
痛風性關節炎
痛風性關節炎
乾癬性關 
Telescopin 節炎 
g
乾癬性關節炎
白斑症 Vitiligo
Vitiligo? 
皮肌炎 with vitiligo
Vitiligo? 
全身性紅斑狼瘡 with vitiligo
全身性紅斑狼瘡 with vitiligo
Sjogren’s Syndrome 
Oral Signs 
Slide reprinted from the Clinical Slide Collection on the
Sjogren’s Syndrome- Cervical 
Dental Caries
Ulcerative keratitis 
(in patient given broad spectrum 
antibiotic plus anesthetic)
冰山一角, 見微知著
類風濕關節炎 
關節炎之王 
• 關節炎中破壞力最廣最強者,首推類風濕 
關節炎,也是國人常見的慢性關節疾病。 
• 類風濕關節炎為全民健保重大傷病之一種 
,以全身對稱性之週邊關節慢性發炎為主 
要症狀,但也會有內臟器官之發炎。 
• 若未好好治療,病患會成殘廢,內臟病變 
影響所及,也使其平均壽命較短。
你永遠不懂我傷悲 
就像白天不懂夜的黑 [那英] 
死不了, 活不好; 
先啃骨,後蝕心。 
這就是類風濕!
類風濕關節炎不再無藥可救 
• 類風濕關節炎在三十年前幾乎無藥可治,依據 
當時之研究,類風濕關節炎宿命不佳,約三分 
之二病人,週邊關節到處受破壞,注定殘廢。 
• 但時隔三十年之現在,目前類風濕性關節炎能 
早期診斷,使用疾病調節抗風濕藥物 
(DMARDs)以及生物製劑(biologic agents) 的 
治療,使得部份骨侵蝕之早期類風濕病患,侵 
蝕處又回復完好,此為類風濕關節炎病患之曙 
光。
類風濕性關節炎藥物治療演進史
類風濕關節炎流病學 
• 最常見的發炎性關節炎之一 
• 女:男=3:1 
• 歐美較多,亞洲國家較少,平均盛行率 
約1% 
• 可發生在任何年齡,但發病高峰期在 
40-60歲之間
為什麼會得類風濕性關節炎?? 
((11)) 遺傳因素有輕度家族聚集及孿生子共同患病現象,, DDRR44或DDRR11((除猶
太人為DDRR11外,,其餘均為DDRR44))陽性的個體易感性增強,,提
示遺傳因素發揮了重要作用。但同卵雙生子僅有3300%%~~5500%% 
((22)) 感染因素的E共BB同病患毒病::率8800,,%%異的卵RR雙AA生患子者僅血為清55有%%高。滴度抗EEBB抗體,, EEBB 
病毒核抗原與自身抗原如膠原、肌動蛋白及滑膜組織中的
抗原相似,, EEBB病毒包膜上糖蛋白110000((GGPP110000))與HHLLAA-- 
DDRRBB11上的7700~~7744位氨基酸序列相同。
 逆轉錄病毒::逆轉錄病毒引起的羊關節炎與RRAA病理改
變相似,, RRAA滑膜中含有逆轉錄病毒的葡糖胺聚糖蛋白。
 結核桿菌::結核桿菌蛋白與大鼠關節炎軟骨上的連接蛋
(33)) 其他因素雌白激有素相促似進的RRAA序列的,, 發生RRAA,,滑孕膜激素TT減細胞緩與RRAA6655kkDDaa發生,,結懷核孕桿使菌蛋
RRAA 
白有免疫反應。症狀減輕,, RRAA的糖皮質激素日基礎分泌量偏低。抽菸。
類風濕關節炎的初期症狀 
• 約有三分之二的病人起初只有一些不典型的 
不適,例如疲倦、噁心、全身無力、骨頭肌 
肉隱隱作痛,之後才出現滑囊膜發炎。 
• 有大約三分之一的病人起始是以局限在一個 
或數個關節炎 
• 約有10%的人是以急性多發性關節炎、關 
節疼痛來表現,多伴隨有全身性症狀,包括 
發燒、淋巴腺腫大或脾臟腫大
關節症狀 
• 類風濕關節炎會造成滑囊膜發炎 
(Synovitis)引起關節腫脹、壓痛、活 
動不良 
• 關節僵硬則出現於長期間不活動之後, 
例如清晨剛睡醒時
關節症狀 
• 典型的侵犯關節是在手 
腕,手部的PIP和 
MCP關節。 
• 早期的手肘侵犯會引起 
伸屈不良,膝關節侵犯 
則易引起慢性關節積液。 
腳部、腳踝也會受侵犯 
• 以上肢為主的多發性、 
對稱性發炎性關節炎
關節症狀 
• 脊椎則易侵犯頸椎,嚴重的話會引起第 
1、2節頸椎半脫臼、壓迫脊柱神經。 
• 長期的發炎之後,類風濕關節炎會引起 
特定的關節變形
類風濕關節炎:手部變形 
• Ulnar 
deviation 
• Volar 
subluxation 
• Intrinsic 
muscle 
atrophy 
• Swan-neck 
deform. 
• Boutanere’s 
deform. 
• Z-shape 
deform. 
• Tendon 
rupture
晚期類風濕關節炎:足部變形 
足部變形, 導致穿鞋困難及容易受傷 
• 姆趾外翻 Hallus vulgus 
• 鎚狀趾 Hammer toes
晚期 RRAA 手關節嚴重變形破壞
關節以外的侵犯
眼眼睛睛––鞏鞏膜膜炎炎、、乾乾眼眼症症 
心心臟臟––心心包包膜膜炎炎、、心心血血管管疾疾病病 
皮皮膚膚 
神神經經系系統統––神神經經炎炎、、中中風風 
肺肺部部––肺肺纖纖維維化化、、肋肋膜膜積積水水 
血血管管––血血管管炎炎
類風濕性關節炎併鞏膜炎
類風濕性關節炎肺部侵犯 
肋膜積水肺部節結 
肺部纖維化
類風濕性關節炎併血管炎
類風濕性關節炎不可輕忽! 
除了關節和其他器官侵犯 
• 心肌梗塞 
• 中風 
• 淋巴癌 
• 骨質疏鬆
類風濕關節炎之診斷(舊) 
類風濕關節炎主要是一個臨床診斷,醫師一般使用美國風濕病 
學會的建議(西元1987年)作標準,若符合下列四個或以 
上條件便可達成診斷 
• 1. 晨醒關節僵硬,而且僵硬不適的感覺超過一小時以上。 
• 2. 三個或以上關節發炎,且持續六週以上。 
• 3. 手指關節發炎,且持續六週以上。 
• 4. 對稱性關節發炎,且持續六週以上。 
• 5. 在身體特定部位可摸到皮下結節(類風濕結節)。 
• 6. 血清類風濕因子(一種自體抗體)呈陽性反應。 
• 7. 關節的X光檢查存在病變。
22001100 類風濕性關節炎診斷
(( 新))
嚴重度 (arbitrary 
早期診斷、早期治療
早期 中期 晚期 類風濕性關節炎 
units) 
0 
5 10 15 20 25 30 
發病時間 (年) 
Adapted from Kirwan. J Rheumatol 1999;26:720–725 
發炎反應 
患者失能 
骨頭關節破壞
早期治療以防止關節變型
不要錯過治療黃金期 !! 
• 發病後六個月內是類風濕性關節炎 
的治療黃金期,越早治療效果越好 
,只要積極就醫,配合達標治療的 
觀念,患者同時能夠重拾生活品質 
。
類風濕性關節炎治療藥物
• 非類固醇消炎止痛藥 
• 類固醇 
• 疾病調節抗風濕藥物(免疫調節劑) 
• 生物製劑
非類固醇消炎藥物 
• 這類藥物有消炎、鎮痛及消腫的功效。 
• 其效果出現快,通常在數小時或數日內見效,但其效 
果會因患者及其病情而異。 
• 醫師可能需要試用多種不同屬於這類的藥物,才可 
替患者找出最合適的一種。 
• 這類藥物的副作用是胃腸不適、胃及十二指腸潰瘍、 
胃出血、水和鹽分排除減少、血壓增高和腎功能障礙 
等。 
• 目前已有「第二型環氧化酵素COX2抑制藥」上市 
,對於有消化性潰瘍或出血之虞的患者或年紀較大者 
,可考慮使用。
類固醇 (俗稱美國仙丹) 
• 這類藥物對類風濕關節炎的急性發炎有卓著的療 
效,能迅速消炎、止痛與消腫, 
• 據最近的醫學報告,顯示口服類固醇 
prednisolone每日小於7.5mg,共二至四年 
,可有效減低病情的嚴重度及防止關節被侵蝕。 
• 但長期而且較大劑量(每日大於7.5mg)的使 
用,可能會有一些副作用。 
• 當病情好轉時,醫師便會慢慢減低劑量,甚至 
完全停止服用。 
• 長期服用類固醇的患者,切忌不要突然停服,尤 
其要接受任何手術時。
類固醇可怕嗎 
• 類固醇的學名叫做『腎上腺皮質素』,正常人的腎上 
腺每天都會分泌一定量的類固醇來維持體內正常的生 
理運作,如調節血醣、蛋白質、脂肪、及電解質的代 
謝,它是維持生命不可或缺的重要荷爾蒙。 
• 臨床上類固醇是很好的藥物,它確實可被廣泛地應用 
於治療許多的疑難雜症和特殊的疾病,包括︰癌症、 
腦水腫、慢性肺病變、風濕病、氣喘症、早產兒肺部 
不成熟、皮膚病、休克、敗血症、及腦膜炎等等,幾 
乎到了無病不可用的境地;而且它確實會減輕許多的 
症狀,使症狀得到暫時的舒解,所以它又博得「仙丹 
」之名,因此難免有些不肖的醫療人員濫用於各種疾 
病上。
改變病程的抗風濕藥物 
• 這類藥物常用者包括羥氯奎寧(hydroxychloroquine) 、 
斯樂(sulfasalazine)、甲氨喋呤 (methotrexate, 
MTX) 、移護寧(Imuran, Azathioprine) 、環孢素 
A(Cyclosporin A )和艾炎寧 
(avara,lefunamide)等等 
• 這類藥物通常要服用較長時間後(約四至八週),才會出現 
療效,而且使用初期時可能會有較嚴重的副作用(包括白血 
球降低、肝功能異常等),但發生率不高,且只要定期監測 
調整劑量及加藥速度即可將避免絕大多數的併發症。因此, 
服用此類藥物大致都很安全的。但部分患者雖使用上述藥物 
合併治療,仍無法有效控制病情
改變病程的藥物-生物製劑 
• 這類藥物較能迅速達到疾病緩解,直接阻斷引 
起發炎的細胞或細胞激素的活性,改變及扭轉 
疾病的進程 
• 由於耗費醫療資源大,需由過敏免疫風濕專科 
醫師事先提出申請且需符合健保規定
台灣已上市之免疫標靶藥物 
英文藥名台灣商品名作用機轉適應症健保給付 
Etanercept 
( Enbrel ) 恩博抗腫瘤壞 
死因子 
類風溼性關節炎, 僵直性脊椎 
炎, 乾癬, 乾癬關節炎, 幼年 
型關節炎 
有 
Adalimumab 
( Humira 
) 
復邁抗腫瘤壞 
死因子 
類風溼性關節炎, 僵直性脊椎 
炎, 乾癬, 乾癬關節炎, 潰瘍 
性大腸炎 
有 
Golimumab 
( Simponi 
) 
辛普尼抗腫瘤壞 
死因子 
類風溼性關節炎, 僵直性脊椎 
炎, 乾癬關節炎 
有 
Abatacept 
( Orencia 
) 
恩瑞舒T 細胞因 
子CTLA4 
類風溼性關節炎有 
Rituxtimab 
( Mabthera 
) 
莫須瘤B 細胞 
CD20 抗 
原 
類風溼性關節炎有 
Tocilizumab 
( Actemra 
安挺樂細胞激素 
IL-6 
類風溼性關節炎有
The molecular pathogenesis of RA 
Immune complexes 
Complement fixation 
Attract inflammatory 
cell infiltrates 
Tsokos. N Engl J Med 2004;350:2546–2548 
McInnes et al. Nature Medicine 1997;3:189–195 
Choy & Panayi. N Engl J Med 2001;344:907–916 
TNF-a, IL-1, IL-6 
metalloproteinases 
TNF-a 
IL-2 
IFN-g 
IL-17 
RANKL 
Articular cartilage 
Production of metalloproteinases and other effector molecules 
Migration of polymorphonuclear cells 
Erosion of bone and cartilage 
Pannus 
Osteoclast Synoviocytes 
Chondrocytes 
MF 
IL-4 
IL-6 
IL-10 
RF, anti-CCP antibodies 
IL-6, TNF-a, 
IFN-g, lymphotoxin 
Plasma 
cell 
B cell 
T cell 
APC
Intervention with biologics can occur at several different 
points in the immunopathogenic pathways of RA 
Plasma 
cell 
Tsokos. N Engl J Med 2004;350:2546–2548 
McInnes et al. Nature Medicine 1997;3:189–195 
Choy & Panayi. N Engl J Med 2001;344:907–916 
IL-4 
IL-6 
IL-10 
RF, anti-CCP antibodies 
Immune complexes 
Complement fixation 
Attract inflammatory 
cell infiltrates 
IL-6, TNF-a, 
IFN-g, lymphotoxin 
TNF-a, IL-1, IL-6 
metalloproteinases 
TNF-a 
IL-2 
IFN-g 
IL-17 
RANKL 
Articular cartilage 
Production of metalloproteinases and other effector molecules 
Migration of polymorphonuclear cells 
Erosion of bone and cartilage 
Pannus 
Osteoclast Synoviocytes 
Chondrocytes 
B cell 
MF 
T cell 
APC 
T cell costimulation 
modulator: Abatacept 
Anti-CD20: Rituximab 
TNF inhibitor: Infliximab, 
adalimumab, certolizumab, 
golimumab, etanercept 
Anti-IL-6R: Tocilizumab
關節的照護方式
• 適度運動、復健,使肌肉、骨骼強壯,並搭配藥物治 
療,以減少關節疼痛、腫脹、僵硬的症狀。 
• 溫和的有氧、伸展運動,是有助於減輕關節負擔、增 
進關節靈活度、滋養關節的幫助,除非關節退化嚴重 
。 
• 只要是非負重、低衝擊性、不增加關節負荷的運動皆 
適合病患進行,如騎自行車、散步、打太極拳等。
類風濕關節炎的飲食 
• Omega-3脂肪酸的食物,如沙丁魚、鮪魚、大比 
目魚、鯖魚和鮭魚這類深海魚,或服用魚油,也 
許能減輕發炎反應,改善早晨關節僵硬和疼痛的 
症狀。 
• 禁吃 : 補品 . 如四物湯 . 中將湯 . 八珍 . 十全 
. 當歸 . 黃耆等等 . 
• 少吃 :薑母鴉 .羊肉爐 , 為什麼呢 ? 因為大部份 
都有放補品補藥 .還有類雌激素食物也要少吃, 例 
如山藥 . 瑠璉 . 大豆異黃酮濃縮製品 . 因為有不 
少研究顯示, 女性荷爾蒙與本病有密切關切
結語 
• 類風濕性關節炎過去診斷與治療方式不多,且病人往往尋 
求另類療法,而延誤治療時機。 
• 然而目前因醫療科技的進步,類風濕性關節炎的治療已有 
很大的突破,使用生物製劑標靶治療為類風濕性關節炎的 
病人帶來了福音,病人的預後越來越好,緩解已經是一個 
可以達成的目標,而且最好維持持續的緩解。 
• 我們期待類風濕性關節炎病人都能夠在黃金關鍵期及早診 
斷,及早治療,而且治療達標,持續達標。
結語
• 類風濕性關節炎需要長時間追蹤與用藥治療, 
千萬別以為「不痛就沒事」。 
• 和醫師配合,與疾病和平共處,大多數病人都 
可以過有品質的生活,樂觀堅毅的戰勝病魔。
感謝聆聽

簡報1030726

Editor's Notes

  • #15 Ulnar deviation. Volar subluxation. Intrinsic muscle atrophy. Swan-neck deform. Boutanere’s deform. Z-shape deform. Tendon rupture
  • #17 Arthritis Multilans 殘毀性關節炎
  • #18 Clinical symptoms of OA Joint pain is the primary clinical feature that prompts a person with OA to seek medical attention. The pain is usually described as a deep, dull ache, confined to the involved joint and aggravated upon use of the joint (especially by weight-bearing in the case of hip or knee OA) and relieved by rest. Pain is usually intermittent during the early phases of OA, but with disease progression may become more frequent or even constant, increasingly severe, and disabling. In advanced OA of the hip, nocturnal pain that interferes with sleep may be associated with effusion of the joint. Pain may be referred to other body sites. Morning stiffness in OA is brief, usually lasting no more than 20 to 30 minutes after awakening, whereas morning stiffness in rheumatoid arthritis may last for hours. In the patient with OA, stiffness may recur during the day after periods of prolonged inactivity but usually subsides rapidly with use of the joint. Joint function may be impaired or limited. Pain may be experienced upon normal use of the joint. Joint shape may be abnormal due to soft tissue swelling or to hypertrophy of bones within the joint. This is most notable in OA of the hands.
  • #22 Psoriatic arthritis: arthritis mutilans 殘毀性關節炎 --Telescoping
  • #30 Early signs of dry mouth due to Sjogren’s syndrome can include diminution of the sublingual salivary pool, cheilosis and loss of glistening of the tongue and mucous membranes. A tongue depressor may readily adhere to the sticky mucosal surfaces, as will undigested food particles. The patient may be unable to lick a standard letter envelope completely sealed. In advanced disease (pictured above), the tongue and mucosal surface become erythematous, fissured or ulcerated, and the sublingual salivary pool disappears.
  • #48 Extra-Articular manifestations (or non-Joint manifestations) are important considerations with regards to RA, their appearance is associated with an increase in mortality and morbidity (decreased quality of life).
  • #51 Fig. 73.29 Digital tip and proximal infarcts in a patient with rheumatoid vasculitis.